Electrophysiological Evaluation of Macular Dystrophies
Abstract
1. Introduction
2. Application of Electrophysiology in Macular Dystrophies
2.1. Stargardt Disease
2.2. Bestrophinopathies
2.3. X-Linked Retinoschisis
2.4. Sorsby Fundus Dystrophy
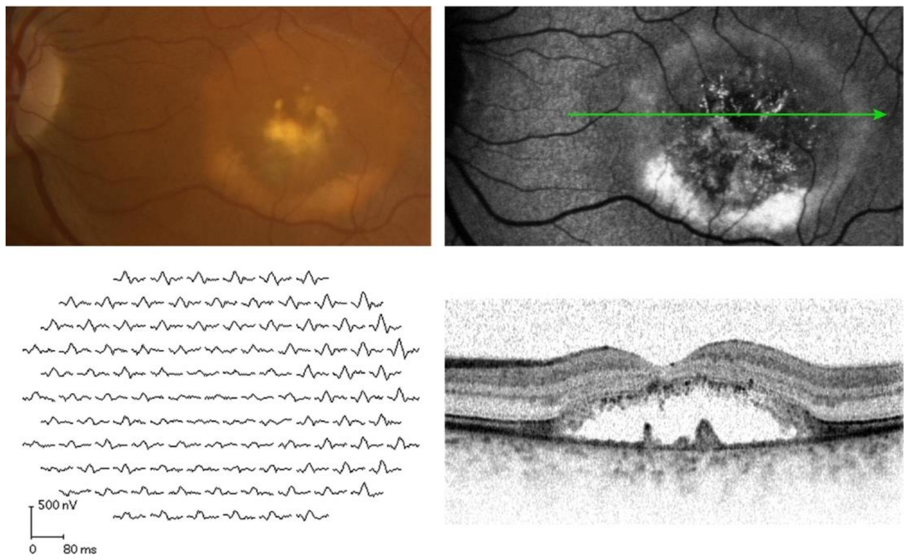
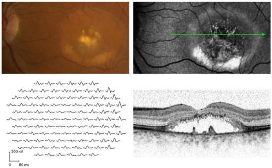
2.5. Doyne Honeycomb Retinal Dystrophy (Autosomal Dominant Drusen)
2.6. Occult Macular Dystrophy
2.7. North Carolina Macular Dystrophy
2.8. Pattern Dystrophy
2.9. Central Areolar Choroidal Dystrophy
3. Conclusions
Author Contributions
Funding
Institutional Review Board Statement
Informed Consent Statement
Data Availability Statement
Conflicts of Interest
References
- Rahman, N.; Georgiou, M.; Khan, K.N.; Michaelides, M. Macular dystrophies: Clinical and imaging features, molecular genetics and therapeutic options. Br. J. Ophthalmol. 2020, 104, 451–460. [Google Scholar] [CrossRef] [PubMed]
- Robson, A.G.; Frishman, L.J.; Grigg, J.; Hamilton, R.; Jeffrey, B.G.; Kondo, M.; Li, S.; McCulloch, D.L. ISCEV Standard for full-field clinical electroretinography (2022 update). Doc. Ophthalmol. 2022, 144, 165–177. [Google Scholar] [CrossRef] [PubMed]
- Shahi, P.K.; Liu, X.; Aul, B.; Moyer, A.; Pattnaik, A.; Denton, J.; Pillers, D.M.; Pattnaik, B.R. Abnormal Electroretinogram after Kir7.1 Channel Suppression Suggests Role in Retinal Electrophysiology. Sci. Rep. 2017, 7, 10651. [Google Scholar] [CrossRef] [PubMed]
- Stockton, R.A.; Slaughter, M.M. B-wave of the electroretinogram. A reflection of ON bipolar cell activity. J. Gen. Physiol. 1989, 93, 101–122. [Google Scholar] [CrossRef] [PubMed]
- Wachtmeister, L. Oscillatory potentials in the retina: What do they reveal. Prog. Retin. Eye Res. 1998, 17, 485–521. [Google Scholar] [CrossRef] [PubMed]
- Robson, A.G.; Nilsson, J.; Li, S.; Jalali, S.; Fulton, A.B.; Tormene, A.P.; Holder, G.E.; Brodie, S.E. ISCEV guide to visual electrodiagnostic procedures. Doc. Ophthalmol. 2018, 136, 1–26. [Google Scholar] [CrossRef] [PubMed]
- Sutter, E.E.; Tran, D. The field topography of ERG components in man—I. The photopic luminance response. Vis. Res. 1992, 32, 433–446. [Google Scholar] [CrossRef]
- Sutter, E.E. Imaging visual function with the multifocal m-sequence technique. Vis. Res. 2001, 41, 1241–1255. [Google Scholar] [CrossRef]
- Hoffmann, M.B.; Bach, M.; Kondo, M.; Li, S.; Walker, S.; Holopigian, K.; Viswanathan, S.; Robson, A.G. ISCEV standard for clinical multifocal electroretinography (mfERG) (2021 update). Doc. Ophthalmol. 2021, 142, 5–16. [Google Scholar] [CrossRef]
- Bach, M.; Brigell, M.G.; Hawlina, M.; Holder, G.E.; Johnson, M.A.; McCulloch, D.L.; Meigen, T.; Viswanathan, S. ISCEV standard for clinical pattern electroretinography (PERG): 2012 update. Doc. Ophthalmol. 2013, 126, 1–7. [Google Scholar] [CrossRef]
- Luo, X.; Frishman, L.J. Retinal pathway origins of the pattern electroretinogram (PERG). Investig. Ophthalmol. Vis. Sci. 2011, 52, 8571–8584. [Google Scholar] [CrossRef] [PubMed]
- Constable, P.A.; Bach, M.; Frishman, L.J.; Jeffrey, B.G.; Robson, A.G.; International Society for Clinical Electrophysiology of Vision. ISCEV Standard for clinical electro-oculography (2017 update). Doc. Ophthalmol. 2017, 134, 1–9, Erratum in Doc. Ophthalmol. 2017, 134, 155. [Google Scholar] [CrossRef]
- Tan, A.C.; Chen, L.; Png, R.; Chia, A. The diagnosis and assessment of visual function in Singaporean children with electrophysiology: 10-year results. Doc. Ophthalmol. 2016, 132, 189–199. [Google Scholar] [CrossRef] [PubMed]
- Tsang, S.H.; Sharma, T. Stargardt Disease. Adv. Exp. Med. Biol. 2018, 1085, 139–151. [Google Scholar]
- Tanna, P.; Strauss, R.W.; Fujinami, K.; Michaelides, M. Stargardt disease: Clinical features, molecular genetics, animal models and therapeutic options. Br. J. Ophthalmol. 2017, 101, 25–30. [Google Scholar] [CrossRef] [PubMed]
- Lambertus, S.; Lindner, M.; Bax, N.M.; Mauschitz, M.M.; Nadal, J.; Schmid, M.; Schmitz-Valckenberg, S.; den Hollander, A.I.; Weber, B.H.; Holz, F.G.; et al. Progression of Late-Onset Stargardt Disease. Investig. Ophthalmol. Vis. Sci. 2016, 57, 5186–5191. [Google Scholar] [CrossRef] [PubMed]
