Diagnosis of Local Recurrence of Malignant Soft Tissue Tumors after Reconstructive Surgery on MRI
Abstract
1. Introduction
2. Methods and Materials
2.1. Study Design
2.2. Patients
2.3. MRI Protocol
2.4. MRI Interpretation
2.5. Statistical Analysis
3. Results
3.1. Characteristics of the Included Patients and Enhancing Lesions
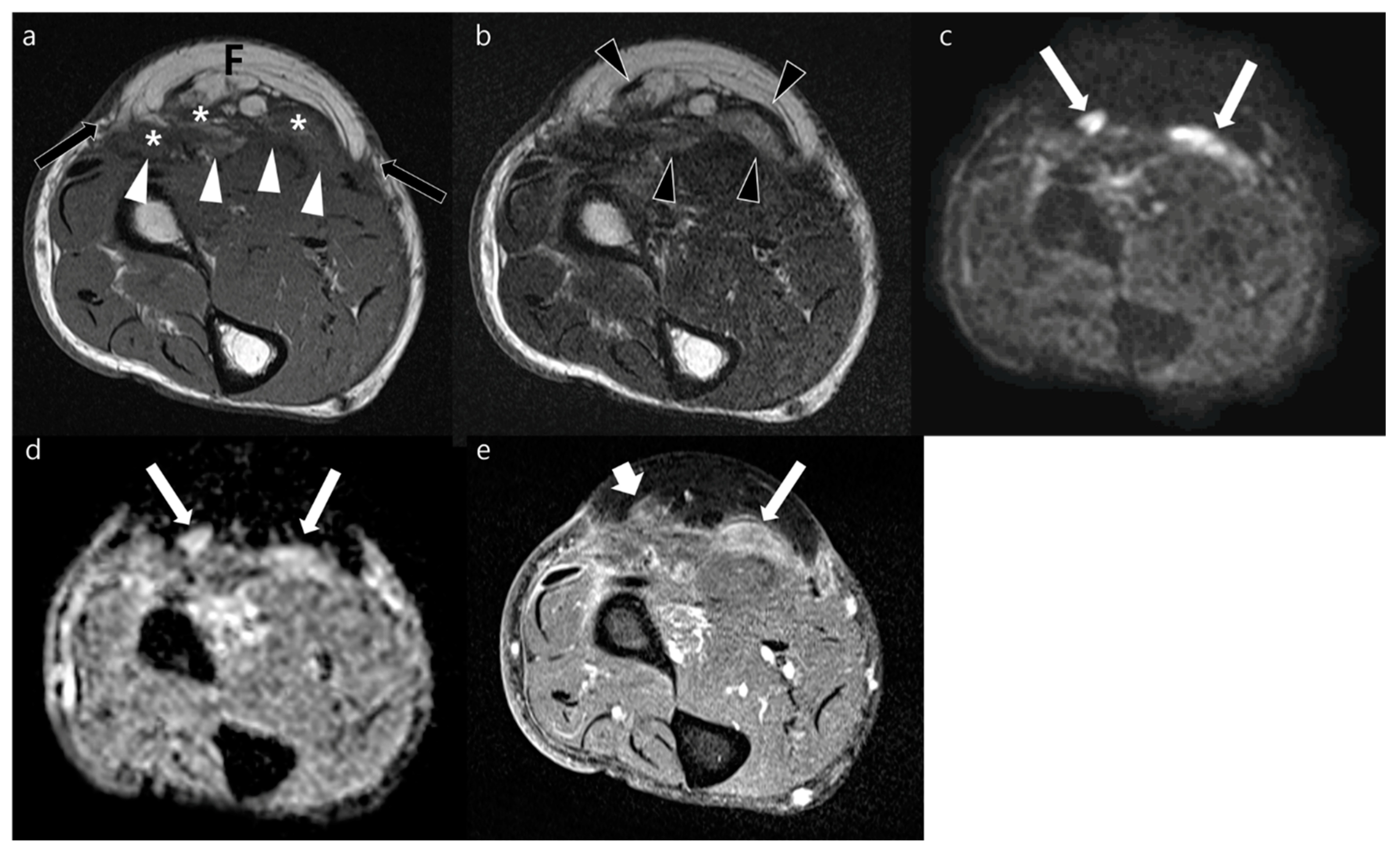
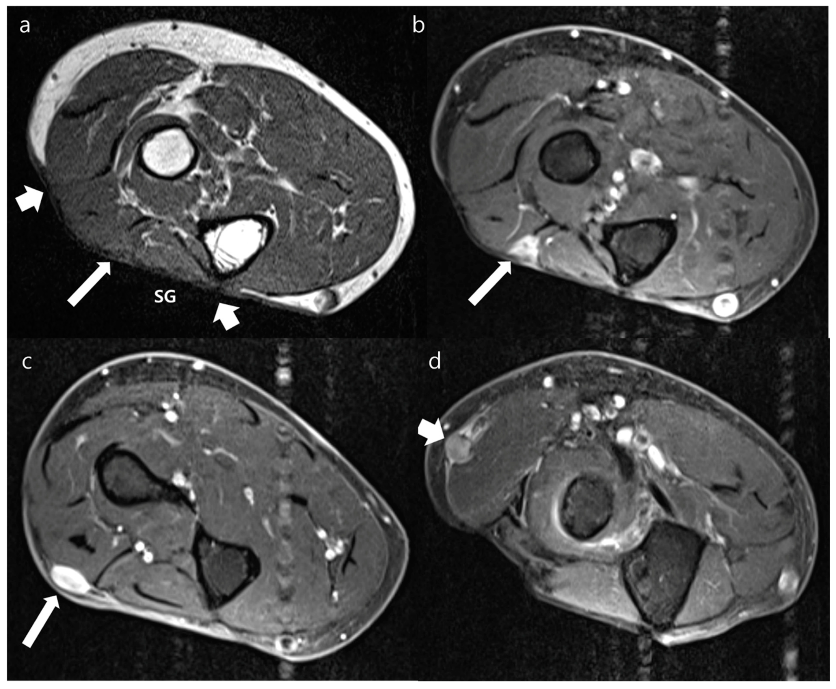
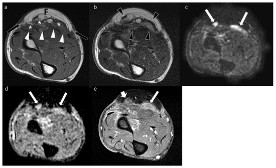
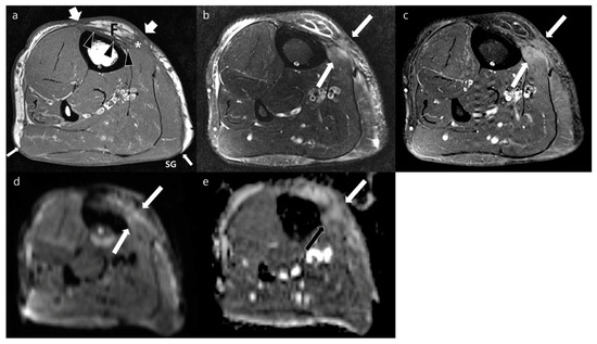
3.2. Morphology of Recurrent Tumors
3.3. MRI Signal Intensity of Recurrent Tumor
3.4. Diagnostic Performance of MRI Features for Diagnosing Local Recurrence
3.5. Post hoc Analysis
4. Discussion
5. Conclusions
Author Contributions
Funding
Institutional Review Board Statement
Informed Consent Statement
Data Availability Statement
Conflicts of Interest
Abbreviations
| ADC | apparent diffusion coefficient |
| CE | contrast-enhanced imaging |
| DWI | diffusion-weighted imaging |
| FS-T2WI | fat-suppressed T2-weighted imaging |
| T1WI | T1-weighted imaging |
| T2WI | T2-weighted imaging |
References
- Suh, H.S.; Lee, J.S.; Hong, J.P. Consideration in lower extremity reconstruction following oncologic surgery: Patient selection, surgical techniques, and outcomes. J. Surg. Oncol. 2016, 113, 955–961. [Google Scholar] [CrossRef] [PubMed]
- Guy, G.P., Jr.; Machlin, S.R.; Ekwueme, D.U.; Yabroff, K.R. Prevalence and costs of skin cancer treatment in the U.S., 2002–2006 and 2007–2011. Am. J. Prev. Med. 2015, 48, 183–187. [Google Scholar] [CrossRef] [PubMed]
- James, S.L.; Davies, A.M. Post-operative imaging of soft tissue sarcomas. Cancer Imaging 2008, 8, 8–18. [Google Scholar] [CrossRef] [PubMed]
- Fujiki, M.; Miyamoto, S.; Kobayashi, E.; Sakuraba, M.; Chuman, H. Early detection of local recurrence after soft tissue sarcoma resection and flap reconstruction. Int. Orthop. 2016, 40, 1975–1980. [Google Scholar] [CrossRef]
- Kwee, R.M.; Kwee, T.C. Diagnostic performance of MRI in detecting locally recurrent soft tissue sarcoma: Systematic review and meta-analysis. Eur. Radiol. 2022, 32, 3915–3930. [Google Scholar] [CrossRef]
