Clinical Feasibility of Deep Learning-Based Image Reconstruction on Coronary Computed Tomography Angiography
Abstract
1. Introduction
2. Materials and Methods
2.1. Phantom Study
2.1.1. Noise
2.1.2. Noise Power Spectrum
2.2. Clinical Study on CCTA
2.2.1. Study Population
2.2.2. CCTA Protocol
2.2.3. CT Analysis
2.3. Statistical Analysis
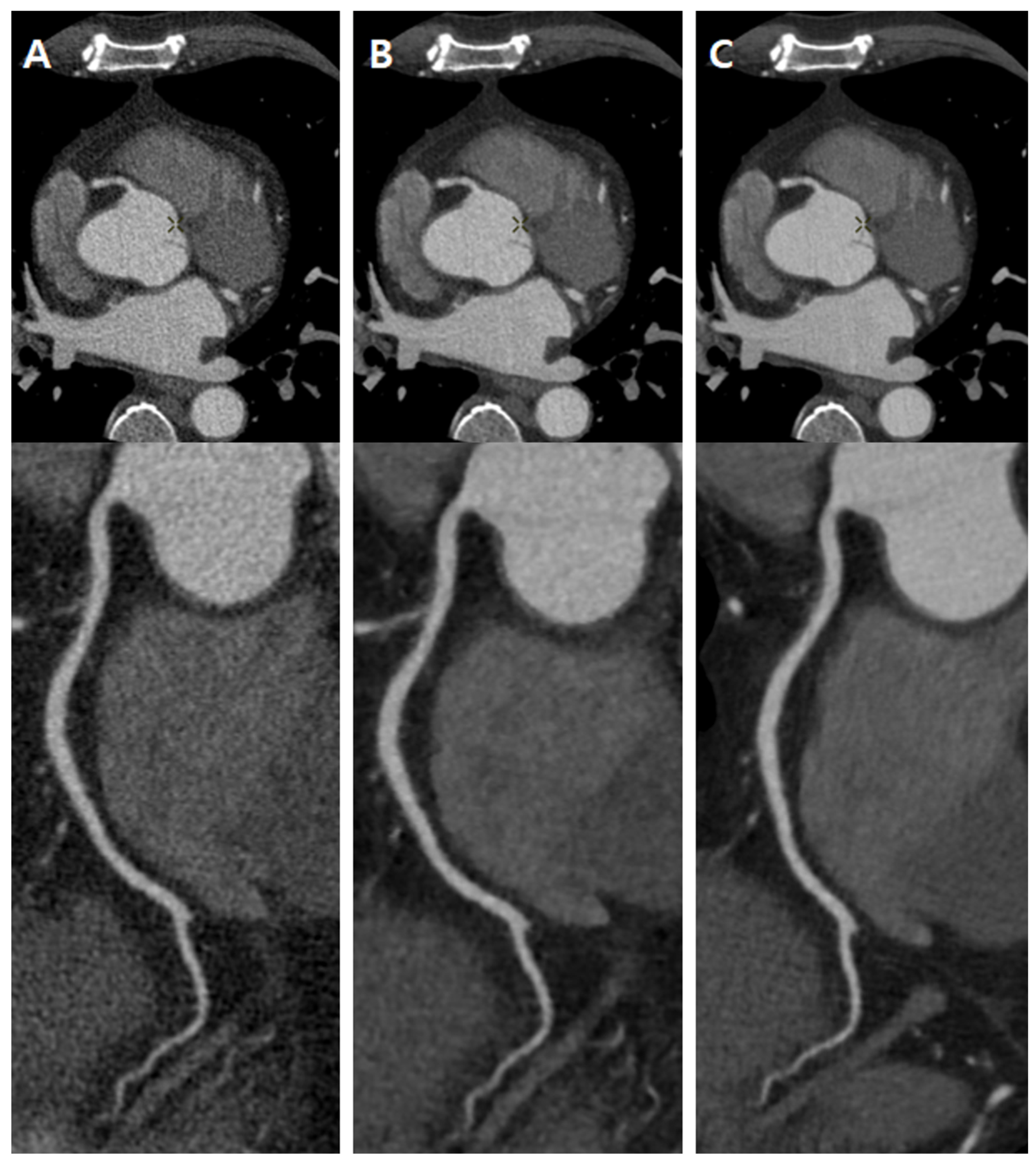
3. Results
3.1. Phantom Study
3.1.1. Noise
3.1.2. Noise Power Spectrum
3.2. CCTA
3.2.1. Demography
3.2.2. Results of the Quantitative Image Quality
3.2.3. Results of the Qualitative Image Quality
4. Discussion
5. Conclusions
Supplementary Materials
Author Contributions
Funding
Institutional Review Board Statement
Informed Consent Statement
Data Availability Statement
Conflicts of Interest
References
- Miller, J.M.; Rochitte, C.E.; Dewey, M.; Arbab-Zadeh, A.; Niinuma, H.; Gottlieb, I.; Paul, N.; Clouse, M.E.; Shapiro, E.P.; Hoe, J.; et al. Diagnostic Performance of Coronary Angiography by 64-Row CT. N. Engl. J. Med. 2008, 359, 2324–2336. [Google Scholar] [CrossRef] [PubMed]
- Budoff, M.J.; Achenbach, S.; Blumenthal, R.S.; Carr, J.J.; Goldin, J.G.; Greenland, P.; Guerci, A.D.; Lima, J.A.C.; Rader, D.J.; Rubin, G.D.; et al. Assessment of coronary artery disease by cardiac computed tomography: A scientific statement from the American Heart Association Committee on Cardiovascular Imaging and Intervention, Council on Cardiovascular Radiology and Intervention, and Committee on Cardiac Imaging, Council on Clinical Cardiology. Circulation 2006, 114, 1761–1791. [Google Scholar] [PubMed]
- Neurauter, E.; Leschka, S.; Wildermuth, S.; Ehl, N.F.; Joerg, L.; Rickli, H.; Maeder, M.T. Use of coronary computed tomography angiography in clinical practice—Single centre experience in Switzerland in light of current recommendations based on pretest probability considerations. Swiss Med. Wkly. 2019, 149, w20010. [Google Scholar]
- Einstein, A.J.; Henzlova, M.J.; Rajagopalan, S. Estimating risk of cancer associated with radiation exposure from 64-slice computed tomography coronary angiography. JAMA 2007, 298, 317–323. [Google Scholar] [CrossRef]
- Kaller, M.O.; An, J. Contrast Agent Toxicity. In StatPearl; StatPearls Publishing: Treasure Island, FL, USA, 2022. [Google Scholar]
- Hausleiter, J.; Meyer, T.; Hermann, F.; Hadamitzky, M.; Krebs, M.; Gerber, T.C.; McCollough, C.; Martinoff, S.; Kastrati, A.; Schömig, A.; et al. Estimated radiation dose associated with cardiac CT angiography. JAMA 2009, 301, 500–507. [Google Scholar] [CrossRef]
