The Effects of Body Composition Characteristics on the Functional Disability in Patients with Degenerative Lumbar Spinal Stenosis
Abstract
1. Introduction
2. Materials and Methods
2.1. Evaluation of Functional Disability in ADL and Group Allocation
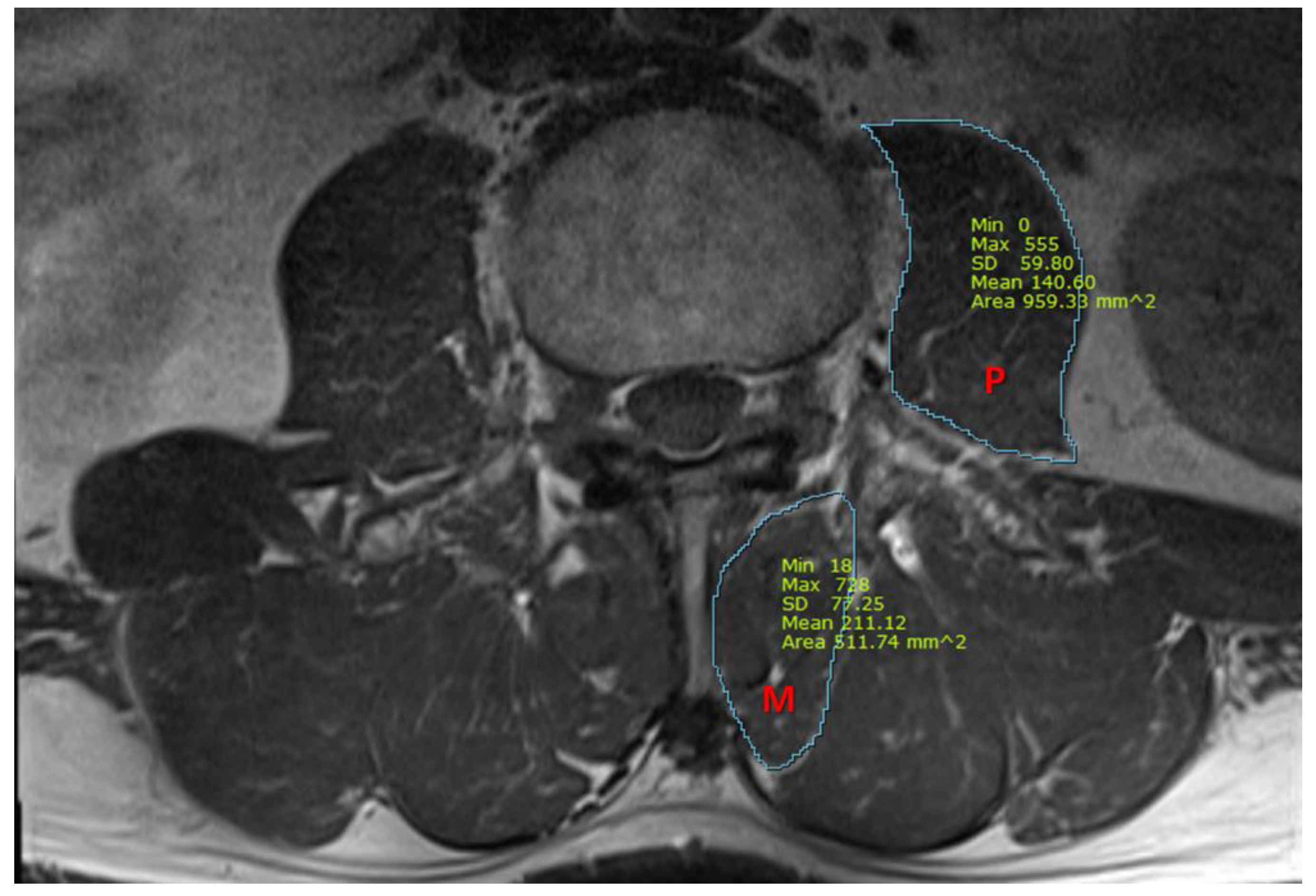
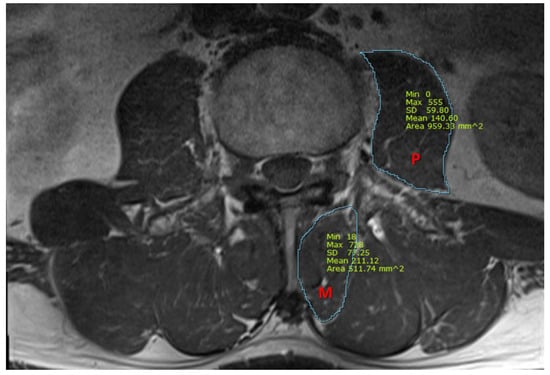
2.2. Body Composition Analysis Using Bioelectrical Impedance Analysis (BIA)
2.3. Outcome Measures
2.4. Epidural Steroid Injection Procedure
2.5. Sample Size Determination and Statistical Analysis
3. Results
3.1. Study Participants and Patient Characteristics
3.2. Study Outcomes
4. Discussion
5. Conclusions
Author Contributions
Funding
Institutional Review Board Statement
Informed Consent Statement
Conflicts of Interest
References
- Amundsen, T.; Weber, H.; Lilleas, F.; Nordal, H.J.; Abdelnoor, M.; Magnaes, B. Lumbar spinal stenosis. Clinical and radiologic features. Spine 1995, 20, 1178–1186. [Google Scholar] [CrossRef] [PubMed]
- Kirkaldy-Willis, W.H.; Paine, K.W.; Cauchoix, J.; McIvor, G. Lumbar spinal stenosis. Clin. Orthop. Relat. Res. 1974, 24, 30–50. [Google Scholar] [CrossRef]
- Lin, S.I.; Lin, R.M.; Huang, L.W. Disability in patients with degenerative lumbar spinal stenosis. Arch. Phys. Med. Rehabil. 2006, 87, 1250–1256. [Google Scholar] [CrossRef] [PubMed]
- Kim, G.U.; Park, J.; Kim, H.J.; Shen, F.; Cho, J.; Chang, B.S.; Lee, C.K.; Chun, H.J.; Yeom, J.S. Definitions of unfavorable surgical outcomes and their risk factors based on disability score after spine surgery for lumbar spinal stenosis. BMC Musculoskelet. Disord. 2020, 21, 288. [Google Scholar] [CrossRef] [PubMed]
- Zeifang, F.; Schiltenwolf, M.; Abel, R.; Moradi, B. Gait analysis does not correlate with clinical and MR imaging parameters in patients with symptomatic lumbar spinal stenosis. BMC Musculoskelet. Disord. 2008, 9, 89. [Google Scholar] [CrossRef] [PubMed]
- Sirvanci, M.; Bhatia, M.; Ganiyusufoglu, K.A.; Duran, C.; Tezer, M.; Ozturk, C.; Aydogan, M.; Hamzaoglu, A. Degenerative lumbar spinal stenosis: Correlation with Oswestry Disability Index and MR imaging. Eur. Spine J. 2008, 17, 679–685. [Google Scholar] [CrossRef] [PubMed]
- Dario, A.B.; Ferreira, M.L.; Refshauge, K.; Sanchez-Romera, J.F.; Luque-Suarez, A.; Hopper, J.L.; Ordonana, J.R.; Ferreira, P.H. Are obesity and body fat distribution associated with low back pain in women? A population-based study of 1128 Spanish twins. Eur. Spine J. 2016, 25, 1188–1195. [Google Scholar] [CrossRef]
- Samartzis, D.; Karppinen, J.; Chan, D.; Luk, K.D.; Cheung, K.M. The association of lumbar intervertebral disc degeneration on magnetic resonance imaging with body mass index in overweight and obese adults: A population-based study. Arthritis Rheum. 2012, 64, 1488–1496. [Google Scholar] [CrossRef]
