Magnetic Resonance Imaging Features and Prognostic Indicators of Local Recurrence after Curettage and Cementation of Atypical Cartilaginous Tumour in the Appendicular Skeleton
Abstract
1. Introduction
2. Materials and Methods
Statistical Methods
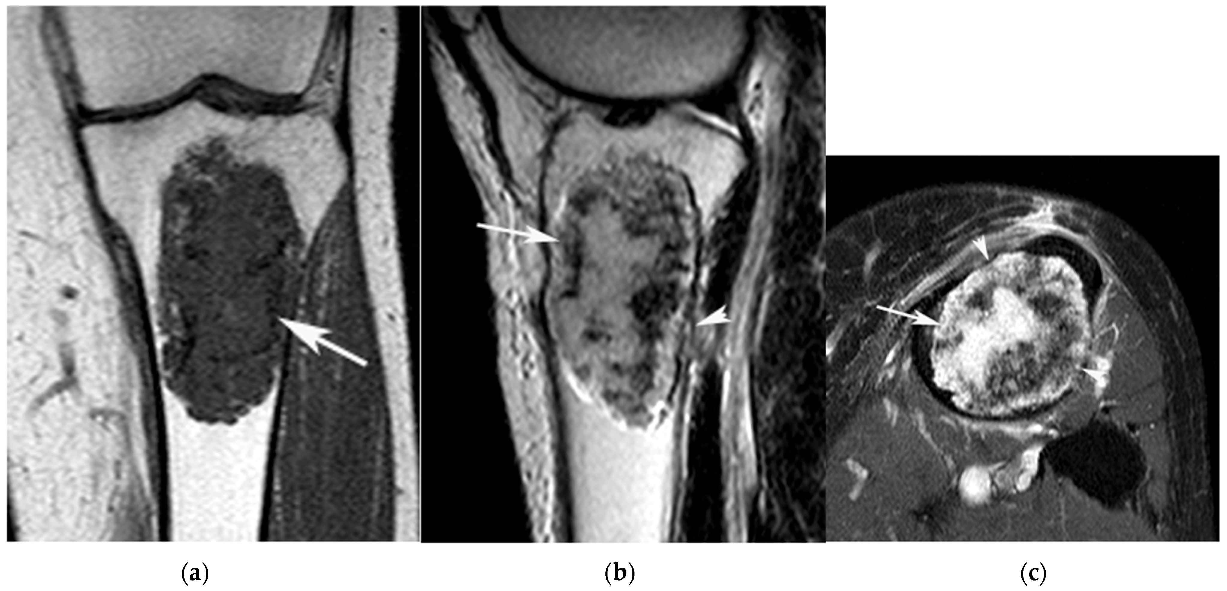
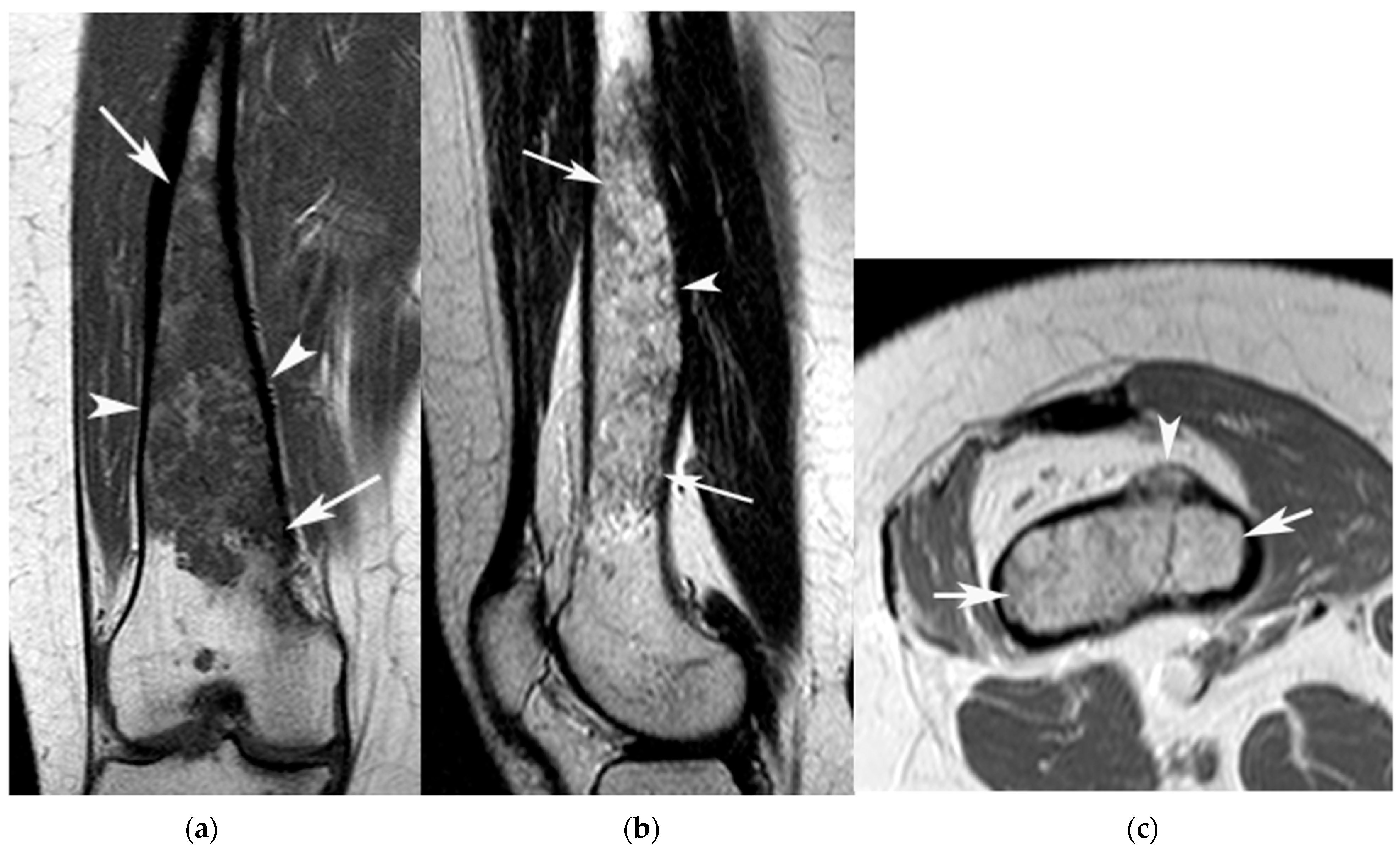
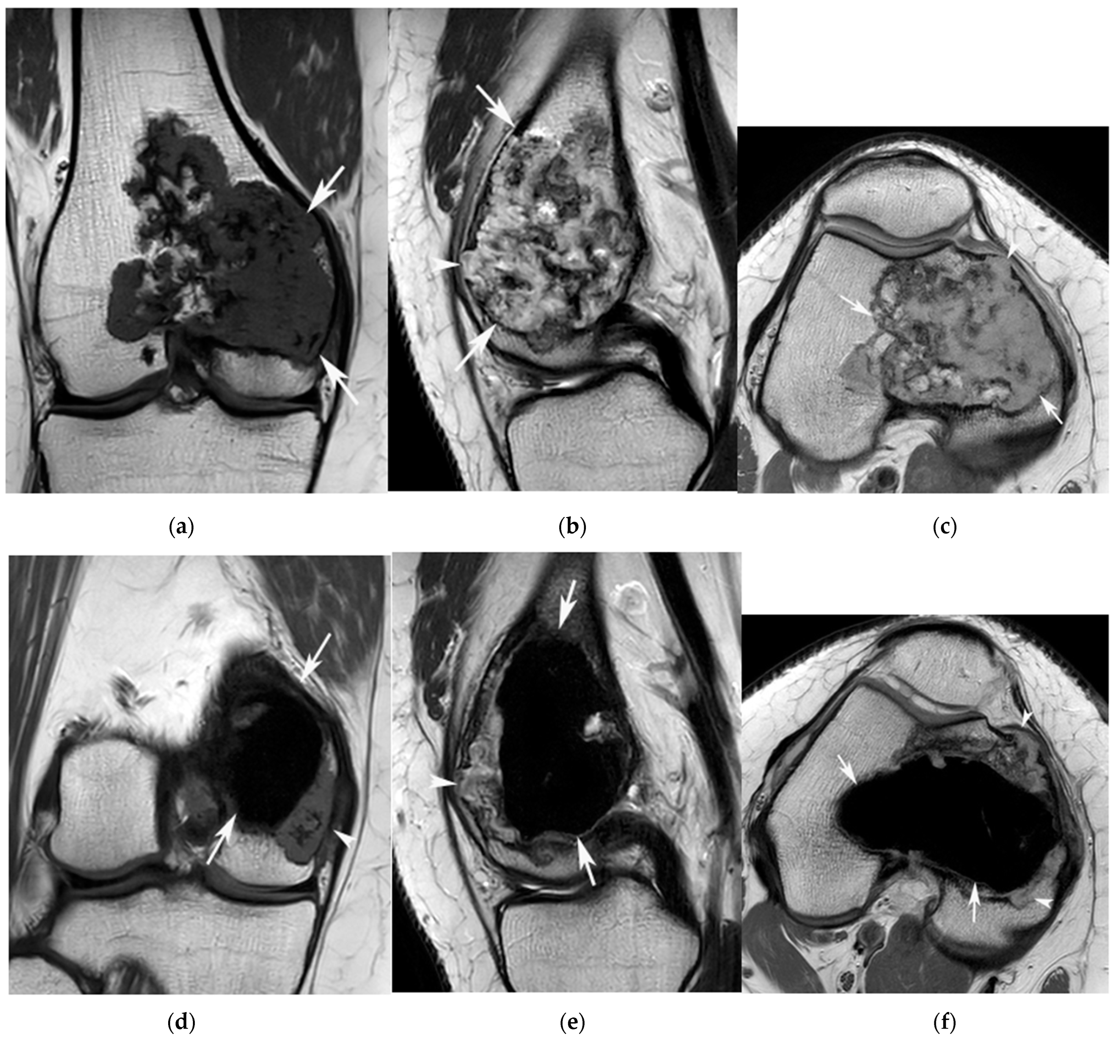
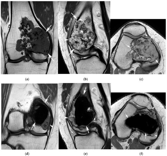
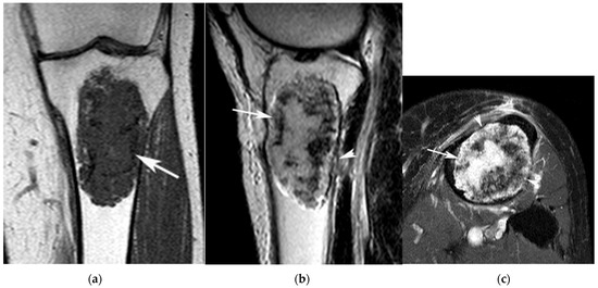
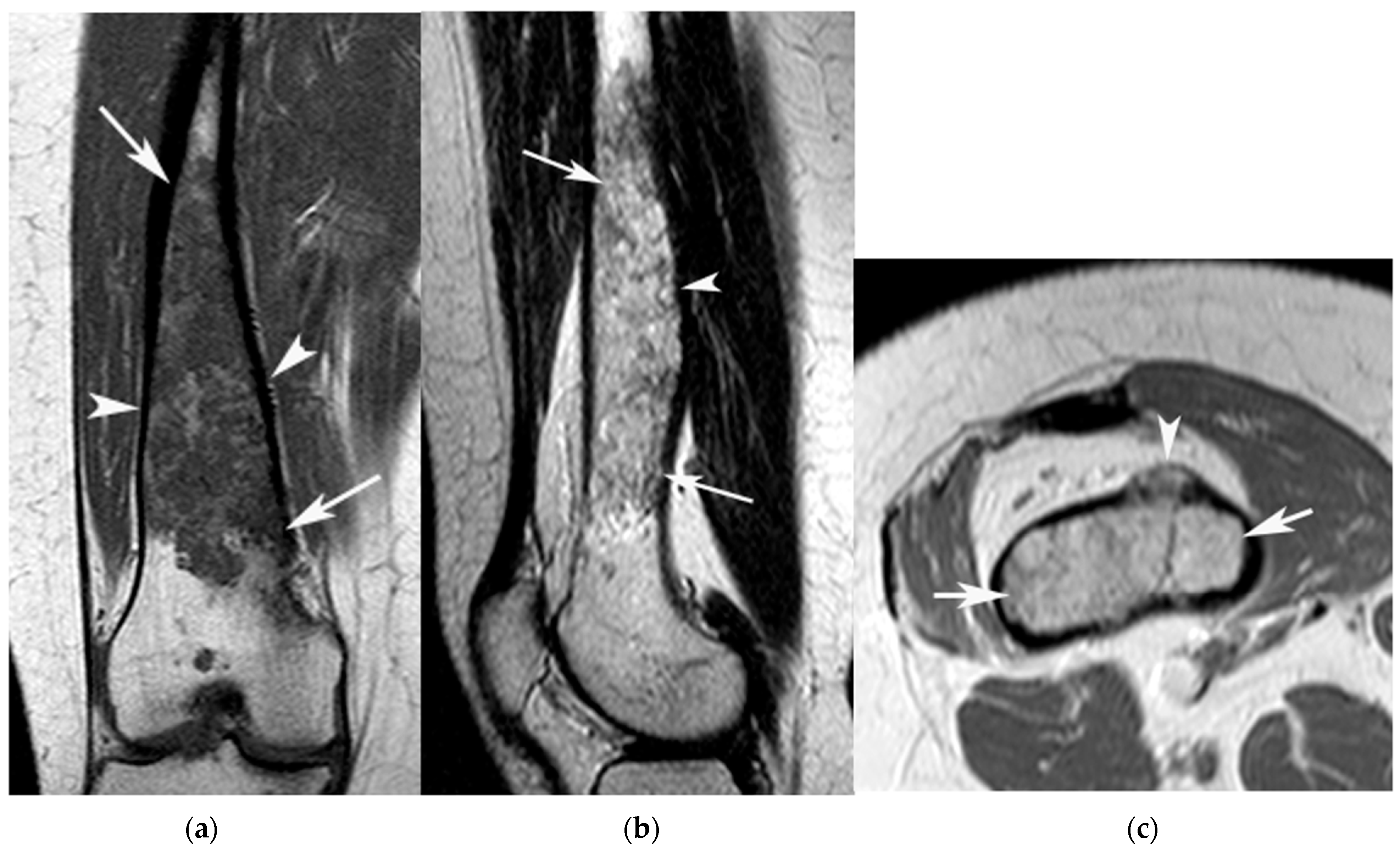
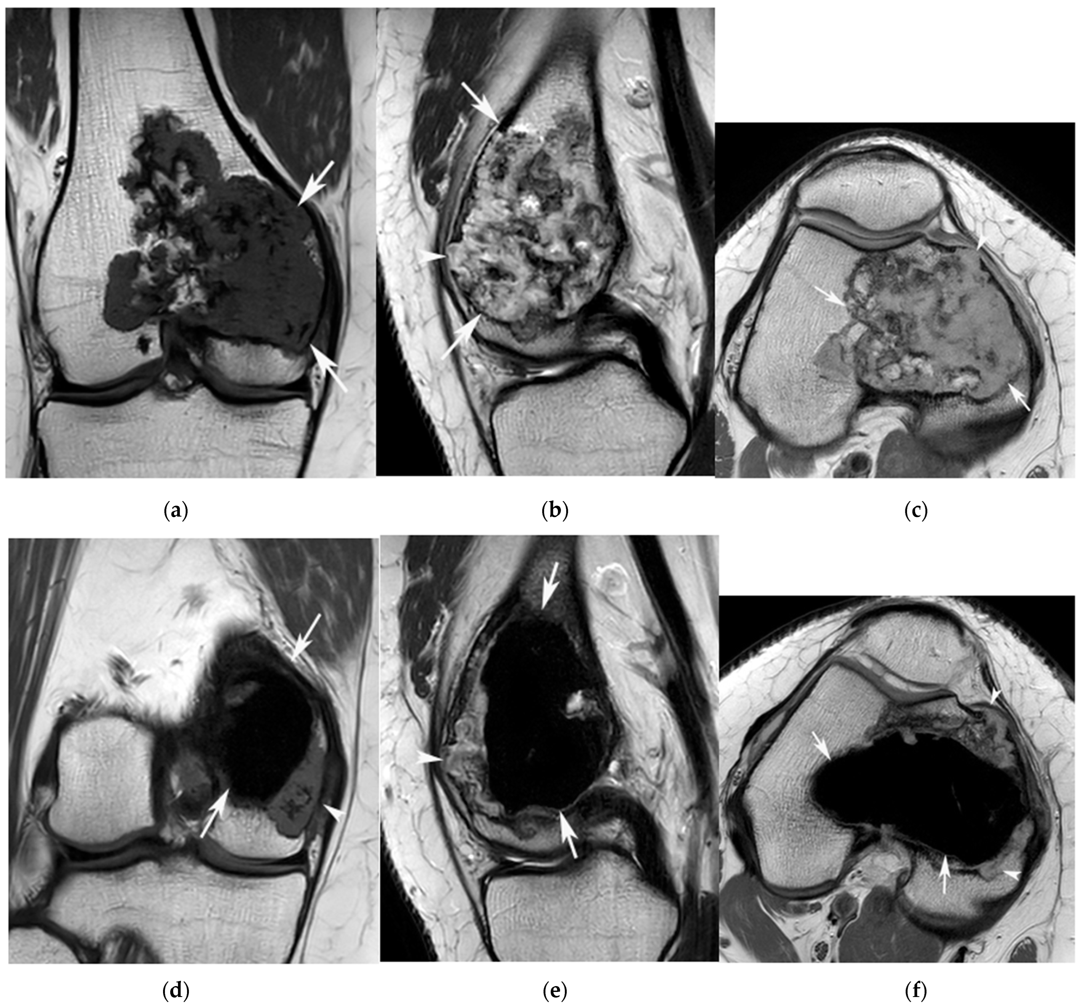
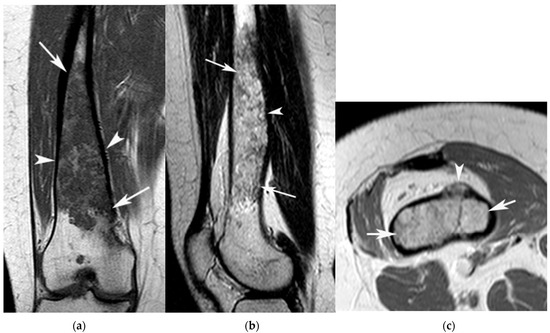
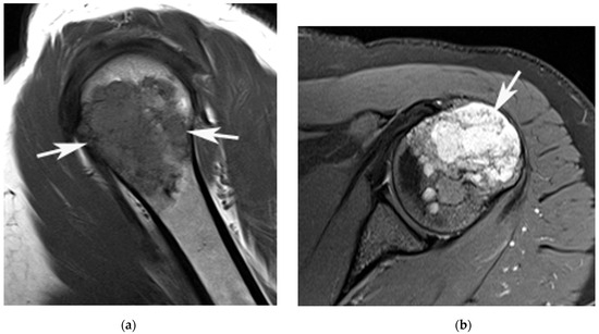
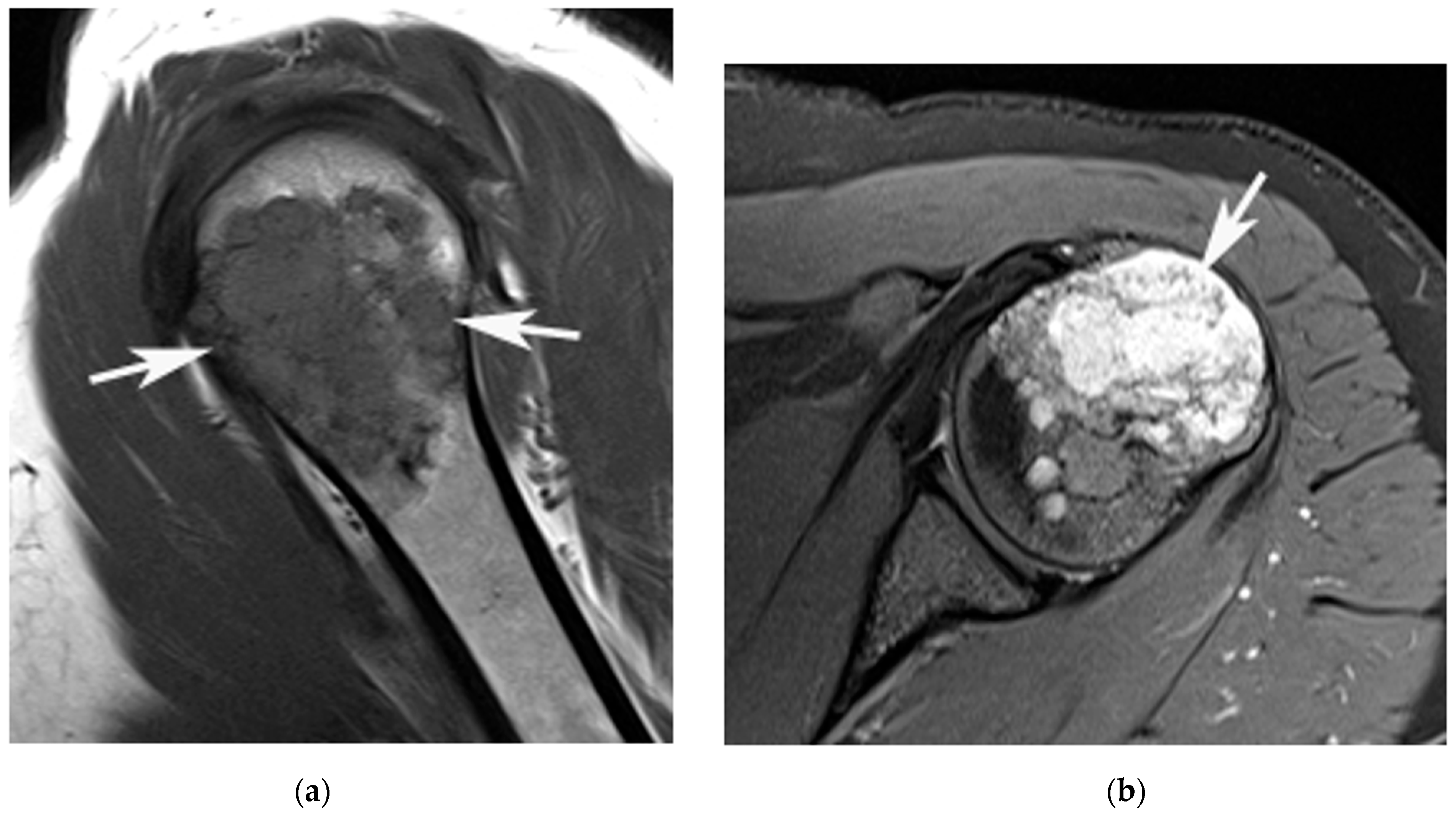
3. Results
4. Discussion
5. Limitations
6. Conclusions
Author Contributions
Funding
Institutional Review Board Statement
Informed Consent Statement
Data Availability Statement
Conflicts of Interest
References
- Thorkildsen, J.; Taksdal, I.; Bjerkehagen, B.; Haugland, H.K.; Børge Johannesen, T.; Viset, T.; Norum, O.J.; Bruland, Ø.; Zaikova, O. Chondrosarcoma in Norway 1990–2013; an epidemiological and prognostic observational study of a complete national cohort. Acta Oncol. 2019, 58, 273–282. [Google Scholar] [PubMed]
- van Praag, V.M.; Rueten-Budde, A.J.; Ho, V.; Dijkstra, P.D.S.; van der Geest, I.C.; Bramer, J.A.; Schaap, G.R.; Jutte, P.C.; Schreuder, H.B.; Ploegmakers, J.J.W.; et al. Incidence, outcomes and prognostic factors during 25 years of treatment of chondrosarcomas. Surg. Oncol. 2018, 27, 402–408. [Google Scholar]