- Tang, X.; Hsieh, J.; Nilsen, R.A.; Dutta, S.; Samsonov, D.; Hagiwara, A. A three-dimensional-weighted cone beam filtered backprojection (CB-FBP) algorithm for image reconstruction in volumetric CT-helical scanning. Phys. Med. Biol. 2006, 51, 855–874. [Google Scholar] [CrossRef]
- Ziegler, A.; Kohler, T.; Proksa, R. Noise and resolution in images reconstructed with FBP and OSC algorithms for CT. Med. Phys. 2007, 34, 585–598. [Google Scholar] [CrossRef]
- Fareed, A.; Vavere, A.L.; Zimmermann, E.; Tanami, Y.; Steveson, C.; Matheson, M.; Paul, N.; Clouse, M.; Cox, C.; Lima, J.A.C.; et al. Impact of iterative reconstruction vs. filtered back projection on image quality in 320-slice CT coronary angiography: Insights from the CORE320 multicenter study. Medicine 2017, 96, e8452. [Google Scholar] [CrossRef] [PubMed]
- Moscariello, A.; Takx, R.A.; Schoepf, U.J.; Renker, M.; Zwerner, P.L.; O’Brien, T.X.; Allmendinger, T.; Vogt, S.; Schmidt, B.; Savino, G.; et al. Coronary CT angiography: Image quality, diagnostic accuracy, and potential for radiation dose reduction using a novel iterative image reconstruction technique-comparison with traditional filtered back projection. Eur. Radiol. 2011, 21, 2130–2138. [Google Scholar] [CrossRef]
- Vardhanabhuti, V.; Olubaniyi, B.; Loader, R.; Riordan, R.D.; Williams, M.P.; Roobottom, C.A. Image Quality Assessment in Torso Phantom Comparing Effects of Varying Automatic Current Modulation with Filtered Back Projection, Adaptive Statistical, and Model-Based Iterative Reconstruction Techniques in CT. J. Med. Imaging Radiat. Sci. 2012, 43, 228–238. [Google Scholar] [CrossRef]
- Mileto, A.; Guimaraes, L.S.; McCollough, C.H.; Fletcher, J.G.; Yu, L. State of the Art in Abdominal CT: The Limits of Iterative Reconstruction Algorithms. Radiology 2019, 293, 491–503. [Google Scholar] [CrossRef] [PubMed]
- Schroeder, S.; Achenbach, S.; Bengel, F.; Burgstahler, C.; Cademartiri, F.; De Feyter, P.; George, R.; Kaufmann, P.; Kopp, A.F.; Knuuti, J.; et al. Cardiac computed tomography: Indications, applications, limitations, and training requirements: Report of a Writing Group deployed by the Working Group Nuclear Cardiology and Cardiac CT of the European Society of Cardiology and the European Council of Nuclear Cardiology. Eur. Heart J. 2008, 29, 531–556. [Google Scholar]
