p16 Overexpression in Sinonasal Squamous Cell Carcinoma: Association with Human Papillomavirus and Prediction of Survival Outcomes
Abstract
:1. Introduction
2. Materials and Methods
2.1. Study Design
2.2. Clinical Evaluation
2.3. Surgical Treatment
2.4. CRT Protocol
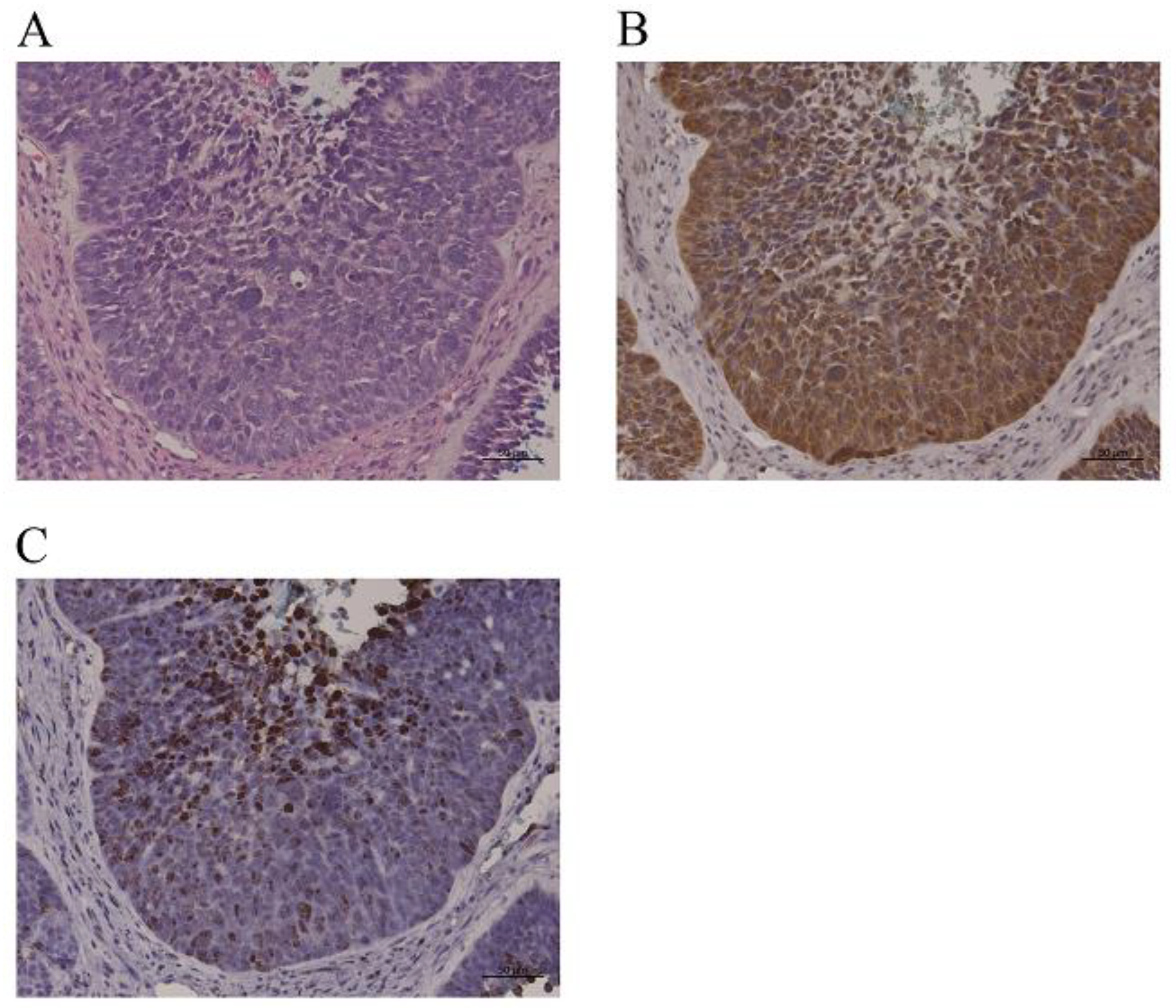
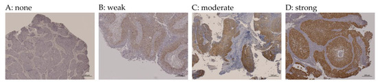
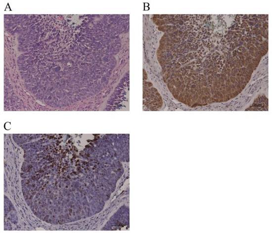
2.5. p16 Immunohistochemistry
2.6. HPV DNA Detection
2.7. Statistical Analysis
3. Results
3.1. Patient Demographics, Clinical Testing and Treatment Profiles
3.2. p16 Overexpression and HPV DNA Detection
3.3. Prognostic Evaluation of Clinical Characteristics
4. Discussion
5. Conclusions
Supplementary Materials
Author Contributions
Funding
Institutional Review Board Statement
Informed Consent Statement
Data Availability Statement
Acknowledgments
Conflicts of Interest
References
- Unsal, A.A.; Kilic, S.; Dubal, P.M.; Baredes, S.; Eloy, J.A.; EUROCARE-5 Working Group. A population-based comparison of European and North American sinonasal cancer survival. Auris Nasus Larynx 2018, 45, 815–824. [Google Scholar] [CrossRef] [PubMed]
- Youlden, D.R.; Cramb, S.M.; Peters, S.; Porceddu, S.V.; Møller, H.; Fritschi, L.; Baade, P.D. International comparisons of the incidence and mortality of sinonasal cancer. Cancer Epidemiol. 2013, 37, 770–779. [Google Scholar] [CrossRef] [PubMed]
- Tendron, A.; Classe, M.; Casiraghi, O.; Pere, H.; Even, C.; Gorphe, P.; Moya-Plana, A. Prognostic analysis of HPV status in sinonasal squamous cell carcinoma. Cancers 2022, 14, 1874. [Google Scholar] [CrossRef]
- Ang, K.K.; Harris, J.; Wheeler, R.; Weber, R.; Rosenthal, D.I.; Nguyen-Tân, P.F.; Westra, W.H.; Chung, C.H.; Jordan, R.C.; Lu, C.; et al. Human papillomavirus and survival of patients with oropharyngeal cancer. N. Engl. J. Med. 2010, 363, 24–35. [Google Scholar] [CrossRef] [PubMed]
- Syrjänen, K.; Syrjänen, S. Detection of human papillomavirus in sinonasal carcinoma: Systematic review and meta-analysis. Hum. Pathol. 2013, 44, 983–991. [Google Scholar] [CrossRef]
- Chang Sing Pang, K.J.W.; Mur, T.; Collins, L.; Rao, S.R.; Faden, D.L. Human papillomavirus in sinonasal squamous cell carcinoma: A systematic review and meta-Analysis. Cancers 2020, 13, 45. [Google Scholar] [CrossRef]
- Svajdler, M.; Nemcova, J.; Dubinsky, P.; Metelkova, A.; Svajdler, P.; Straka, L.; Sakar, R.; Daum, O.; Michal, M.; Skalova, A.; et al. Significance of transcriptionally-active high-risk human papillomavirus in sinonasal squamous cell carcinoma: Case series and a meta-analysis. Neoplasma 2020, 67, 1456–1463. [Google Scholar] [CrossRef]
