Next Article in Journal
Weaning Failure in Elderly Patients: A Systematic Review and Meta-Analysis
Next Article in Special Issue
Results of Cochlear Implantation in Patients with Congenital Rubell—Retrospective Study
Previous Article in Journal
Impact of Remote Dielectric Sensing on Predicting Worsening Heart Failure During Hospitalization for Heart Failure
Previous Article in Special Issue
The Clinical and Surgical Characteristics of Parotid Tumors with Parapharyngeal Space Involvement—A Multicenter Experience of the Polish Salivary Network
 
 
Font Type:
Arial Georgia Verdana
Font Size:
Aa Aa Aa
Line Spacing:
Column Width:
Background:
Systematic Review

Pott’s Puffy Tumor in Young Age: A Systematic Review and Our Experience

1
Otolaryngology Section, Department of Neuroscience DNS, University of Padova, 35100 Padova, Italy
2
Otorhinolaryngology and Skull Base Center, AP-HP, Hospital Lariboisière, 75010 Paris, France
3
Otolaringology Unit, Ca’ Foncello Hospital, Local Health Unit N.2 “Marca Trevigiana”, 31100 Treviso, Italy
*
Author to whom correspondence should be addressed.
J. Clin. Med. 2024, 13(21), 6428; https://doi.org/10.3390/jcm13216428
Submission received: 11 October 2024 / Revised: 23 October 2024 / Accepted: 24 October 2024 / Published: 26 October 2024

Abstract

Background: Pott’s Puffy Tumor (PPT) in young-age patients is a rare clinical entity characterized by osteomyelitis of the frontal bone with a subperiosteal abscess collection. Previous reviews primarily consist of small, retrospective case series and anecdotal reports. This study aims to present the largest, most up-to-date systematic review of essential clinical findings, diagnostic modalities, microbiologic considerations, and treatment approaches for managing PPT in pediatric and adolescent populations. Methods: PubMed, Scopus, and Web of Science databases were systematically screened until 3 January 2024. The protocol of this investigation was registered on PROSPERO in January 2024, and the systematic review was performed according to the PRISMA statement. The study included 184 patients from 109 articles and an additional case from the authors’ institution. Results: PPT commonly stems from untreated rhinosinusitis, respectively, acute pansinusitis, frontal acute rhinosinusitis and chronic rhinosinusitis, and direct head trauma. Infections typically involve a polymicrobial anaerobe-predominant microbiome. Computed tomography and magnetic resonance imaging are routinely used for presurgical assessment and posttreatment surveillance. Intracranial complications were significantly associated with the type of surgical treatment (p value < 0.0001). Conclusions: PPT is a significant and relatively morbid disease often under-recognized and misdiagnosed due to its variable clinical presentation. Management includes both antimicrobial therapy and surgical intervention, emphasizing the importance of an interdisciplinary approach.

1. Introduction

Pott’s Puffy Tumor (PPT) is defined as one or more subperiosteal abscesses of the frontal bone associated with underlying osteitis and osteomyelitis [1]. It was first described by Sir Percivall Pott, who related it to earlier forehead trauma in 1768 and to earlier frontal sinusitis in 1775 [2]. It appears as localized swelling of the forehead, with inflammatory signs, tenderness, and swelling of the overlying skin. Associated typical symptoms are headache, periorbital swelling, rhinorrhea, fever, vomiting, and lethargy [1]. PPT is often an indicator of intracranial complications [1]. The infection has the potential to extend into the intracranial cavity through bony erosions, pre-existing pathways, or septic thrombosis via the Haversian canals. This propagation can lead to severe intracranial complications such as meningitis, epidural abscess, subdural empyema, intracerebral abscess, and dural sinus thrombophlebitis [1]. In such cases, computed tomography (CT) is employed for treatment planning, while magnetic resonance imaging (MRI) plays a crucial role in the detection of intracranial complications [2].
PPT was once considered a rare occurrence in the post-antibiotics era, with the majority of reported cases involving adolescents and young adults. This increased susceptibility in the younger age group can be attributed to two main factors: the heightened vascularity of their diploic system and the relative increase in blood supply to the still-developing frontal sinuses [3]. Despite advancements in early detection, targeted antibiotic treatments, and surgical interventions, the morbidity and mortality associated with intracranial complications of sinusitis have significantly decreased. However, intracranial complications still manifest, necessitating swift diagnosis and multidisciplinary treatment to prevent long-term neurological sequelae and fatalities [4]. This study aims to present an up-to-date systematic review of the etiological, clinical, surgical, as well as microbiological findings related to PPT in young patients. Additionally, it aims to foster discussion on the treatment course, which remains a topic of controversy in the literature.

2. Materials and Methods

2.1. Protocol Registration

The protocol of this systematic review was registered on PROSPERO, an international database of prospectively registered systematic reviews in health and social care (Center for Reviews and Dissemination, University of York, York, UK), in January 2024 (registry number CRD42024498741).

2.2. Search Strategy

A systematic literature review was conducted according to the Preferred Reporting Items for Systematic Reviews and Meta-Analyses (PRISMA) recommendations [5]. The electronic databases Scopus, Pubmed, and Web of Science were searched from database inception to 3 January 2024. A combination of MeSH terms (“sinusitis” [MeSH Terms], “intracranial complication” [MeSH Terms]) and free-text words (“Pott’s puffy tum*”, “acute sinusitis”, “intracranial complication”) were utilized to search. The reference lists of all the included articles were thoroughly screened to find other relevant articles. References were exported to Zotero bibliography manager (v6.0.10, Center for History and New Media, George Mason University, Fairfax, VA, USA). After duplicates removal, two reviewers (A.D. and T.M.) independently screened all titles and abstracts and then evaluated the full texts of the eligible articles based on the inclusion criteria. Any disagreement between the reviewers involved in the literature search was resolved through discussion with all authors to reach a consensus.

2.3. Selection Criteria

Studies were deemed eligible when the following inclusion criteria were met: (i) confirmed diagnosis of PTT; (ii) patients ≤ 18 years old. Exclusion criteria were as follows: (i) lack of relevant data; (ii) non-original studies (i.e., reviews, recommendations, editorials, conference papers, clinical challenges, and book chapters); (iii) animal model studies; (iv) non-English studies.

2.4. Data Extraction and Quality Assessment

Extracted data were collected in an electronic database including first author, year of publication, sample size, number of patients included, age of the patients, gender, etiology, imaging tests used, types of complication, types of surgery, medical treatment and culture, and outcome. The quality of the studies eligible for inclusion was categorized as Poor, Fair, and Good, in agreement with the National Institute of Health’s quality assessment tool for Observational Cohorts and Cross-Sectional Studies (https://www.nhlbi.nih.gov/health-topics/study-quality-assessment-tools, accessed on 3 January 2024) [6]. Two reviewers (A.D. and T.M.) independently evaluated the papers, and any disagreement was resolved by discussion.

2.5. Statistical Analysis

Qualitative and quantitative analyses of the data (variance of each variable and descriptive statistics measures of central slope and variability) were performed. Cases were distinguished as intracranial complication or no intracranial complication. Using Chi-square, a statistical association analysis was run between the aforementioned cohorts and the categorical demographic, intraoperative, and postoperative variables. Post hoc analysis for multiple comparisons of categorical data was applied with Bonferroni’s correction. This test assessed each hypothesis at a significance level of α/n, where α is the overall significance level and n is the number of hypotheses being tested. Two-tailed p < 0.05 was considered statistically significant. SPSS version 20 for Windows (IBM Corp, Armonk, NY, USA) was used for all statistical analyses.

3. Results

3.1. Case Report

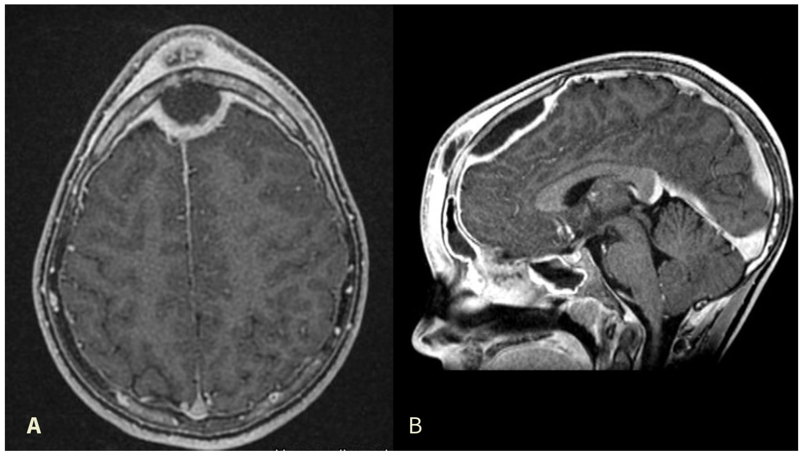
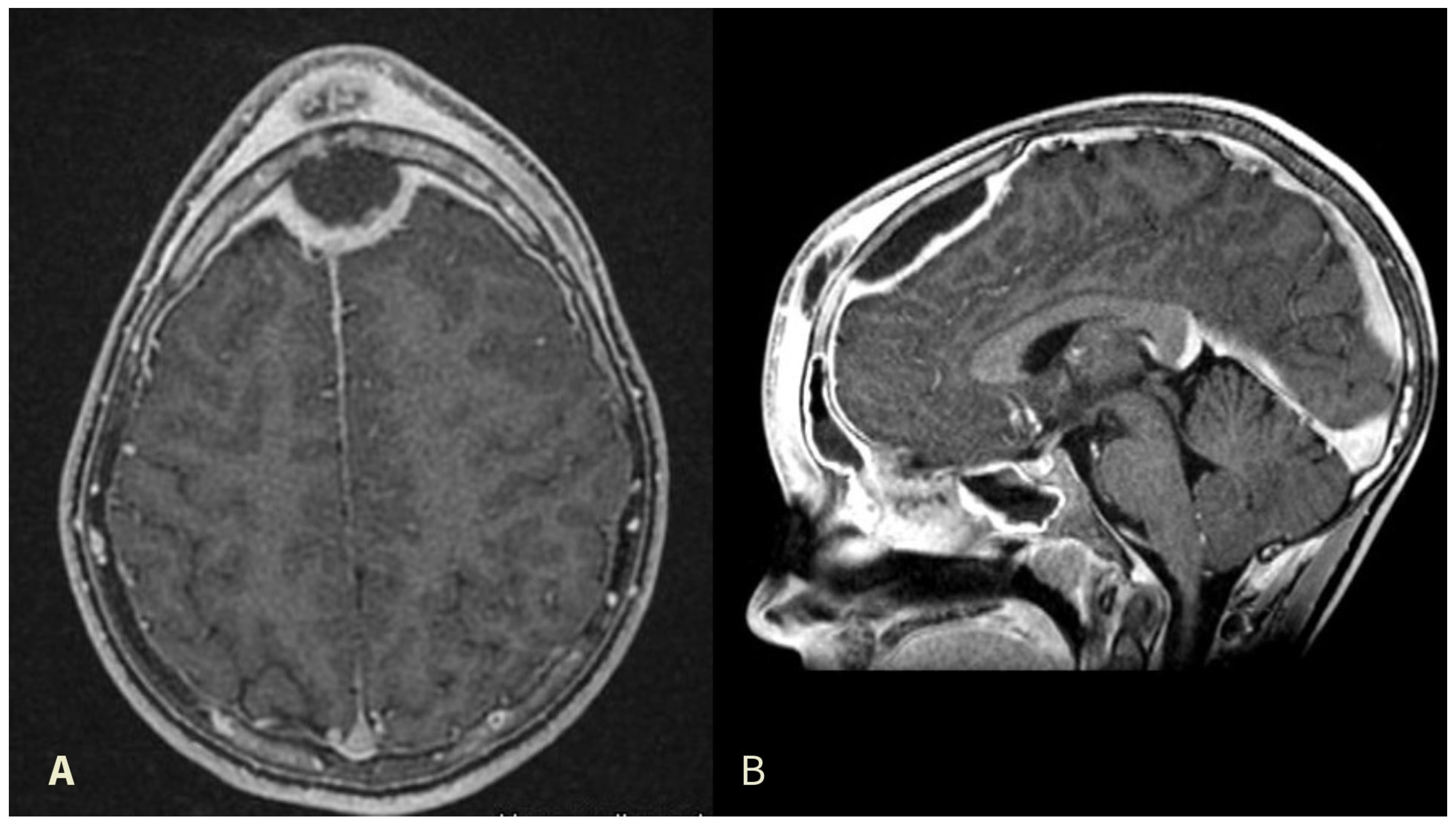
A 12-year-old, Italian male with no comorbidities complained of nasal congestion and headache for one month, who was initially treated by his general practitioner with oral amoxicillin (1 g every 12 h for a week). He presented thereafter to the emergency department clinic with progressively increasing frontal swelling and eyelid edema. He underwent cerebral and head and neck contrast-enhanced CT scan and MRI that revealed a complicated frontal sinusitis with bone erosion of the posterior wall of the frontal sinus and an epidural collection with peripheral rim enhancement at the frontal lobe, suggestive of an epidural abscess with compression of sagittal sinus (Figure 1). He was transferred to our hospital where he received intravenous (IV) vancomycin 40 mg/kg/day, metronidazole 20 mg/kg/day, and ceftazidime 2 g/day. Ophthalmological evaluation excluded orbital complications.
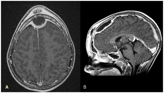
The patient underwent Endoscopic Sinus Surgery (ESS) with a right total ethmoidectomy, right frontal sinusotomy (Draf IIa) (Figure 2A), and maxillary antrostomy. Concomitant craniotomy with trephination and drainage of the brain abscess was performed for the epidural empyema and subperiosteal abscess (Figure 2B). The craniotomy operculum was rebuilt with a custom titanium plate because of the osteomyelitis which involved the frontal bone. Microbiological analysis of the purulent material demonstrated growth of Streptococcus intermedius. The patient remained hospitalized in our department for 6 weeks, and he received IV antibiotics throughout the entire hospital stay. The follow-up MRI performed 6 weeks after surgery revealed the resolution of the subperiosteal and epidural abscesses. He was discharged with saline irrigative 3 times/day with no clinical symptoms and no radiological signs. He continued oral antibiotics for another 4 weeks. Informed consent was obtained for publication purposes.