- Dario, A.B.; Loureiro Ferreira, M.; Refshauge, K.; Luque-Suarez, A.; Ordonana, J.R.; Ferreira, P.H. Obesity does not increase the risk of chronic low back pain when genetics are considered. A prospective study of Spanish adult twins. Spine J. 2017, 17, 282–290. [Google Scholar] [CrossRef]
- Knutsson, B.; Sandén, B.; Sjödén, G.; Järvholm, B.; Michaëlsson, K. Body Mass Index and Risk for Clinical Lumbar Spinal Stenosis: A Cohort Study. Spine 2015, 40, 1451–1456. [Google Scholar] [CrossRef]
- Su, C.A.; Kusin, D.J.; Li, S.Q.; Ahn, U.M.; Ahn, N.U. The Association between Body Mass Index and the Prevalence, Severity, and Frequency of Low Back Pain: Data from the Osteoarthritis Initiative. Spine 2018, 43, 848–852. [Google Scholar] [CrossRef] [PubMed]
- Han, T.S.; Schouten, J.S.; Lean, M.E.; Seidell, J.C. The prevalence of low back pain and associations with body fatness, fat distribution and height. Int. J. Obes. Relat. Metab. Disord. 1997, 21, 600–607. [Google Scholar] [CrossRef] [PubMed]
- Samartzis, D.; Karppinen, J.; Mok, F.; Fong, D.Y.; Luk, K.D.; Cheung, K.M. A population-based study of juvenile disc degeneration and its association with overweight and obesity, low back pain, and diminished functional status. J. Bone Joint Surg. Am. 2011, 93, 662–670. [Google Scholar] [CrossRef] [PubMed]
- Azimi, P.; Yazdanian, T.; Shahzadi, S.; Benzel, E.C.; Azhari, S.; Nayeb Aghaei, H.; Montazeri, A. Cut-off Value for Body Mass Index in Predicting Surgical Success in Patients with Lumbar Spinal Canal Stenosis. Asian Spine J. 2018, 12, 1085–1091. [Google Scholar] [CrossRef] [PubMed]
- Elsamadicy, A.A.; Adogwa, O.; Vuong, V.D.; Mehta, A.I.; Vasquez, R.A.; Cheng, J.; Karikari, I.O.; Bagley, C.A. Patient Body Mass Index is an Independent Predictor of 30-Day Hospital Readmission After Elective Spine Surgery. World Neurosurg. 2016, 96, 148–151. [Google Scholar] [CrossRef]
- Kim, D.Y.; Lee, S.H.; Lee, H.Y.; Lee, H.J.; Chang, S.B.; Chung, S.K.; Kim, H.J. Validation of the Korean version of the oswestry disability index. Spine 2005, 30, E123–E127. [Google Scholar] [CrossRef]
- Fairbank, J.C.; Pynsent, P.B. The Oswestry Disability Index. Spine 2000, 25, 2940–2952; discussion 2952. [Google Scholar] [CrossRef]
- Schizas, C.; Theumann, N.; Burn, A.; Tansey, R.; Wardlaw, D.; Smith, F.W.; Kulik, G. Qualitative grading of severity of lumbar spinal stenosis based on the morphology of the dural sac on magnetic resonance images. Spine 2010, 35, 1919–1924. [Google Scholar] [CrossRef]