- Sharma, A.; Tang, A.L.; Takiar, V.; Wise-Drape, T.M. Human papillomavirus and survival of sinonasal squamous cell carcinoma patients: A systematic review and meta-analysis. Cancers 2021, 13, 3677. [Google Scholar] [CrossRef]
- Sireci, F.; Lorusso, F.; Dispenza, F.; Immordino, A.; Gallina, S.; Salvago, P.; Martines, F.; Bonaventura, G.; Uzzo, M.L.; Spatola, G.F. A Prospective Observational Study on the Role of Immunohistochemical Expression of Orphanin in Laryngeal Squamous Cell Carcinoma Recurrence. J. Pers. Med. 2023, 13, 1211. [Google Scholar] [CrossRef]
- Mehanna, H.; Taberna, M.; von Buchwald, C.; Tous, S.; Brooks, J.; Mena, M.; Morey, F.; Grønhøj, C.; Rasmussen, J.H.; Garset-Zamani, M.; et al. Prognostic implications of p16 and HPV discordance in oropharyngeal cancer (HNCIG-EPIC-OPC): A multicentre, multinational, individual patient data analysis. Lancet Oncol. 2023, 24, 239–251. [Google Scholar] [CrossRef]
- Hirakawa, H.; Ikegami, T.; Kise, N.; Kinjyo, H.; Kondo, S.; Agena, S.; Hasegawa, N.; Kawakami, J.; Maeda, H.; Suzuki, M. Human papillomavirus infection and EGFR exon 20 insertions in sinonasal inverted papilloma and squamous cell carcinoma. J. Pers. Med. 2023, 13, 657. [Google Scholar] [CrossRef]
- Agarwal, A.; Bhatt, A.A.; Bathla, G.; Kanekar, S.; Soni, N.; Murray, J.; Vijay, K.; Vibhute, P.; Rhyner, P.H. Update from the 5th Edition of the WHO Classification of Nasal, Paranasal, and Skull Base Tumors: Imaging Overview with Histopathologic and Genetic Correlation. Am. J. Neuroradiol. 2023, 44, 1116–1125. [Google Scholar] [CrossRef] [PubMed]
- Doescher, J.; Veit, J.A.; Hoffmann, T.K. The 8th edition of the AJCC Cancer Staging Manual: Updates in otorhinolaryngology, head and neck surgery. HNO 2017, 65, 956–961. [Google Scholar] [CrossRef] [PubMed]
- Ueda, T.; Chikuie, N.; Takumida, M.; Furuie, H.; Kono, T.; Taruya, T.; Hamamoto, T.; Hattori, M.; Ishino, T.; Takeno, S. Baseline neutrophil-to-lymphocyte ratio (NLR) is associated with clinical outcome in recurrent or metastatic head and neck cancer patients treated with nivolumab. Acta Otolaryngol. 2020, 140, 181–187. [Google Scholar] [CrossRef] [PubMed]
- Zhao, H.M.; Xu, L.; Tang, P.; Guo, R. Geriatric nutritional risk index and survival of patients with colorectal cancer: A meta-analysis. Front. Oncol. 2022, 12, 906711. [Google Scholar] [CrossRef] [PubMed]
- Tong, T.; Guan, Y.; Xiong, H.; Wang, L.; Pang, J. A meta-analysis of Glasgow prognostic score and modified Glasgow prognostic score as biomarkers for predicting survival outcome in renal cell carcinoma. Front. Oncol. 2020, 10, 1541. [Google Scholar] [CrossRef] [PubMed]