3.2. Search Results and Quality Assessment

After duplicates removal and exclusion of 221 records due to coherence with the inclusion/exclusion criteria, 135 articles relevant to the topic were examined. No records were unavailable for retrieving. Finally, 109 were included in the review [2,3,4,7,8,9,10,11,12,13,14,15,16,17,18,19,20,21,22,23,24,25,26,27,28,29,30,31,32,33,34,35,36,37,38,39,40,41,42,43,44,45,46,47,48,49,50,51,52,53,54,55,56,57,58,59,60,61,62,63,64,65,66,67,68,69,70,71,72,73,74,75,76,77,78,79,80,81,82,83,84,85,86,87,88,89,90,91,92,93,94,95,96,97,98,99,100,101,102,103,104,105,106,107,108,109,110,111,112]. A detailed flowchart of the search process is shown in Figure 3.
In accordance with the National Institute of Health’s quality assessment tool for Observational Cohorts and Cross-Sectional Studies [6], 20 studies (18.3%) were deemed of Good quality, 69 (63.4%) Fair, and 20 studies (18.3%) as Poor, due to the lack of reporting clinical data (Table S1).

3.3. Included Studies’ Characteristics

Among the 110 studies included in the qualitative analysis, 99 were case papers [2,4,7,8,9,10,11,12,13,14,16,17,18,20,21,22,23,24,25,26,27,28,29,30,31,32,33,34,35,36,37,38,39,41,42,43,44,45,46,47,48,49,50,51,52,53,54,56,58,59,60,61,62,63,64,65,66,67,68,69,70,71,72,73,74,75,77,79,80,81,82,83,84,85,86,87,88,89,90,92,93,94,95,96,97,98,99,100,101,103,104,105,107,108,109,110,111,112], while only 11 studies were case series [3,15,19,40,55,57,76,78,91,102,106]. These studies were published between 1949 and 2023 (see Table 1).

3.4. Included Patients’ Characteristics

The total number of patients was 184, where 124 (67.4%) were male and 54 female (29.3%). The mean age of the patients was 12.06 ± 3.29 years (range 1.92–18 years) (refer to Table 2).
The most common etiology was acute rhinosinusitis (69.35%) described in terms of pansinusitis, while frontal acute rhinosinusitis was counted in 22 patients (11.89%). Chronic rhinosinusitis as etiology was clearly stated for six patients (3.26%). Head trauma was found to be the most common cause excluding sinusitis (12; 6.52%). Other etiologies are reported in Table 2.

3.5. Imaging Assessment

In the current analysis, the majority of authors relied on ce-CT as the primary imaging modality for diagnosing PTT and its complications, accounting for 86 cases (46.73%). Additionally, a combination of ce-CT and ce-MRI was utilized in 17.93% of cases (refer to Table 1).

3.6. Pathogens

Microbiological analysis frequently resulted in multiple growth, with streptococci being the most prevalent individual pathogens (85, 40.66%). Among streptococci, Streptococcus intermedius was the most frequently cultured (11.96%), while staphylococci accounted for 9.38% of cases. Sterile cultures were prevalent (14.35%) (refer to Table 3). As illustrated in Figure 4, there has been no substantial variation in pathogens over time, with the most frequent being those from the Streptococcus species.

3.7. Medical Treatment

All patients received antibiotic therapy, with the duration of treatment ranging from 10 days to 6 months, averaging 6.8 weeks. The predominant antibiotics utilized were ceftriaxone (20.73%) and metronidazole (20.73%), either individually or in combination (see Table 4).

3.8. Intracranial Extension

Based on our examination, 131 (71.19%) out of the patients considered in this analysis experienced intracranial complications. Among them, 38 patients were ≤10 years of age (29.00%), 81 patients (61.83%) were between 11 and 18 years old, and 6 patients (4.58%) did not have their age reported.
The predominant intracranial complication observed was epidural abscess (42.59%), succeeded by subdural empyema (17.12%), thrombosis of the superior sagittal sinus (6.48%), and brain abscess (5.55%). Multiple intracranial complications were identified in 38 patients (29.00%). Age, sex, type of imaging assessment, pathogen type, and culture species were not statistically correlated with the development of intracranial complications (p value > 0.05). Intracranial complications were significantly associated with the type of surgical treatment (p value < 0.0001). Bonferroni correction for multiple comparisons showed the preference for a combined surgical approach in patients with intracranial complications than in those without intracranial involvement, compared to external (p = 0.022) and endoscopic interventions (p = 0.0002). The details of the intracranial complications from the studies included are provided in Table 5. No other relevant associations were found between intracranial complications and the clinical variables considered (Table 6).

3.9. Surgical Treatment

Only seven patients (3.80%) did not undergo any surgery, and out of these, four (2.17%) had intracranial involvement. The type of surgery was not available for 10 cases (5.43%). In all other instances, surgery using various approaches was carried out.
The majority of the authors opted for an external surgical approach for draining subperiosteal abscesses (11.41%). Some authors employed endoscopic endonasal treatment either independently (15.21%) or in conjunction with external drainage (9.78%). Regarding intracranial complications, craniotomy was the primary surgical method in most articles, either on its own (9.23%) or in combination with external drainage (11.41%), endonasal surgery (15.21%), or as a combination of all three modalities (10.32%). Additional combinations of surgeries are detailed in Table 7.

4. Discussion

4.1. Epidemiology

The determination of frequency measures for PPT is challenging due to its rare occurrence. Although it is experiencing minor annual variations, there seems to be an upward trend in the reported cases of PPT in recent years, as illustrated in Figure 5. While these fluctuations may be influenced by publishing pattern, they underscore the significance of promptly recognizing factors that could contribute to PPT predisposition. Frontal sinuses become pneumatized at 6 years of age, and they reach their adult configuration at the age of 15 [28]; that is why teenagers are especially affected by this entity. To our knowledge, only two cases have been reported in children younger than 3 years of age in the literature in the post-antibiotic era [22,50].

4.2. Pathophysiology

PPT typically manifests following sinusitis, particularly in cases of pansinusitis. Originating from the frontal sinus, the infection progresses through the frontal bone marrow cavity, inducing osteomyelitis that erodes the external table, leading to the formation of a subperiosteal abscess. Additionally, the infection may extend to the posterior table, giving rise to an epidural abscess. Despite the relative impermeability of the dura mater and arachnoid membranes, the infection can breach these barriers, spreading to the subdural space and causing subdural collections or cerebritis [28].
Consideration should also be given to the hematogenous route, as valveless diploic veins can become infected, resulting in septic thrombophlebitis of the sagittal sinus, subdural empyema, and brain abscess [113]. This phenomenon is more common in children than adults [113]. Persistent bacterial overgrowth in the frontal sinus cavity and adjacent soft tissues allows for small vessel thrombosis and venous congestion [48]. The disruption of the frontal periosteal blood supply initiates an inflammatory response characterized by increased intraosseous pressure, leading to extensive necrosis of the trabecular bone matrix. The resulting avascular and ischemic conditions favor the transition from an aerobic to an anaerobic environment, promoting the growth of opportunistic microorganisms that give rise to abscesses and cortical sinus tracts.
In certain instances, the infection can involve the floor of the frontal sinus, extending to the orbits and causing either orbital cellulitis or an orbital abscess [113].
These theories may partly explain the difference in the incidence of intracranial complications between adult and juvenile populations. In fact, a recent systematic review on intra-orbital complications of Pott’s Puffy Tumor in adults reported an incidence of around 30%, compared to approximately 70% in our review of younger patients [114]. In our study, the proportion of cases in individuals under 18 years of age was 59.5% (184/309), while cases in adults accounted for 40.5% (125/309) [114].

4.3. Clinical Presentation

A gradually tendered tumefaction of the scalp at the forehead is a distinctive indicator of PPT. The initial symptoms and signs of PPT often present subtly, resembling frontal sinusitis. The onset of pronounced symptoms, especially heightened headache and fever, or the manifestation of signs indicating increased intracranial pressure (such as nausea, vomiting, lethargy), periorbital complaints, or a lack of symptom resolution despite antibiotic treatment, necessitate imaging evaluation to detect potential silent intracranial involvement, even in the absence of overt neurological symptoms [113].