- Hanna, S.A.; Whittingham-Jones, P.; Sewell, M.D.; Pollock, R.C.; Skinner, J.A.; Saifuddin, A.; Flanagan, A.; Cannon, S.; Briggs, T. Outcome of intralesional curettage for low-grade chondrosarcoma of long bones. Eur. J. Surg. Oncol. 2009, 35, 1343–1347. [Google Scholar] [CrossRef]
- Puri, A. Chondrosarcomas in children and adolescents. EFORT Open Rev. 2020, 5, 90–95. [Google Scholar] [CrossRef]
- Mohler, D.G.; Chiu, R.; McCall, D.A.; Avedian, R.S. Curettage and cryosurgery for low-grade cartilage tumors is associated with low recurrence and high function. Clin. Orthop. Relat. Res. 2010, 468, 2765–2773. [Google Scholar] [PubMed]
- Mirra, J.M.; Gold, R.; Downs, J.; Eckhardt, J.J. A new histologic appraoch to the differentiation of enchondroma and chondrosarcoma of the bones. A clinicopathologic analysis of 51 cases. Clin. Orthop. Relat. Res. 1985, 201, 214–237. [Google Scholar]
- WHO Classification of Tumours Editorial Board. WHO Classification of Tumours, 5th ed.; WHO Classification of Tumours Editorial Board: Lyon, France, 2020. [Google Scholar]
- Dierselhuis, E.F.; Goulding, K.A.; Stevens, M.; Jutte, P.C. Intralesional treatment versus wide resection for central low-grade chondrosarcoma of the long bones. Cochrane Database Syst. Rev. 2019, 2019, CD010778. [Google Scholar]