- Bogduk, N. Lumbar transforaminal injection of corticosteroids. In International Spine Intervention Society Practice Guidelines for Spinal Diagnostic and Treatment Procedures; International Spinal Intervention Society: San Francisco, CA, USA, 2004; p. 187. [Google Scholar]
- Lake, J.K.; Power, C.; Cole, T.J. Back pain and obesity in the 1958 British birth cohort: Cause or effect? J. Clin. Epidemiol. 2000, 53, 245–250. [Google Scholar] [CrossRef]
- Fanuele, J.C.; Abdu, W.A.; Hanscom, B.; Weinstein, J.N. Association between obesity and functional status in patients with spine disease. Spine 2002, 27, 306–312. [Google Scholar] [CrossRef]
- Batsis, J.A.; Mackenzie, T.A.; Bartels, S.J.; Sahakyan, K.R.; Somers, V.K.; Lopez-Jimenez, F. Diagnostic accuracy of body mass index to identify obesity in older adults: NHANES 1999-2004. Int. J. Obes. 2016, 40, 761–767. [Google Scholar] [CrossRef] [PubMed]
- Gallagher, D.; Heymsfield, S.B.; Heo, M.; Jebb, S.A.; Murgatroyd, P.R.; Sakamoto, Y. Healthy percentage body fat ranges: An approach for developing guidelines based on body mass index. Am. J. Clin. Nutr. 2000, 72, 694–701. [Google Scholar] [CrossRef] [PubMed]
- Kyle, U.G.; Bosaeus, I.; De Lorenzo, A.D.; Deurenberg, P.; Elia, M.; Manuel Gómez, J.; Lilienthal Heitmann, B.; Kent-Smith, L.; Melchior, J.C.; Pirlich, M.; et al. Bioelectrical impedance analysis-part II: Utilization in clinical practice. Clin. Nutr. 2004, 23, 1430–1453. [Google Scholar] [CrossRef]
- Andreoli, A.; Garaci, F.; Cafarelli, F.P.; Guglielmi, G. Body composition in clinical practice. Eur. J. Radiol. 2016, 85, 1461–1468. [Google Scholar] [CrossRef] [PubMed]
- Roubenoff, R.; Dallal, G.E.; Wilson, P.W. Predicting body fatness: The body mass index vs estimation by bioelectrical impedance. Am. J. Public Health 1995, 85, 726–728. [Google Scholar] [CrossRef]
- Mulasi, U.; Kuchnia, A.J.; Cole, A.J.; Earthman, C.P. Bioimpedance at the bedside: Current applications, limitations, and opportunities. Nutr. Clin. Pract. 2015, 30, 180–193. [Google Scholar] [CrossRef] [PubMed]
- Marcus, R.L.; Addison, O.; Dibble, L.E.; Foreman, K.B.; Morrell, G.; Lastayo, P. Intramuscular adipose tissue, sarcopenia, and mobility function in older individuals. J. Aging Res. 2012, 2012, 629637. [Google Scholar] [CrossRef]
- Goubert, D.; Oosterwijck, J.V.; Meeus, M.; Danneels, L. Structural Changes of Lumbar Muscles in Non-specific Low Back Pain: A Systematic Review. Pain Physician 2016, 19, E985–E1000. [Google Scholar]
- Goubert, D.; De Pauw, R.; Meeus, M.; Willems, T.; Cagnie, B.; Schouppe, S.; Van Oosterwijck, J.; Dhondt, E.; Danneels, L. Lumbar muscle structure and function in chronic versus recurrent low back pain: A cross-sectional study. Spine J. 2017, 17, 1285–1296. [Google Scholar] [CrossRef]
