Updates on Emerging Interventions for Autosomal Recessive ABCA4-Associated Stargardt Disease
Abstract
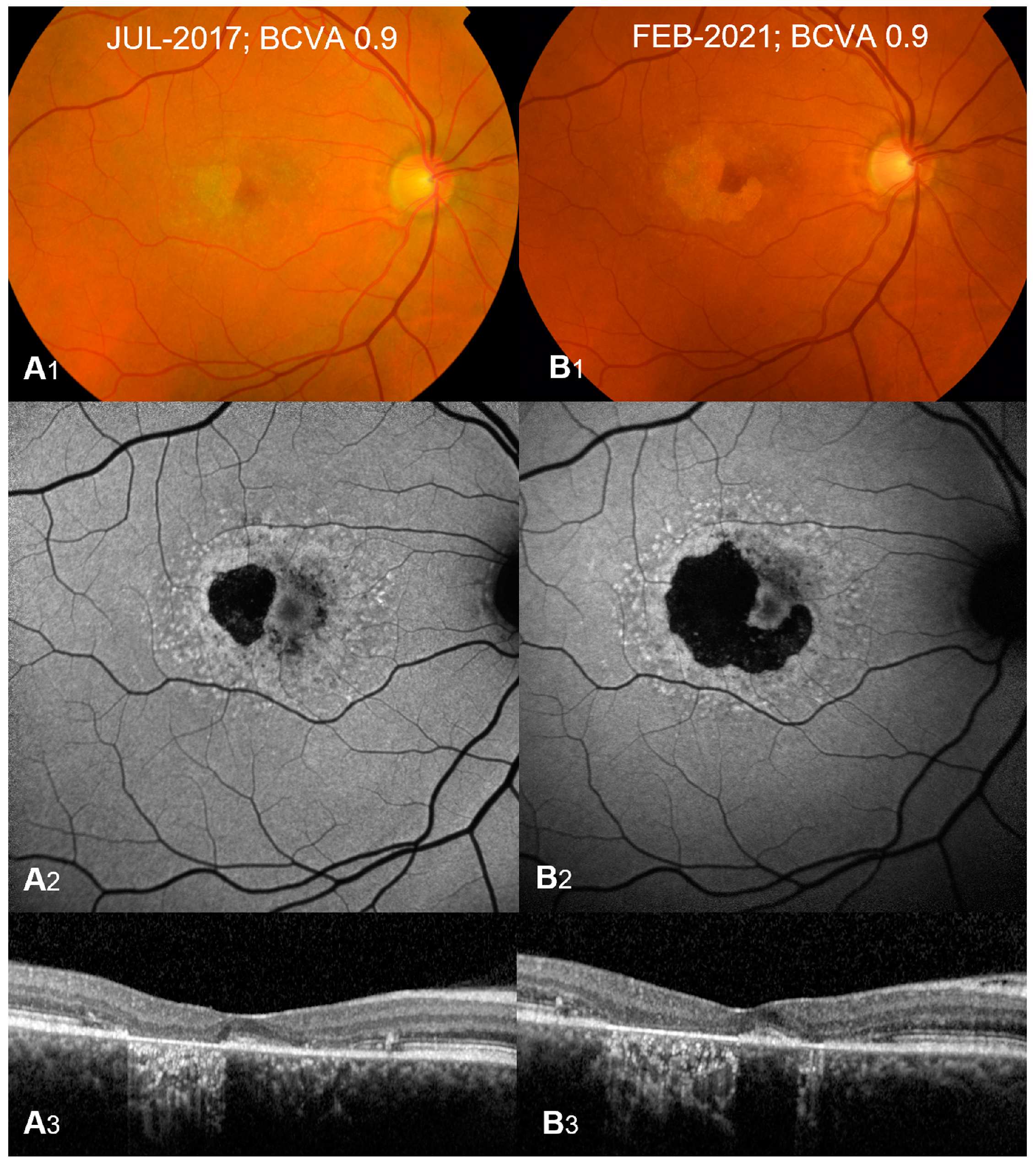
1. Introduction
1.1. Clinical Presentation and Diagnostic Testing
1.2. Genetics
2. Genetic Therapy
2.1. Introduction
2.2. Lentiviral Vectors
2.3. Adeno-Associated Viral Vectors
2.4. Optogenetics
2.5. Non-Viral Delivery via Covalently Closed and Circular DNA (C3DNA)
3. Pharmacological Therapies
3.1. Introduction
3.2. RPE65 Enzyme Inhibition
3.3. Vitamin A Dimerization Inhibition
3.4. RPB4 Antagonists
3.5. Complement C5 Inhibition
3.6. RPE Macroautophagy Stimulation
3.7. Omega-3 Fatty Acids
4. Stem Cell Therapy
4.1. Introduction
4.2. Human Pluripotent Stem Cell-Based RPE
5. Conclusions and Future Directions
Author Contributions
Funding
Institutional Review Board Statement
Informed Consent Statement
Data Availability Statement
Conflicts of Interest
References
- Li, C.H.Z.; Pas, J.; Corradi, Z.; Hitti-Malin, R.J.; Hoogstede, A.; Runhart, E.H.; Dhooge, P.P.A.; Collin, R.W.J.; Cremers, F.P.M.; Hoyng, C.B. Study of Late-Onset Stargardt Type 1 Disease: Characteristics, Genetics and Progression. Ophthalmology 2023, in press. [Google Scholar] [CrossRef] [PubMed]
- Blacharski, P.; Newsome, D. Retinal Dystrophies and Degenerations; Raven Press: New York, NY, USA, 1988; pp. 135–159. [Google Scholar]
- Strauss, R.W.; Ho, A.; Muñoz, B.; Cideciyan, A.V.; Sahel, J.A.; Sunness, J.S.; Birch, D.G.; Bernstein, P.S.; Michaelides, M.; Traboulsi, E.I.; et al. The Natural History of the Progression of Atrophy Secondary to Stargardt Disease (ProgStar) Studies: Design and Baseline Characteristics: ProgStar Report No. 1. Ophthalmology 2016, 123, 817–828. [Google Scholar] [CrossRef] [PubMed]
- Fujinami, K.; Sergouniotis, P.I.; Davidson, A.E.; Wright, G.; Chana, R.K.; Tsunoda, K.; Tsubota, K.; Egan, C.A.; Robson, A.G.; Moore, A.T.; et al. Clinical and molecular analysis of Stargardt disease with preserved foveal structure and function. Am. J. Ophthalmol. 2013, 156, 487–501.e481. [Google Scholar] [CrossRef] [PubMed]
- Fujinami, K.; Zernant, J.; Chana, R.K.; Wright, G.A.; Tsunoda, K.; Ozawa, Y.; Tsubota, K.; Robson, A.G.; Holder, G.E.; Allikmets, R.; et al. Clinical and molecular characteristics of childhood-onset Stargardt disease. Ophthalmology 2015, 122, 326–334. [Google Scholar] [CrossRef]
- Cornelis, S.; Cremers, F. The ABCA4 Gene Homepage Leiden Open Variation Database. Available online: https://databases.lovd.nl/shared/genes/ABCA4 (accessed on 18 September 2023).
