Risk Stratification and Management of Intermediate-Risk Acute Pulmonary Embolism
Abstract
1. Introduction
2. Acute Pulmonary Embolism Definitions and Classification
3. Indicators of Risk in Pulmonary Embolism
3.1. Serologic Biomarkers
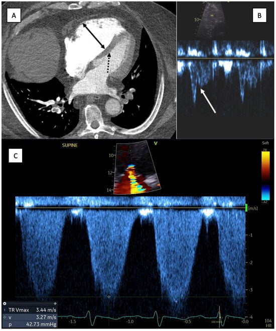
3.2. Imaging: Use of Echocardiography, Computed Tomography Pulmonary Angiography, and Invasive Hemodynamic Assessment
4. Management of Intermediate-Risk Pulmonary Embolism
Medical Management: Anticoagulation
5. Escalation of Care Therapies
5.1. Role of Thrombolytic Therapy
5.2. Catheter-Based Strategies
6. Ongoing Trials for Intermediate-Risk Pulmonary Embolism
7. The Importance of Multidisciplinary Teams: The Pert
8. Conclusions
Funding
Conflicts of Interest
References
- Porres-Aguilar, M.; Rosovsky, R.P.; Rivera-Lebron, B.N.; Kaatz, S.; Mukherjee, D.; Anaya-Ayala, J.E.; Jimenez, D.; Jerjes-Sánchez, C. Pulmonary Embolism Response Teams: Changing the Paradigm in the Care for Acute Pulmonary Embolism. J. Thromb. Haemost. 2022, 20, 2457–2464. [Google Scholar] [CrossRef] [PubMed]
- Keller, K.; Hobohm, L.; Ebner, M.; Kresoja, K.-P.; Münzel, T.; Konstantinides, S.V.; Lankeit, M. Trends in Thrombolytic Treatment and Outcomes of Acute Pulmonary Embolism in Germany. Eur. Heart J. 2020, 41, 522–529. [Google Scholar] [CrossRef] [PubMed]
- Lehnert, P.; Lange, T.; Møller, C.H.; Olsen, P.S.; Carlsen, J. Acute Pulmonary Embolism in a National Danish Cohort: Increasing Incidence and Decreasing Mortality. Thromb. Haemost. 2018, 118, 539–546. [Google Scholar] [CrossRef] [PubMed]
- 2019 ESC Guidelines for the Diagnosis and Management of Acute Pulmonary Embolism Developed in Collaboration with the European Respiratory Society (ERS)|European Heart Journal|Oxford Academic. Available online: https://academic.oup.com/eurheartj/article/41/4/543/5556136?login=true (accessed on 24 July 2023).
- Piazza, G. Advanced Management of Intermediate- and High-Risk Pulmonary Embolism: JACC Focus Seminar. J. Am. Coll. Cardiol. 2020, 76, 2117–2127. [Google Scholar] [CrossRef] [PubMed]
- Wendelboe, A.M.; Raskob, G.E. Global Burden of Thrombosis: Epidemiologic Aspects. Circ. Res. 2016, 118, 1340–1347. [Google Scholar] [CrossRef] [PubMed]
- Pulmonary Embolism in Patients with COVID-19. American College of Cardiology. Available online: https://www.acc.org/latest-in-cardiology/journal-scans/2021/07/09/14/31/http%3a%2f%2fwww.acc.org%2flatest-in-cardiology%2fjournal-scans%2f2021%2f07%2f09%2f14%2f31%2fpulmonary-embolism-in-patients (accessed on 25 July 2023).
- Katsoularis, I.; Fonseca-Rodríguez, O.; Farrington, P.; Jerndal, H.; Lundevaller, E.H.; Sund, M.; Lindmark, K.; Connolly, A.-M.F. Risks of Deep Vein Thrombosis, Pulmonary Embolism, and Bleeding after COVID-19: Nationwide Self-Controlled Cases Series and Matched Cohort Study. BMJ 2022, 377, e069590. [Google Scholar] [CrossRef]
- Jaff, M.R.; McMurtry, M.S.; Archer, S.L.; Cushman, M.; Goldenberg, N.; Goldhaber, S.Z.; Jenkins, J.S.; Kline, J.A.; Michaels, A.D.; Thistlethwaite, P.; et al. Management of Massive and Submassive Pulmonary Embolism, Iliofemoral Deep Vein Thrombosis, and Chronic Thromboembolic Pulmonary Hypertension. Circulation 2011, 123, 1788–1830. [Google Scholar] [CrossRef]
- Jiménez, D.; Yusen, R.D.; Otero, R.; Uresandi, F.; Nauffal, D.; Laserna, E.; Conget, F.; Oribe, M.; Cabezudo, M.A.; Díaz, G. Prognostic Models for Selecting Patients with Acute Pulmonary Embolism for Initial Outpatient Therapy. Chest 2007, 132, 24–30. [Google Scholar] [CrossRef]
- Frémont, B.; Pacouret, G.; Jacobi, D.; Puglisi, R.; Charbonnier, B.; de Labriolle, A. Prognostic Value of Echocardiographic Right/Left Ventricular End-Diastolic Diameter Ratio in Patients with Acute Pulmonary Embolism: Results from a Monocenter Registry of 1,416 Patients. Chest 2008, 133, 358–362. [Google Scholar] [CrossRef]
- Post, F.; Mertens, D.; Sinning, C.; Peetz, D.; Münzel, T. Decision for Aggressive Therapy in Acute Pulmonary Embolism: Implication of Elevated Troponin T. Clin. Res. Cardiol. 2009, 98, 401–408. [Google Scholar] [CrossRef]
