Current Management and Volar Locking Plate Fixation with Bone Cement Augmentation for Elderly Distal Radius Fractures—An Updated Narrative Review
Abstract
1. Introduction
2. Management of Elderly DRFs
2.1. Non-Surgical Treatment
2.2. Surgical Treatment
2.3. Post-Treatment Outcomes
2.4. Complications following Treatment for Elderly DRFs
2.5. Post-Treatment Rehabilitation
2.6. Osteoporotic DRFs and Bone Cement Augmentation
3. VLPF with BCA for DRFs
3.1. Randomized–Controlled Trial
3.2. Retrospective Study
3.3. Biomechanical Study
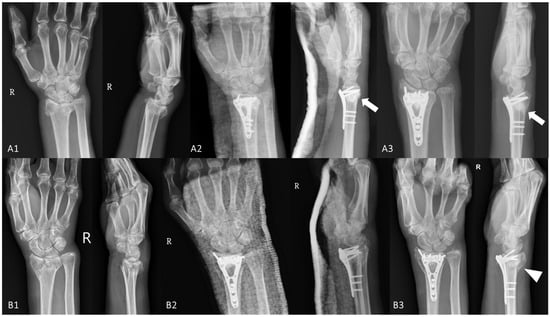
3.4. Our Experiences
4. Summary
Author Contributions
Funding
Institutional Review Board Statement
Informed Consent Statement
Data Availability Statement
Conflicts of Interest
References
- Nellans, K.W.; Kowalski, E.; Chung, K.C. The epidemiology of distal radius fractures. Hand Clin. 2012, 28, 113–125. [Google Scholar] [CrossRef]
- Rundgren, J.; Bojan, A.; Mellstrand Navarro, C.; Enocson, A. Epidemiology, classification, treatment and mortality of distal radius fractures in adults: An observational study of 23,394 fractures from the national Swedish fracture register. BMC Musculoskelet. Disord. 2020, 8, 21–88. [Google Scholar] [CrossRef]
- Candela, V.; Di Lucia, P.; Carnevali, C.; Milanese, A.; Spagnoli, A.; Villani, C.; Gumina, S. Epidemiology of distal radius fractures: A detailed survey on a large sample of patients in a suburban area. J. Orthop. Traumatol. 2022, 23, 43. [Google Scholar] [CrossRef]
- Viberg, B.; Tofte, S.; Rønnegaard, A.B.; Jensen, S.S.; Karimi, D.; Gundtoft, P.H. Changes in the incidence and treatment of distal radius fractures in adults—A 22-year nationwide register study of 276,145 fractures. Injury 2023, 54, 110802. [Google Scholar] [CrossRef]
- Levin, L.S.; Rozell, J.C.; Pulos, N. Distal Radius Fractures in the Elderly. J. Am. Acad. Orthop. Surg. 2017, 25, 179–187. [Google Scholar] [CrossRef] [PubMed]
- Loisel, F.; Bourgeois, M.; Rondot, T.; Nallet, J.; Boeckstins, M.; Rochet, S.; Leclerc, G.; Obert, L.; Lepage, D. Treatment goals for distal radius fractures in 2018: Recommendations and practical advice. Eur. J. Orthop. Surg. Traumatol. 2018, 28, 1465–1468. [Google Scholar] [CrossRef] [PubMed]
- Ruyere, A.; Vernet, P.; Botero, S.S.; Igeta, Y.; Hidalgo Diaz, J.J.; Liverneaux, P. Conservative treatment of distal fractures after the age of 65: A review of literature. Eur. J. Orthop. Surg. Traumatol. 2018, 28, 1469–1475. [Google Scholar] [CrossRef]
- Cooper, A.M.; Wood, T.R.; Scholten Ii, D.J.; Carroll, E.A. Nonsurgical Management of Distal Radius Fractures in the Elderly: Approaches, Risks and Limitations. Orthop. Res. Rev. 2022, 14, 287–292. [Google Scholar] [CrossRef]
- Testa, G.; Vescio, A.; Di Masi, P.; Bruno, G.; Sessa, G.; Pavone, V. Comparison between Surgical and Conservative Treatment for Distal Radius Fractures in Patients over 65 Years. J. Funct. Morphol. Kinesiol. 2019, 4, 4–26. [Google Scholar] [CrossRef]
- DeGeorge, B.R., Jr.; Van Houten, H.K.; Mwangi, R.; Sangaralingham, L.R.; Larson, A.N.; Kakar, S. Outcomes and Complications in the Management of Distal Radial Fractures in the Elderly. J. Bone. Joint Surg. Am. 2020, 102, 37–44. [Google Scholar] [CrossRef]
- Gutiérrez-Espinoza, H.; Araya-Quintanilla, F.; Olguín-Huerta, C.; Gutiérrez-Monclus, R.; Valenzuela-Fuenzalida, J.; Román-Veas, J.; Campos-Jara, C. Effectiveness of surgical versus conservative treatment of distal radius fractures in elderly patients: A systematic review and meta-analysis. Orthop. Traumatol. Surg. Res. 2022, 108, 103323. [Google Scholar] [CrossRef]
- Gutiérrez-Espinoza, H.; Araya-Quintanilla, F.; Cuyul-Vásquez, I.; Gutiérrez-Monclus, R.; Reina-Gutiérrez, S.; Cavero-Redondo, I.; Arenas-Arroyo, S.N. Effectiveness and Safety of Different Treatment Modalities for Patients Older Than 60 Years with Distal Radius Fracture: A Network Meta-Analysis of Clinical Trials. Int. J. Environ. Res. Public Health 2023, 20, 3697. [Google Scholar] [CrossRef]
- Mellstrand Navarro, C.; Brolund, A.; Ekholm, C.; Heintz, E.; Hoxha Ekström, E.; Josefsson, P.O.; Leander, L.; Nordström, P.; Zidén, L.; Stenström, K. Treatment of radius or ulna fractures in the elderly: A systematic review covering effectiveness, safety, economic aspects and current practice. PLoS ONE 2019, 14, e0214362. [Google Scholar] [CrossRef]