- Luan, C.W.; Tsai, Y.T.; Yang, H.Y.; Chen, K.Y.; Chen, P.H.; Chou, H.H. Pretreatment prognostic nutritional index as a prognostic marker in head and neck cancer: A systematic review and meta-analysis. Sci. Rep. 2021, 11, 17117. [Google Scholar] [CrossRef]
- Chang, P.H.; Yeh, K.Y.; Huang, J.S.; Lai, C.H.; Wu, T.H.; Lan, Y.J.; Tsai, J.C.S.; Chen, E.Y.C.; Yang, S.W.; Wang, C.H. Pretreatment performance status and nutrition are associated with early mortality of locally advanced head and neck cancer patients undergoing concurrent chemoradiation. Eur. Arch. Otorhinolaryngol. 2013, 270, 1909–1915. [Google Scholar] [CrossRef]
- Farhangfar, A.; Makarewicz, M.; Ghosh, S.; Jha, N.; Scrimger, R.; Gramlich, L.; Baracos, V. Nutrition impact symptoms in a population cohort of head and neck cancer patients: Multivariate regression analysis of symptoms on oral intake, weight loss and survival. Oral. Oncol. 2014, 50, 877–883. [Google Scholar] [CrossRef]
- Bullock, A.F.; Greenley, S.L.; McKenzie, G.A.G.; Paton, L.W.; Johnson, M.J. Relationship between markers of malnutrition and clinical outcomes in older adults with cancer: Systematic review, narrative synthesis and meta-analysis. Eur. J. Clin. Nutr. 2020, 74, 1519–1535. [Google Scholar] [CrossRef]
- Heianna, J.; Makino, W.; Hirakawa, H.; Yamashita, Y.; Tomita, H.; Murayama, S. Therapeutic efficacy of intra-arterial docetaxel and nedaplatin infusion concomitant with radiotherapy for T4 maxillary sinus squamous cell carcinoma. Int. J. Oral. Maxillofac. Surg. 2022, 51, 1123–1130. [Google Scholar] [CrossRef] [PubMed]
- Yamashita, Y.; Ikegami, T.; Hirakawa, H.; Uehara, T.; Deng, Z.; Agena, S.; Uezato, J.; Kondo, S.; Kiyuna, A.; Maeda, H.; et al. Staging and prognosis of oropharyngeal carcinoma according to the 8th Edition of the American Joint Committee on Cancer Staging Manual in human papillomavirus infection. Eur. Arch. Otorhinolaryngol. 2019, 276, 827–836. [Google Scholar] [CrossRef]
- El-Mofty, S.K.; Lu, D.W. Prevalence of high-risk human papillomavirus DNA in nonkeratinizing (cylindrical cell) carcinoma of the sinonasal tract: A distinct clinicopathologic and molecular disease entity. Am. J. Surg. Pathol. 2005, 29, 1367–1372. [Google Scholar] [CrossRef] [PubMed]
- Bishop, J.A.; Guo, T.W.; Smith, D.F.; Wang, H.; Ogawa, T.; Pai, S.I.; Westra, W.H. Human papillomavirus-related carcinomas of the sinonasal tract. Am. J. Surg. Pathol. 2013, 37, 185–192. [Google Scholar] [CrossRef] [PubMed]
- Larque, A.B.; Hakim, S.; Ordi, J.; Nadal, A.; Diaz, A.; del Pino, M.; Marimon, L.; Alobid, I.; Cardesa, A.; Also, L. High-risk human papillomavirus is transcriptionally active in a subset of sinonasal squamous cell carcinomas. Mod. Pathol. 2014, 27, 343–351. [Google Scholar] [CrossRef]
