Multimodality Imaging in the Study of the Left Atrium
Abstract
:1. Introduction
2. Anatomy and Functions of the LA
3. Multimodality Imaging of the LA Echocardiography
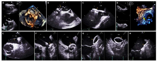
3.1. TTE
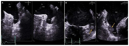
3.2. TEE
3.3. CMR
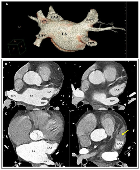
3.4. MDCT
4. Electroanatomical Mapping of the LA
4.1. Technique of Maps Acquisition
4.2. Types of Electroanatomical Maps: A Single Set of Collected Data Can Be Used to Display Several Types of Maps
- Local Activation Time isochronal maps display color-coded activation times for each collected location. The local activation time is the difference in milliseconds between detected activation on the roving waveform and the reference waveform (Figure 10). Reentrant arrhythmias differ in conduction velocity and refractory period. In accessory pathways, atrial impulses can travel through the atrioventricular node or through these abnormal pathways and may produce an excessive increase in the ventricular rate. The definitive treatment is the destruction of the electrical pathway by catheter ablation [58].
- Voltage maps or Substrate maps display color-coded voltage values for each collected location. The voltage is the difference in millivolts between the components of the detected activation complex on the roving waveform (Figure 11). Transition from paroxysmal to non-paroxysmal AF is often characterized by advancing atrial structural remodeling or worsening of atrial cardiomyopathy. During AF, the atria undergo electrophysiological and structural changes which promote the progression of AF. Among these changes, the accumulation of fibrosis is a key factor in determining a patient’s susceptibility to arrhythmias [9].
- Complex Fractionated Electrogram Mean maps provide a fractionation index based on the cycle length between multiple, discrete, local activations in an intracardiac electrogram. Collected points with a lower value are mapped toward the white end of the color spectrum.
5. Conclusions
Author Contributions
Funding
Institutional Review Board Statement
Informed Consent Statement
Data Availability Statement
Conflicts of Interest
Abbreviations
| AF | Atrial fibrillation |
| CMR | Cardiac magnetic resonance |
| LA | Left atrium |
| LAA | left atrial appendage |
| LV | Left ventricle |
| MDCT | Multidetector computed tomography |
| PVs | Pulmonary veins |
| TEE | Transesophageal echocardiography |
| TTE | Transthoracic echocardiography |
References
- Tsang, T.S.; Abhayaratna, W.P.; Barnes, M.E.; Miyasaka, Y.; Gersh, B.J.; Bailey, K.R.; Cha, S.S.; Seward, J.B. Prediction of cardiovascular outcomes with left atrial size: Is volume superior to area or diameter? J. Am. Coll. Cardiol. 2006, 47, 1018–1023. [Google Scholar] [CrossRef] [PubMed] [Green Version]
- Abhayaratna, W.P.; Seward, J.B.; Appleton, C.P.; Douglas, P.S.; Oh, J.K.; Tajik, A.J.; Tsang, T.S. Left atrial size: Physiologic determinants and clinical applications. J. Am. Coll. Cardiol. 2006, 47, 2357–2363. [Google Scholar] [CrossRef] [PubMed] [Green Version]
- Sun, H.; Gaspo, R.; Leblanc, N.; Nattel, S. Cellular mechanisms of atrial contractile dysfunction caused by sustained atrial tachycardia. Circulation 1998, 98, 719–727. [Google Scholar] [CrossRef] [Green Version]
- Hoit, B.D. Left atrial size and function: Role in prognosis. J. Am. Coll. Cardiol. 2014, 63, 493–505. [Google Scholar] [CrossRef] [PubMed]