- Shahidi, B.; Hubbard, J.C.; Gibbons, M.C.; Ruoss, S.; Zlomislic, V.; Allen, R.T.; Garfin, S.R.; Ward, S.R. Lumbar multifidus muscle degenerates in individuals with chronic degenerative lumbar spine pathology. J. Orthop. Res. 2017, 35, 2700–2706. [Google Scholar] [CrossRef]
- Chen, L.H.; Weber, K.; Mehrabkhani, S.; Baskaran, S.; Abbass, T.; Macedo, L.G. The effectiveness of weight loss programs for low back pain: A systematic review. BMC Musculoskelet. Disord. 2022, 23, 488. [Google Scholar] [CrossRef]
- Lidar, Z.; Behrbalk, E.; Regev, G.J.; Salame, K.; Keynan, O.; Schweiger, C.; Appelbaum, L.; Levy, Y.; Keidar, A. Intervertebral disc height changes after weight reduction in morbidly obese patients and its effect on quality of life and radicular and low back pain. Spine 2012, 37, 1947–1952. [Google Scholar] [CrossRef]




| Mild/Moderate Disability (n = 29) | Severe Disability (n = 34) | p Value | |
|---|---|---|---|
| Age (years) | 68.0 (63.5–73.0) | 69.5 (60.0–76.0) | 0.879 |
| Sex (M/F) | 14/15 | 11/23 | 0.198 |
| Body weight (kg) | 60.7 ± 10.7 | 63.6 ± 11.9 | 0.301 |
| BMI (kg/m2) | 23.6 ± 2.8 | 25.1 ± 3.2 | 0.053 |
| Underlying metabolic diseases | |||
| Hypertension | 10 (34.5%) | 7 (20.6%) | 0.216 |
| Diabetes mellitus | 5 (17.2%) | 4 (11.8%) | 0.721 |
| Hyperlipidemia | 4 (13.8%) | 3 (8.8%) | 0.694 |
| Radiologic severity of LSS | |||
| Degree of spinal canal stenosis | |||
| Grade A/B/C/D | 14/3/5/2 | 8/7/10/2 | 0.143 |
| Degree of foraminal stenosis | |||
| Mild/Moderate/Severe | 4/6/11 | 0/3/9 | 0.374 |
| Number of stenotic segment | |||
| 1/2/3 or more | 1.5 (1.0–2.0) | 1.0 (1.0–2.0) | 0.605 |
| Duration of symptom (months) | 12.0 (5.3–57.0) | 6.0 (2.0–27.0) | 0.173 |
| Type of analgesic medications | |||
| NSAIDs | 7 (24.1%) | 10 (29.4 %) | 0.638 |
| Acetaminophen/tramadol combinations | 4 (13.8%) | 9 (26.5%) | 0.215 |
| Opioids | 1 (3.4%) | 2 (5.9%) | 1.000 |
| Total ODI score | 26.9 ± 9.8 | 55.6 ± 11.4 | <0.001 * |
| Mild/Moderate Disability (n = 29) | Severe Disability (n = 34) | p Value | |
|---|---|---|---|
| Number of patients | |||
| Male | 14 | 11 | |
| Female | 15 | 23 | |
| BMI (kg/m2) | |||
| Male | 23.8 ± 2.8 | 25.3 ± 2.5 | 0.161 |
| Female | 23.4 ± 2.9 | 25.0 ± 3.5 | 0.149 |
| Body fat mass (kg) | |||
| Male | 10.1 ± 4.8 | 15.4 ± 6.1 | 0.014 * |
| Female | 17.4 ± 8.7 | 21.0 ± 6.0 | 0.237 |
| Percent body fat (%) | |||
| Male | 14.6 ± 6.0 | 23.2 ± 9.4 | 0.016 * |
| Female | 27.4 ± 7.4 | 34.5 ± 6.0 | 0.004 * |
| No. of obese patients (%) † | |||
| Male | 7 (50.0%) | 8 (66.7%) | 0.414 |
