Imaging in Large Vessel Vasculitis—A Narrative Review
Abstract
1. Introduction
2. Classification and Nomenclature
3. Epidemiology
4. Pathophysiology and Genetics
5. Clinical Presentation
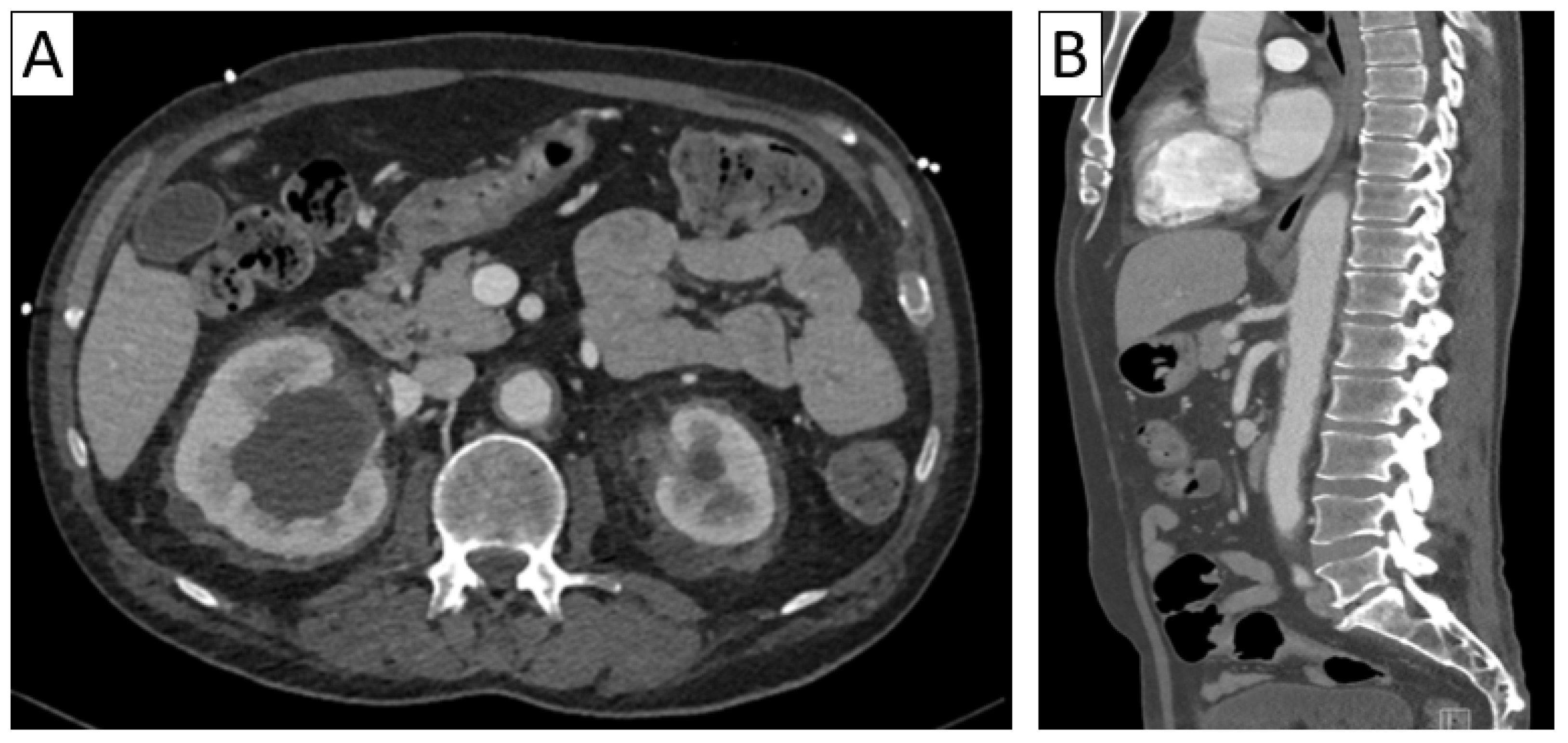
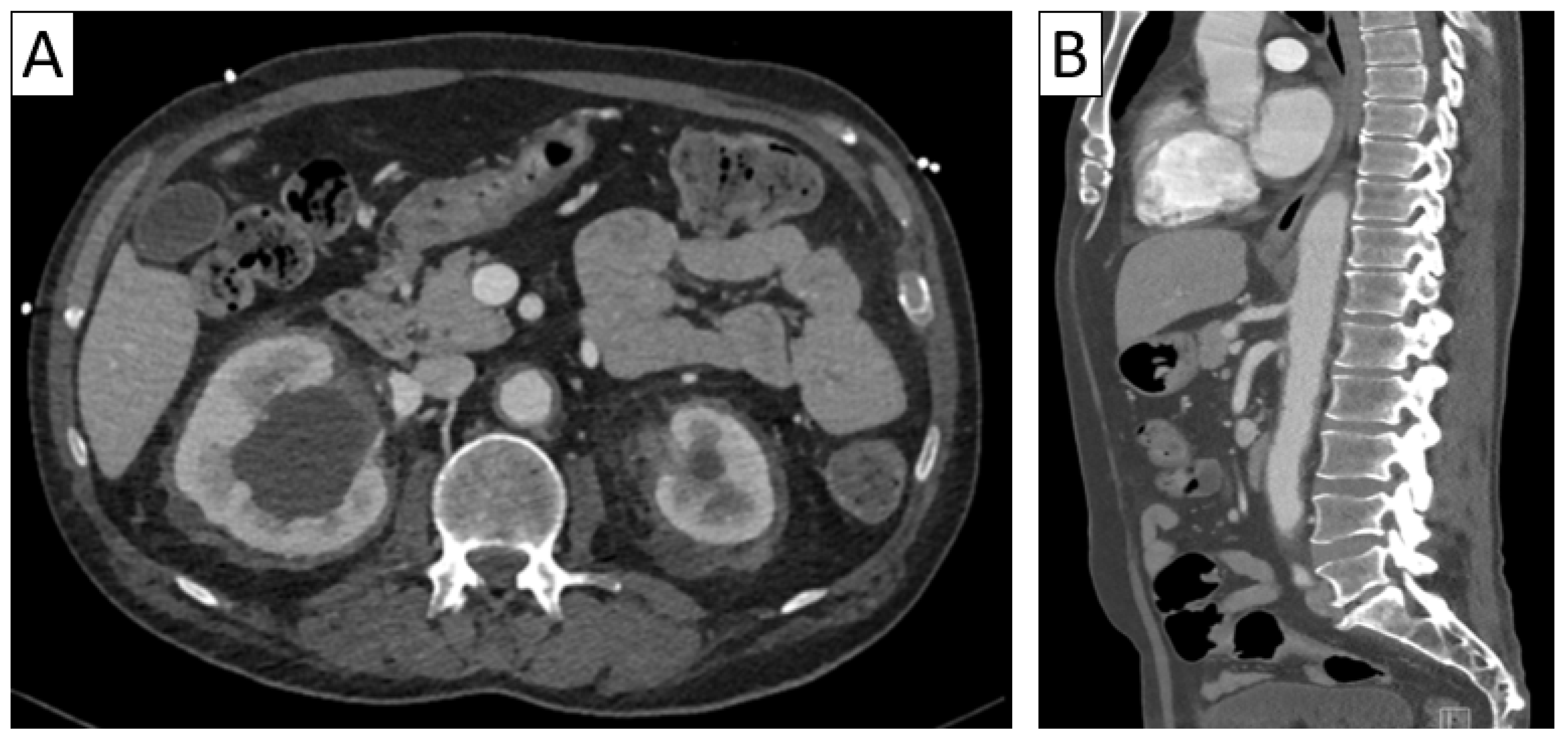
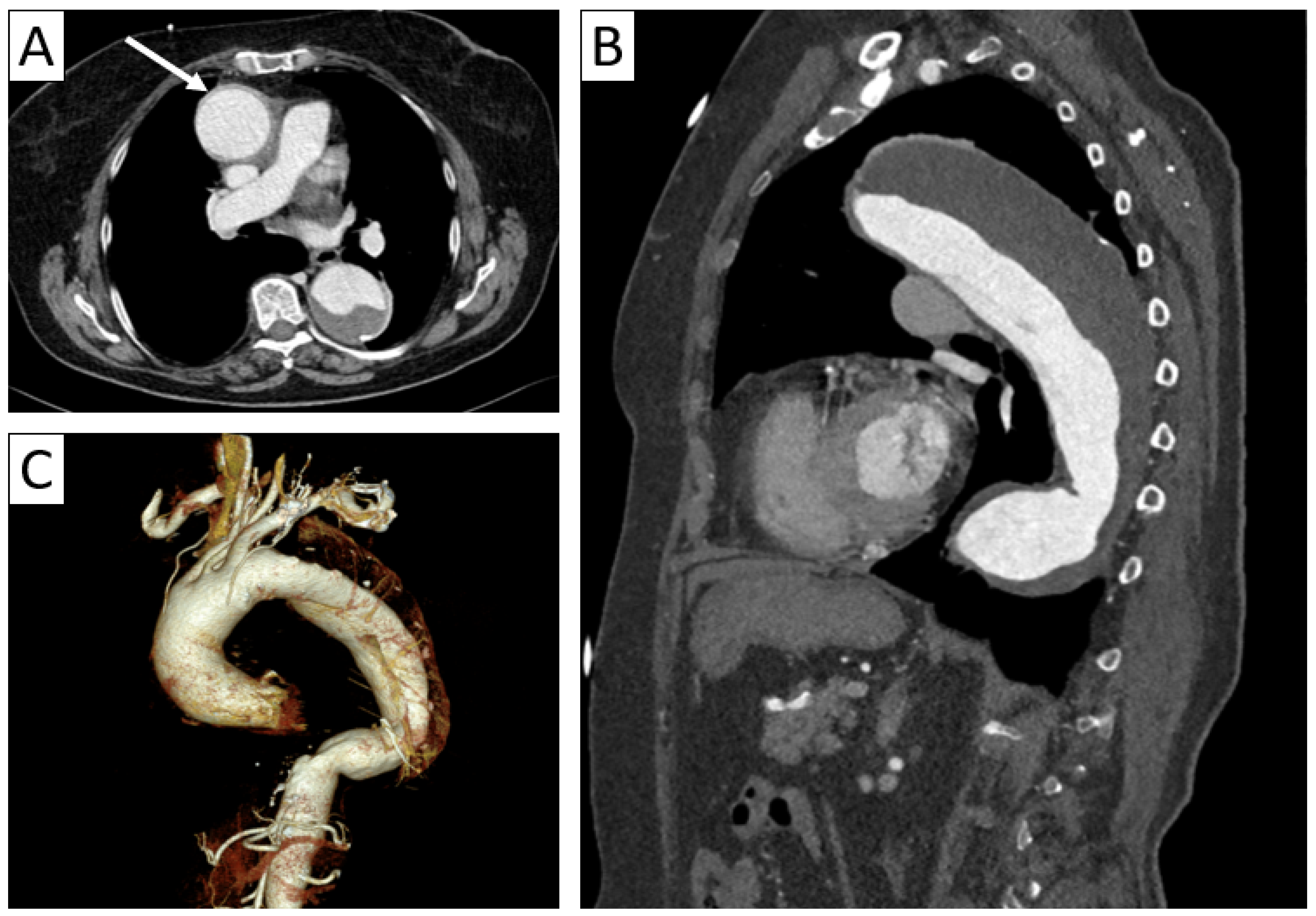
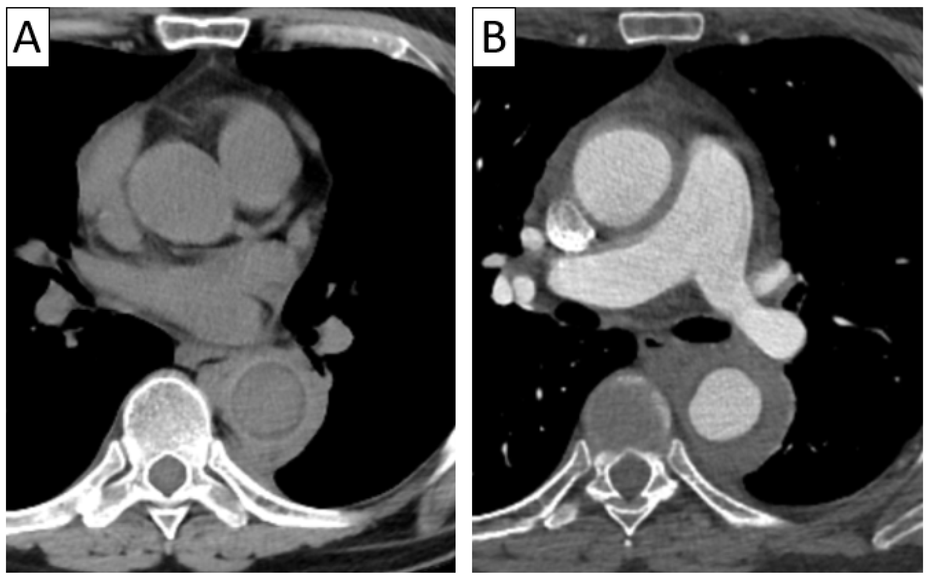
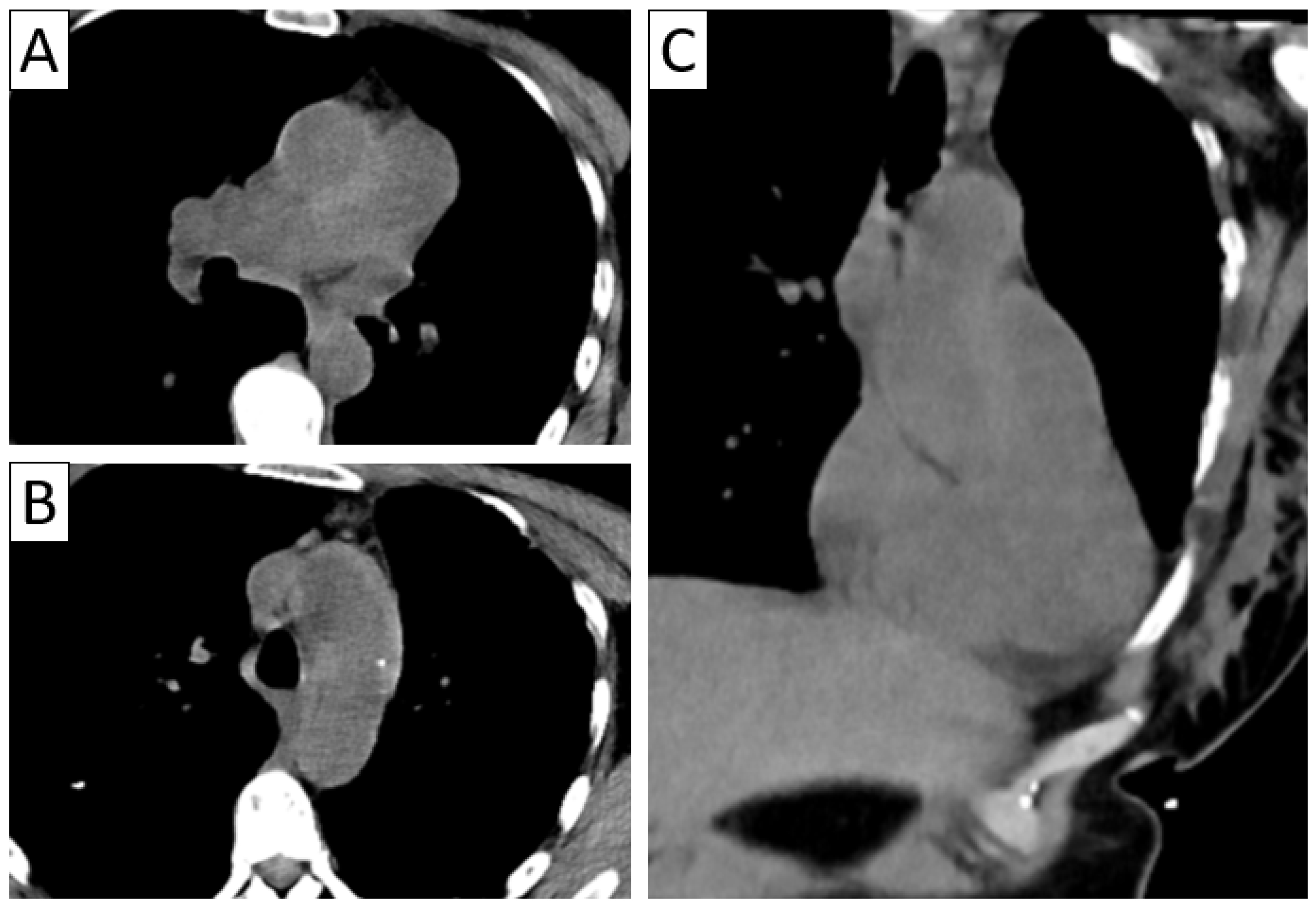
6. Imaging Findings
6.1. Imaging Modalities
- Multislice CT scanner is preferred;
- Collimation should be 0.6 mm, tube should be 120 kV;
- Tube current time product (mAs) should be determined by automatic dose modulation;
- Reconstruction slice thickness should be 0.5–1.0 mm;
- Injection should be adapted to the bodyweight: 60–120 mL of non-ionic iodinated contrast agent (>/=350 mg/mL) using a power injector (>/=4 mL/s);
- Arterial phase: bolus tracking method (threshold of 100 HU), ECG triggering;
- Venous phase: acquisition 50 s after finishing the arterial phase;
- Additional delayed phase—optional;
6.2. Imaging Findings in Primary LVV
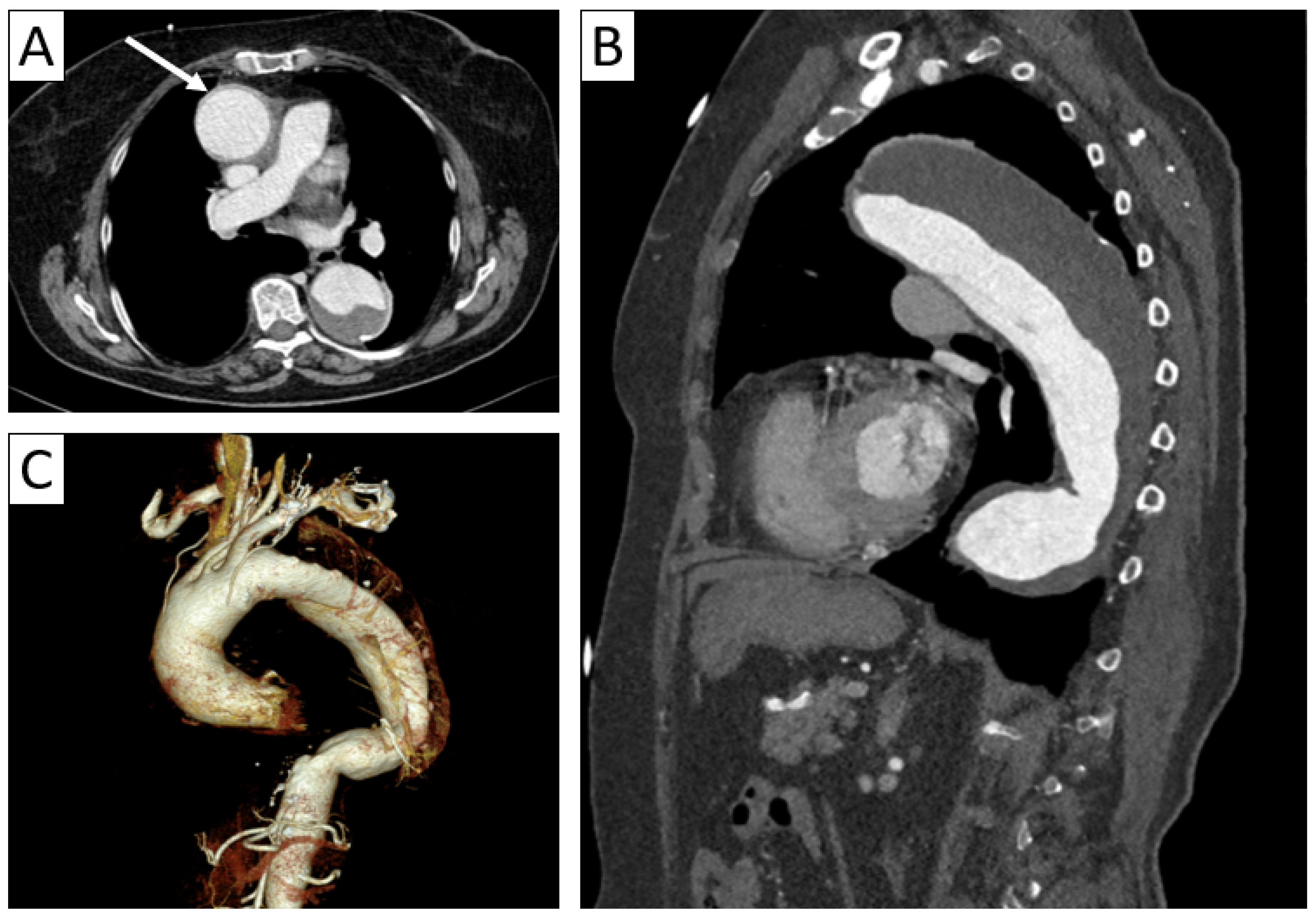
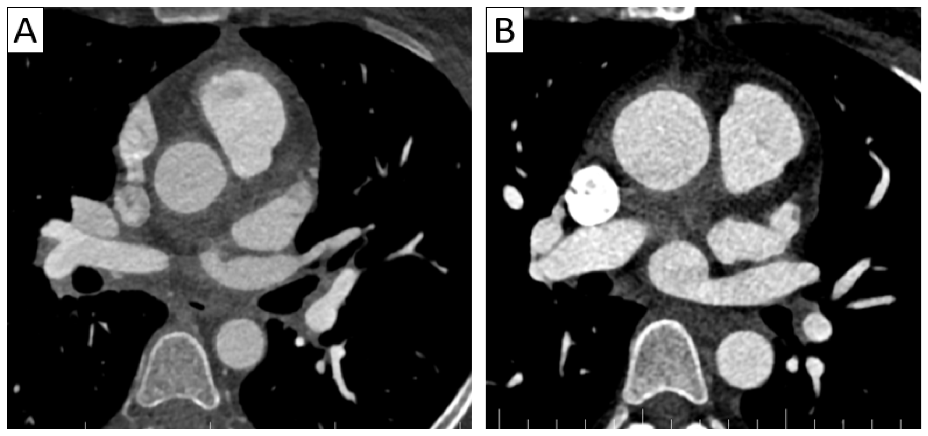
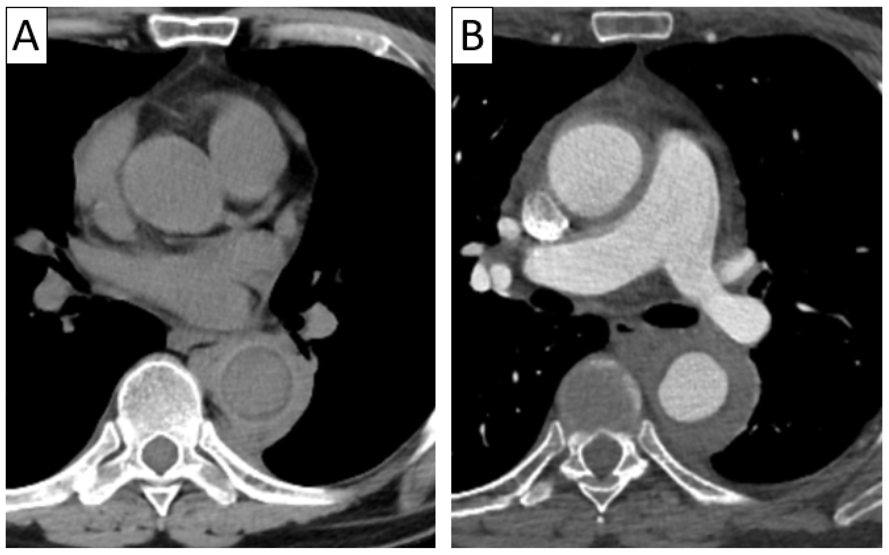
6.2.1. Giant Cell Arteritis
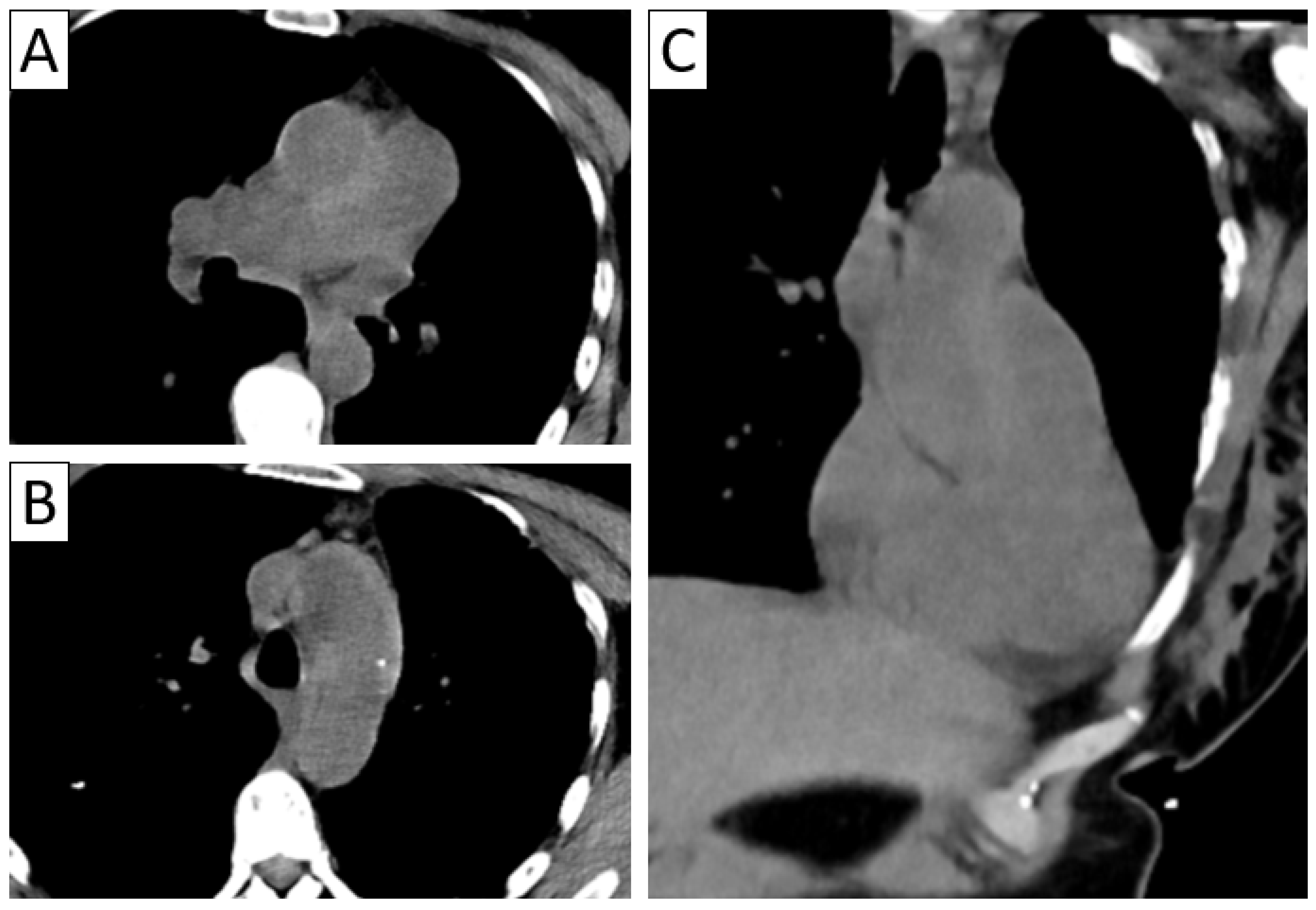
6.2.2. Takayasu Arteritis
6.3. Pulmonary Involvement of LVV
6.3.1. Behcet’s Disease
6.3.2. Hughes–Stovin Syndrome
6.3.3. Takayasu Arteritis
6.4. Differential Diagnosis and Mimickers
7. Multidisciplinary Approach to Large Vessel Vasculitis Management
8. Future Directions
9. Conclusions
Author Contributions
Funding
Conflicts of Interest
References
- Langford, C.A. Vasculitis. J. Allergy Clin. Immunol. 2010, 125, S216–S225. [Google Scholar] [CrossRef] [PubMed]
- Pugh, D.; Karabayas, M.; Basu, N.; Cid, M.C.; Goel, R.; Goodyear, C.S.; Grayson, P.C.; McAdoo, S.P.; Mason, J.C.; Owen, C.; et al. Large vessel vasculitis. Nat. Rev. Dis. Prim. 2022, 7, 93. [Google Scholar] [CrossRef] [PubMed]