- Scridon, T.; Scridon, C.; Skali, H.; Alvarez, A.; Goldhaber, S.Z.; Solomon, S.D. Prognostic Significance of Troponin Elevation and Right Ventricular Enlargement in Acute Pulmonary Embolism. Am. J. Cardiol. 2005, 96, 303–305. [Google Scholar] [CrossRef] [PubMed]
- Bova, C.; Pesavento, R.; Marchiori, A.; Palla, A.; Enea, I.; Pengo, V.; Visonà, A.; Noto, A.; Prandoni, P. Risk Stratification and Outcomes in Hemodynamically Stable Patients with Acute Pulmonary Embolism: A Prospective, Multicentre, Cohort Study with Three Months of Follow-Up. J. Thromb. Haemost. 2009, 7, 938–944. [Google Scholar] [CrossRef] [PubMed]
- Kline, J.A.; Hernandez-Nino, J.; Rose, G.A.; Norton, H.J.; Camargo, C.A.J. Surrogate Markers for Adverse Outcomes in Normotensive Patients with Pulmonary Embolism. Crit. Care Med. 2006, 34, 2773. [Google Scholar] [CrossRef] [PubMed]
- Secemsky, E.; Chang, Y.; Jain, C.C.; Beckman, J.A.; Giri, J.; Jaff, M.R.; Rosenfield, K.; Rosovsky, R.; Kabrhel, C.; Weinberg, I. Contemporary Management and Outcomes of Patients with Massive and Submassive Pulmonary Embolism. Am. J. Med. 2018, 131, 1506–1514. [Google Scholar] [CrossRef] [PubMed]
- Lankeit, M.; Friesen, D.; Aschoff, J.; Dellas, C.; Hasenfuß, G.; Katus, H.; Konstantinides, S.; Giannitsis, E. Highly Sensitive Troponin T Assay in Normotensive Patients with Acute Pulmonary Embolism. Eur. Heart J. 2010, 31, 1836–1844. [Google Scholar] [CrossRef] [PubMed]
- Giri, J.; Sista, A.K.; Weinberg, I.; Kearon, C.; Kumbhani, D.J.; Desai, N.D.; Piazza, G.; Gladwin, M.T.; Chatterjee, S.; Kobayashi, T.; et al. Interventional Therapies for Acute Pulmonary Embolism: Current Status and Principles for the Development of Novel Evidence: A Scientific Statement from the American Heart Association. Circulation 2019, 140, e774–e801. [Google Scholar] [CrossRef]
- Aujesky, D.; Obrosky, D.S.; Stone, R.A.; Auble, T.E.; Perrier, A.; Cornuz, J.; Roy, P.-M.; Fine, M.J. Derivation and Validation of a Prognostic Model for Pulmonary Embolism. Am. J. Respir. Crit. Care Med. 2005, 172, 1041–1046. [Google Scholar] [CrossRef]
- Jiménez, D.; Aujesky, D.; Moores, L.; Gómez, V.; Lobo, J.L.; Uresandi, F.; Otero, R.; Monreal, M.; Muriel, A.; Yusen, R.D.; et al. Simplification of the Pulmonary Embolism Severity Index for Prognostication in Patients with Acute Symptomatic Pulmonary Embolism. Arch. Intern. Med. 2010, 170, 1383–1389. [Google Scholar] [CrossRef]
- Yamashita, Y.; Morimoto, T.; Amano, H.; Takase, T.; Hiramori, S.; Kim, K.; Oi, M.; Akao, M.; Kobayashi, Y.; Toyofuku, M.; et al. Validation of Simplified PESI Score for Identification of Low-Risk Patients with Pulmonary Embolism: From the COMMAND VTE Registry. Eur. Heart J. Acute Cardiovasc. Care 2020, 9, 262–270. [Google Scholar] [CrossRef]
- Stevens, S.M.; Woller, S.C.; Kreuziger, L.B.; Bounameaux, H.; Doerschug, K.; Geersing, G.-J.; Huisman, M.V.; Kearon, C.; King, C.S.; Knighton, A.J.; et al. Antithrombotic Therapy for VTE Disease: Second Update of the CHEST Guideline and Expert Panel Report. CHEST 2021, 160, e545–e608. [Google Scholar] [CrossRef]
- Bajaj, A.; Saleeb, M.; Rathor, P.; Sehgal, V.; Kabak, B.; Hosur, S. Prognostic Value of Troponins in Acute Nonmassive Pulmonary Embolism: A Meta-Analysis. Heart Lung 2015, 44, 327–334. [Google Scholar] [CrossRef] [PubMed]
- Becattini, C.; Vedovati, M.C.; Agnelli, G. Prognostic Value of Troponins in Acute Pulmonary Embolism: A Meta-Analysis. Circulation 2007, 116, 427–433. [Google Scholar] [CrossRef] [PubMed]
- Bikdeli, B.; Muriel, A.; Rodríguez, C.; González, S.; Briceño, W.; Mehdipoor, G.; Piazza, G.; Ballaz, A.; Lippi, G.; Yusen, R.D.; et al. High-Sensitivity vs Conventional Troponin Cutoffs for Risk Stratification in Patients With Acute Pulmonary Embolism. JAMA Cardiol. 2023. [Google Scholar] [CrossRef] [PubMed]
- Klok, F.A.; Mos, I.C.M.; Huisman, M.V. Brain-Type Natriuretic Peptide Levels in the Prediction of Adverse Outcome in Patients with Pulmonary Embolism: A Systematic Review and Meta-Analysis. Am. J. Respir. Crit. Care Med. 2008, 178, 425–430. [Google Scholar] [CrossRef] [PubMed]