- Hindricks, G.; Potpara, T.; Dagres, N.; Arbelo, E.; Bax, J.J.; Blomström-Lundqvist, C.; Boriani, G.; Castella, M.; Dan, G.A.; Dilaveris, P.E.; et al. 2020 ESC Guidelines for the diagnosis and management of atrial fibrillation developed in collaboration with the European Association for Cardio-Thoracic Surgery (EACTS): The Task Force for the diagnosis and management of atrial fibrillation of the European Society of Cardiology (ESC) Developed with the special contribution of the European Heart Rhythm Association (EHRA) of the ESC. Eur. Heart J. 2021, 42, 373–498. [Google Scholar] [PubMed]
- Deferm, S.; Bertrand, P.B.; Verbrugge, F.H.; Verhaert, D.; Rega, F.; Thomas, J.D.; Vandervoort, P.M. Atrial Functional Mitral Regurgitation: JACC Review Topic of the Week. J. Am. Coll. Cardiol. 2019, 73, 2465–2476. [Google Scholar] [CrossRef] [PubMed]
- Pritchett, A.M.; Mahoney, D.W.; Jacobsen, S.J.; Rodeheffer, R.J.; Karon, B.L.; Redfield, M.M. Diastolic dysfunction and left atrial volume: A population-based study. J. Am. Coll. Cardiol. 2005, 45, 87–92. [Google Scholar] [CrossRef] [PubMed] [Green Version]
- Debonnaire, P.; Joyce, E.; Hiemstra, Y.; Mertens, B.J.; Atsma, D.E.; Schalij, M.J.; Bax, J.J.; Delgado, V.; Marsan, N.A. Left atrial size and function in hypertrophic cardiomyopathy patients and risk of new-onset atrial fibrillation. Circ. Arrhythmia Electrophysiol. 2017, 10, e004052. [Google Scholar] [CrossRef]
- Goette, A.; Kalman, J.M.; Aguinaga, L.; Akar, J.; Cabrera, J.A.; Chen, S.A.; Chugh, S.S.; Corradi, D.; D’Avila, A.; Dobrev, D.; et al. EHRA/HRS/APHRS/SOLAECE expert consensus on atrial cardiomyopathies: Definition, characterization, and clinical implication. Europace 2016, 18, 1455–1490. [Google Scholar] [CrossRef]
- Appleton, C.P.; Galloway, J.M.; Gonzalez, M.S.; Gaballa, M.; Basnight, M.A. Estimation of left ventricular filling pressures using two-dimensional and Doppler echocardiography in adult patients with cardiac disease: Additional value of analyzing left atrial size, left atrial ejection fraction and the difference in duration of pulmonary venous and mitral flow velocity at atrial contraction. J. Am. Coll. Cardiol. 1993, 22, 1972–1982. [Google Scholar]
- Block, M.; Hourigan, L.; Bellows, W.H.; Reeves, J.; Romson, J.L.; Tran, M.; Pastor, D.; Schiller, N.B.; Leung, J.M. Comparison of left atrial dimensions by transesophageal and transthoracic echocardiography. J. Am. Soc. Echocardiogr. 2002, 15, 143–149. [Google Scholar] [CrossRef] [PubMed]
- Anderson, J.L.; Horne, B.D.; Pennell, D.J. Atrial dimensions in health and left ventricular disease using cardiovascular magnetic resonance. J. Cardiovasc. Magn. Reson. 2005, 7, 671–675. [Google Scholar] [CrossRef] [PubMed]
- Corradi, D.; Maestri, R.; Macchi, E.; Callegari, S. The atria: From morphology to function. J. Cardiovasc. Electrophysiol. 2011, 22, 223–235. [Google Scholar] [PubMed]
- Al-Saady, N.M.; Obel, O.A.; Camm, A.J. Left atrial appendage: Structure, function, and role in thromboembolism. Heart 1999, 82, 547–554. [Google Scholar] [CrossRef]
- Ho, S.Y.; Sanchez-Quintana, D. The importance of atrial structure and fibers. Clin. Anat. 2009, 22, 52–63. [Google Scholar] [CrossRef]
- Ho, S.Y.; Sanchez-Quintana, D.; Cabrera, J.A.; Anderson, R.H. Anatomy of the left atrium: Implications for radiofrequency ablation of atrial fibrillation. J. Cardiovasc. Electrophysiol. 1999, 10, 1525–1533. [Google Scholar]
- Levin, E.R.; Gardner, D.G.; Samson, W.K. Natriuretic peptides. N. Engl. J. Med. 1998, 339, 321–328. [Google Scholar]
- Scheuer, D.A.; Thrasher, T.N.; Ramsay, D.J. Role of renal sympathetic nerves in renin inhibition by elevated left atrial pressure. Am. J. Physiol. 1989, 256 Pt 2, R413–R420. [Google Scholar] [CrossRef]
- Coote, J.H. A role for the paraventricular nucleus of the hypothalamus in the autonomic control of heart and kidney. Exp. Physiol. 2005, 90, 169–173. [Google Scholar] [CrossRef]
