Immediate Loading of Zygomatic Implants Using a Dual Scan Technique
Abstract
1. Introduction
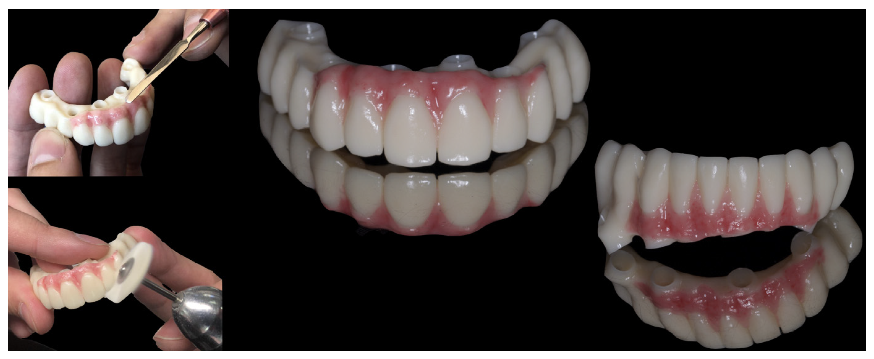
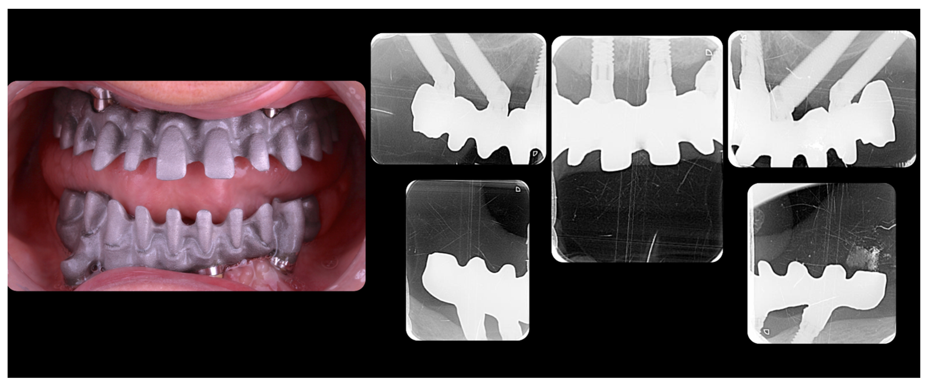
2. Material and Methods
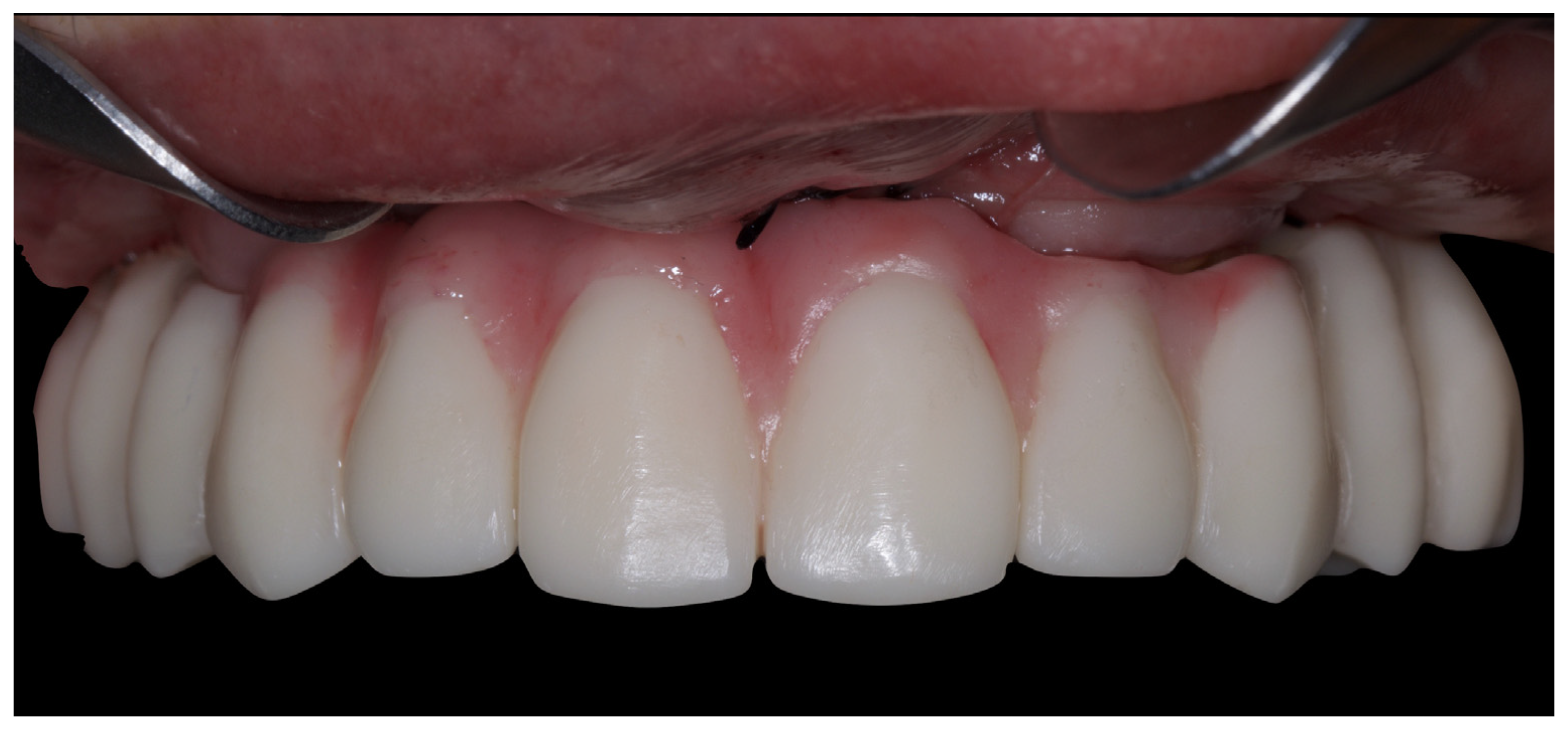
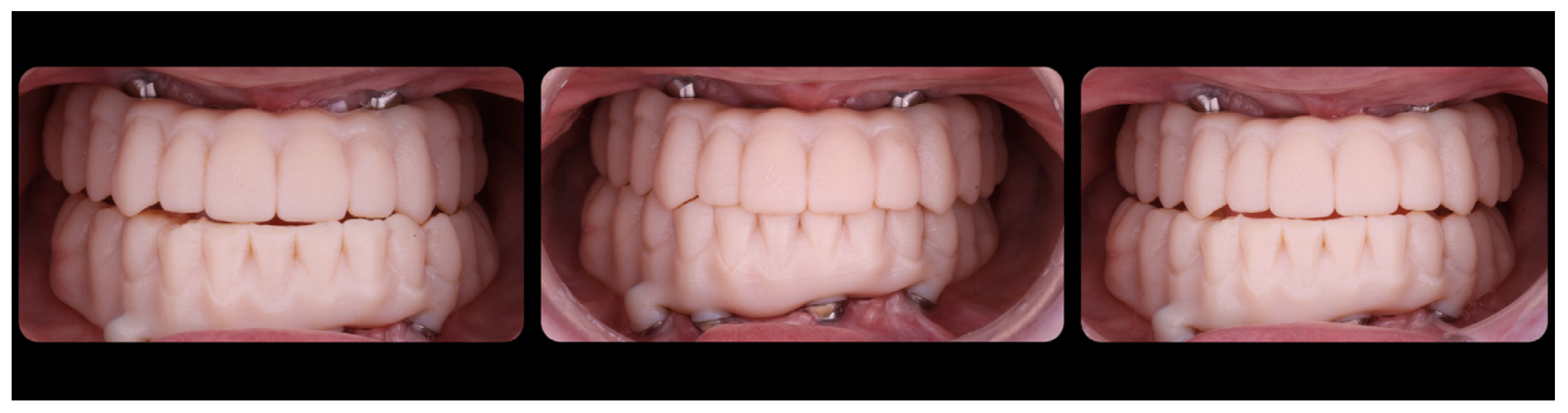
3. Results
4. Discussion
5. Conclusions
Author Contributions
Funding
Institutional Review Board Statement
Informed Consent Statement
Data Availability Statement
Acknowledgments
Conflicts of Interest
References
- Kato, Y.; Kizu, Y.; Tonogi, M.; Ide, Y.; Yamane, G. Internal structure of zygomatic bone related to zygomatic fixture. J. Oral Maxillofac. Surg. 2005, 63, 1325–1329. [Google Scholar] [CrossRef] [PubMed]
- Nkenke, E.; Hahn, M.; Lell, M.; Wiltfang, J.; Schultze-Mosgau, S.; Stech, B.; Radespiel-Troger, M.; Neukam, F.W. Anatomic site evaluation of the zygomatic bone for dental implant placement. Clin. Oral Implant. Res. 2003, 14, 72–79. [Google Scholar] [CrossRef] [PubMed]
- Brånemark, P.-I.; Gröndahl, K.; Ohrnell, L.-O.; Nilsson, P.; Petruson, B.; Svensson, B.; Engstrand, P.; Nannmark, U. Zygoma fixture in the management of advanced atrophy of the maxilla: Technique and long-term results. Scand. J. Plast. Reconstr. Surg. Hand Surg. 2004, 38, 70–85. [Google Scholar] [CrossRef] [PubMed]
- Aparicio, C.; Manresa, C.; Francisco, K.; Claros, P.; Alández, J.; González-Martín, O.; Albrektsson, T. Zygomatic implants: Indications, techniques and outcomes, and the zygomatic success code. Periodontol. 2000 2014, 66, 41–58. [Google Scholar] [CrossRef] [PubMed]
- Aparicio, C.; Ouazzani, W.; Aparicio, A.; Fortes, V.; Muela, R.; Pascual, A.; Codesal, M.; Barluenga, N.; Franch, M. Immediate/Early loading of zygomatic implants: Clinical experiences after 2 to 5 years of follow-up. Clin. Implant. Dent. Relat. Res. 2010, 12, 77–82. [Google Scholar] [CrossRef] [PubMed]
- Candel-Martí, E.; Carrillo-García, C.; Peñarrocha-Oltra, D.; Peñarrocha-Diago, M. Rehabilitation of atrophic posterior maxilla with zygomatic implants: Review. J. Oral Implantol. 2012, 38, 653–657. [Google Scholar] [CrossRef] [PubMed]