- Maugeri, A.; Meire, F.; Hoyng, C.B.; Vink, C.; Van Regemorter, N.; Karan, G.; Yang, Z.; Cremers, F.P.; Zhang, K. A novel mutation in the ELOVL4 gene causes autosomal dominant Stargardt-like macular dystrophy. Investig. Ophthalmol. Vis. Sci. 2004, 45, 4263–4267. [Google Scholar] [CrossRef]
- Logan, S.; Anderson, R.E. Dominant Stargardt Macular Dystrophy (STGD3) and ELOVL4. Adv. Exp. Med. Biol. 2014, 801, 447–453. [Google Scholar]
- Kim, J.M.; Lee, C.; Lee, G.I.; Kim, N.K.D.; Ki, C.S.; Park, W.Y.; Kim, B.J.; Kim, S.J. Identification of the PROM1 Mutation p.R373C in a Korean Patient with Autosomal Dominant Stargardt-like Macular Dystrophy. Ann. Lab. Med. 2017, 37, 536–539. [Google Scholar] [CrossRef]
- Zhang, Q.; Zulfiqar, F.; Xiao, X.; Riazuddin, S.A.; Ahmad, Z.; Caruso, R.; MacDonald, I.; Sieving, P.; Riazuddin, S.; Hejtmancik, J.F. Severe retinitis pigmentosa mapped to 4p15 and associated with a novel mutation in the PROM1 gene. Hum. Genet. 2007, 122, 293–299. [Google Scholar] [CrossRef]
- Permanyer, J.; Navarro, R.; Friedman, J.; Pomares, E.; Castro-Navarro, J.; Marfany, G.; Swaroop, A.; Gonzalez-Duarte, R. Autosomal recessive retinitis pigmentosa with early macular affectation caused by premature truncation in PROM1. Investig. Ophthalmol. Vis. Sci. 2010, 51, 2656–2663. [Google Scholar] [CrossRef] [PubMed]
- Boon, C.J.; van Schooneveld, M.J.; den Hollander, A.I.; van Lith-Verhoeven, J.J.; Zonneveld-Vrieling, M.N.; Theelen, T.; Cremers, F.P.; Hoyng, C.B.; Klevering, B.J. Mutations in the peripherin/RDS gene are an important cause of multifocal pattern dystrophy simulating STGD1/fundus flavimaculatus. Br. J. Ophthalmol. 2007, 91, 1504–1511. [Google Scholar] [CrossRef] [PubMed]
- Duncker, T.; Tsang, S.H.; Woods, R.L.; Lee, W.; Zernant, J.; Allikmets, R.; Delori, F.C.; Sparrow, J.R. Quantitative Fundus Autofluorescence and Optical Coherence Tomography in PRPH2/RDS- and ABCA4-Associated Disease Exhibiting Phenotypic Overlap. Investig. Ophthalmol. Vis. Sci. 2015, 56, 3159–3170. [Google Scholar] [CrossRef]
- Miere, A.; Zambrowski, O.; Kessler, A.; Mehanna, C.J.; Pallone, C.; Seknazi, D.; Denys, P.; Amoroso, F.; Petit, E.; Souied, E.H. Deep Learning to Distinguish ABCA4-Related Stargardt Disease from PRPH2-Related Pseudo-Stargardt Pattern Dystrophy. J. Clin. Med. 2021, 10, 5742. [Google Scholar] [CrossRef]
- Lois, N.; Holder, G.E.; Bunce, C.; Fitzke, F.W.; Bird, A.C. Phenotypic subtypes of Stargardt macular dystrophy-fundus flavimaculatus. Arch. Ophthalmol. 2001, 119, 359–369. [Google Scholar] [CrossRef]
- Fujinami, K.; Lois, N.; Davidson, A.E.; Mackay, D.S.; Hogg, C.R.; Stone, E.M.; Tsunoda, K.; Tsubota, K.; Bunce, C.; Robson, A.G.; et al. A longitudinal study of stargardt disease: Clinical and electrophysiologic assessment, progression, and genotype correlations. Am. J. Ophthalmol. 2013, 155, 1075–1088.E13. [Google Scholar] [CrossRef]
- Kuniyoshi, K.; Terasaki, H.; Arai, M.; Hirose, T. Multifocal electroretinograms in Stargardt’s disease/fundus flavimaculatus. Ophthalmologica 2014, 232, 118–125. [Google Scholar] [CrossRef]
- Kretschmann, U.; Seeliger, M.W.; Ruether, K.; Usui, T.; Apfelstedt-Sylla, E.; Zrenner, E. Multifocal electroretinography in patients with Stargardt’s macular dystrophy. Br. J. Ophthalmol. 1998, 82, 267–275. [Google Scholar] [CrossRef]
- Stavrou, P.; Good, P.A.; Misson, G.P.; Kritzinger, E.E. Electrophysiological findings in Stargardt’s-fundus flavimaculatus disease. Eye 1998, 12 Pt 6, 953–958. [Google Scholar] [CrossRef] [PubMed]
- Molina-Solana, P.; Morillo-Sanchez, M.J.; Mendez-Vidal, C.; Ramos-Jimenez, M.; Dominguez-Serrano, B.; Antinolo, G.; Rodriguez-de-la-Rua-Franch, E. Unusual clinical phenotype of Stargardt disease. Arq. Bras. Oftalmol. 2021, 84, 391–394. [Google Scholar]
- Lambertus, S.; van Huet, R.A.; Bax, N.M.; Hoefsloot, L.H.; Cremers, F.P.; Boon, C.J.; Klevering, B.J.; Hoyng, C.B. Early-onset stargardt disease: Phenotypic and genotypic characteristics. Ophthalmology 2015, 122, 335–344. [Google Scholar] [CrossRef] [PubMed]
- Westeneng-van Haaften, S.C.; Boon, C.J.; Cremers, F.P.; Hoefsloot, L.H.; den Hollander, A.I.; Hoyng, C.B. Clinical and genetic characteristics of late-onset Stargardt’s disease. Ophthalmology 2012, 119, 1199–1210. [Google Scholar] [CrossRef] [PubMed]