- Chowdhury, N.; Alvi, S.; Kimura, K.; Tawfik, O.; Manna, P.; Beahm, D.; Robinson, A.; Kerley, S.; Hoover, L. Outcomes of HPV-related nasal squamous cell carcinoma. Laryngoscope 2017, 127, 1600–1603. [Google Scholar] [CrossRef]
- Also, L.; Moyano, S.; Nadal, A.; Alobid, I.; Blanch, J.L.; Ayala, E.; Lloveras, B.; Quint, W.; Cardesa, A.; Ordi, J. Human papillomaviruses are identified in a subgroup of sinonasal squamous cell carcinomas with favorable outcome. Cancer 2009, 115, 2701–2709. [Google Scholar] [CrossRef]
- Kılıç, S.; Kılıç, S.S.; Kim, E.S.; Baredes, S.; Mahmoud, O.; Gray, S.T.; Eloy, J.A. Significance of human papillomavirus positivity in sinonasal squamous cell carcinoma. Int. Forum. Allergy Rhinol. 2017, 7, 980–989. [Google Scholar] [CrossRef]
- Laco, J.; Sieglová, K.; Vošmiková, H.; Dundr, P.; Němejcová, K.; Michálek, J.; Čelakovský, P.; Chrobok, V.; Mottl, R.; Mottlová, A.; et al. The presence of high-risk human papillomavirus (HPV) E6/E7 mRNA transcripts in a subset of sinonasal carcinomas is evidence of involvement of HPV in its etiopathogenesis. Virchows Arch. 2015, 467, 405–415. [Google Scholar] [CrossRef]
- Nguyen, E.S.; Risbud, A.; Birkenbeuel, J.L.; Murphy, L.S.; Goshtasbi, K.; Pang, J.C.; Abiri, A.; Lehrich, B.M.; Haidar, Y.M.; Tjoa, T.; et al. Prognostic factors and outcomes of de novo sinonasal squamous cell carcinoma: A systematic review and meta-analysis. Otolaryngol. Head Neck Surg. 2022, 166, 434–443. [Google Scholar] [CrossRef]
- Suzuki, H.; Hanai, N.; Nishikawa, D.; Fukuda, Y.; Koide, Y.; Kodaira, T.; Tachibana, H.; Tomita, N.; Makita, C.; Hasegawa, Y. The Charlson comorbidity index is a prognostic factor in sinonasal tract squamous cell carcinoma. Jpn. J. Clin. Oncol. 2016, 46, 646–651. [Google Scholar] [CrossRef] [PubMed]
- Ma, S.J.; Yu, H.; Khan, M.; Yu, B.; Santhosh, S.; Chatterjee, U.; Gill, J.; Iovoli, A.; Farrugia, M.; Wooten, K.; et al. Defining the optimal threshold and prognostic utility of pre-treatment hemoglobin level as a biomarker for survival outcomes in head and neck cancer patients receiving chemoradiation. Oral. Oncol. 2022, 133, 106054. [Google Scholar] [CrossRef] [PubMed]
- Chen, Y.; Cong, R.; Ji, C.; Ruan, W. The prognostic role of C-reactive protein in patients with head and neck squamous cell carcinoma: A meta-analysis. Cancer Med. 2020, 9, 9541–9553. [Google Scholar] [CrossRef] [PubMed]
- Dhanapal, R.; Saraswathi, T.; Govind, R.N. Cancer cachexia. J. Oral. Maxillofac. Pathol. 2011, 15, 257–260. [Google Scholar] [CrossRef] [PubMed]