- Chen, Y.; Chen, X.; Li, Z.; Yan, H.; Zhou, F.; Gao, W. Safety and Efficacy of Operative versus Nonsurgical Management of Distal Radius Fractures in Elderly Patients: A Systematic Review and Meta-analysis. J. Hand Surg. Am. 2016, 41, 404–413. [Google Scholar] [CrossRef] [PubMed]
- American Academy of Orthopaedic Surgeons. Management of Distal Radius Fractures Evidence-Based Clinical Practice Guideline; American Academy of Orthopaedic Surgeons: Rosemont, IL, USA, 2020. [Google Scholar]
- Selles, C.A.; Mulders, M.A.M.; Winkelhagen, J.; van Eerten, P.V.; Goslings, J.C.; Schep, N.W.L.; VIPAR Collaborators. Volar Plate Fixation versus Cast Immobilization in Acceptably Reduced Intra-Articular Distal Radial Fractures: A Randomized Controlled Trial. J. Bone Jt. Surg. Am. 2021, 103, 1963–1969. [Google Scholar] [CrossRef] [PubMed]
- Mulders, M.A.M.; Walenkamp, M.M.J.; van Dieren, S.; Goslings, J.C.; Schep, N.W.L.; VIPER Trial Collaborators. Volar Plate Fixation in Adults with a Displaced Extra-Articular Distal Radial Fracture Is Cost-Effective. J. Bone Jt. Surg. Am. 2020, 102, 609–616. [Google Scholar] [CrossRef] [PubMed]
- Miller, J.E.; Naram, A.; Qin, B.; Rothkopf, D.M. Distal Radius Fractures in the Elderly: Use of the Volar Bearing Plate. Ann. Plast. Surg. 2019, 82, 34–38. [Google Scholar] [CrossRef] [PubMed]
- Stephens, A.R.; Presson, A.P.; McFarland, M.M.; Zhang, C.; Sirniö, K.; Mulders, M.A.M.; Schep, N.W.L.; Tyser, A.R.; Kazmers, N.H. Volar Locked Plating Versus Closed Reduction and Casting for Acute, Displaced Distal Radial Fractures in the Elderly: A Systematic Review and Meta-Analysis of Randomized Controlled Trials. J. Bone Jt. Surg. Am. 2020, 102, 1280–1288. [Google Scholar] [CrossRef]
- Li, Q.; Ke, C.; Han, S.; Xu, X.; Cong, Y.X.; Shang, K.; Liang, J.D.; Zhang, B.F. Nonoperative treatment versus volar locking plate fixation for elderly patients with distal radial fracture: A systematic review and meta-analysis. J. Orthop. Surg. Res. 2020, 15, 263. [Google Scholar] [CrossRef]
- Kammerlander, C.; Neuerburg, C.; Verlaan, J.J.; Schmoelz, W.; Miclau, T.; Larsson, S. The use of augmentation techniques in osteoporotic fracture fixation. Injury 2016, 47 (Suppl. S2), S36–S43. [Google Scholar] [CrossRef]
- Wu, J.C.; Strickland, C.D.; Chambers, J.S. Wrist Fractures and Osteoporosis. Orthop. Clin. N. Am. 2019, 50, 211–221. [Google Scholar] [CrossRef]
- Ostergaard, P.J.; Hall, M.J.; Rozental, T.D. Considerations in the Treatment of Osteoporotic Distal Radius Fractures in Elderly Patients. Curr. Rev. Musculoskelet. Med. 2019, 12, 50–56. [Google Scholar] [CrossRef]
- Kim, J.K.; Koh, Y.D.; Kook, S.H. Effect of calcium phosphate bone cement augmentation on volar plate fixation of unstable distal radial fractures in the elderly. J. Bone Jt. Surg. Am. 2011, 93, 609–614. [Google Scholar] [CrossRef]
- Mori, Y.; Takegami, Y.; Tokutake, K.; Oka, Y.; Imagama, S. Retrospective Comparative Study of Clinical Outcomes and Cost-Effectiveness with Bone Substitutes on Volar Locking Plate Fixation of Unstable Distal Radial Fractures in the Elderly. J. Hand Surg. Asian Pac. Vol. 2023, 28, 61–68. [Google Scholar] [CrossRef] [PubMed]
- Chang, F.S.; Chen, C.H.; Lee, C.H.; Lee, K.T.; Cho, Y.C. Evaluating the necessity of bone augmentation for distal radius fracture fixed with a volar locking plate: A retrospective study. BMC Musculoskelet. Disord. 2020, 21, 180. [Google Scholar] [CrossRef] [PubMed]
- Högel, F.; Mair, S.; Eberle, S.; Weninger, P.; von Oldenburg, G.; Augat, P. Distal radius fracture fixation with volar locking plates and additional bone augmentation in osteoporotic bone: A biomechanical study in a cadaveric model. Arch. Orthop. Trauma Surg. 2013, 133, 51–57. [Google Scholar] [CrossRef] [PubMed]
- Kainz, H.; Dall’Ara, E.; Antoni, A.; Redl, H.; Zysset, P.; Weninger, P. Calcium phosphate cement augmentation after volar locking plating of distal radius fracture significantly increases stability. Eur. J. Orthop. Surg. Traumatol. 2014, 24, 869–875. [Google Scholar] [CrossRef]
