Microvascular Decompression for Trigeminal Neuralgia Secondary to Vertebrobasilar Dolichoectasia: Review of the Literature and Illustrative Case
Abstract
1. Introduction
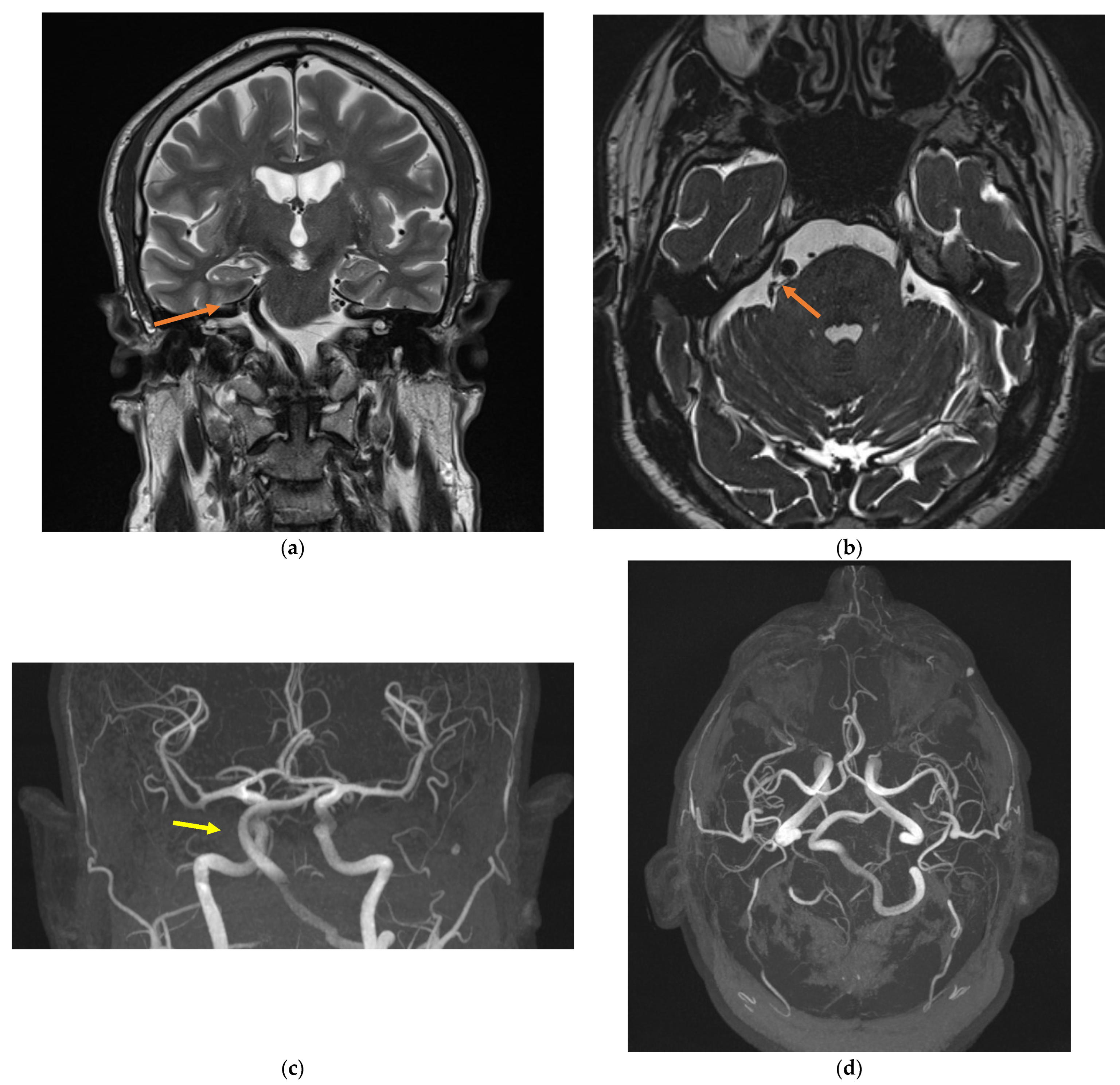
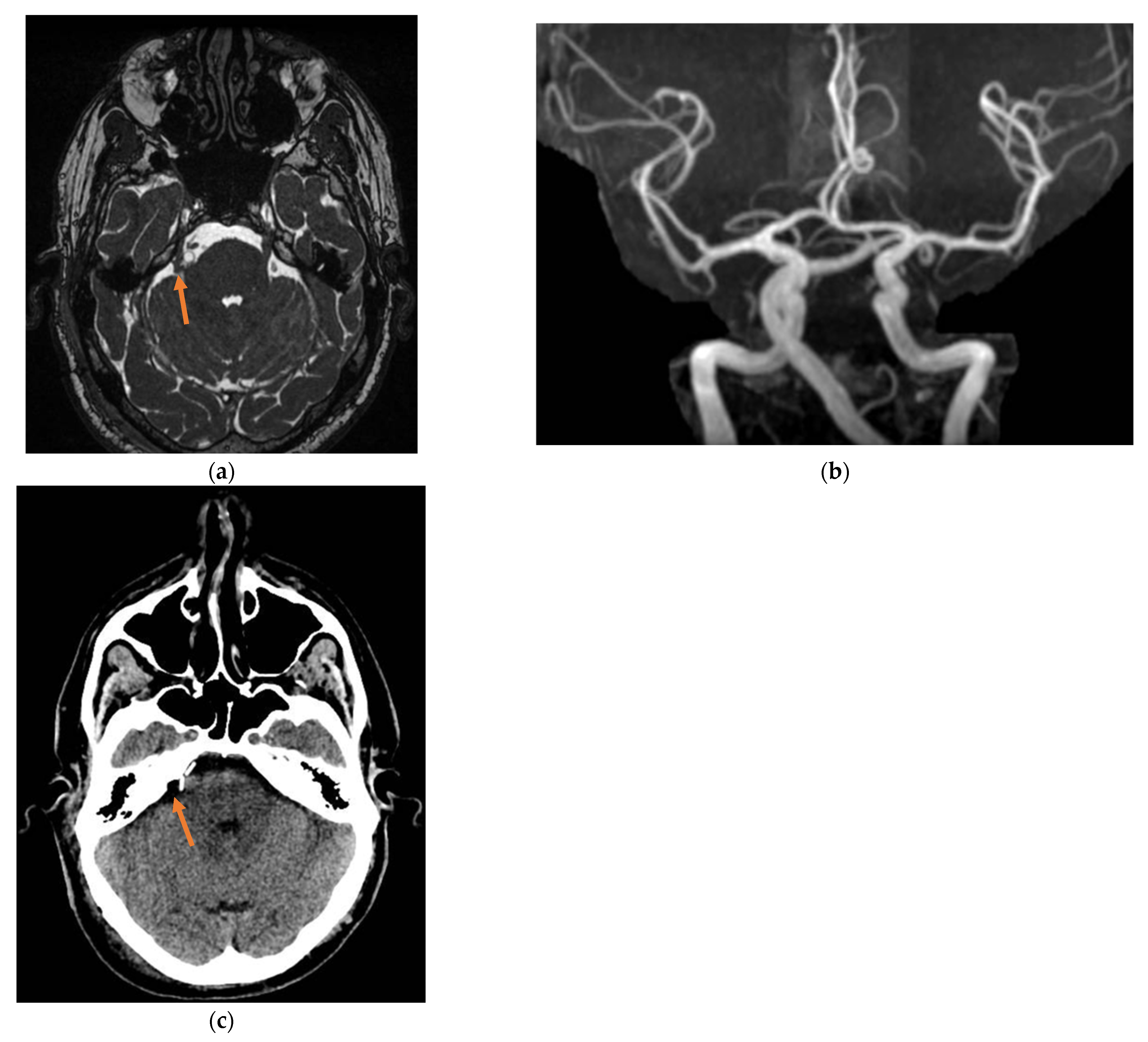
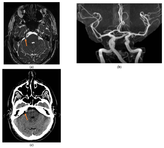
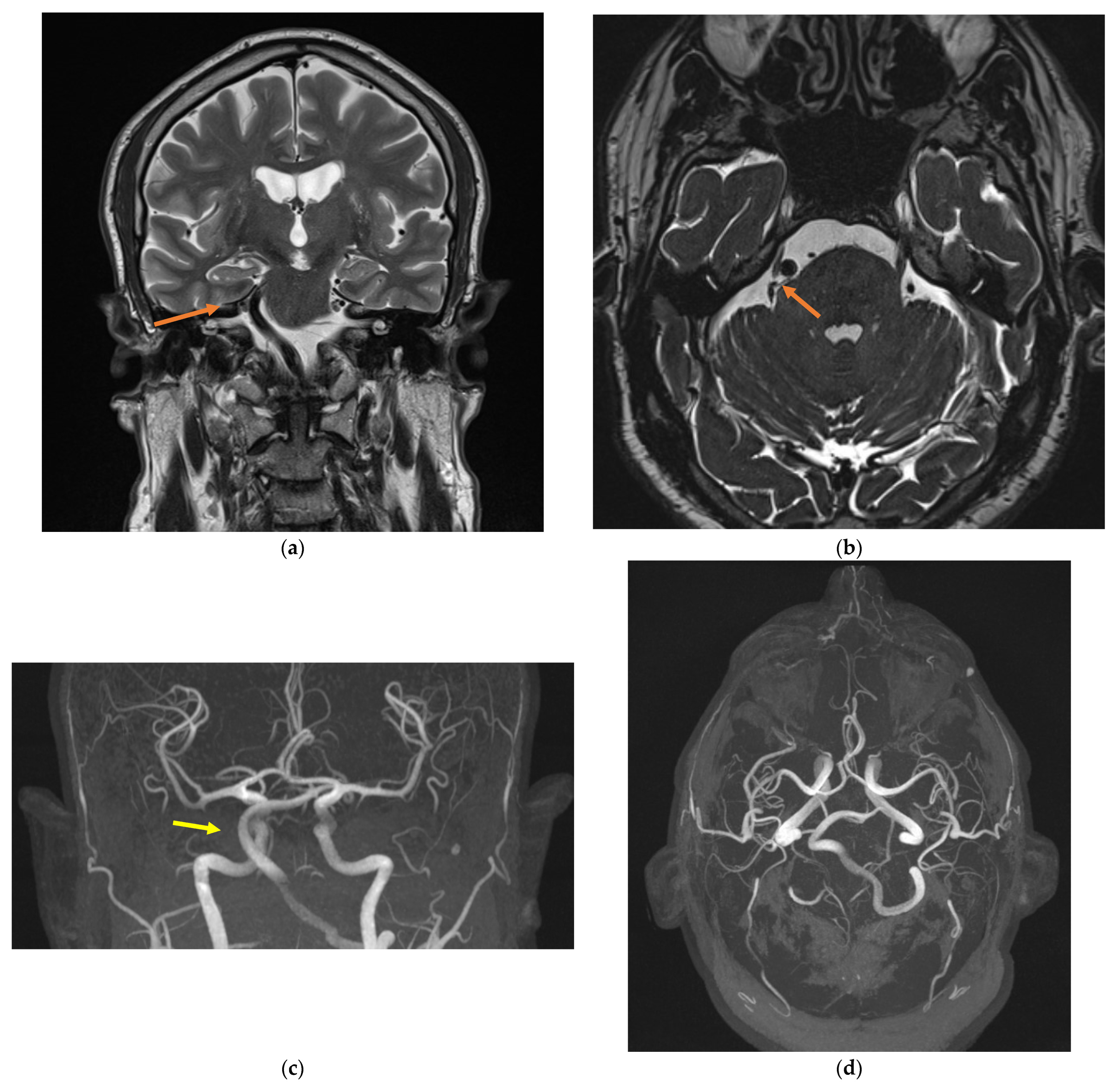
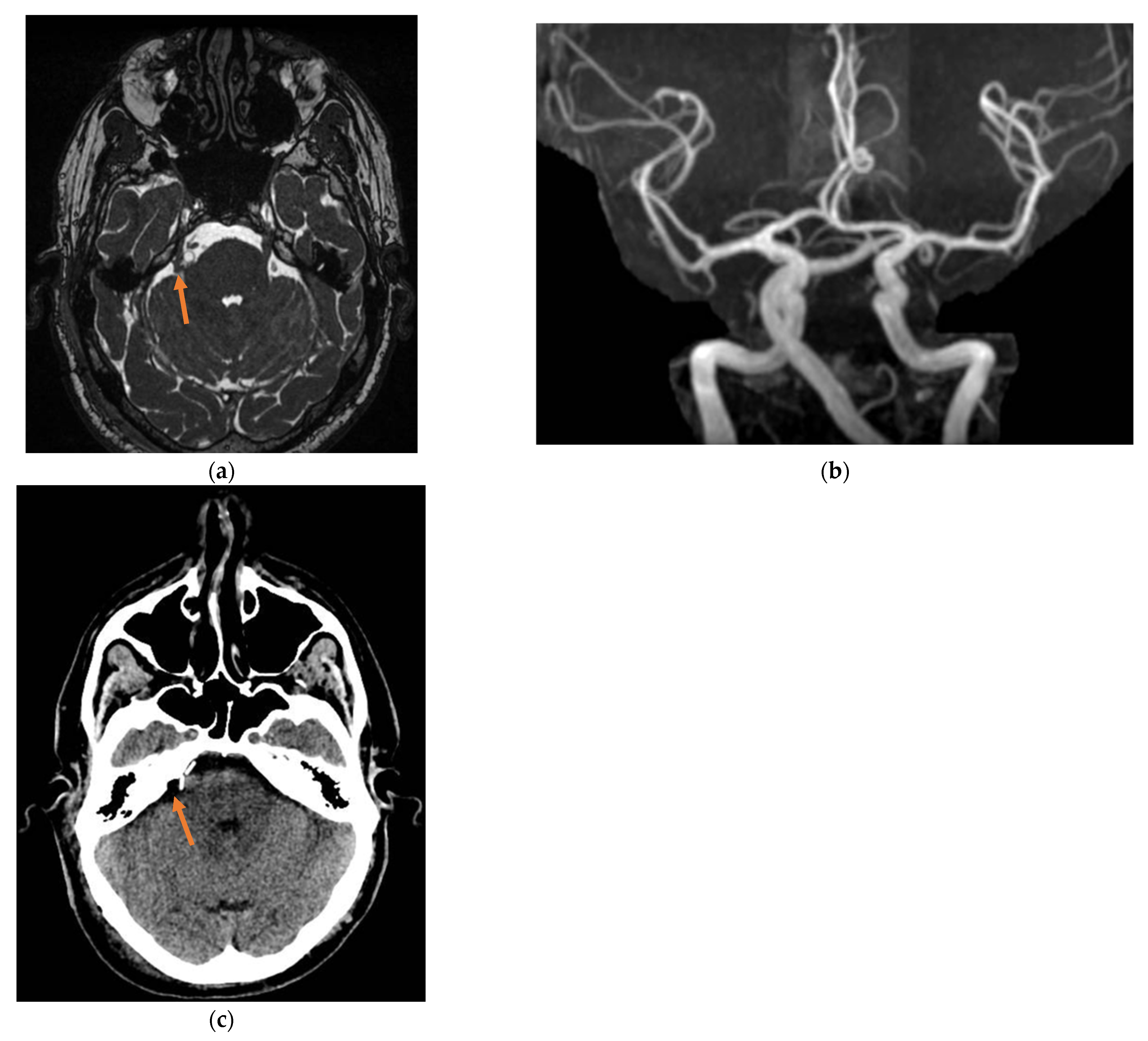
2. Case Presentation
3. Discussion
3.1. Pathophysiology, Clinical Characteristics, and Medical Treatment
3.2. Surgical Management
3.3. Interposition vs. Transposition
| Authors | Title | Publication Year | Study Design | Sample Size (M/F, Mean Age) | Type of Intervention | Operative Technique | Outcomes | Main Findings |
|---|---|---|---|---|---|---|---|---|
| Zheng et al. [7] | Trigeminal neuralgia caused by vertebrobasilar dolichoectasia: efficacy of stepwise decompression technique | 2023 | Cohort study | 61 (31/30, 59.8 y.o.) | VBA transposition (Stepwise decompression) | VBA complex was repositioned by gradually placing Teflon felts from the proximal end of the VBA to the point of vascular force, with each felt acting as a “bridge pier” | Efficacy (BNI grade I-III); pain recurrence rate (reappearance of pain or aggravation after pain relief; time > 6 months); postoperative complications rate. | Complete pain relief was achieved in 93.4% of cases; 8.2% of cases reported pain recurrence at last follow-up; most reported postoperative complications included: facial numbness (11.5%), facial palsy (8.2%), and hearing impairment (4.9%) |
| Amagasaki et al. [52] | Macrovascular Decompression with the Transposition Method Using Teflon Sling for Trigeminal Neuralgia Caused by the Vertebrobasilar Artery | 2022 | Case series | 32 (12/20, 66.3 y.o.) | VBA Transposition | A Teflon sling was applied directly to the trunk of the VBA complex, and then pulled toward the lower clivus region | Efficacy (BNI score); pain recurrence rate; duration of surgery; postoperative complications rate. | Complete pain relief was achieved in 93% of cases; 1 patient reported pain recurrence; average surgical time was 290 min; permanent cranial nerves (VI, VIII) disorders were observed in 21% of cases. |
| Inoue et al. [6] | Microvascular decompression for trigeminal neuralgia attributable to the vertebrobasilar artery: decompression technique and significance of separation from the nerve root | 2021 | Case series | 26 (13/13, 68 y.o.) | VBA Transposition | A roll-shaped Teflon was placed to relocate the VBA complex away from the nerve root. Complete separation was obtained in 13 cases (the separation group), whereas slight contact with the nerve remained in the remaining 13 cases (the contact group). | Efficacy; pain recurrence rate; postoperative complications rate. | Pain relief was achieved in 100% of cases; 3.4% of cases reported pain recurrence at the last follow-up; postoperatively 19.2% of cases reported facial numbness, and 8% hearing impairment. |
| Wang et al. [54] | The long-term clinical outcomes of microvascular decompression for treatment of trigeminal neuralgia compressed by the vertebra-basilar artery: a case series review | 2019 | Case series | 23 (9/14, 62.8 y.o.) | VBA Transposition | Roll-shaped Teflon implants were placed piece by piece between the VBA complex and the brain stem, gradually pushing the large vessels close to the skull base and away from the nerve root. Additional Teflon materials were implanted between the nerve and the vessels to prevent the vascular loop from rebounding. | Efficacy; pain recurrence rate; postoperative complications rate. | Pain relief was achieved in 96% of cases; 13% of cases reported pain recurrence at last follow-up; most reported postoperative complications included: facial numbness (17%), diplopia (17%), hearing impairment (4.3%) |
