Subcapsular Liver Hematoma—A Life-Threatening Condition in Preterm Neonates—A Case Series and Systematic Review of the Literature
Abstract
1. Introduction
2. Cases Presentation
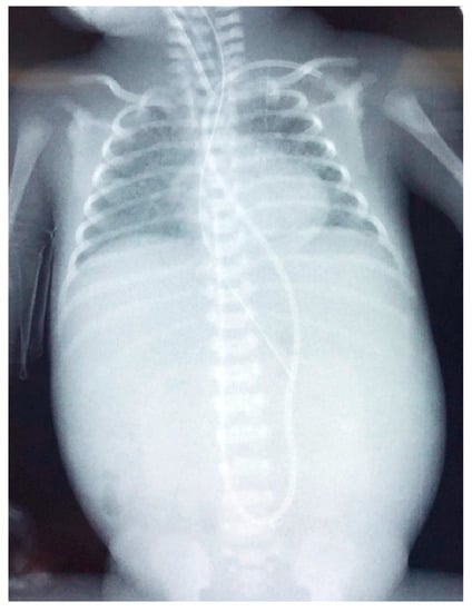
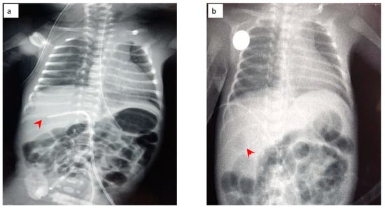
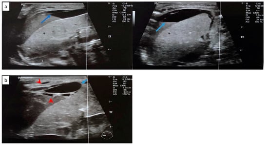
2.1. Case 1
2.2. Case 2
2.3. Case 3
3. Review of Literature
4. Discussion
5. Conclusions
Supplementary Materials
Author Contributions
Funding
Institutional Review Board Statement
Informed Consent Statement
Data Availability Statement
Conflicts of Interest
References
- Purisch, S.E.; Gyamfi-Bannerman, C. Epidemiology of preterm birth. Semin. Perinatol. 2017, 41, 387–391. [Google Scholar] [CrossRef] [PubMed]
- Theyskens, C.; Dams, A. Successful Treatment of Liver Rupture in a Premature Infant. Adv. Neonatal Care Off. J. Natl. Assoc. Neonatal Nurses 2011, 11, 25–26. [Google Scholar] [CrossRef] [PubMed]
- Anjay, M.A.; Sasidharan, C.K.; Anoop, P. Hepatic subcapsular hematoma: Two neonates with disparate presentations. Pediatrics Neonatol. 2012, 53, 144–146. [Google Scholar] [CrossRef] [PubMed]
- Park, J.H.; Cho, W.; Kwon, M.A. Unexpected extensive hemorrhage from a subcapsular hematoma of the liver during emergent laparotomy in a premature neonate. Saudi Med. J. 2019, 40, 836–839. [Google Scholar] [CrossRef]
- Singer, D.B.; Neave, C.; Oyer, C.E.; Pinar, H. Hepatic Subcapsular Hematomas in Fetuses and Neonatal Infants. Pediatric Dev. Pathol. 1999, 2, 215–220. [Google Scholar] [CrossRef]
- Sokou, R.; Piovani, D.; Konstantinidi, A.; Tsantes, A.G.; Parastatidou, S.; Lampridou, M.; Ioakeimidis, G.; Gounaris, A.; Iacovidou, N.; Kriebardis, A.G.; et al. A Risk Score for Predicting the Incidence of Hemorrhage in Critically Ill Neonates: Development and Validation Study. Thromb. Haemost. 2021, 121, 131–139. [Google Scholar] [CrossRef]
- Sokou, R.; Foudoulaki-Paparizos, L.; Lytras, T.; Konstantinidi, A.; Theodoraki, M.; Lambadaridis, I.; Gounaris, A.; Valsami, S.; Politou, M.; Gialeraki, A.; et al. Reference ranges of thromboelastometry in healthy full-term and pre-term neonates. Clin. Chem. Lab. Med. 2017, 55, 1592–1597. [Google Scholar] [CrossRef]
- Theodoraki, M.; Sokou, R.; Valsami, S.; Iliodromiti, Z.; Pouliakis, A.; Parastatidou, S.; Karavana, G.; Ioakeimidis, G.; Georgiadou, P.; Iacovidou, N.; et al. Reference Values of Thrombolastometry Parameters in Healthy Term Neonates. Children 2020, 7, 259. [Google Scholar] [CrossRef]
- Ahn, H.S.; Chang, Y.W.; Lee, D.W.; Kwon, K.H.; Yang, S.B. An incidentally detected hepatic subcapsular hematoma in a very low birth weight newborn: A case report. Cases J. 2010, 3, 32. [Google Scholar] [CrossRef][Green Version]
- Amoury, R.A.; Barth, G.W.; Hall, R.T.; Rhodes, P.G.; Holder, T.M.; Ashcraft, K.W. Scrotal ecchymosis: Sign of intraperitoneal hemorrhage in the newborn. South. Med. J. 1982, 75, 1471–1475, 1478. [Google Scholar] [CrossRef]
- Buxton, P.J.; Maheswaran, P.; Dewbury, K.C.; Moore, I.E. Neonatal hepatic calcification in subcapsular haematoma with hydrops fetalis. Br. J. Radiol. 1991, 64, 1058–1060. [Google Scholar] [CrossRef] [PubMed]