- Shavit, E.; Alavi, A.; Sibbald, R.G. Vasculitis—What Do We Have to Know? A Review of Literature. Int. J. Low. Extrem. Wounds 2018, 17, 218–226. [Google Scholar] [CrossRef]
- Jennette, J.C.; Falk, R.J.; Bacon, P.A.; Basu, N.; Cid, M.C.; Ferrario, F.; Flores-Suarez, L.F.; Gross, W.L.; Guillevin, L.; Hagen, E.C.; et al. 2012 Revised International Chapel Hill Consensus Conference Nomenclature of Vasculitides. Arthritis Rheum. 2013, 65, 1–11. [Google Scholar] [CrossRef]
- Litmanovich, D.E.; Yıldırım, A.; Bankier, A.A. Insights into imaging of aortitis. Insights Imaging 2012, 3, 545–560. [Google Scholar] [CrossRef]
- Saadoun, D.; Vautier, M.; Cacoub, P. Medium- and Large-Vessel Vasculitis. Circulation 2021, 143, 267–282. [Google Scholar] [CrossRef]
- Aghayev, A. Multimodality Imaging of Large-Vessel Vasculitis, From the AJR Special Series on Inflammation. Am. J. Roentgenol. 2022, 218, 213–222. [Google Scholar] [CrossRef] [PubMed]
- Younger, D.S. Giant Cell Arteritis. Neurol. Clin. 2019, 37, 335–344. [Google Scholar] [CrossRef]
- Carmona, F.D.; Martín, J.; González-Gay, A.M. Genetics of vasculitis. Curr. Opin. Rheumatol. 2015, 27, 10–17. [Google Scholar] [CrossRef]
- Kurokawa, M.S.; Suzuki, N. Behcet’s disease. Clin. Exp. Med. 2004, 4, 10–20. [Google Scholar] [CrossRef]
- Schäfer, V.S.; Jin, L.; Schmidt, W.A. Imaging for Diagnosis, Monitoring, and Outcome Prediction of Large Vessel Vasculitides. Curr. Rheumatol. Rep. 2020, 22, 76. [Google Scholar] [CrossRef] [PubMed]
- Dejaco, C.; Ramiro, S.; Bond, M.; Bosch, P.; Ponte, C.; Mackie, S.L.; Bley, T.; Blockmans, D.; Brolin, S.; Bolek, E.C.; et al. EULAR recommendations for the use of imaging in large vessel vasculitis in clinical practice: 2023 update. Ann. Rheum. Dis. 2024, 83, 741–751. [Google Scholar] [CrossRef] [PubMed]
- Bois, J.P.; Anand, V.; Anavekar, N.S. Detection of inflammatory aortopathies using multimodality imaging. Circ. Cardiovasc. Imaging 2019, 12, e008471. [Google Scholar] [CrossRef]