- Doescher, J.; Piontek, G.; Wirth, M.; Bettstetter, M.; Schlegel, J.; Haller, B.; Brockhoff, G.; Reiter, R.; Pickhard, A. Epstein-Barr virus infection is strictly associated with the metastatic spread of sinonasal squamous-cell carcinomas. Oral. Oncol. 2015, 51, 929–934. [Google Scholar] [CrossRef]
- Sireci, F.; Dispenza, F.; Lorusso, F.; Immordino, A.; Immordino, P.; Gallina, S.; Peretti, G.; Canevari, F.R. Tumours of Nasal Septum: A Retrospective Study of 32 Patients. Int. J. Environ. Res. Public Health 2022, 19, 1713. [Google Scholar] [CrossRef]
- Megwalu, U.C.; Chen, M.M.; Ma, Y.; Divi, V. Surrogate for oropharyngeal cancer HPV status in cancer database studies. Head Neck 2017, 39, 2494–2500. [Google Scholar] [CrossRef]
- London, N.R., Jr.; Windon, M.J.; Amanian, A.; Zamuner, F.T.; Bishop, J.; Fakhry, C.; Rooper, L.M. Evaluation of the incidence of human papillomavirus-associated squamous cell carcinoma of the sinonasal tract among US adults. JAMA Netw. Open 2023, 6, e2255971. [Google Scholar] [CrossRef]





| Variables | Total SNSCC (n = 79) | HPV-Related Tumor (n = 10) | HPV-Unrelated Tumor (n = 69) | p-Value |
|---|---|---|---|---|
| Sex | ||||
| Male | 70 | 7 | 63 | 0.048 |
| Female | 9 | 3 | 6 | |
| Median age | 0.525 | |||
| ≤61 | 39 | 4 | 35 | |
| >61 | 40 | 6 | 34 | |
| Smoking history | ||||
| Yes | 64 | 6 | 58 | 0.070 |
| No | 15 | 4 | 11 | |
| Alcohol consumption | ||||
| Yes | 67 | 8 | 59 | 0.650 |
| No | 12 | 2 | 10 | |
| ECOG PS | ||||
| 0 | 33 | 4 | 29 | 0.903 |
| 1, 2, 3 | 46 | 6 | 40 | |
| Primary subsite | ||||
| Maxillary sinus | 63 | 6 | 57 | |
| Ethmoid sinus | 10 | 1 | 9 | |
| Nasal cavity | 6 | 3 | 3 | |
| Maxillary and ethmoid sinus | 73 | 6 | 66 | 0.004 |
| Nasal cavity | 6 | 3 | 3 | |
| Clinical T category | ||||
| T1 | 3 | 1 | 2 | |
| T2 | 8 | 2 | 6 | |
| T3 | 22 | 4 | 18 | |
| T4a | 31 | 1 | 30 | |
| T4b | 15 | 2 | 13 | |
| T1, T2, T3, T4a | 64 | 8 | 56 | 0.930 |
| T4b | 15 | 2 | 13 | |
| Clinical N category | ||||
| N0 | 52 | 6 | 46 | |
| N1 | 11 | 2 | 9 | |
| N2 | 15 | 2 | 13 | |
| N3 | 1 | 0 | 1 | |
| N0 | 52 | 6 | 46 | 0.678 |
| N1–3 | 27 | 4 | 23 | |
| Clinical UICC stage | ||||
| I | 3 | 1 | 2 | |
| II | 9 | 2 | 7 | |
| III | 13 | 2 | 11 | |
| IVA, IVB | 54 | 5 | 49 | |
| I, II, III | 23 | 5 | 18 | 0.120 |
| IV | 56 | 5 | 51 | |
| Histology | ||||
| Keratinizing | 75 | 8 | 67 | * 0.076 |
| Non-keratinizing | 4 | 2 | 2 | |
| Treatment | 0.822 | |||
| CRT/RT | 61 | 8 | 53 | |
| Surgery ± RT/CRT | 18 | 2 | 16 | |
| First medical examination | * 0.037 | |||
| Before 2015 | 35 | 1 | 34 | |
| 2015 or later | 44 | 9 | 35 | |
| Prognosis | ||||
| Alive without disease | 58 | 10 | 48 | |
| Died of disease | 19 | 0 | 19 | |
| Died of other cause | 2 | 0 | 2 |
| Variables | Total SNSCC (n = 79) | HPV-Related Tumor (n = 10) | HPV-Unrelated Tumor (n = 69) | p-Value |