- Park, M.J.; Kim, J.P.; Lee, H.I.; Lim, T.K.; Jung, H.S.; Lee, J.S. Is a short arm cast appropriate for stable distal radius fractures in patients older than 55 years? A randomized prospective multicentre study. J. Hand Surg. Eur. Vol. 2017, 42, 487–492. [Google Scholar] [CrossRef]
- Ax, M.; Reito, A.; Hevonkorpi, T.P.; Palola, V.; Kukkonen, J.; Luokkala, T.; Laitinen, M.K.; Launonen, A.P.; Mattila, V.M. A comparison of the functional results and costs of functional cast and volar-flexion ulnar deviation cast at 2-year follow-up in 105 patients aged 65 and older with dorsally displaced distal radius fracture: A randomized controlled trial. PLoS ONE 2023, 18, e0283946. [Google Scholar] [CrossRef]
- Olech, J.; Kopczyński, B.; Tomczyk, Ł.; Konieczny, G.; Kazubski, K.; Morasiewicz, P. The functional and radiographic outcomes following distal radius fracture treatment in a cast for 4 and 6 weeks in the elderly: A randomized trial. Adv. Clin. Exp. Med. 2022, 31, 701–706. [Google Scholar] [CrossRef]
- Hassellund, S.S.; Williksen, J.H.; Laane, M.M.; Pripp, A.; Rosales, C.P.; Karlsen, Ø.; Madsen, J.E.; Frihagen, F. Cast immobilization is non-inferior to volar locking plates in relation to QuickDASH after one year in patients aged 65 years and older: A randomized controlled trial of displaced distal radius fractures. Bone Jt. J. 2021, 103, 247–255. [Google Scholar] [CrossRef]
- Yu, J.; Cao, G.; Yuan, S.; Luo, C.; Yu, J.; Cai, M. Probiotic supplements and bone health in postmenopausal women: A meta-analysis of randomised controlled trials. BMJ Open 2021, 11, e041393. [Google Scholar] [CrossRef]
- Lei, M.; Hua, L.M.; Wang, D.W. The effect of probiotic treatment on elderly patients with distal radius fracture: A prospective double-blind, placebo-controlled randomised clinical trial. Benef. Microbes 2016, 7, 631–637. [Google Scholar] [CrossRef] [PubMed]
- Zhang, C.; Xue, S.; Wang, Y.; Yu, D.; Hua, L.; Guo, C.; Wang, D.; Lei, M. Oral administration of Lactobacillus casei Shirota improves recovery of hand functions after distal radius fracture among elder patients: A placebo-controlled, double-blind, and randomized trial. J. Orthop. Surg. Res. 2019, 14, 257. [Google Scholar] [CrossRef] [PubMed]
- Combined Randomised and Observational Study of Surgery for Fractures in the Distal Radius in the Elderly (CROSSFIRE) Study Group; Lawson, A.; Naylor, J.M.; Buchbinder, R.; Ivers, R.; Balogh, Z.J.; Smith, P.; Xuan, W.; Howard, K.; Vafa, A.; et al. Surgical Plating vs Closed Reduction for Fractures in the Distal Radius in Older Patients: A Randomized Clinical Trial. JAMA Surg. 2021, 156, 229–237. [Google Scholar] [CrossRef]
- Combined Randomised and Observational Study of Surgery for Fractures in the Distal Radius in the Elderly (CROSSFIRE) Study Group; Lawson, A.; Naylor, J.; Buchbinder, R.; Ivers, R.; Balogh, Z.J.; Smith, P.; Xuan, W.; Howard, K.; Vafa, A.; et al. Plating vs Closed Reduction for Fractures in the Distal Radius in Older Patients: A Secondary Analysis of a Randomized Clinical Trial. JAMA Surg. 2022, 157, 563–571. [Google Scholar] [CrossRef]
- Tahir, M.; Khan Zimri, F.; Ahmed, N.; Rakhio Jamali, A.; Mehboob, G.; Watson, K.R.; Faraz, A. Plaster immobilization versus anterior plating for dorsally displaced distal radial fractures in elderly patients in Pakistan. J. Hand Surg. Eur. Vol. 2021, 46, 647–653. [Google Scholar] [CrossRef]
- Saving, J.; Severin Wahlgren, S.; Olsson, K.; Enocson, A.; Ponzer, S.; Sköldenberg, O.; Wilcke, M.; Mellstrand Navarro, C. Nonoperative Treatment Compared with Volar Locking Plate Fixation for Dorsally Displaced Distal Radial Fractures in the Elderly: A Randomized Controlled Trial. J. Bone Jt. Surg. Am. 2019, 101, 961–969. [Google Scholar] [CrossRef] [PubMed]
- Südow, H.; Severin, S.; Wilcke, M.; Saving, J.; Sköldenberg, O.; Navarro, C.M. Non-operative treatment or volar locking plate fixation for dorsally displaced distal radius fractures in patients over 70 years—A three year follow-up of a randomized controlled trial. BMC Musculoskelet. Disord. 2022, 23, 447. [Google Scholar] [CrossRef]