- Frobert, P.; Vaucher, R.; Vaz, G.; Gouin, F.; Meeus, P.; Delay, E. The role of reconstructive surgery after soft tissue sarcoma resection. Ann. Chir. Plast. Esthet. 2020, 65, 394–422. [Google Scholar] [CrossRef]
- Xiong, L.; Gazyakan, E.; Kremer, T.; Hernekamp, F.J.; Harhaus, L.; Saint-Cyr, M.; Kneser, U.; Hirche, C. Free flaps for reconstruction of soft tissue defects in lower extremity: A meta-analysis on microsurgical outcome and safety. Microsurgery 2016, 36, 511–524. [Google Scholar] [CrossRef] [PubMed]
- Borgstein, P.J.; Meijer, S.; van Diest, P.J. Are locoregional cutaneous metastases in melanoma predictable? Ann. Surg. Oncol. 1999, 6, 315–321. [Google Scholar] [CrossRef]
- Trovik, C.S. Local recurrence of soft tissue sarcoma. A Scandinavian Sarcoma Group Project. Acta Orthop. Scand. Suppl. 2001, 72, 1–31. [Google Scholar]
- Nori, D.; Schupak, K.; Shiu, M.H.; Brennan, M.F. Role of brachytherapy in recurrent extremity sarcoma in patients treated with prior surgery and irradiation. Int. J. Radiat. Oncol. Biol. Phys. 1991, 20, 1229–1233. [Google Scholar] [CrossRef]
- Gibbs, J.F.; Lee, R.J.; Driscoll, D.L.; McGrath, B.E.; Mindell, E.R.; Kraybill, W.G. Clinical importance of late recurrence in soft-tissue sarcomas. J. Surg. Oncol. 2000, 73, 81–86. [Google Scholar] [CrossRef]
- Eilber, F.C.; Brennan, M.F.; Riedel, E.; Alektiar, K.M.; Antonescu, C.R.; Singer, S. Prognostic factors for survival in patients with locally recurrent extremity soft tissue sarcomas. Ann. Surg. Oncol. 2005, 12, 228–236. [Google Scholar] [CrossRef]
- Hirschmann, A.; van Praag, V.M.; Haas, R.L.; van de Sande, M.A.J.; Bloem, J.L. Can we use MRI to detect clinically silent recurrent soft-tissue sarcoma? Eur. Radiol. 2020, 30, 4724–4733. [Google Scholar] [CrossRef]
- Del Grande, F.; Subhawong, T.; Weber, K.; Aro, M.; Mugera, C.; Fayad, L.M. Detection of soft-tissue sarcoma recurrence: Added value of functional MR imaging techniques at 3.0 T. Radiology 2014, 271, 499–511. [Google Scholar] [CrossRef] [PubMed]