- Guggenberger, K.V.; Bley, T.A. Imaging in Vasculitis. Curr. Rheumatol. Rep. 2020, 22, 34. [Google Scholar] [CrossRef]
- Lariviere, D.; Benali, K.; Coustet, B.; Pasi, N.; Hyafil, F.; Klein, I.; Chauchard, M.; Alexandra, J.-F.; Goulenok, T.; Dossier, A.; et al. Positron emission tomography and computed tomography angiography for the diagnosis of giant cell arteritis: A real-life prospective study. Medicine 2016, 95, e4146. [Google Scholar] [CrossRef]
- Salvarani, C.; Cantini, F.; Boiardi, L.; Hunder, G.G. Polymyalgia Rheumatica and Giant-Cell Arteritis. N. Engl. J. Med. 2002, 347, 261–271. [Google Scholar] [CrossRef]
- Broncano, J.; Vargas, D.; Bhalla, S.; Cummings, K.W.; Raptis, C.A.; Luna, A. CT and MR imaging of cardiothoracic vasculitis. Radiographics 2018, 38, 997–1021. [Google Scholar] [CrossRef]
- Koster, M.J.; Matteson, E.L.; Warrington, K.J. Large-vessel giant cell arteritis: Diagnosis, monitoring and management. Rheumatology 2018, 57, ii32–ii42. [Google Scholar] [CrossRef]
- García-Martínez, A.; Hernández-Rodríguez, J.; Arguis, P.; Paredes, P.; Segarra, M.; Lozano, E.; Nicolau, C.; Ramírez, J.; Lomeña, F.; Josa, M.; et al. Development of aortic aneurysm/dilatation during the followup of patients with giant cell arteritis: A cross-sectional screening of fifty-four prospectively followed patients. Arthritis Rheum. (Arthritis Care Res.) 2008, 59, 422–430. [Google Scholar] [CrossRef]
- Restrepo, C.S.; Ocazionez, D.; Suri, R.; Vargas, D. Aortitis: Imaging spectrum of the infectious and inflammatory conditions of the aorta. Radiographics 2011, 31, 435–451. [Google Scholar] [CrossRef]
- Hur, J.H.; Chun, E.J.; Kwag, H.J.; Yoo, J.Y.; Kim, H.Y.; Kim, J.J.; Lee, K.W. CT Features of Vasculitides Based on the 2012 International Chapel Hill Consensus Conference Revised Classification. Korean J. Radiol. 2017, 18, 786–798. [Google Scholar] [CrossRef] [PubMed]