| Liu et al. [51] | Biomedical Glue Sling Technique in Microvascular Decompression for Trigeminal Neuralgia Caused by Atherosclerotic Vertebrobasilar Artery: A Description of Operative Technique and Clinical Outcomes | 2019 | Case series | 22 (9/13, 63 y.o.) | VBA Transposition | VBA complex was transposed from the trigeminal nerve using Teflon pads and then fixed on the coagulated petrous dura with biomedical glue. | Efficacy; pain recurrence rate; postoperative complications rate. | Complete pain relief was achieved in 100% of cases; pain recurrence was reported in 9% of cases; 4.5% of cases reported postoperative hearing impairment. |
| Vanaclocha et al. [35] | Is There a Safe and Effective Way to Treat Trigeminal Neuralgia Associated with Vertebrobasilar Dolichoectasia? Presentation of 8 Cases and Literature Review | 2016 | Case series | 8 (5/3, 64.9 y.o.) | VBA Transposition | VBA complex was transposed medially towards a portion of coagulated clivus dura and supported in place with Teflon implants. In 3 cases, human fibrin glue was added to hold the VBD in its new position | Efficacy; pain recurrence rate; postoperative complications rate. | Pain relief was achieved in 100% of cases; no recurrence was reported at last follow-up; 12.5% of cases reported hearing impairment. |
| Lin et al. [53] | An easy adjustable method of ectatic vertebrobasilar artery transposition for microvascular decompression | 2012 | Case series | 3 (1/2, 73 y.o.) | VBA Transposition | VBA complex was transposed using a sling of unabsorbable dural tape, which was fixed to the dura over the petrous bone with an aneurysm clip through a dural bridge. | Efficacy; pain recurrence rate; postoperative complications rate. | Pain relief was achieved in 100% of cases; non recurrence was reported at last ollow-up; |
| Yang et al. [28] | Microvascular decompression on patients with trigeminal neuralgia caused by ectatic vertebrobasilar artery complex: technique notes | 2012 | Case series | 10 (5/5, 64 y.o.) | VBA Transposition | The VBA complex was transposed caudolaterally by gradually placing shredded Teflon sponge between the artery and the brainstem. | Efficacy; pain recurrence rate; postoperative complications rate. | Complete pain relief was achieved in 100% of cases; no patients reported pain recurrence at the last follow-up; 10% patients reported postoperative facial numbness. |
| Yamahata et a. [32] | Microvascular Decompression for Trigeminal Neuralgia due to Compression by the Vertebral Artery: Report of 3 Cases | 2011 | Case series | 3 (1/2, 71.3 y.o.) | VBA Transposition | VBA complex was transposed using Teflon slings and then fixed to the clival dura with fibrin glue. | Efficacy; pain recurrence rate. | All patients experienced complete pain relief with no recurrence reported at the last follow-up |
| Linskey et al. [33] | Microvascular decompression for trigeminal neuralgia caused by vertebrobasilar compression | 1994 | Cohort study | 31 (21/10, 62 y.o.) | VBA Transposition | VBA complex was transposed and held in position using cushions of Teflon felt, Ivalon sponge, autologous muscle, or silicon sheet; in one case the ectatic vertebral artery was held away from the trigeminal nerve by passing the vessel through the fenestration of a straight aneurysm clip and suturing the clip to the tentorium. | Efficacy; pain recurrence rate; postoperative complications rate. | Postoperative complete pain relief was achieved in 100% of cases; 3 patients (9.6%) reported pain recurrence at the last follow-up; transient diplopia due to either trochlear or abducens nerve paresis was reported in 22.6% of cases, and hearing loss occurred in 12.9%. |