- Sirniö, K.; Leppilahti, J.; Ohtonen, P.; Flinkkilä, T. Early palmar plate fixation of distal radius fractures may benefit patients aged 50 years or older: A randomized trial comparing 2 different treatment protocols. Acta Orthop. 2019, 90, 123–128. [Google Scholar] [CrossRef]
- Martinez-Mendez, D.; Lizaur-Utrilla, A.; de-Juan-Herrero, J. Intra-articular distal radius fractures in elderly patients: A randomized prospective study of casting versus volar plating. J. Hand Surg. Eur. Vol. 2018, 43, 142–147. [Google Scholar] [CrossRef]
- Chung, K.C.; Kim, H.M.; Malay, S.; Shauver, M.J.; WRIST Group. Comparison of 24-Month Outcomes After Treatment for Distal Radius Fracture: The WRIST Randomized Clinical Trial. JAMA Netw. Open 2021, 4, e2112710. [Google Scholar] [CrossRef]
- Thorninger, R.; Wæver, D.; Tjørnild, M.; Lind, M.; Rölfing, J.D. VOLCON: A randomized controlled trial investigating complications and functional outcome of volar plating vs casting of unstable distal radius fractures in patients older than 65 years. J. Orthop. Traumatol. 2022, 23, 54. [Google Scholar] [CrossRef] [PubMed]
- Zhang, L.; Jiang, H.; Zhou, J.; Jing, J. Comparison of Modified K-wire Fixation with Open Reduction and Internal Fixation (ORIF) for Unstable Colles Fracture in Elderly Patients. Orthop. Surg. 2023, 15, 2621–2626. [Google Scholar] [CrossRef] [PubMed]
- Hevonkorpi, T.P.; Launonen, A.P.; Huttunen, T.T.; Kannus, P.; Niemi, S.; Mattila, V.M. Incidence of distal radius fracture surgery in Finns aged 50 years or more between 1998 and 2016—Too many patients are yet operated on? BMC Musculoskelet. Disord. 2018, 19, 70. [Google Scholar] [CrossRef]
- Heng, B.Q.H.; Kang, Y.C.; Lim, J.X.Y.; Chee, K.G. Epidemiology of Distal Radius Fixations and Functional Outcomes in the Superelderly Population. J. Hand Surg. Asian Pac. Vol. 2020, 25, 26–31. [Google Scholar] [CrossRef] [PubMed]
- Huang, Y.Y.; Lin, T.Y.; Chen, C.H.; Chou, Y.C.; Su, C.Y. Surgical outcomes of elderly patients aged more than 80 years with distal radius fracture: Comparison of external fixation and locking plate. BMC Musculoskelet. Disord. 2020, 21, 91. [Google Scholar] [CrossRef]
- Sakurai, S.; Takegami, Y.; Tokutake, K.; Kuwahara, Y.; Shibata, R.; Ota, H.; Kumagai, H.; Imagama, S. Are the Clinical Results of Locking Plate Fixation for Distal Radius Fractures Inferior in Patients over 80 Years of Age? A Multicentre (TRON Group) Study. Indian J. Orthop. 2022, 57, 117–123. [Google Scholar] [CrossRef]
- Shen, O.; Chen, C.T.; Jupiter, J.B.; Chen, N.C.; Liu, W.C. Functional outcomes and complications after treatment of distal radius fracture in patients sixty years and over: A systematic review and network meta-analysis. Injury 2023, 54, 110767. [Google Scholar] [CrossRef]
- Vegt, P.; Muir, J.M.; Block, J.E. The Photodynamic Bone Stabilization System: A minimally invasive, percutaneous intramedullary polymeric osteosynthesis for simple and complex long bone fractures. Med. Devices 2014, 7, 453–461. [Google Scholar] [CrossRef]
- Gausepohl, T.; Pennig, D.; Heck, S.; Gick, S.; Vegt, P.A.; Block, J.E. Effective Management of Bone Fractures with the Illuminoss® Photodynamic Bone Stabilization System: Initial Clinical Experience from the European Union Registry. Orthop. Rev. 2017, 9, 6988. [Google Scholar] [CrossRef]
- Hagenaars, T.; Van Oijen, G.W.; Roerdink, W.H.; Vegt, P.A.; Vroemen, J.P.; Verhofstad, M.H.; Van Lieshout, E.M. Functional recovery after treatment of extra-articular distal radius fractures in the elderly using the IlluminOss® System (IO-Wrist); a multicenter prospective observational study. BMC Musculoskelet. Disord. 2016, 17, 235. [Google Scholar] [CrossRef] [PubMed]
- Van Oijen, G.W.; Vegt, P.A.; Hagenaars, T.; Van Lieshout, E.M.M.; Verhofstad, M.H.J. Outcome after treatment of distal radius fractures in the elderly using the IlluminOss® System. Eur. J. Trauma Emerg. Surg. 2021, 47, 1129–1136. [Google Scholar] [CrossRef] [PubMed]
- Fogel, N.; Mertz, K.; Shapiro, L.M.; Roe, A.; Denduluri, S.; Kamal, R.N. Outcome Metrics in the Treatment of Distal Radius Frac-tures in Patients Aged Above 50 Years: A Systematic Review. Hand 2022, 17 (Suppl. S1), 43S–49S. [Google Scholar] [CrossRef]