| Female | 5 (31.3%) | 16 (73.3%) | 0.028 ‡ |
| Skeletal muscle mass (kg) | |||
| Male | 32.1 ± 3.4 | 30.4 ± 4.7 | 0.320 |
| Female | 20.8 ± 2.8 | 21.1 ± 3.2 | 0.763 |
| Skeletal muscle index (kg/m2) | |||
| Male | 9.3 ± 1.3 | 9.6 ± 0.9 | 0.678 |
| Female | 7.3 ± 1.4 | 7.1 ± 1.0 | 0.624 |
| CSA of psoas (mm2) | |||
| Male | 1147.3 ± 119.8 | 539.9 ± 145.5 | <0.001 * |
| Female | 879.4 ± 219.2 | 619.9 ± 175.1 | 0.020 * |
| CSA of multifidus (mm2) | |||
| Male | 676.0 (540.5–804.1) | 398.3 (324.4–510.6) | <0.001 § |
| Female | 575.1 ± 178.0 | 459.3 ± 93.4 | 0.146 |
| Mild/Moderate Disability (n = 29) | Severe Disability (n = 34) | p Value | |
|---|---|---|---|
| NRS (0–10) at first visit | 6.0 (5.0–7.8) | 7.0 (6.0–8.0) | 0.041 * |
| NRS (0–10) at 4-wks follow-up | 3.2 ± 1.3 | 5.4 ± 2.1 | <0.001 † |
| Pain relief (%) during 4 weeks | 45.1 ± 20.0 | 25.2 ± 4.6 | 0.002 † |
| Number of epidural blocks during 4 weeks | 2.0 (1.0–2.0) | 1.5 (1.0–2.0) | 0.155 |
Disclaimer/Publisher’s Note: The statements, opinions and data contained in all publications are solely those of the individual author(s) and contributor(s) and not of MDPI and/or the editor(s). MDPI and/or the editor(s) disclaim responsibility for any injury to people or property resulting from any ideas, methods, instructions or products referred to in the content. |
© 2023 by the authors. Licensee MDPI, Basel, Switzerland. This article is an open access article distributed under the terms and conditions of the Creative Commons Attribution (CC BY) license (https://creativecommons.org/licenses/by/4.0/).
Share and Cite
Kim, Y.; Lee, C.; Oh, H.; Son, J.-S.; Doo, A. The Effects of Body Composition Characteristics on the Functional Disability in Patients with Degenerative Lumbar Spinal Stenosis. J. Clin. Med. 2023, 12, 612. https://doi.org/10.3390/jcm12020612
Kim Y, Lee C, Oh H, Son J-S, Doo A. The Effects of Body Composition Characteristics on the Functional Disability in Patients with Degenerative Lumbar Spinal Stenosis. Journal of Clinical Medicine. 2023; 12(2):612. https://doi.org/10.3390/jcm12020612
Chicago/Turabian StyleKim, Yesull, Chanhong Lee, Hyunji Oh, Ji-Seon Son, and Aram Doo. 2023. "The Effects of Body Composition Characteristics on the Functional Disability in Patients with Degenerative Lumbar Spinal Stenosis" Journal of Clinical Medicine 12, no. 2: 612. https://doi.org/10.3390/jcm12020612
APA StyleKim, Y., Lee, C., Oh, H., Son, J.-S., & Doo, A. (2023). The Effects of Body Composition Characteristics on the Functional Disability in Patients with Degenerative Lumbar Spinal Stenosis. Journal of Clinical Medicine, 12(2), 612. https://doi.org/10.3390/jcm12020612