- Bitner, H.; Schatz, P.; Mizrahi-Meissonnier, L.; Sharon, D.; Rosenberg, T. Frequency, genotype, and clinical spectrum of best vitelliform macular dystrophy: Data from a national center in Denmark. Am. J. Ophthalmol. 2012, 154, 403–412.e4. [Google Scholar] [CrossRef]
- Tsang, S.H.; Sharma, T. Best Vitelliform Macular Dystrophy. In Atlas of Inherited Retinal Diseases; Advances in Experimental Medicine and Biology; Springer: Cham, Switzerland, 2018; Volume 1085, pp. 157–158. [Google Scholar] [CrossRef]
- Nordstrom, S. Hereditary macular degeneration—A population survey in the country of Vsterbotten, Sweden. Hereditas 1974, 78, 41–62. [Google Scholar] [CrossRef] [PubMed]
- Tsang, S.H.; Sharma, T. Best Vitelliform Macular Dystrophy. In Atlas of Inherited Retinal Diseases; Advances in Experimental Medicine and Biology; Springer: Cham, Switzerland, 2018; Volume 1085, pp. 79–90. [Google Scholar] [CrossRef]
- MacDonald, I.M.; Lee, T.; Lawrence, J. Bestrophinopathies. In GeneReviews((R)); Adam, M.P., Everman, D.B., Mirzaa, G.M., Pagon, R.A., Wallace, S.E., Bean, L.J.H., Gripp, K.W., Amemiya, A., Eds.; University of Washington: Seattle, WA, USA, 1993. [Google Scholar]
- Boon, C.J.; Klevering, B.J.; Leroy, B.P.; Hoyng, C.B.; Keunen, J.E.; den Hollander, A.I. The spectrum of ocular phenotypes caused by mutations in the BEST1 gene. Prog. Retin. Eye Res. 2009, 28, 187–205. [Google Scholar] [CrossRef]
- Palmowski, A.M.; Allgayer, R.; Heinemann-Vernaleken, B.; Scherer, V.; Ruprecht, K.W. Detection of retinal dysfunction in vitelliform macular dystrophy using the multifocal ERG (MF-ERG). Doc. Ophthalmol. 2003, 106, 145–152. [Google Scholar] [CrossRef]
- Padhy, S.K.; Parameswarappa, D.C.; Agarwal, K.; Takkar, B.; Behera, S.; Panchal, B.; Ramappa, M.; Padhi, T.R.; Jalali, S. Clinical and visual electrophysiological characteristics of vitelliform macular dystrophies in the first decade of life. Indian J. Ophthalmol. 2022, 70, 2516–2525. [Google Scholar]
- Gass, J.D. A clinicopathologic study of a peculiar foveomacular dystrophy. Trans. Am. Ophthalmol. Soc. 1974, 72, 139–156. [Google Scholar]
- Tiosano, L.; Grunin, M.; Hagbi-Levi, S.; Banin, E.; Averbukh, E.; Chowers, I. Characterising the phenotype and progression of sporadic adult-onset foveomacular vitelliform dystrophy. Br. J. Ophthalmol. 2016, 100, 1476–1481. [Google Scholar] [CrossRef]
- Chowers, I.; Tiosano, L.; Audo, I.; Grunin, M.; Boon, C.J. Adult-onset foveomacular vitelliform dystrophy: A fresh perspective. Prog. Retin. Eye Res. 2015, 47, 64–85. [Google Scholar] [CrossRef]
- Theischen, M.; Schilling, H.; Steinhorst, U.H. [EOG in adult vitelliform macular degeneration, butterfly-shaped pattern dystrophy and Best disease]. Ophthalmologe 1997, 94, 230–233. [Google Scholar] [CrossRef] [PubMed]
- Renner, A.B.; Tillack, H.; Kraus, H.; Kohl, S.; Wissinger, B.; Mohr, N.; Weber, B.H.; Kellner, U.; Foerster, M.H. Morphology and functional characteristics in adult vitelliform macular dystrophy. Retina 2004, 24, 929–939. [Google Scholar] [CrossRef] [PubMed]
- da Palma, M.M.; Vargas, M.E.; Burr, A.; Chen, R.; Pennesi, M.E.; Weleber, R.G.; Yang, P. Variable expressivity of BEST1-associated autosomal dominant vitreoretinochoroidopathy (ADVIRC) in a three-generation pedigree. BMJ Open Ophthalmol. 2021, 6, e000813. [Google Scholar] [CrossRef] [PubMed]
- Vincent, A.; McAlister, C.; Vandenhoven, C.; Heon, E. BEST1-related autosomal dominant vitreoretinochoroidopathy: A degenerative disease with a range of developmental ocular anomalies. Eye 2011, 25, 113–118. [Google Scholar] [CrossRef] [PubMed]
- Mano, F.; LoBue, S.A.; Olsen, T.W.; Marmorstein, A.D.; Pulido, J.S. A novel missense mutation in BEST1 associated with an autosomal-dominant vitreoretinochoroidopathy (ADVIRC) phenotype. Ophthalmic Genet. 2018, 39, 749–753. [Google Scholar] [CrossRef]
- Kellner, U.; Jandeck, C.; Kraus, H.; Foerster, M.H. Autosomal dominant vitreoretinochoroidopathy with normal electrooculogram in a German family. Graefe’s Arch. Clin. Exp. Ophthalmol. 1998, 236, 109–114. [Google Scholar] [CrossRef]
- Burgess, R.; Millar, I.D.; Leroy, B.P.; Urquhart, J.E.; Fearon, I.M.; De Baere, E.; Brown, P.D.; Robson, A.G.; Wright, G.A.; Kestelyn, P.; et al. Biallelic mutation of BEST1 causes a distinct retinopathy in humans. Am. J. Hum. Genet. 2008, 82, 19–31. [Google Scholar] [CrossRef]