- Kerr, G.S.; Hallahan, C.W.; Giordano, J.; Leavitt, R.Y.; Fauci, A.S.; Rottem, M.; Hoffman, G.S. Takayasu Arteritis. Ann. Intern. Med. 1994, 120, 919–929. [Google Scholar] [CrossRef]
- Katabathina, V.S.; Restrepo, C.S. Infectious and Noninfectious Aortitis: Cross-Sectional Imaging Findings. Semin. Ultrasound CT MRI 2012, 33, 207–221. [Google Scholar] [CrossRef] [PubMed]
- Hartlage, G.R.; Palios, J.; Barron, B.J.; Stillman, A.E.; Bossone, E.; Clements, S.D.; Lerakis, S. Multimodality Imaging of Aortitis. J. Am. Coll. Cardiol. Img. 2014, 7, 605–619. [Google Scholar] [CrossRef]
- Castañer, E.; Alguersuari, A.; Gallardo, X.; Andreu, M.; Pallardó, Y.; Mata, J.M.; Ramírez, J. When to suspect pulmonary vasculitis: Radiologic and clinical clues. Radiographics 2010, 30, 33–53. [Google Scholar] [CrossRef]
- Palmucci, S.; Inì, C.; Cosentino, S.; Fanzone, L.; Di Pietro, S.; Di Mari, A.; Galioto, F.; Tiralongo, F.; Vignigni, G.; Toscano, S.; et al. Pulmonary vasculitides: A radiological review emphasizing parenchymal HRCT features. Diagnostics 2021, 11, 2318. [Google Scholar] [CrossRef]
- Marten, K.; Schnyder, P.; Schirg, E.; Prokop, M.; Rummeny, E.J.; Engelke, C. Pattern-Based Differential Diagnosis in Pulmonary Vasculitis Using Volumetric CT. Am. J. Roentgenol. 2005, 184, 720–733. [Google Scholar] [CrossRef]
- Hiller, N.; Lieberman, S.; Chajek-Shaul, T.; Bar-Ziv, J.; Shaham, D. Thoracic manifestations of Behçet disease at CT. Radiographics 2004, 24, 801–808. [Google Scholar] [CrossRef]
- Khalid, U.; Saleem, T. Hughes-Stovin Syndrome. Orphanet J. Rare Dis. 2011, 6, 15. [Google Scholar] [CrossRef]
- Wu, M.T.; Wang, Y.C.; Huang, Y.L.; Chang, R.S.; Li, S.C.; Yang, P.; Wu, T.-H.; Chiou, K.-R.; Huang, J.-S.; Liang, H.-L.; et al. Intramural blood pools accompanying aortic intramural hematoma: CT appearance and natural course. Radiology 2011, 258, 705–713. [Google Scholar] [CrossRef]