- Cooney, W.P.; Bussey, R.; Dobyns, J.H.; Linscheid, R.L. Difficult wrist fractures. Perilunate fracture—Dislocations of the wrist. Clin. Orthop. Relat. Res. 1987, 214, 136–147. [Google Scholar] [CrossRef]
- Dacombe, P.J.; Amirfeyz, R.; Davis, T. Patient-Reported Outcome Measures for Hand and Wrist Trauma: Is There Sufficient Evidence of Reliability, Validity, and Responsiveness? Hand 2016, 11, 11–21. [Google Scholar] [CrossRef]
- MacDermid, J.C.; Turgeon, T.; Richards, R.S.; Beadle, M.; Roth, J.H. Patient rating of wrist pain and disability: A reliable and valid measurement tool. J. Orthop. Trauma 1998, 12, 577–586. [Google Scholar] [CrossRef] [PubMed]
- MacDermid, J.C.; Tottenham, V. Responsiveness of the disability of the arm, shoulder, and hand (DASH) and patient-rated wrist/hand evaluation (PRWHE) in evaluating change after hand therapy. J. Hand Ther. 2004, 17, 18–23. [Google Scholar] [CrossRef]
- Kleinlugtenbelt, Y.V.; Krol, R.G.; Bhandari, M.; Goslings, J.C.; Poolman, R.W.; Scholtes, V.A.B. Are the patient-rated wrist evaluation (PRWE) and the disabilities of the arm, shoulder and hand (DASH) questionnaire used in distal radial fractures truly valid and reliable? Bone Jt. Res. 2018, 7, 36–45. [Google Scholar] [CrossRef]
- Hudak, P.L.; Amadio, P.C.; Bombardier, C. Development of an upper extremity outcome measure: The DASH (disabilities of the arm, shoulder and hand). Am. J. Ind. Med. 1996, 29, 602–608. [Google Scholar] [CrossRef]
- Beaton, D.E.; Wright, J.G.; Katz, J.N. Upper Extremity Collaborative Group. Development of the QuickDASH: Comparison of three item-reduction approaches. J. Bone Jt. Surg. Am. 2005, 87, 1038–1046. [Google Scholar] [CrossRef]
- Gummesson, C.; Ward, M.M.; Atroshi, I. The shortened disabilities of the arm, shoulder and hand questionnaire (QuickDASH): Validity and reliability based on responses within the full-length DASH. BMC Musculoskelet Disord. 2006, 7, 44. [Google Scholar] [CrossRef]
- Chung, K.C.; Kim, H.M.; Malay, S.; Shauver, M.J.; WRIST Group. Predicting Outcomes After Distal Radius Fracture: A 24-Center International Clinical Trial of Older Adults. J. Hand Surg. Am. 2019, 44, 762–771. [Google Scholar] [CrossRef]
- Jayaram, M.; Wu, H.; Yoon, A.P.; Kane, R.L.; Wang, L.; Chung, K.C. Comparison of Distal Radius Fracture Outcomes in Older Adults Stratified by Chronologic vs Physiologic Age Managed with Casting vs Surgery. JAMA Netw. Open 2023, 6, e2255786. [Google Scholar] [CrossRef]
- Schmidt, V.; Gordon, M.; Tägil, M.; Sayed-Noor, A.; Mukka, S.; Wadsten, M. Association Between Radiographic and Clinical Outcomes Following Distal Radial Fractures: A Prospective Cohort Study with 1-Year Follow-up in 366 Patients. J. Bone Jt. Surg. Am. 2023, 105, 1156–1167. [Google Scholar] [CrossRef] [PubMed]
- Larouche, J.; Pike, J.; Slobogean, G.P.; Guy, P.; Broekhuyse, H.; O’Brien, P.; Lefaivre, K.A. Determinants of Functional Outcome in Distal Radius Fractures in High-Functioning Patients Older Than 55 Years. J. Orthop. Trauma 2016, 30, 445–449. [Google Scholar] [CrossRef] [PubMed]
- Chung, K.C.; Cho, H.E.; Kim, Y.; Kim, H.M.; Shauver, M.J.; WRIST Group. Assessment of Anatomic Restoration of Distal Radius Fractures among Older Adults: A Secondary Analysis of a Randomized Clinical Trial. JAMA Netw. Open 2020, 3, e1919433. [Google Scholar] [CrossRef] [PubMed]
- Hooper, R.C.; Zhou, N.; Wang, L.; Shauver, M.J.; Chung, K.C.; WRIST Group. Pre-injury activity predicts outcomes following distal radius fractures in patients age 60 and older. PLoS ONE 2020, 15, e0232684. [Google Scholar] [CrossRef]
- Chung, K.C.; Sasor, S.E.; Speth, K.A.; Wang, L.; Shauver, M.J.; WRIST Group. Patient satisfaction after treatment of distal radial fractures in older adults. J. Hand Surg. Eur. Vol. 2020, 45, 77–84. [Google Scholar] [CrossRef]
- Jayaram, M.; Wood, S.M.; Kane, R.L.; Yang, L.Y.; Chung, K.C. Association of Open Reduction and Internal Fixation with Volar Locking Plate for Distal Radius Fractures with Patient-Reported Outcomes in Older Adults: A Network Meta-analysis. JAMA Netw. Open 2023, 6, e2318715. [Google Scholar] [CrossRef]
- Bell, K.R.; Oliver, W.M.; White, T.O.; Molyneux, S.G.; Clement, N.D.; Duckworth, A.D. QuickDASH and PRWE Are Not Optimal Patient-Reported Outcome Measures after Distal Radial Fracture Due to Ceiling Effect: Potential Implications for Future Research. J. Bone Jt. Surg. Am. 2023, 105, 1270–1279. [Google Scholar] [CrossRef]