| Chai et al. [13] | Microvascular decompression for trigeminal neuralgia caused by vertebrobasilar dolichoectasia: interposition technique vs. transposition technique | 2020 | Cohort study | 39 (24/15, 61.4 y.o.) | Interposition (n = 16); VBA Transposition (n = 23) | INTERPOSITION group: pieces of Teflon or gelatin pledges were placed in the neurovascular conflicting area between the VBA complex and the trigeminal nerve. TRANSPOSITION group: the VBA complex was transposed using Teflon slings and then fixed to the coagulated petrous dura with α-cyanoacrylate glue. | Efficacy; pain recurrence rate; postoperative complications rate. | INTERPOSITION group: postoperative complete pain relief (BNI I) was reported in 87.5% of cases; 25% of patients reported pain recurrence at last follow-up; postoperative complications included: facial palsy (6.25%), facial hypoesthesia (18.75), hearing loss (6.25%); TRANSPOSITION group: postoperative complete pain relief (BNI I) was reported in 100% of cases; 4% of patients (1 out of 23) reported pain recurrence at last follow-up; postoperative complications included: taste hypoesthesia (4%), hearing loss (8.6%), diplopia (4.35%). was similar in both groups. At the last follow-up, the transposition group showed significantly better long-term BNI scores compared with the interposition group (p = 0.03); incidence of postoperative complications was similar be-ween the two groups. |
| Honey and Kaufmann [15] | Trigeminal Neuralgia due to Vertebrobasilar Artery Compression | 2018 | Case series | 13 (10/3, 67.3 y.o.) | Interposition (n = 2); VBA Transposition (n = 11) | VBA complex was transposed using Teflon felts. In two cases, it was not possible to thoroughly mobilize the VBA away from the trigeminal nerve, and shredded Teflon felt was simply interposed between the nerve and vessel. | Efficacy; pain recurrence rate; postoperative complications rate. | Complete pain relief was achieved in 100% of cases. Four out of 13 patients reported pain recurrence at last follow-up; of these, 2 were treated with interposition; two patients were lost to follow-up; postoperative complications included: diplopia (2/13), ipsilateral limb ataxia (1/13). |
| Yu et al. [10] | Microvascular decompression by interposition method for treatment of trigeminal neuralgia due to vertebrobasilar dolichoectasia: a retrospective single-center study | 2022 | Case series | 30 (21/9, 63.03 y.o.) | Interposition | A shredded Teflon sponge was placed in the neurovascular conflicting area between the VBA complex and the trigeminal nerve. | Efficacy; pain recurrence rate; postoperative complications rate. | Complete pain relief was achieved in 100% of cases; 10% of patients reported pain recurrence at the last follow-up; no postoperative complications were reported. |
| Shulev et al. [36] | Microvascular decompression in trigeminal neuralgia following vertebrobasilar dolichoectasia | 2020 | Case series | 14 (4/10, 66 y.o.) | Interposition | A shredded Teflon sponge was placed in the neurovascular conflicting area between the VBA complex and the trigeminal nerve. | Efficacy; pain recurrence rate; postoperative complications rate. | Complete pain relief was achieved in 100% of cases; no patients reported pain recurrence at the last follow-up; postoperative complications were reported in 50% of patients and included: facial numbness (7%), abducens nerve dysfunction (7%), trochlear nerve dysfunction (7%), dysfunction of facial nerve (14%), hypoacusia (14%). |
