Assessing Residual Gastric Fluid Volume after Administering Diluted Oral Contrast until One Hour Prior to Anesthesia in Children: An Observational Cohort Study
Abstract
1. Introduction
2. Materials and Methods
2.1. Participants
2.2. Interventions
2.3. CT Contrast Protocol
2.4. CT Examinations
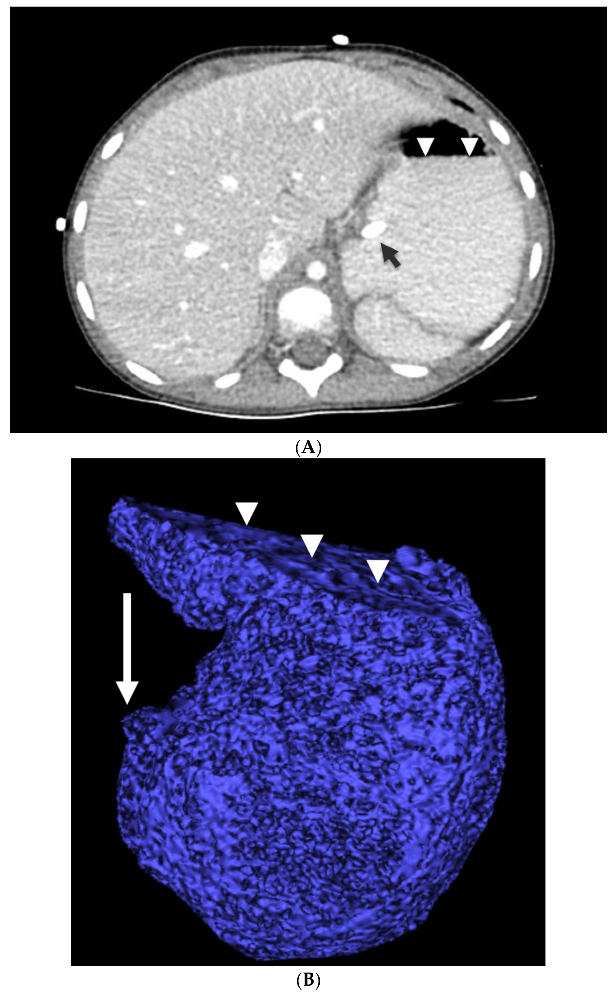
2.5. CT Image Evaluation
2.6. Outcome Measurements
2.7. Statistical Analysis
2.8. Power Analysis
3. Results
3.1. Primary Outcome
3.2. Secondary Outcomes
3.2.1. Gastric Fluid Volume using CT in Relation to Time
3.2.2. Weight, Age, ASA Status, and Aspiration
3.2.3. Gastric pH
3.2.4. Gastric Fluid Volume Measured Using CT vs. Gastric Fluid Volume Measured Using Aspiration
3.2.5. Airway Support
4. Discussion
Author Contributions
Funding
Institutional Review Board Statement
Informed Consent Statement
Data Availability Statement
Acknowledgments
Conflicts of Interest
References
- Dobson, G.; Filteau, L.; Fuda, G.; McIntyre, I.; Milne, A.D.; Milkovich, R. Guidelines to the Practice of Anesthesia—Revised Edition 2022. Can. J. Anaesth. 2022, 69, 24–61. [Google Scholar] [CrossRef]
- Frykholm, P.; Disma, N.; Andersson, H.; Beck, C.; Bouvet, L.; Cercueil, E.; Afshari, A. Pre-operative fasting in children: A guideline from the European Society of Anaesthesiology and Intensive Care. Eur. J. Anaesthesiol. 2022, 39, 4–25. [Google Scholar] [CrossRef]
- Joshi, G.P.; Abdelmalak, B.B.; Weigel, W.A.; Harbell, M.W.; Kuo, C.I.; Soriano, S.G.; Stricker, P.A.; Tipton, T.; Grant, M.D.; Marbella, A.M.; et al. 2023 American Society of Anesthesiologists Practice Guidelines for Preoperative Fasting: Carbohydrate-containing Clear Liquids with or without Protein, Chewing Gum, and Pediatric Fasting Duration—A Modular Update of the 2017 American Society of Anesthesiologists Practice Guidelines for Preoperative Fasting. Anesthesiology 2023, 138, 132–151. [Google Scholar] [CrossRef]
- Keeter, S.; Benator, R.M.; Weinberg, S.M.; Hartenberg, M.A. Sedation in pediatric CT: National survey of current practice. Radiology 1990, 175, 745–752. [Google Scholar] [CrossRef]
- Berger-Achituv, S.; Zissin, R.; Shenkman, Z.; Gutermacher, M.; Erez, I. Gastric Emptying Time of Oral Contrast Material in Children and Adolescents Undergoing Abdominal Computed Tomography. J. Pediatr. Gastroenterol. Nutr. 2010, 51, 31–34. [Google Scholar] [CrossRef]
- Mahmoud, M.; McAuliffe, J.; Kim, H.Y.; Mishra, P.; Salisbury, S.; Schnell, B.; Donnelly, L.F. Oral contrast for abdominal computed tomography in children: The effects on gastric fluid volume. Anesth. Analg. 2010, 111, 1252–1258. [Google Scholar] [CrossRef]
- Kim, S.K. Small intestine transit time in the normal small bowel study. Am. J. Roentgenol. Radium. Ther. Nucl. Med. 1968, 104, 522–524. [Google Scholar] [CrossRef]