- Yoon, A.P.; Shauver, M.J.; Hutton, D.W.; Chung, K.C.; WRIST Group. Cost-Effectiveness of Treatments after Closed Extraarticular Distal Radius Fractures in Older Adults from the WRIST Clinical Trial. Plast. Reconstr. Surg. 2021, 147, 240e–252e. [Google Scholar] [CrossRef] [PubMed]
- Holc, F.; Bronenberg Victorica, P.; Avanzi, R.; Huespe, I.A.; De Carli, P.; Boretto, J.G. Risk of Volar Locking Plate Removal after Distal Radius Fractures: Time-to-Event Analysis. J. Hand Surg. Am. 2023, 48, 1011–1017. [Google Scholar] [CrossRef] [PubMed]
- Chung, K.C.; Malay, S.; Shauver, M.J.; Kim, H.M.; WRIST Group. Assessment of Distal Radius Fracture Complications among Adults 60 Years or Older: A Secondary Analysis of the WRIST Randomized Clinical Trial. JAMA Netw. Open 2019, 2, e187053. [Google Scholar] [CrossRef]
- Nguyen, A.; Vather, M.; Bal, G.; Meaney, D.; White, M.; Kwa, M.; Sungaran, J. Does a Hand Strength-Focused Exercise Program Improve Grip Strength in Older Patients with Wrist Fractures Managed Nonoperatively?: A Randomized Controlled Trial. Am. J. Phys. Med. Rehabil. 2020, 99, 285–290. [Google Scholar] [CrossRef]
- Falk, S.S.I.; Maksimow, A.; Mittlmeier, T.; Gradl, G. Does access through the pronator quadratus influence pronation strength in palmar plate fixation of distal radius fractures in elderly patients? Arch. Orthop. Trauma Surg. 2023, 143, 5445–5454. [Google Scholar] [CrossRef] [PubMed]
- Gamo, K.; Baba, N.; Kakimoto, T.; Kuratsu, S. Efficacy of Hand Therapy after Volar Locking Plate Fixation of Distal Radius Fracture in Middle-Aged to Elderly Women: A Randomized Controlled Trial. J. Hand Surg. Am. 2022, 47, 62.e1–62.e7. [Google Scholar] [CrossRef] [PubMed]
- Chung, K.C.; Malay, S.; Shauver, M.J. Wrist and Radius Injury Surgical Trial Group. The Relationship between Hand Therapy and Long-Term Outcomes after Distal Radius Fracture in Older Adults: Evidence from the Randomized Wrist and Radius Injury Surgical Trial. Plast. Reconstr. Surg. 2019, 144, 230e–237e. [Google Scholar] [CrossRef]
- Sørensen, T.J.; Ohrt-Nissen, S.; Ardensø, K.V.; Laier, G.H.; Mallet, S.K. Early Mobilization after Volar Locking Plate Osteosynthesis of Distal Radial Fractures in Older Patients-A Randomized Controlled Trial. J. Hand Surg. Am. 2020, 45, 1047–1054.e1. [Google Scholar] [CrossRef]
- Yoshizawa, S.; Shintaku, T.; Ishii, H.; Sakamoto, M.; Musha, Y.; Ikegami, H. Zoledronic acid for osteoporosis after distal radius fracture surgery. J. Orthop. 2023, 43, 109–114. [Google Scholar] [CrossRef]
- Tsuda, T. Epidemiology of fragility fractures and fall prevention in the elderly: A systematic review of the literature. Curr. Orthop. Pract. 2017, 28, 580–585. [Google Scholar] [CrossRef]
- Tu, K.N.; Lie, J.D.; Wan, C.K.V.; Cameron, M.; Austel, A.G.; Nguyen, J.K.; Van, K.; Hyun, D. Osteoporosis: A Review of Treatment Options. Pharm. Ther. 2018, 43, 92–104. [Google Scholar]
- Ek, S.; Meyer, A.C.; Sääf, M.; Hedström, M.; Modig, K. Secondary fracture prevention with osteoporosis medication after a fragility fracture in Sweden remains low despite new guidelines. Arch. Osteoporos. 2023, 18, 107. [Google Scholar] [CrossRef]
- Goto, A.; Murase, T.; Oka, K.; Yoshikawa, H. Use of the volar fixed angle plate for comminuted distal radius fractures and augmentation with a hydroxyapatite bone graft substitute. Hand Surg. 2011, 16, 29–37. [Google Scholar] [CrossRef]
- Luokkala, T.; Laitinen, M.K.; Hevonkorpi, T.P.; Raittio, L.; Mattila, V.M.; Launonen, A.P. Distal radius fractures in the elderly population. EFORT Open Rev. 2020, 5, 361–370. [Google Scholar] [CrossRef]
- Jackson, D.; Turner, R. Power analysis for random-effects meta-analysis. Res. Synth. Methods 2017, 8, 290–302. [Google Scholar] [CrossRef] [PubMed]
- Slover, J.; Shue, J.; Koenig, K. Shared decision-making in orthopaedic surgery. Clin. Orthop. Relat. Res. 2012, 470, 1046–1053. [Google Scholar] [CrossRef] [PubMed]
- Kamal, R.N.; Shapiro, L.M. Practical Application of the 2020 Distal Radius Fracture AAOS/ASSH Clinical Practice Guideline: A Clinical Case. J. Am. Acad. Orthop. Surg. 2022, 30, e714–e720. [Google Scholar] [CrossRef] [PubMed]
