Energy Drinks and Their Acute Effects on Arterial Stiffness in Healthy Children and Teenagers: A Randomized Trial
Abstract
:1. Introduction
2. Materials and Methods
2.1. Ethical Statement
2.2. Study Population
2.3. Study Design
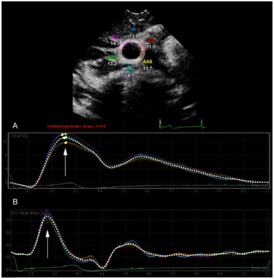
2.4. Two-Dimensional Speckle Tracking of the Common Carotid Artery
2.5. Endpoints Measurement
2.6. Statistical Analysis
3. Results
3.1. Patient Characteristics
3.2. Acute Effects of Energy Drinks on CS, SR, and Arterial Distensibility
4. Discussion
4.1. Pathophysiological Considerations and Clinical Implications
4.2. Limitations
5. Conclusions
Author Contributions
Funding
Institutional Review Board Statement
Informed Consent Statement
Data Availability Statement
Acknowledgments
Conflicts of Interest
References
- Hampton, T. Energy Drinks Pose Worrisome Risks to Adolescents’ Cardiovascular Health. Circulation 2016, 134, 1052–1053. [Google Scholar] [CrossRef] [PubMed]
- Grasser, E.K.; Miles-Chan, J.L.; Charrière, N.; Loonam, C.R.; Dulloo, A.G.; Montani, J.P. Energy Drinks and Their Impact on the Cardiovascular System: Potential Mechanisms. Adv. Nutr. 2016, 7, 950–960. [Google Scholar] [CrossRef] [PubMed]
- Seifert, S.M.; Schaechter, J.L.; Hershorin, E.R.; Lipshultz, S.E. Health effects of energy drinks on children, adolescents, and young adults. Pediatrics 2011, 127, 511–528. [Google Scholar] [CrossRef] [PubMed] [Green Version]
- Sanchis-Gomar, F.; Pareja-Galeano, H.; Cervellin, G.; Lippi, G.; Earnest, C.P. Energy drink overconsumption in adolescents: Implications for arrhythmias and other cardiovascular events. Can. J. Cardiol. 2015, 31, 572–575. [Google Scholar] [CrossRef] [PubMed]
- Shah, S.A.; Szeto, A.H.; Farewell, R.; Shek, A.; Fan, D.; Quach, K.N.; Bhattacharyya, M.; Elmiari, J.; Chan, W.; O’Dell, K.; et al. Impact of High Volume Energy Drink Consumption on Electrocardiographic and Blood Pressure Parameters: A Randomized Trial. J. Am. Heart Assoc. 2019, 8, e011318. [Google Scholar] [CrossRef] [PubMed] [Green Version]
- Hussain, A.; Jiji, A.K.; Barke, P.; Biswas, S.; Tabrez, S.S.M. Cardiovascular Pathologies Associated with Excessive Energy Drink Consumption: A Review. Crit. Rev. Eukaryot. Gene Exp. 2018, 28, 107–113. [Google Scholar] [CrossRef] [PubMed]
- Ehlers, A.; Marakis, G.; Lampen, A.; Hirsch-Ernst, K.I. Risk assessment of energy drinks with focus on cardiovascular parameters and energy drink consumption in Europe. Food Chem. Toxicol. 2019, 130, 109–121. [Google Scholar] [CrossRef]
- Fletcher, E.A.; Lacey, C.S.; Aaron, M.; Kolasa, M.; Occiano, A.; Shah, S.A. Randomized Controlled Trial of High-Volume Energy Drink Versus Caffeine Consumption on ECG and Hemodynamic Parameters. J. Am. Heart Assoc. 2017, 6, e004448. [Google Scholar] [CrossRef]
- Nowak, D.; Gośliński, M.; Nowatkowska, K. The Effect of Acute Consumption of Energy Drinks on Blood Pressure, Heart Rate and Blood Glucose in the Group of Young Adults. Int. J. Environ. Res. Public Health 2018, 15, 544. [Google Scholar] [CrossRef] [Green Version]
- Oberhoffer, F.S.; Li, P.; Jacob, A.; Dalla-Pozza, R.; Haas, N.A.; Mandilaras, G. Energy Drinks: Effects on Blood Pressure and Heart Rate in Children and Teenagers. A Randomized Trial. Front. Cardiovasc. Med. 2022, 9, 512. [Google Scholar] [CrossRef]
- Boutouyrie, P.; Chowienczyk, P.; Humphrey, J.D.; Mitchell, G.F. Arterial Stiffness and Cardiovascular Risk in Hypertension. Circ. Res. 2021, 128, 864–886. [Google Scholar] [CrossRef]
- Chirinos, J.A.; Segers, P.; Hughes, T.; Townsend, R. Large-Artery Stiffness in Health and Disease: JACC State-of-the-Art Review. J. Am. Coll. Cardiol. 2019, 74, 1237–1263. [Google Scholar] [CrossRef] [PubMed]