- Kaufman, R.; Kransdorf, M.; Jelinek, J.; Moser, R.; Utz, J.; Brower, A.; Hudson, T.; Berrey, B.; Reeder, J.; Matz, S.; et al. Technical aspects of abdominal CT in infants and children. AJR Am. J. Roentgenol. 1989, 153, 549–554. [Google Scholar] [CrossRef]
- Okada, Y.; Toyama, H.; Kamata, K.; Yamauchi, M. A clinical study comparing ultrasound-measured pyloric antrum cross-sectional area to computed tomography-measured gastric content volume to detect high-risk stomach in supine patients undergoing emergency abdominal surgery. J. Clin. Monit. Comput. 2020, 34, 875–881. [Google Scholar] [CrossRef]
- Breiman, R.; Beck, J.; Korobkin, M.; Glenny, R.; Akwari, O.; Heaston, D.; Moore, A.; Ram, P.; Breiman, J.B.R.; Yetter, E.M.; et al. Volume determinations using computed tomography. Am. J. Roentgenol. 1982, 138, 329–333. [Google Scholar] [CrossRef]
- Nagpal, P.; Prakash, A.; Pradhan, G.; Vidholia, A.; Nagpal, N.; Saboo, S.S.; Khandelwal, A. MDCT imaging of the stomach: Advances and applications. Br. J. Radiol. 2017, 90, 20160412. [Google Scholar] [CrossRef]
- Mazonakis, M.; Damilakis, J. Computed tomography: What and how does it measure? Eur. J. Radiol. 2016, 85, 1499–1504. [Google Scholar] [CrossRef]
- Van de Putte, P.; Perlas, A. The link between gastric volume and aspiration risk. In search of the Holy Grail? Anaesthesia 2018, 73, 274–279. [Google Scholar] [CrossRef]
- Harter, R.L.; Kelly, W.B.; Kramer, M.G.; Perez, C.E.; Dzwonczyk, R.R. A comparison of the volume and pH of gastric contents of obese and lean surgical patients. Anesth. Analg. 1998, 86, 147–152. [Google Scholar] [CrossRef]
- Perlas, A.; Davis, L.; Khan, M.; Mitsakakis, N.; Chan, V.W. Gastric sonography in the fasted surgical patient: A prospective descriptive study. Anesth. Analg. 2011, 113, 93–97. [Google Scholar] [CrossRef]
- Van de Putte, P.; Vernieuwe, L.; Jerjir, A.; Verschueren, L.; Tacken, M.; Perlas, A. When fasted is not empty: A retrospective cohort study of gastric content in fasted surgical patients. Br. J. Anaesth. 2017, 118, 363–371. [Google Scholar] [CrossRef]
- Kharazmi, S.A.; Kamat, P.P.; Simoneaux, S.F.; Simon, H.K. Violating Traditional NPO Guidelines with PO Contrast before Sedation for Computed Tomography. Pediatr. Emerg. Care 2013, 29, 979–981. [Google Scholar] [CrossRef]
- Ziegler, M.A.; Fricke, B.L.; Donnelly, L.F. Is Administration of Enteric Contrast Material Safe Before Abdominal CT in Children Who Require Sedation? Experience with Chloral Hydrate and Pentobarbital. Am. J. Roentgenol. 2003, 180, 13–15. [Google Scholar] [CrossRef]
- Practice Guidelines for Preoperative Fasting and the Use of Pharmacologic Agents to Reduce the Risk of Pulmonary Aspiration: Application to Healthy Patients Undergoing Elective Procedures: An Updated Report by the American Society of Anesthesiologists Task Force on Preoperative Fasting and the Use of Pharmacologic Agents to Reduce the Risk of Pulmonary Aspiration*. Anesthesiology 2017, 126, 376–393.
