Dual Anti-Glomerular Basement Membrane and Anti-Neutrophil Cytoplasmic Antibodies—Positive Rapidly Progressive Glomerulonephritis with Rheumatoid Arthritis and Sjogren’s Syndrome: A Case Report and Literature Review
Abstract
1. Introduction
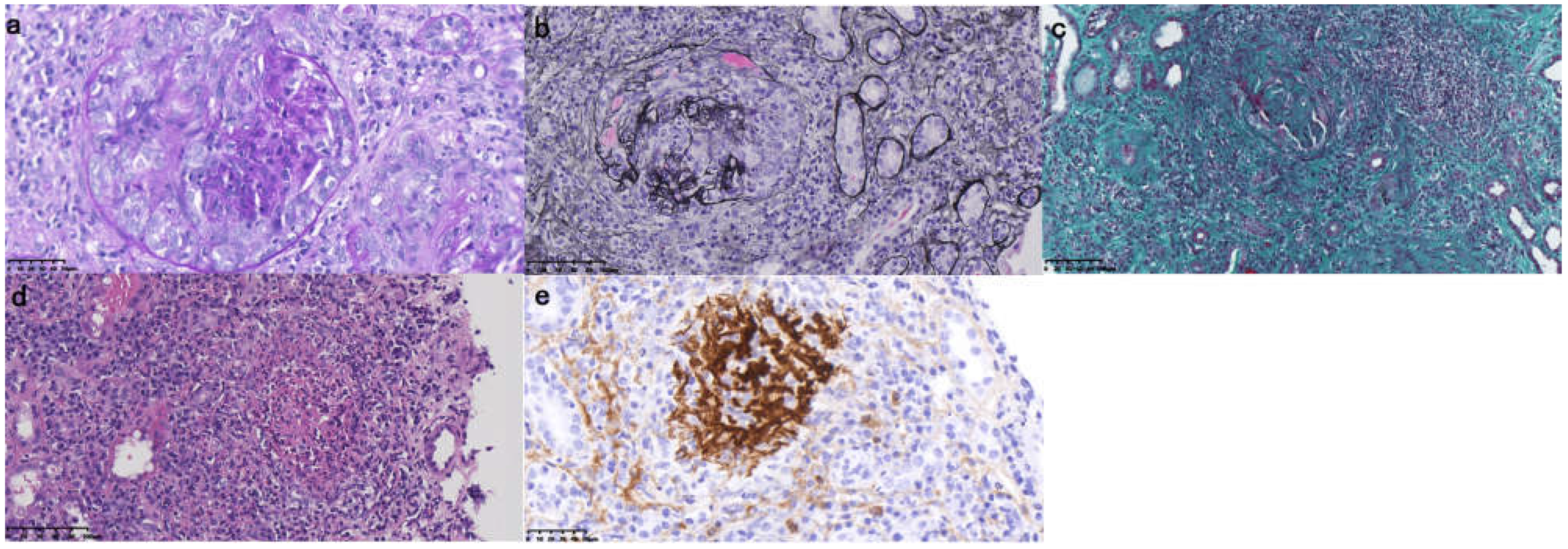
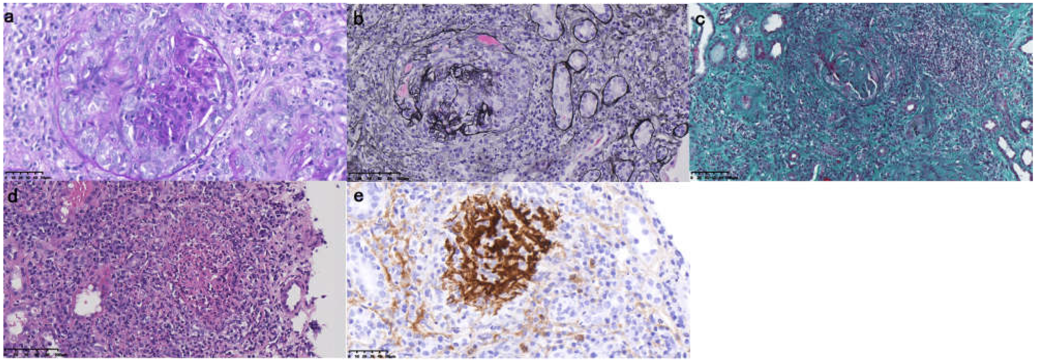
2. Case Presentation
3. Discussion
Author Contributions
Funding
Institutional Review Board Statement
Informed Consent Statement
Data Availability Statement
Acknowledgments
Conflicts of Interest
References
- Icardi, A.; Araghi, P.; Ciabattoni, M.; Romano, U.; Lazzarini, P.; Bianchi, G. Kidney involvement in rheumatoid arthritis. Reumatismo 2003, 55, 76–85. [Google Scholar] [CrossRef] [PubMed]
- Wang, W.J.; Wu, H.S.; Chu, T.S. Anti-neutrophil Cytoplasmic Antibody-associated Pauci-immune Crescentic Glomerulonephritis Complicating Sjogren’s Syndrome. J. Formos. Med. Assoc. 2011, 110, 473–477. [Google Scholar] [CrossRef][Green Version]
- O’Donoghue, D.J.; Short, C.D.; Brenchley, P.E.C.; Lawler, W.; Ballardie, F.W. Sequential development of systemic vasculitis with anti-neutrophil cytoplasmic antibodies complicating anti-glomerular basement membrane disease. Clin. Nephrol. 1989, 32, 251. [Google Scholar] [PubMed]
- Rutgers, A.; Slot, M.; Paassen, P.V.; Vriesman, P.V.B.; Heeringa, P.; Tervaert, J.W.C. Coexistence of Anti-Glomerular Basement Membrane Antibodies and Myeloperoxidase-ANCAs in Crescentic Glomerulonephritis. Am. J. Kidney Dis. 2005, 46, 253–262. [Google Scholar] [CrossRef] [PubMed]
- Mcadoo, S.P.; Tanna, A.; Hrušková, Z.; Holm, L.; Weiner, M.; Arulkumaran, N.; Kang, A.; Satrapová, V.; Levy, J.; Ohlsson, S.; et al. Patients double-seropositive for ANCA and anti-GBM antibodies have varied renal survival, frequency of relapse, and outcomes compared to single-seropositive patients. Kidney Int. 2017, 92, 693–702. [Google Scholar] [CrossRef] [PubMed]
- Zhao, J.; Yang, R.; Cui, Z.; Chen, M.; Zhao, M.-H.; Wang, H.-Y. Characteristics and outcome of Chinese patients with both antineutrophil cytoplasmic antibody and anti-glomerular basement membrane antibodies. Nephron Clin. Pract. 2007, 107, c56–c62. [Google Scholar] [CrossRef] [PubMed]
- Balderia, P.G.; Andeen, N.; Jefferson, J.A. Characteristics and Outcomes of Patients with Anti-Glomerular Basement Membrane Antibody Disease and Anti-Neutrophil Cytoplasmic Antibodies. Curr. Rheumatol. Rev. 2019, 15, 224–228. [Google Scholar] [CrossRef] [PubMed]