- Charif, P. Subcapsular hemorrhage of the liver in the newborn. An inquiry into its causes. Clin. Pediatrics 1964, 3, 428–431. [Google Scholar] [CrossRef] [PubMed]
- Chen, C.M.; Hsu, Y.H. Subcapsular hemorrhage of the liver in a neonate with extremely low birthweight. J. Formos. Med. Assoc. 1993, 92, 1104–1106. [Google Scholar]
- Cohen, M.; Sprigg, A.; Roberts, I.; Bustani, P. Subcapsular haematoma and multifocal necrosis as fatal liver complications following umbilical vein catheterisation in a premature baby. Eur. J. Pediatric Surg. 2006, 16, 55–57. [Google Scholar] [CrossRef] [PubMed]
- Costa, S.; De Carolis, M.P.; Savarese, I.; Lacerenza, S.; Romagnoli, C. Hepatic hematoma in a neonate with a high level of alpha-fetoprotein. Eur. J. Pediatrics 2008, 167, 591–593. [Google Scholar] [CrossRef]
- Cywes, S. Haemoperitoneum in the newborn. S. Afr. Med. J. 1967, 41, 1063–1073. [Google Scholar]
- Emma, F.; Smith, J.; Moerman, P.H.; Devlieger, H.; Vanhole, C.; de Zegher, F.; Eggermont, E. Subcapsular hemorrhage of the liver and hemoperitoneum in premature infants: Report of 4 cases. Eur. J. Obstet. Gynecol. Reprod. Biol. 1992, 44, 161–164. [Google Scholar] [CrossRef]
- Foss, K. A case report of a low-birth-weight infant with a subcapsular liver hematoma and spontaneous bowel perforation. Adv. Neonatal Care Off. J. Natl. Assoc. Neonatal Nurses 2004, 4, 67–78. [Google Scholar] [CrossRef]
- French, C.E.; Waldstein, G. Subcapsular hemorrhage of the liver in the newborn. Pediatrics 1982, 69, 204–208. [Google Scholar] [CrossRef]
- Rogers, G. Hemoperitoneum resulting from hepatic birth traumatism. Am. J. Obst. Gynec. 1934, 27, 841–850. [Google Scholar] [CrossRef]
- Gonçalves, C.; Aguilar, S.; Prior, A.R.; Oliveira, G. Hepatic subcapsular haematoma in a premature newborn. BMJ Case Rep. 2013, 2013. [Google Scholar] [CrossRef] [PubMed]
- Gruenwald, P. Rupture of liver and spleen in the newborn infant. J. Pediatrics 1948, 33, 195–201. [Google Scholar] [CrossRef]
- Iino, S.; Sawada, T.; Kusunoki, T. Case report. Computed tomography in neonatal subcapsular hemorrhage of the liver. J. Comput. Assist. Tomogr. 1981, 5, 416–417. [Google Scholar] [CrossRef] [PubMed]
- Ilhan, O.; Arun Ozer, E.; Pekcevik, Y.; Alkan Ozdemir, S.; Akbay, S.; Memur, S.; Kanar, B.; Mansur Tatli, M. Scrotal Hematoma as a Sign of Subcapsular Liver Hematoma in a Preterm Infant. Pediatrics Neonatol. 2017, 58, 95–96. [Google Scholar] [CrossRef][Green Version]
- Kosumi, T.; Kubota, A.; Yonekura, T.; Hoki, M.; Asano, S.; Hirooka, S.; Kato, M.; Yasuda, A.; Oyanagi, H.; Nakajima, T. Subcapsular hemorrhage of the liver in a very-low-birth-weight neonate: Survival after decompression laparotomy. Pediatric Surg. Int. 1999, 15, 270–271. [Google Scholar] [CrossRef]
- Lee, J.H.; Im, S.A. Neonatal subcapsular hepatic hematomas presenting as a scrotal wall hematoma. Pediatrics Int. Off. J. Jpn. Pediatric Soc. 2011, 53, 777–779. [Google Scholar] [CrossRef] [PubMed]
- Maher, J.E.; Van Beek, B.; Kelly, R.T.; Hsu, P. Spontaneous Subcapsular Hematoma of the Fetal Liver: A Case Report and Review of Literature. AJP Rep 2015, 05, e203–e206. [Google Scholar]
