Raghib Syndrome and Pulmonary Arterial Hypertension in a Pediatric Patient: Case Report and Literature Review
Abstract
1. Introduction
2. Case Report
2.1. Clinical and EKG Findings
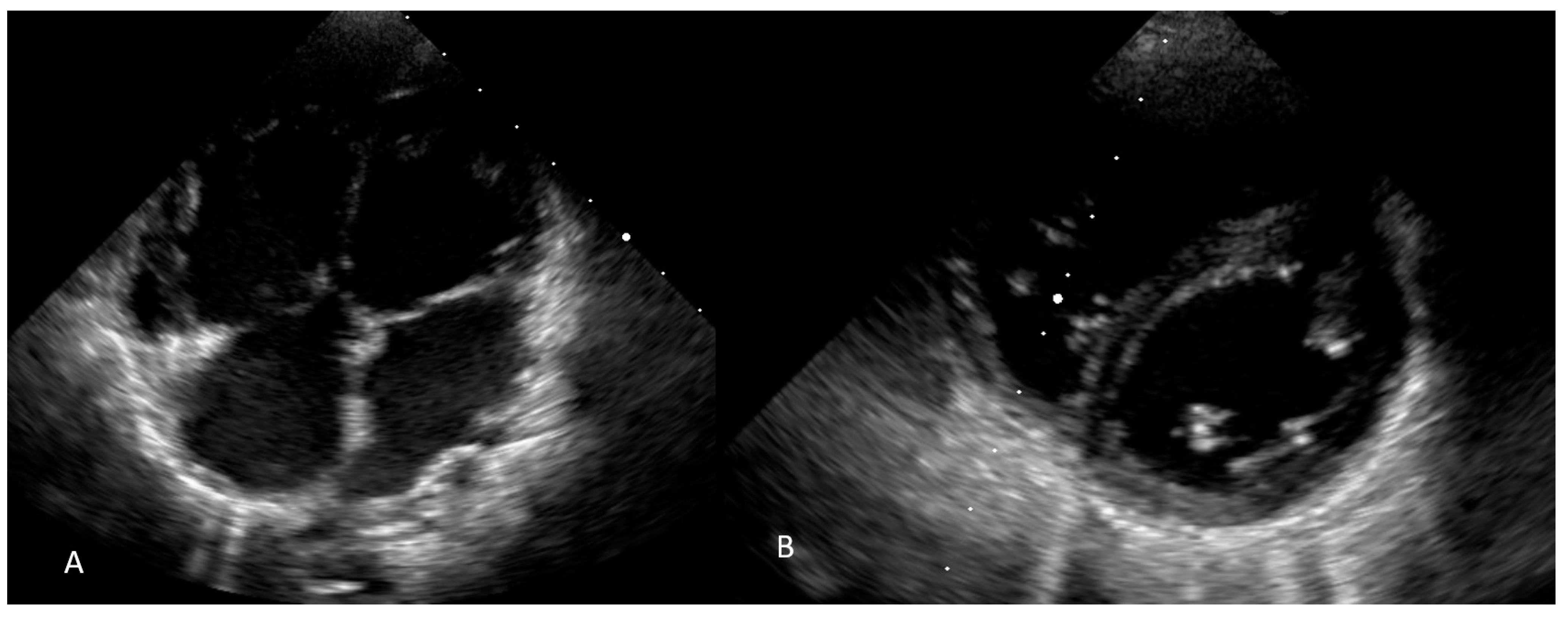
2.2. Diagnostic Assessment
2.3. Case Management
3. Literature Review
4. Discussion
5. Conclusions
Author Contributions
Funding
Institutional Review Board Statement
Informed Consent Statement
Data Availability Statement
Acknowledgments
Conflicts of Interest
References
- Raghib, G.; Ruttenberg, H.D.; Anderson, R.C.; Amplatz, K.; Adams, P.; Edwards, J.E. Termination of left superior vena cava in left atrium, atrial septal defect, and absence of coronary sinus; a developmental complex. Circulation 1965, 31, 906–918. [Google Scholar] [CrossRef] [PubMed]
- Sanchez Mejia, A.; Singh, H.; Bhalla, S.; Singh, G.K. Chronic Cyanosis Due to Persistent Left Superior Vena Cava Draining into the Left Atrium in the Absence of a Coronary Sinus. Pediatr. Cardiol. 2013, 34, 1514–1516. [Google Scholar] [CrossRef] [PubMed]
- Shen, J.-J.; Pan, W. Prenatal Diagnosis of a Left Superior Vena Cava Draining into the Left Atrium and Atrial Septal Defect with Ventricular Septal Defect. Quant. Imaging Med. Surg. 2023, 13, 553–557. [Google Scholar] [CrossRef] [PubMed]
- Azizova, A.; Onder, O.; Arslan, S.; Ardali, S.; Hazirolan, T. Persistent Left Superior Vena Cava: Clinical Importance and Differential Diagnoses. Insights Imaging 2020, 11, 110. [Google Scholar] [CrossRef] [PubMed]
- Daruwalla, V.J.; Parekh, K.; Tahir, H.; Collins, J.D.; Carr, J. Raghib Syndrome Presenting as a Cryptogenic Stroke: Role of Cardiac MRI in Accurate Diagnosis. Case Rep. Cardiol. 2015, 2015, 921247. [Google Scholar] [CrossRef] [PubMed]
- Kim, Y.G.; Han, S.; Choi, J.-I.; Lee, K.-N.; Baek, Y.-S.; Uhm, J.-S.; Shim, J.; Kim, J.S.; Park, S.W.; Hwang, C.; et al. Impact of Persistent Left Superior Vena Cava on Radiofrequency Catheter Ablation in Patients with Atrial Fibrillation. EP Eur. 2019, 21, 1824–1832. [Google Scholar] [CrossRef] [PubMed]
- Berg, C.; Knüppel, M.; Geipel, A.; Kohl, T.; Krapp, M.; Knöpfle, G.; Germer, U.; Hansmann, M.; Gembruch, U. Prenatal Diagnosis of Persistent Left Superior Vena Cava and Its Associated Congenital Anomalies. Ultrasound Obstet. Gynecol. 2006, 27, 274–280. [Google Scholar] [CrossRef] [PubMed]
- Tobbia, P.; Norris, L.A.; Lane, T. Case Report: Persistent Left Superior Vena Cava Draining into the Left Atrium. BMJ Case Rep. 2013, 2013, bcr-2013. [Google Scholar] [CrossRef] [PubMed]
- Khadkikar, G.; V, S.M.; Patel, A.; Shah, S.C.; Patel, T.M. A Rare Case of an Unroofed Coronary Sinus With a Persistent Left Superior Vena Cava Diagnosed by Two-Dimensional Transthoracic Echocardiography. Cureus 2021, 13, e13041. [Google Scholar] [CrossRef]
- Lee, M.E.; Sade, R.M. Coronary Sinus Septal Defect. Surgical Considerations. J. Thorac. Cardiovasc. Surg. 1979, 78, 563–569. [Google Scholar] [CrossRef]