- Vandenbroucke, J.P.; von Elm, E.; Altman, D.G.; Gøtzsche, P.C.; Mulrow, C.D.; Pocock, S.J. Strengthening the Reporting of Ob-servational Studies in Epidemiology (STROBE): Explanation and elaboration. Ann. Intern. Med. 2007, 147, W163–W194. [Google Scholar] [CrossRef]
- Cook-Sather, S.D.; Liacouras, C.A.; Previte, J.P.; Markakis, D.A.; Schreiner, M.S. Gastric fluid measurement by blind aspiration in paediatric patients: A gastroscopic evaluation. Can. J. Anaesth. 1997, 44, 168–172. [Google Scholar] [CrossRef]
- Wittgrove, C.; Birisci, E.; Kantor, J.; Dalabih, A. Gastric volume and its relationship to underlying pathology or acid-suppressing medication. Anesth. Essays Res. 2017, 11, 881–885. [Google Scholar] [CrossRef]
- Spencer, A.O.; Walker, A.M.; Yeung, A.K.; Lardner, D.R.; Yee, K.; Mulvey, J.M.; Perlas, A. Ultrasound assessment of gastric volume in the fasted pediatric patient undergoing upper gastrointestinal endoscopy: Development of a predictive model using endoscopically suctioned volumes. Paediatr. Anaesth. 2015, 25, 301–308. [Google Scholar] [CrossRef]
- Schwartz, D.A.; Connelly, N.R.; Theroux, C.A.; Gibson, C.S.; Ostrom, D.N.; Dunn, S.M.; Angelides, A.G. Gastric contents in children presenting for upper endoscopy. Anesth. Analg. 1998, 87, 757–760. [Google Scholar] [CrossRef]
- Ingebo, K.R.; Rayhorn, N.J.; Hecht, R.M.; Shelton, M.T.; Silber, G.H.; Shub, M.D. Sedation in children: Adequacy of two-hour fasting. J. Pediatr. 1997, 131 Pt 1, 155–158. [Google Scholar] [CrossRef]
- R Core Team. R: A Language and Environment for Statistical Computing; R Foundation for Statistical Computing: Vienna, Austria, 2017; Available online: https://www.R-project.org/ (accessed on 7 November 2023).
- Schmitz, A.; Kellenberger, C.J.; Lochbuehler, N.; Fruehauf, M.; Klaghofer, R.; Fruehauf, H.; Weiss, M. Effect of different quantities of a sugared clear fluid on gastric emptying and residual volume in children: A crossover study using magnetic resonance imaging. Br. J. Anaesth. 2012, 108, 644–647. [Google Scholar] [CrossRef]
- Sarhan, K.A.; Hasaneen, H.; Hasanin, A.; Mohammed, H.; Saleh, R.; Kamel, A. Ultrasound Assessment of Gastric Fluid Volume in Children Scheduled for Elective Surgery After Clear Fluid Fasting for 1 Versus 2 Hours: A Randomized Controlled Trial. Obstet. Anesthesia Dig. 2023, 136, 711–718. [Google Scholar] [CrossRef]
- Beck, C.E.; Chandrakumar, T.; Sümpelmann, R.; Nickel, K.; Keil, O.; Heiderich, S.; Boethig, D.; Witt, L.; Dennhardt, N. Ultrasound assessment of gastric emptying time after intake of clear fluids in children scheduled for general anesthesia—A prospective observational study. Pediatr. Anesthesia 2020, 30, 1384–1389. [Google Scholar] [CrossRef]
- Schmidt, A.R.; Buehler, P.; Seglias, L.; Stark, T.; Brotschi, B.; Renner, T.; Sabandal, C.; Klaghofer, R.; Weiss, M.; Schmitz, A. Gastric pH and residual volume after 1 and 2 h fasting time for clear fluids in children. Br. J. Anaesth. 2015, 114, 477–482. [Google Scholar] [CrossRef]
- Aschkenasy, G.; Leder, O.; Pardes, R.; Nir, E.A.; Shteyer, E.; Orlanski-Meyer, E.; Gozal, Y. Preoperative clear fluid fasting and endoscopy-measured gastric fluid volume in children. Paediatr. Anaesth. 2023, 33, 532–538. [Google Scholar] [CrossRef]