- Boon, C.J.; van den Born, L.I.; Visser, L.; Keunen, J.E.; Bergen, A.A.; Booij, J.C.; Riemslag, F.C.; Florijn, R.J.; van Schooneveld, M.J. Autosomal recessive bestrophinopathy: Differential diagnosis and treatment options. Ophthalmology 2013, 120, 809–820. [Google Scholar] [CrossRef]
- Sharon, D.; Al-Hamdani, S.; Engelsberg, K.; Mizrahi-Meissonnier, L.; Obolensky, A.; Banin, E.; Sander, B.; Jensen, H.; Larsen, M.; Schatz, P. Ocular phenotype analysis of a family with biallelic mutations in the BEST1 gene. Am. J. Ophthalmol. 2014, 157, 697–709.e2. [Google Scholar] [CrossRef]
- George, N.D.; Yates, J.R.; Moore, A.T. X linked retinoschisis. Br. J. Ophthalmol. 1995, 79, 697–702. [Google Scholar] [CrossRef]
- Molday, R.S.; Kellner, U.; Weber, B.H. X-linked juvenile retinoschisis: Clinical diagnosis, genetic analysis, and molecular mechanisms. Prog. Retin. Eye Res. 2012, 31, 195–212. [Google Scholar] [CrossRef] [PubMed]
- Lee, J.J.; Kim, J.H.; Kim, S.Y.; Park, S.S.; Yu, Y.S. Infantile vitreous hemorrhage as the initial presentation of X-linked juvenile retinoschisis. Korean J. Ophthalmol. 2009, 23, 118–120. [Google Scholar] [CrossRef] [PubMed]
- Renner, A.B.; Kellner, U.; Fiebig, B.; Cropp, E.; Foerster, M.H.; Weber, B.H. ERG variability in X-linked congenital retinoschisis patients with mutations in the RS1 gene and the diagnostic importance of fundus autofluorescence and OCT. Doc. Ophthalmol. 2008, 116, 97–109. [Google Scholar] [CrossRef]
- Lee, Y.; Oh, B.L. Retinal Detachment in X-Linked Retinoschisis. N. Engl. J. Med. 2020, 382, 1149. [Google Scholar] [CrossRef]
- Sieving, P.A.; Bingham, E.L.; Kemp, J.; Richards, J.; Hiriyanna, K. Juvenile X-linked retinoschisis from XLRS1 Arg213Trp mutation with preservation of the electroretinogram scotopic b-wave. Am. J. Ophthalmol. 1999, 128, 179–184. [Google Scholar] [CrossRef] [PubMed]
- Peachey, N.S.; Fishman, G.A.; Derlacki, D.J.; Brigell, M.G. Psychophysical and electroretinographic findings in X-linked juvenile retinoschisis. Arch. Ophthalmol. 1987, 105, 513–516. [Google Scholar] [CrossRef] [PubMed]
- Tantri, A.; Vrabec, T.R.; Cu-Unjieng, A.; Frost, A.; Annesley, W.H., Jr.; Donoso, L.A. X-linked retinoschisis: A clinical and molecular genetic review. Surv. Ophthalmol. 2004, 49, 214–230. [Google Scholar] [CrossRef]
- Vincent, A.; Robson, A.G.; Neveu, M.M.; Wright, G.A.; Moore, A.T.; Webster, A.R.; Holder, G.E. A phenotype-genotype correlation study of X-linked retinoschisis. Ophthalmology 2013, 120, 1454–1464. [Google Scholar] [CrossRef]
- Muscat, S.; Fahad, B.; Parks, S.; Keating, D. Optical coherence tomography and multifocal electroretinography of X-linked juvenile retinoschisis. Eye 2001, 15, 796–799. [Google Scholar] [CrossRef]
- Nakamura, M.; Ito, S.; Terasaki, H.; Miyake, Y. Japanese X-linked juvenile retinoschisis: Conflict of phenotype and genotype with novel mutations in the XLRS1 gene. Arch. Ophthalmol. 2001, 119, 1553–1554. [Google Scholar]
- Sen, P.; Roy, R.; Maru, S.; Ravi, P. Evaluation of focal retinal function using multifocal electroretinography in patients with X-linked retinoschisis. Can. J. Ophthalmol. 2010, 45, 509–513. [Google Scholar] [CrossRef] [PubMed]
- Khan, N.W.; Jamison, J.A.; Kemp, J.A.; Sieving, P.A. Analysis of photoreceptor function and inner retinal activity in juvenile X-linked retinoschisis. Vis. Res. 2001, 41, 3931–3942. [Google Scholar] [CrossRef] [PubMed]
- Piao, C.H.; Kondo, M.; Nakamura, M.; Terasaki, H.; Miyake, Y. Multifocal electroretinograms in X-linked retinoschisis. Investig. Ophthalmol. Vis. Sci. 2003, 44, 4920–4930. [Google Scholar] [CrossRef] [PubMed]
- Sakti, D.H.; Ali, H.; Korsakova, M.; Saakova, N.; Mustafic, N.; Fraser, C.L.; Jamieson, R.V.; Cornish, E.E.; Grigg, J.R. Electronegative electroretinogram in the modern multimodal imaging era. Clin. Exp. Ophthalmol. 2022, 50, 429–440. [Google Scholar] [CrossRef]
- Sorsby, A.; Mason, M.E. A fundus dystrophy with unusual features. Br. J. Ophthalmol. 1949, 33, 67–97. [Google Scholar] [CrossRef]
- Christensen, D.R.G.; Brown, F.E.; Cree, A.J.; Ratnayaka, J.A.; Lotery, A.J. Sorsby fundus dystrophy—A review of pathology and disease mechanisms. Exp. Eye Res. 2017, 165, 35–46. [Google Scholar] [CrossRef]