- Okumori, M.; Hyuga, M.; Ogata, S.; Akamatsu, T.; Otomi, S.; Ota, S. Raghib’s Syndrome: A Report of Two Cases. Jpn. J. Surg. 1982, 12, 356–361. [Google Scholar] [CrossRef] [PubMed]
- Wang, B.; Prejean, S.P.; Singh, S.P.; Ahmed, M.I.; Law, M.A. Percutaneous Repair of Raghib Syndrome. JACC Cardiovasc. Interv. 2020, 13, e159–e160. [Google Scholar] [CrossRef]
- Nair, V.V.; Rajashekar, P.; Saxena, A.; Das, S.; Airan, B. Cortriatriatum with Classical Raghib Complex: A Rare Anatomic Association. World J. Pediatr. Congenit. Heart Surg. 2014, 5, 318–320. [Google Scholar] [CrossRef] [PubMed]
- Baek, W.K.; Kim, Y.S.; Yoon, Y.H.; Kim, J.T. Cor Triatriatum with Raghib Complex in Partial Atrioventricular Septal Defect and Common Atrium: A Rare Combination. Gen. Thorac. Cardiovasc. Surg. 2020, 68, 641–643. [Google Scholar] [CrossRef]
- Kumar, B.; Kodliwadmath, A.; Upadhyay, A.N.; Singh, A.; Darbari, A.; Nanda, N. Cor Triatriatum with Supramitral Ring: “Cor Tetratriatum”, Associated with Raghib Syndrome with Eisenmenger Syndrome: Multimodality Imaging Approach in This Exceedingly Rare Case Report. Egypt. Heart J. 2021, 73, 66. [Google Scholar] [CrossRef]
- Egbe, A.C.; Said, S.M.; McLeod, C.J.; Barbara, D.W.; Connolly, H.M. An Unusual Case of Raghib Defect and Double-Orifice Tricuspid Valve. World J. Pediatr. Congenit. Heart Surg. 2018, 9, 257–259. [Google Scholar] [CrossRef]
- Frecentese, F.; Scatteia, A.; Pascale, C.E.; Russo, G.; Carlomagno, G.; Paolillo, S.; Librera, M.; Dellegrottaglie, S. 540 RAGHIB SYNDROME WITH VERY LATE CLINICAL PRESENTATION. Eur. Heart J. Suppl. 2022, 24, suac121.187. [Google Scholar] [CrossRef]
- Pérez-Caballero, R.; Plata Izquierdo, B.; Gil-Jaurena, J.-M. Raghib Syndrome. Surgical Treatment. Rev. Esp. Cardiol. 2016, 69, 71. [Google Scholar] [CrossRef] [PubMed]
- Xie, M.; Yang, Y.; Cheng, T.O.; Wang, X.; Li, K.; Ren, P.; Lü, Q.; Lin, H.; Li, L. Coronary Sinus Septal Defect (Unroofed Coronary Sinus): Echocardiographic Diagnosis and Surgical Treatment. Int. J. Cardiol. 2013, 168, 1258–1263. [Google Scholar] [CrossRef]
- Chaturvedi, A.; Dubinsky, T.J.; Maki, J.H. MR Findings of a Rare Defect, Coronary Sinus ASD. Int. J. Cardiovasc. Imaging 2012, 28, 429–430. [Google Scholar] [CrossRef]
- Siripornpitak, S.; Pornkul, R.; Khowsathit, P.; Layangool, T.; Promphan, W.; Pongpanich, B. Cardiac CT Angiography in Children with Congenital Heart Disease. Eur. J. Radiol. 2013, 82, 1067–1082. [Google Scholar] [CrossRef] [PubMed]
- Kakucs, Z.; Heidenhoffer, E.; Pop, M. Detection of Coronary Artery and Aortic Arch Anomalies in Patients with Tetralogy of Fallot Using CT Angiography. J. Clin. Med. 2022, 11, 5500. [Google Scholar] [CrossRef] [PubMed]
- Zhi, A.-H.; Dai, R.-P.; Ma, W.-G.; Zhang, P.; Lv, B.; Jiang, S.-L. CT Angiography for Diagnosis and Subcategorization of Unroofed Coronary Sinus Syndrome. J. Thorac. Dis. 2017, 9, 3946. [Google Scholar] [CrossRef]