- Lee, S.Y.; Jee, W.H.; Jung, J.Y.; Park, M.Y.; Kim, S.K.; Jung, C.K.; Chung, Y.G. Differentiation of malignant from benign soft tissue tumours: Use of additive qualitative and quantitative diffusion-weighted MR imaging to standard MR imaging at 3.0 T. Eur. Radiol. 2016, 26, 743–754. [Google Scholar] [CrossRef] [PubMed]
- Balch, C.M.; Soong, S.J.; Smith, T.; Ross, M.I.; Urist, M.M.; Karakousis, C.P.; Temple, W.J.; Mihm, M.C.; Barnhill, R.L.; Jewell, W.R.; et al. Long-term results of a prospective surgical trial comparing 2 cm vs. 4 cm excision margins for 740 patients with 1–4 mm melanomas. Ann. Surg. Oncol. 2001, 8, 101–108. [Google Scholar] [PubMed]
- Kotnis, N.A.; Grimer, R.J.; Davies, A.M.; James, S.L. Magnetic resonance imaging appearances following hindquarter amputation for pelvic musculoskeletal malignancy. Skeletal Radiol. 2009, 38, 1137–1146. [Google Scholar] [CrossRef]
- Dalal, K.M.; Patel, A.; Brady, M.S.; Jaques, D.P.; Coit, D.G. Patterns of first-recurrence and post-recurrence survival in patients with primary cutaneous melanoma after sentinel lymph node biopsy. Ann. Surg. Oncol. 2007, 14, 1934–1942. [Google Scholar] [CrossRef]
- Chou, S.S.; Hippe, D.S.; Lee, A.Y.; Scherer, K.; Porrino, J.A.; Davidson, D.J.; Chew, F.S.; Ha, A.S. Gadolinium Contrast Enhancement Improves Confidence in Diagnosing Recurrent Soft Tissue Sarcoma by MRI. Acad. Radiol. 2017, 24, 615–622. [Google Scholar] [CrossRef]
- Tavare, A.N.; Robinson, P.; Altoos, R.; LiMarzi, G.M.; Scherer, K.F.; Kransdorf, M.J.; Bancroft, L.W. Postoperative Imaging of Sarcomas. AJR Am. J. Roentgenol. 2018, 211, 506–518. [Google Scholar] [CrossRef]
- Fox, M.G.; Bancroft, L.W.; Peterson, J.J.; Kransdorf, M.J.; Terkonda, S.P.; O’Connor, M.I. MRI appearance of myocutaneous flaps commonly used in orthopedic reconstructive surgery. AJR Am. J. Roentgenol. 2006, 187, 800–806. [Google Scholar] [CrossRef] [PubMed]
- Amini, B.; Murphy, W.A., Jr.; Haygood, T.M.; Kumar, R.; McEnery, K.W.; Madewell, J.E.; Mujtaba, B.M.; Wei, W.; Costelloe, C.M. Gadolinium-based Contrast Agents Improve Detection of Recurrent Soft-Tissue Sarcoma at MRI. Radiol. Imaging Cancer 2020, 2, e190046. [Google Scholar] [CrossRef] [PubMed]