- Collison, F.T.; Lee, W.; Fishman, G.A.; Park, J.C.; Zernant, J.; McAnany, J.J.; Allikmets, R. Clinical characterization of Stargardt disease patients with the p.N1868I ABCA4 mutation. Retina 2019, 39, 2311–2325. [Google Scholar] [CrossRef] [PubMed]
- Lenis, T.L.; Hu, J.; Ng, S.Y.; Jiang, Z.; Sarfare, S.; Lloyd, M.B.; Esposito, N.J.; Samuel, W.; Jaworski, C.; Bok, D.; et al. Expression of ABCA4 in the retinal pigment epithelium and its implications for Stargardt macular degeneration. Proc. Natl. Acad. Sci. USA 2018, 115, E11120–E11127. [Google Scholar] [CrossRef]
- Allikmets, R.; Shroyer, N.F.; Singh, N.; Seddon, J.M.; Lewis, R.A.; Bernstein, P.S.; Peiffer, A.; Zabriskie, N.A.; Li, Y.; Hutchinson, A.; et al. Mutation of the Stargardt disease gene (ABCR) in age-related macular degeneration. Science 1997, 277, 1805–1807. [Google Scholar] [CrossRef]
- Fujinami, K.; Lois, N.; Mukherjee, R.; McBain, V.A.; Tsunoda, K.; Tsubota, K.; Stone, E.M.; Fitzke, F.W.; Bunce, C.; Moore, A.T.; et al. A longitudinal study of Stargardt disease: Quantitative assessment of fundus autofluorescence, progression, and genotype correlations. Investig. Ophthalmol. Vis. Sci. 2013, 54, 8181–8190. [Google Scholar] [CrossRef]
- Bax, N.M.; Lambertus, S.; Cremers, F.P.M.; Klevering, B.J.; Hoyng, C.B. The absence of fundus abnormalities in Stargardt disease. Graefes Arch. Clin. Exp. Ophthalmol. 2019, 257, 1147–1157. [Google Scholar] [CrossRef]
- Strauss, R.W.; Muñoz, B.; Wolfson, Y.; Sophie, R.; Fletcher, E.; Bittencourt, M.G.; Scholl, H.P. Assessment of estimated retinal atrophy progression in Stargardt macular dystrophy using spectral-domain optical coherence tomography. Br. J. Ophthalmol. 2016, 100, 956–962. [Google Scholar] [CrossRef]
- Lois, N.; Holder, G.E.; Bunce, C.; Fitzke, F.W.; Bird, A.C. Phenotypic subtypes of Stargardt macular dystrophy-fundus flavimaculatus. Arch. Ophthalmol. 2001, 119, 359–369. [Google Scholar] [CrossRef]
- Burke, T.R.; Yzer, S.; Zernant, J.; Smith, R.T.; Tsang, S.H.; Allikmets, R. Abnormality in the external limiting membrane in early Stargardt disease. Ophthalmic Genet. 2013, 34, 75–77. [Google Scholar] [CrossRef] [PubMed]
- Westeneng-van Haaften, S.C.; Boon, C.J.; Cremers, F.P.; Hoefsloot, L.H.; den Hollander, A.I.; Hoyng, C.B. Clinical and genetic characteristics of late-onset Stargardt’s disease. Ophthalmology 2012, 119, 1199–1210. [Google Scholar] [CrossRef] [PubMed]
- Quazi, F.; Lenevich, S.; Molday, R.S. ABCA4 is an N-retinylidene-phosphatidylethanolamine and phosphatidylethanolamine importer. Nat. Commun. 2012, 3, 925. [Google Scholar] [CrossRef]
- Weng, J.; Mata, N.L.; Azarian, S.M.; Tzekov, R.T.; Birch, D.G.; Travis, G.H. Insights into the function of Rim protein in photoreceptors and etiology of Stargardt’s disease from the phenotype in abcr knockout mice. Cell 1999, 98, 13–23. [Google Scholar] [CrossRef]
- Agbaga, M.P.; Tam, B.M.; Wong, J.S.; Yang, L.L.; Anderson, R.E.; Moritz, O.L. Mutant ELOVL4 that causes autosomal dominant stargardt-3 macular dystrophy is misrouted to rod outer segment disks. Investig. Ophthalmol. Vis. Sci. 2014, 55, 3669–3680. [Google Scholar] [CrossRef][Green Version]
- Paavo, M.; Lee, W.; Parmann, R.; Lima de Carvalho, J.R., Jr.; Zernant, J.; Tsang, S.H.; Allikmets, R.; Sparrow, J.R. Insights Into PROM1-Macular Disease Using Multimodal Imaging. Investig. Ophthalmol. Vis. Sci. 2023, 64, 27. [Google Scholar] [CrossRef] [PubMed]
- STGD2 Stargardt Disease 2 (Autosomal Dominant) [Homo Sapiens (Human)] Gene ID: 6784, Discontinued on 10 May 2005. Available online: https://www.ncbi.nlm.nih.gov/gene/6784 (accessed on 18 September 2023).
