Return to Sports and Functional Outcomes after Autologous Platelet-Rich Fibrin Matrix (PRFM) and Debridement in Midportion Achilles Tendinopathy: A Case Series with 24-Month Follow-Up
Abstract
1. Introduction
2. Materials and Methods
2.1. Study Design
2.2. Indication for Surgery
2.3. Inclusion and Exclusion Criteria
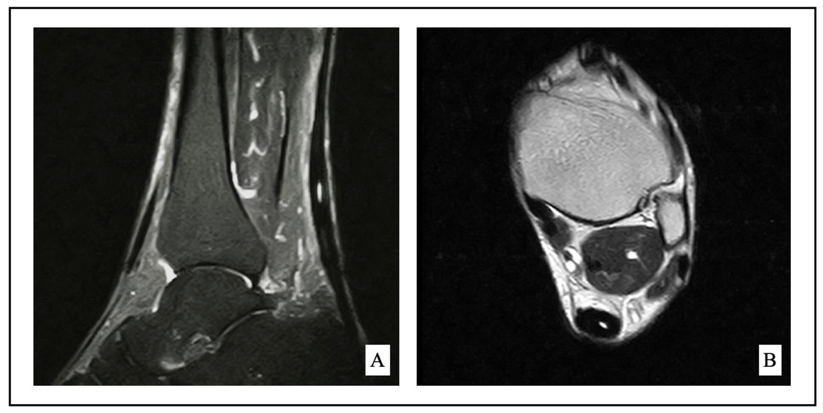
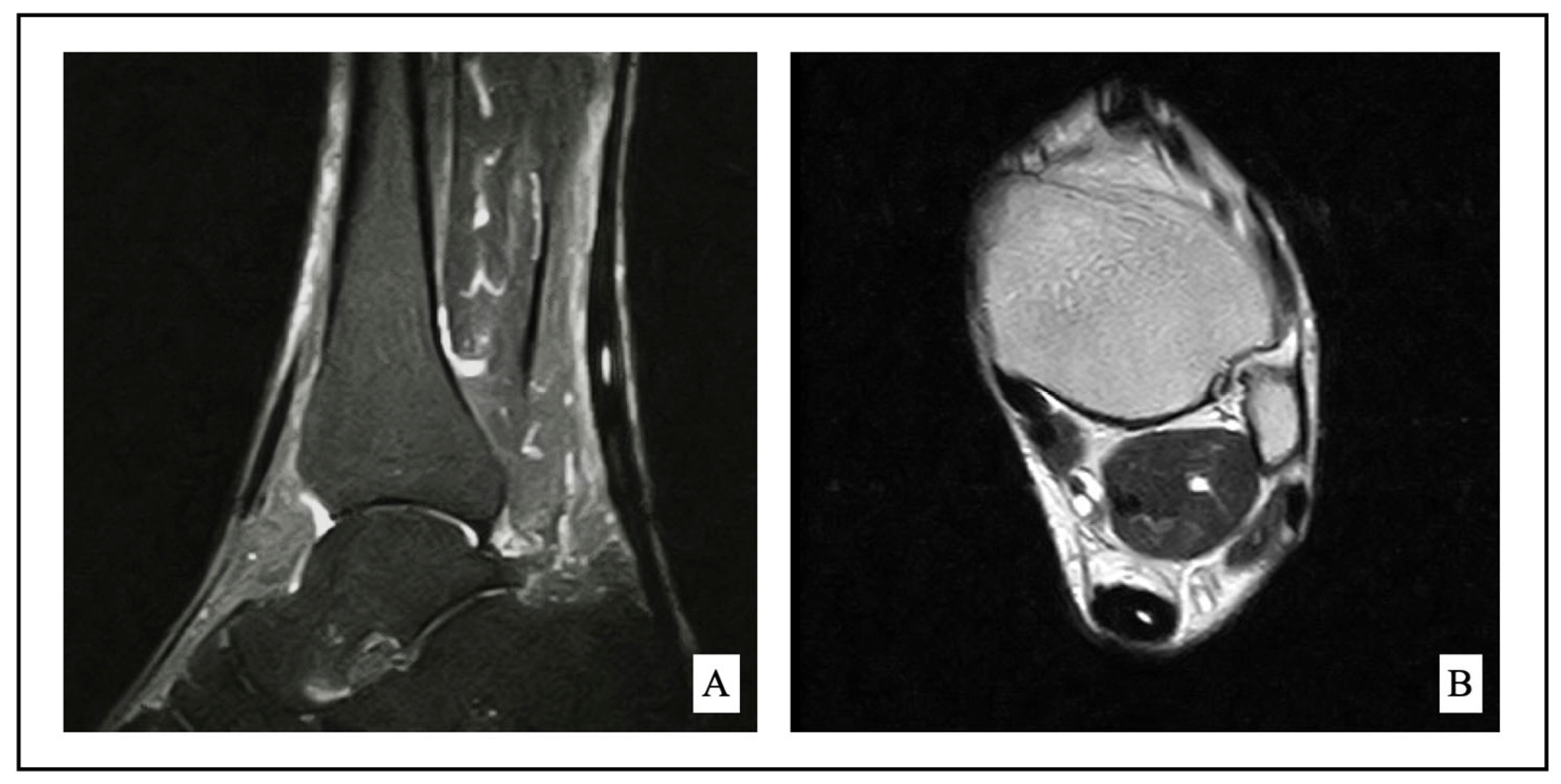
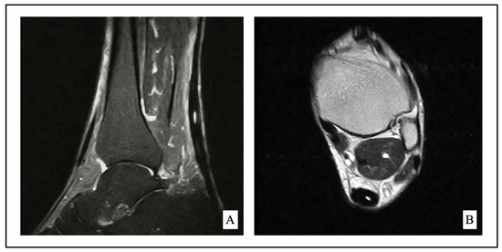
2.4. Surgical Technique
2.5. Postoperative Rehabilitation
2.6. Preoperative Evaluation and Follow-Up
2.7. Statistics
3. Results
3.1. Patient characteristics
3.2. Return to Sports and Work
3.3. Ankle Range of Motion and Patient Satisfaction
3.4. AOFAS and VISA-A and Blazina Scores
3.5. Complications and Revisions
4. Discussion
5. Conclusions
Author Contributions
Funding
Institutional Review Board Statement
Informed Consent Statement
Data Availability Statement
Conflicts of Interest
References
- O’Brien, M. The Anatomy of the Achilles Tendon. Foot Ankle Clin. 2005, 10, 225–238. [Google Scholar] [CrossRef] [PubMed]
- Kvist, M. Achilles Tendon Injuries in Athletes. Sports Med. 1994, 18, 173–201. [Google Scholar] [CrossRef]
- Kaux, J.-F.; Forthomme, B.; le Goff, C.; Crielaard, J.-M.; Croisier, J.-L. Current Opinions on Tendinopathy. J. Sports Sci. Med. 2011, 10, 238–253. [Google Scholar]
- Maffulli, N.; Longo, U.G.; Kadakia, A.; Spiezia, F. Achilles Tendinopathy. Foot Ankle Surg. 2020, 26, 240–249. [Google Scholar] [CrossRef] [PubMed]
- Färnqvist, K.; Pearson, S.; Malliaras, P. Adaptation of Tendon Structure and Function in Tendinopathy With Exercise and Its Relationship to Clinical Outcome. J. Sport Rehabil. 2020, 29, 107–115. [Google Scholar] [CrossRef]
- Paavola, M.; Kannus, P.; Paakkala, T.; Pasanen, M.; Järvinen, M. Long-Term Prognosis of Patients With Achilles Tendinopathy An Observational 8-Year Follow-up Study. Am. J. Sports Med. 2000, 28, 634–642. [Google Scholar] [CrossRef]
- Mc Auliffe, S.; Synott, A.; Casey, H.; Mc Creesh, K.; Purtill, H.; O’Sullivan, K. Beyond the Tendon: Experiences and Perceptions of People with Persistent Achilles Tendinopathy. Musculoskelet. Sci. Pract. 2017, 29, 108–114. [Google Scholar] [CrossRef] [PubMed]
- O’Neill, S.; Barry, S.; Watson, P. Plantarflexor Strength and Endurance Deficits Associated with Mid-Portion Achilles Tendinopathy: The Role of Soleus. Phys. Ther. Sport 2019, 37, 69–76. [Google Scholar] [CrossRef]
- Yasui, Y.; Tonogai, I.; Rosenbaum, A.J.; Shimozono, Y.; Kawano, H.; Kennedy, J.G. The Risk of Achilles Tendon Rupture in the Patients with Achilles Tendinopathy: Healthcare Database Analysis in the United States. BioMed Res.Int. 2017, 2017, 7021862. [Google Scholar] [CrossRef]