- Erfanian, Y.; Grueneisen, J.; Kirchner, J.; Wetter, A.; Podleska, L.E.; Bauer, S.; Poeppel, T.; Forsting, M.; Herrmann, K.; Umutlu, L. Integrated 18F-FDG PET/MRI compared to MRI alone for identification of local recurrences of soft tissue sarcomas: A comparison trial. Eur. J. Nucl. Med. Mol. Imaging 2017, 44, 1823–1831. [Google Scholar] [CrossRef] [PubMed]
- ElDaly, M.M.; Moustafa, A.F.I.; Abdel-Meguid, S.M.S.; Shokry, A.M.; El Wahab, N.A. Can MRI diffusion-weighted imaging identify postoperative residual/recurrent soft-tissue sarcomas? Indian J. Radiol. Imaging 2018, 28, 70–77. [Google Scholar] [CrossRef] [PubMed]






| Parameters | Standard Sequences | DWI |
|---|---|---|
| FOV (mm) | 80–300 | 80–300 |
| Size of Matrix (mm) | 128 × 61–512 × 358 | 98 × 84–150 × 136 |
| TR (ms)/TE (ms) | T1WI: 700–800/11–17 T2WI: 3000–5500/53–88 | 3500–7500/50–63 |
| Method of fat suppression | Dixon | SPAIR |
| Slice thickness (mm) | 3–7 | 3–7 |
| Interslice gap (mm) | 0–0.6 | 0–0.6 |
| TSE factor or EPI factor | T1WI: 3 T2WI: 17 | 31–61 |
| NEX | 1 | 3–8 |
| Variables | Number of Patients (n = 37) | |
|---|---|---|
| Age (years) a | 60.1 ± 15.7 | |
| Sex | Male | 19 |
| Female | 18 | |
| Histopathology of primary tumor | Dedifferentiated liposarcoma | 1 |
| Dermatofibrosarcoma protuberans | 3 | |
| Extraskeletal myxoid chondrosarcoma | 1 | |
| Melanoma | 11 | |
| Myxofibrosarcoma | 6 | |
| Myxoid liposarcoma | 5 | |
| Pseudomyogenic hemangioendothelioma | 1 | |
| Rhabdomyosarcoma | 1 | |
| Squamous cell carcinoma | 3 | |
| Undifferentiated pleomorphic sarcoma | 3 | |
| Undifferentiated spindle cell sarcoma | 2 | |
| Variables | Recurrent Tumors (n = 40) | Postoperative Changes (n = 36) | |
|---|---|---|---|
| Histopathology of primary tumor | Dedifferentiated liposarcoma | 1 | 1 |
| Dermatofibrosarcoma protuberans | 0 | 3 | |
| Extraskeletal myxoid chondrosarcoma | 0 | 2 | |
| Melanoma | 6 | 11 | |
| Myxofibrosarcoma | 10 | 7 | |
| Myxoid liposarcoma | 12 | 3 | |