- Sun, L.; Juan, Y.-H.; Chen, J.; Zhuang, J.; Xie, J.; Li, H.; Liu, H. Evaluation of Unroofed Coronary Sinus Syndrome Using Cardiovascular CT Angiography: An Observational Study. Am. J. Roentgenol. 2018, 211, 314–320. [Google Scholar] [CrossRef] [PubMed]
- Bonardi, M.; Valentini, A.; Camporotondo, R. Unroofed Coronary Sinus and Persistent Left Superior Vena Cava: A Case Report. J. Ultrasound 2012, 15, 179–182. [Google Scholar] [CrossRef]
- Nashat, H.; Montanaro, C.; Li, W.; Kempny, A.; Wort, S.J.; Dimopoulos, K.; Gatzoulis, M.A.; Babu-Narayan, S.V. Atrial Septal Defects and Pulmonary Arterial Hypertension. J. Thorac. Dis. 2018, 10, S2953–S2965. [Google Scholar] [CrossRef]
- Speiser, U.; Quick, S.; Sandfort, V.; Strasser, R.H.; Kolschmann, S. Persistent Left Superior Vena Cava Draining into Left Atrium, Unroofed Coronary Sinus, and Coronary Sinus Atrial Septal Defect as Rare Cause for Severe Right Heart Dilatation: Diagnostic Steps and Therapy. Eur. Heart J.—Cardiovasc. Imaging 2014, 15, 711. [Google Scholar] [CrossRef]
- Saha, S.; Paoletti, D.; Robertson, M. Persistent Left Superior Vena Cava—Considerations in Fetal, Pediatric and Adult Populations. Australas. J. Ultrasound Med. 2012, 15, 61–66. [Google Scholar] [CrossRef]
- Ak, K.; Hamidov, A.; Ileri, C.; Tigen, K.; Isbir, S.; Arsan, S. Correction of Cortriatriatum Sinister with Classical Raghib’s Complex Using an Extracardiac Conduit. J. Card. Surg. 2017, 32, 729–731. [Google Scholar] [CrossRef]





| Authors | Year of Publication | No. of Cases | Clinical Picture | Particularities of the Case/Cases | |
|---|---|---|---|---|---|
| 1 | Raghib et al. [1] | 1965 | Eight cases | The common clinical findings of the patients in this case series were poor weight gain or failure to thrive, cyanosis, grade I-III systolic murmur. | Case 1: Patient aged 4 years and 12 months with associated ventricular septal defect, this patient died of pulmonary infection. Case 2: A 2-year-old patient with an associated urogenital malformation, for whom atrial septal defect closure was performed, died 8 months postoperatively of a cerebral embolism. Case 3: A 5-year-old patient with atrial septal defect closure; died shortly postoperatively Case 4: An 8-year-old patient with an associated common atrioventricular canal, for whom total surgical correction was attempted but who died immediately postoperatively. Case 5: A 9-year-old patient with associated common atrioventricular canal and a double-outlet right ventricle who underwent total surgical correction but died immediately postoperatively Case 6: A 9-year-old patient diagnosed with Raghib syndrome and mitral insufficiency, in whom the atrial septal defect was successfully closed. Postoperatively, he presented with residual mitral valve insufficiency. Case 7: A patient aged 10 years with Raghib syndrome, who had an associated ventricular septal defect and pulmonary hypertension, but in whom the ventricular septal defect was successfully closed. Case 8: A patient aged 13 years and 6 months, diagnosed with Raghib syndrome, for which atrial septal defect closure was successfully performed |