- Wu, J.; Gillam, L.; Solomon, S.; Bulwer, B. Echocardiography. In Braunwald’s Heart Disease: A Textbook of Cardiovascular Medicine; Elsevier Inc.: Amsterdam, The Netherlands, 2022; pp. 196–267. [Google Scholar]
- Dabbouseh, N.M.; Patel, J.J.; Bergl, P.A. Role of Echocardiography in Managing Acute Pulmonary Embolism. Heart 2019, 105, 1785–1792. [Google Scholar] [CrossRef]
- Brailovsky, Y.; Lakhter, V.; Weinberg, I.; Porcaro, K.; Haines, J.; Morris, S.; Masic, D.; Mancl, E.; Bashir, R.; Alkhouli, M.; et al. Right Ventricular Outflow Doppler Predicts Low Cardiac Index in Intermediate Risk Pulmonary Embolism. Clin. Appl. Thromb. Off. J. Int. Acad. Clin. Appl. Thromb. 2019, 25, 1076029619886062. [Google Scholar] [CrossRef]
- Cho, J.H.; Kutti Sridharan, G.; Kim, S.H.; Kaw, R.; Abburi, T.; Irfan, A.; Kocheril, A.G. Right Ventricular Dysfunction as an Echocardiographic Prognostic Factor in Hemodynamically Stable Patients with Acute Pulmonary Embolism: A Meta-Analysis. BMC Cardiovasc. Disord. 2014, 14, 64. [Google Scholar] [CrossRef]
- Kurnicka, K.; Lichodziejewska, B.; Goliszek, S.; Dzikowska-Diduch, O.; Zdończyk, O.; Kozłowska, M.; Kostrubiec, M.; Ciurzyński, M.; Palczewski, P.; Grudzka, K.; et al. Echocardiographic Pattern of Acute Pulmonary Embolism: Analysis of 511 Consecutive Patients. J. Am. Soc. Echocardiogr. Off. Publ. Am. Soc. Echocardiogr. 2016, 29, 907–913. [Google Scholar] [CrossRef]
- Hendriks, S.V.; Klok, F.A.; den Exter, P.L.; Eijsvogel, M.; Faber, L.M.; Hofstee, H.M.A.; Iglesias del Sol, A.; Kroft, L.J.M.; Mairuhu, A.T.A.; Huisman, M.V. Right Ventricle–to–Left Ventricle Diameter Ratio Measurement Seems to Have No Role in Low-Risk Patients with Pulmonary Embolism Treated at Home Triaged by Hestia Criteria. Am. J. Respir. Crit. Care Med. 2020, 202, 138–141. [Google Scholar] [CrossRef]
- Contractor, S.; Maldjian, P.D.; Sharma, V.K.; Gor, D.M. Role of Helical CT in Detecting Right Ventricular Dysfunction Secondary to Acute Pulmonary Embolism. J. Comput. Assist. Tomogr. 2002, 26, 587. [Google Scholar] [CrossRef]
- Lyhne, M.D.; Schultz, J.G.; MacMahon, P.J.; Haddad, F.; Kalra, M.; Tso, D.M.-K.; Muzikansky, A.; Lev, M.H.; Kabrhel, C. Septal Bowing and Pulmonary Artery Diameter on Computed Tomography Pulmonary Angiography Are Associated with Short-Term Outcomes in Patients with Acute Pulmonary Embolism. Emerg. Radiol. 2019, 26, 623–630. [Google Scholar] [CrossRef] [PubMed]
- Becattini, C.; Agnelli, G.; Germini, F.; Vedovati, M.C. Computed Tomography to Assess Risk of Death in Acute Pulmonary Embolism: A Meta-Analysis. Eur. Respir. J. 2014, 43, 1678–1690. [Google Scholar] [CrossRef] [PubMed]
- Yuriditsky, E.; Mitchell, O.J.L.; Sista, A.K.; Xia, Y.; Sibley, R.A.; Zhong, J.; Moore, W.H.; Amoroso, N.E.; Goldenberg, R.M.; Smith, D.E.; et al. Right Ventricular Stroke Distance Predicts Death and Clinical Deterioration in Patients with Pulmonary Embolism. Thromb. Res. 2020, 195, 29–34. [Google Scholar] [CrossRef]
- Moceri, P.; Duchateau, N.; Sartre, B.; Baudouy, D.; Squara, F.; Sermesant, M.; Ferrari, E. Value of 3D Right Ventricular Function over 2D Assessment in Acute Pulmonary Embolism. Echocardiography 2021, 38, 1694–1701. [Google Scholar] [CrossRef] [PubMed]
- Ammari, Z.; Al-Sarie, M.; Ea, A.; Sangera, R.; George, J.C.; Varghese, V.; Brewster, P.S.; Xie, Y.; Chen, T.; Sun, Z.; et al. Predictors of Reduced Cardiac Index in Patients with Acute Submassive Pulmonary Embolism. Catheter. Cardiovasc. Interv. 2021, 97, 292–298. [Google Scholar] [CrossRef] [PubMed]
- He, Q.; Lin, Y.; Zhu, Y.; Gao, L.; Ji, M.; Zhang, L.; Xie, M.; Li, Y. Clinical Usefulness of Right Ventricle–Pulmonary Artery Coupling in Cardiovascular Disease. J. Clin. Med. 2023, 12, 2526. [Google Scholar] [CrossRef]
- Hsu, S. Coupling Right Ventricular–Pulmonary Arterial Research to the Pulmonary Hypertension Patient Bedside. Circ. Heart Fail. 2019, 12, e005715. [Google Scholar] [CrossRef]