4.4. Imaging Modalities

Early diagnosis of PPT is crucial for minimizing morbidity and mortality, necessitating a heightened level of suspicion. Diagnosis primarily relies on a comprehensive evaluation of the patient’s history, clinical examination, and imaging studies. When a subperiosteal abscess is suspected, appropriate imaging is essential to confirm the diagnosis and assess potential complications.
The diagnostic workup should involve a ce-CT scan with brain and bony sequences, as it excels in visualizing bone structures and effectively delineates air–bone and air–soft tissue interfaces crucial for sinus surgeons [109]. CT scans can reveal sinusitis, bone erosion, subperiosteal collections, and intracranial extensions, with osteomyelitis indicated by low-attenuated areas of lytic bone destruction. CT is both quick and widely accessible, with pediatric protocols recommended to minimize radiation exposure in children [4].
MRI offers superior soft tissue resolution, making it the gold standard for detecting intracranial complications, dural sinus thrombosis, and bone edema [52]. However, its drawbacks include increased time consumption, the need for anesthesia in younger children, limitations in evaluation bony destruction, and limited availability, even though it can be used to reduce radiation exposure. MRI venography should be added when clinical suspicion of dural or cavernous sinus thrombosis arises [19]. While ultrasound has been proposed for PPT detection in children [85], its diagnostic value remains inadequately investigated in the literature. Additionally, bone Tc-mMP scintigraphy may offer heightened sensitivity compared to CT in early-stage osteomyelitis, though it proves less sensitive in an acute sinusitis setting [115].
Based on the current review, CT emerges as the most effective and commonly used imaging modality for PPT diagnosis. However, in cases with suspected intracranial involvement, MRI is recommended.

4.5. Intracranial Manifestations

The risk of intracranial complications associated with PPT is noteworthy, with reported incidences ranging from 43% to 85% in various studies [1,52,113,116]. The anterior pericranium is particularly susceptible to infection spread due to its rich venous plexus, directly communicating with the diploic veins of the frontal sinus cavity. This anatomical feature enables retrograde flow of septic emboli into the cranial vault, seeding the intracranial space, with or without concurrent erosion of the posterior table of the frontal sinus. PPT can lead to brain abscess, epidural and subdural abscess, superior sagittal sinus thrombosis, pneumocephalus, and meningitis. Less commonly, it can lead to cerebritis and fistula formation [52].
While the frequency of each type of collection varies in published reports, epidural collections are suggested to be the most common focal intracranial manifestation of PPT [1,52,113,116]. Our review found that 92 patients had epidural abscesses, accounting for over 40% of the total cases and more than half of the patients with intracranial complications.
Intracranial complications are often associated with leukocytosis, elevated ESR, and raised CRP levels [34], indicative of the bacterial origin of the complication.
Given the high incidence of seizures in intracranial abscesses (ranging from 19% to 80% of affected patients), immediate initiation of anticonvulsant therapy as prophylaxis against seizures is recommended for all patients with intracranial complications of sinusitis [40,117]. Extracranial complications, such as orbital infections, often co-occur with intracranial disease and shape the clinical presentation, particularly in pediatric patients lacking neurological symptoms. Visible craniofacial manifestations of PPT may serve as early indicators for patients, prompting them to seek medical evaluation sooner.

4.6. Microbiology

Due to the comparatively lower oxygen concentration in the frontal sinus, microaerophilic streptococci, including alpha-hemolytic Streptococcus, Peptostreptococcus, Bacteroides spp., and various anaerobes (such as Prevotella, Porphyromonas, Fusobacterium, and Peptostreptococcus spp.), were predominantly cultured from sinogenic sources. Additionally, less-frequently encountered organisms included Hemophilus influenza, Staphylococcus aureus, and Enterococcus spp. [2,15,118].
In our review, the most prevalent bacteria were identified as Streptococcus species, notably Streptococcus intermedius, accounting for 11.96% of cases. The prompt initiation of empirical intravenous antibiotic treatment during the initial surgery likely played a significant role in the absence of identifiable pathogens in the subsequent cultures.

4.7. Treatment

The initial treatment of a patient with a PPT is high-dose intravenous antibiotics. The selected antibiotics should possess the capability to cross the blood–brain barrier and provide coverage against both aerobic and anaerobic bacteria [3]. A commonly chosen combination includes a third-generation cephalosporin, metronidazole, and penicillin or vancomycin [see Table 1]. The antibiotic course is typically extended for a minimum of 6–8 weeks postoperatively [2,118]. The successful management of PPT involves a combination of broad-spectrum antibiotic therapy and surgical intervention. Adequate treatment has significantly reduced the mortality rate of sinogenic intracranial complications from 60% to 3.7% [118].
Historically, the osteoplastic flap was a conventional surgical access method to the anterior frontal sinus table in PPT. However, with the introduction of endoscopes and powered instrumentation, these methods have been largely replaced by ESS [106]. ESS is superior to classic techniques, providing effective management of the ostio–meatal complex and in opening the frontal recess, which cannot be externally approached [119]. While ESS is often highly effective, select cases with significant pericranial extension may necessitate an external approach with osteoplasties.
The neurosurgical approach to focal intracranial suppuration, particularly subdural empyema, is a subject of debate. Craniotomy is favored in former series examining subdural empyema secondary to sinusitis [117,120]. Small intracranial involvement without focal neurological deficits may initially be managed conservatively but may require craniotomies for abscesses refractory to medical management. Joint neurosurgical drainage and endoscopic or external sinus drainage have been shown to be more effective, leading to faster recovery and shorter hospital length of stay [121].
Frontal lobe abscesses can be treated based on the patient’s condition and the maturity of the abscess wall, either through aspiration with radiological localization or total excision via craniotomy. In our study, we observed that in the presence of intracranial complications, there is a higher prevalence of using a combined approach. This suggests that employing multiple techniques may be more effective for draining intracranial abscesses, whether epidural, subdural, or cerebral. Regardless of the principal treatment, the primary goal remains to drain the abscess and re-establish adequate frontoethmoidal drainage through surgical opening of the sinuses and prolonged antibiotic treatment. Successful treatment of PPT necessitates close collaboration between otorhinolaryngologists, neurosurgeons, pediatricians, bacteriologists, and other related departments.

4.8. Limitations of the Study

The present study has several limitations that are worthy of mention:
-
Case reports: the review primarily included case reports and short case series, which can limit the generalizability of findings due to variability and heterogeneity.
-
Missing data: some older articles lacked details relevant to the study, leading to the exclusion of some information from the analyses.
-
Evolution of treatment: the evolution of surgical technique and overall management of PPT that has taken place over the last decades may have improved outcomes, potentially affecting the comparability of older data with more recent data.

5. Conclusions

The rarity of PPT poses challenges in defining its frequency accurately, with reported cases displaying an upward trend in recent years. Early diagnosis is imperative for mitigating morbidity and mortality, requiring a heightened level of suspicion. Imaging, particularly contrast-enhanced CT scans, plays a crucial role in confirming the diagnosis and evaluating potential complications.
The risk of intracranial complications in PPT is significant, emphasizing the necessity for a combined approach involving high-dose intravenous antibiotics and surgery. This strategy is crucial in preventing long-term neurological complications and sequelae. Collaborative efforts among multidisciplinary teams, including otorhinolaryngologists, neurosurgeons, pediatricians, and bacteriologists, are indispensable for effective patient management.

Supplementary Materials

The following supporting information can be downloaded at: https://www.mdpi.com/article/10.3390/jcm13216428/s1, Table S1: Quality Assessment.

Author Contributions

Conceptualization, A.D. and T.M.; methodology, A.D. and T.M.; validation, A.D., T.M. and E.E.; investigation, A.D.; data curation, A.D. and T.M.; writing—original draft preparation, A.D.; writing—review and editing, A.D., T.M., F.B., E.S., G.S., D.C. and E.E.; visualization, F.B., E.S., G.S. and D.C.; supervision, E.E.; All authors have read and agreed to the published version of the manuscript.

Funding

This research received no external funding.

Institutional Review Board Statement

The study was conducted in accordance with the principles of the Helsinki Declaration, the Italian privacy and data laws, and the in-house rules for retrospective studies of the Otolaryngology Section at Padova University (Italy). Patients signed a detailed informed consent form regarding the processing and publication of their data. They consented to “the use of the clinical data for scientific research purposes in the medical, biomedical and epidemiological fields, also in order to be recalled in the future for follow-up needs”. The data were examined in agreement with the Italian privacy and sensitive data laws and the internal regulations of the University of Padova.

Informed Consent Statement

Informed consent was obtained from all subjects involved in the study.

Data Availability Statement

Data are available at request.

Conflicts of Interest

The authors declare that they have no conflicts of interest.

