Unusual Evolution of Hypertrophic Cardiomyopathy in Non-Compaction Myocardium in a Pompe Disease Patient
Abstract
1. Introduction
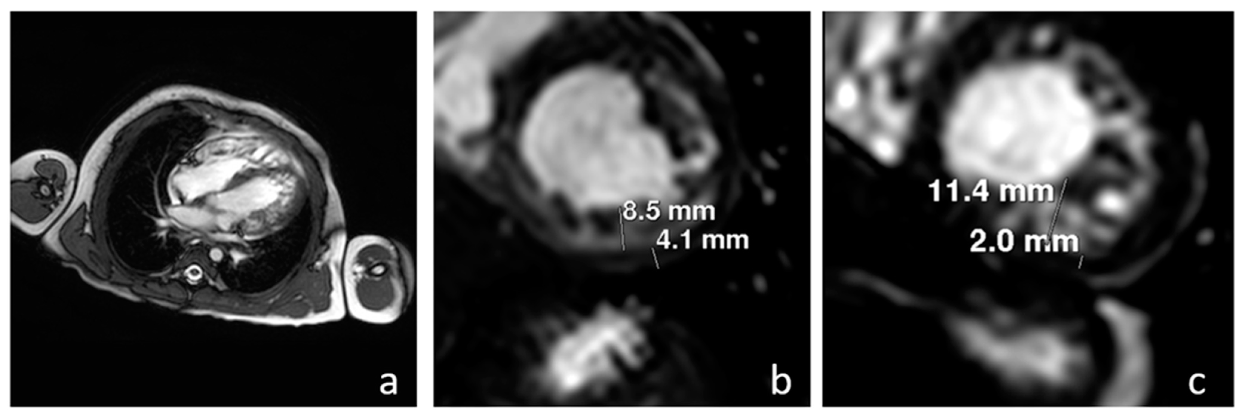
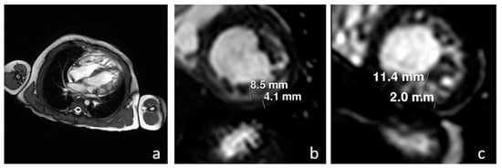
2. Case Report
3. Discussion
Author Contributions
Funding
Institutional Review Board Statement
Informed Consent Statement
Data Availability Statement
Conflicts of Interest
References
- Hers, H.G. a-Glucosidase Deficiency in Generalized Glycogen-Storage Disease (Pompe’s Disease). Biochem. J. 1963, 86, 11–16. [Google Scholar] [CrossRef]
- Felice, T. Pompe Disease, a Storage Cardiomyopathy. Cardiogenetics 2017, 7, 6857. [Google Scholar] [CrossRef]
- Limongelli, G. S1.4 Cardiovascular involvement in Pompe disease. Acta Myol. Myopathies Cardiomyopathies Off. J. Mediterr. Soc. Myol. 2011, 30, 202–203. [Google Scholar]
- van den Hout, H.M.; Hop, W.; van Diggelen, O.P.; Smeitink, J.A.M.; Smit, G.P.A.; Poll-The, B.-T.T.; Bakker, H.D.; Loonen, M.C.B.; De Klerk, J.B.C.; Reuser, A.J.J.; et al. The Natural Course of Infantile Pompe’s Disease: 20 Original Cases Compared With 133 Cases from the Literature. Pediatrics 2003, 112, 332–340. [Google Scholar] [CrossRef]
- Marsden, D. Infantile onset Pompe disease: A report of physician narratives from an epidemiologic study. Genet. Med. 2005, 7, 147–150. [Google Scholar] [CrossRef] [PubMed]
- Arad, M.; Moskowitz, I.P.; Patel, V.V.; Ahmad, F.; Perez-Atayde, A.R.; Sawyer, D.B.; Walter, M.; Li, G.H.; Burgon, P.G.; Maguire, C.T.; et al. Transgenic Mice Overexpressing Mutant PRKAG2 Define the Cause of Wolff-Parkinson-White Syndrome in Glycogen Storage Cardiomyopathy. Circulation 2003, 107, 2850–2856. [Google Scholar] [CrossRef]
- Tarnopolsky, M.; Katzberg, H.; Petrof, B.J.; Sirrs, S.; Sarnat, H.B.; Myers, K.; Dupré, N.; Dodig, D.; Genge, A.; Venance, S.L.; et al. Pompe Disease: Diagnosis and Management. Evidence-Based Guidelines from a Canadian Expert Panel. Can. J. Neurol. Sci. 2016, 43, 472–485. [Google Scholar] [CrossRef] [PubMed]
- Young, S.P.; Piraud, M.; Goldstein, J.L.; Zhang, H.; Rehder, C.; Laforet, P.; Kishnani, P.S.; Millington, D.S.; Bashir, M.R.; Bali, D.S. Assessing disease severity in Pompe disease: The roles of a urinary glucose tetrasaccharide biomarker and imaging techniques. Am. J. Med. Genet. 2012, 160C, 50–58. [Google Scholar] [CrossRef]
- Kishnani, P.S.; Steiner, R.D.; Bali, D.; Berger, K.; Byrne, B.J.; Case, L.E.; Crowley, J.F.; Downs, S.; Howell, R.R.; Kravitz, R.M.; et al. Pompe disease diagnosis and management guideline. Genet. Med. 2006, 8, 267–288. [Google Scholar] [CrossRef]