- Ünlü, S.; Voigt, J.-U. Right Ventriculo-Arterial Coupling Assessed by Right Ventricular Strain Is a Superior Predictor of Clinical Outcome in Patients with Pulmonary Arterial Hypertension. Eur. Heart J. Cardiovasc. Imaging 2023, 24, e53. [Google Scholar] [CrossRef]
- Barritt, D.W.; Jordan, S.C. Anticoagulant drugs in the treatment of pulmonary embolism: A controlled trial. Lancet 1960, 275, 1309–1312. [Google Scholar] [CrossRef]
- Erkens, P.M.; Prins, M.H. Fixed Dose Subcutaneous Low Molecular Weight Heparins versus Adjusted Dose Unfractionated Heparin for Venous Thromboembolism. Cochrane Database Syst. Rev. 2010, CD001100. [Google Scholar] [CrossRef]
- Agnelli, G.; Becattini, C.; Bauersachs, R.; Brenner, B.; Campanini, M.; Cohen, A.; Connors, J.M.; Fontanella, A.; Gussoni, G.; Huisman, M.V.; et al. Apixaban versus Dalteparin for the Treatment of Acute Venous Thromboembolism in Patients with Cancer: The Caravaggio Study. Thromb. Haemost. 2018, 118, 1668–1678. [Google Scholar] [CrossRef] [PubMed]
- EINSTEIN–PE Investigators. Oral Rivaroxaban for the Treatment of Symptomatic Pulmonary Embolism. N. Engl. J. Med. 2012, 366, 1287–1297. [Google Scholar] [CrossRef] [PubMed]
- Agnelli, G.; Becattini, C.; Meyer, G.; Muñoz, A.; Huisman, M.V.; Connors, J.M.; Cohen, A.; Bauersachs, R.; Brenner, B.; Torbicki, A.; et al. Apixaban for the Treatment of Venous Thromboembolism Associated with Cancer. N. Engl. J. Med. 2020, 382, 1599–1607. [Google Scholar] [CrossRef] [PubMed]
- The Hokusai-VTE Investigators. Edoxaban versus Warfarin for the Treatment of Symptomatic Venous Thromboembolism. N. Engl. J. Med. 2013, 369, 1406–1415. [Google Scholar] [CrossRef] [PubMed]
- Martin, K.A.; Beyer-Westendorf, J.; Davidson, B.L.; Huisman, M.V.; Sandset, P.M.; Moll, S. Use of Direct Oral Anticoagulants in Patients with Obesity for Treatment and Prevention of Venous Thromboembolism: Updated Communication from the ISTH SSC Subcommittee on Control of Anticoagulation. J. Thromb. Haemost. 2021, 19, 1874–1882. [Google Scholar] [CrossRef]
- Riaz, I.B.; Fuentes, H.; Deng, Y.; Naqvi, S.A.A.; Yao, X.; Sangaralingham, L.R.; Houghton, D.E.; Padrnos, L.J.; Shamoun, F.E.; Wysokinski, W.E.; et al. Comparative Effectiveness of Anticoagulants in Patients with Cancer-Associated Thrombosis. JAMA Netw. Open 2023, 6, e2325283. [Google Scholar] [CrossRef]
- Meyer, G.; Vicaut, E.; Danays, T.; Agnelli, G.; Becattini, C.; Beyer-Westendorf, J.; Bluhmki, E.; Bouvaist, H.; Brenner, B.; Couturaud, F.; et al. Fibrinolysis for Patients with Intermediate-Risk Pulmonary Embolism. N. Engl. J. Med. 2014, 370, 1402–1411. [Google Scholar] [CrossRef]
- Sharifi, M.; Bay, C.; Skrocki, L.; Rahimi, F.; Mehdipour, M. Moderate Pulmonary Embolism Treated with Thrombolysis (from the “MOPETT” Trial). Am. J. Cardiol. 2013, 111, 273–277. [Google Scholar] [CrossRef]
- Kiser, T.H.; Burnham, E.L.; Clark, B.; Ho, P.M.; Allen, R.R.; Moss, M.; Vandivier, R.W. Half-Dose Versus Full-Dose Alteplase for Treatment of Pulmonary Embolism. Crit. Care Med. 2018, 46, 1617–1625. [Google Scholar] [CrossRef]
- Konstantinides, S.V.; Vicaut, E.; Danays, T.; Becattini, C.; Bertoletti, L.; Beyer, W.J.; Bouvaist, H.; Couturaud, F.; Dellas, C.; Duerschmied, D.; et al. Impact of Thrombolytic Therapy on the Long-Term Outcome of Intermediate-Risk Pulmonary Embolism. J. Am. Coll. Cardiol. 2017, 69, 1536–1544. [Google Scholar] [CrossRef]
- Mathew, D.; Seelam, S.; Bumrah, K.; Sherif, A.; Shrestha, U. Systemic Thrombolysis with Newer Thrombolytics vs Anticoagulation in Acute Intermediate Risk Pulmonary Embolism: A Systematic Review and Meta-Analysis. BMC Cardiovasc. Disord. 2023, 23, 482. [Google Scholar] [CrossRef] [PubMed]
- Outcomes in High-Risk Pulmonary Embolism Patients Undergoing FlowTriever Mechanical Thrombectomy or Other Contemporary Therapies: Results from the FLAME Study|Circulation: Cardiovascular Interventions. Available online: https://www.ahajournals.org/doi/10.1161/CIRCINTERVENTIONS.123.013406 (accessed on 26 November 2023).