References

  1. Koltsidopoulos, P.; Papageorgiou, E.; Skoulakis, C. Pott’s puffy tumor in children: A review of the literature. Laryngoscope 2020, 130, 225–231. [Google Scholar] [CrossRef] [PubMed]
  2. Kombogiorgas, D.; Solanki, G.A. The Pott puffy tumor revisited: Neurosurgical implications of this unforgotten entity: Case report and review of the literature. J. Neurosurg. 2006, 105, 143–149. [Google Scholar] [CrossRef] [PubMed]
  3. Behbahani, M.; Burokas, L.; Rosinski, C.L.; Rosenberg, D.M.; Chaudhry, N.S.; Sherman, J.M. Treatment of pediatric extra-axial sinogenic infection: Case series and literature review. Child’s Nerv. Syst. 2020, 36, 755–766. [Google Scholar] [CrossRef] [PubMed]
  4. Sharma, P.; Sharma, S.; Gupta, N.; Kochar, P.; Kumar, Y. Pott Puffy Tumor. Bayl. Univ. Med. Cent. Proc. 2017, 30, 179–181. [Google Scholar] [CrossRef]
  5. Page, M.J.; McKenzie, J.E.; Bossuyt, P.M.; Boutron, I.; Hoffmann, T.C.; Mulrow, C.D.; Shamseer, L.; Tetzlaff, J.M.; Akl, E.A.; Brennan, S.E.; et al. The PRISMA 2020 statement: An updated guideline for reporting systematic reviews. BMJ 2021, 372, 71. [Google Scholar] [CrossRef]
  6. NHLBI NIH. Study Quality Assessment Tools. Available online: https://www.nhlbi.nih.gov/health-topics/study-quality-assessment-tools (accessed on 3 January 2024).
  7. Adnani, A.; Wawrzyniak, M.; Eilbert, W. Girl with a frontal headache and fever. J. Am. Coll. Emerg. Physicians Open 2023, 4, e12994. [Google Scholar] [CrossRef]
  8. Allfather, P.; Nagler, J. Seven-Year-Old Girl With Forehead Swelling. Ann. Emerg. Med. 2017, 70, 771–796. [Google Scholar] [CrossRef][Green Version]
  9. AlMoosa, Z.A.; AlFawaz, T.; AlFawaz, F. Pott’s puffy tumor due to Aspergillus fumigatus: A case report and review. Int. J. Pediatr. Adolesc. Med. 2016, 3, 128–131. [Google Scholar] [CrossRef]
  10. Amstrup, J.; Penning, L.W.; Hansen, J.K.; Brix, N.; Andersen, G. A 9-year-old boy with a nonmalignant forehead tumor—A rare case of pediatric Pott’s puffy tumor. BMC Pediatr. 2023, 23, 300. [Google Scholar] [CrossRef]
  11. Arnold, P.M.; Govindan, S.; Anderson, K.K. Spontaneous cranial osteomyelitis in an otherwise healthy ten-year-old male. Pediatr. Neurosurg. 2009, 45, 407–409. [Google Scholar] [CrossRef]
  12. Arora, H.S.; Abdel-Haq, N. A 14-year-old male with swelling of the forehead. Pott’s puffy tumor. Pediatr. Ann. 2014, 43, 479–481. [Google Scholar] [CrossRef] [PubMed]
  13. Avcu, G.; Belet, N.; Kurnaz, S.C.; Karli, A.; Sensoy, G. Pott’s puffy tumor in a 12-year-old boy. Pediatr. Int. 2015, 57, 163–165. [Google Scholar] [CrossRef] [PubMed]
  14. Bağdatoğlu, C.; Güleryüz, A.; Ersöz, G.; Talas, D.U.; Kandemir, O.; Köksel, T. A rare clinical entity: Pott’s puffy tumor. A case report. Pediatr. Neurosurg. 2001, 34, 156–158. [Google Scholar] [CrossRef] [PubMed]
  15. Bambakidis, N.C.; Cohen, A.R. Intracranial complications of frontal sinusitis in children: Pott’s puffy tumor revisited. Pediatr. Neurosurg. 2001, 35, 82–89. [Google Scholar] [CrossRef] [PubMed]
  16. Belharti, A.; Nasri, S.; Kennoudi, N.; Ziani, H.; Mojahid, A.; Aichouni, N.; Kamaoui, I.; Skiker, I. What is hidden behind a forehead swelling: Pott’s puffy tumor? Pediatr. Neonatol. 2023, 64, 611–612. [Google Scholar] [CrossRef]
  17. Bhalla, V.; Khan, N.; Isles, M. Pott’s puffy tumour: The usefulness of MRI in complicated sinusitis. J. Surg. Case Rep. 2016, 2016, rjw038. [Google Scholar] [CrossRef]
  18. Blackman, S.C.; Schleiss, M.R. Forehead swelling caused by Pott’s puffy tumor in a 9-year-old boy with sinusitis. Pediatr. Int. 2005, 47, 704–707. [Google Scholar] [CrossRef]
  19. Blumfield, E.; Misra, M. Pott’s puffy tumor, intracranial, and orbital complications as the initial presentation of sinusitis in healthy adolescents, a case series. Emerg. Radiol. 2011, 18, 203–210. [Google Scholar] [CrossRef]
  20. Butskiy, O.; Remillard, A.; Kozak, F. Forehead swelling in a 10-year-old male: A case report. Br. Columbia Med. J. 2017, 59, 407–411. [Google Scholar]
  21. Cannon, L.; Zwemer, E.; Stephens, J.R. Puff laddy: A 5-year-old-boy with forehead swelling. BMJ Case Rep. 2017, 2017, bcr-2017-223340. [Google Scholar] [CrossRef]
  22. Cheng, S.; Vu, P. Pott’s Puffy Tumor in a Premature Neonate: The New Youngest Case Reported in the Post-Antibiotic Era. Orbit 2009, 28, 412–414. [Google Scholar] [CrossRef] [PubMed]
  23. Costa, L.; Mendes Leal, L.; Vales, F.; Santos, M. Pott’s puffy tumor: Rare complication of sinusitis. Braz. J. Otorhinolaryngol. 2020, 86, 812–814. [Google Scholar] [CrossRef] [PubMed]
  24. Davidson, L.; McComb, J.G. Epidural-cutaneous fistula in association with the Pott puffy tumor in an adolescent: Case report. J. Neurosurg. 2006, 105, 235–237. [Google Scholar] [CrossRef] [PubMed]
  25. Dayan, E.R.; Sanders, J.E. Girl With Fever and Forehead Swelling. Ann. Emerg. Med. 2020, 76, 679–694. [Google Scholar] [CrossRef] [PubMed]
  26. Durur-Subasi, I.; Kantarci, M.; Karakaya, A.; Orbak, Z.; Ogul, H.; Alp, H. Pott’s puffy tumor: Multidetector computed tomography findings. J. Craniofac. Surg. 2008, 19, 1697–1699. [Google Scholar] [CrossRef]
  27. Faridi, M.M.A.; Pandey, S.; Shamsi, S. Pott’s Puffy Tumor Presenting as Pyogenic Meningitis in an Infant. Case Rep. Pediatr. 2022, 2022, 4732287. [Google Scholar] [CrossRef]
  28. Feder, H.M.; Cates, K.L.; Cementina, A.M. Pott puffy tumor: A serious occult infection. Pediatrics 1987, 79, 625–629. [Google Scholar]
  29. Forgie, S.E.; Marrie, T.J. Pott’s puffy tumor. Am. J. Med. 2008, 121, 1041–1042. [Google Scholar] [CrossRef]
  30. Fu, B. Pott’s puffy tumour: A rare complication from frontal sinusitis. Emerg. Med. J. 2010, 27, 521. [Google Scholar] [CrossRef]
  31. Fullerton, L.; Huckerby, L.; Gandhi, M.; Jabeen, F.; Maity, S. Trauma-related Pott’s puffy tumour. Arch. Dis. Child. 2016, 101, 184. [Google Scholar] [CrossRef]
  32. Gildener-Leapman, N.; Lin, A. Pott’s puffy tumor in a 5-year-old male and a review of the literature. Int. J. Pediatr. Otorhinolaryngol. Extra 2012, 7, 48–51. [Google Scholar] [CrossRef]
  33. Gozgec, E.; Ogul, H.; Kılıc, K. Pott’s Puffy Tumor with Intraorbital Abscess. Rev. Soc. Bras. Med. Trop. 2022, 55, e01262022. [Google Scholar] [CrossRef] [PubMed]
  34. Guillén, A.; Brell, M.; Cardona, E.; Claramunt, E.; Costa, J.M. Pott’s puffy tumour: Still not an eradicated entity. Child’s Nerv. Syst. 2001, 17, 359–362. [Google Scholar] [CrossRef]
  35. Gupta, M.; El-Hakim, H.; Burgava, R.; Mehta, V. Pott’s puffy tumour in a pre-adolescent child: The youngest reported in the post-antibiotic era. Int. J. Pediatr. Otorhinolaryngol. 2004, 68, 373–378. [Google Scholar] [CrossRef] [PubMed]
  36. Haider, H.R.; Mayatepek, E.; Schaper, J.; Vogel, M. Pott’s puffy tumor: A forgotten differential diagnosis of frontal swelling of the forehead. J. Pediatr. Surg. 2012, 47, 1919–1921. [Google Scholar] [CrossRef]
  37. Hassan, S.; Rahmani, B.; Rastatter, J.C.; Jaju, A.I.; Kurup, S.P. Trauma-associated Pott’s puffy tumor: An ophthalmologic perspective. Orbit 2020, 39, 38–40. [Google Scholar] [CrossRef]
  38. Hayek, B.R.; Sitole, S.; Andreoli, M.; Banich, A.; Ahmad, A.Z. Bilateral eyelid edema and orbital cellulitis associated with Pott’s puffy tumor. Ophthalmic Plast. Reconstr. Surg. 2007, 23, 163–165. [Google Scholar] [CrossRef]
  39. Heale, L.; Zahanova, S.; Bismilla, Z. Cases: Pott puffy tumour in a five-year-old girl. CMAJ 2015, 187, 433–435. [Google Scholar] [CrossRef]
  40. Hicks, C.W.; Weber, J.G.; Reid, J.R.; Moodley, M. Identifying and Managing Intracranial Complications of Sinusitis in Children: A Retrospective Series. Pediatr. Infect. Dis. J. 2011, 30, 222–226. [Google Scholar] [CrossRef]
  41. Hitti, E.; Love, E. Pott’s puffy tumor in a six-year-old female. J Hosp Med. 2010, 5, E4–E5. [Google Scholar] [CrossRef]
  42. Holder, J.; Corbin, D.; Marquez, S.; Clarke, H.; Walcott, J.; Thomas, R. Pott’s puffy tumour and subdural empyema following frontal sinusitis. West Indian Med. J. 1991, 40, 33–36. [Google Scholar] [PubMed]
  43. Hore, I.; Mitchell, R.B.; Radcliffe, G.; De Casso Moxo, C. Pott’s puffy tumour: A rare cause of forehead swelling in a child. Int. J. Clin. Pract. 2000, 54, 267–268. [Google Scholar] [CrossRef] [PubMed]
  44. Huijssoon, E.; Woerdeman, P.A.; van Diemen-Steenvoorde, R.A.A.M.; Hanlo, P.W.; Plötz, F.B. An 8-year-old boy with a Pott’s puffy tumor. Int. J. Pediatr. Otorhinolaryngol. 2003, 67, 1023–1026. [Google Scholar] [CrossRef] [PubMed]
  45. Ikoma, N.; Aizawa, Y.; Sasaki, T.; Oishi, M.; Saito, N.; Yoshida, H.; Saitoh, A. Pott’s puffy tumour: A rare and life-threatening disease. Lancet Infect. Dis. 2020, 20, 1482. [Google Scholar] [CrossRef]
  46. Is, M.; Karatas, A.; Aytekin, H.; Dosoglu, M.; Gezen, F. An 11-year-old girl with Pott’s puffy tumour. Int. J. Pediatr. Otorhinolaryngol. Extra 2007, 2, 215–217. [Google Scholar] [CrossRef]
  47. Jafri, L.; Farooq, O. Pott’s puffy tumor. Pediatr. Neurol. 2015, 52, 250–251. [Google Scholar] [CrossRef]
  48. Joo, M.J.; Schapira, K.E. Pott’s Puffy Tumor: A Potentially Deadly Complication of Sinusitis. Cureus 2019, 11, e6351. [Google Scholar] [CrossRef]
  49. Kalkan, H.; Eryılmaz, M.A.; Kıresi, D.; Arbag, H.; Yesildag, A. Pott’s puffy tumor: The role of ultrasound, computed tomography and magnetic resonance imaging in diagnosis. Eur. J. Gen. Med. 2017, 14, 51–53. [Google Scholar] [CrossRef]
  50. Karadaghy, O.A.; Lucas, J.C.; Paroya, S.; Jensen, D. Pott’s puffy tumor in a 23-month-old: Youngest known case of a rare disease. Auris Nasus Larynx 2022, 49, 713–716. [Google Scholar] [CrossRef]
  51. Karaman, E.; Hacizade, Y.; Isildak, H.; Kaytaz, A. Pott’s puffy tumor. J. Craniofac. Surg. 2008, 19, 1694–1697. [Google Scholar] [CrossRef]
  52. Ketenci, I.; Unlü, Y.; Tucer, B.; Vural, A. The Pott’s puffy tumor: A dangerous sign for intracranial complications. Eur. Arch. Otorhinolaryngol. 2011, 268, 1755–1763. [Google Scholar] [CrossRef] [PubMed]
  53. Khan, M.A. Pott’s puffy tumor: A rare complication of mastoiditis. Pediatr. Neurosurg. 2006, 42, 125–128. [Google Scholar] [CrossRef] [PubMed]
  54. Kim, H.Y.; Hwang, E.H.; Han, Y.M.; Kim, S.H.; Kim, Y.M. Pott’s puffy tumor in an adolescent boy. Pediatr. Int. 2012, 54, 158–160. [Google Scholar] [CrossRef]
  55. Klivitsky, A.; Erps, A.; Regev, A.; Ashkenazi-Hoffnung, L.; Pratt, L.T.; Grisaru-Soen, G. Pott’s Puffy Tumor in Pediatric Patients: Case Series and Literature Review. Pediatr. Infect. Dis. J. 2023, 42, 851–856. [Google Scholar] [CrossRef] [PubMed]