- Bothur, S.; Kullendorff, B.; Olsson-Sandin, G. Asymptomatic chronic rhinosinusitis and osteitis in patients treated with multiple zygomatic implants: A long-term radiographic follow-up. Int. J. Oral Maxillofac. Implant. 2015, 30, 161–168. [Google Scholar] [CrossRef]
- Maló, P.; Nobre, M.d.A.; Lopes, A.; Ferro, A.; Moss, S. Five-year outcome of a retrospective cohort study on the rehabilitation of completely edentulous atrophic maxillae with immediately loaded zygomatic implants placed extra-maxillary. Eur. J. Oral Implantol. 2014, 7, 267–281. [Google Scholar]
- Aleksandrowicz, P.; Kusa-Podkańska, M.; Grabowska, K.; Kotuła, L.; Szkatuła-Łupina, A.; Wysokińska-Miszczuk, J. Extra-sinus zygomatic implants to avoid Chronic sinusitis and prosthetic arch malposition: 12 Years of experience. J. Oral Implantol. 2019, 45, 73–78. [Google Scholar] [CrossRef]
- Agliardi, E.L.; Romeo, D.; Panigatti, S.; de Araújo Nobre, M.; Maló, P. Immediate full-arch rehabilitation of the severely atrophic maxilla supported by zygomatic implants: A prospective clinical study with minimum follow-up of 6 years. Int. J. Oral Maxillofac. Surg. 2017, 46, 1592–1599. [Google Scholar] [CrossRef]
- Migliorança, R.M.; Sotto-Maior, B.S.; Senna, P.M.; Francischone, C.E.; Del Bel Cury, A.A. Immediate occlusal loading of extrasinus zygomatic implants: A prospective cohort study with a follow-up period of 8 years. Int. J. Oral Maxillofac. Surg. 2012, 41, 1072–1076. [Google Scholar] [CrossRef] [PubMed]
- Aparicio, C.; Manresa, C.; Francisco, K.; Ouazzani, W.; Claros, P.; Potau, J.M. The Long-Term use of zygomatic implants: A 10-year clinical and radiographic report. Clin. Implant Dent. Relat. Res. 2012, 16, 447–459. [Google Scholar] [CrossRef] [PubMed]
- Davó, R.; Malevez, C.; Pons, O. Immediately loaded zygomatic implants: A 5-year prospective study. Eur. J. Oral Implantol. 2013, 6, 39–47. [Google Scholar] [PubMed]
- Schnitman, P.A.; Wohrle, P.S.; Rubenstein, J.E. Immediate fixed interim prostheses supported by two-stage threaded implants: Methodology and results. J. Oral Implantol. 1990, 16, 96–105. [Google Scholar] [PubMed]
- Esposito, M.; Grusovin, M.G.; Achille, H.; Coulthard, P.; Worthington, H.V. Interventions for replacing missing teeth: Different times for loading dental implants. Cochrane Database Syst. Rev. 2009, 21, CD003878. [Google Scholar]