- Kucher, N.; Boekstegers, P.; Müller, O.J.; Kupatt, C.; Beyer-Westendorf, J.; Heitzer, T.; Tebbe, U.; Horstkotte, J.; Müller, R.; Blessing, E.; et al. Randomized, Controlled Trial of Ultrasound-Assisted Catheter-Directed Thrombolysis for Acute Intermediate-Risk Pulmonary Embolism. Circulation 2014, 129, 479–486. [Google Scholar] [CrossRef] [PubMed]
- Piazza, G.; Hohlfelder, B.; Jaff, M.R.; Ouriel, K.; Engelhardt, T.C.; Sterling, K.M.; Jones, N.J.; Gurley, J.C.; Bhatheja, R.; Kennedy, R.J.; et al. A Prospective, Single-Arm, Multicenter Trial of Ultrasound-Facilitated, Catheter-Directed, Low-Dose Fibrinolysis for Acute Massive and Submassive Pulmonary Embolism: The SEATTLE II Study. JACC Cardiovasc. Interv. 2015, 8, 1382–1392. [Google Scholar] [CrossRef] [PubMed]
- Balanescu, D.V.; Tawney, A.M.; McNally, V.; Goldstein, J.A.; Bowers, T.R. C-37|Outcomes of Escalation of Care Versus Standard Anticoagulation for Intermediate-High Risk Pulmonary Embolism: An Experienced PERT Approach. J. Soc. Cardiovasc. Angiogr. Interv. 2023, 2, 100825. [Google Scholar] [CrossRef]
- Pasha, A.K.; Siddiqui, M.U.; Siddiqui, M.D.; Ahmed, A.; Abdullah, A.; Riaz, I.; Murad, M.H.; Bjarnason, H.; Wysokinski, W.E.; McBane, R.D. Catheter Directed Compared to Systemically Delivered Thrombolysis for Pulmonary Embolism: A Systematic Review and Meta-Analysis. J. Thromb. Thrombolysis 2022, 53, 454–466. [Google Scholar] [CrossRef] [PubMed]
- Kohi, M.P.; Kohlbrenner, R.; Kolli, K.P.; Lehrman, E.; Taylor, A.G.; Fidelman, N. Catheter Directed Interventions for Acute Deep Vein Thrombosis. Cardiovasc. Diagn. Ther. 2016, 6, 599–611. [Google Scholar] [CrossRef]
- Monteleone, P.; Ahern, R.; Banerjee, S.; Desai, K.R.; Kadian-Dodov, D.; Webber, E.; Omidvar, S.; Troy, P.; Parikh, S.A. Modern Treatment of Pulmonary Embolism (USCDT Versus MT): Results from a Real-World, Big Data Analysis (REAL-PE). J. Soc. Cardiovasc. Angiogr. Interv. 2023, 101192. [Google Scholar] [CrossRef]
- Tapson, V.F.; Sterling, K.; Jones, N.; Elder, M.; Tripathy, U.; Brower, J.; Maholic, R.L.; Ross, C.B.; Natarajan, K.; Fong, P.; et al. A Randomized Trial of the Optimum Duration of Acoustic Pulse Thrombolysis Procedure in Acute Intermediate-Risk Pulmonary Embolism: The OPTALYSE PE Trial. JACC Cardiovasc. Interv. 2018, 11, 1401–1410. [Google Scholar] [CrossRef]
- Klok, F.A.; Piazza, G.; Sharp, A.S.P.; Ní Ainle, F.; Jaff, M.R.; Chauhan, N.; Patel, B.; Barco, S.; Goldhaber, S.Z.; Kucher, N.; et al. Ultrasound-Facilitated, Catheter-Directed Thrombolysis vs Anticoagulation Alone for Acute Intermediate-High-Risk Pulmonary Embolism: Rationale and Design of the HI-PEITHO Study. Am. Heart J. 2022, 251, 43–53. [Google Scholar] [CrossRef]
- Bashir, R.; Foster, M.; Iskander, A.; Darki, A.; Jaber, W.; Rali, P.M.; Lakhter, V.; Gandhi, R.; Klein, A.; Bhatheja, R.; et al. Pharmacomechanical Catheter-Directed Thrombolysis with the Bashir Endovascular Catheter for Acute Pulmonary Embolism. JACC Cardiovasc. Interv. 2022, 15, 2427–2436. [Google Scholar] [CrossRef]
- Tu, T.; Toma, C.; Tapson, V.F.; Adams, C.; Jaber, W.A.; Silver, M.; Khandhar, S.; Amin, R.; Weinberg, M.; Engelhardt, T.; et al. A Prospective, Single-Arm, Multicenter Trial of Catheter-Directed Mechanical Thrombectomy for Intermediate-Risk Acute Pulmonary Embolism: The FLARE Study. JACC Cardiovasc. Interv. 2019, 12, 859–869. [Google Scholar] [CrossRef] [PubMed]
- Toma, C.; Bunte, M.C.; Cho, K.H.; Jaber, W.A.; Chambers, J.; Stegman, B.; Gondi, S.; Leung, D.A.; Savin, M.; Khandhar, S.; et al. Percutaneous Mechanical Thrombectomy in a Real-World Pulmonary Embolism Population: Interim Results of the FLASH Registry. Catheter. Cardiovasc. Interv. 2022, 99, 1345–1355. [Google Scholar] [CrossRef] [PubMed]
- Inari Medical. The PEERLESS Study; Clinical Trial Registration NCT05111613; Clinicaltrials.gov. 2023. Available online: https://clinicaltrials.gov/study/NCT05111613 (accessed on 15 September 2023).