- Piotter, E.; McClements, M.E.; MacLaren, R.E. The Scope of Pathogenic ABCA4 Mutations Targetable by CRISPR DNA Base Editing Systems-A Systematic Review. Front. Genet. 2021, 12, 814131. [Google Scholar] [CrossRef]
- Shen, J.; Kim, J.; Tzeng, S.Y.; Ding, K.; Hafiz, Z.; Long, D.; Wang, J.; Green, J.J.; Campochiaro, P.A. Suprachoroidal gene transfer with nonviral nanoparticles. Sci. Adv. 2020, 6, eaba1606. [Google Scholar] [CrossRef]
- Hutton, D. Spotlight—Geographic Atrophy: Intergalactic Therapeutics Announces Positive Preclinical Results of Its Non-Viral Gene Therapy Platform in ABCA4 Retinopathies. Available online: https://www.modernretina.com/view/intergalactic-therapeutics-announces-positive-preclinical-results-of-its-non-viral-gene-therapy-platform-in-abca4-retinopathies (accessed on 1 September 2023).
- Parker, M.A.; Erker, L.R.; Audo, I.; Choi, D.; Mohand-Said, S.; Sestakauskas, K.; Benoit, P.; Appelqvist, T.; Krahmer, M.; Segaut-Prevost, C.; et al. Three-Year Safety Results of SAR422459 (EIAV-ABCA4) Gene Therapy in Patients with ABCA4-Associated Stargardt Disease: An Open-Label Dose-Escalation Phase I/IIa Clinical Trial, Cohorts 1-5. Am. J. Ophthalmol. 2022, 240, 285–301. [Google Scholar] [CrossRef]
- Puppo, A.; Cesi, G.; Marrocco, E.; Piccolo, P.; Jacca, S.; Shayakhmetov, D.M.; Parks, R.J.; Davidson, B.L.; Colloca, S.; Brunetti-Pierri, N.; et al. Retinal transduction profiles by high-capacity viral vectors. Gene Ther. 2014, 21, 855–865. [Google Scholar] [CrossRef] [PubMed]
- Wu, Z.; Yang, H.; Colosi, P. Effect of genome size on AAV vector packaging. Mol. Ther. 2010, 18, 80–86. [Google Scholar] [CrossRef] [PubMed]
- Allocca, M.; Doria, M.; Petrillo, M.; Colella, P.; Garcia-Hoyos, M.; Gibbs, D.; Kim, S.R.; Maguire, A.; Rex, T.S.; Di Vicino, U.; et al. Serotype-dependent packaging of large genes in adeno-associated viral vectors results in effective gene delivery in mice. J. Clin. Investig. 2008, 118, 1955–1964. [Google Scholar] [CrossRef]
- Trapani, I.; Colella, P.; Sommella, A.; Iodice, C.; Cesi, G.; de Simone, S.; Marrocco, E.; Rossi, S.; Giunti, M.; Palfi, A.; et al. Effective delivery of large genes to the retina by dual AAV vectors. EMBO Mol. Med. 2014, 6, 194–211. [Google Scholar] [CrossRef]
- Colella, P.; Trapani, I.; Cesi, G.; Sommella, A.; Manfredi, A.; Puppo, A.; Iodice, C.; Rossi, S.; Simonelli, F.; Giunti, M.; et al. Efficient gene delivery to the cone-enriched pig retina by dual AAV vectors. Gene Ther. 2014, 21, 450–456. [Google Scholar] [CrossRef] [PubMed]
- Hutton, D. ASGCT 2023: Abeona Therapeutics Announces Preclinical Data from Its AAV Ophthalmology Program. Available online: https://www.ophthalmologytimes.com/view/asgct-2023-abeona-therapeutics-announces-preclinical-data-from-its-aav-ophthalmology-program (accessed on 1 July 2023).
- Pipeline. Available online: https://www.abeonatherapeutics.com/science#pipeline-3762-description (accessed on 1 July 2023).
- Xu, C.M. ViGeneron Presents Preclinical Data on Intravitreal Gene Therapy of Stargardt Disease at ESGCT. Available online: https://vigeneron.com/press/vigeneron-presents-preclinical-data-on-intravitreal-gene-therapy-of-stargardt-disease-at-esgct/ (accessed on 1 July 2023).
- Akula, M.; McNamee, S.; Chan, N.P.M.; DeAngelis, M.M.; Haider, N.B. RORA Modifier Gene Therapy Rescues Retinal Degeneration in a Juvenile AMD Mouse Model of Stargardt Disease. Investig. Ophthalmol. Vis. Sci. 2023, 64, 3842. [Google Scholar]
- Hamilton, T.U.S. Food & Drug Administration (Fda) Grants Orphan Drug Designation to Ocu410st for the Treatment of Abca4-Associated Retinopathies Including Stargardt, RP19 and Cord3. Available online: https://ir.ocugen.com/news-releases/news-release-details/ocugen-announces-ocu410st-receives-orphan-drug-designation/ (accessed on 1 July 2023).