- Gallucci, G.O.; Benic, G.I.; Eckert, S.E.; Papaspyridakos, P.; Schimmel, M.; Schrott, A.; Weber, H.-P. Consensus statements and clinical recommendations for implant loading protocols. Int. J. Oral Maxillofac. Implant. 2014, 29, 287–290. [Google Scholar] [CrossRef] [PubMed]
- Matsuda, T.; Goto, T.; Kurahashi, K.; Kashiwabara, T.; Ichikawa, T. Development of a digital impression procedure using photogrammetry for complete denture fabrication. Int. J. Comput. Dent. 2016, 19, 193–202. [Google Scholar]
- Agustín-Panadero, R.; Peñarrocha-Oltra, D.; Gomar-Vercher, S.; Peñarrocha-Diago, M. Stereophotogrammetry for recording the position of multiple implants: Technical description. Int. J. Prosthodont. 2015, 28, 631–636. [Google Scholar] [CrossRef]
- Suarez, M.J.; Paisal, I.; Rodriguez-Alonso, V.; Lopez-Suarez, C. Combined Stereophotogrammetry and laser-sintered, computer-aided milling framework for an implant-supported mandibular prosthesis: A case history report. Int. J. Prosthodont. 2018, 31, 60–62. [Google Scholar] [CrossRef]
- Cawood, J.I.; Howell, R.A. A classification of the edentulous jaws. Int. J. Oral Maxillofac. Surg. 1988, 17, 232–236. [Google Scholar] [CrossRef]
- Kan, J.Y.; Rungcharassaeng, K.; Bohsali, K.; Goodacre, C.J.; Lang, B.R. Clinical methods for evaluating implant framework fit. J. Prosthet. Dent. 1999, 8, 7–13. [Google Scholar] [CrossRef] [PubMed]
- Schropp, L.; Wenzel, A.; Kostopoulos, L.; Karring, T. Bone healing and soft tissue contour changes following single-tooth extraction: A clinical and radiographic 12-month prospective study. Int. J. Periodontics Restor. Dent. 2003, 23, 313–323. [Google Scholar]
- Gapski, R.; Wang, H.-L.; Mascarenhas, P.; Lang, N.P. Critical review of immediate implant loading. Clin. Oral Implant. Res. 2003, 14, 515–527. [Google Scholar] [CrossRef] [PubMed]
- Menini, M.; Pesce, P.; Bevilacqua, M.; Pera, F.; Tealdo, T.; Barberis, F.; Pera, P. Effect of framework in an implant-supported full-arch fixed prosthesis: 3D finite element analysis. Int. J. Prosthodont. 2015, 28, 627–630. [Google Scholar] [CrossRef] [PubMed][Green Version]