- FLAME 2023—US|Inari Medical. Available online: https://www.inarimedical.com/flame/ (accessed on 17 September 2023).
- Sista, A.K.; Horowitz, J.M.; Tapson, V.F.; Rosenberg, M.; Elder, M.D.; Schiro, B.J.; Dohad, S.; Amoroso, N.E.; Dexter, D.J.; Loh, C.T.; et al. Indigo Aspiration System for Treatment of Pulmonary Embolism. JACC Cardiovasc. Interv. 2021, 14, 319–329. [Google Scholar] [CrossRef] [PubMed]
- Leiva, O.; Yuriditsky, E.; Postelnicu, R.; Yang, E.H.; Mukherjee, V.; Greco, A.; Horowitz, J.; Alviar, C.; Bangalore, S. Catheter-Based Therapy for Intermediate or High-Risk Pulmonary Embolism Is Associated with Lower in-Hospital Mortality in Patients with Cancer: Insights from the National Inpatient Sample. Catheter. Cardiovasc. Interv. Off. J. Soc. Card. Angiogr. Interv. 2023, 1–11. [Google Scholar] [CrossRef] [PubMed]
- NYU Langone Health. Pulmonary Embolism-Thrombus Removal with Catheter-Directed Therapy; Clinical Trial Registration NCT05591118; clinicaltrials.gov; 2023. Available online: https://clinicaltrials.gov/study/NCT05591118 (accessed on 31 December 2022).
- Inari Medical Announces PEERLESS II, a Randomized Controlled Trial Evaluating Clinical Outcomes of the FlowTriever® System vs. Anticoagulation in Pulmonary Embolism Patients|Inari Medical, Inc. Available online: https://ir.inarimedical.com/news-releases/news-release-details/inari-medical-announces-peerless-ii-randomized-controlled-trial/ (accessed on 1 October 2023).
- Kabrhel, C.; Rosovsky, R.; Channick, R.; Jaff, M.R.; Weinberg, I.; Sundt, T.; Dudzinski, D.M.; Rodriguez-Lopez, J.; Parry, B.A.; Harshbarger, S.; et al. A Multidisciplinary Pulmonary Embolism Response Team: Initial 30-Month Experience with a Novel Approach to Delivery of Care to Patients with Submassive and Massive Pulmonary Embolism. CHEST 2016, 150, 384–393. [Google Scholar] [CrossRef]
- Wright, C.; Goldenberg, I.; Schleede, S.; McNitt, S.; Gosev, I.; Elbadawi, A.; Pietropaoli, A.; Barrus, B.; Chen, Y.L.; Mazzillo, J.; et al. Effect of a Multidisciplinary Pulmonary Embolism Response Team on Patient Mortality. Am. J. Cardiol. 2021, 161, 102–107. [Google Scholar] [CrossRef]
- Chaudhury, P.; Gadre, S.K.; Schneider, E.; Renapurkar, R.D.; Gomes, M.; Haddadin, I.; Heresi, G.A.; Tong, M.Z.; Bartholomew, J.R. Impact of Multidisciplinary Pulmonary Embolism Response Team Availability on Management and Outcomes. Am. J. Cardiol. 2019, 124, 1465–1469. [Google Scholar] [CrossRef]
- Carroll, B.J.; Beyer, S.E.; Mehegan, T.; Dicks, A.; Pribish, A.; Locke, A.; Godishala, A.; Soriano, K.; Kanduri, J.; Sack, K.; et al. Changes in Care for Acute Pulmonary Embolism Through a Multidisciplinary Pulmonary Embolism Response Team. Am. J. Med. 2020, 133, 1313–1321. [Google Scholar] [CrossRef]


| Guideline/Statement | Classification | Hemodynamic Status | Cardiac Biomarkers | RV Dysfunction on Imaging | Risk Score |
|---|---|---|---|---|---|
| American Heart Association (2011) [9] | Low | Stable | Negative | Negative | Not incorporated |
| Intermediate | Stable | BNP > 90 pg/mL N-terminal pro-BNP > 500 pg/mL Troponin I > 0.4 ng/mL Troponin T > 0.1 ng/mL | RV dilatation (4-chamber RV/LV diameter > 0.9) on CT or ECHO RV systolic dysfunction on ECHO | ||
| High | Sustained hypotension (systolic BP of <90 mm Hg) for 15 min or requiring iatrogenic support. Pulselessness Persistent bradycardia (HR < 40) | Present | Present | ||
| European Society of Cardiology (2019) [4] | Low | Stable | Negative | Negative | PESI I-II |
| Intermediate-Low | Stable | Requires EITHER positive biomarkers OR RV dysfunction imaging. (definitions below) | Meets classification of PESI III-IV or sPESI 1 (see Table 2) | ||
| Intermediate-High | Stable | N-terminal pro-BNP > 600 pg/mL Troponin I or T elevation, consider age-adjusted high-sensitivity cut-off values. | RV/LV diameter ratio ≥ 1.0 on CT or ECHO RV systolic dysfunction on ECHO (ex TAPSE < 16 mm) | ||
| High | Cardiac arrest Obstructive shock with end-organ hypoperfusion (systolic BP < 90 mmHg or vasopressors despite adequate filling status) Persistent hypotension (systolic BP < 90 mmHg or a systolic BP drop ≥ 40 mmHg for >15 min) | Present | Present | ||