- Ray Therapeutics Secures $100 Million in Funding for Optogenetic Gene Therapy Programs. Available online: https://glance.eyesoneyecare.com/stories/2023-06-30/arvo-names-2023-2024-president-elect/?utm_medium=eoe:infinite-scroll (accessed on 1 July 2023).
- Pipeline: Addressing a Range of Degenerative Retinal Diseases—Other Inherited Retinal Degeneration. Available online: https://raytherapeutics.com/pipeline/ (accessed on 1 July 2023).
- Ho, A.C. MCO-010 Optogenetic Therapy for Severe Vision Loss in Stargardt Disease: 6-Month Outcomes from the Phase 2 STARLIGHT Trial. In Proceedings of the 2023 American Society of Retina Specialists Meeting, Seattle, WA, USA, 28 July–1 August 2023. [Google Scholar]
- Therapeutics, N. Nanoscope Therapeutics Unveils Clinical Trial Results for MCO-010 in Treating Stargardt Disease. Available online: https://www.prnewswire.com/news-releases/nanoscope-therapeutics-unveils-clinical-trial-results-for-mco-010-in-treating-stargardt-disease-301896754.html (accessed on 1 September 2023).
- Hutton, D. Intergalactic Therapeutics Announces Positive Results for Its Non-Viral Gene Therapy Platform in ABCA4 Retinopathies in Non-Human Primates. Available online: https://www.ophthalmologytimes.com/view/intergalactic-therapeutics-announces-positive-results-for-its-non-viral-gene-therapy-platform-in-abca4-retinopathies-in-non-human-primates (accessed on 1 July 2023).
- C3DNA—Covalently Closed and Circular DNA—Is Intergalactic’s Versatile Non-Viral Cargo Platform. Available online: https://intergalactictx.com/science-and-technology/ (accessed on 1 July 2023).
- Intergalactic Therapeutics Announces Positive Preclinical Results of Its Non-Viral Gene Therapy Platform in ABCA4 Retinopathies. Available online: https://www.prnewswire.com/news-releases/intergalactic-therapeutics-announces-positive-preclinical-results-of-its-non-viral-gene-therapy-platform-in-abca4-retinopathies-301772407.html (accessed on 1 July 2023).
- Kubota, R.; Boman, N.L.; David, R.; Mallikaarjun, S.; Patil, S.; Birch, D. Safety and effect on rod function of ACU-4429, a novel small-molecule visual cycle modulator. Retina 2012, 32, 183–188. [Google Scholar] [CrossRef]
- Kubota, R.; Birch, D.G.; Gregory, J.K.; Koester, J.M. Randomised study evaluating the pharmacodynamics of emixustat hydrochloride in subjects with macular atrophy secondary to Stargardt disease. Br. J. Ophthalmol. 2022, 106, 403–408. [Google Scholar] [CrossRef]
- Chen, C.; Kono, M.; Koutalos, Y. Photooxidation mediated by 11-cis and all-trans retinal in single isolated mouse rod photoreceptors. Photochem. Photobiol. Sci. 2020, 19, 1300–1307. [Google Scholar] [CrossRef]
- Golczak, M.; Maeda, A.; Bereta, G.; Maeda, T.; Kiser, P.D.; Hunzelmann, S.; von Lintig, J.; Blaner, W.S.; Palczewski, K. Metabolic basis of visual cycle inhibition by retinoid and nonretinoid compounds in the vertebrate retina. J. Biol. Chem. 2008, 283, 9543–9554. [Google Scholar] [CrossRef]
- Nicoletti, A.; Wong, D.J.; Kawase, K.; Gibson, L.H.; Yang-Feng, T.L.; Richards, J.E.; Thompson, D.A. Molecular characterization of the human gene encoding an abundant 61 kDa protein specific to the retinal pigment epithelium. Hum. Mol. Genet. 1995, 4, 641–649. [Google Scholar] [CrossRef]
- Redmond, T.M.; Yu, S.; Lee, E.; Bok, D.; Hamasaki, D.; Chen, N.; Goletz, P.; Ma, J.X.; Crouch, R.K.; Pfeifer, K. Rpe65 is necessary for production of 11-cis-vitamin A in the retinal visual cycle. Nat. Genet. 1998, 20, 344–351. [Google Scholar] [CrossRef]
- Bavik, C.; Henry, S.H.; Zhang, Y.; Mitts, K.; McGinn, T.; Budzynski, E.; Pashko, A.; Lieu, K.L.; Zhong, S.; Blumberg, B.; et al. Visual Cycle Modulation as an Approach toward Preservation of Retinal Integrity. PLoS ONE 2015, 10, e0124940. [Google Scholar] [CrossRef]
- Rosenfeld, P.J.; Dugel, P.U.; Holz, F.G.; Heier, J.S.; Pearlman, J.A.; Novack, R.L.; Csaky, K.G.; Koester, J.M.; Gregory, J.K.; Kubota, R. Emixustat Hydrochloride for Geographic Atrophy Secondary to Age-Related Macular Degeneration: A Randomized Clinical Trial. Ophthalmology 2018, 125, 1556–1567. [Google Scholar] [CrossRef]
- Yeong, J.L.; Loveman, E.; Colquitt, J.L.; Royle, P.; Waugh, N.; Lois, N. Visual cycle modulators versus placebo or observation for the prevention and treatment of geographic atrophy due to age-related macular degeneration. Cochrane Database Syst. Rev. 2020, 12, CD013154. [Google Scholar] [CrossRef]
- Fukai, M. Kubota Vision Announces Positive Post Hoc Analysis from Phase 3 Clinical Trial of Emixustat in Patients with Stargardt Disease. Available online: https://www.businesswire.com/news/home/20221003005323/en/Kubota-Vision-Announces-Positive-Post-Hoc-Analysis-from-Phase-3-Clinical-Trial-of-Emixustat-in-Patients-with-Stargardt-Disease (accessed on 1 July 2023).