- Shemesh, S.S.; Acevedo-Nieves, J.D.; Pretell-Mazzini, J. Treatment strategies for central low-grade chondrosarcoma of long bones: A systematic review of the literature and meta-analysis. Musculoskelet. Surg. 2018, 102, 95–109. [Google Scholar]
- Gerrand, C.; Athanasou, N.; Brennan, B.; Grimer, R.; Judson, I.; Morland, B.; Peake, D.; Seddon, B.; Whelan, J.; British Sarcoma Group. UK guidelines for the management of bone sarcomas. Clin. Sarcoma Res. 2016, 6, 7. [Google Scholar]
- Stevenson, J.D.; Laitinen, M.K.; Parry, M.C.; Sumathi, V.; Grimer, R.J.; Jeys, L.M. The role of surgical margins in chondrosarcoma. Eur. J. Surg. Oncol. 2018, 44, 1412–1418. [Google Scholar]
- Bauer, H.C.F.; Brosjö, O.; Kreicbergs, A.; Lindholm, J. Low risk of recurrence of enchondroma and low-grade chondrosarcoma in extremities:80 patients followed for 2–25 years. Acta Orthop. 1995, 66, 283–288. [Google Scholar] [CrossRef] [PubMed]
- Leerapun, T.; Hugate, R.R.; Inwards, C.Y.; Scully, S.P.; Sim, F.H. Surgical management of conventional grade I chondrosarcoma of long bones. Clin. Orthop. Relat. Res. 2007, 463, 166–172. [Google Scholar] [CrossRef] [PubMed]
- Ozaki, T.; Lindner, N.; Hillmann, A.; Rödl, R.; Blasius, S.; Winkelmann, W. Influence of intralesional surgery on treatment outcome of chondrosarcoma. Cancer 1996, 77, 1292–1297. [Google Scholar] [CrossRef]
- Campanacci, D.A.; Scoccianti, G.; Franchi, A.; Roselli, G.; Beltrami, G.; Ippolito, M.; Caff, G.; Frenos, F.; Capanna, R. Surgical treatment of central grade 1 chondrosarcoma of the appendicular skeleton. J. Orthop. Traumatol. 2013, 14, 101–107. [Google Scholar] [CrossRef] [PubMed]