- Cook-Sather, S.D.; Gallagher, P.R.; Kruge, L.E.; Beus, J.M.; Ciampa, B.P.; Welch, K.C.; Schreiner, M.S. Overweight/obesity and gastric fluid characteristics in pediatric day surgery: Implications for fasting guidelines and pulmonary aspiration risk. Anesth. Analg. 2009, 109, 727–736. [Google Scholar] [CrossRef]
- Cook-Sather, S.D.; Tulloch, H.V.; Liacouras, C.A.; Schreiner, M.S. Gastric fluid volume in infants for pyloromyotomy. Can. J. Anaesth. 1997, 44, 278–283. [Google Scholar] [CrossRef]
- Søreide, E.; Søreide, J.; Holst-Larsen, M.H.; Steen, P.A. Studies of gastric content: Comparison of two methods. Br. J. Anaesth. 1993, 70, 360–362. [Google Scholar] [CrossRef][Green Version]
- Taylor, W.J.; Champion, M.; Barry, A.W.; Hurtig, J.B. Measuring gastric contents during general anaesthesia: Evaluation of blind gastric aspiration. Can. J. Anaesth. 1989, 36, 51–54. [Google Scholar] [CrossRef]
- Splinter, W.M.; Schreiner, M.S. Preoperative fasting in children. Anesth. Analg. 1999, 89, 80–89. [Google Scholar] [CrossRef]
- Splinter, W.M.; Stewart, J.A.; Muir, J.G. Large volumes of apple juice preoperatively do not affect gastric pH and volume in children. Can. J. Anaesth. 1990, 37, 36–39. [Google Scholar] [CrossRef]
- Schreiner, M.S.; Triebwasser, A.; Keon, T.P. Ingestion of Liquids Compared with Preoperative Fasting in Pediatric Outpatients. Anesthesiology 1990, 72, 593–597. [Google Scholar] [CrossRef]
- Jones, M.J.; Mitchell, R.W.; Hindocha, N. Effect of Increased Intra-Abdominal Pressure during Laparoscopy on the Lower Esophageal Sphincter. Anesth. Analg. 1989, 68, 63–65. [Google Scholar] [CrossRef]
- Unverzagt, S.; Prondzinsky, R.; Peinemann, F. Single-center trials tend to provide larger treatment effects than multicenter trials: A systematic review. J. Clin. Epidemiol. 2013, 66, 1271–1280. [Google Scholar] [CrossRef]
- Kang, J.G.; Kim, J.K.; Jeong, H.S.; Jung, S.C.; Ko, M.H.; Park, S.H.; Dal Lee, B. A prospective, randomized comparison of the effects of inhaled sevoflurane anesthesia and propofol/remifentanil intravenous anesthesia on salivary excretion during laryngeal microsurgery. Anesth. Analg. 2008, 106, 1723–1727. [Google Scholar] [CrossRef]





| Patient’s Weight (Kg) | Omnipaque™ 300 (Oral) (mL) | Diluent (Clear, Non-Carbonated Liquid) Total Vol.-mL (oz) | Weight Range (mL/Kg) |
|---|---|---|---|
| 0–4.4 | 2 | 90 (3 oz.) | 0–20.5 |
| 4.5–8.9 | 4 | 180 (6 oz.) | 20.2–40 |
| 9–17.9 | 6 | 270 (9 oz.) | 15.1–30 |
| 18–35.9 | 8 | 360 (12 oz.) | 10–20 |
| 36–45 | 12 | 480 (16 oz.) | 10.7–13.3 |
| 45.1–69 | 14 | 600 (20 oz.) | 8.7–13.3 |
| >70 | 18 | 750 (25 oz.) | 10.7 |
| Variable | N (%) | Median (Q1, Q3) | Min | Max |
|---|---|---|---|---|
| Male/Female | 38(54):32(46) | |||
| ASA status I/II/III/IV | 2/16/47/5 (3/23/67/7) | |||
| Weight (Kg) | 70 | 13.45 (11.12, 15.59) | 5.28 | 30.2 |
| Age (years) | 70 | 2.75 (1.59, 3.87) | 0.25 | 8.09 |
| Time from end of contrast to CT start (min) | 69 | 1.46 (1.3, 1.75) | 1.05 | 2.23 |
| Gastric Fluid from CT scan (mL) | 70 | 13.57 (3.67, 35.45) | 0.17 | 124.68 |
| Gastric Fluid from Aspirate (mL) | 69 | 6 (0, 22) | 0 | 110 |
| Gastric pH | 70 | 2 (1.5, 2) | 0 | 6 |
| Subject | CT Volume (mL) | Weight (Kg) | Calculated Volume Per Weight by CT Image mL/Kg | Gastric Aspirate (mL) | Primary Diagnosis/Comorbidities |
|---|---|---|---|---|---|
| GRV056 | 124.69 | 15.6 | 7.99 | 110 | Renal cell carcinoma |