- Kaufman, Y.; Ma, L.; Washington, I. Deuterium enrichment of vitamin A at the C20 position slows the formation of detrimental vitamin A dimers in wild-type rodents. J. Biol. Chem. 2011, 286, 7958–7965. [Google Scholar] [CrossRef]
- Ma, L.; Kaufman, Y.; Zhang, J.; Washington, I. C20-D3-vitamin A slows lipofuscin accumulation and electrophysiological retinal degeneration in a mouse model of Stargardt disease. J. Biol. Chem. 2011, 286, 7966–7974. [Google Scholar] [CrossRef] [PubMed]
- Charbel Issa, P.; Barnard, A.R.; Herrmann, P.; Washington, I.; MacLaren, R.E. Rescue of the Stargardt phenotype in Abca4 knockout mice through inhibition of vitamin A dimerization. Proc. Natl. Acad. Sci. USA 2015, 112, 8415–8420. [Google Scholar] [CrossRef]
- Scholl, H.P.; DeBartolomeo, G.; Washington, I.; Saad, L. ALK-001 (C20-D3-Vitamin A) slows the growth of atrophic lesions in ABCA4-related Stargardt Disease: Results of a Phase 2 placebo-controlled clinical trial (TEASE study). Investig. Ophthalmol. Vis. Sci. 2022, 63, 38. [Google Scholar]
- Dobri, N.; Qin, Q.; Kong, J.; Yamamoto, K.; Liu, Z.; Moiseyev, G.; Ma, J.X.; Allikmets, R.; Sparrow, J.R.; Petrukhin, K. A1120, a nonretinoid RBP4 antagonist, inhibits formation of cytotoxic bisretinoids in the animal model of enhanced retinal lipofuscinogenesis. Investig. Ophthalmol. Vis. Sci. 2013, 54, 85–95. [Google Scholar] [CrossRef] [PubMed]
- Maeda, A.; Golczak, M.; Chen, Y.; Okano, K.; Kohno, H.; Shiose, S.; Ishikawa, K.; Harte, W.; Palczewska, G.; Maeda, T.; et al. Primary amines protect against retinal degeneration in mouse models of retinopathies. Nat. Chem. Biol. 2011, 8, 170–178. [Google Scholar] [CrossRef] [PubMed]
- Chen, Y.; Okano, K.; Maeda, T.; Chauhan, V.; Golczak, M.; Maeda, A.; Palczewski, K. Mechanism of all-trans-retinal toxicity with implications for stargardt disease and age-related macular degeneration. J. Biol. Chem. 2012, 287, 5059–5069. [Google Scholar] [CrossRef]
- Radu, R.A.; Han, Y.; Bui, T.V.; Nusinowitz, S.; Bok, D.; Lichter, J.; Widder, K.; Travis, G.H.; Mata, N.L. Reductions in serum vitamin A arrest accumulation of toxic retinal fluorophores: A potential therapy for treatment of lipofuscin-based retinal diseases. Investig. Ophthalmol. Vis. Sci. 2005, 46, 4393–4401. [Google Scholar] [CrossRef] [PubMed]
- Mata, N.L.; Lichter, J.B.; Vogel, R.; Han, Y.; Bui, T.V.; Singerman, L.J. Investigation of oral fenretinide for treatment of geographic atrophy in age-related macular degeneration. Retina 2013, 33, 498–507. [Google Scholar] [CrossRef] [PubMed]
- Samuel, W.; Kutty, R.K.; Nagineni, S.; Vijayasarathy, C.; Chandraratna, R.A.; Wiggert, B. N-(4-hydroxyphenyl)retinamide induces apoptosis in human retinal pigment epithelial cells: Retinoic acid receptors regulate apoptosis, reactive oxygen species generation, and the expression of heme oxygenase-1 and Gadd153. J. Cell Physiol. 2006, 209, 854–865. [Google Scholar] [CrossRef]
- Ohlmann, C.H.; Jung, C.; Jaques, G. Is growth inhibition and induction of apoptosis in lung cancer cell lines by fenretinide [N-(4-hydroxyphenyl)retinamide] sufficient for cancer therapy? Int. J. Cancer 2002, 100, 520–526. [Google Scholar] [CrossRef]
- Zhou, J.; Jang, Y.P.; Kim, S.R.; Sparrow, J.R. Complement activation by photooxidation products of A2E, a lipofuscin constituent of the retinal pigment epithelium. Proc. Natl. Acad. Sci. USA 2006, 103, 16182–16187. [Google Scholar] [CrossRef]
- Jaffe, G.J.; Westby, K.; Csaky, K.G.; Mones, J.; Pearlman, J.A.; Patel, S.S.; Joondeph, B.C.; Randolph, J.; Masonson, H.; Rezaei, K.A. C5 Inhibitor Avacincaptad Pegol for Geographic Atrophy Due to Age-Related Macular Degeneration: A Randomized Pivotal Phase 2/3 Trial. Ophthalmology 2021, 128, 576–586. [Google Scholar] [CrossRef] [PubMed]
- Radu, R.A.; Hu, J.; Yuan, Q.; Welch, D.L.; Makshanoff, J.; Lloyd, M.; McMullen, S.; Travis, G.H.; Bok, D. Complement system dysregulation and inflammation in the retinal pigment epithelium of a mouse model for Stargardt macular degeneration. J. Biol. Chem. 2011, 286, 18593–18601. [Google Scholar] [CrossRef]
- Patel, S.S.; Lally, D.R.; Hsu, J.; Wykoff, C.C.; Eichenbaum, D.; Heier, J.S.; Jaffe, G.J.; Westby, K.; Desai, D.; Zhu, L.; et al. Avacincaptad pegol for geographic atrophy secondary to age-related macular degeneration: 18-month findings from the GATHER1 trial. Eye 2023, 1–7. [Google Scholar] [CrossRef]