- Page, M.J.; McKenzie, J.E.; Bossuyt, P.M.; Boutron, I.; Hoffmann, T.C.; Mulrow, C.D.; Shamseer, L.; Tetzlaff, J.M.; Akl, E.A.; Brennan, S.E.; et al. The PRISMA 2020 statement: An updated guideline for reporting systematic reviews. BMJ 2021, 372, n71. [Google Scholar] [CrossRef] [PubMed]

| Modified Mayo Wrist Score (MMWS) [56,57] | Require both patient and physician participation to assess pain, active flexion/extension arc (in comparison with the contralateral side), grip strength (in comparison with the contralateral side), and the ability to return to regular employment or activities. Scores range from 0 to 100 with a score of 0 indicating the worst wrist condition and 100 indicating the best wrist condition. |
| Patient-Rated Wrist Evaluation (PRWE)/Patient-Rated Wrist/Hand Evaluation (PRWHE) [58,59,60] | A self-administered, patient-specific questionnaire consisting of 2 subscales with 15 items designed to measure wrist pain and disability in activities of daily living. The pain subscale contains 5 items with each item rated from 1 to 10. The function subscale contains 10 items divided into 2 sections (i.e., specific activities (6 items) and usual activities (4 items)). The maximum score in both sections is 50 and minimum is 0. A score of 100 represents the worst functional score, whereas 0 represents no disability. |
| Disabilities of the Arm, Shoulder, and Hand (DASH) score [60,61] | A 30-item self-reported questionnaire in which the response options are presented as 5-point Likert scales. Scores range from 0 (no disability) to 100 (the most severe disability). This score was designed to be useful in patients with any musculoskeletal disorder of the upper limb. |
| QuickDASH [62,63] | A subset of 11 items from the 30-item DASH and is a self-reported questionnaire in which the response options are presented as 5-point Likert scales. At least 10 of the 11 items must be completed for a score to be calculated and the scores range from 0 (no disability) to 100 (the most severe disability). This score was designed to be useful in patients with any musculoskeletal disorder of the upper limb. |
| Study | Study Type | Subjects (n) | Intervention (n) | Comparator (n) | Outcome Measurements | Main Results | Conclusion |
|---|---|---|---|---|---|---|---|
| Kim et al. [24] | Randomized–controlled trial | 48 patients (40 females and 8 males) involving 50 DRFs with a mean age of 73 years (range, 65 to 89 years) | VLPF with CPBCA (n = 25) | VLPF alone (n = 25) | Clinical outcome: Grip strength, wrist range of motion, subjective wrist pain (VAS scores), MMWS, and DASH scores | No significant difference was observed between groups regarding clinical and radiologic outcomes. No complication-related difference was observed, and there was no nonunion. | VLPF with CPBCA of metaphyseal defects offered no benefit over VLPF alone in elderly patients with unstable DRFs. |
| Radiologic outcome: RI, VT, and UV | |||||||
| Mori et al. [25] | Retrospective comparative study | 485 patients aged 65 years or older | VLPF with BCA (n = 97) | VLPF alone (n = 388) | Clinical outcome: MMWS | The MMWS, VT, RI, UV, and DDD values between groups were not significantly different. Radiologic evaluation revealed no implant failure in either group. Bone union was confirmed in all patients in both groups. The initial surgery cost and total cost from VLPF with BCA were significantly higher than those from VLPF alone (USD 3515 vs. USD 3068, p < 0.001) | The clinical and radiologic outcomes of VLPF with BCA did not differ from those of VLPF alone, yet the additional use of BCA was associated with higher medical costs. |
| Radiologic outcome: Implant failure rate, bone union rate, VT, RI, UV, and distal DDD | |||||||
| Cost-effectiveness evaluation: Initial surgery cost and total cost | |||||||