- François, H.; Mariette, X. Renal involvement in Sjögren’s syndrome. Nephrol. Ther. 2020, 16, 440–452. [Google Scholar] [CrossRef] [PubMed]
- Sebastiani, M.; Luppi, F.; Sambataro, G.; Villegas, D.C.; Cerri, S.; Tomietto, P.; Cassone, G.; Bocchino, M.; Atienza-Mateo, B.; Cameli, P.; et al. Interstitial Lung Disease and Anti-Myeloperoxidase Antibodies: Not a Simple Association. J. Clin. Med. 2021, 10, 2548. [Google Scholar] [CrossRef] [PubMed]
- Kurita, N.; Mise, N.; Fujii, A.; Mori, M.; Sai, K.; Nishi, T.; Suzuki, T.; Tagawa, H.; Sugimoto, Y. Myeloperoxidase-antineutrophil cytoplasmic antibody-associated crescentic glomerulonephritis with rheumatoid arthritis: A comparison of patients without rheumatoid arthritis. Clin. Exp. Nephrol. 2010, 14, 325. [Google Scholar] [CrossRef] [PubMed]
- Spoerl, D.; Pers, Y.M.; Jorgensen, C. Anti-neutrophil cytoplasmic antibodies in rheumatoid arthritis: Two case reports and review of the literature. Allergy Asthma Clin. Immunol. Off. J. Can. Soc. Allergy Clin. Immunol. 2012, 8, 19. [Google Scholar] [CrossRef] [PubMed]
- Mustila, A.; Paimela, L.; Leirisalo-Repo, M.; Huhtala, H.; Miettinen, A. Antineutrophil cytoplasmic antibodies in patients with early rheumatoid arthritis: An early marker of progressive erosive disease. Arthritis Rheum. Off. J. Am. Coll. Rheumatol. 2000, 43, 1371–1377. [Google Scholar] [CrossRef]
- Mustila, A.; Korpel, M.; Mustonen, J.; Helin, H.; Huhtala, H.; Soppi, E.; Pasternack, A.; Miettinen, A. Perinuclear antineutrophil cytoplasmic antibody in rheumatoid arthritis. A marker of severe disease with associated nephropathy. Arthritis Rheum. Off. J. Am. Coll. Rheumatol. 1997, 40, 710–717. [Google Scholar] [CrossRef]
- Draibe, J.; Salama, A.D. Association of ANCA associated vasculitis and rheumatoid arthritis: A lesser recognized overlap syndrome. SpringerPlus 2015, 4, 50. [Google Scholar] [CrossRef] [PubMed]
- Ramos-Casals, M.; Nardi, N.; Brito-Zerón, P.; Aguiló, S.; Gil, V.; Delgado, G.; Bové, A.; Font, J. Atypical Autoantibodies in Patients with Primary Sjogren Syndrome: Clinical Characteristics and Follow-Up of 82 Cases. Semin. Arthritis Rheum. 2006, 35, 312–321. [Google Scholar] [CrossRef] [PubMed]
