Endoscopic Features of Autoimmune Gastritis: Focus on Typical Images and Early Images
Abstract
:1. Introduction
2. Pathophysiology
3. Epidemiological and Clinical Findings
4. Findings of typical AIG
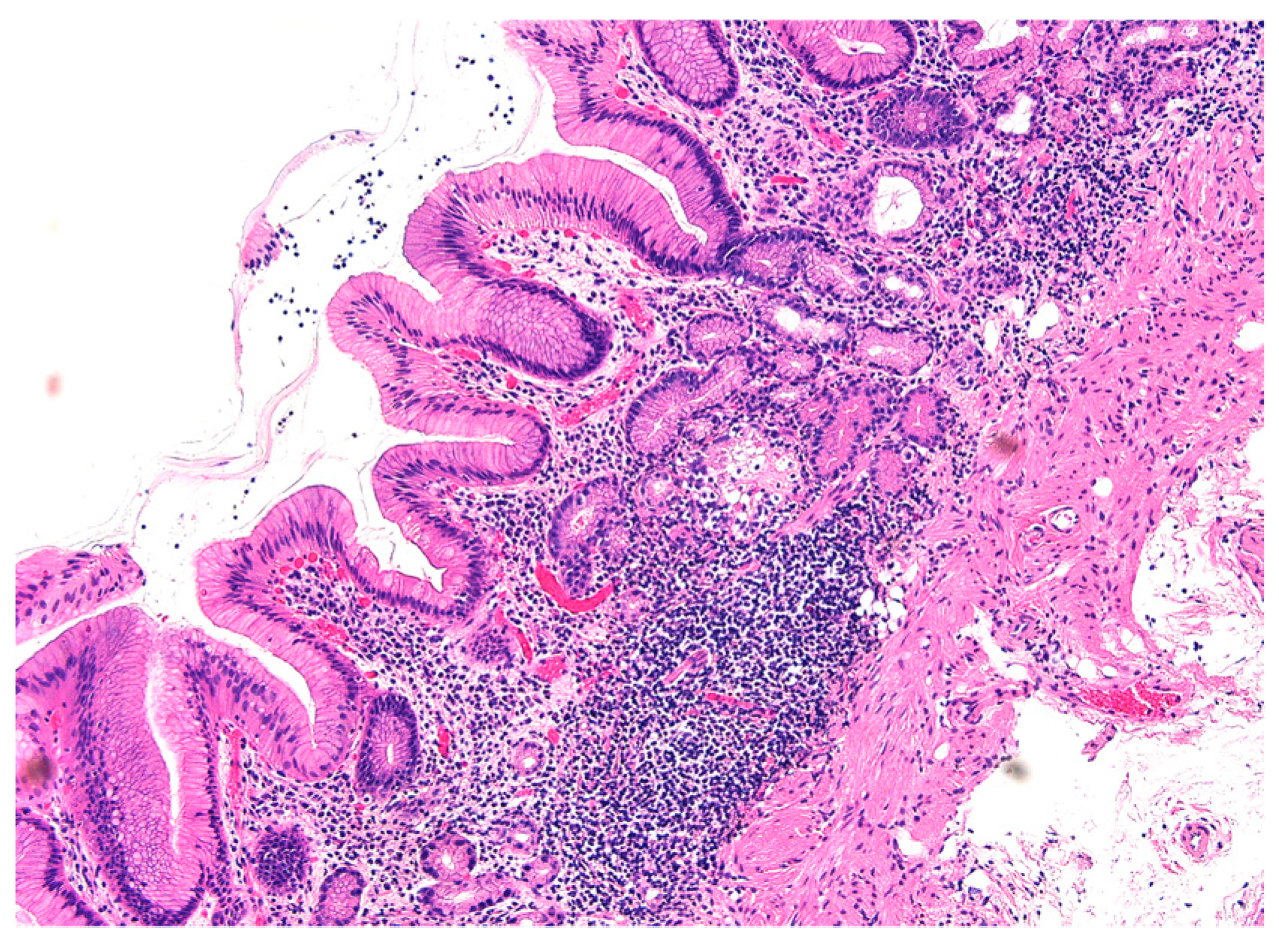
4.1. Histopathological Findings
4.2. Endoscopic Findings
4.2.1. Findings via White Light Observation
4.2.2. Findings via IEE
5. Findings of Early AIG
6. Conclusions
Author Contributions
Funding
Institutional Review Board Statement
Informed Consent Statement
Data Availability Statement
Conflicts of Interest
References
- Strickland, R.G.; Mackay, I.R. A reappraisal of the nature and significance of chronic atrophic gastritis. Am. J. Dig. Dis. 1973, 18, 426–440. [Google Scholar] [CrossRef] [PubMed]
- Kurokawa, K.; Maruyama, M.; Watanabe, S.; Shiratori, K.; Ota, Y.; Suzuki, H.; Takemoto, T. Study of the gastric mucosal atrophic pattern and the complication of gastric cancer in pernicious anemia patients and their family members. Gastroenterol. Endosc. 1981, 23, 66–77. (In Japanese) [Google Scholar]
- Kamada, T.; Monobe, Y.; Haruma, K. Clinical features and endoscopic findings of autoimmune gastritis and resultant gastric tumor. Gastroenterol. Endosc. 2021, 63, 1520–1536. (In Japanese) [Google Scholar]
- Toh, B.H.; van Driel, I.R.; Gleeson, P.A. Pernicious anemia. N. Engl. J. Med. 1997, 337, 1441–1448. [Google Scholar] [CrossRef] [PubMed]
- Fisher, J.M.; Rees, C.; Taylor, K. Intrinsic-factor antibodies in gastric juice of pernicious—Anemia patients. Lancet 1966, 2, 88–89. [Google Scholar] [CrossRef]
- Hershko, C.; Patz, J.; Ronson, A. The anemia of achylia gastrica revisited. Blood Cells Mol. Dis. 2007, 39, 178–183. [Google Scholar] [CrossRef]
- Miceli, E.; Lenti, M.V.; Padula, D.; Luinetti, O.; Vattiato, C.; Monti, C.M.; Di Stefano, M.; Corazza, G.R. Common features of patients with autoimmune atrophic gastritis. Clin. Gastroenterol. Hepatol. 2012, 10, 812–814. [Google Scholar] [CrossRef]
- Terao, S.; Suzuki, S.; Yaita, H.; Kurahara, K.; Shunto, J.; Furuta, T.; Maruyama, Y.; Ito, M.; Kamada, T.; Aoki, R.; et al. Multicenter study of autoimmune gastritis in Japan: Clinical and endoscopic characteristics. Dig. Endosc. 2020, 32, 364–372. [Google Scholar] [CrossRef]
- Toh, B.H.; Gleeson, P.A.; Simpson, R.J.; Moritz, R.L.; Callaghan, J.M.; Goldkorn, I.; Jones, C.M.; Martinelli, T.M.; Mu, F.T.; Humphris, D.C. The 60-to 90-kDa parietal cell autoantigen associated with autoimmune gastritis is a beta subunit of the gastric H+/K(+)-ATPase (proton pump). Proc. Natl. Acad. Sci. USA 1990, 87, 6418–6422. [Google Scholar] [CrossRef] [Green Version]