- Raming, K.; Gliem, M.; Charbel Issa, P.; Birtel, J.; Herrmann, P.; Holz, F.G.; Pfau, M.; Hess, K. Visual Dysfunction and Structural Correlates in Sorsby Fundus Dystrophy. Am. J. Ophthalmol. 2022, 234, 274–284. [Google Scholar] [CrossRef]
- Hoskin, A.; Sehmi, K.; Bird, A.C. Sorsby’s pseudoinflammatory macular dystrophy. Br. J. Ophthalmol. 1981, 65, 859–865. [Google Scholar] [CrossRef]
- Hamilton, W.K.; Ewing, C.C.; Ives, E.J.; Carruthers, J.D. Sorsby’s fundus dystrophy. Ophthalmology 1989, 96, 1755–1762. [Google Scholar] [CrossRef]
- Gourier, H.C.; Chong, N.V. Can Novel Treatment of Age-Related Macular Degeneration Be Developed by Better Understanding of Sorsby’s Fundus Dystrophy. J. Clin. Med. 2015, 4, 874–883. [Google Scholar] [CrossRef]
- Anand-Apte, B.; Chao, J.R.; Singh, R.; Stohr, H. Sorsby fundus dystrophy: Insights from the past and looking to the future. J. Neurosci. Res. 2019, 97, 88–97. [Google Scholar] [CrossRef]
- Gliem, M.; Muller, P.L.; Mangold, E.; Bolz, H.J.; Stohr, H.; Weber, B.H.; Holz, F.G.; Charbel Issa, P. Reticular Pseudodrusen in Sorsby Fundus Dystrophy. Ophthalmology 2015, 122, 1555–1562. [Google Scholar] [CrossRef]
- Jacobson, S.G.; Cideciyan, A.V.; Bennett, J.; Kingsley, R.M.; Sheffield, V.C.; Stone, E.M. Novel mutation in the TIMP3 gene causes Sorsby fundus dystrophy. Arch. Ophthalmol. 2002, 120, 376–379. [Google Scholar] [CrossRef]
- Sieving, P.A.; Boskovich, S.; Bingham, E.; Pawar, H. Sorsby’s fundus dystrophy in a family with a Ser-181-CVS mutation in the TIMP-3 gene: Poor outcome after laser photocoagulation. Trans. Am. Ophthalmol. Soc. 1996, 94, 275–294; discussion 295–277. [Google Scholar]
- Tsang, S.H.; Sharma, T. Doyne Honeycomb Retinal Dystrophy (Malattia Leventinese, Autosomal Dominant Drusen). Adv. Exp. Med. Biol. 2018, 1085, 97–102. [Google Scholar]
- Marmorstein, L.Y.; Munier, F.L.; Arsenijevic, Y.; Schorderet, D.F.; McLaughlin, P.J.; Chung, D.; Traboulsi, E.; Marmorstein, A.D. Aberrant accumulation of EFEMP1 underlies drusen formation in Malattia Leventinese and age-related macular degeneration. Proc. Natl. Acad. Sci. USA 2002, 99, 13067–13072. [Google Scholar] [CrossRef]
- Narendran, N.; Guymer, R.H.; Cain, M.; Baird, P.N. Analysis of the EFEMP1 gene in individuals and families with early onset drusen. Eye 2005, 19, 11–15. [Google Scholar] [CrossRef] [PubMed]
- Stone, E.M.; Lotery, A.J.; Munier, F.L.; Heon, E.; Piguet, B.; Guymer, R.H.; Vandenburgh, K.; Cousin, P.; Nishimura, D.; Swiderski, R.E.; et al. A single EFEMP1 mutation associated with both Malattia Leventinese and Doyne honeycomb retinal dystrophy. Nat. Genet. 1999, 22, 199–202. [Google Scholar] [CrossRef]
- Evans, K.; Gregory, C.Y.; Wijesuriya, S.D.; Kermani, S.; Jay, M.R.; Plant, C.; Bird, A.C. Assessment of the phenotypic range seen in Doyne honeycomb retinal dystrophy. Arch. Ophthalmol. 1997, 115, 904–910. [Google Scholar] [CrossRef] [PubMed]
- Sheyanth, I.N.; Lolas, I.B.; Okkels, H.; Kiruparajan, L.P.; Abildgaard, S.K.; Petersen, M.B. First reported case of Doyne honeycomb retinal dystrophy (Malattia Leventinese/autosomal dominant drusen) in Scandinavia. Mol. Genet. Genomic. Med. 2021, 9, e1652. [Google Scholar] [CrossRef] [PubMed]
- Querques, G.; Guigui, B.; Leveziel, N.; Querques, L.; Bandello, F.; Souied, E.H. Multimodal morphological and functional characterization of Malattia Leventinese. Graefe’s Arch. Clin. Exp. Ophthalmol. 2013, 251, 705–714. [Google Scholar] [CrossRef] [PubMed]
- Cusumano, A.; Falsini, B.; Giardina, E.; Cascella, R.; Sebastiani, J.; Marshall, J. Doyne honeycomb retinal dystrophy-functional improvement following subthreshold nanopulse laser treatment: A case report. J. Med. Case Rep. 2019, 13, 5. [Google Scholar] [CrossRef] [PubMed]
- Enomoto, N.; Hayashi, T.; Matsuura, T.; Tanaka, K.; Takeuchi, R.; Tomita, G.; Mori, R. The second Japanese family with Malattia Leventinese/Doyne honeycomb retinal dystrophy. Doc. Ophthalmol. 2022, 144, 67–75. [Google Scholar] [CrossRef] [PubMed]
- Haimovici, R.; Wroblewski, J.; Piguet, B.; Fitzke, F.W.; Holder, G.E.; Arden, G.B.; Bird, A.C. Symptomatic abnormalities of dark adaptation in patients with EFEMP1 retinal dystrophy (Malattia Leventinese/Doyne honeycomb retinal dystrophy). Eye 2002, 16, 7–15. [Google Scholar] [CrossRef]