- Gómez-Polo, M.; Gómez-Polo, C.; Del Río, J.; Ortega, R. Stereophotogrammetric impression making for polyoxymethylene, milled immediate partial fixed dental prostheses. J. Prosthet. Dent. 2018, 119, 506–510. [Google Scholar] [CrossRef]
- Díez-Quijano, C.; Azevedo, L.; Antonaya-Martín, J.L.; Del Río-Highsmith, J.; Gómez-Polo, M. Evaluation of the clinical behavior of 2 different materials for implant-supported interim fixed partial prostheses: A randomized clinical trial. J. Prosthet. Dent. 2020, 124, 351–356. [Google Scholar] [CrossRef] [PubMed]
- Patzelt, S.B.M.; Emmanouilidi, A.; Stampf, S.; Strub, J.R.; Att, W. Accuracy of full-arch scans using intraoral scanners. Clin. Oral Investig. 2014, 18, 1687–1694. [Google Scholar] [CrossRef]
- Bergin, J.M.; Rubenstein, J.E.; Mancl, L.; Brudvik, J.S.; Raigrodski, A.J. An in vitro comparison of photogrammetric and conventional complete-arch implant impression techniques. J. Prosthet. Dent. 2013, 110, 243–251. [Google Scholar] [CrossRef]
- Revilla-León, M.; Rubenstein, J.; Methani, M.M.; Piedra-Cascón, W.; Özcan, M.; Att, W. Trueness and precision of complete-arch photogrammetry implant scanning assessed with a coordinate-measuring machine. J. Prosthet. Dent. 2021, 18, 160–165. [Google Scholar] [CrossRef]
- Gómez-Polo, M.; Barmak, A.B.; Ortega, R.; Rutkunas, V.; Kois, J.C.; Revilla-León, M. Accuracy, scanning time, and patient satisfaction of stereophotogrammetry systems for acquiring 3D dental implant positions: A systematic review. J. Prosthodont, 2023; online ahead of print. [Google Scholar] [CrossRef]
- Peñarrocha-Diago, M.; Balaguer-Martí, J.C.; Peñarrocha-Oltra, D.; Balaguer-Martínez, J.F.; Peñarrocha-Diago, M.; Agustín-Panadero, R. A combined digital and stereophotogrammetric technique for rehabilitation with immediate loading of complete-arch, implant-supported prostheses: A randomized controlled pilot clinical trial. J. Prosthet. Dent. 2017, 118, 596–603. [Google Scholar] [CrossRef] [PubMed]
- Pradíes, G.; Ferreiroa, A.; Özcan, M.; Giménez, B.; Martínez-Rus, F. Using stereophotogrammetric technology for obtaining intraoral digital impressions of implants. J. Am. Dent. Assoc. 2014, 145, 338–344. [Google Scholar] [CrossRef] [PubMed]