- Kojima, A.; Taguchi, O. Experimental production of possible autoimmune castritis followed by macrocytic anemia in athymic nude mice. Lab. Investig. 1980, 42, 387–395. [Google Scholar]
- Negrini, R.; Lisato, L.; Zanella, I.; Cavazzini, L.; Gullini, S.; Villanacci, V.; Poiesi, C.; Albertini, A.; Ghielmi, S. Helicobacter pylori infection induces antibodies cross-reacting with human gastric mucosa. Gastroenterology 1991, 101, 437–445. [Google Scholar] [CrossRef]
- Amedei, A.; Bergman, M.P.; Appelmelk, B.J.; Azzurri, A.; Benagiano, M.; Tamburini, C.; van der Zee, R.; Telford, J.L.; Vandenbroucke-Grauls, C.M.; D’Elios, M.M.; et al. Molecular mimicry between Helicobacter pylori antigens and H+, K+—Adenosine triphosphatase in human gastric autoimmunity. J. Exp. Med. 2003, 198, 1147–1156. [Google Scholar] [CrossRef] [PubMed]
- Sumi, N.; Haruma, K.; Urata, N.; Tanigawa, T.; Nakamura, J.; Suehiro, M.; Sasai, T.; Kawamoto, H.; Monobe, Y.; Takao, T.; et al. Autoimmune gastritis with rapid development of corpus atrophy found after H. pylori eradication therapy, report of a case. Stomach Intest. 2019, 54, 1053–1057. (In Japanese) [Google Scholar]
- Okazaki, K.; Ohana, M.; Oshima, C.; Uchida, K.; Nishi, T.; Iwano, M.; Fukui, T.; Kawasaki, K.; Matsuura, M.; Asada, M.; et al. Interaction of Helicobacter pylori-induced follicular gastritis and autoimmune gastritis in BALB/c mice with post-thymectomy autoimmune gastritis. J. Gastroenterol. 2003, 38, 1131–1137. [Google Scholar] [CrossRef]
- Neumann, W.L.; Coss, E.; Rugge, M.; Genta, R.M. Autoimmune atrophic gastritis-pathogenesis, pathology and management. Nat. Rev. Gastroenterol. Hepatol. 2013, 10, 529–541. [Google Scholar] [CrossRef]
- Minalyan, A.; Benhammou, J.N.; Artashesyan, A.; Lewis, M.S.; Pisegna, J.R. Autoimmune atrophic gastritis: Current perspectives. Clin. Exp. Gastroenterol. 2017, 10, 19–27. [Google Scholar] [CrossRef] [Green Version]
- Aoki, R.; Yasuda, M.; Shunto, J.; Haruma, K. Type A gastritis detected during endoscopic examination. Stomach Intest. 2019, 54, 1046–1052. (In Japanese) [Google Scholar]
- Kahaly, G.J. Polyglandular autoimmune syndromes. Eur. J. Endocrinol. 2009, 161, 11–20. [Google Scholar] [CrossRef] [Green Version]