- Dias Lopes, A.; Carlos, L.; Junior, H.; Yeung, S.S.; Oliveira Pena Costa, L. What Are the Main Running-Related Musculoskeletal Injuries? A Systematic Review. Sports Med. 1947, 42, 891–905. [Google Scholar] [CrossRef]
- Albers, I.S.; Zwerver, J.; Diercks, R.L.; Dekker, J.H.; Van Den Akker-Scheek, I. Incidence and Prevalence of Lower Extremity Tendinopathy in a Dutch General Practice Population: A Cross Sectional Study. BMC Musculoskelet. Disord. 2016, 17, 16. [Google Scholar] [CrossRef]
- Ceravolo, M.L.; Gaida, J.E.; Keegan, R.J. Quality-of-Life in Achilles Tendinopathy: An Exploratory Study. Clin. J. Sport Med. 2020, 30, 495–502. [Google Scholar] [CrossRef] [PubMed]
- Magnan, B.; Bondi, M.; Pierantoni, S.; Samaila, E. The Pathogenesis of Achilles Tendinopathy: A Systematic Review. Foot Ankle Surg. 2014, 20, 154–159. [Google Scholar] [CrossRef] [PubMed]
- Järvinen, T.A.H.; Kannus, P.; Maffulli, N.; Khan, K.M. Achilles Tendon Disorders: Etiology and Epidemiology. Foot Ankle Clin. 2005, 10, 255–266. [Google Scholar] [CrossRef]
- De Jonge, S.; van den Berg, C.; de Vos, R.J.; van der Heide, H.J.L.; Weir, A.; Verhaar, J.A.N.; Bierma-Zeinstra, S.M.A.; Tol, J.L. Incidence of Midportion Achilles Tendinopathy in the General Population. Br. J. Sports Med. 2011, 45, 1026–1028. [Google Scholar] [CrossRef]
- Holmes, G.B.; Lin, J. Etiologic Factors Associated with Symptomatic Achilles Tendinopathy. Foot Ankle Int. 2006, 27, 952–959. [Google Scholar] [CrossRef]
- Rompe, J.D.; Furia, J.P.; Maffulli, N. Mid-Portion Achilles Tendinopathy—Current Options for Treatment. Disabil. Rehabil. 2008, 30, 1666–1676. [Google Scholar] [CrossRef] [PubMed]
- Sussmilch-Leitch, S.P.; Collins, N.J.; Bialocerkowski, A.E.; Warden, S.J.; Crossley, K.M. Physical Therapies for Achilles Tendinopathy: Systematic Review and Meta-Analysis. J. Foot Ankle Res. 2012, 5, 15–16. [Google Scholar] [CrossRef]
- Martin, R.L.; Chimenti, R.; Cuddeford, T.; Houck, J.; Matheson, J.W.; McDonough, C.M.; Paulseth, S.; Wukich, D.K.; Carcia, C.R. Achilles Pain, Stiffness, and Muscle Power Deficits: Midportion Achilles Tendinopathy Revision 2018. J. Orthop. Sports Phys. Ther. 2018, 48, A1–A38. [Google Scholar] [CrossRef]
- Roche, A.J.; Calder, J.D.F. Achilles Tendinopathy a Review of the Current Concepts of Treatment. Bone Jt. J. 2013, 95, 95–1299. [Google Scholar]
- Scott, A.T.; Le, I.L.D.; Easley, M.E. Surgical Strategies: Noninsertional Achilles Tendinopathy. Foot Ankle Int. 2008, 29, 759–771. [Google Scholar] [CrossRef]