- Fleischmann, D.; Boas, F.E. Computed tomography--Old ideas and new technology. Eur. Radiol. 2011, 21, 510–517. [Google Scholar] [CrossRef] [PubMed]
- Primak, A.N.; McCollough, C.H.; Bruesewitz, M.R.; Zhang, J.; Fletcher, J.G. Relationship between noise, dose, and pitch in cardiac multi-detector row CT. Radiographics 2006, 26, 1785–1794. [Google Scholar] [CrossRef] [PubMed]
- Geyer, L.L.; Schoepf, U.J.; Meinel, F.G.; Nance, J.W., Jr.; Bastarrika, G.; Leipsic, J.A.; Paul, N.S.; Rengo, M.; Laghi, A.; De Cecco, C.N. State of the Art: Iterative CT Reconstruction Techniques. Radiology 2015, 276, 339–357. [Google Scholar] [CrossRef]
- Hwang, H.J.; Seo, J.B.; Lee, J.S.; Song, J.-W.; Kim, S.S.; Lee, H.J.; Lim, C.H. Radiation dose reduction of chest CT with iterative reconstruction in image space—Part I: Studies on image quality using dual source CT. Korean J. Radiol. 2012, 13, 711–719. [Google Scholar] [CrossRef]
- Gervaise, A.; Osemont, B.; Lecocq, S.; Noel, A.; Micard, E.; Felblinger, J.; Blum, A. CT image quality improvement using Adaptive Iterative Dose Reduction with wide-volume acquisition on 320-detector CT. Eur. Radiol. 2012, 22, 295–301. [Google Scholar] [CrossRef]
- Tatsugami, F.; Matsuki, M.; Nakai, G.; Inada, Y.; Kanazawa, S.; Takeda, Y.; Morita, H.; Takada, H.; Yoshikawa, S.; Fukumura, K.; et al. The effect of adaptive iterative dose reduction on image quality in 320-detector row CT coronary angiography. Br. J. Radiol. 2012, 85, e378–e382. [Google Scholar] [CrossRef]
- Winklehner, A.; Karlo, C.; Puippe, G.; Schmidt, B.; Flohr, T.; Goetti, R.; Pfammatter, T.; Frauenfelder, T.; Alkadhi, H. Raw data-based iterative reconstruction in body CTA: Evaluation of radiation dose saving potential. Eur. Radiol. 2011, 21, 2521–2526. [Google Scholar] [CrossRef]
- Raman, S.P.; Johnson, P.T.; Deshmukh, S.; Mahesh, M.; Grant, K.L.; Fishman, E.K. CT dose reduction applications: Available tools on the latest generation of CT scanners. J. Am. Coll. Radiol. 2013, 10, 37–41. [Google Scholar] [CrossRef]
- Smith, E.A.; Dillman, J.R.; Goodsitt, M.M.; Christodoulou, E.G.; Keshavarzi, N.; Strouse, P.J. Model-based iterative reconstruction: Effect on patient radiation dose and image quality in pediatric body CT. Radiology 2014, 270, 526–534. [Google Scholar] [CrossRef] [PubMed]