- DeFronzo, R.A.; Goodman, A.M. Efficacy of metformin in patients with non-insulin-dependent diabetes mellitus. The Multicenter Metformin Study Group. N. Engl. J. Med. 1995, 333, 541–549. [Google Scholar] [CrossRef]
- Gao, C.; Fang, L.; Zhang, H.; Zhang, W.S.; Li, X.O.; Du, S.Y. Metformin Induces Autophagy via the AMPK-mTOR Signaling Pathway in Human Hepatocellular Carcinoma Cells. Cancer Manag. Res. 2020, 12, 5803–5811. [Google Scholar] [CrossRef] [PubMed]
- Zhao, X.; Liu, L.; Jiang, Y.; Silva, M.; Zhen, X.; Zheng, W. Protective Effect of Metformin against Hydrogen Peroxide-Induced Oxidative Damage in Human Retinal Pigment Epithelial (RPE) Cells by Enhancing Autophagy through Activation of AMPK Pathway. Oxidative Med. Cell. Longev. 2020, 2020, 2524174. [Google Scholar] [CrossRef] [PubMed]
- Intartaglia, D.; Giamundo, G.; Conte, I. Autophagy in the retinal pigment epithelium: A new vision and future challenges. FEBS J. 2022, 289, 7199–7212. [Google Scholar] [CrossRef]
- Chen, C.-L.; Chen, Y.-H.; Liang, C.-M.; Tai, M.-C.; Lu, D.-W.; Chen, J.-T. Glucosamine-Induced Autophagy through AMPK–mTOR Pathway Attenuates Lipofuscin-Like Autofluorescence in Human Retinal Pigment Epithelial Cells In Vitro. Int. J. Mol. Sci. 2018, 19, 1416. [Google Scholar] [CrossRef] [PubMed]
- Farnoodian, M.; Barone, F.; Boyle, M.; Gupta, R.; Nelson, L.M.; Bose, D.A.; Jun, B.; Gordon, W.C.; Do, K.V.; Guerin, M.-A.K. Metformin Attenuates the Hallmarks of Stargardt Disease. Investig. Ophthalmol. Vis. Sci. 2023, 64, 476. [Google Scholar]
- Prokopiou, E.; Kolovos, P.; Kalogerou, M.; Neokleous, A.; Nicolaou, O.; Sokratous, K.; Kyriacou, K.; Georgiou, T. Omega-3 Fatty Acids Supplementation: Therapeutic Potential in a Mouse Model of Stargardt Disease. Investig. Ophthalmol. Vis. Sci. 2018, 59, 2757–2767. [Google Scholar] [CrossRef] [PubMed]
- Young, R.W. The renewal of photoreceptor cell outer segments. J. Cell Biol. 1967, 33, 61–72. [Google Scholar] [CrossRef]
- Huber, T.; Rajamoorthi, K.; Kurze, V.F.; Beyer, K.; Brown, M.F. Structure of docosahexaenoic acid-containing phospholipid bilayers as studied by (2)H NMR and molecular dynamics simulations. J. Am. Chem. Soc. 2002, 124, 298–309. [Google Scholar] [CrossRef]
- Acar, N.; Bonhomme, B.; Joffre, C.; Bron, A.M.; Creuzot-Garcher, C.; Bretillon, L.; Doly, M.; Chardigny, J.M. The retina is more susceptible than the brain and the liver to the incorporation of trans isomers of DHA in rats consuming trans isomers of alpha-linolenic acid. Reprod. Nutr. Dev. 2006, 46, 515–525. [Google Scholar] [CrossRef][Green Version]
- Prokopiou, E.; Kolovos, P.; Georgiou, C.; Kalogerou, M.; Potamiti, L.; Sokratous, K.; Kyriacou, K.; Georgiou, T. Omega-3 fatty acids supplementation protects the retina from age-associated degeneration in aged C57BL/6J mice. BMJ Open Ophthalmol. 2019, 4, e000326. [Google Scholar] [CrossRef] [PubMed]
- Schnebelen, C.; Viau, S.; Grégoire, S.; Joffre, C.; Creuzot-Garcher, C.P.; Bron, A.M.; Bretillon, L.; Acar, N. Nutrition for the eye: Different susceptibility of the retina and the lacrimal gland to dietary omega-6 and omega-3 polyunsaturated fatty acid incorporation. Ophthalmic Res. 2009, 41, 216–224. [Google Scholar] [CrossRef] [PubMed]
- MacDonald, I.M.; Sieving, P.A. Investigation of the effect of dietary docosahexaenoic acid (DHA) supplementation on macular function in subjects with autosomal recessive Stargardt macular dystrophy. Ophthalmic Genet. 2018, 39, 477–486. [Google Scholar] [CrossRef]
- Choi, R.; Gorusupudi, A.; Bernstein, P.S. Long-term follow-up of autosomal dominant Stargardt macular dystrophy (STGD3) subjects enrolled in a fish oil supplement interventional trial. Ophthalmic Genet. 2018, 39, 307–313. [Google Scholar] [CrossRef]
- Ophthalmos Institute Reports Positive Efficacy Data from the MADEOS Study on Dry Macular Degeneration and Stargardt Disease—Publications. Available online: https://eyetas.com/ophthalmos-institute-reports-positive-efficacy-data-from-the-madeos-study-on-dry-macular-degeneration-and-stargardt-disease-publications/ (accessed on 1 July 2023).