- Prescott-Focht, J.A.; Martinez-Jimenez, S.; Hurwitz, L.M.; Hoang, J.K.; Christensen, J.D.; Ghoshhajra, B.B.; Abbara, S. Ascending thoracic aorta: Postoperative imaging evaluation. Radiographics 2013, 33, 73–85. [Google Scholar] [CrossRef] [PubMed]
- Nienhuis, P.H.; van Praagh, G.D.; Glaudemans, A.W.J.M.; Brouwer, E.; Slart, R.H.J.A. A review on the value of imaging in differentiating between large vessel vasculitis and atherosclerosis. J. Pers. Med. 2021, 11, 236. [Google Scholar] [CrossRef] [PubMed]
- Moyano, J.C.; Magarolas, A.M.; Castañer González, E.; Gallardo Cistaré, X.; Castan, E.B. Nonurgent aortic disease: Clinical-radiological diagnosis of aortitis. Radiología 2013, 55, 469–482. [Google Scholar]
- Dion, E.; Graef, C.; Haroche, J.; Renard-Penna, R.; Cluzel, P.; Wechsler, B.; Grenier, P.A. Imaging of Thoracoabdominal Involvement in Erdheim-Chester Disease B A. Am. J. Roentgenol. 2004, 183, 1253–1260. [Google Scholar] [CrossRef]
- Castañer, E.; Gallardo, X.; Ballesteros, E.; Andreu, M.; Pallardó, Y.; Mata, J.M.; Riera, L. CT diagnosis of chronic pulmonary thromboembolism. Radiographics 2009, 29, 31–50. [Google Scholar] [CrossRef]
- van der Geest, K.S.M.; Gheysens, O.; Gormsen, C.L.; Glaudemans, A.W.J.M.; Tsoumpas, C.; Brouwer, E.; Nienhuis, P.H.; van Praagh, G.D.; Slart, R.H. Advances in PET Imaging of Large Vessel Vasculitis: An Update and Future Trends. Semin. Nucl. Med. 2024, 54, 753–760. [Google Scholar] [CrossRef]
- van Praagh, G.D.; Nienhuis, P.H.; Reijrink, M.; Davidse, M.E.J.; Duff, L.M.; Spottiswoode, B.S.; Mulder, D.J.; Prakken, N.H.J.; Scarsbrook, A.F.; Morgan, A.W.; et al. Automated multiclass segmentation, quantification, and visualization of the diseased aorta on hybrid PET/CT–SEQUOIA. Med. Phys. 2024, 51, 4297–4310. [Google Scholar] [CrossRef]
- Wasserthal, J.; Breit, H.-C.; Meyer, M.T.; Pradella, M.; Hinck, D.; Sauter, A.W.; Heye, T.; Boll, D.T.; Cyriac, J.; Yang, S.; et al. Total Segmentator: Robust Segmentation of 104 Anatomic Structures in CT Images. Radiol. Artif. Intell. 2023, 5, e230024. [Google Scholar] [CrossRef]