- Yoo, H.J.; Hong, S.H.; Choi, J.Y.; Moon, K.C.; Kim, H.S.; Choi, J.A.; Kang, H.S. Differentiating high-grade from low-grade chondrosarcoma with MR imaging. Eur. Radiol. 2009, 19, 3008–3014. [Google Scholar] [CrossRef] [PubMed]
- Errani, C.; Tsukamoto, S.; Ciani, G.; Akahane, M.; Cevolani, L.; Tanzi, P.; Kido, A.; Honoki, K.; Tanaka, Y.; Donati, D.M. Risk factors for local recurrence from atypical cartilaginous tumour and enchondroma of the long bones. Eur. J. Orthop. Surg. Traumatol. 2017, 27, 805–811. [Google Scholar] [CrossRef] [PubMed]
- Chen, Y.C.; Wu, P.K.; Chen, C.F.; Chen, W.M. Intralesional curettage of central low-grade chondrosarcoma: A midterm follow-up study. J. Chin. Med. Assoc. 2017, 80, 178–182. [Google Scholar] [CrossRef]
- Chen, X.; Yu, L.J.; Peng, H.M.; Jiang, C.; Ye, C.H.; Zhu, S.B.; Qian, W.W. Is intralesional resection suitable for central grade 1 chondrosarcoma: A systematic review and updated meta-analysis. Eur. J. Surg. Oncol. 2017, 43, 1718–1726. [Google Scholar] [CrossRef]
- Shemesh, S.S.; Pretell-Mazzini, J.; Quartin, P.J.; Rutenberg, T.F.; Conway, S.A. Surgical treatment of low-grade chondrosarcoma involving the appendicular skeleton: Long-term functional and oncological outcomes. Arch Orthop. Trauma Surg. 2019, 139, 1659–1666. [Google Scholar] [CrossRef]