- Greenson, J.K.; Lauwers, G.Y.; Montgomery, E.A.; Owens, S.R.; Polydorides, A.E. Diagnostic Pathology: Gastrointestinal, 3rd ed.; Elsevier: Amsterdam, The Netherlands, 2019; pp. 140–143. [Google Scholar]
- Itsuno, M.; Watanabe, H.; Iwafuchi, M.; Ito, S.; Yanaihara, N.; Sato, K.; Kikuchi, M.; Akiyama, N. Multiple carcinoids and endocrine cell micronests in type A gastritis. Their morphology, histogenesis, ndnatural history. Cancer 1989, 63, 881–890. [Google Scholar] [CrossRef]
- Krasinskas, A.M.; Abraham, S.C.; Metz, D.C.; Furth, E.E. Oxyntic mucosa pseudopolyps: A presentation of atrophic autoimmune gastritis. Am. J. Surg. Pathol. 2003, 27, 236–241. [Google Scholar] [CrossRef]
- Stockbrügger, R.W.; Menon, G.G.; Beilby, J.O.; Mason, R.R.; Cotton, P.B. Gastroscopic screening in 80 patients with pernicious anaemia. Gut 1983, 24, 1141–1147. [Google Scholar] [CrossRef] [PubMed]
- Soykan, I.; Yakut, M.; Keskin, O.; Bektaş, M. Clinical profiles, endoscopic and laboratory features and associated factors in patients with autoimmune gastritis. Digestion 2012, 86, 20–26. [Google Scholar] [CrossRef] [PubMed]
- Zhang, H.; Jin, Z.; Cui, R.; Ding, S.; Huang, Y.; Zhou, L. Autoimmune metaplastic atrophic gastritis in chinese: A study of 320 patients at a large tertiary medical center. Scand. J. Gastroenterol. 2017, 52, 150–156. [Google Scholar] [CrossRef] [PubMed]
- Yaita, H.; Kurahara, K. Clinicopathological features of gastric cancer in patients with autoimmune gastritis. Stomach Intest. 2019, 54, 1025–1034. (In Japanese) [Google Scholar]
- Zhang, H.; Nie, X.; Song, Z.; Cui, R.; Jin, Z. Hyperplastic polyps arising in autoimmune metaplastic atrophic gastritis patients: Is this a distinct clinicopathological entity? Scand. J. Gastroenterol. 2018, 53, 1186–1193. [Google Scholar] [CrossRef]
- Furuta, T.; Baba, S.; Yamade, M.; Uotani, T.; Kagami, T.; Suzuki, T.; Tani, S.; Hamaya, Y.; Iwaizumi, M.; Osawa, S.; et al. High incidence of autoimmune gastritis in patients misdiagnosed with two or more failures of H. pylori eradication. Aliment. Pharmacol. Ther. 2018, 48, 370–377. [Google Scholar] [CrossRef] [Green Version]
- Kishino, M.; Fujii, Y. Endoscopic features of autoimmune gastritis. In Proceedings of the 102nd Congress of the Japan Gastroenterological Endoscopy Society, Kobe, Japan, 4–7 November 2021; p. 2009. (In Japanese). [Google Scholar]
- Maruyama, Y.; Kageoka, M. Diagnosis of Type A gastritis. Stomach Intest. 2016, 51, 77–86. (In Japanese) [Google Scholar]