  56. Kuhar, B.G.; Dunn, T.M.; Liming, B.J.; Yakopson, V.S. Pott’s Puffy Tumor: A Rare, Life-Threatening Presentation of Periorbital Edema. Mil. Med. 2023, 188, 3696–3698. [Google Scholar] [CrossRef] [PubMed]
  57. Kühn, J.P.; Linsler, S.; Nourkami-Tutdibi, N.; Meyer, S.; Becker, S.L.; Yilmaz, U.; Schick, B.; Bozzato, A.; Kulas, P. Pott’s puffy tumor: A need for interdisciplinary diagnosis and treatment. HNO 2022, 70, 8–13. [Google Scholar] [CrossRef]
  58. Lang, E.E.; Curran, A.J.; Patil, N.; Walsh, R.M.; Rawluk, D.; Walsh, M.A. Intracranial complications of acute frontal sinusitis. Clin. Otolaryngol. Allied Sci. 2001, 26, 452–457. [Google Scholar] [CrossRef]
  59. Lauria, R.A.; Laffitte Fernandes, F.; Brito, T.P.; Pereira, P.S.G.; Chone, C.T. Extensive Frontoparietal Abscess: Complication of Frontal Sinusitis (Pott’s Puffy Tumor). Case Rep. Otolaryngol. 2014, 2014, 632464. [Google Scholar] [CrossRef][Green Version]
  60. Ling, C.; Ng, D.C.E.; Kumar, T.A.P.B.A. More than a Bump on the Head. J. Pediatr. 2021, 238, 331. [Google Scholar] [CrossRef]
  61. Linton, S.; Pearman, A.; Joganathan, V.; Karagama, Y. Orbital abscess as a complication of Pott’s puffy tumour in an adolescent male. BMJ Case Rep. 2019, 12, e229664. [Google Scholar] [CrossRef]
  62. Liu, A.; Powers, A.K.; Whigham, A.S.; Whitlow, C.T.; Shetty, A.K. A Child With Fever and Swelling of the Forehead. Pott’s puffy tumor and epidural abscess complicating frontal sinusitis. Clin. Pediatr. 2015, 54, 803–805. [Google Scholar] [CrossRef] [PubMed]
  63. Maheshwar, A.A.; Harris, D.A.; Al-Mokhthar, N.; Evans, R.A. Pott’s puffy tumour: An unusual presentation and management. J. Laryngol. Otol. 2001, 115, 497–499. [Google Scholar] [CrossRef] [PubMed]
  64. Marzuillo, P.; Aliberti, F.; Tipo, V. A revealing forehead cutaneuos lesion: Pott’s “puffy” tumor. Türk Pediatri Arşivi 2017, 52, 57. [Google Scholar] [CrossRef] [PubMed]
  65. McGee, A.E.; Cooper, F.; Maini, S.K.; Vallamkondu, V. Unusual Presentation of Pott’s puffy tumour in a child: Our recent experience and review of the literature. BMJ Case Rep. 2022, 15, e247325. [Google Scholar] [CrossRef]
  66. Morley, A.M.S. Pott’s puffy tumour: A rare but sinister cause of periorbital oedema in a child. Eye 2009, 23, 990–991. [Google Scholar] [CrossRef]
  67. Moser, R.; Schweintzger, G.; Uggowitzer, M.; Urban, C.; Stammberger, H.; Eder, H.; Kerbl, R. Recurrent Pott’s puffy tumor—Atypical presentation of a rare disorder. Wien. Klin. Wochenschr. 2009, 121, 719–722. [Google Scholar] [CrossRef]
  68. Moses, S.F.; Roben, E.C. Deep Impact. Clin. Pediatr. Emerg. Med. 2018, 19, 187–192. [Google Scholar] [CrossRef]
  69. Nastovska, R.; Lim, L.L. Sinusitis complicated by frontal bone osteomyelitis in a young patient. Med. J. Aust. 2017, 207, 376. [Google Scholar] [CrossRef]
  70. Nicoli, T.K.; Mäkitie, A. Frontal sinusitis causing epidural abscess and puffy tumor. N. Engl. J. Med. 2014, 370, e18. [Google Scholar] [CrossRef]
  71. Nourkami-Tutdibi, N.; Linsler, S.; Yilmaz, U.; Pfeifer, J.; Derouet, C.; Becker, S.L.; Zemlin, M.; Meyer, S.; Kulas, P. A 6-Year-Old Boy with a Frontal Mass: Pott Puffy Tumor. J. Pediatr. 2020, 217, 211. [Google Scholar] [CrossRef]
  72. Olmaz, B.; Cingoz, M.; Akdogan, E.; Kandemirli, S.G. Correlation of imaging and intraoperative findings in Pott’s puffy tumour. Scott. Med. J. 2019, 64, 25–29. [Google Scholar] [CrossRef] [PubMed]
  73. Onesimo, R.; Scalzone, M.; Valetini, P.; Caldarelli, M. Pott’s puffy tumour by Streptoccocus intermedius a rare complication of sinusitis. Case Rep. 2011, 2011, bcr0820114660. [Google Scholar] [CrossRef] [PubMed]
  74. Özkaya Parlakay, A.; Kara, A.; Cengiz, A.; Ceyhan, M. Puffy Frontal Edema: A Serious Life-Threatening Finding of Pott’s Puffy Tumor: Case Report. Turk. Klin. Tip Bilim. Derg. 2012, 32, 850–853. [Google Scholar] [CrossRef]
  75. Öztürk, N.; Atay, K.; Çekin, İ.E.; Erkul, B.E.; Karademir, F. A rare case in childhood: Pott’s puffy tumor developing secondary to frontal sinus osteoma. Türk Pediatri Arşivi 2020, 55, 445–448. [Google Scholar] [CrossRef]
  76. Palabiyik, F.B.; Yazici, Z.; Cetin, B.; Celebi, S.; Hacimustafaoglu, M. Pott puffy tumor in children: A rare emergency clinical entity. J. Craniofacial Surg. 2016, 27, e313–e316. [Google Scholar] [CrossRef]
  77. Palacios-García, J.M.; Moreno-Luna, R.; Molina-Fernandez, E.M.; Sanchez-Gomez, S. Bilateral involvement of frontal sinuses in a pott’s puffy tumor: A case report. Otorhinolaryngol. Clin. 2019, 11, 67–69. [Google Scholar] [CrossRef]
  78. Parida, P.K.; Surianarayanan, G.; Ganeshan, S.; Saxena, S.K. Pott’s puffy tumor in pediatric age group: A retrospective study. Int. J. Pediatr. Otorhinolaryngol. 2012, 76, 1274–1277. [Google Scholar] [CrossRef]
  79. Patel, A.; Vuppula, S.; Hayward, H.; Lakhani, A.; Lighter, J. A Case of Pott’s Puffy Tumor Associated With Barosinusitis from Scuba Diving. Pediatr. Emerg. Care 2021, 37, e51–e54. [Google Scholar] [CrossRef]
  80. Patel, S.A.; Chatterjee, A.; Simonsen, K. Recurrent midline frontal mass in a patient with sinusitis. Clin. Pediatr. 2011, 50, 266–268. [Google Scholar] [CrossRef]
  81. Pender, E.S. Pott’s puffy tumor: A complication of frontal sinusitis. Pediatr. Emerg. Care 1990, 6, 280–284. [Google Scholar] [CrossRef]
  82. Podolsky-Gondim, G.G.; Santos, M.V.; Carneiro, V.M.; Pires Augusto, L.; Da Costa Pacheco Neto, R.; Santos de Oliveira, R.M. Neurosurgical Management of Pott’s Puffy Tumor in an Obese Adolescent with Asthma: Case Report with a Brief Review of the Literature. Cureus 2018, 10, e2836. [Google Scholar] [CrossRef] [PubMed]
  83. Przybysz, P.; Hartmann, P.; Jackowska, T. Paranasal sinusitis complicated by Pott’s puffy tumour. Pediatr. Med. Rodz.-Paediatr. Fam. Med. 2018, 14, 331–336. [Google Scholar] [CrossRef]
  84. Queen, J.R.; Anderson, E. A fourteen-year old with Pott’s Puffy Tumor. J. Emerg. Med. 2001, 21, 185–188. [Google Scholar] [CrossRef] [PubMed]
  85. Reddan, T.; Connor, P. Not just a bump on the head: Ultrasound as first-line imaging in a boy with Pott’s puffy tumour. J. Med. Radiat. Sci. 2018, 65, 71–73. [Google Scholar] [CrossRef] [PubMed]
  86. Rogers, L. Pott’s puffy tumour. Br. J. Surg. 1949, 36, 315. [Google Scholar] [CrossRef]
  87. Rogo, T.; Schwartz, R.H. Pott puffy tumor in a 5-year-old girl with frontal sinusitis. Ear Nose Throat J. 2013, 92, E24. [Google Scholar]
  88. Russ, A.E.; Morse, A.M.; Spiro, D.M. When a Headache Is More than the Flu: A Case Report. Clin. Pract. Cases Emerg. Med. 2022, 6, 240–243. [Google Scholar] [CrossRef]
  89. Sabatiello, M.; Vanhooteghem, O.; Mostinckx, S.; De La Brassinne, M. The Pott’s puffy tumor: An unusual complication of frontal sinusitis, methods for its detection. Pediatr. Dermatol. 2010, 27, 406–408. [Google Scholar] [CrossRef]
  90. Sade, R.; Polat, G.; Kantarci, M. Unusual cause of seizure: Pott puffy tumor. J. Craniofacial Surg. 2016, 27, e548–e549. [Google Scholar] [CrossRef]
  91. Salomão, J.F.; Cervante, T.P.; Bellas, A.R.; Boechat, M.C.; Pone, S.M.; Pone, M.V.; de APereira, B. Neurosurgical implications of Pott’s puffy tumor in children and adolescents. Child’s Nerv. Syst. 2014, 30, 1527–1534. [Google Scholar] [CrossRef]
  92. Shehu, B.B.; Mahmud, M.R. Pott’s puffy tumour: A case report. Ann. Afr. Med. 2008, 7, 138–140. [Google Scholar] [CrossRef] [PubMed]
  93. Shemesh, A.J.; Panebianco, N.L.; Chen, A.E. An Uncommon Complication of Sinusitis in a Young Adolescent. Pediatr. Emerg. Care 2015, 31, 531–532. [Google Scholar] [CrossRef] [PubMed]
  94. Sheth, S.P.; Ilkanich, P.; Congeni, B. Complicated fusobacterium sinusitis: A case report. Pediatr. Infect. Dis. J. 2018, 37, E246–E248. [Google Scholar] [CrossRef] [PubMed]
  95. Silva, A.C.V.; Lins, C.M.; Mendes, R.F.d.A.; Silva, M.H.S.; de Alencar Neto, J.F.; Lopes, C.C.M.; Ferraz, G.L.D.S.; de Sousa, D.F.R.; Bem Junior, L.S.; Valença, M.M.; et al. Case Report: Pott’s Edematous Tumor: Complicated Frontal Sinusitis—An Unremembered Diagnosis. Front. Surg. 2022, 9, 889463. [Google Scholar] [CrossRef] [PubMed]
  96. Stark, P.; Ghumman, R.; Thomas, A.; Sawyer, S.M. Forehead swelling in a teenage boy. J. Paediatr. Child Health 2015, 51, 731–733. [Google Scholar] [CrossRef]
  97. Stoddard, T.J.; Tung, P.; Kelly, M.N. Pott’s Puffy Tumor: A Case Report. J. Pediatr. Health Care 2019, 33, 585–588. [Google Scholar] [CrossRef]
  98. Strony, R.J.; Dula, D. Pott puffy tumor in a 4-year-old boy presenting in status epilepticus. Pediatr. Emerg. Care 2007, 23, 820–822. [Google Scholar] [CrossRef]
  99. Sugiyama, A.; Kobayashi, M.; Moriishi, H.; Tanaka, H.; Mitsuyoshi, R.; Matsunaga, T.; Kuwabara, S. Pneumocephalus associated with Pott’s puffy tumor. J. Neurol. Sci. 2016, 362, 196–197. [Google Scholar] [CrossRef]
  100. Suwan, P.T.; Mogal, S.; Chaudhary, S. Pott’s Puffy Tumor: An Uncommon Clinical Entity. Case Rep. Pediatr. 2012, 2012, 386104. [Google Scholar] [CrossRef]
  101. Tibesar, R.J.; Azhdam, A.M.; Borrelli, M. Pott’s Puffy Tumor. Ear Nose Throat J. 2021, 100, 870S–872S. [Google Scholar] [CrossRef]
  102. Tsai, B.Y.; Lin, K.L.; Lin, T.Y.; Chiu, C.H.; Lee, W.J.; Hsia, S.H.; Wu, C.T.; Wang, H.S. Pott’s puffy tumor in children. Child’s Nerv. Syst. 2010, 26, 53–60. [Google Scholar] [CrossRef] [PubMed]
  103. Tudor, R.B.; Carson, J.P.; Pulliam, M.W.; Hill, A. Pott’s puffy tumor, frontal sinusitis, frontal bone osteomyelitis, and epidural abscess secondary to a wrestling injury. Am. J. Sports Med. 1981, 9, 390–391. [Google Scholar] [CrossRef] [PubMed]
  104. Urík, M.; Machač, J.; Šlapák, I.; Hošnová, D. Pott’s puffy tumor: A rare complication of acute otitis media in child: A case report. Int. J. Pediatr. Otorhinolaryngol. 2015, 79, 1589–1591. [Google Scholar] [CrossRef] [PubMed]
  105. Vadiee, G.; Beshali, M.; Jahangiri, S.; Eghlidos, Z.; Rahimian, Z.; Mirzaei, F. Pott’s puffy tumor: A case report. Clin. Case Rep. 2023, 11, e7815. [Google Scholar] [CrossRef] [PubMed]
  106. Van Der Poel, N.A.; Hansen, F.S.; Georgalas, C.; Fokkens, W.J. Minimally invasive treatment of patients with Pott’s puffy tumour with or without endocranial extension—A case series of six patients: Our Experience. Clin. Otolaryngol. 2016, 41, 596–601. [Google Scholar] [CrossRef]
  107. Vanderveken, O.M.; De Smet, K.; Dogan-Duyar, S.; Desimpelaere, J.; Duval, E.L.; De Praeter, M.; Van Rompaey, D. Pott’s puffy tumour in a 5-year old boy: The role of ultrasound and contrast-enhanced CT imaging; surgical case report. B-ENT 2012, 8, 127–129. [Google Scholar]
  108. Vaphiades, M.S.; Isen, D.; Tavakoli, M.; Bilyk, J.R. Pott luck. Surv. Ophthalmol. 2023, 68, 830–833. [Google Scholar] [CrossRef]