| Chang et al. [26] | Retrospective comparative study | 105 patients (60 females and 45 males) with an average age of 50.8 years (range, 19 to 83) | VLPF with BCA (n = 17) | VLPF alone (n = 88) | Radiologic outcome: RH, RI, VT, and dorsal collapse | Both groups exhibited significant differences in dorsal collapse (p < 0.001 and p = 0.001, respectively) and radial height shortening (p < 0.001 and p = 0.039, respectively); VT and RI did not differ significantly. There was no difference in the degree of dorsal collapse (p = 0.715) and radial height shortening (p = 0.651) between the 2 groups. | VLPF is an effective and reliable treatment method without additional BCA needed even for comminuted DRFs if sufficient anatomical reduction fixation is achieved |
| Goto et al. [85] | Retrospective study | 24 patients (18 females and 6 males) involving 25 DRFs with an average age of 64.9 years (range, 50 to 86 years) | VLPF with CPBCA (n = 7) | VLPF alone (n = 18) | Radiologic outcome: VT, RI, and UV | No significant difference between the 2 groups in terms of VT (p = 0.80), RI (p = 0.17), grip strength (p = 0.60), and Saito scores (p = 093), but UV increased significantly in the group treated with VLPF alone (p < 0.05). | It might be useful to use a combination technique of VLPF and CPBCA to treat comminuted DRFs in elderly patients. |
| Clinical assessment: Grip strength and range of wrist flexion/extension, radial/ulnar deviation, and supination/pronation | |||||||
| Clinical outcome: Saito scoring system | |||||||
| Högel et al. [27] | Biomechanical study | 8 pairs of fresh-frozen osteoporotic cadaveric radius with AO-type 23-A3.3 fractures | VLPF with CPBCA (n = 8) | VLPF alone (n = 8) | Load to failure, construct stiffness, fracture gap movement, and screw cutting distance | CPBCA resulted in significant increases in cycles, load to failure, and construct stiffness at loads higher than 325 N, and fracture gap movement and screw cutting distance decreased significantly at this load and higher compared to VLPF alone. | CPBCA improved biomechanical properties in VLPF for DRFs. |
| Kainz et al. [28] | Biomechanical study | 14 pairs of human fresh-frozen cadaveric radius with AO/OTA-type 23-A3 fractures | VLPF with CPBCA (n = 14) | VLPF alone (n = 14) | Displacement, stiffness, dissipated work, and failure mode | Decreased displacement, increased stiffness, and decreased dissipated work were found in VLPF with CPBCA. Pushing out of the screws was noticed as a failure mode only in samples lacking supplementary biomaterial. | CPBCA of dorsal comminution zone increased stability after VLPF for DRFs in vitro. |
Disclaimer/Publisher’s Note: The statements, opinions and data contained in all publications are solely those of the individual author(s) and contributor(s) and not of MDPI and/or the editor(s). MDPI and/or the editor(s) disclaim responsibility for any injury to people or property resulting from any ideas, methods, instructions or products referred to in the content. |
© 2023 by the authors. Licensee MDPI, Basel, Switzerland. This article is an open access article distributed under the terms and conditions of the Creative Commons Attribution (CC BY) license (https://creativecommons.org/licenses/by/4.0/).
Share and Cite
Tai, T.-H.; Chu, P.-J.; Lu, K.-Y.; Wu, J.J.; Wong, C.-C. Current Management and Volar Locking Plate Fixation with Bone Cement Augmentation for Elderly Distal Radius Fractures—An Updated Narrative Review. J. Clin. Med. 2023, 12, 6801. https://doi.org/10.3390/jcm12216801
Tai T-H, Chu P-J, Lu K-Y, Wu JJ, Wong C-C. Current Management and Volar Locking Plate Fixation with Bone Cement Augmentation for Elderly Distal Radius Fractures—An Updated Narrative Review. Journal of Clinical Medicine. 2023; 12(21):6801. https://doi.org/10.3390/jcm12216801
Chicago/Turabian StyleTai, Ting-Han, Po-Jui Chu, Kuan-Yu Lu, Jeffrey J. Wu, and Chin-Chean Wong. 2023. "Current Management and Volar Locking Plate Fixation with Bone Cement Augmentation for Elderly Distal Radius Fractures—An Updated Narrative Review" Journal of Clinical Medicine 12, no. 21: 6801. https://doi.org/10.3390/jcm12216801
APA StyleTai, T.-H., Chu, P.-J., Lu, K.-Y., Wu, J. J., & Wong, C.-C. (2023). Current Management and Volar Locking Plate Fixation with Bone Cement Augmentation for Elderly Distal Radius Fractures—An Updated Narrative Review. Journal of Clinical Medicine, 12(21), 6801. https://doi.org/10.3390/jcm12216801