|---|---|---|---|---|
| Hb (g/dL) | ||||
| Median | 13.7 | |||
| <13.7 | 41 | 6 | 35 | 0.583 |
| ≥13.7 | 38 | 4 | 34 | |
| NLR (%) | ||||
| Median | 3.19 | |||
| <3.2 | 40 | 5 | 35 | 0.966 |
| ≥3.2 | 39 | 5 | 34 | |
| Alb (g/dL) | ||||
| Median | 3.9 | |||
| <3.9 | 37 | 4 | 33 | 0.643 |
| ≥3.9 | 42 | 6 | 36 | |
| CRP (mg/dL) | ||||
| Median | 1.2 | |||
| ≤0.78 | 37 | 6 | 31 | 0.372 |
| ≥0.78 | 42 | 4 | 38 | |
| GNRI | ||||
| <98 | 31 | 3 | 28 | 0.522 |
| ≥98 | 48 | 7 | 41 | |
| mGPS | ||||
| A, B, C | 60 | 6 | 54 | 0.207 |
| D | 19 | 4 | 15 | |
| PNI | ||||
| <40 | 8 | 2 | 6 | 0.268 |
| ≥40 | 71 | 8 | 63 |
| Intensity Score | None | Weak | Moderate | Strong | Total | |
|---|---|---|---|---|---|---|
| % of positive cells | 0 | 43 | 0 | 0 | 0 | 43 |
| 1–20 | 0 | 12 | 6 | 0 | 18 | |
| 20–50 | 0 | 3 | 5 | 0 | 8 | |
| 50–75 | 0 | 0 | 0 | 0 | 0 | |
| ≥75 | 0 | 0 | 5 | 5 | 10 | |
| Total | 43 | 15 | 16 | 5 | 79 |
| Case | Sex | Age | First Visit (Year) | Primary Site | HPV Type | Viral Load (Copies/ng DNA) | E2/E6 | ISH |
|---|---|---|---|---|---|---|---|---|
| 1 | M | 64 | 2014 | Nasal cavity | HPV-52 | 61,694.74 | 0.747 | Positive |
| 2 | M | 61 | 2015 | MS | NA | NA | NA | Positive |
| 3 | M | 66 | 2016 | MS | NA | NA | NA | Positive |
| 4 | F | 46 | 2016 | ES | HPV-18 | 2627.9 | 0 | Positive |
| 5 | M | 65 | 2018 | Nasal cavity | HPV-16 | 141.6 | 0.0511 | Positive |
| 6 | F | 63 | 2019 | MS | NA | NA | NA | Positive |
| 7 | F | 53 | 2019 | Nasal cavity | HPV-33 | 1.63 × 106 | 0.8307 | Positive |
| 8 | M | 80 | 2020 | MS | NA | NA | NA | Positive |
| 9 | M | 46 | 2021 | MS | HPV-16 | 4.3 | 0 | Positive |
| 10 | M | 64 | 2021 | MS | HPV-16 | 4.2 | 0 | Positive |
| OS | RFS | |||||
|---|---|---|---|---|---|---|
| Univariate Analysis | Multivariate Analysis | Univariate Analysis | Multivariate Analysis | |||
| Factor (Category) | p-Value | p-Value | HR (95% CI) | p-Value | p-Value | HR (95% CI) |
| Sex (male vs. female) | 0.335 | 0.547 | ||||
| Age (≤61 vs. ≥62 years) | 0.848 | 0.702 | ||||
| Tobacco history (yes vs. no) | 0.529 | 0.333 | ||||
| Alcohol consumption (yes vs. no) | 0.479 | 0.663 | ||||
| ECOG PS (0 vs. 1, 2, 3) | 0.273 | 0.049 | 0.026 | 0.364 (0.140–0.945) | ||
| Primary subsite (nasal cavity vs. other) | 0.652 | 0.516 | ||||
| Histology (keratinizing vs. non-keratinizing) | 0.921 | 0.815 | ||||
| p16 overexpression or not | 0.072 | 0.004 | NA | 0.142 | 0.012 | 0.137 (0.018–1.073) |
| T category (T1, T2, T3, T4a vs. T4b) | 0.011 | 0.019 | 3.365 (1.312–8.630) | 0.001 | 0.004 | 4.016 (1.68–9.61) |
| N category (N0 vs. N, 1, 2, 3) | 0.736 | 0.862 | ||||