| Apra et al. [3] | Microvascular decompression is an effective therapy for trigeminal neuralgia due to dolichoectatic basilar artery compression: case reports and literature review | 2017 | Case series | 3 (3/0, 63.3 y.o.) | Interposition | Pieces of Dacron and Teflon were placed in the neurovascular conflicting area between the VBA complex and the trigeminal nerve. | Efficacy; pain recurrence rate; postoperative complications rate. | Complete pain relief was achieved in 100% of cases; no patients reported pain recurrence at the last follow-up; one out of 3 patients reported postoperative sixth nerve palsy with diplopia. |
| Sun et al. [50] | Clinical analysis and surgical treatment of trigeminal neuralgia caused by vertebrobasilar dolichoectasia: A retrospective study | 2017 | Case series | 15 (8/7, 60.8 y.o.) | Interposition | Pieces of Teflon were placed in the neurovascular conflicting area between the VBA complex and the trigeminal nerve. | Efficacy; pain recurrence rate; postoperative complications rate. | Complete pain relief was achieved in 100% of cases; no patients reported pain recurrence at the last follow-up; postoperative facial numbness was reported in 15% of patients. |
| Ma et al. [30] | Clinical analysis of trigeminal neuralgia caused by vertebrobasilar dolichoectasia | 2013 | Case series | 11 (8/3, 62.5 y.o.) | Interposition | Pieces of Teflon were placed in the neurovascular conflicting area between the VBA complex and the trigeminal nerve. | Efficacy; pain recurrence rate; postoperative complications rate. | Complete pain relief was achieved in 81% of cases, partial remission was reported in the remaining cases; no patients reported pain recurrence at the last follow-up; postoperative complications included: facial numbness (27%), facial palsy (9%), hemifacial spasm (9%). |
| El-Ghandour et al. [16] | Microvascular Decompression in the Treatment of Trigeminal Neuralgia Caused by Vertebrobasilar Ectasia | 2010 | Case series | 10 (6/4, 54 y.o.) | Interposition | Pieces of Teflon were placed in the neurovascular conflicting area between the VBA complex and the trigeminal nerve. | Efficacy; pain recurrence rate; postoperative complications rate. | Complete pain relief was achieved in 80% of cases; no patients reported pain recurrence at the last follow-up; postoperative complications included: trochlear nerve paresis (10%) and mild facial weakness (10%) |
4. Conclusions
Author Contributions
Funding
Institutional Review Board Statement
Informed Consent Statement
Data Availability Statement
Conflicts of Interest
References
- Jones, M.R.; Urits, I.; Ehrhardt, K.P.; Cefalu, J.N.; Kendrick, J.B.; Park, D.J.; Cornett, E.M.; Kaye, A.D.; Viswanath, O. A Comprehensive Review of Trigeminal Neuralgia. Curr. Pain Headache Rep. 2019, 23, 74. [Google Scholar] [CrossRef]
- Leland Rogers, C.; Shetter, A.G.; Fiedler, J.A.; Smith, K.A.; Han, P.P.; Speiser, B.L.; Joseph, S. PII S0360-3016(00)00513-7 Gamma knife radiosurgery for trigeminal neuralgia: The initial experience of the barrow neurological institute. Int. J. Radiat. Oncol. Biol. Phys. 2000, 47, 1013–1019. [Google Scholar] [CrossRef]
- Apra, C.; Lefaucheur, J.-P.; Le Guerinel, C.; Caroline, A.; Jean-Pascal, L.; Guérinel Caroline, L. Microvascular Decompression Is an Effective Therapy for Trigeminal Neuralgia Due to Dolichoectatic Basilar Artery Compression: Case Reports and Literature Review. Neurosurg. Rev. 2017, 40, 577–582. [Google Scholar] [CrossRef]