- Kim, W.; Lee, J.S.; Chung, H.W. Outcomes after extensive manual curettage and limited burring for atypical cartilaginous tumour of long bone. Bone Jt. J. 2018, 100B, 256–261. [Google Scholar] [CrossRef]
- Mermerkaya, M.U.; Bekmez, S.; Karaaslan, F.; Danisman, M.; Kosemehmetoglu, K.; Gedikoglu, G.; Ayvaz, M.; Tokgozoglu, A.M. Intralesional curettage and cementation for low-grade chondrosarcoma of long bones: Retrospective study and literature review. World J. Surg. Oncol. 2014, 12, 336. [Google Scholar] [CrossRef] [PubMed]
- Meftah, M.; Schult, P.; Henshaw, R.M. Long-term results of intralesional curettage and cryosurgery for treatment of low-grade chondrosarcoma. J. Bone Jt. Surg.-Ser. A 2013, 95, 1358–1364. [Google Scholar] [CrossRef] [PubMed]
- Schwab, J.H.; Wenger, D.; Unni, K.; Sim, F.H. Does local recurrence impact survival in low-grade chondrosarcoma of the long bones? Clin. Orthop. Relat. Res. 2007, 462, 175–180. [Google Scholar] [CrossRef] [PubMed]
- Kim, H.S.; Bindiganavile, S.S.; Han, I. Oncologic outcome after local recurrence of chondrosarcoma: Analysis of prognostic factors. J. Surg. Oncol. 2015, 111, 957–961. [Google Scholar] [CrossRef] [PubMed]
- Weber, K.L.; Pring, M.E.; Sim, F.H. Treatment and outcome of recurrent pelvic chondrosarcoma. Clin. Orthop. Relat. Res. 2002, 397, 19–28. [Google Scholar] [CrossRef] [PubMed]