- Maze, A.; Lieber, M.A.; Aballi, A.J. Neonatal subcapsular hematoma of the liver presenting as an abdominal mass. Report of two cases. Clin. Pediatrics 1979, 18, 307, 311–312. [Google Scholar] [CrossRef]
- Monson, D.O.; Raffensperger, J.G. Intraperitoneal hemorrhage secondary to liver laceration in a newborn. J. Pediatric Surg. 1967, 2, 464–468. [Google Scholar] [CrossRef]
- Mouratidis, B.; Antonio, G. Sonographic diagnosis of subcapsular liver hematoma mimicking tumor in a neonate. J. Clin. Ultrasound 2000, 28, 53–57. [Google Scholar] [CrossRef]
- Mouzard, A.; Cohen, J.Y.; Huault, G. Ultrasonography in subcapsular hematomas of the liver in the newborn. Pediatrics 1982, 70, 1016. [Google Scholar] [CrossRef] [PubMed]
- Ryan, C.A.; Finer, N.N. Subcapsular hematoma of the liver in infants of very low birth weight. CMAJ Can. Med. Assoc. J. 1987, 136, 1265–1269. [Google Scholar] [PubMed]
- Santos, C.M.; Zamboni, T.G.; Hasson, D.; Poblete, S.M.; Vargas, H.P. Minimally invasive therapy for the resolution of a subcapsular hepatic hematoma in a newborn. Andes Pediatrica Rev. Chil. Pediatr. 2021, 92, 99–103. [Google Scholar] [CrossRef]
- Shankaran, S.; Elias, E.; Ilagan, N. Subcapsular hemorrhage of the liver in the very low birthweight neonate. Acta Paediatr. Scand. 1991, 80, 616–619. [Google Scholar] [CrossRef]
- Strear, C.M.; Graf, J.L.; Albanese, C.T.; Harrison, M.R.; Jennings, R.W. Successful treatment of liver hemorrhage in the premature infant. J. Pediatric Surg. 1998, 33, 849–851. [Google Scholar] [CrossRef]
- VanderKolk, W.E.; Kurz, P.; Daniels, J.; Warner, B.W. Liver hemorrhage during laparotomy in patients with necrotizing enterocolitis. J. Pediatric Surg. 1996, 31, 1063–1067. [Google Scholar] [CrossRef]
- Watanabe, T.; Tajima, K.; Shimomura, T.; Suenaga, Y.; Murase, M. Intra-abdominal bleeding after repair of total anomalous pulmonary venous connection. Thorac. Cardiovasc. Surg. 1997, 45, 207–209. [Google Scholar] [CrossRef]
- Shalaby, M.S.; Walker, G. Preterm with appendicular abscess and subcapsular liver haematoma: An unreported association. Ann. Pediatric Surg. 2014, 10, 95–96. [Google Scholar] [CrossRef]
- Henderson, J.L. Hepatic Haemorrhage in Stillborn and Newborn Infants A Clinical and Pathological Study of Forty-seven Cases. BJOG Int. J. Obstet. Gynaecol. 1941, 48, 377–388. [Google Scholar] [CrossRef]
- Oshio, T.; Hino, M.; Nakamizo, H.; Yoshikawa, K.; Takano, S. A case of subcapsular rupture of liver in a neonate associated with hemophilia A. J. Pediatric Surg. 2006, 41, 1470–1472. [Google Scholar] [CrossRef]
- Sokol, D.M.; Tompkins, D.; Izant, R.J. Rupture of the spleen and liver in the newborn: A report of the first survivor and a review of the literature. J. Pediatric Surg. 1974, 9, 227–229. [Google Scholar] [CrossRef]
- Wolfrom, I. Rupture of the liver in the newborn. Arch. Dis. Child. 1959, 34, 30–32. [Google Scholar] [CrossRef] [PubMed][Green Version]
- Vachharajani, A.; Paes, B. Spontaneous rupture of the liver presenting as scrotal bruising. Am. J. Perinatol. 2001, 18, 147–149. [Google Scholar] [CrossRef] [PubMed]