| UICC clinical stage (I, II, III vs. IV) | 0.067 | 0.087 | ||||
| Hb (<13.7 vs. ≥13.7 g/dL) | 0.012 | 0.035 | 3.129 (1.016–9.6370) | 0.008 | 0.074 | 2.458 (0.891–6.777) |
| NLR (≤3.2% vs. ≥3.2%) | 0.101 | 0.069 | ||||
| Alb (<3.9 vs. ≥3.9 g/dL) | 0.104 | 0.020 | ||||
| CRP (≥0.78 vs. <0.78 mg/dL) | 0.058 | 0.615 | 0.765 (0.265–2.210) | 0.095 | ||
| GNRI (<98 vs. ≥98) | 0.357 | 0.379 | ||||
| mGPS (A, B, C vs. D) | 0.166 | 0.011 | 0.187 | 0.540 (0.217–1.341) | ||
| PNI (<40 vs. ≥40) | 0.26 | 0.013 | ||||
| Treatment modality (RT/CRT vs. surgery + RT/CRT) | 0.575 | 0.836 | ||||
Disclaimer/Publisher’s Note: The statements, opinions and data contained in all publications are solely those of the individual author(s) and contributor(s) and not of MDPI and/or the editor(s). MDPI and/or the editor(s) disclaim responsibility for any injury to people or property resulting from any ideas, methods, instructions or products referred to in the content. |
© 2023 by the authors. Licensee MDPI, Basel, Switzerland. This article is an open access article distributed under the terms and conditions of the Creative Commons Attribution (CC BY) license (https://creativecommons.org/licenses/by/4.0/).
Share and Cite
Hirakawa, H.; Ikegami, T.; Touyama, M.; Ooshiro, Y.; Higa, T.; Higa, T.; Agena, S.; Kinjyo, H.; Kondo, S.; Kise, N.; et al. p16 Overexpression in Sinonasal Squamous Cell Carcinoma: Association with Human Papillomavirus and Prediction of Survival Outcomes. J. Clin. Med. 2023, 12, 6861. https://doi.org/10.3390/jcm12216861
Hirakawa H, Ikegami T, Touyama M, Ooshiro Y, Higa T, Higa T, Agena S, Kinjyo H, Kondo S, Kise N, et al. p16 Overexpression in Sinonasal Squamous Cell Carcinoma: Association with Human Papillomavirus and Prediction of Survival Outcomes. Journal of Clinical Medicine. 2023; 12(21):6861. https://doi.org/10.3390/jcm12216861
Chicago/Turabian StyleHirakawa, Hitoshi, Taro Ikegami, Masatomo Touyama, Yurika Ooshiro, Tomoyo Higa, Teruyuki Higa, Shinya Agena, Hidetoshi Kinjyo, Shunsuke Kondo, Norimoto Kise, and et al. 2023. "p16 Overexpression in Sinonasal Squamous Cell Carcinoma: Association with Human Papillomavirus and Prediction of Survival Outcomes" Journal of Clinical Medicine 12, no. 21: 6861. https://doi.org/10.3390/jcm12216861
APA StyleHirakawa, H., Ikegami, T., Touyama, M., Ooshiro, Y., Higa, T., Higa, T., Agena, S., Kinjyo, H., Kondo, S., Kise, N., Tanaka, K., Maeda, H., Tamaki, T., Wada, N., & Suzuki, M. (2023). p16 Overexpression in Sinonasal Squamous Cell Carcinoma: Association with Human Papillomavirus and Prediction of Survival Outcomes. Journal of Clinical Medicine, 12(21), 6861. https://doi.org/10.3390/jcm12216861