- Lin, P.P.; Alfawareh, M.D.; Takeuchi, A.; Moon, B.S.; Lewis, V.O. Sixty percent 10-year survival of patients with chondrosarcoma after local recurrence. Clin. Orthop. Relat. Res. 2012, 470, 670–676. [Google Scholar] [CrossRef] [PubMed][Green Version]
- Dierselhuis, E.F.; Gerbers, J.G.; Ploegmaker, J.J.; Stevens, M.; Suurmeijer, A.J.H.; Jutte, P.C. Local treatment with adjuvant therapy for central atypical cartilaginous tumors in the long bones. J. Bone Jt. Surg. 2012, 98, 303–313. [Google Scholar] [CrossRef]
- Lin, P.P.; Thenappan, A.; Deavers, M.T.; Lewis, V.O.; Yasko, A.W. Treatment and prognosis of chondroblastoma. Clin. Orthop. Relat. Res. 2005, 438, 103–109. [Google Scholar] [CrossRef]
- Suzuki, Y.; Nishida, Y.; Yamada, Y.; Tsukushi, S.; Sugiura, H.; Nakashima, H.; Ishiguro, N. Re-operation results in osteoarthritic change of knee joints in patients with giant cell tumor of bone. Knee 2007, 14, 369–374. [Google Scholar] [CrossRef]
- Outani, H.; Kakunaga, S.; Hamada, K.; Takenaka, S.; Nakai, S.; Yasuda, N.; Imura, Y.; Naka, N.; Araki, N.; Ueda, T.; et al. Clinical outcomes of chondroblastoma treated using synthetic bone substitute: Risk factors for developing radiographic joint degeneration. World J. Surg. Oncol. 2020, 18, 1–6. [Google Scholar] [CrossRef]





| Variable | Category | No Recurrence Number (%) | Recurrence Number (%) | p-Value |
|---|---|---|---|---|
| Sex | Female | 24 (71%) | 10 (29%) | 0.09 |
| Male | 9 (20%) | 0 (0%) | ||
| Lesion location 1 | Femur | 15 (79%) | 4 (21%) | 0.49 |