- Lohrer, H.; David, S.; Nauck, T. Surgical Treatment for Achilles Tendinopathy—A Systematic Review. BMC Musculoskelet. Disord. 2016, 17, 207. [Google Scholar] [CrossRef]
- Boyce, S.T.; Lalley, A.L. Tissue Engineering of Skin and Regenerative Medicine for Wound Care. Burns Trauma 2018, 6, 4. [Google Scholar] [CrossRef]
- Harrison, P.; Alsousou, J.; Andia, I.; Burnouf, T.; Dohan Ehrenfest, D.; Everts, P.; Langer, H.; Magalon, J.; Marck, R.; Gresele, P. The Use of Platelets in Regenerative Medicine and Proposal for a New Classification System: Guidance from the SSC of the ISTH. J. Thromb. Haemost. 2018, 16, 1895–1900. [Google Scholar] [CrossRef]
- Arora, S.; Kotwal, U.; Dogra, M.; Doda, V. Growth Factor Variation in Two Types of Autologous Platelet Biomaterials: PRP Versus PRF. Indian J. Hematol. Blood Transfus. 2017, 33, 288–292. [Google Scholar] [CrossRef]
- Filardo, G.; di Matteo, B.; Kon, E.; Merli, G.; Marcacci, M. Platelet-Rich Plasma in Tendon-Related Disorders: Results and Indications. Knee Surg. Sports Traumatol. Arthrosc. 2018, 26, 1984–1999. [Google Scholar] [CrossRef] [PubMed]
- Chicharro-Alcántara, D.; Rubio-Zaragoza, M.; Damiá-Giménez, E.; Carrillo-Poveda, J.M.; Cuervo-Serrato, B.; Peláez-Gorrea, P.; Sopena-Juncosa, J.J. Platelet Rich Plasma: New Insights for Cutaneous Wound Healing Management. J. Funct Biomater. 2018, 9, 10. [Google Scholar] [CrossRef]
- Hansen, M.; Boesen, A.; Holm, L.; Flyvbjerg, A.; Langberg, H.; Kjaer, M. Local Administration of Insulin-like Growth Factor-I (IGF-I) Stimulates Tendon Collagen Synthesis in Humans. Scand J. Med. Sci. Sports 2013, 23, 614–619. [Google Scholar] [CrossRef] [PubMed]
- De Vos, R.J.; Weir, A.; van Schie, H.T.M.; Bierma-Zeinstra, S.M.A.; Verhaar, J.A.N.; Weinans, H.; Tol, J.L. Platelet-Rich Plasma Injection for Chronic Achilles Tendinopathy a Randomized Controlled Trial. JAMA 2010, 303, 144–149. [Google Scholar] [CrossRef] [PubMed]
- Borie, E.; Oliví, D.G.; Orsi, I.A.; Garlet, K.; Weber, B.; Beltrán, V.; Fuentes, R. Platelet-Rich Fibrin Application in Dentistry: A Literature Review. Int. J. Clin. Exp. Med. 2015, 8, 7922–7929. [Google Scholar]
- Wagner, E.; Gould, J.S.; Kneidel, M.; Fleisig, G.S.; Fowler, R. Technique and Results of Achilles Tendon Detachment and Reconstruction for Insertional Achilles Tendinosis. Foot Ankle Int. 2006, 27, 677–684. [Google Scholar] [CrossRef]
- Robinson, J.M.; Cook, J.L.; Purdam, C.; Visentini, P.J.; Ross, J.; Maffulli, N.; Taunton, J.E.; Khan, K.M. The VISA-A Questionnaire: A Valid and Reliable Index of the Clinical Severity of Achilles Tendinopathy. Br. J. Sports Med. 2001, 35, 335–341. [Google Scholar] [CrossRef]