| 2 | Lee et al. [10] | 1979 | Three cases | Case 1: Atrial fibrillation with recent onset, congestive heart failure signs and second fixed split heart sound. Case 2: Congestive heart failure signs and failure to thrive. Case 3: Signs and symptoms of congestive heart failure. | Case 1: A 48-year-old man with Raghib syndrome in whom ligation of the LSVC and baffle repair of the sinus venosus ASD were successfully conducted, with post-operatory persistence of the heart arrhythmia. Case 2: A 13-month-old girl with Raghib syndrome (ASD: 5 mm) who had an associated ventricular septal defect, right aortic arch, double-outlet right ventricle and cor triatriatum, who could not be weaned from extracorporeal circulation after cardiac surgery and subsequently deceased. Case 3: A 6-month-old girl with Raghib syndrome, accompanied by a large ventricular septal defect and patent ductus arteriosus, in whom occlusion of the LSVC and closure of the septal defects led to complete relief of symptoms. |
| 3 | Okumori et al. [11] | 1982 | Two cases | The two patients presented with dyspnea on exertion, pedicle edema and cyanosis, a grade 3 systolic murmur with second fixed split heart sound. | Case 1: A 42-year-old woman with no postoperative complications-no pulmonary hypertension (ASD: 3 × 4 cm) Case 2: A 41-year-old woman with associated transposition of great vessel and severe pulmonary stenosis with no pulmonary hypertension |
| 4 | Nair et al. [13] | 2014 | One case | The patient had minimal central cyanosis and a grade 2/6 systolic ejection murmur, whereas a second loud heart sound was audible in the left upper sternal border. | An 18-month-old female patient diagnosed with cor triatriatum and Raghib syndrome who underwent primary total correction without postoperative complications. |
| 5 | Daruwalla et al. [5] | 2015 | One case | Clinical onset with neurological symptoms of stroke, without cardiac findings. | A 31-year-old female-paradoxical embolization and stroke-no pulmonary hypertension |
| 6 | Egbe et al. [16] | 2016 | One case | The patient’s symptoms began with an episode of palpitations associated with dyspnea, and the patient was previously known to have a pre-excitation syndrome. | A 42-year-old male patient was diagnosed with Raghib syndrome, double-orifice tricuspid valve and Wolff–Parkinson–White syndrome. Ablation of the aberrant duct and primary surgical correction was performed, and the patient had no postoperative complications. |
| 7 | Perez-Caballero et al. [18] | 2016 | One case | The patient presented with progressive desaturations. | An 18-month-old male patient diagnosed with Raghib syndrome in whom extracardiac correction was performed, which implied anastomosis of the LSVC to the right atrial appendage |