| Pseudomyogenic hemangioendothelioma | 3 | 1 | |
| Rhabdomyosarcoma | 1 | 0 | |
| Squamous cell carcinoma | 2 | 2 | |
| Undifferentiated pleomorphic sarcoma | 5 | 3 | |
| Undifferentiated spindle cell sarcoma | 0 | 3 | |
| Anatomic site | Trunk and pelvis | 6 | 11 |
| Upper arm and forearm | 11 | 8 | |
| Thigh and leg | 6 | 10 | |
| Ankle and foot | 17 | 7 | |
| Resection margin of primary tumor excision | R1 resection (positive tumor margin) | 15 | 9 |
| R0 resection (negative tumor margin) | 25 | 27 | |
| Type of reconstructive surgery | Free flap | 18 | 24 |
| Local flap | 11 | 10 | |
| Skin graft | 11 | 2 | |
| Prior chemotherapy | Positive | 8 | 8 |
| Negative | 32 | 28 | |
| Prior radiation therapy | Positive | 26 | 15 |
| Negative | 14 | 21 | |
| Variables | Local Recurrences (n = 40) | Postoperative Changes (n = 36) | p Values | |
|---|---|---|---|---|
| Location on the transplanted soft tissue a | Peripheral margin | 25 | 22 | 0.907 |
| Deep margin | 11 | 12 | 0.583 | |
| Regional | 7 | 3 | 0.241 | |
| Border | Well-defined | 30 | 9 | <0.001 * |
| Ill-defined | 10 | 27 | ||
| Shape | Nodular | 39 | 20 | <0.001 * |
| Non-nodular | 1 | 16 | ||
| Size (cm) b | 2.6 ± 2.2 | 1.7 ± 1.0 | 0.020 * | |
| Sequences | Signal Intensity of MRI | Local Recurrences (n = 40) | Postoperative Changes (n = 36) | Hyperintensity vs. iso- or Hypointensity (p Value) |
|---|---|---|---|---|
| T1WI | Hyperintensity | 12 | 2 | 0.007 * |
| Isointensity | 26 | 31 | ||
| Hypointensity | 2 | 3 | ||
| T2WI | Hyperintensity | 34 | 15 | <0.001 * |
| Isointensity | 4 | 17 | ||
| Hypointensity | 2 | 4 | ||
| FS-T2WI | Hyperintensity | 38 | 27 | 0.020 * |
| Isointensity | 1 | 7 | ||
| Hypointensity | 1 | 2 | ||
| Contrast-enhanced FS-T1WI | Strong | 20 | 3 | <0.001 * |
| Moderate | 18 | 31 | ||
| Mild | 2 | 2 | ||
| DWI with high b-value | Hyperintensity | 37 | 30 | 0.294 |
| Isointensity | 1 | 4 | ||
| Hypointensity | 2 | 2 | ||
| ADC (μm2/s) a | 1297.0 ± 590.9 | 1634.6 ± 462.7 | 0.008 * | |
| Impeded water diffusion | Positive | 22 | 5 | <0.001 * |
| Negative | 18 | 31 | ||