- Blazina, M.E.; Kerlan, R.K.; Jobe, F.W.; Carter, V.S.; Carlson, G.J. Jumper’s Knee. Orthop. Clin. N. Am. 1973, 4, 665–678. [Google Scholar] [CrossRef]
- Kearney, R.S.; Ji, C.; Warwick, J.; Parsons, N.; Brown, J.; Harrison, P.; Young, J.; Costa, M.L.; Dasari, K.; Chapman, A.; et al. Effect of Platelet-Rich Plasma Injection vs. Sham Injection on Tendon Dysfunction in Patients With Chronic Midportion Achilles Tendinopathy. JAMA 2021, 326, 137. [Google Scholar] [CrossRef]
- Thermann, H.; Fischer, R.; Gougoulias, N.; Cipollaro, L.; Maffulli, N. Endoscopic Debridement for Non-Insertional Achilles Tendinopathy with and without Platelet-Rich Plasma. J. Sport Health Sci. 2020, 12, 275–280. [Google Scholar] [CrossRef] [PubMed]
- Liu, C.J.; Yu, K.L.; Bai, J.B.; Tian, D.H.; Liu, G.L. Platelet-Rich Plasma Injection for the Treatment of Chronic Achilles Tendinopathy: A Meta-Analysis. Medicine 2019, 98, e15278. [Google Scholar] [CrossRef]
- Monto, R.R. Platelet Rich Plasma Treatment for Chronic Achilles Tendinosis. Foot Ankle Int. 2012, 33, 379–385. [Google Scholar] [CrossRef]
- Owens, R.F.; Ginnetti, J.; Conti, S.F.; Latona, C. Clinical and Magnetic Resonance Imaging Outcomes Following Platelet Rich Plasma Injection for Chronic Midsubstance Achilles Tendinopathy. Foot Ankle Int. 2011, 32, 1032–1039. [Google Scholar] [CrossRef] [PubMed]
- Boesen, A.P.; Hansen, R.; Boesen, M.I.; Malliaras, P.; Langberg, H. Effect of High-Volume Injection, Platelet-Rich Plasma, and Sham Treatment in Chronic Midportion Achilles Tendinopathy: A Randomized Double-Blinded Prospective Study. Am. J. Sport. Med. 2017, 45, 2034–2043. [Google Scholar] [CrossRef]
- Wong, C.C.; Huang, Y.M.; Chen, C.H.; Lin, F.H.; Yeh, Y.Y.; Bai, M.Y. Cytokine and Growth Factor Delivery from Implanted Platelet-Rich Fibrin Enhances Rabbit Achilles Tendon Healing. Int. J. Mol. Sci. 2020, 21, 3221. [Google Scholar] [CrossRef]
- Dietrich, F.; Duré, G.L.; Klein, C.P.; Bampi, V.F.; Padoin, A.V.; Silva, V.D.; Braga-Silva, J. Platelet-Rich Fibrin Promotes an Accelerated Healing of Achilles Tendon When Compared to Platelet-Rich Plasma in Rat. World J. Plast. Surg. 2015, 4, 101–109. [Google Scholar] [PubMed]
- Valeo, M.; Gurzì, M.; Alviti, F.; Di Giorgio, L.; Di Martino, L.; Bernetti, A.; Mangone, M.; Villani, C. Achilles Tendons Total Rupture, Open Surgical Treatment with PRF Augmentation: Clinical, Morphological and Functional Evaluation. Clin. Res. Foot Ankle 2017, 5, 236. [Google Scholar] [CrossRef]