- Nelson, R.C.; Feuerlein, S.; Boll, D.T. New iterative reconstruction techniques for cardiovascular computed tomography: How do they work, and what are the advantages and disadvantages? J. Cardiovasc. Comput. Tomogr. 2011, 5, 286–292. [Google Scholar] [CrossRef] [PubMed]
- Nagayama, Y.; Sakabe, D.; Goto, M.; Emoto, T.; Oda, S.; Nakaura, T.; Kidoh, M.; Uetani, H.; Funama, Y.; Hirai, T. Deep Learning-based Reconstruction for Lower-Dose Pediatric CT: Technical Principles, Image Characteristics, and Clinical Implementations. Radiographics 2021, 41, 1936–1953. [Google Scholar] [CrossRef] [PubMed]
- Greffier, J.; Hamard, A.; Pereira, F.; Barrau, C.; Pasquier, H.; Beregi, J.P.; Frandon, J. Image quality and dose reduction opportunity of deep learning image reconstruction algorithm for CT: A phantom study. Eur. Radiol. 2020, 30, 3951–3959. [Google Scholar] [CrossRef] [PubMed]
- Park, C.; Choo, K.S.; Jung, Y.; Jeong, H.S.; Hwang, J.Y.; Yun, M.S. CT iterative vs deep learning reconstruction: Comparison of noise and sharpness. Eur. Radiol. 2021, 31, 3156–3164. [Google Scholar] [CrossRef]
- Heinrich, A.; Streckenbach, F.; Beller, E.; Gross, J.; Weber, M.A.; Meinel, F.G. Deep Learning-Based Image Reconstruction for CT Angiography of the Aorta. Diagnostics 2021, 11, 2037. [Google Scholar] [CrossRef]
- Benz, D.C.; Benetos, G.; Rampidis, G.; von Felten, E.; Bakula, A.; Sustar, A.; Kudura, K.; Messerli, M.; Fuchs, T.A.; Gebhard, C.; et al. Validation of deep-learning image reconstruction for coronary computed tomography angiography: Impact on noise, image quality and diagnostic accuracy. J. Cardiovasc. Comput. Tomogr. 2020, 14, 444–451. [Google Scholar] [CrossRef]
- Tatsugami, F.; Higaki, T.; Nakamura, Y.; Yu, Z.; Zhou, J.; Lu, Y.; Fujioka, C.; Kitagawa, T.; Kihara, Y.; Iida, M.; et al. Deep learning-based image restoration algorithm for coronary CT angiography. Eur. Radiol. 2019, 29, 5322–5329. [Google Scholar] [CrossRef]
- Solomon, J.; Lyu, P.J.; Marin, D.; Samei, E. Noise and spatial resolution properties of a commercially available deep learning-based CT reconstruction algorithm. Med. Phys. 2020, 47, 3961–3971. [Google Scholar] [CrossRef]
- Racine, D.; Becce, F.; Viry, A.; Monnin, P.; Thomsen, B.; Verdun, F.R.; Rotzinger, D.C. Task-based characterization of a deep learning image reconstruction and comparison with filtered back-projection and a partial model-based iterative reconstruction in abdominal CT: A phantom study. Phys. Med. 2020, 76, 28–37. [Google Scholar] [CrossRef]