- Pozzi, A.; Carosi, P.; Gallucci, G.O.; Nagy, K.; Nardi, A.; Arcuri, L. Accuracy of complete-arch digital implant impression with intraoral optical scanning and stereophotogrammetry: An in vivo prospective comparative study. Clin. Oral Implant. Res. 2023, 34, 1106–1117. [Google Scholar] [CrossRef] [PubMed]
- Zhang, Y.J.; Qian, S.J.; Lai, H.C.; Shi, J.Y. Accuracy of photogrammetric imaging versus conventional impressions for complete arch implant-supported fixed dental prostheses: A comparative clinical study. J. Prosthet. Dent. 2023, 130, 212–218. [Google Scholar] [CrossRef]
















Disclaimer/Publisher’s Note: The statements, opinions and data contained in all publications are solely those of the individual author(s) and contributor(s) and not of MDPI and/or the editor(s). MDPI and/or the editor(s) disclaim responsibility for any injury to people or property resulting from any ideas, methods, instructions or products referred to in the content. |
© 2023 by the authors. Licensee MDPI, Basel, Switzerland. This article is an open access article distributed under the terms and conditions of the Creative Commons Attribution (CC BY) license (https://creativecommons.org/licenses/by/4.0/).
Share and Cite
Gseibat, M.; Sorrentino, V.; Sevilla, P.; Peláez, J.; Suarez, M.J. Immediate Loading of Zygomatic Implants Using a Dual Scan Technique. J. Clin. Med. 2023, 12, 7464. https://doi.org/10.3390/jcm12237464
Gseibat M, Sorrentino V, Sevilla P, Peláez J, Suarez MJ. Immediate Loading of Zygomatic Implants Using a Dual Scan Technique. Journal of Clinical Medicine. 2023; 12(23):7464. https://doi.org/10.3390/jcm12237464
Chicago/Turabian StyleGseibat, Mustafa, Valerio Sorrentino, Pablo Sevilla, Jesús Peláez, and Maria J. Suarez. 2023. "Immediate Loading of Zygomatic Implants Using a Dual Scan Technique" Journal of Clinical Medicine 12, no. 23: 7464. https://doi.org/10.3390/jcm12237464
APA StyleGseibat, M., Sorrentino, V., Sevilla, P., Peláez, J., & Suarez, M. J. (2023). Immediate Loading of Zygomatic Implants Using a Dual Scan Technique. Journal of Clinical Medicine, 12(23), 7464. https://doi.org/10.3390/jcm12237464