| 8 | Baek et al. [14]. | 2019 | One case | The patient presented with progressive dyspnea and a syncopal episode. | A 42-year-old patient diagnosed with Raghib syndrome, cor triatriatum, partial atrioventricular canal and grade III atrioventricular block, who underwent primary surgical correction and implantation of a permanent epicardial pacemaker without postoperative complications. |
| 9 | Wang et al. [12] | 2020 | One case | The patient presented with a pre-syncopal episode. | A 58-year-old woman with a history of recent-onset atrial fibrillation presented after a pre-syncopal episode with no pulmonary hypertension. |
| 10 | Kumar et al. [15] | 2021 | One case | Patient had bluish discoloration of mucous membranes, shortness of breath on exertion, clubbing in all four extremities with oxygen saturation of 82% and wheezing in the past year. | A45-year-old male-cor triatriatum, Raghib syndrome (ASD: 26.9 mm) and supramitral ring-Eisenmenger syndrome. |
| 11 | Frecentese et al. [17] | 2022 | One case | The patient presented in emergency conditions with signs and symptoms of heart failure NYHA class III. | A 72-year-old woman with atrial fibrillation, pulmonary emphysema and severe pulmonary hypertension. |
Disclaimer/Publisher’s Note: The statements, opinions and data contained in all publications are solely those of the individual author(s) and contributor(s) and not of MDPI and/or the editor(s). MDPI and/or the editor(s) disclaim responsibility for any injury to people or property resulting from any ideas, methods, instructions or products referred to in the content. |
© 2024 by the authors. Licensee MDPI, Basel, Switzerland. This article is an open access article distributed under the terms and conditions of the Creative Commons Attribution (CC BY) license (https://creativecommons.org/licenses/by/4.0/).
Share and Cite
Gozar, L.; Săsăran, M.O.; Cosma, M.C.; Toma, D.; Nan, A.G.; Gozar, H. Raghib Syndrome and Pulmonary Arterial Hypertension in a Pediatric Patient: Case Report and Literature Review. J. Clin. Med. 2024, 13, 3623. https://doi.org/10.3390/jcm13123623
Gozar L, Săsăran MO, Cosma MC, Toma D, Nan AG, Gozar H. Raghib Syndrome and Pulmonary Arterial Hypertension in a Pediatric Patient: Case Report and Literature Review. Journal of Clinical Medicine. 2024; 13(12):3623. https://doi.org/10.3390/jcm13123623
Chicago/Turabian StyleGozar, Liliana, Maria Oana Săsăran, Marius Cătălin Cosma, Daniela Toma, Andreea Georgiana Nan, and Horea Gozar. 2024. "Raghib Syndrome and Pulmonary Arterial Hypertension in a Pediatric Patient: Case Report and Literature Review" Journal of Clinical Medicine 13, no. 12: 3623. https://doi.org/10.3390/jcm13123623
APA StyleGozar, L., Săsăran, M. O., Cosma, M. C., Toma, D., Nan, A. G., & Gozar, H. (2024). Raghib Syndrome and Pulmonary Arterial Hypertension in a Pediatric Patient: Case Report and Literature Review. Journal of Clinical Medicine, 13(12), 3623. https://doi.org/10.3390/jcm13123623