  109. Verma, R.K.; Abraham, S. Potts Puffy Tumor: A Rare Cause of Seizure in Children. Eur. J. Rhinol. Allergy 2021, 4, 99–102. [Google Scholar] [CrossRef]
  110. Verma, R.; Behera, S. Endoscopic management of Pott’s puffy tumour—Still a common entity in-developing country a case series of three patients: Our experience. Int. J. Pediatr. Otorhinolaryngol. Extra 2018, 19, 10–13. [Google Scholar] [CrossRef]
  111. Weinberg, B.; Gupta, S.; Thomas, M.J.; Stern, H. Pott’s puffy tumor: Sonographic diagnosis. J. Clin. Ultrasound 2005, 33, 305–307. [Google Scholar] [CrossRef]
  112. Wu, C.T.; Huang, J.L.; Hsia, S.H.; Lee, H.Y.; Lin, J.J. Pott’s puffy tumor after acupuncture therapy. Eur. J. Pediatr. 2009, 168, 1147–1149. [Google Scholar] [CrossRef] [PubMed]
  113. Rohde, R.L.; North, L.M.; Murray, M.; Khalili, S.; Poetker, D.M. Pott’s puffy tumor: A comprehensive review of the literature. Am. J. Otolaryngol. 2022, 43, 103529. [Google Scholar] [CrossRef] [PubMed]
  114. Sideris, G.; Davoutis, E.; Panagoulis, E.; Maragkoudakis, P.; Nikolopoulos, T.; Delides, A. A Systematic Review of Intracranial Complications in Adults with Pott Puffy Tumor over Four Decades. Brain Sci. 2023, 13, 587. [Google Scholar] [CrossRef] [PubMed]
  115. Uren, R.F.; Howman-Giles, R. Pott’s Puffy Tumor: Scintigraphic Findings. Clin. Nucl. Med. 1992, 17, 724–727. [Google Scholar] [CrossRef]
  116. Akiyama, K.; Karaki, M.; Mori, N. Evaluation of adult pott’s puffy tumor: Our five cases and 27 literature cases. Laryngoscope 2012, 122, 2382–2388. [Google Scholar] [CrossRef]
  117. Clayman, G.L.; Adams, G.L.; Paugh, D.R.; Koopmann, C.F. Intracranial complications of paranasal sinusitis: A combined institutional review. Laryngoscope 1991, 101, 234–239. [Google Scholar] [CrossRef]
  118. Brook, I. Microbiology and antimicrobial treatment of orbital and intracranial complications of sinusitis in children and their management. Int. J. Pediatr. Otorhinolaryngol. 2009, 73, 1183–1186. [Google Scholar] [CrossRef]
  119. Pendolino, A.L.; Koumpa, F.S.; Zhang, H.; Leong, S.C.; Andrews, P.J. Draf III frontal sinus surgery for the treatment of Pott’s puffy tumour in adults: Our case series and a review of frontal sinus anatomy risk factors. Eur. Arch. Otorhinolaryngol. 2020, 277, 2271–2278. [Google Scholar] [CrossRef]
  120. Kaufman, D.I.; Litman, N.; Miller, M.H. Sinusitis: Induced subdural empyerna. Neurology 1983, 33, 123. [Google Scholar] [CrossRef]
  121. Garin, A.; Thierry, B.; Leboulanger, N.; Blauwblomme, T.; Grevent, D.; Blanot, S.; Garabedian, N.; Couloigner, V. Pediatric sinogenic epidural and subdural empyema: The role of endoscopic sinus surgery. Int. J. Pediatr. Otorhinolaryngol. 2015, 79, 1752–1760. [Google Scholar] [CrossRef]
Figure 1. Preoperative contrast-enhanced MRI image revealing subcutaneous forehead swelling and a frontal epidural abscess in axial (A) and sagittal (B) views.
Figure 1. Preoperative contrast-enhanced MRI image revealing subcutaneous forehead swelling and a frontal epidural abscess in axial (A) and sagittal (B) views.
Jcm 13 06428 g001
Figure 2. Intraoperative photographs. (A): an endoscopic view of the discharge of pus from the frontal sinus; (B): the Pott Puffy Tumor during subperiosteal dissection with inner plate erosions from the epidural granulation tissue.
Figure 2. Intraoperative photographs. (A): an endoscopic view of the discharge of pus from the frontal sinus; (B): the Pott Puffy Tumor during subperiosteal dissection with inner plate erosions from the epidural granulation tissue.
Jcm 13 06428 g002
Figure 3. PRISMA diagram representing the Electronic Database Search and inclusion/exclusion process of the review. Legend * date of last search: 3 January 2024.
Figure 3. PRISMA diagram representing the Electronic Database Search and inclusion/exclusion process of the review. Legend * date of last search: 3 January 2024.
Jcm 13 06428 g003
Figure 4. Changes in the various pathogens identified over time.
Figure 4. Changes in the various pathogens identified over time.
Jcm 13 06428 g004
Figure 5. Graph showing the number of published papers trending.
Figure 5. Graph showing the number of published papers trending.
Jcm 13 06428 g005
Table 1. Studies included in the systematic review.
Table 1. Studies included in the systematic review.
AuthorYearAge (Years)SexEtiologyImagingComplicationSurgeryTreatmentCulture
Adnani et al. [7]20238FARSce-CTPSCNANANA
Allfather et al. [8]20177FFARSce-CTEDAESS, CRA MER, VANStaphylococcus, Fusobacterium
AlMoosa et al. [9]20169FTce-CT, ce-MRINoneESS, CRA empirical: CLI, CEF; AC: VORAspergillus Fumigatus
Amstrup et al. [10]20239MARSce-CT, ce-MRISSST, EDANoneCEF, METS. anginosus
Arnold et al. [11]200910MTCTEDAEXD, CRECEF, VAN, METS. intermedius
Arora et al. [12]201414MFARSce-CTNoneEXD CEF, CLINA
Avcu et al. [13]201512MARSce-CT, ce-MRIPSCEXD, ESSCEF, VAN, METNA
Bağdatoğlu et al. [14]200118MARSce-CTEDA, SDACRAempirical: IM gentamycin
AC: VAN, RIF, MET
STE
Bambakidis et al. [15]200111MARSCT, only 2 pts MRISDA, OACRABSATBFusobacterium,
S. pneumoniae
11MARSEDA, SDACRABSATBS. milleri
16MARSSDAEXD, CRABSATBKlebsiella sp., Peptostreptococcus
18MARSEDAEXD, CRABSATBS. microaerophilic
15MARSEDACRABSATBPeptostreptococcus
14MARSEDACRABSATBS. viridans
11FARSEDA, SDA, BACRABSATBS. pyogenes
Behbahani et al. [3]20207MARSce-CT or ce-MRIEDAESS, CRA CEFS. pyogenes, Corynebacterium, Pseudodiphtheriticum
13MARSSDAESS, CRA CEF, METS. anginosus
14MARSEDAESS, CRA CEF, METS. intermedius
6MARSEDAESS, CRA CEFS. pyogenes
12MARSEDA, SDAESS, CRA CEF, CLIS. anginosus
14MARSCERESS, CRA CEF, METS. anginosus, S. intermedius, Staph. epidermidis
13MARSEDAESS, CRA CEF, METS. intermedius
10FARSEDA, CERESS, CRA CEF, METS. intermedius
11MARSEDAESSCEF, METStaph epidermidis, Propionibacterium,
Avidum Diphtheroids
5MARSCERESSCEF, METS. pyogenes
5FARSEDA, MENESSCEF, METS. intermedius
12MARSSDAESS, CRACEF, METS, intermedius, Staph. aureus, Staph. epidermidis
Belharti et al. [16]202315MFARSce-CTEDANANANA
Bhalla et al. [17]20165MARSce-CTsubperiosteal OA, EDAESSCEF, CLI, METNA
Blackman et al. [18]20059MARSce-CTOCEXDCEF, VAN, METStaph. saccharolyticus
Blumfield et al. [19]20119–168M
1F
ARS8 ce-CT, 1 ce-MRI2 SSST
6 EDA
1 SDA
3: EXD, ESS, CRA
2: ESS, 2: EXD, CRE
1: none, 1: transferred to another hospital
BSATBS. milleri, S. pneumonia,
S. group F, Staph. aureus
Butskiy et al. [20]201710MARSce-CTNoneEXDCEF, CLIS. intermedius
Cannon et al. [21]20175MARSce-MRINoneEXDNAS. anginosus
Cheng et al. [22]200932 monthsMSEPce-CTSSSTEXDCLIStaph. aureus
Costa et al. [23]202013MARSce-CTBA, OAEXD, ESS, CRACEF, VAN, METNA
Davidson et al. [24]200614FARSce-CTEDA, fistulaCRENANA
Dayan et al. [25]20204FARSce-CTNoneEXDBSATBNA
Durur-Subasi et al. [26]200814FARSce-CTEDA, BAEXDNANA
Faridi et al. [27]20224FARSce-CT, ce-MRICEREXDCEF, VAN NA
Feder et al. [28]19876FARSX-ray, ce-CTNoneESSempirical: cefuroxime and gentamicin; AC: CLIPeptostreptococcus,
Bacteroides melaninogenicus
12FARSce-CTEDAESS, CRAempirical: CLI
AC: penicillin
Alpha Hemolytic S.
Forgie et al. [29]200816MARSNANoneEXDBSATBNA
Fu B. [30]201016MFARSce-CTNoneEXDBSATBNA
Fullerton et al. [31]201611MFARSce-MRIEDAEXD, ESS, CRACEFS. pyogenes
Gildener-Leapman et al. [32]20125MFARSce-CTEDA, SDA, CEREXD, ESS, CRACEF, VAN, METS. intermedius
Gozgec et al. [33]202215MARSce-CTOCEXDBSATBNA
Guillén et al. [34]200112FARSce-CTOC, EDA, SDACRACEF, VAN, METNA
Gupta et al. [35]20043MFARSce-CT, ce-MRIEDAESS, CRACEF, MET, cloxacillinSTE
Haider et al. [36]201214MARSce-CT, ce-MRIMEN, SDAEXD, ESS, CRAMER, METF. necrophorum
Hassan et al. [37]202015MTce-CT, ce-MRIEDAEXD, ESSempirical: VAN, AMPS
AC: CEF, MET
F. nucleatum
Hayek et al. [38]20079MARSce-CTPSCEXD, ESSAMPS, then CEFNA
Heale et al. [39]20155FNAce-CTPSC, EDAEXD, CRACEF, ETS. anginosus
Hicks et al. [40]2011NANAARSce-CT, MRIEDA, OCESSBSATBS. milleri
NANAARSce-CT, MRIEDA. SDA, SSSTEXD, ESSBSATBS. milleri
NANAARSce-CT SDAESS, CRABSATBS. milleri
NANAARSce-CT, MRIEDA, SDAESS, CRABSATBCutibacterium acnes
NANAARSce-CT, MRISDAEXD, ESSBSATBNA
NANAARSce-CTBACRABSATBS. milleri
Hitti et al. [41]20106FARSce-CTEDAESS, CREempirical: CEF, VAN, MET
AC: AMPS
S. pyogenes
Holder et al. [42]199117MARSX-ray, ce-CTBAESSempirical: ceftazidime and MET
AC: ceftazidime, MET, penicillin, chloramphenicol
Non-hemolytic S.
Hore et al. [43]200012FARSCTNoneEXD, ESSCEF, METS. milleri
Huijssoon et al. [44]20038MARSce-CTOCEXDBSATBS. milleri
Ikoma et al. [45]202012MFARSce-CT, ce-MRIEDA, PNCEXD, CRAMER, VAN then CEF, METS. constellatus
Is et al. [46]200711FNAce-CTEDAEXDAMP, CEF, METPeptostreptococcus, Veillonella, E. Coli
Jafri et al. [47]201511FARSce-CTEDAEXD, CRAAMOS. intermedius
Joo et al. [48]20197FFARSce-CTOCEXDAMPS NA
Kalkan et al. [49]201714MARSce-CT, ce-MRIEDAESS, CRABSATBSTE
Karadaghy et al. [50]202223 monthsMARSce-CTPSCEXD, ESSAMPS, then LEVS. intermedius, Granulicatella adiacens
Karaman et al. [51]20087FARSce-CTNoneEXD, ESSAMPSS. milleri
Ketenci et al. [52]201112FARSce-CTSDA, BAEXD, ESS, CRAAMPS, VAN, METPeptostreptococcus
13MARSce-CTSDA, BAEXD, ESS, CRACEF, AMPS, METS. pyogenes
Khan et al. [53]200610FMASce-CTEDA EXD, CRA, Cortical MastoidectomyCEF, CLISTE
Kim et al. [54]201218MARSce-MRIEDA, SDAEXD, CRAAMO, then VAN, ceftazidime, METSTE
Klivitsky et al. [55]202311MARSce-CT, ce-MRIPSC, SSST, CSTEXT, CRACEF and METS. pneumoniae
9FARSCT, MRINoneEXDCEF and CLINegative
12FARSce-CT, MRIEDA, SSSTEXD, ESS, CRACEF and METS. constellatus
14MARSCT, ce-CT, MRIEDA, BAESSCEF and METS. intermedius
15MARSCT, ce-CT, MRIEDAEXD, ESS, CRACEF and METSTE
13MARSCT, ce-CT, MRIEDAESSCEF and METPrevotella
17FARSCTNoneESSCEF and CLIS. pneumoniae
14MARSCT, MRIEDAEXD, ESS, CRACEF and METSTE
10FARSCTEDAEXDCEF and METSTE
9MARSCTPSCEXXDcefuroxime and METStaph. aureus
Kombogiorgas et al. [2]200611MARSce-MRIEDAEXD, ESS, CRACEF, METSTE
Kuhar et al. [56]20233FARSce-CT, ce-MRIOC, EDA, SSSTEXD, ESS, CRACEFS. intermedius
Kühn et al. [57]20226MFARSce-CT, ce-MRISDA, MEN, CERESS, CRAcefotaxime, CLIS. intermedius
17MARSce-CT, ce-MRIEDAESSCEFNA
9FARSce-CT, ce-MRIEDAESS, CRAcefotaxime, CLIS. intermedius
Lang et al. [58]200114FFARSce-CTSDA, SSSTEXD, CRAcephalosporin, METSTE
15FARSce-CTSDA, SSSTEXD, CRAcephalosporin, METS. pyogenes
12FARSce-CTEDA, SDAEXD, ESS, CRAcephalosporin, METH. influenzae
Lauria et al. [59]201414MFARSce-CTNoneEXD, ESSVAN, MET, ceftazidime, then AMPSS. constellatus
Ling et al. [60]20219MARSce-RMEDANABSATBNA
Linton et al. [61]201916MTce-CTOAEXD, ESSAMOC METSTE
Liu et al. [62]201510FARSce-CTEDAESS, CRAMER, then cephalexinAlpha Hemolytic S.
Maheshwar et al. [63]200114MTce-CTNoneESSAMOC, then flucloxacillin, fusidic acid, MET, RIFS. intermedius