| Large vessel vasculitis |
| Takayasu arteritis (TAK) |
| Giant cell arteritis (GCA) |
| Medium vessel vasculitis |
| Polyarteritis nodosa |
| Kawasaki disease |
| Small vessel vasculitis |
| Anti-neutrophil cytoplasmic antibody (ANCA)-associated vasculitis |
| Microscopic polyangiitis |
| Granulomatosis with polyangiitis (Wegener granulomatosis) |
| Eosinophilic granulomatosis with polyangiitis (Churg–Strauss syndrome) |
| Immune complex small vessel vasculitis |
| Anti-glomerular basement membrane (anti-GMB) disease |
| Cryoglobulinemic vasculitis |
| IgA vasculitis (Henoch–Schönlein purpura) |
| Hypocomplementemic urticarial vasculitis (anti-C1q vasculitis) |
| Variable vessel vasculitis |
| Behçet’s disease |
| Cogan syndrome |
| Single-organ vasculitis |
| Cutaneous leukocytoclastic angiitis |
| Cutaneous arteritis |
| Primary central nervous system vasculitis |
| Isolated aortitis |
| Others |
| Vasculitis associated with systemic disease |
| Lupus vasculitis |
| Rheumatoid vasculitis |
| Sarcoid vasculitis |
| Others |
| Vasculitis associated with probable etiology |
| Hepatitis C virus-associated cryoglobulinemic vasculitis |
| Hepatitis B virus-associated vasculitis |
| Syphilis-associated aortitis |
| Drug-associated immune complex vasculitis |
| Drug-associated ANCA–associated vasculitis |
| Cancer-associated vasculitis |
| Others |
| Imaging Modality | Advantages | Disadvantages |
|---|---|---|
| US | Easily accessible Comfortable for patients Brief acquisition time of around 15 min Suitable for fast-track clinics More cost-effective Very high resolution (up to 0.1 mm in superficial anatomical structures) Strong evidence | Assessment of the thoracic and abdominal aorta is limited Overview of involved vessels is limited |