- Ditters, I.A.M.; Huidekoper, H.H.; Kruijshaar, M.E.; Rizopoulos, D.; Hahn, A.; Mongini, T.E.; Labarthe, F.; Tardieu, M.; Chabrol, B.; Brassier, A.; et al. European Pompe Consortium project group on classic infantile Pompe disease. Effect of alglucosidase alfa dosage on survival and walking ability in patients with classic infantile Pompe disease: A multicentre observational cohort study from the European Pompe Consortium. Lancet Child. Adolesc. Health 2022, 6, 28–37. [Google Scholar]
- Gragnaniello, V.; Deodato, F.; Gasperini, S.; Donati, M.A.; Canessa, C.; Fecarotta, S.; Pascarella, A.; Spadaro, G.; Concolino, D.; Burlina, A.; et al. Immune responses to alglucosidase in infantile Pompe disease: Recommendations from an Italian pediatric expert panel. Ital. J. Pediatr. 2022, 48, 41. [Google Scholar] [CrossRef] [PubMed]
- Kishnani, P.S.; Kronn, D.; Brassier, A.; Broomfield, A.; Davison, J.; Hahn, S.H.; Kumada, S.; Labarthe, F.; Ohki, H.; Pichard, S.; et al. Safety and efficacy of avalglucosidase alfa in individuals with infantile-onset Pompe disease enrolled in the phase 2, open-label Mini-COMET study: The 6-month primary analysis report. Genet. Med. 2022, 25, 100328. [Google Scholar] [CrossRef] [PubMed]
- Diaz-Manera, J.; Kishnani, P.S.; Kushlaf, H.; Ladha, S.; Mozaffar, T.; Straub, V.; Toscano, A.; van der Ploeg, A.T.; Berger, K.I.; Clemens, P.R.; et al. COMET Investigator Group. Safety and efficacy of avalglucosidase alfa versus alglucosidase alfa in patients with late-onset Pompe disease (COMET): A phase 3, randomised, multicentre trial. Lancet Neurol. 2021, 20, 1012–1026. [Google Scholar] [CrossRef]
- Schoser, B.; Roberts, M.; Byrne, B.J.; Sitaraman, S.; Jiang, H.; Laforêt, P.; Toscano, A.; Castelli, J.; Díaz-Manera, J.; PROPEL Study Group; et al. Safety and efficacy of cipaglucosidase alfa plus miglustat versus alglucosidase alfa plus placebo in late-onset Pompe disease (PROPEL): An international, randomised, double-blind, parallel-group, phase 3 trial. Lancet Neurol. 2021, 20, 1027–1037. [Google Scholar] [CrossRef]
- Levine, J.C.; Kishnani, P.S.; Chen, Y.T.; Herlong, J.R.; Li, J.S. Cardiac Remodeling After Enzyme Replacement Therapy with Acid α-Glucosidase for Infants with Pompe Disease. Pediatr Cardiol. 2008, 29, 1033–1042. [Google Scholar] [CrossRef]
- Gragnaniello, V.; Pijnappel, P.W.W.M.; Burlina, A.P.; In ’t Groen, S.L.M.; Gueraldi, D.; Cazzorla, C.; Maines, E.; Polo, G.; Salviati, L.; Di Salvo, G.; et al. Newborn screening for Pompe disease in Italy: Long-term results and future challenges. Mol. Genet. Metab. Rep. 2022, 33, 100929. [Google Scholar] [CrossRef] [PubMed]
- Banugaria, S.G.; Prater, S.N.; Patel, T.T.; DeArmey, S.M.; Milleson, C.; Sheets, K.B.; Bali, D.S.; Rehder, C.W.; Raiman, J.A.J.; Wang, R.A.; et al. Algorithm for the Early Diagnosis and Treatment of Patients with Cross Reactive Immunologic Material-Negative Classic Infantile Pompe Disease: A Step towards Improving the Efficacy of ERT. PLoS ONE 2013, 8, e67052. [Google Scholar] [CrossRef]