Marzuillo et al. [64]20179FARSce-CTFistulaNAAMOCNA
McGee et al. [65]2022NAMARSce-CTNoneEXD, ESSCEF, METStaph. aureus
Morley et al. [66]20097MARSce-CT, ce-MRIEDACRAbenzylpenicillin, flucloxacillin then CLINA
Moser et al. [67]200914FARSce-CTEDAEXD, ESSCEFSTE
Moses et al. [68]201815MFBce-CTSDAESS, CRAempirical: TAZO
AC: MER, MET
F. necrophorum
Nastovska et al. [69]201715MFARSce-MRINoneESS, CRAbenzylpenicillin S. anginosus
Nicoli et al. [70]201413MFARSce-CT, ce-MRIEDAESS, CRABSATBS. intermedius
Nourkami-Tutdibi et al. [71]20206MFARSce-CT, ce-MRIEDACRAsultamicillin, then cefotaxime, CLIS. intermedius
Olmaz et al. [72]201912MARSCT- ce-MRIEDACRACEF, VAN, METNA
Onesimo et al. [73]20118FARSce-MRIEDANANAS. intermedius
Özkaya Parlakay et al. [74]201213MARSce-CTNoneNonecefotaxime and VANNA
Öztürk et al. [75]202015MFARSce-CTNoneNACEF and teicoplaninNA
Palabiyik et al. [76]201618MARSce-CT, ce-MRIPSCESSAMPS, MET, or CEF1 E. Coli,
1 S. Epidermidis,
6 STE
17MARSce-CT, ce-MRINoneESS
9MARSce-CT, ce-MRIEDAEXD, CRA
11FARSce-CT, ce-MRIEDAESS, CRA
7MTce-CT, ce-MRINoneESS
17MARSce-CT, ce-MRINoneEXD
Palacios-García et al. [77]201915MARSce-CTNoneEXD, ESSempirical: CLI
AC: LEV
S. intermedius
Parida et al. [78]201210MARSce-CTPSCEXD, ESSBSATBStaph. aureus
15FCRSce-CTNoneEXD, ESSBSATBSTE
9FARSce-CTNoneESSBSATBSTE
11MTce-CTNoneEXDBSATBPseudomonas aeruginosa
13MARSce-CTNoneESSBSATBSTE
Patel et al. [79]202113MSDce-CTMENESSCEF, VAN, METNA
Patel et al. [80]201111MARSce-CT, ce-MRIfistula, MEN EXD, CREempirical: AMOC
AC: MER, amphotericin B, then fluconazole
Candida parapsilosis
Pender [81]199013MARSCTNoneESSoxacillin and ampicillinStaph. aureus, S-viridans
17MICTEDA and OAESScefuroxime and METCoagulase neg Staph.
Podolsky-Gondim et al. [82]201814MARSce-CT, ce-MRIEDAEXD, CRACEF, oxacillin, METPeptostreptococcus
Przybysz et al. [83]20188FARSCTNoneNANANA
Queen et al. [84]200114MARSCT, MRISDAEXD, ESS, CREBSATBNA
Reddan et al. [85]20186MARSCTNoneESSNANA
Rogers [86]194911MNANANAEXD, CRENAB. Alkaligenes faecalis
16MNANANAEXD, CRENASTE
Rogo et al. [87]20135FARSCTEDANoneMER and VANNA
Russ et al. [88]202211MI ce-CTEDAESS, CRACEF, VAN, METS. anginosus
Sabatiello et al. [89]201015MARSce-CTSDA, BANAcefotaxime, CLIPeptostreptococcus, Fusobacterium
Sade et al. [90]201612MFARSce-MRIBANANANA
Salomão et al. [91]201411FCRS ce-CTEDAEXD, CRABSATBSTE
9MCRSce-CTEDANoneBSATBS. aureus
14MFARSce-CTEDA, SDAEXD, CRABSATBS. pyogenes
12MTce-CTEDAEXD, CRABSATBS. pyogenes
12MCRSce-CTEDAEXD, CRABSATBSTE
13MTce-CTEDA, fistulaEXD, CRABSATBSTE
Sharma et al. [4]20178FFARSCT, ce-MRIEDAESS, CRABSATBS. intermedius
Shehu et al. [92]200810FARSCTSDAEXD, CRABSATBNA
Shemesh et al. [93]201511MNAce-CTNoneNANANA
Sheth et al. [94]201815MFBce-CTSDAESS, CRAempirical: CEF, VAN, TAZO
AC: MER, MET
F. necrophorum
17MFARSce-CT, ce-MRISDA, SSSTCRACEF, CLI, VANF. necrophorum
14MARSce-CTEDA, PNC, CERCRACEF, VAN, METF. necrophorum, S. constellatum
Silva et al. [95]202216FARSCT, ce-MRISDA, BACRACEF, METNone
Stark et al. [96]201614MFARSce-CTNoneEXD, ESSempirical: flucloxacillin
AC: CLI, RIF
Staph. aureus
Stoddard et al. [97]201913MFARSce-MRIEDACRACEF, VAN, METStaph. aureus
Strony et al. [98]20074MARSce-CTEDAEXD, CRACEF, VAN, METS. viridans
Sugiyama et al. [99]201617MARSce-CT, ce-MRIEDA, PNCEXD, ESSCEF, METPeptostreptococcus, Collinsella aerofaciens, Staph. lugdunensis
Suwan et al. [100]20128FARSCTEDA EXD, ESS, CREVAN, cefotaxime, MET, then AMPSS. constellatus, F. necrophorum
Tibesar et al. [101]202115MARSce-CTPSCEXD, ESSCEF, VAN, METS. intermedius
Tsai et al. [102]201014MARSce-CTSSSTEXD, ESS, CRABSATBF. nucleatum
13MTce-CTSDA, BACRABSATBVeillonella sp., Peptostreptococcus micros, F. nucleatum, S. viridans, Eikenella corrodens
15MCRSce-CTSDA EXD, ESS, CRABSATBPeptostreptococcus micros; Coagulase neg Staph.
12MCRSce-CTSDAESS, CRABSATBCoagulase neg Staph., Prevotella sp.
9FAPce-CTSDACRE, fistula repairBSATBP. aeruginosa
13MARSce-CTEDA, PNC, SDAEXD, ESS, CRACEF, VAN, then penicillin GS. constellatus, Beta-hemolytic non-group A streptococci
Tudor et al. [103]198116MTCTEDAEXD, CRAnafcillin, gentamicin, then AMONA
Urík et al. [104]20156MARSce-CTEDA, MENEXDCEF, CLI, oral ketoconazoleSTE
Vadiee et al. [105]202312FIBCT, ce-MRIEDACRAceftazidime, VAN, METPolybacterial
van der Poel et al. [106]20167FT ce-CT, ce-MRISDA, SSSTESS, CREpenicillinS. intermedius
10FARSce-CT, ce-MRINoneESSAMOCCommensale flora
12FARSce-CT, ce-MRIEDAESS, CREAMOC, then penicillin, METS. constellatus
13MARSce-CT, ce-MRINoneNoneAMOCStreptococcus
17MARSce-CT, ce-MRIEDAESS, CREpenicillin, METS. intermedius
Vanderveken et al. [107]20125MARSce-CTEDAEXD, CRAAMOCSTE
Vaphiades et al. [108]202310MARSce-MRIEDA, SSST, MENEXD, CRABSATBNA
Verma et al. [109]202114MARSce-CTEDAEXD, ESS, CRACEFStreptococcus
Verma et al. [110]201815MARSce-CTNoneESSCEF, VAN, METNA
12MAFRSCTEDAESSitraconazoleNA
12FARSCTNoneESSBSATBSTE
Weinberg et al. [111]200511FARSce-CTNoneESScefotaxime, VAN, METGroup C Beta Streptococcus
Wu et al. [112]200912FAPce-CTNoneEXDceftazidime and gentamicinP. aeruginosa
Our case 202412MARSce-CT, ce-MRIEDAESS, CRAceftazidime, VAN, METS. intermedius
Abbreviations: AC = after culture; AFRS = allergic fungal rhinosinusitis; AMO = amoxicillin; AMOC = amoxicillin/clavulanate; AMP = ampicillin; AMPS = ampicillin/sulbactam; AP = acupuncture; ARS = acute pansinusitis; BA = brain abscess; BSATB = IV broad-spectrum antibiotics; ce-CT = contrast-enhanced computed tomography; ce-MRI = contrast-enhanced magnetic resonance imaging; CEF = ceftriaxon; CER = cerebritis; CLI = clindamycin; CRA = craniotomy; CRE = craniectomy; CRS = chronic rhinosinusitis; CST = cavernous sinus thrombosis; EDA = epidural abscess; ESS = Endoscopic Sinus Surgery; EXD = external drainage; F = female; FARS = frontal acute rhinosinusitis; FB = foreign body; FR = full recovery; I = influenza; IB = insect bite; LEV = levofloxacin; M = male; MAS = mastoiditis; MEN = meningitis; MER = meropenem; MET = metronidazole; NA = not available; OA = orbital abscess; OC = orbital cellulitis; PNC = pneumocephalus; PSC = preseptal cellulitis; RIF = rifampicin; S = streptococcus; SEP = septicemia; SD = scuba diving; SDA = subdural abscess; SSST = superior sagittal sinus thrombosis; Staph = staphylococcus; STE = sterile; T = trauma; TAZO = piperacillin/tazobactam; VAN = vancomycin; VOR = voriconazole.
Table 2. Demographic data and etiologies of studies included in the systematic review.
Table 2. Demographic data and etiologies of studies included in the systematic review.
Demographic DataN (Range)%
Patients184
Sex124M/54F/6NA
Age12.06 ± 3.29
(1.92–18)
Year of publication1949–2023
Etiology
Acute rhinosinusitis12869.56
Frontal acute rhinosinusitis2211.95
Chronic rhinosinusitis63.27
Trauma126.52
Allergic fungal rhinosinusitis10.55
Acupuncture21.08
Insect bite10.55
Influenza21.08
Mastoiditis10.55
Foreign body21.08
Scuba diving10.55
Septicemia10.55
Not available52.71
Abbreviations: M = male; F = female; NA = not available.
Table 3. Pathogens cultured from Pott’s Puffy Tumor.
Table 3. Pathogens cultured from Pott’s Puffy Tumor.
Pathogens CulturedN%
Streptococcus intermedius2511.96
Streptococcus pyogenes104.78
Peptostreptococcus104.78
Streptococcus milleri94.30
Streptococcus anginosus83.82
Streptococcus constellatus73.35
Streptococcus viridans41.91
Streptococcus pneumoniae41.91
Other Streptococcus species83.82
Staphylococcus aureus104.78
Staphylococcus Epidermidis41.91
Coagulase neg Staph.31.43
Other Staphylococcus species31.43
Pseudomonas aeruginosa31.43
Escherichia Coli20.95
Fusobacterium necrophorum62.87
Other Fusobacterium species62.87
Other2110.05
Not available3617.22
Sterile3014.35
Table 4. Medical treatment of Pott’s Puffy Tumor.
Table 4. Medical treatment of Pott’s Puffy Tumor.
Medical TreatmentN%
Ceftriaxone6820.73
Metronidazole6820.73
Vancomycin329.75
Clindamycin206.09
Ampicillin-sulbactam123.65
Amoxicillin-clavulanate92.74
Meropenem72.13
Cefotaxime72.13
Ceftazidime61.82
Gentamycin41.22
Rifampicin30.91
Flucloxacillin30.91
Cefuroxime30.91
Piperacillin-tazobactam20.61
Levofloxacin20.61
Benzylpenicillin20.61
Oxacillin20.61
Amoxicillin 20.61
Voriconazole10.30
Ampicillin 10.30
Beta-lattamic ndd72.13
Cephalosporin ndd41.22
Other82.44
IV broad-spectrum antibiotics4313.11
Not available123.65
Table 5. Complications associated with Pott’s Puffy Tumor.
Table 5. Complications associated with Pott’s Puffy Tumor.
Intracranial ComplicationsN%
Epidural abscess9242.59
Subdural abscess3717.12
Brain abscess125.55
Superior sagittal sinus thrombosis146.48
Pneumocephalus31.39
Fistula41.85
Cerebritis73.24
Meningitis73.24
Cavernous sinus thrombosis10.46
Not available20.92
None3717.13
Table 6. Correlation of demographics and clinical details findings between PPT patients with and without intracranial complications.
Table 6. Correlation of demographics and clinical details findings between PPT patients with and without intracranial complications.
Intracranial
Complications (131 Cases)
No Intracranial Complications
(53 Cases)
p Value
AgeMedian (IQR)12.00 (9–14)12.00 (10–14)0.865
SexMale34 (66.7%)88 (70.4%)0.626
Female17 (33.3%)37 (29.6%)
ImagingTC39 (78.0%)64 (57.1%)0.039
MRI2 (4.0%)9 (8.0%)
TC + MRI9 (18.0%)39 (34.8%)
Surgery typeExternal15 (34.1%)25 (20.7%)<0.0001
Endoscopic14 (31.8%)12 (9.9%)
Combined15 (34.1%)84 (69.4%)
PathogenGram+20 (76.9%)69 (82.1%)0.569
Gram-2 (7.7%)8 (9.5%)
Other4 (15.4%)7 (8.3%)
CultureSingle pathogen21 (72.4%)66 (70.2%)0.820
Multiple pathogens8 (27.6%)28 (29.8%)
Abbreviation: IQR = interquartile range.
Table 7. Surgical treatment of Pott’s Puffy Tumor.
Table 7. Surgical treatment of Pott’s Puffy Tumor.
Type of SurgeryN%
External drainage2111.41
Endoscopic Sinus Surgery2815.21
Craniotomy179.23
External drainage + Endoscopic Sinus Surgery189.78
External drainage + craniotomy2111.41
Endoscopic Sinus Surgery + craniotomy2815.21
External drainage + Endoscopic Sinus Surgery + craniotomy1910.32
Craniectomy21.08
External drainage, craniectomy63.26
Endoscopic Sinus Surgery, craniectomy42.17
External drainage + Endoscopic Sinus Surgery + craniectomy21.08
External drainage, craniotomy, Cortical Mastoidectomy10.54
Transferred to other hospital10.54
None63.26
Not available105.43
Disclaimer/Publisher’s Note: The statements, opinions and data contained in all publications are solely those of the individual author(s) and contributor(s) and not of MDPI and/or the editor(s). MDPI and/or the editor(s) disclaim responsibility for any injury to people or property resulting from any ideas, methods, instructions or products referred to in the content.