| CTA | Comprehensive overview of the aorta and its branches Different contrast phases for assessment Clear delineation of atherosclerosis Relatively quick acquisition time | Irradiation of about 17 mSv Contrast agent usage limited by reduced kidney function |
| MRA | Identifies characteristic arterial abnormalities Excellent overview of affected arteries Simultaneous assessment of cranial and extracranial arteries Better visualization of the aorta compared to US No irradiation No iodinated contrast agents | Lower sensitivity compared to CT and US for detecting calcifications More costly than US Claustrophobia Contraindications (cardiac pacemakers or other implanted metal devices) Long acquisition time Limited expertise |
| PET/CT | Good overview of affected arteries Ability to detect differential diagnoses of LVV like infections or malignancies Potentially more sensitive than MRI in detecting disease activity Strong evidence level in LVV | Irradiation of about 25 mSv Costly procedure Not possible in elevated glucose levels Sensitivity significantly decreases after more than 3 days Atherosclerosis, especially in femoral arteries, may be mistaken for LVV |
| Primary Vasculitis | GCA | TAK |
|---|---|---|
| US | “Halo sign” (circumferential hypoechoic rim around the vessel lumen on transversal view)—temporal artery and extremity vessels Positive “compression sign” (no collapse of the inflamed vessel which is still visible after compression) | “Halo sign”—cervical and extremity vessels |
| CTA | Circumferential parietal thickening Vessel wall enhancement | Circumferential parietal thickening Vessel wall enhancement Luminal stenosis or narrowing |
| MRA | Circumferential parietal thickening Vessel wall enhancement Wall enhancement of superficial cranial arteries (on high-resolution MRI) | Circumferential parietal thickening Vessel wall enhancement Luminal stenosis or narrowing |