- Zhang, K.; Sun, X.; Chen, Y.; Zhong, Q.; Lin, L.; Gao, Y.; Hong, F. Doyne honeycomb retinal dystrophy/malattia leventinese induced by EFEMP1 mutation in a Chinese family. BMC Ophthalmol. 2018, 18, 318. [Google Scholar] [CrossRef] [PubMed]
- Tsunoda, K.; Usui, T.; Hatase, T.; Yamai, S.; Fujinami, K.; Hanazono, G.; Shinoda, K.; Ohde, H.; Akahori, M.; Iwata, T.; et al. Clinical characteristics of occult macular dystrophy in family with mutation of RP1l1 gene. Retina 2012, 32, 1135–1147. [Google Scholar] [CrossRef] [PubMed]
- Miyake, Y.; Tsunoda, K. Occult macular dystrophy. Jpn J. Ophthalmol. 2015, 59, 71–80. [Google Scholar] [CrossRef]
- Tsang, S.H.; Sharma, T. Occult Macular Dystrophy. Adv. Exp. Med. Biol. 2018, 1085, 103–104. [Google Scholar]
- Davidson, A.E.; Sergouniotis, P.I.; Mackay, D.S.; Wright, G.A.; Waseem, N.H.; Michaelides, M.; Holder, G.E.; Robson, A.G.; Moore, A.T.; Plagnol, V.; et al. RP1L1 variants are associated with a spectrum of inherited retinal diseases including retinitis pigmentosa and occult macular dystrophy. Hum. Mutat. 2013, 34, 506–514. [Google Scholar] [CrossRef]
- Ahn, S.J.; Ahn, J.; Park, K.H.; Woo, S.J. Multimodal imaging of occult macular dystrophy. JAMA Ophthalmol. 2013, 131, 880–890. [Google Scholar] [CrossRef]
- Piao, C.H.; Kondo, M.; Tanikawa, A.; Terasaki, H.; Miyake, Y. Multifocal electroretinogram in occult macular dystrophy. Investig. Ophthalmol. Vis. Sci. 2000, 41, 513–517. [Google Scholar]
- Miyake, Y.; Horiguchi, M.; Tomita, N.; Kondo, M.; Tanikawa, A.; Takahashi, H.; Suzuki, S.; Terasaki, H. Occult macular dystrophy. Am. J. Ophthalmol. 1996, 122, 644–653. [Google Scholar] [CrossRef]
- Lubinski, W.; Goslawski, W.; Penkala, K.; Drobek-Slowik, M.; Karczewicz, D. A 43-year-old man with reduced visual acuity and normal fundus: Occult macular dystrophy—Case report. Doc. Ophthalmol. 2008, 116, 111–118. [Google Scholar] [CrossRef] [PubMed]
- Nekolova, J.; Stepanov, A.; Kousal, B.; Stredova, M.; Jiraskova, N. Modern diagnostic and therapeutic approaches in familial maculopathy with reference to North Carolina macular dystrophy. Biomed. Pap. Med. Fac. Univ. Palacky Olomouc Czechoslov. 2021, 166, 418–427. [Google Scholar] [CrossRef] [PubMed]
- Small, K.W.; Wiggins, R.; Udar, N.; Silva-Garcia, R.; Avetisjan, J.; Vincent, A.; Shaya, F.S. North Carolina Macular Dystrophy: Long-term Follow-up of the Original Family. Ophthalmol. Retin. 2022, 6, 512–519. [Google Scholar] [CrossRef]
- Small, K.W.; Tran, E.M.; Small, L.; Rao, R.C.; Shaya, F. Multimodal Imaging and Functional Testing in a North Carolina Macular Disease Family: Toxoplasmosis, Fovea Plana, and Torpedo Maculopathy Are Phenocopies. Ophthalmol. Retin. 2019, 3, 607–614. [Google Scholar] [CrossRef]
- Small, K.W.; Garcia, C.A.; Gallardo, G.; Udar, N.; Yelchits, S. North Carolina macular dystrophy (MCDR1) in Texas. Retina 1998, 18, 448–452. [Google Scholar]
- Small, K.W.; DeLuca, A.P.; Whitmore, S.S.; Rosenberg, T.; Silva-Garcia, R.; Udar, N.; Puech, B.; Garcia, C.A.; Rice, T.A.; Fishman, G.A.; et al. North Carolina Macular Dystrophy Is Caused by Dysregulation of the Retinal Transcription Factor PRDM13. Ophthalmology 2016, 123, 9–18. [Google Scholar] [CrossRef]
- Birtel, J.; Gliem, M.; Herrmann, P.; Neuhaus, C.; Holz, F.G.; MacLaren, R.E.; Scholl, H.P.N.; Charbel Issa, P. North Carolina macular dystrophy shows a particular drusen phenotype and atrophy progression. Br. J. Ophthalmol. 2022, 106, 1269–1273. [Google Scholar] [CrossRef]
- Wu, S.; Yuan, Z.; Sun, Z.; Zhu, T.; Wei, X.; Zou, X.; Sui, R. A novel tandem duplication of PRDM13 in a Chinese family with North Carolina macular dystrophy. Graefe’s Arch. Clin. Exp. Ophthalmol. 2022, 260, 645–653. [Google Scholar] [CrossRef]
- Seiple, W.; Szlyk, J.P.; Paliga, J.; Rabb, M.F. Perifoveal function in patients with North Carolina macular dystrophy: The importance of accounting for fixation locus. Investig. Ophthalmol. Vis. Sci. 2006, 47, 1703–1709. [Google Scholar] [CrossRef] [PubMed]
- Parodi, M.B.; Iacono, P.; Cascavilla, M.; Zucchiatti, I.; Kontadakis, D.S.; Bandello, F. Intravitreal bevacizumab for subfoveal choroidal neovascularization associated with pattern dystrophy. Investig. Ophthalmol. Vis. Sci. 2010, 51, 4358–4361. [Google Scholar] [CrossRef] [PubMed]