Share and Cite

MDPI and ACS Style

Daloiso, A.; Mondello, T.; Boaria, F.; Savietto, E.; Spinato, G.; Cazzador, D.; Emanuelli, E. Pott’s Puffy Tumor in Young Age: A Systematic Review and Our Experience. J. Clin. Med. 2024, 13, 6428. https://doi.org/10.3390/jcm13216428

AMA Style

Daloiso A, Mondello T, Boaria F, Savietto E, Spinato G, Cazzador D, Emanuelli E. Pott’s Puffy Tumor in Young Age: A Systematic Review and Our Experience. Journal of Clinical Medicine. 2024; 13(21):6428. https://doi.org/10.3390/jcm13216428

Chicago/Turabian Style

Daloiso, Antonio, Tiziana Mondello, Francesco Boaria, Enrico Savietto, Giacomo Spinato, Diego Cazzador, and Enzo Emanuelli. 2024. "Pott’s Puffy Tumor in Young Age: A Systematic Review and Our Experience" Journal of Clinical Medicine 13, no. 21: 6428. https://doi.org/10.3390/jcm13216428

APA Style

Daloiso, A., Mondello, T., Boaria, F., Savietto, E., Spinato, G., Cazzador, D., & Emanuelli, E. (2024). Pott’s Puffy Tumor in Young Age: A Systematic Review and Our Experience. Journal of Clinical Medicine, 13(21), 6428. https://doi.org/10.3390/jcm13216428

Note that from the first issue of 2016, this journal uses article numbers instead of page numbers. See further details here.

Article Metrics

Back to TopTop