- Headache Classification Committee of the International Headache Society (IHS). The International Classification of Headache Disorders, 3rd Edition. Cephalalgia 2018, 38, 1–211. [Google Scholar] [CrossRef]
- Cruccu, G.; Di Stefano, G.; Truini, A. Trigeminal Neuralgia. N. Engl. J. Med. 2020, 383, 754–762. [Google Scholar] [CrossRef]
- Inoue, T.; Shitara, S.; Goto, Y.; Prasetya, M.; Fukushima, T. Microvascular Decompression for Trigeminal Neuralgia Attributable to the Vertebrobasilar Artery: Decompression Technique and Significance of Separation from the Nerve Root. Acta Neurochir. 2021, 163, 1037–1043. [Google Scholar] [CrossRef]
- Zheng, W.; Wang, L.; Wang, H.; Zhou, H.; Du, Q. Trigeminal Neuralgia Caused by Vertebrobasilar Dolichoectasia: Efficacy of Stepwise Decompression Technique. Acta Neurochir. 2023, 165, 3019–3026. [Google Scholar] [CrossRef]
- Bašić Kes, V. Accommodation to Diagnosis of Trigeminal Neuralgia. Acta Clin. Croat. 2017, 56, 157–161. [Google Scholar] [CrossRef]
- Smoker’, W.R.K.; Corbett2, J.J.; Gentry’, L.R.; Keyes’, W.D.; Price, M.J.; Mckuske, S. High-Resolution Computed Tomography of the Basilar Artery: 2. Vertebrobasilar Dolichoectasia: Clinical-Pathologic Correlation and Review. Am. J. Neuroradiol. 1986, 7, 61–72. [Google Scholar]
- Yu, F.; Yin, J.; Lu, P.-G.; Zhao, Z.-Y.; Zhang, Y.-Q.; Men, X.-Z. Microvascular Decompression by Interposition Method for Treatment of Trigeminal Neuralgia Due to Vertebrobasilar Dolichoectasia: A Retrospective Single-Center Study. Neurosurg. Rev. 2022, 45, 2709–2715. [Google Scholar] [CrossRef]
- Ikeda, K.; Nakamura, Y.; Hirayama, T.; Sekine, T.; Nagata, R.; Kano, O.; Kawabe, K.; Kiyozuka, T.; Tamura, M.; Iwasaki, Y. Cardiovascular Risk and Neuroradiological Profiles in Asymptomatic Vertebrobasilar Dolichoectasia. Cerebrovasc. Dis. 2010, 30, 23–28. [Google Scholar] [CrossRef]
- Gavazzi, C.; Borsini, W.; Guerrini, L.; Della Nave, R.; Rocca, M.A.; Tessa, C.; Buchner, S.; Belli, G.; Filippi, M.; Villari, N.; et al. Subcortical Damage and Cortical Functional Changes in Men and Women with Fabry Disease: A Multifaceted MR Study. Radiology 2006, 241, 492–500. [Google Scholar] [CrossRef]
- Chai, S.; Xu, H.; Wang, Q.; Li, J.; Wang, J.; Wang, Y.; Pool, H.; Lin, M.; Xiong, N. Microvascular Decompression for Trigeminal Neuralgia Caused by Vertebrobasilar Dolichoectasia: Interposition Technique versus Transposition Technique. Acta Neurochir. 2020, 162, 2811–2821. [Google Scholar] [CrossRef]
- De Simone, M.; Fontanella, M.M.; Choucha, A.; Schaller, K.; Machi, P.; Lanzino, G.; Bijlenga, P.; Kurz, F.T.; Lövblad, K.O.; De Maria, L. Current and Future Applications of Arterial Spin Labeling MRI in Cerebral Arteriovenous Malformations. Biomedicines 2024, 12, 753. [Google Scholar] [CrossRef]
- Honey, C.M.; Kaufmann, A.M. Trigeminal Neuralgia Due to Vertebrobasilar Artery Compression. World Neurosurg. 2018, 118, e155–e160. [Google Scholar] [CrossRef]
- El-Ghandour, N.M.F. Microvascular Decompression in the Treatment of Trigeminal Neuralgia Caused by Vertebrobasilar Ectasia. Neurosurgery 2010, 67, 330–337. [Google Scholar] [CrossRef]
- Sindou, M.; Amrani, F.; Mertens, P. Microsurgical Vascular Decompression in Trigeminal Neuralgia. Comparison of 2 Technical Modalities and Physiopathologic Deductions. A Study of 120 Cases. Neurochirurgie 1990, 36, 16–25, discussion 25–26. [Google Scholar]
- Ubogu, E.E.; Zaidat, O.O. Vertebrobasilar Dolichoectasia Diagnosed by Magnetic Resonance Angiography and Risk of Stroke and Death: A Cohort Study. J. Neurol. Neurosurg. Psychiatry 2004, 75, 22–26. [Google Scholar]
- Stone, J.L.; Lichtor, T.; Crowell, R.M. Microvascular Sling Decompression for Trigeminal Neuralgia Secondary to Ectatic Vertebrobasilar Compression. J. Neurosurg. 1993, 79, 943–945. [Google Scholar] [CrossRef]