- HODGE, J. Fatal hemorrhage from liver in infant 24 days. Am. J. Med. Sc. 1870, 59, 416. [Google Scholar]
- Pignotti, M.S.; Fiorini, P.; Donzelli, G.; Messineo, A. Neonatal hemoperitoneum: Unexpected birth trauma with fatal consequences. J. Clin. Neonatol. 2013, 2, 143–145. [Google Scholar] [CrossRef]
- Konstantinidi, A.; Sokou, R.; Parastatidou, S.; Lampropoulou, K.; Katsaras, G.; Boutsikou, T.; Gounaris, A.K.; Tsantes, A.E.; Iacovidou, N. Clinical Application of Thromboelastography/Thromboelastometry (TEG/TEM) in the Neonatal Population: A Narrative Review. Semin. Thromb. Hemost. 2019, 45, 449–457. [Google Scholar] [CrossRef]
- Sokou, R.; Tritzali, M.; Piovani, D.; Konstantinidi, A.; Tsantes, A.G.; Ioakeimidis, G.; Lampridou, M.; Parastatidou, S.; Iacovidou, N.; Kokoris, S.; et al. Comparative Performance of Four Established Neonatal Disease Scoring Systems in Predicting In-Hospital Mortality and the Potential Role of Thromboelastometry. Diagnostics 2021, 11, 1955. [Google Scholar] [CrossRef]
- Monagle, P.; Barnes, C.; Ignjatovic, V.; Furmedge, J.; Newall, F.; Chan, A.; De Rosa, L.; Hamilton, S.; Ragg, P.; Robinson, S.; et al. Developmental haemostasis. Thromb. Haemost. 2006, 95, 362–372. [Google Scholar] [CrossRef]
- Ignjatovic, V. 30 years of developmental haemostasis: What have we learnt and how are we applying this knowledge. Thromb. Res. 2018, 172, 188–189. [Google Scholar] [CrossRef]
- Revel-Vilk, S. The conundrum of neonatal coagulopathy. Hematology 2012, 2012, 450–454. [Google Scholar] [CrossRef]
- Davenport, P.; Sola-Visner, M. Hemostatic Challenges in Neonates. Front. Pediatrics 2021, 9, 627715. [Google Scholar] [CrossRef] [PubMed]
- Venkatesh, V.; Curley, A.; Khan, R.; Clarke, P.; Watts, T.; Josephson, C.; Muthukumar, P.; New, H.; Seeney, F.; Morris, S.; et al. A novel approach to standardised recording of bleeding in a high risk neonatal population. Arch. Dis. Childhood Fetal Neonatal Ed. 2013, 98, F260–F263. [Google Scholar] [CrossRef] [PubMed]
- Sokou, R.; Parastatidou, S.; Konstantinidi, A.; Tsantes, A.G.; Iacovidou, N.; Doxani, C.; Piovani, D.; Bonovas, S.; Stefanidis, I.; Zintzaras, E.; et al. Fresh frozen plasma transfusion in the neonatal population: A systematic review. Blood Rev. 2022, 55, 100951. [Google Scholar] [CrossRef] [PubMed]
- Rezende-Neto, J.; Doshi, S.; Gomez, D.; Camilotti, B.; Marcuzzi, D.; Beckett, A. A novel inflatable device for perihepatic packing and hepatic hemorrhage control: A proof-of-concept study. Injury 2022, 53, 103–111. [Google Scholar] [CrossRef]









| Case 1 | Case 2 | Case 3 | ||||
|---|---|---|---|---|---|---|
| Gestational age (weeks) | 23+4 | 28+3 | 26+4 | |||
| Birth weight (g) | 770 | 1025 | 900 | |||
| Gender | female | female | female | |||
| The symptoms onset time (day of life) | 2 | 6 | 1 | |||
| Clinical manifestations | Poor perfusion, anemia, hypotension, distension of the abdomen with bluish coloration | Poor perfusion, anemia, hemodynamic instability, abdominal distension | Paleness, desaturation events, tachycardia, hypovolemia | |||
| Treatment | Conservative | Conservative, peritoneal fluid drainage | Conservative | |||