| Humerus | 10 (67%) | 5 (33%) | ||
| Tibia | 5 (100%) | 0 (0%) | ||
| Minor long bones | 3 (75%) | 1 (25%) | ||
| Lesion location 2 | Diaphysis | 18 (95%) | 1 (25%) | 0.02 |
| Epiphysis | 3 (50%) | 3 (50%) | ||
| Metadiaphysis | 7 (58%) | 5 (42%) | ||
| Metaphysis | 5 (83%) | 1 (17%) | ||
| Lesion length (mm) (*) | - | 61.4 ± 28.0 | 63.3 ± 24.0 | 0.85 |
| Medullary fillings | Complete | 14 (67%) | 7 (33%) | 0.16 |
| Partial | 19 (86%) | 3 (14%) | ||
| Bone expansion | No | 24 (80%) | 6 (20%) | 0.46 |
| Yes | 9 (69%) | 4 (31%) | ||
| Cortical status | Normal | 8 (89%) | 1 (11%) | 0.66 |
| Scalloping/thinning | 20 (71%) | 8 (29%) | ||
| Cortical breach | 5 (83%) | 1 (17%) | ||
| Soft Tissue mass | No | 32 (76%) | 10 (24%) | 1.00 |
| Yes | 1 (100%) | 0 (0%) |
Disclaimer/Publisher’s Note: The statements, opinions and data contained in all publications are solely those of the individual author(s) and contributor(s) and not of MDPI and/or the editor(s). MDPI and/or the editor(s) disclaim responsibility for any injury to people or property resulting from any ideas, methods, instructions or products referred to in the content. |
© 2023 by the authors. Licensee MDPI, Basel, Switzerland. This article is an open access article distributed under the terms and conditions of the Creative Commons Attribution (CC BY) license (https://creativecommons.org/licenses/by/4.0/).
Share and Cite