- Passero, S.G.; Rossi, S. Natural History of Vertebrobasilar Dolichoectasia. Neurology 2008, 70, 66–72. [Google Scholar] [CrossRef]
- Yuh, S.-J.; Alkherayf, F.; Lesiuk, H. Dolichoectasia of the Vertebral Basilar and Internal Carotid Arteries: A Case Report and Literature Review. Surg. Neurol. Int. 2013, 4, 153. [Google Scholar] [CrossRef] [PubMed]
- Kwon, H.M.; Lee, Y.S. Dolichoectasia of the Intracranial Arteries. Curr. Treat. Options Cardiovasc. Med. 2011, 13, 261–267. [Google Scholar] [CrossRef] [PubMed]
- Rabb, C.H.; Barnwell, S.L. Catastrophic Subarachnoid Hemorrhage Resulting from Ruptured Vertebrobasilar Dolichoectasia: Case Report. Neurosurgery 1998, 42, 379–382. [Google Scholar] [CrossRef] [PubMed]
- Tomasello, F.; Alafaci, C.; Salpietro, F.M.; Longo, M. Bulbar Compression by an Ectatic Vertebral Artery: A Novel Neurovascular Construct Relieved by Microsurgical Decompression. Neurosurgery 2005, 56, 117–124. [Google Scholar] [CrossRef] [PubMed]
- Revuelta-Gutiérrez, R.; Velasco-Torres, H.S.; Vales Hidalgo, L.O.; Martínez-Anda, J.J. Tic Convulsivo Doloroso: Serie de Casos y Revisión de La Literatura. Cirugía Cir. 2016, 84, 493–498. [Google Scholar] [CrossRef]
- Kurokawa, Y.; Maeda, Y.; Toyooka, T.; Inaba, K.I. Microvascular Decompression for Hemifacial Spasm Caused by the Vertebral Artery: A Simple and Effective Transposition Method Using Surgical Glue. Surg. Neurol. 2004, 61, 398–403. [Google Scholar] [CrossRef]
- Di Carlo, D.T.; Benedetto, N.; Marani, W.; Montemurro, N.; Perrini, P. Microvascular Decompression for Trigeminal Neuralgia Due to Vertebrobasilar Artery Compression: A Systematic Review and Meta-Analysis. Neurosurg. Rev. 2022, 45, 285–294. [Google Scholar] [CrossRef]
- Yang, X.-S.; Li, S.-T.; Zhong, J.; Zhu, J.; Du, Q.; Zhou, Q.-M.; Jiao, W.; Guan, H.-X. Microvascular Decompression on Patients with Trigeminal Neuralgia Caused by Ectatic Vertebrobasilar Artery Complex: Technique Notes. Acta Neurochir. 2012, 154, 793–797. [Google Scholar] [CrossRef]
- Park, K.-J.; Kondziolka, D.; Kano, H.; Berkowitz, O.; Ahmed, S.F.; Liu, X.; Niranjan, A.; Flickinger, J.C.; Lunsford, L.D. Outcomes of Gamma Knife Surgery for Trigeminal Neuralgia Secondary to Vertebrobasilar Ectasia. J. Neurosurg. 2012, 116, 73–81. [Google Scholar] [CrossRef]
- Ma, X.; Sun, X.; Yao, J.; Ni, S.; Gong, J.; Wang, J.; Li, X. Clinical Analysis of Trigeminal Neuralgia Caused by Vertebrobasilar Dolichoectasia. Neurosurg. Rev. 2013, 36, 573–578. [Google Scholar] [CrossRef]
- Campos, W.K.; Guasti, A.A.; da Silva, B.F.; Guasti, J.A. Trigeminal Neuralgia Due to Vertebrobasilar Dolichoectasia. Case Rep. Neurol. Med. 2012, 2012, 367304. [Google Scholar] [CrossRef] [PubMed]
- Yamahata, H.; Tokimura, H.; Hanaya, R.; Tajitsu, K.; Hirabaru, M.; Yamagami, M.; Arita, K. Microvascular Decompression for Trigeminal Neuralgia Due to Compression by the Vertebral Artery: Report of 3 Cases. Minim. Invasive Neurosurg. 2011, 54, 79–82. [Google Scholar] [CrossRef] [PubMed]
- Linskey, M.E.; Jho, H.D.; Jannetta, P.J. Microvascular Decompression for Trigeminal Neuralgia Caused by Vertebrobasilar Compression. J. Neurosurg. 1994, 81, 1–9. [Google Scholar] [CrossRef] [PubMed]
- Wang, Y.; Cheng, W.; Lian, Y. Vertebrobasilar Dolichoectasia and Basilar Artery Dissection Presenting with Trigeminal Neuralgia: A Case Report. Front. Neurol. 2019, 10, 491. [Google Scholar] [CrossRef]