- Safar, M.E. Arterial stiffness as a risk factor for clinical hypertension. Nat. Rev. Cardiol. 2018, 15, 97–105. [Google Scholar] [CrossRef] [PubMed]
- Laurent, S.; Cockcroft, J.; Van Bortel, L.; Boutouyrie, P.; Giannattasio, C.; Hayoz, D.; Pannier, B.; Vlachopoulos, C.; Wilkinson, I.; Struijker-Boudier, H.; et al. Expert consensus document on arterial stiffness: Methodological issues and clinical applications. Eur. Heart J. 2006, 27, 2588–2605. [Google Scholar] [CrossRef] [PubMed] [Green Version]
- Krämer, J.; Niemann, M.; Liu, D.; Hu, K.; Machann, W.; Beer, M.; Wanner, C.; Ertl, G.; Weidemann, F. Two-dimensional speckle tracking as a non-invasive tool for identification of myocardial fibrosis in Fabry disease. Eur. Heart J. 2013, 34, 1587–1596. [Google Scholar] [CrossRef] [PubMed] [Green Version]
- Oberhoffer, F.S.; Abdul-Khaliq, H.; Jung, A.M.; Rohrer, T.R.; Abd El Rahman, M. Two-dimensional speckle tracking of the abdominal aorta: A novel approach to evaluate arterial stiffness in patients with Turner syndrome. Cardiovasc. Diagn. Ther. 2019, 9, S228–S237. [Google Scholar] [CrossRef]
- Oishi, Y.; Miyoshi, H.; Iuchi, A.; Nagase, N.; Ara, N.; Oki, T. Vascular aging of common carotid artery and abdominal aorta in clinically normal individuals and preclinical patients with cardiovascular risk factors: Diagnostic value of two-dimensional speckle-tracking echocardiography. Heart Vessels 2013, 28, 222–228. [Google Scholar] [CrossRef]
- Papaioannou, T.G.; Karatzi, K.; Karatzis, E.; Papamichael, C.; Lekakis, J.P. Acute effects of caffeine on arterial stiffness, wave reflections, and central aortic pressures. Am. J. Hypertens. 2005, 18, 129–136. [Google Scholar] [CrossRef] [Green Version]
- Kromeyer-Hauschild, K.; Wabitsch, M.; Kunze, D.; Geller, F.; Geiß, H.C.; Hesse, V.; von Hippel, A.; Jaeger, U.; Johnsen, D.; Korte, W.; et al. Perzentile für den Body-mass-Index für das Kindes- und Jugendalter unter Heranziehung verschiedener deutscher Stichproben. Monatsschr. Kinderheilkd. 2001, 149, 807–818. [Google Scholar] [CrossRef] [Green Version]
- Mandilaras, G.; Li, P.; Dalla-Pozza, R.; Haas, N.A.; Oberhoffer, F.S. Energy Drinks and Their Acute Effects on Heart Rhythm and Electrocardiographic Time Intervals in Healthy Children and Teenagers: A Randomized Trial. Cells 2022, 11, 498. [Google Scholar] [CrossRef]
- EFSA Panel on Dietetic Products, Nutrition and Allergies. Scientific Opinion on the safety of caffeine. EFSA J. 2015, 13, 4102. [Google Scholar]
- Mahmud, A.; Feely, J. Acute Effect of Caffeine on Arterial Stiffness and Aortic Pressure Waveform. Hypertension 2001, 38, 227–231. [Google Scholar] [CrossRef] [PubMed] [Green Version]
- Guan, L.; Miao, P. The effects of taurine supplementation on obesity, blood pressure and lipid profile: A meta-analysis of randomized controlled trials. Eur. J. Pharmacol. 2020, 885, 173533. [Google Scholar] [CrossRef] [PubMed]
- Sun, Q.; Wang, B.; Li, Y.; Sun, F.; Li, P.; Xia, W.; Zhou, X.; Li, Q.; Wang, X.; Chen, J.; et al. Taurine Supplementation Lowers Blood Pressure and Improves Vascular Function in Prehypertension: Randomized, Double-Blind, Placebo-Controlled Study. Hypertension 2016, 67, 541–549. [Google Scholar] [CrossRef] [PubMed] [Green Version]
- Ra, S.-G.; Choi, Y.; Akazawa, N.; Ohmori, H.; Maeda, S. Taurine supplementation attenuates delayed increase in exercise-induced arterial stiffness. Appl. Physiol. Nutr. Metab. 2016, 41, 618–623. [Google Scholar] [CrossRef] [PubMed]