- Schwartz, S.D.; Regillo, C.D.; Lam, B.L.; Eliott, D.; Rosenfeld, P.J.; Gregori, N.Z.; Hubschman, J.P.; Davis, J.L.; Heilwell, G.; Spirn, M.; et al. Human embryonic stem cell-derived retinal pigment epithelium in patients with age-related macular degeneration and Stargardt’s macular dystrophy: Follow-up of two open-label phase 1/2 studies. Lancet 2015, 385, 509–516. [Google Scholar] [CrossRef] [PubMed]
- D’Cruz, P.M.; Yasumura, D.; Weir, J.; Matthes, M.T.; Abderrahim, H.; LaVail, M.M.; Vollrath, D. Mutation of the receptor tyrosine kinase gene Mertk in the retinal dystrophic RCS rat. Hum. Mol. Genet. 2000, 9, 645–651. [Google Scholar] [CrossRef]
- Lu, B.; Malcuit, C.; Wang, S.; Girman, S.; Francis, P.; Lemieux, L.; Lanza, R.; Lund, R. Long-term safety and function of RPE from human embryonic stem cells in preclinical models of macular degeneration. Stem Cells 2009, 27, 2126–2135. [Google Scholar] [CrossRef]
- Schwartz, S.D.; Hubschman, J.P.; Heilwell, G.; Franco-Cardenas, V.; Pan, C.K.; Ostrick, R.M.; Mickunas, E.; Gay, R.; Klimanskaya, I.; Lanza, R. Embryonic stem cell trials for macular degeneration: A preliminary report. Lancet 2012, 379, 713–720. [Google Scholar] [CrossRef]
- Mehat, M.S.; Sundaram, V.; Ripamonti, C.; Robson, A.G.; Smith, A.J.; Borooah, S.; Robinson, M.; Rosenthal, A.N.; Innes, W.; Weleber, R.G.; et al. Transplantation of Human Embryonic Stem Cell-Derived Retinal Pigment Epithelial Cells in Macular Degeneration. Ophthalmology 2018, 125, 1765–1775. [Google Scholar] [CrossRef]
- Sung, Y.; Lee, M.J.; Choi, J.; Jung, S.Y.; Chong, S.Y.; Sung, J.H.; Shim, S.H.; Song, W.K. Long-term safety and tolerability of subretinal transplantation of embryonic stem cell-derived retinal pigment epithelium in Asian Stargardt disease patients. Br. J. Ophthalmol. 2021, 105, 829–837. [Google Scholar] [CrossRef]
- Schwartz, S.D.; Regillo, C.; Lam, B.L.; Eliott, D.; Gregori, N.; Hubschman, J.-P.; Heilweil, G.; Spirn, M.; Maguire, J.; Ostrick, R. Human Embryonic Stem Cell-Derived Retinal Pigment Epithelial Transplantation for Retinal Degenerations: Three-Year Outcomes Data. Investig. Ophthalmol. Vis. Sci. 2018, 59, 5004. [Google Scholar]
- Ciulla, T.A. Seeking Therapies for Stargardt Macular Dystrophy. Available online: https://retinatoday.com/articles/2019-july-aug/seeking-therapies-for-stargardt-macular-dystrophy (accessed on 1 July 2023).
- Lysaght, T.; Kerridge, I.H.; Sipp, D.; Porter, G.; Capps, B.J. Ethical and Regulatory Challenges with Autologous Adult Stem Cells: A Comparative Review of International Regulations. J. Bioethical Inq. 2017, 14, 261–273. [Google Scholar] [CrossRef] [PubMed]
- Collee, C.M.; Jalkh, A.E.; Weiter, J.J.; Friedman, G.R. Visual improvement with low vision aids in Stargardt’s disease. Ophthalmology 1985, 92, 1657–1659. [Google Scholar] [CrossRef] [PubMed]
- Radu, R.A.; Yuan, Q.; Hu, J.; Peng, J.H.; Lloyd, M.; Nusinowitz, S.; Bok, D.; Travis, G.H. Accelerated accumulation of lipofuscin pigments in the RPE of a mouse model for ABCA4-mediated retinal dystrophies following Vitamin A supplementation. Investig. Ophthalmol. Vis. Sci. 2008, 49, 3821–3829. [Google Scholar] [CrossRef]


| Treatment | Indication | Mechanism of Action | Sponsor | Stage | Results * |
|---|---|---|---|---|---|
| A. Genetic Therapy | |||||
| SAR422459 (EIAV-ABCA4) | STGD1 | Lentiviral vector carrying normal coding sequence of human ABCA4 cDNA | Sanofi, Paris France | Phase ½ (Initiated 2012) NCT01736592 | No clinically significant vision changes or EZ line loss in 22 patients; six (27%) developed worsening RPE atrophy |
| ABO-504 | STGD1 | Dual AAV vector with full-length ABCA4 gene | Abeona Therapeutics, Cleveland, OH, USA | Preclinical: ABCA4−/− KO mice | Generate ABCA4 mRNA and protein in retinal tissue |
| VG-801 | STGD1 | Dual AAV vector for split genes encoding 5′ and 3′ parts of human ABCA4 | ViGeneron, Planegg, Germany | Preclinical: Stargardt mouse model | General full-length ABCA4 protein |
| OCU-410ST | ABCA4-related retinopathies | AAV5-hRORA vector for retinal delivery of human RORA gene | Ocugen, Malvern, PA, USA | Preclinical, ABCA4−/− KO mice, Phase 1/2 planned for 2023 | Encode hRORA, decreased AF values and higher scotopic b-wave amplitude with greater recovery post-photobleaching |
| RTx-015 | Retinitis pigmentosa, STGD | AAV vector | Ray Therapeutics, San Francisco, CA, USA | Preclinical | Unknown |
| MCO-010 | STGD (due to ABCA4, ELOVL4, or PROM 1) | Optogenetics via AAV vector carrying ambient light activatable MCO protein gene expression cassette | Nanoscope Therapeutics Inc., Dallas, TX, USA | Phase 2a (Initiated 2022) NCT05417126 | 3 dB gain in mean visual field perimetry and no adverse events in 6 patients |