| GRV002 | 95.97 | 12.2 | 7.87 | 0 | Neuroblastoma |
| GRV008 | 108.03 | 15.57 | 6.94 | 0 | Dyskeratosis congenita |
| GRV062 | 54.13 | 8.6 | 6.29 | 37 | Kawasaki disease |
| GRV004 | 93.16 | 17.2 | 5.42 | 0 | Lymphoproliferative syndrome |
| GRV038 | 58.36 | 13.2 | 4.42 | 5 | Trisomy 21, AML |
| GRV065 | 42.36 | 9.85 | 4.3 | 38 | Wiskott–Aldrich syndrome |
| GRV061 | 87 | 20.9 | 4.16 | 90 | Mesentric adenitis, asthma, chronic abdominal pain |
| GRV076 | 81 | 19.7 | 4.11 | 55 | HLH |
| GRV036 | 35.90 | 9.8 | 3.66 | 0 | Metastatic malignant melanoma |
| GRV064 | 36.89 | 10.6 | 3.48 | 38 | s/p liver transplant, GERD, neutropenia with fever |
| GRV010 | 52.01 | 15.3 | 3.40 | 0 | Nephrotic syndrome, ESRD, hypertension |
| GRV049 | 69.72 | 20.9 | 3.34 | 19 | Esophagitis, duodenitis |
| GRV023 | 42.51 | 12.78 | 3.34 | 20 | Strep pneumonia, bacteremia |
| GRV026 | 34.13 | 11.4 | 2.99 | 22 | HCC s/p liver transplant |
| GRV066 | 24.65 | 8.4 | 2.93 | 13 | Renal cyst, GERD |
| GRV007 | 30.27 | 11.6 | 2.61 | 28 | AML, Seizures |
| GRV024 | 24.14 | 10.1 | 2.39 | 7 | Pulmonary myofibroblastic tumor |
| GRV045 | 30.20 | 12.7 | 2.38 | 3 | s/p liver transplant |
| GRV001 | 38.52 | 16.4 | 2.35 | 0 | Diamond–Blackfan anemia |
Disclaimer/Publisher’s Note: The statements, opinions and data contained in all publications are solely those of the individual author(s) and contributor(s) and not of MDPI and/or the editor(s). MDPI and/or the editor(s) disclaim responsibility for any injury to people or property resulting from any ideas, methods, instructions or products referred to in the content. |
© 2024 by the authors. Licensee MDPI, Basel, Switzerland. This article is an open access article distributed under the terms and conditions of the Creative Commons Attribution (CC BY) license (https://creativecommons.org/licenses/by/4.0/).
Share and Cite
Narayanasamy, S.; Fleck, R.J.; Kandil, A.I.; Afonya, B.; Mahmoud, H.; Lee, J.; Ding, L.; Mahmoud, M.A. Assessing Residual Gastric Fluid Volume after Administering Diluted Oral Contrast until One Hour Prior to Anesthesia in Children: An Observational Cohort Study. J. Clin. Med. 2024, 13, 3584. https://doi.org/10.3390/jcm13123584
Narayanasamy S, Fleck RJ, Kandil AI, Afonya B, Mahmoud H, Lee J, Ding L, Mahmoud MA. Assessing Residual Gastric Fluid Volume after Administering Diluted Oral Contrast until One Hour Prior to Anesthesia in Children: An Observational Cohort Study. Journal of Clinical Medicine. 2024; 13(12):3584. https://doi.org/10.3390/jcm13123584
Chicago/Turabian StyleNarayanasamy, Suryakumar, Robert J. Fleck, Ali I. Kandil, Boma Afonya, Hana Mahmoud, Jiwon Lee, Lili Ding, and Mohamed A. Mahmoud. 2024. "Assessing Residual Gastric Fluid Volume after Administering Diluted Oral Contrast until One Hour Prior to Anesthesia in Children: An Observational Cohort Study" Journal of Clinical Medicine 13, no. 12: 3584. https://doi.org/10.3390/jcm13123584
APA StyleNarayanasamy, S., Fleck, R. J., Kandil, A. I., Afonya, B., Mahmoud, H., Lee, J., Ding, L., & Mahmoud, M. A. (2024). Assessing Residual Gastric Fluid Volume after Administering Diluted Oral Contrast until One Hour Prior to Anesthesia in Children: An Observational Cohort Study. Journal of Clinical Medicine, 13(12), 3584. https://doi.org/10.3390/jcm13123584