- Ozkaya, A.; Garip, R.; Nur Tarakcioglu, H.; Alkin, Z.; Taskapili, M. Clinical and imaging findings of pattern dystrophy subtypes; Diagnostic errors and unnecessary treatment in clinical practice. J. Fr. Ophtalmol. 2018, 41, 21–29. [Google Scholar] [CrossRef]
- Hanif, A.M.; Yan, J.; Jain, N. Pattern Dystrophy: An Imprecise Diagnosis in the Age of Precision Medicine. Int. Ophthalmol. Clin. 2019, 59, 173–194. [Google Scholar] [CrossRef] [PubMed]
- Zhang, K.; Garibaldi, D.C.; Li, Y.; Green, W.R.; Zack, D.J. Butterfly-shaped pattern dystrophy: A genetic, clinical, and histopathological report. Arch. Ophthalmol. 2002, 120, 485–490. [Google Scholar] [CrossRef] [PubMed]
- Sodi, A.; Mucciolo, D.P.; Giorgio, D.; Passerini, I.; Pacini, B.; Bruschi, M.; Verdina, T.; Virgili, G.; Giansanti, F.; Murro, V. Clinical and molecular findings in patients with pattern dystrophy. Ophthalmic Genet. 2021, 42, 577–587. [Google Scholar] [CrossRef] [PubMed]
- Tsang, S.H.; Sharma, T. Pattern Dystrophy. Adv. Exp. Med. Biol. 2018, 1085, 91–96. [Google Scholar]
- Vaclavik, V.; Tran, H.V.; Gaillard, M.C.; Schorderet, D.F.; Munier, F.L. Pattern dystrophy with high intrafamilial variability associated with Y141C mutation in the peripherin/RDS gene and successful treatment of subfoveal CNV related to multifocal pattern type with anti-VEGF (ranibizumab) intravitreal injections. Retina 2012, 32, 1942–1949. [Google Scholar] [CrossRef] [PubMed]
- Stuck, M.W.; Conley, S.M.; Naash, M.I. PRPH2/RDS and ROM-1: Historical context, current views and future considerations. Prog. Retin. Eye Res. 2016, 52, 47–63. [Google Scholar] [CrossRef]
- Deutman, A.F.; van Blommestein, J.D.; Henkes, H.E.; Waardenburg, P.J.; Solleveld-van Driest, E. Butterfly-shaped pigment dystrophy of the fovea. Arch. Ophthalmol. 1970, 83, 558–569. [Google Scholar] [CrossRef]
- Saatci, A.O.; Yasti, Z.O.; Kose, S.; Memisoglu, B. Butterfly-like pattern dystrophy and unilateral choroidal neovascularization. Acta Ophthalmol. Scand. 1998, 76, 734–736. [Google Scholar] [CrossRef]
- Zerbib, J.; Querques, G.; Massamba, N.; Puche, N.; Tilleul, J.; Lalloum, F.; Srour, M.; Coscas, G.; Souied, E.H. Reticular pattern dystrophy of the retina: A spectral-domain optical coherence tomography analysis. Am. J. Ophthalmol. 2013, 156, 1228–1237. [Google Scholar] [CrossRef]
- Chen, M.S.; Chang, C.C.; Tsai, T.H.; Fan, I.M.; Hou, P.K. Reticular dystrophy of the retinal pigment epithelium. J. Formos. Med. Assoc. 2007, 106, 490–494. [Google Scholar] [CrossRef] [PubMed]
- Deutman, A.F.; Rumke, A.M. Reticular dystrophy of the retinal pigment epithelium. Dystrophia reticularis laminae pigmentosa retinae of H. Sjogren. Arch. Ophthalmol. 1969, 82, 4–9. [Google Scholar] [CrossRef] [PubMed]
- Marano, F.; Deutman, A.F.; Pinckers, A.J.; Aandekerk, A.L.; Rijneveld, W.J. Reticular dystrophy of the retinal pigment epithelium and choroidal neovascularization. A fluorescein and ICGV study. Acta Ophthalmol. Scand. 1997, 75, 22–27. [Google Scholar] [CrossRef] [PubMed]
- Battaglia Parodi, M. Choroidal neovascularization in fundus pulverulentus. Acta Ophthalmol. Scand. 2002, 80, 559–560. [Google Scholar] [CrossRef]
- Slezak, H.; Hommer, K. Fundus pulverulentus. Albrecht Von Graefes Arch. Klin. Exp. Ophthalmol. 1969, 178, 176–182. [Google Scholar] [CrossRef]
- Roy, R.; Saurabh, K.; Shah, D. Multimodal Imaging in a Case of Fundus Pulverulentus. Retina 2018, 38, e55–e58. [Google Scholar] [CrossRef]
- Boon, C.J.; Klevering, B.J.; Cremers, F.P.; Zonneveld-Vrieling, M.N.; Theelen, T.; Den Hollander, A.I.; Hoyng, C.B. Central areolar choroidal dystrophy. Ophthalmology 2009, 116, 771–782.e1. [Google Scholar] [CrossRef]
- Noble, K.G. Central areolar choroidal dystrophy. Am. J. Ophthalmol. 1977, 84, 310–318. [Google Scholar] [CrossRef]
- Keilhauer, C.N.; Meigen, T.; Weber, B.H. Clinical findings in a multigeneration family with autosomal dominant central areolar choroidal dystrophy associated with an Arg195Leu mutation in the peripherin/RDS gene. Arch. Ophthalmol. 2006, 124, 1020–1027. [Google Scholar] [CrossRef] [PubMed]
- Hoyng, C.B.; Deutman, A.F. The development of central areolar choroidal dystrophy. Graefe’s Arch. Clin. Exp. Ophthalmol. 1996, 234, 87–93. [Google Scholar] [CrossRef] [PubMed]