- Vannella, L.; Lahner, E.; Osborn, J.; Annibale, B. Systematic review: Gastric cancer incidence in pernicious anaemia. Aliment. Pharmacol. Ther. 2013, 37, 375–382. [Google Scholar] [CrossRef]
- Kamada, T.; Maruyama, Y.; Monobe, Y.; Haruma, K. Endoscopic features and clinical importance of autoimmune gastritis. Dig. Endosc. 2021, 21, 14175. [Google Scholar] [CrossRef]
- Doyama, H.; Yoshida, N.; Tsuyama, S.; Ota, R.; Takeda, Y.; Nakanishi, H.; Tsuji, K.; Tominaga, K.; Tsuji, S.; Takemura, K.; et al. The “white globe appearance” (WGA): A novel marker for a correct diagnosis of early gastric cancer by magnifying endoscopy with narrow-band imaging (M-NBI). Endosc. Int. Open 2015, 3, E120–E124. [Google Scholar] [CrossRef] [Green Version]
- Yagi, K.; Nakamura, A.; Sekine, A.; Graham, D. Features of the atrophic corpus mucosa in three cases of autoimmune gastritis revealed by magnifying endoscopy. Case Rep. Med. 2012, 2012, 368160. [Google Scholar] [CrossRef] [PubMed] [Green Version]
- Maruyama, Y.; Yoshii, M.; Kageoka, M. Features of magnifying endoscopic findings in type A gastritis. Stomach Intest. 2018, 53, 1516–1521. (In Japanese) [Google Scholar]
- Kato, M.; Uedo, N.; Toth, E.; Shichijo, S.; Maekawa, A.; Kanesaka, T.; Takeuchi, Y.; Yamamoto, S.; Higashino, K.; Ishihara, R.; et al. Differences in image-enhanced endoscopic findings between Helicobacter pylori-associated and autoimmune gastritis. Endosc. Int. Open 2021, 9, E22–E30. [Google Scholar] [CrossRef] [PubMed]
- Kanzaki, H.; Uedo, N.; Ishihara, R.; Nagai, K.; Matsui, F.; Ohta, T.; Hanafusa, M.; Hanaoka, N.; Takeuchi, Y.; Higashino, K.; et al. Comprehensive investigation of areae gastricae pattern in gastric corpus using magnifying narrow band imaging endoscopy in patients with chronic atrophic fundic gastritis. Helicobacter 2012, 17, 224–231. [Google Scholar] [CrossRef] [Green Version]
- Ayaki, M.; Aoki, R.; Mastunaga, T.; Manabe, N.; Fujita, M.; Kamada, T.; Kobara, H.; Masaki, T.; Haruma, K. Endoscopic and Upper Gastrointestinal Barium X-ray Radiography Images of Early-stage Autoimmune Gastritis: A Report of Two Cases. Intern. Med. 2021, 29, 1691–1696. [Google Scholar] [CrossRef]
- Kishino, M.; Yao, K.; Hashimoto, H.; Nitta, H.; Kure, R.; Yamamoto, A.; Yamamoto, K.; Nonaka, K.; Nakamura, S.; Tokushige, K. A case of early autoimmune gastritis with characteristic endoscopic findings. Clin. J. Gastroenterol. 2021, 14, 718–724. [Google Scholar] [CrossRef]