- Vanaclocha, V.; Herrera, J.M.; Martínez-Gómez, D.; Rivera-Paz, M.; Calabuig-Bayo, C.; Vanaclocha, L. Is There a Safe and Effective Way to Treat Trigeminal Neuralgia Associated with Vertebrobasilar Dolichoectasia? Presentation of 8 Cases and Literature Review. World Neurosurg. 2016, 96, 516–529. [Google Scholar] [CrossRef]
- Shulev, Y.A.; Gordienko, K.S.; Trashin, A.V.; Pechiborshch, D.A. Microvascular Decompression in Trigeminal Neuralgia Following Vertebrobasilar Dolichoectasia. Zhurnal Vopr. Nejrokhirurgii Im. N. N. Burdenko 2020, 84, 50–63. [Google Scholar] [CrossRef]
- Gambeta, E.; Chichorro, J.G.; Zamponi, G.W. Trigeminal Neuralgia: An Overview from Pathophysiology to Pharmacological Treatments. Mol. Pain 2020, 16, 1744806920901890. [Google Scholar] [CrossRef]
- Kraemer, J.L.; Filho, A.d.A.P.; de David, G.; Faria, M.d.B. Vertebrobasilar Dolichoectasia as a Cause of Trigeminal Neuralgia: The Role of Microvascular Decompression. Case Report. Arq. Neuropsiquiatr. 2006, 64, 128–131. [Google Scholar] [CrossRef]
- Ashkan, K.; Marsh, H. Microvascular Decompression for Trigeminal Neuralgia in the Elderly: A Review of the Safety and Efficacy. Neurosurgery 2004, 55, 840–850. [Google Scholar] [CrossRef]
- Jannetta, P.J. Arterial Compression of the Trigeminal Nerve at the Pons in Patients with Trigeminal Neuralgia. J. Neurosurg. 2007, 107, 216–237. [Google Scholar] [CrossRef]
- Jannetta, P.J. Microsurgical Management of Trigeminal Neuralgia. Arch. Neurol. 1985, 42, 800. [Google Scholar] [CrossRef] [PubMed]
- Oesman, C.; Mooij, J.J.A. Long-Term Follow-up of Microvascular Decompression for Trigeminal Neuralgia. Skull Base 2011, 21, 313–321. [Google Scholar] [CrossRef] [PubMed]
- Tatli, M.; Satici, O.; Kanpolat, Y.; Sindou, M. Various Surgical Modalities for Trigeminal Neuralgia: Literature Study of Respective Long-Term Outcomes. Acta Neurochir. 2008, 150, 243–255. [Google Scholar] [CrossRef] [PubMed]
- De Simone, M.; Zoia, C.; Choucha, A.; Kong, D.S.; De Maria, L. The Transorbital Approach: A Comprehensive Review of Targets, Surgical Techniques, and Multiportal Variants. J. Clin. Med. 2024, 13, 2712. [Google Scholar] [CrossRef] [PubMed]
- De Simone, M.; Choucha, A.; Dannhoff, G.; Kong, D.S.; Zoia, C.; Iaconetta, G. Treating Trigeminal Schwannoma through a Transorbital Approach: A Systematic Review. J. Clin. Med. 2024, 13, 3701. [Google Scholar] [CrossRef]
- Shi, J.; Qian, Y.; Han, W.; Dong, B.; Mao, Y.; Cao, J.; Guan, W.; Zhou, Q. Risk Factors for Outcomes After Microvascular Decompression for Trigeminal Neuralgia. World Neurosurg. 2020, 136, e559–e566. [Google Scholar] [CrossRef]
- Wei, Y.; Pu, C.; Li, N.; Cai, Y.; Shang, H.; Zhao, W. Long-Term Therapeutic Effect of Microvascular Decompression for Trigeminal Neuralgia: Kaplan-Meier Analysis in a Consecutive Series of 425 Patients. Turk. Neurosurg. 2016, 28, 88–93. [Google Scholar] [CrossRef]
- Suzuki, S.; Tsuchita, H.; Kurokawa, Y.; Kitami, K.; Sohma, T.; Takeda, T.; Suzuki, S. New Method of MVD Using a Vascular Tape for Neurovascular Compression Involving the Vertebrobasilar Artery. Report of Two Cases. Neurol. Med.-Chir. 1990, 30, 1020–1023. [Google Scholar] [CrossRef][Green Version]
- Yoshimoto, Y.; Tsutsumi, Y. Pain encircling method of trigeminal nerve decompression for neuralgia caused by tortuous vertebrobasilar artery: Technical note. Surg. Neurol. 1995, 43, 151–153. [Google Scholar] [CrossRef]
- Sun, S.; Jiang, W.; Wang, J.; Gao, P.; Zhang, X.; Jiao, L.; Liu, W.; Shu, K.; Lei, T. Clinical Analysis and Surgical Treatment of Trigeminal Neuralgia Caused by Vertebrobasilar Dolichoectasia: A Retrospective Study. Int. J. Surg. 2017, 41, 183–189. [Google Scholar] [CrossRef]