- Alviti, F.; Gurzì, M.; Santilli, V.; Paoloni, M.; Padua, R.; Bernetti, A.; Bernardi, M.; Mangone, M. Achilles Tendon Open Surgical Treatment With Platelet-Rich Fibrin Matrix Augmentation: Biomechanical Evaluation. J. Foot Ankle Surg. 2017, 56, 581–585. [Google Scholar] [CrossRef] [PubMed]
- Saxena, A.; Hong, B.K.; Hofer, D. Peritenolysis and Debridement for Main Body (Mid-Portion) Achilles Tendinopathy in Athletic Patients: Results of 107 Procedures. J. Foot Ankle Surg. 2017, 56, 922–928. [Google Scholar] [CrossRef] [PubMed]
- Castricini, R.; Longo, U.G.; de Benedetto, M.; Panfoli, N.; Pirani, P.; Zini, R.; Maffulli, N.; Denaro, V. Platelet-Rich Plasma Augmentation for Arthroscopic Rotator Cuff Repair: A Randomized Controlled Trial. Am. J. Sport. Med. 2011, 39, 258–265. [Google Scholar] [CrossRef]





| Variable | Patients |
|---|---|
| Number | 32.00 |
| Age, mean (SD) [range] | 28.75 (6.67) [18.00–39.00] |
| Gender | |
| Male (%) | 15 (46.88) |
| Female (%) | 17 (53.13) |
| Side: | |
| Right (%) | 14 (43.75) |
| Left (%) | 18 (56.25) |
| BMI (kg/m2), mean (SD) [range] | 25.05 (3.56) [18.56–37.87] |
| Tobacco use (%) | 17 (53.13) |
| Sport | |
| Tennis (%) | 10 (31.25) |
| Soccer (%) | 8 (25.00) |
| Basketball (%) | 2 (6.25) |
| Volleyball (%) | 4 (12.50) |
| Jogging (%) | 3 (9.38) |
| Other sports (%) | 5 (15.63) |
| ASA class | |
| ASA 1 (%) | 24 (75.00) |
| ASA 2 (%) | 8 (25.00) |
| Operative time (min), mean (SD) [range] | 39.44 (7.84) [21.00–55.00] |
| Length of hospital stay (days), mean (SD) [range] | 1.16 (0.37) [1.00–2.00] |
| Variable | Patients (n = 32) |
|---|---|
| Difference in dorsiflexion between injured and uninjured ankle | |
| 1 month, mean (SD) [range] | 3.19 (0.74) [2.00–4.00] |
| 6 months, mean (SD) [range] | 2.31 (1.00) [1.00–4.00] |
| 12 months, mean (SD) [range] | 1.66 (0.83) [1.00–3.00] |
| 24 months, mean (SD) [range] | 1.22 (0.42) [1.00–2.00] |
| Difference in plantarflexion between injured and uninjured ankle | |
| 1 month, mean (SD) [range] | 3.47 (0.72) [2.00–4.00] |
| 6 months, mean (SD) [range] | 2.47 (0.51) [2.00–3.00] |
| 12 months, mean (SD) [range] | 1.60 (0.71) [1.00–3.00] |
| 24 months, mean (SD) [range] | 0.78 (0.66) [0.00–2.00] |
| Satisfaction at 24 months | |
| Very satisfied (%) | 29 (90.62) |
| Satisfied (%) | 3 (9.38) |
| Preoperative | Postoperative (6 Months) | Postoperative (24 Months) | p-Value | |
|---|---|---|---|---|
| Mean (SD) [Range] | Mean (SD) [Range] | Mean (SD) [Range] | ||
| AOFAS | 54.56 (6.47) | 97.06 (4.06) | 98.88 (2.21) | <0.01 |
| [42.00–65.00] | [87.00–100.00] | [92.00–100.00] | ||
| Difference between score at 6 months and preoperative score; mean (SD) [range] | 42.50 (3.20) [35.00–45.00] | |||