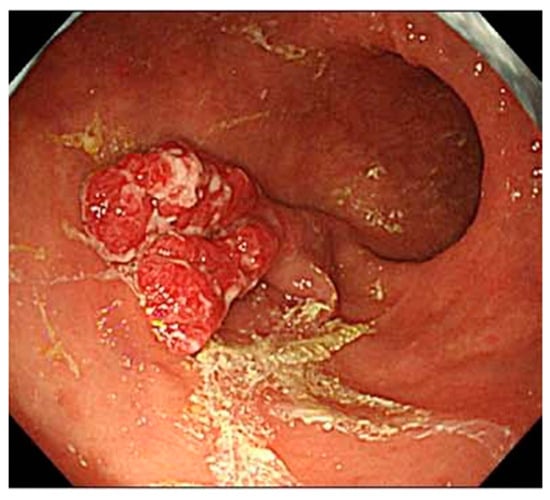
- Kotera, T.; Oe, K.; Kushima, R.; Haruma, K. Multiple Pseudopolyps Presenting as Reddish Nodules Are a Characteristic Endoscopic Finding in Patients with Early-stage Autoimmune Gastritis. Intern. Med. 2020, 59, 2995–3000. [Google Scholar] [CrossRef]
- Kotera, T.; Yamanishi, M.; Kushima, R.; Haruma, K. Early autoimmune gastritis presenting with a normal endoscopic appearance. Clin. J. Gastroenterol. 2022, 15, 547–552. [Google Scholar] [CrossRef]











| Author | Year | Country | Case No. | Sex | Age | Endoscopic Features | PCA | IFA | Ga. (pg/mL) | PG1 (ng/mL) | PG1/2 |
|---|---|---|---|---|---|---|---|---|---|---|---|
| Kotera et al. [39] | 2020 | Japan | 1 | Male | 48 | a-1 | 640× | − | 709 | unk | unk |
| 2 | Female | 70 | a-2 | 640× | + | 5265 | unk | unk | |||
| Ayaki et al. [37] | 2021 | Japan | 1 | Female | 40 | b-1 | 640× | unk | 894 | unk | unk |
| 2 | Female | 35 | b-2 | 160× | unk | 1804 | unk | unk | |||
| Kishino et al. [38] | 2021 | Japan | 1 | Female | 50 | c | 320× | − | 820 | 72.7 | 4.1 |
| Kotera et al. [40] | 2022 | Japan | 1 | Male | 66 | d | 320× | + | 338 | 56.1 | 7.6 |
Publisher’s Note: MDPI stays neutral with regard to jurisdictional claims in published maps and institutional affiliations. |
© 2022 by the authors. Licensee MDPI, Basel, Switzerland. This article is an open access article distributed under the terms and conditions of the Creative Commons Attribution (CC BY) license (https://creativecommons.org/licenses/by/4.0/).
Share and Cite
Kishino, M.; Nonaka, K. Endoscopic Features of Autoimmune Gastritis: Focus on Typical Images and Early Images. J. Clin. Med. 2022, 11, 3523. https://doi.org/10.3390/jcm11123523
Kishino M, Nonaka K. Endoscopic Features of Autoimmune Gastritis: Focus on Typical Images and Early Images. Journal of Clinical Medicine. 2022; 11(12):3523. https://doi.org/10.3390/jcm11123523
Chicago/Turabian StyleKishino, Maiko, and Kouichi Nonaka. 2022. "Endoscopic Features of Autoimmune Gastritis: Focus on Typical Images and Early Images" Journal of Clinical Medicine 11, no. 12: 3523. https://doi.org/10.3390/jcm11123523
APA StyleKishino, M., & Nonaka, K. (2022). Endoscopic Features of Autoimmune Gastritis: Focus on Typical Images and Early Images. Journal of Clinical Medicine, 11(12), 3523. https://doi.org/10.3390/jcm11123523