| IG-002 | ABCA4-related retinopathies | Full-length ABCA4 DNA with non-viral delivery through C3DNA platform | Intergalactic Therapeutics, Cambridge, MA, USA | Preclinical: in vitro RPE model | Sustained (12-month) expression of ABCA4 protein in adult porcine retinas following a single sub-retinal administration |
| B. Pharmacological | |||||
| Emixustat Hydrochloride | STGD1 | RPE65 enzyme inhibitor to decrease formation of 11-cis-retinal, which ultimately reduces the accumulation of lipofuscin in RPE | Kubota Vision Inc., Tokyo, Japan | Phase 3 (Completed 2022) NCT03772665 | 194 subjects showed no change in macular atrophy growth, post hoc analyses in subgroup of 55 with smaller atrophic lesions at baseline showed 40.8% reduction in lesion progression after 2 years |
| ALK-001 | STGD1 | Deuterated vitamin A molecule that inhibits vitamin A dimerization | Alkeus Pharmaceuticals, Inc., Cambridge, MA, USA | Phase 2 (Initiated 2020) NCT04239625 | Atrophic lesion growth rate significantly slower (21–28% decrease) in 50 patients after 2 years; no clinically significant changes in BCVA |
| STG-001 | STGD1 | Antagonist of serum non-retinoid RPB4 | Stargazer Pharmaceuticals, Inc., Boston, MA, USA | Phase 2a (Completed 2021) NCT04489511 | No reported serious adverse events despite some reported visual disturbances in 10 subjects |
| Tinlarebant | STGD1, dry AMD | Antagonist of serum non-retinoid RPB4 | Belite Bio, Inc., San Diego, CA, USA | Phase 3 (Initiated 2022) NCT05244304 | Safety and tolerability of after single and multiple doses in completed Phase 2 |
| Avacincaptad pegol | STGD1 | Complement factor C5 inhibitor | IVERIC bio, Inc., Cranbury, NJ, USA | Phase 2b (Initiated 2018) NCT03364153 | 286 subjects with GA showed reduction of 27% in GA mean growth rate; however, MNV was more frequent in (11.9–15.7%) for completed Phase 2/3 for AMD |
| Metformin hydrochloride | ABCA4 Retinopathy | Increase macroautophagy via mTORC1/AMPK pathway of RPE | National Eye Institute (NEI), Bethesda, MD, USA | Phase ½ (Initiated 2020) NCT04545736 | Decreased lipid and lipofuscin accumulation in RPE/choroid for ABCA4−/− mice |
| Omega-3 Fatty Acids, DHA/EPA | Dry AMD, STGD1 | Generates anti-inflammatory mediators, limit the accumulation of A2E | Ophthalmos Research and Education Institute, Nicosia, Cyprus | Prospective Trial (Completed 2020) NCT03297515 | Six ETDRS letter improvement in 21 patients |
| C. Stem Cell Therapy | |||||
| hESC-RPE | STGD1, AMD | Sub-retinal transplantation of hESC-derived mature RPE cells in suspension to replace/improve health of the host RPE layer | Astellas Institute for Regenerative Medicine, Westborough, MA, USA | Phase 1/2 (Completed 2019) NCT02445612, NCT02941991 | Patches of increased subretinal pigmentation in 92% of eyes with a mean of 4.1 ETDRS letters versus 3.3 ETDRS letters in the untreated eyes at 3 years for 13 STGD1 and 11 AMD patients |
Disclaimer/Publisher’s Note: The statements, opinions and data contained in all publications are solely those of the individual author(s) and contributor(s) and not of MDPI and/or the editor(s). MDPI and/or the editor(s) disclaim responsibility for any injury to people or property resulting from any ideas, methods, instructions or products referred to in the content. |
© 2023 by the authors. Licensee MDPI, Basel, Switzerland. This article is an open access article distributed under the terms and conditions of the Creative Commons Attribution (CC BY) license (https://creativecommons.org/licenses/by/4.0/).
Share and Cite
Wang, L.; Shah, S.M.; Mangwani-Mordani, S.; Gregori, N.Z. Updates on Emerging Interventions for Autosomal Recessive ABCA4-Associated Stargardt Disease. J. Clin. Med. 2023, 12, 6229. https://doi.org/10.3390/jcm12196229
Wang L, Shah SM, Mangwani-Mordani S, Gregori NZ. Updates on Emerging Interventions for Autosomal Recessive ABCA4-Associated Stargardt Disease. Journal of Clinical Medicine. 2023; 12(19):6229. https://doi.org/10.3390/jcm12196229
Chicago/Turabian StyleWang, Liang, Serena M. Shah, Simran Mangwani-Mordani, and Ninel Z. Gregori. 2023. "Updates on Emerging Interventions for Autosomal Recessive ABCA4-Associated Stargardt Disease" Journal of Clinical Medicine 12, no. 19: 6229. https://doi.org/10.3390/jcm12196229
APA StyleWang, L., Shah, S. M., Mangwani-Mordani, S., & Gregori, N. Z. (2023). Updates on Emerging Interventions for Autosomal Recessive ABCA4-Associated Stargardt Disease. Journal of Clinical Medicine, 12(19), 6229. https://doi.org/10.3390/jcm12196229