- Lee, S.B.; Choi, H.; Kim, M.K.; Jung, S.M.; Song, J.J.; Park, Y.-B.; Lee, S.-W. Can antineutrophil cytoplasmic antibody positivity at diagnosis predict the poor outcomes of Sjogren’s syndrome? Rheumatol. Int. 2019, 40, 1063–1070. [Google Scholar] [CrossRef] [PubMed]
- Guellec, D.; Gall, C.L.; Groh, M.; Hachulla, E.; Karrase, A.; Charles, P.; Dunogué, B.; Abad, S.; Alvarez, F.; Gérard, F.; et al. ANCA-associated vasculitis in patients with primary Sjogren’s syndrome: Detailed analysis of 7 new cases and systematic literature review. Autoimmun. Rev. 2015, 14, 742–750. [Google Scholar] [CrossRef] [PubMed]

Publisher’s Note: MDPI stays neutral with regard to jurisdictional claims in published maps and institutional affiliations. |
© 2022 by the authors. Licensee MDPI, Basel, Switzerland. This article is an open access article distributed under the terms and conditions of the Creative Commons Attribution (CC BY) license (https://creativecommons.org/licenses/by/4.0/).
Share and Cite
Cheng, T.; Zhi, H.; Liu, Y.; Zhang, S.; Song, Z.; Li, Y. Dual Anti-Glomerular Basement Membrane and Anti-Neutrophil Cytoplasmic Antibodies—Positive Rapidly Progressive Glomerulonephritis with Rheumatoid Arthritis and Sjogren’s Syndrome: A Case Report and Literature Review. J. Clin. Med. 2022, 11, 6793. https://doi.org/10.3390/jcm11226793
Cheng T, Zhi H, Liu Y, Zhang S, Song Z, Li Y. Dual Anti-Glomerular Basement Membrane and Anti-Neutrophil Cytoplasmic Antibodies—Positive Rapidly Progressive Glomerulonephritis with Rheumatoid Arthritis and Sjogren’s Syndrome: A Case Report and Literature Review. Journal of Clinical Medicine. 2022; 11(22):6793. https://doi.org/10.3390/jcm11226793
Chicago/Turabian StyleCheng, Ting, Huiwen Zhi, Yunxiao Liu, Shengxiao Zhang, Ziyi Song, and Yafeng Li. 2022. "Dual Anti-Glomerular Basement Membrane and Anti-Neutrophil Cytoplasmic Antibodies—Positive Rapidly Progressive Glomerulonephritis with Rheumatoid Arthritis and Sjogren’s Syndrome: A Case Report and Literature Review" Journal of Clinical Medicine 11, no. 22: 6793. https://doi.org/10.3390/jcm11226793
APA StyleCheng, T., Zhi, H., Liu, Y., Zhang, S., Song, Z., & Li, Y. (2022). Dual Anti-Glomerular Basement Membrane and Anti-Neutrophil Cytoplasmic Antibodies—Positive Rapidly Progressive Glomerulonephritis with Rheumatoid Arthritis and Sjogren’s Syndrome: A Case Report and Literature Review. Journal of Clinical Medicine, 11(22), 6793. https://doi.org/10.3390/jcm11226793