| MRI Features | Sensitivity | Specificity | Accuracy | Positive Predictive Value | Negative Predictive Value |
|---|---|---|---|---|---|
| Well-defined border | 75.0 | 75.0 | 75.0 | 76.9 | 73.0 |
| Nodular shape | 97.5 | 44.4 | 72.4 | 66.1 | 94.1 |
| Strong enhancement | 50.0 | 91.7 | 69.7 | 87.0 | 62.3 |
| Impeded water diffusion | 55.0 | 86.1 | 69.7 | 81.5 | 63.3 |
Disclaimer/Publisher’s Note: The statements, opinions and data contained in all publications are solely those of the individual author(s) and contributor(s) and not of MDPI and/or the editor(s). MDPI and/or the editor(s) disclaim responsibility for any injury to people or property resulting from any ideas, methods, instructions or products referred to in the content. |
© 2023 by the authors. Licensee MDPI, Basel, Switzerland. This article is an open access article distributed under the terms and conditions of the Creative Commons Attribution (CC BY) license (https://creativecommons.org/licenses/by/4.0/).
Share and Cite
Song, E.-H.; Lee, S.-Y.; Lee, S.; Jung, J.-Y.; Shin, S.-H.; Chung, Y.-G.; Jung, C.-K. Diagnosis of Local Recurrence of Malignant Soft Tissue Tumors after Reconstructive Surgery on MRI. J. Clin. Med. 2023, 12, 4369. https://doi.org/10.3390/jcm12134369
Song E-H, Lee S-Y, Lee S, Jung J-Y, Shin S-H, Chung Y-G, Jung C-K. Diagnosis of Local Recurrence of Malignant Soft Tissue Tumors after Reconstructive Surgery on MRI. Journal of Clinical Medicine. 2023; 12(13):4369. https://doi.org/10.3390/jcm12134369
Chicago/Turabian StyleSong, Eun-Hee, So-Yeon Lee, Seungeun Lee, Joon-Yong Jung, Seung-Han Shin, Yang-Guk Chung, and Chan-Kwon Jung. 2023. "Diagnosis of Local Recurrence of Malignant Soft Tissue Tumors after Reconstructive Surgery on MRI" Journal of Clinical Medicine 12, no. 13: 4369. https://doi.org/10.3390/jcm12134369
APA StyleSong, E.-H., Lee, S.-Y., Lee, S., Jung, J.-Y., Shin, S.-H., Chung, Y.-G., & Jung, C.-K. (2023). Diagnosis of Local Recurrence of Malignant Soft Tissue Tumors after Reconstructive Surgery on MRI. Journal of Clinical Medicine, 12(13), 4369. https://doi.org/10.3390/jcm12134369