- Poelman, E.; Hoogeveen-Westerveld, M.; Hout, J.M.P.V.D.; Bredius, R.G.M.; Lankester, A.C.; Driessen, G.J.A.; Kamphuis, S.S.M.; Pijnappel, W.W.M.; van der Ploeg, A.T. Effects of immunomodulation in classic infantile Pompe patients with high antibody titers. Orphanet. J. Rare Dis. 2019, 14, 71. [Google Scholar] [CrossRef]
- Jenni, R.; Oechslin, E.N.; van der Loo, B. Isolated ventricular non-compaction of the myocardium in adults. Heart 2007, 93, 11–15. [Google Scholar] [CrossRef]
- Petersen, S.E.; Selvanayagam, J.B.; Wiesmann, F.; Robson, M.D.; Francis, J.M.; Anderson, R.H.; . Watkins, H.; Neubauer, S. Left Ventricular Non-Compaction. J. Am. Coll. Cardiol. 2005, 46, 101–105. [Google Scholar] [CrossRef]
- Klenda, J.; Boppana, L.K.T.; Vindhyal, M.R. Heart Failure Secondary to Left Ventricular Non-Compaction Cardiomyopathy in a 26-Year-Old Male. Cureus 2018, 10, e3011. Available online: https://www.cureus.com/articles/13205-heart-failure-secondary-to-left-ventricular-non-compaction-cardiomyopathy-in-a-26-year-old-male (accessed on 20 July 2018). [CrossRef] [PubMed]
- Stanton, C.; Bruce, C.; Connolly, H.; Brady, P.; Syed, I.; Hodge, D.; Asirvatham, S.; Friedman, P. Isolated Left Ventricular Noncompaction Syndrome. Am. J. Cardiol. 2009, 104, 1135–1138. [Google Scholar] [CrossRef]
- Filho, D.C.S.; do Rêgo Aquino, P.L.; de Souza Silva, G.; Fabro, C.B. Left Ventricular Noncompaction: New Insights into a Poorly Understood Disease. CCR 2021, 17, 209–216. [Google Scholar] [CrossRef] [PubMed]
- Singh, D.P.; Patel, H. Left Ventricular Non-Compaction Cardiomyopathy. In StatPearls; StatPearls Publishing: Treasure Island, FL, USA, 2022. [Google Scholar]
- Rojanasopondist, P.; Nesheiwat, L.; Piombo, S.; Porter, G.A.; Ren, M.; Phoon, C.K.L. Genetic Basis of Left Ventricular Noncompaction. Circ. Genom. Precis. Med. 2022, 15, e003517. Available online: https://www.ahajournals.org/doi/10.1161/CIRCGEN.121.003517 (accessed on 28 January 2023). [CrossRef] [PubMed]
- Oechslin, E.; Jenni, R. Left Ventricular Noncompaction. J. Am. Coll. Cardiol. 2018, 71, 723–726. [Google Scholar] [CrossRef] [PubMed]
- Di Toro, A.; Giuliani, L.; Smirnova, A.; Favalli, V.; Serio, A.; Urtis, M.; Grasso, M.; Arbustini, E. Myths to debunk: The non-compacted myocardium. Eur. Heart J. Suppl. 2020, 22 (Suppl._L), L6–L10. [Google Scholar] [CrossRef] [PubMed]
- Ichida, F. Left ventricular noncompaction—Risk stratification and genetic consideration. J. Cardiol. 2020, 75, 1–9. [Google Scholar] [CrossRef]
- Finsterer, J.; Stöllberger, C. Unclassified cardiomyopathies in neuromuscular disorders. Wien. Med. Wochenschr. 2013, 163, 505–513. [Google Scholar] [CrossRef]