| Parameter | Original PESI Score | Simplified PESI Score (sPESI) |
|---|---|---|
| Demographics | ||
| - Age | + Age in years | 1 point if >80 years old |
| - Male sex | + 10 points | - |
| Medical Comorbidities | ||
| - Cancer | + 30 points | |
| - Congestive Heart Failure | + 10 points | 1 point |
| - Chronic Pulmonary Disease | + 10 points | 1 point for chronic lung or heart disease |
| Initial Clinical Assessment | ||
| - Pulse: >110 bpm | + 20 points | 1 point |
| - Respiratory rate: >30 bpm | + 20 points | - |
| - Systolic BP: <100 mmHg | + 30 points | 1 point |
| - Temperature: <36 °C | + 20 points | - |
| - Altered mentation | + 60 points | - |
| - Arterial oxygen saturation < 90% | + 20 points | - |
| Interpretation of PESI vs. sPESI Risk Calculations | ||
| Low-Risk Categories: | Class I (very low): <65 points | 0 Points |
| Outpatient Management to be Considered | Class II: 66–85 points | |
| Moderate to Very High-Risk Categories: Inpatient Management Recommended | Class III (moderate): 86–105 points Class IV (high): 106–125 points Class V (very high): >125 points | ≥1 point: estimated 30-day mortality risk 10.9% |
| Trial | Device | Study Design/Aims | Outcomes | Limitations |
|---|---|---|---|---|
| Ultrasound-facilitated catheter-directed thrombolysis (US CDT) | ||||
| ULTIMA [56] (2013) | EkoSonic MACH4e Endovascular System | Randomized controlled trial. N = 59 patients. Aims: USAT + AC versus AC alone in the reversal of RV dilatation in intermediate-risk PE patients. | USAT + AC was superior to AC alone in reversing RV dilatation at 24 h. No increase in bleeding complications between the two arms. | Small study population size. Limited follow-up to 24 h reviewing ECHO metrics alone; no comparison for clinical outcomes. |
| SEATTLE II [57] (2015) | EkoSonic Endovascular System | Prospective, single-arm, multicenter study using US CDT and low-dose fibrinolytic therapy. N = 150 patients with proximal PE (included massive and submassive PE). Aims: change in RV/LV ratio and PA systolic pressure from baseline at 48 + 6 h after procedure. Safety outcome of major bleeding within 72 h and recurrent PE, all-cause mortality, and procedural complications. | Mean RV/LV diameter decreased (1.55 at baseline to 1.13 at 48 h). Mean PASP decreased (51.4 mm Hg at baseline to 37.5 mm Hg) at the end of procedure. Safety: 17 major bleeding events within 30 days of the procedure observed in 15 patients (10%). | Lack of comparator group for full-dose systemic fibrinolysis, half-dose systemic fibrinolysis, or anticoagulation alone. Excluded patients with stroke/TIA within 12 months, patients with INR > 3.0, or serum creatinine > 2.0. Limited follow-up to 30 days post-procedure. Limited follow-up to 24 h reviewing ECHO metrics alone; no comparison for clinical outcomes. |
| OPTALYSE PE [62] (2018) | EkoSonic Endovascular System | Intermediate-risk PE patients, randomized to one of four groups of varying timeframes and concentrations of tPA infusion. N = 101. Aim: reduction in RV:LV ratio by CTA and embolic burden by modified Miller score on CTPA at 48 h. | Improvement in RV:LV ratio and modified Miller score was observed in all groups. Four patients experienced MBE, two being intracranial hemorrhage. | Small study population size. Unclear if improvement in CTPA metrics translate into short or long-term clinical benefits or adverse outcomes. |
| HI-PEITHO [63] (2022) | EKOS™ Endovascular System | Multi-center, prospective, randomized controlled trial for acute intermediate high-risk PE. Aim: EKOS + AC vs. AC alone for composite outcome of PE-related death, circulatory collapse, or non-fatal recurrence of PE. | Ongoing trial. | |
| Pharmacomechanical catheter-directed thrombolysis trials | ||||
| RESCUE [64] (2022) | Thrombolex-Bashir catheters | Multi-center, prospective trial. N = 109 patients. Aim: change in CTPA RV:LV ratio at 48 h and safety endpoint of serious adverse events in acute intermediate-risk PE. | RV/LV diameter ratio decreased by 0.56 (33.3%) and PA obstruction by refined modified Miller index was reduced (35.9%). Very low rate of adverse events or major bleeding (0.92%). | Small study population size. Lack of short-term or long-term clinical benefits or adverse outcomes data. |