- Liu, J.; Chen, Z.; Feng, T.; Jiang, B.; Yuan, Y.; Yu, Y. Biomedical Glue Sling Technique in Microvascular Decompression for Trigeminal Neuralgia Caused by Atherosclerotic Vertebrobasilar Artery: A Description of Operative Technique and Clinical Outcomes. World Neurosurg. 2019, 128, e74–e80. [Google Scholar] [CrossRef] [PubMed]
- Amagasaki, K.; Takusagawa, Y.; Tatebayashi, K.; Nakaguchi, H. Macrovascular Decompression with the Transposition Method Using Teflon Sling for Trigeminal Neuralgia Caused by the Vertebrobasilar Artery. World Neurosurg. 2022, 167, e1395–e1401. [Google Scholar] [CrossRef] [PubMed]
- Lin, C.F.; Chen, H.H.; Hernesniemi, J.; Lee, C.C.; Liao, C.H.; Chen, S.C.; Chen, M.H.; Shih, Y.H.; Hsu, S.P.C. An Easy Adjustable Method of Ectatic Vertebrobasilar Artery Transposition for Microvascular Decompression. Clin. Neurol. Neurosurg. 2012, 114, 951–956. [Google Scholar] [CrossRef] [PubMed]
- Wang, X.; Wang, H.; Chen, S.; Liang, H.; Wang, H.; Xu, M.; Xu, L. The Long-Term Clinical Outcomes of Microvascular Decompression for Treatment of Trigeminal Neuralgia Compressed by the Vertebra-Basilar Artery: A Case Series Review. BMC Neurol. 2019, 19, 217. [Google Scholar] [CrossRef]
- Ohta, M.; Komatsu, F.; Abe, H.; Sakamoto, S.; Tsugu, H.; Oshiro, S.; Fukushima, T. Complication Caused by Use of Fibrin Glue in Vessel. Transposition for Trigeminal Neuralgia-Case Report. Neurol. Med. Chir. 2008, 48, 30–32. [Google Scholar] [CrossRef]


| Score | |
|---|---|
| I | No trigeminal pain, no medication |
| II | Occasional pain, not requiring medication |
| III | Some pain, adequately controlled with medication |
| IV | Some pain, not adequately controlled with medication |
| V | Severe pain or no pain relief |
| Grade | |
|---|---|
| I | The vessel is simply in contact with the nerve but without any visible deformity of the root. |
| II | There is displacement or distortion of the root. |
| III | A clear-cut and marked indentation on the root is present. |
Disclaimer/Publisher’s Note: The statements, opinions and data contained in all publications are solely those of the individual author(s) and contributor(s) and not of MDPI and/or the editor(s). MDPI and/or the editor(s) disclaim responsibility for any injury to people or property resulting from any ideas, methods, instructions or products referred to in the content. |
© 2024 by the authors. Licensee MDPI, Basel, Switzerland. This article is an open access article distributed under the terms and conditions of the Creative Commons Attribution (CC BY) license (https://creativecommons.org/licenses/by/4.0/).
Share and Cite
Visocchi, M.; Zeoli, F.; Signorelli, F. Microvascular Decompression for Trigeminal Neuralgia Secondary to Vertebrobasilar Dolichoectasia: Review of the Literature and Illustrative Case. J. Clin. Med. 2024, 13, 6342. https://doi.org/10.3390/jcm13216342
Visocchi M, Zeoli F, Signorelli F. Microvascular Decompression for Trigeminal Neuralgia Secondary to Vertebrobasilar Dolichoectasia: Review of the Literature and Illustrative Case. Journal of Clinical Medicine. 2024; 13(21):6342. https://doi.org/10.3390/jcm13216342
Chicago/Turabian StyleVisocchi, Massimiliano, Fabio Zeoli, and Francesco Signorelli. 2024. "Microvascular Decompression for Trigeminal Neuralgia Secondary to Vertebrobasilar Dolichoectasia: Review of the Literature and Illustrative Case" Journal of Clinical Medicine 13, no. 21: 6342. https://doi.org/10.3390/jcm13216342
APA StyleVisocchi, M., Zeoli, F., & Signorelli, F. (2024). Microvascular Decompression for Trigeminal Neuralgia Secondary to Vertebrobasilar Dolichoectasia: Review of the Literature and Illustrative Case. Journal of Clinical Medicine, 13(21), 6342. https://doi.org/10.3390/jcm13216342