| Difference between score at 24 months and preoperative score; mean (SD) [range] | 44.31 (5.16) [35.00–54.00] | |||
| VISA-A | 69.16 (7.35) | 95.03 (4.67) | 97.28 (2.43) | <0.01 |
| [56.00–81.00] | [85.00–100.00] | [93.00–100.00] | ||
| Difference between score at 6 months and preoperative score; mean (SD) [range] | 25.88 (5.00) [18.00–38.00] | |||
| Difference between score at 24 months and preoperative score; mean (SD) [range] | 28.13 (6.40) [18.00–42.00] | |||
Disclaimer/Publisher’s Note: The statements, opinions and data contained in all publications are solely those of the individual author(s) and contributor(s) and not of MDPI and/or the editor(s). MDPI and/or the editor(s) disclaim responsibility for any injury to people or property resulting from any ideas, methods, instructions or products referred to in the content. |
© 2023 by the authors. Licensee MDPI, Basel, Switzerland. This article is an open access article distributed under the terms and conditions of the Creative Commons Attribution (CC BY) license (https://creativecommons.org/licenses/by/4.0/).
Share and Cite
Iacono, V.; Natali, S.; De Berardinis, L.; Screpis, D.; Gigante, A.P.; Zorzi, C. Return to Sports and Functional Outcomes after Autologous Platelet-Rich Fibrin Matrix (PRFM) and Debridement in Midportion Achilles Tendinopathy: A Case Series with 24-Month Follow-Up. J. Clin. Med. 2023, 12, 2747. https://doi.org/10.3390/jcm12072747
Iacono V, Natali S, De Berardinis L, Screpis D, Gigante AP, Zorzi C. Return to Sports and Functional Outcomes after Autologous Platelet-Rich Fibrin Matrix (PRFM) and Debridement in Midportion Achilles Tendinopathy: A Case Series with 24-Month Follow-Up. Journal of Clinical Medicine. 2023; 12(7):2747. https://doi.org/10.3390/jcm12072747
Chicago/Turabian StyleIacono, Venanzio, Simone Natali, Luca De Berardinis, Daniele Screpis, Antonio Pompilio Gigante, and Claudio Zorzi. 2023. "Return to Sports and Functional Outcomes after Autologous Platelet-Rich Fibrin Matrix (PRFM) and Debridement in Midportion Achilles Tendinopathy: A Case Series with 24-Month Follow-Up" Journal of Clinical Medicine 12, no. 7: 2747. https://doi.org/10.3390/jcm12072747
APA StyleIacono, V., Natali, S., De Berardinis, L., Screpis, D., Gigante, A. P., & Zorzi, C. (2023). Return to Sports and Functional Outcomes after Autologous Platelet-Rich Fibrin Matrix (PRFM) and Debridement in Midportion Achilles Tendinopathy: A Case Series with 24-Month Follow-Up. Journal of Clinical Medicine, 12(7), 2747. https://doi.org/10.3390/jcm12072747