- Casanova, J.D.; Carrillo, J.G.; Jiménez, J.M.; Muñoz, J.C.; Esparza, C.M.; Alvárez, M.S.; Escribá, R.; Milla, E.B.; de la Pompa, J.L.; Raya, Á.; et al. Trabeculated Myocardium in Hypertrophic Cardiomyopathy: Clinical Consequences. JCM 2020, 9, 3171. [Google Scholar] [CrossRef]
- Xu, S.; Lun, Y.; Frascella, M.; Garcia, A.; Soska, R.; Nair, A.; Ponery, A.S.; Schilling, A.; Feng, J.; Tuske, S.; et al. Improved efficacy of a next-generation ERT in murine Pompe disease. JCI Insight 2019, 4, e125358. [Google Scholar] [CrossRef]
- van Capelle, C.I.; Poelman, E.; Frohn-Mulder, I.M.; Koopman, L.P.; Hout, J.M.V.D.; Régal, L.; Cools, B.; Helbing, W.A.; van der Ploeg, A.T. Cardiac outcome in classic infantile Pompe disease after 13 years of treatment with recombinant human acid alpha-glucosidase. Int. J. Cardiol. 2018, 269, 104–110. [Google Scholar] [CrossRef] [PubMed]
- D’Silva, A.; Jensen, B. Left ventricular non-compaction cardiomyopathy: How many needles in the haystack? Heart 2021, 107, 1344–1352. [Google Scholar] [CrossRef] [PubMed]

Disclaimer/Publisher’s Note: The statements, opinions and data contained in all publications are solely those of the individual author(s) and contributor(s) and not of MDPI and/or the editor(s). MDPI and/or the editor(s) disclaim responsibility for any injury to people or property resulting from any ideas, methods, instructions or products referred to in the content. |
© 2023 by the authors. Licensee MDPI, Basel, Switzerland. This article is an open access article distributed under the terms and conditions of the Creative Commons Attribution (CC BY) license (https://creativecommons.org/licenses/by/4.0/).
Share and Cite
Gragnaniello, V.; Rizzardi, C.; Commone, A.; Gueraldi, D.; Maines, E.; Salviati, L.; Di Salvo, G.; Burlina, A.B. Unusual Evolution of Hypertrophic Cardiomyopathy in Non-Compaction Myocardium in a Pompe Disease Patient. J. Clin. Med. 2023, 12, 2365. https://doi.org/10.3390/jcm12062365
Gragnaniello V, Rizzardi C, Commone A, Gueraldi D, Maines E, Salviati L, Di Salvo G, Burlina AB. Unusual Evolution of Hypertrophic Cardiomyopathy in Non-Compaction Myocardium in a Pompe Disease Patient. Journal of Clinical Medicine. 2023; 12(6):2365. https://doi.org/10.3390/jcm12062365
Chicago/Turabian StyleGragnaniello, Vincenza, Caterina Rizzardi, Anna Commone, Daniela Gueraldi, Evelina Maines, Leonardo Salviati, Giovanni Di Salvo, and Alberto B. Burlina. 2023. "Unusual Evolution of Hypertrophic Cardiomyopathy in Non-Compaction Myocardium in a Pompe Disease Patient" Journal of Clinical Medicine 12, no. 6: 2365. https://doi.org/10.3390/jcm12062365
APA StyleGragnaniello, V., Rizzardi, C., Commone, A., Gueraldi, D., Maines, E., Salviati, L., Di Salvo, G., & Burlina, A. B. (2023). Unusual Evolution of Hypertrophic Cardiomyopathy in Non-Compaction Myocardium in a Pompe Disease Patient. Journal of Clinical Medicine, 12(6), 2365. https://doi.org/10.3390/jcm12062365