| PET/CT | Segmental FDG uptake of vessels equal to or more than the liver FDG uptake of shoulder/hip joints or synovium (if associated with Polymyalgia rheumatica) | Segmental FDG uptake of vessels equal to or more than liver |
Disclaimer/Publisher’s Note: The statements, opinions and data contained in all publications are solely those of the individual author(s) and contributor(s) and not of MDPI and/or the editor(s). MDPI and/or the editor(s) disclaim responsibility for any injury to people or property resulting from any ideas, methods, instructions or products referred to in the content. |
© 2024 by the authors. Licensee MDPI, Basel, Switzerland. This article is an open access article distributed under the terms and conditions of the Creative Commons Attribution (CC BY) license (https://creativecommons.org/licenses/by/4.0/).
Share and Cite
Popescu, I.; Pintican, R.; Cocarla, L.; Burger, B.; Sandu, I.; Popa, G.; Dadarlat, A.; Rancea, R.; Oprea, A.; Goicea, A.; et al. Imaging in Large Vessel Vasculitis—A Narrative Review. J. Clin. Med. 2024, 13, 6364. https://doi.org/10.3390/jcm13216364
Popescu I, Pintican R, Cocarla L, Burger B, Sandu I, Popa G, Dadarlat A, Rancea R, Oprea A, Goicea A, et al. Imaging in Large Vessel Vasculitis—A Narrative Review. Journal of Clinical Medicine. 2024; 13(21):6364. https://doi.org/10.3390/jcm13216364
Chicago/Turabian StylePopescu, Ioana, Roxana Pintican, Luminita Cocarla, Benjamin Burger, Irina Sandu, George Popa, Alexandra Dadarlat, Raluca Rancea, Alexandru Oprea, Alexandru Goicea, and et al. 2024. "Imaging in Large Vessel Vasculitis—A Narrative Review" Journal of Clinical Medicine 13, no. 21: 6364. https://doi.org/10.3390/jcm13216364
APA StylePopescu, I., Pintican, R., Cocarla, L., Burger, B., Sandu, I., Popa, G., Dadarlat, A., Rancea, R., Oprea, A., Goicea, A., Damian, L., Manea, A., Mateas, R., & Manole, S. (2024). Imaging in Large Vessel Vasculitis—A Narrative Review. Journal of Clinical Medicine, 13(21), 6364. https://doi.org/10.3390/jcm13216364