- Jensen, C.T.; Liu, X.; Tamm, E.P.; Chandler, A.G.; Sun, J.; Morani, A.C.; Javadi, S.; Wagner-Bartak, N.A. Image Quality Assessment of Abdominal CT by Use of New Deep Learning Image Reconstruction: Initial Experience. AJR Am. J. Roentgenol. 2020, 215, 50–57. [Google Scholar] [CrossRef] [PubMed]
- Yin, W.H.; Lu, B.; Li, N.; Han, L.; Hou, Z.H.; Wu, R.Z.; Wu, Y.-J.; Niu, H.-X.; Jiang, S.-L.; Krazinski, A.W.; et al. Iterative reconstruction to preserve image quality and diagnostic accuracy at reduced radiation dose in coronary CT angiography: An intraindividual comparison. JACC Cardiovasc. Imaging 2013, 6, 1239–1249. [Google Scholar] [CrossRef] [PubMed]







| Scan Type | 1-Beat Cardiac Axial |
|---|---|
| Rotation type (s) | 0.28 |
| Slice (mm) | 0.625 |
| Tube voltage (kVp) | 100 |
| Noise index | 37.8 |
| Tube current (mA) | Care dose |
| Coverage (cm) | 16 |
| ECG gating | Auto |
| Bolus tracking | Ascending aorta |
| Contrast protocol | |
| Iodine concentration (mg/mL) | 350 |
| Total contrast dosage (mL/kg) | 0.8 |
| Injection time (s) | 13 |
| Injection rate (mL/s) | Total dosage/13 |
| Saline flush | 4-5 cc/s, Triphasic |
| Characteristics | Values |
|---|---|
| Number of participants | 46 |
| Age (years) | 66.8 ± 14.5 |
| Male:Female | 23:23 |
| Height (cm) | 163.0 ± 8.7 |
| Body weight (kg) | 64.1 ± 10.5 |
| Body mass index (kg/) | 24.1 ± 3.3 |
| Average heart rate (beats/min) | 74.0 ± 12.8 |
| Dose length product (mGy·cm) | 182.5 ± 120.4 |
| FBP | MBIR-40% | MBIR-60% | MBIR-80% | DLIR-L | DLIR-M | DLIR-H | |
|---|---|---|---|---|---|---|---|
| Attenuation | 489.5 ± 90.3 | 489.7 ± 90.3 | 489.7 ± 90.3 | 489.8 ± 90.3 | 489.7 ± 90.4 | 489.8 ± 90.5 | 490.1 ± 90.4 |
| Noise | 42.5 ± 5.7 | 39.5 ± 6.3 | 33.9 ± 4.5 | 30.6 ± 4.5 | 32.5 ± 7.1 | 28.6 ± 5.8 | 21.4 ± 4.5 |
| SNR | |||||||
| RCA | 10.5 ± 2.4 | 11.3 ± 2.7 | 12.9 ± 2.6 | 14.3 ± 2.9 | 14.2 ± 3.5 | 16.0 ± 4.0 | 21.5 ± 5.4 |
| LM | 11.1 ± 2.6 | 11.9 ± 2.7 | 13.7 ± 2.6 | 15.2 ± 2.8 | 15.1 ± 3.8 | 17.1 ± 4.2 | 22.9 ± 5.6 |
| LAD | 10.3 ± 2.3 | 11.2 ± 2.7 | 12.8 ± 2.6 | 14.1 ± 2.9 | 14.1 ± 3.5 | 15.9 ± 4.0 | 21.3 ± 5.4 |
| LCx | 10.7 ± 2.6 | 11.5 ± 2.4 | 13.1 ± 2.6 | 14.5 ± 2.7 | 14.5 ± 3.6 | 16.3 ± 3.8 | 21.9 ± 5.5 |
| CNR | |||||||
| RCA | 12.6 ± 2.5 | 13.7 ± 2.9 | 15.6 ± 2.6 | 17.2 ± 2.9 | 17.1 ± 3.9 | 19.3 ± 4.3 | 25.9 ± 6.0 |
| LM | 13.1 ± 2.8 | 14.1 ± 3.1 | 16.2 ± 2.9 | 17.9 ± 3.1 | 17.8 ± 4.4 | 20.1 ± 4.8 | 27.0 ± 6.5 |