- Daftarian, N.; Mirrahimi, M.; Sabbaghi, H.; Moghadasi, A.; Zal, N.; Dehghan Banadaki, H.; Ahmadieh, H.; Suri, F. PRPH2 mutation as the cause of various clinical manifestations in a family affected with inherited retinal dystrophy. Ophthalmic Genet. 2019, 40, 436–442. [Google Scholar] [CrossRef] [PubMed]
- Hughes, A.E.; Meng, W.; Lotery, A.J.; Bradley, D.T. A novel GUCY2D mutation, V933A, causes central areolar choroidal dystrophy. Investig. Ophthalmol. Vis. Sci. 2012, 53, 4748–4753. [Google Scholar] [CrossRef] [PubMed]
- Smailhodzic, D.; Fleckenstein, M.; Theelen, T.; Boon, C.J.; van Huet, R.A.; van de Ven, J.P.; Den Hollander, A.I.; Schmitz-Valckenberg, S.; Hoyng, C.B.; Weber, B.H.; et al. Central areolar choroidal dystrophy (CACD) and age-related macular degeneration (AMD): Differentiating characteristics in multimodal imaging. Investig. Ophthalmol. Vis. Sci. 2011, 52, 8908–8918. [Google Scholar] [CrossRef] [PubMed]
- Hanazono, G.; Ohde, H.; Shinoda, K.; Tsunoda, K.; Tsubota, K.; Miyake, Y. Pattern-reversal visual-evoked potential in patients with occult macular dystrophy. Clin. Ophthalmol. 2010, 4, 1515–1520. [Google Scholar] [CrossRef]




| NAME | OMIM | GENE | INHERITANCE |
|---|---|---|---|
| Stargardt disease 1 | 248200 | ABCA4 | Autosomal recessive |
| Stargardt disease 3 | 600110 | ELOVL4 | Autosomal dominant |
| Stargardt disease 4 | 603786 | PROM1 | Autosomal dominant |
| Best vitelliform macular dystrophy | 153700 | BEST1 | Autosomal dominant |
| Adult-onset foveomacular vitelliform dystrophy | 608161 | BEST1, IMPG1, IMPG2, and PRPH2 | Autosomal dominant |
| Autosomal dominant vitreoretinochoroidopathy | 193220 | BEST1 | Autosomal dominant |
| Autosomal recessive bestrophinopathy | 611809 | BEST1 | Autosomal recessive |
| X-linked juvenile retinoschisis | 312700 | RS1 | X-linked |
| Sorsby fundus dystrophy | 136900 | TIMP3 | Autosomal dominant |
| Doyne honeycomb retinal dystrophy | 126600 | EFEMP1 | Autosomal dominant |
| Occult macular dystrophy | 613587 | RP1L1 | Autosomal dominant |
| North Carolina macular dystrophy | 136550 | PRDM13 | Autosomal dominant |
| Pattern dystrophies | 169150 | PRPH2 | Autosomal dominant |
| Central areolar choroidal dystrophy | 613105215500 | PRPH2, and GUCY2D | Autosomal dominant |
| Disease | ffERG | mfERG | EOG | References |
|---|---|---|---|---|
| STGD1 | A- | A- | A- | [25,26,28] |
| BVMD | nl | A- | A- | [33,37,39,40] |
| AOFMD | A- | A- | nl | [41,44,45] |
| ADVIRC | A- | nl-borderline | [46,47,48,49] | |
| ARB | A- | A- | A- | [50,51,52] |
| XLRS | A-, I- | A-, I- | nl | [54,58,59,60,64,66] |
| SFD | nl-A- | A- | [72,76,77] | |
| DHRD | A- | A- | nl | [82,85,86,87] |
| OMD | nl | A- | nl | [94,95,96,129] |
| NCMD | nl | A-, I- | A- | [103,104] |
| BPD | nl | nl | A- | [111,113,114] |
| PSPD | A- | A- | [22] | |
| RPD | nl | A- | [116,117,118] | |
| FP | nl | nl | [119,121] | |
| CACD | nl-A- | A-, I- | nl | [122,124,125] |
Disclaimer/Publisher’s Note: The statements, opinions and data contained in all publications are solely those of the individual author(s) and contributor(s) and not of MDPI and/or the editor(s). MDPI and/or the editor(s) disclaim responsibility for any injury to people or property resulting from any ideas, methods, instructions or products referred to in the content. |
© 2023 by the authors. Licensee MDPI, Basel, Switzerland. This article is an open access article distributed under the terms and conditions of the Creative Commons Attribution (CC BY) license (https://creativecommons.org/licenses/by/4.0/).
Share and Cite
Chiang, T.-K.; Yu, M. Electrophysiological Evaluation of Macular Dystrophies. J. Clin. Med. 2023, 12, 1430. https://doi.org/10.3390/jcm12041430
Chiang T-K, Yu M. Electrophysiological Evaluation of Macular Dystrophies. Journal of Clinical Medicine. 2023; 12(4):1430. https://doi.org/10.3390/jcm12041430
Chicago/Turabian StyleChiang, Tsun-Kang, and Minzhong Yu. 2023. "Electrophysiological Evaluation of Macular Dystrophies" Journal of Clinical Medicine 12, no. 4: 1430. https://doi.org/10.3390/jcm12041430
APA StyleChiang, T.-K., & Yu, M. (2023). Electrophysiological Evaluation of Macular Dystrophies. Journal of Clinical Medicine, 12(4), 1430. https://doi.org/10.3390/jcm12041430