| Outcome | Death | Death | Survived | |||
| Case 1 | Case 2 | Case 3 | ||||
| 1st day of life | Measurements at the onset of clinical deterioration | 1st day of life | Measurements at the onset of clinical deterioration | 1st day of life | Measurements at the onset of clinical deterioration | |
| WBC (K/μL) | 8.67 | 12.74 | 12.89 | 18.41 | 8.94 | 11.91 |
| Hb (g/dL) | 11.3 | 5.3 | 14.6 | 4.3 | 14.1 | 6.9 |
| PLT (K/μL) | 99 | 48 | 59 | 17 | 238 | 153 |
| EXTEM CT (s) | N/A | 128 | 54 | 163 | N/A | 62 |
| EXTEM CFT (s) | N/A | 277 | 190 | 650 | N/A | 87 |
| EXTEM A5 (mm) | N/A | 21 | 26 | 12 | N/A | 42 |
| EXTEM A10 (mm) | N/A | 29 | 37 | 19 | N/A | 53 |
| EXTEM MCF (mm) | N/A | 38 | 48 | 32 | N/A | 58 |
| EXTEM LI60 (%) | N/A | 100 | 100 | 100 | N/A | 98 |
| FIBTEM A5 (mm) | N/A | 5 | 13 | 4 | N/A | 19 |
| FIBTEM A10 (mm) | N/A | 6 | 15 | 4 | N/A | 21 |
| FIBTEM MCF (mm) | N/A | 6 | 20 | 4 | N/A | 26 |
| PT (s) | N/A | 72.2 | N/A | N/A | N/A | N/A |
| aPTT (s) | N/A | 136.7 | N/A | >180 | N/A | N/A |
| INR | N/A | 6.17 | N/A | N/A | N/A | N/A |
| Fibrinogen mg/dL | N/A | 43 | N/A | <40 | N/A | N/A |
| ΝeoBRis | N/A | 641.3 | 309 | 704.3 | N/A | 81 |
Publisher’s Note: MDPI stays neutral with regard to jurisdictional claims in published maps and institutional affiliations. |
© 2022 by the authors. Licensee MDPI, Basel, Switzerland. This article is an open access article distributed under the terms and conditions of the Creative Commons Attribution (CC BY) license (https://creativecommons.org/licenses/by/4.0/).
Share and Cite
Liakou, P.; Batsiou, A.; Konstantinidi, A.; Theodoraki, M.; Taliaka Kopanou, P.; Tavoulari, E.-F.; Tsantes, A.G.; Piovani, D.; Bonovas, S.; Tsantes, A.E.; et al. Subcapsular Liver Hematoma—A Life-Threatening Condition in Preterm Neonates—A Case Series and Systematic Review of the Literature. J. Clin. Med. 2022, 11, 5684. https://doi.org/10.3390/jcm11195684
Liakou P, Batsiou A, Konstantinidi A, Theodoraki M, Taliaka Kopanou P, Tavoulari E-F, Tsantes AG, Piovani D, Bonovas S, Tsantes AE, et al. Subcapsular Liver Hematoma—A Life-Threatening Condition in Preterm Neonates—A Case Series and Systematic Review of the Literature. Journal of Clinical Medicine. 2022; 11(19):5684. https://doi.org/10.3390/jcm11195684
Chicago/Turabian StyleLiakou, Paraskevi, Anastasia Batsiou, Aikaterini Konstantinidi, Martha Theodoraki, Paschalia Taliaka Kopanou, Evangelia-Filothei Tavoulari, Andreas G. Tsantes, Daniele Piovani, Stefanos Bonovas, Argirios E. Tsantes, and et al. 2022. "Subcapsular Liver Hematoma—A Life-Threatening Condition in Preterm Neonates—A Case Series and Systematic Review of the Literature" Journal of Clinical Medicine 11, no. 19: 5684. https://doi.org/10.3390/jcm11195684
APA StyleLiakou, P., Batsiou, A., Konstantinidi, A., Theodoraki, M., Taliaka Kopanou, P., Tavoulari, E.-F., Tsantes, A. G., Piovani, D., Bonovas, S., Tsantes, A. E., Iacovidou, N., & Sokou, R. (2022). Subcapsular Liver Hematoma—A Life-Threatening Condition in Preterm Neonates—A Case Series and Systematic Review of the Literature. Journal of Clinical Medicine, 11(19), 5684. https://doi.org/10.3390/jcm11195684