- Satoh, H.; Kang, J. Modulation by taurine of human arterial stiffness and wave reflection. Adv. Exp. Med. Biol. 2009, 643, 47–55. [Google Scholar] [CrossRef] [PubMed]
- Zanoli, L.; Lentini, P.; Briet, M.; Castellino, P.; House, A.A.; London, G.M.; Malatino, L.; McCullough, P.A.; Mikhailidis, D.P.; Boutouyrie, P. Arterial Stiffness in the Heart Disease of CKD. J. Am. Soc. Nephrol. 2019, 30, 918–928. [Google Scholar] [CrossRef]
- Ahmadizar, F.; Voortman, T. Arterial stiffness in childhood: A predictor for later cardiovascular disease? Eur. J. Prev. Cardiol. 2018, 25, 100–102. [Google Scholar] [CrossRef]
- Wu, S.; Xu, L.; Wu, M.; Chen, S.; Wang, Y.; Tian, Y. Association between triglyceride-glucose index and risk of arterial stiffness: A cohort study. Cardiovasc. Diabetol. 2021, 20, 146. [Google Scholar] [CrossRef]
- Cote, A.T.; Harris, K.C.; Panagiotopoulos, C.; Sandor, G.G.; Devlin, A.M. Childhood obesity and cardiovascular dysfunction. J Am. Coll. Cardiol. 2013, 62, 1309–1319. [Google Scholar] [CrossRef] [Green Version]


| Characteristics | Total |
|---|---|
| Age, years (mean ± SD) | 14.53 ± 2.40 |
| Sex, n (%) | |
| Male | 14 (51.85) |
| Female | 13 (48.15) |
| Weight Classification, n (%) | |
| Normal weight | 23 (85.19) |
| Overweight | 4 (14.81) |
| Obese | 0 (0) |
| Caffeine Consumption Behavior, n (%) a | |
| Rare | 17 (62.96) |
| Occasional | 3 (11.11) |
| Frequent | 5 (18.52) |
| Daily | 2 (7.41) |
| Energy Drink Consumption Behavior, n (%) b | |
| Never | 12 (44.44) |
| Rare | 11 (40.74) |
| Occasional | 1 (3.70) |
| Frequent | 3 (11.11) |
| Daily | 0 (0) |
| Parameters | Energy Drink | Placebo | p-Value |
|---|---|---|---|
| CCA CS (%) | 12.37 ± 3.01 | 12.29 ± 2.76 | 0.89 |
| CCA SR (s−1) | 3.23 ± 0.73 | 3.24 ± 0.73 | 0.94 |
| Arterial Distensibility (mmHg−1 × 10−3) | 538.68 ± 135.25 | 519.94 ± 117.22 | 0.49 |
| Parameters | Energy Drink | Placebo | p-Value |
|---|---|---|---|
| CCA CS (%) | 11.78 ± 2.70 | 12.29 ± 2.68 | 0.043 * |
| CCA SR (s−1) | 3.20 ± 0.73 | 3.34 ± 0.74 | 0.087 |
| Arterial Distensibility (mmHg−1 × 10−3) | 504.69 ± 145.50 | 521.92 ± 134.99 | 0.313 |
Publisher’s Note: MDPI stays neutral with regard to jurisdictional claims in published maps and institutional affiliations. |
© 2022 by the authors. Licensee MDPI, Basel, Switzerland. This article is an open access article distributed under the terms and conditions of the Creative Commons Attribution (CC BY) license (https://creativecommons.org/licenses/by/4.0/).
Share and Cite
Li, P.; Mandilaras, G.; Jakob, A.; Dalla-Pozza, R.; Haas, N.A.; Oberhoffer, F.S. Energy Drinks and Their Acute Effects on Arterial Stiffness in Healthy Children and Teenagers: A Randomized Trial. J. Clin. Med. 2022, 11, 2087. https://doi.org/10.3390/jcm11082087
Li P, Mandilaras G, Jakob A, Dalla-Pozza R, Haas NA, Oberhoffer FS. Energy Drinks and Their Acute Effects on Arterial Stiffness in Healthy Children and Teenagers: A Randomized Trial. Journal of Clinical Medicine. 2022; 11(8):2087. https://doi.org/10.3390/jcm11082087
Chicago/Turabian StyleLi, Pengzhu, Guido Mandilaras, André Jakob, Robert Dalla-Pozza, Nikolaus Alexander Haas, and Felix Sebastian Oberhoffer. 2022. "Energy Drinks and Their Acute Effects on Arterial Stiffness in Healthy Children and Teenagers: A Randomized Trial" Journal of Clinical Medicine 11, no. 8: 2087. https://doi.org/10.3390/jcm11082087
APA StyleLi, P., Mandilaras, G., Jakob, A., Dalla-Pozza, R., Haas, N. A., & Oberhoffer, F. S. (2022). Energy Drinks and Their Acute Effects on Arterial Stiffness in Healthy Children and Teenagers: A Randomized Trial. Journal of Clinical Medicine, 11(8), 2087. https://doi.org/10.3390/jcm11082087