Ardakani, A.G.; Morgan, R.; Matheron, G.; Havard, H.; Khoo, M.; Saifuddin, A.; Gikas, P. Magnetic Resonance Imaging Features and Prognostic Indicators of Local Recurrence after Curettage and Cementation of Atypical Cartilaginous Tumour in the Appendicular Skeleton. J. Clin. Med. 2023, 12, 6905. https://doi.org/10.3390/jcm12216905
Ardakani AG, Morgan R, Matheron G, Havard H, Khoo M, Saifuddin A, Gikas P. Magnetic Resonance Imaging Features and Prognostic Indicators of Local Recurrence after Curettage and Cementation of Atypical Cartilaginous Tumour in the Appendicular Skeleton. Journal of Clinical Medicine. 2023; 12(21):6905. https://doi.org/10.3390/jcm12216905
Chicago/Turabian StyleArdakani, Amir Gahanbani, Rebecca Morgan, George Matheron, Helard Havard, Michael Khoo, Asif Saifuddin, and Panagiotis Gikas. 2023. "Magnetic Resonance Imaging Features and Prognostic Indicators of Local Recurrence after Curettage and Cementation of Atypical Cartilaginous Tumour in the Appendicular Skeleton" Journal of Clinical Medicine 12, no. 21: 6905. https://doi.org/10.3390/jcm12216905
APA StyleArdakani, A. G., Morgan, R., Matheron, G., Havard, H., Khoo, M., Saifuddin, A., & Gikas, P. (2023). Magnetic Resonance Imaging Features and Prognostic Indicators of Local Recurrence after Curettage and Cementation of Atypical Cartilaginous Tumour in the Appendicular Skeleton. Journal of Clinical Medicine, 12(21), 6905. https://doi.org/10.3390/jcm12216905