| FLARE [65] (2019) | Inari FlowTriever catheters | Multi-center trial including symptomatic patients with RV/LV ratios > 0.9. N = 106 patients. Aim: Reduction in RV/LV ratio. Primary composite safety of device-related death, major bleeding, treatment related clinical decline, cardiac injury, or pulmonary vascular injury within 48 h. | RV/LV ratio was reduced by 0.38 at 48 h. Fourteen patients (13.2%) experienced serious adverse events at 30 days, with four (3.8%) occurring within 48 h of index procedure. | Small study population size. Lack of short-term or long-term clinical benefits or adverse outcomes data. |
| FLASH [66] (2022) | Inari FlowTriever catheters | Prospective, multi-center registry of high-risk or intermediate-risk PE. N = Goal of 250. Aim: composite endpoint for major adverse events including major bleeding, device-related bleeding, or death at 48 h. | Ongoing trial. | |
| PEERLESS [67] (2023) | Inari FlowTriever catheters | Prospective, multi-center, randomized controlled trial for intermediate or high-risk PE. N = goal of 550. Aims: composite endpoint for all-cause mortality, ICH, MBE, clinical deterioration, or ICU admission. | Ongoing trial. | |
| FLAME [68] (2023) | Inari FlowTriever catheters | Prospective, multi-center, non-randomized controlled trial for high-risk PE. N = 115 patients. Aims: composite of all-cause mortality, bailout to alternate thrombus retrieval strategy, MBE, or clinical decline. | Lower in-hospital adverse outcomes (17.0%) versus historical data (32.0%). Reduction in high-risk PE mortality compared to historical data. | Limited study population size. Unclear definitions of historical and context comparison groups. |
| EXTRACT PE [69] (2021) | Penumbra Indigo aspiration system | Prospective, single-arm, multi-center study with symptomatic acute PE ≤ 14 days, SBP ≥ 90 mm Hg, and RV/LV ratio > 0.9. N = 119 patients. Aims: safety and efficacy by RV/LV ratio reduction at 48 h for patients with submassive PE. | Mean RV/LV ratio reduction from baseline was 0.43 at 48 h post-procedure. Two (1.7%) of patients experienced a major adverse event. Rates were low for cardiac or pulmonary vascular injury, MBE, or device related death at 48 h. | Small study population size. Lack of short-term (beyond 48 h) or long-term clinical benefits or adverse outcomes data. |
Disclaimer/Publisher’s Note: The statements, opinions and data contained in all publications are solely those of the individual author(s) and contributor(s) and not of MDPI and/or the editor(s). MDPI and/or the editor(s) disclaim responsibility for any injury to people or property resulting from any ideas, methods, instructions or products referred to in the content. |
© 2024 by the authors. Licensee MDPI, Basel, Switzerland. This article is an open access article distributed under the terms and conditions of the Creative Commons Attribution (CC BY) license (https://creativecommons.org/licenses/by/4.0/).
Share and Cite
Brunton, N.; McBane, R.; Casanegra, A.I.; Houghton, D.E.; Balanescu, D.V.; Ahmad, S.; Caples, S.; Motiei, A.; Henkin, S. Risk Stratification and Management of Intermediate-Risk Acute Pulmonary Embolism. J. Clin. Med. 2024, 13, 257. https://doi.org/10.3390/jcm13010257
Brunton N, McBane R, Casanegra AI, Houghton DE, Balanescu DV, Ahmad S, Caples S, Motiei A, Henkin S. Risk Stratification and Management of Intermediate-Risk Acute Pulmonary Embolism. Journal of Clinical Medicine. 2024; 13(1):257. https://doi.org/10.3390/jcm13010257
Chicago/Turabian StyleBrunton, Nichole, Robert McBane, Ana I. Casanegra, Damon E. Houghton, Dinu V. Balanescu, Sumera Ahmad, Sean Caples, Arashk Motiei, and Stanislav Henkin. 2024. "Risk Stratification and Management of Intermediate-Risk Acute Pulmonary Embolism" Journal of Clinical Medicine 13, no. 1: 257. https://doi.org/10.3390/jcm13010257
APA StyleBrunton, N., McBane, R., Casanegra, A. I., Houghton, D. E., Balanescu, D. V., Ahmad, S., Caples, S., Motiei, A., & Henkin, S. (2024). Risk Stratification and Management of Intermediate-Risk Acute Pulmonary Embolism. Journal of Clinical Medicine, 13(1), 257. https://doi.org/10.3390/jcm13010257