| LAD | 12.6 ± 2.5 | 13.6 ± 3.1 | 15.6 ± 2.9 | 17.3 ± 3.2 | 17.2 ± 4.1 | 19.4 ± 4.7 | 25.9 ± 6.2 |
| LCx | 12.9 ± 2.9 | 13.8 ± 2.8 | 15.8 ± 2.8 | 17.4 ± 3.0 | 17.4 ± 4.2 | 19.5 ± 4.4 | 26.2 ± 6.1 |
| FBP | MBIR-80% | DLIR-H | |
|---|---|---|---|
| Grade 1 (Poor) | 73 (12.3%) | 31 (5.2%) | 9 (1.5%) |
| Grade 2 (Adequate) | 215 (36.1%) | 118 (19.8%) | 55 (9.2%) |
| Grade 3 (Good) | 238 (40%) | 262 (44.0%) | 239 (40.2%) |
| Grade 4 (Excellent) | 69 (11.6%) | 184 (30.9%) | 292 (49.1%) |
| FBP | MBIR-80% | DLIR-H | p-Value | |
|---|---|---|---|---|
| RCA | 2.86 * | 3.30 * | 3.57 | <0.001 |
| LM | 3.43 * | 3.76 | 3.86 | <0.001 |
| LAD | 2.46 * | 3.00 * | 3.31 | <0.001 |
| LCx | 2.43 * | 2.98 * | 3.34 | <0.001 |
Disclaimer/Publisher’s Note: The statements, opinions and data contained in all publications are solely those of the individual author(s) and contributor(s) and not of MDPI and/or the editor(s). MDPI and/or the editor(s) disclaim responsibility for any injury to people or property resulting from any ideas, methods, instructions or products referred to in the content. |
© 2023 by the authors. Licensee MDPI, Basel, Switzerland. This article is an open access article distributed under the terms and conditions of the Creative Commons Attribution (CC BY) license (https://creativecommons.org/licenses/by/4.0/).
Share and Cite
Koo, S.A.; Jung, Y.; Um, K.A.; Kim, T.H.; Kim, J.Y.; Park, C.H. Clinical Feasibility of Deep Learning-Based Image Reconstruction on Coronary Computed Tomography Angiography. J. Clin. Med. 2023, 12, 3501. https://doi.org/10.3390/jcm12103501
Koo SA, Jung Y, Um KA, Kim TH, Kim JY, Park CH. Clinical Feasibility of Deep Learning-Based Image Reconstruction on Coronary Computed Tomography Angiography. Journal of Clinical Medicine. 2023; 12(10):3501. https://doi.org/10.3390/jcm12103501
Chicago/Turabian StyleKoo, Seul Ah, Yunsub Jung, Kyoung A Um, Tae Hoon Kim, Ji Young Kim, and Chul Hwan Park. 2023. "Clinical Feasibility of Deep Learning-Based Image Reconstruction on Coronary Computed Tomography Angiography" Journal of Clinical Medicine 12, no. 10: 3501. https://doi.org/10.3390/jcm12103501
APA StyleKoo, S. A., Jung, Y., Um, K. A., Kim, T. H., Kim, J. Y., & Park, C. H. (2023). Clinical Feasibility of Deep Learning-Based Image Reconstruction on Coronary Computed Tomography Angiography. Journal of Clinical Medicine, 12(10), 3501. https://doi.org/10.3390/jcm12103501