- Barbier, P.; Solomon, S.B.; Schiller, N.B.; Glantz, S.A. Left atrial relaxation and left ventricular systolic function determine left atrial reservoir function. Circulation 1999, 100, 427–436. [Google Scholar] [CrossRef] [Green Version]
- Pagel, P.S.; Kehl, F.; Gare, M.; Hettrick, D.A.; Kersten, J.R.; Warltier, D.C. Mechanical function of the left atrium: New insights based on analysis of pressure-volume relations and doppler echocardiography. Anesthesiology 2003, 98, 975–994. [Google Scholar] [CrossRef] [PubMed]
- Stefanadis, C.; Dernellis, J.; Toutouzas, P. A clinical appraisal of left atrial function. Eur. Heart J. 2001, 22, 22–36. [Google Scholar] [CrossRef] [PubMed] [Green Version]
- Lang, R.M.; Badano, L.P.; Mor-Avi, V.; Afilalo, J.; Armstrong, A.; Ernande, L.; Flachskampf, F.A.; Foster, E.; Goldstein, S.A.; Kuznetsova, T.; et al. Recommendations for cardiac chamber quantification by echocardiography in adults: An update from the American Society of Echocardiography and the European Association of Cardiovascular Imaging. J. Am. Soc. Echocardiogr. 2015, 28, 1–39.e14. [Google Scholar] [CrossRef] [PubMed] [Green Version]
- Singh, A.; Carvalho Singulane, C.; Miyoshi, T.; Prado, A.D.; Addetia, K.; Bellino, M.; Daimon, M.; Fajardo, P.G.; Kasliwal, R.R.; Kirkpatrick, J.N.; et al. Normal Values of Left Atrial Size and Function and the Impact of Age: Results of the World Alliance Societies of Echocardiography Study. J. Am. Soc. Echocardiogr. 2022, 35, 154–164.e3. [Google Scholar] [CrossRef] [PubMed]
- Badano, L.P.; Miglioranza, M.H.; Mihăilă, S.; Peluso, D.; Xhaxho, J.; Marra, M.P.; Cucchini, U.; Soriani, N.; Iliceto, S.; Muraru, D. Left Atrial Volumes and Function by Three-Dimensional Echocardiography: Reference Values, Accuracy, Reproducibility, and Comparison With Two-Dimensional Echocardiographic Measurements. Circ. Cardiovasc. Imaging 2016, 9, e004229. [Google Scholar] [CrossRef] [Green Version]
- Pathan, F.; D’Elia, N.; Nolan, M.T.; Marwick, T.H.; Negishi, K. Normal Ranges of Left Atrial Strain by Speckle-Tracking Echocardiography: A Systematic Review and Meta-Analysis. J. Am. Soc. Echocardiogr. 2017, 30, 59–70.e8. [Google Scholar] [CrossRef]
- Nagueh, S.F.; Smiseth, O.A.; Appleton, C.P.; Byrd, B.F.; Dokainish, H.; Edvardsen, T.; Flachskampf, F.A.; Gillebert, T.C.; Klein, A.L.; Lancellotti, P.; et al. Recommendations for the Evaluation of Left Ventricular Diastolic Function by Echocardiography: An Update from the American Society of Echocardiography and the European Association of Cardiovascular Imaging. J. Am. Soc. Echocardiogr. 2016, 29, 277–314. [Google Scholar] [CrossRef] [Green Version]
- Alfuhied, A.; Kanagala, P.; McCann, G.P.; Singh, A. Multi-modality assessment and role of left atrial function as an imaging biomarker in cardiovascular disease. Int. J. Cardiovasc. Imaging 2021, 37, 3355–3369. [Google Scholar] [CrossRef]
- Li, L.; Deng, Y.-B.; Guo, L.-D.; Liu, K.; Zhang, J.; Tang, Q.-Y. Evaluation of long-term impact of pericardiectomy on left atrial functions in patients with constrictive pericarditis using speckle tracking echocardiography. Ultrasound Med. Biol. 2020, 46, 1158–1168. [Google Scholar] [CrossRef]
- Zhang, Q.; Yip, G.W.K.; Yu, C.M. Approaching regional left atrial function by tissue Doppler velocity and strain imaging. Europace 2008, 10, 62–69. [Google Scholar] [CrossRef]
- Hatle, L.; Sutherland, G.R. Regional myocardial function–a new approach. Eur. Heart J. 2000, 21, 1337–1357. [Google Scholar] [CrossRef] [Green Version]
- Amzulescu, M.S.; De Craene, M.; Langet, H.; Pasquet, A.; Vancraeynest, D.; Pouleur, A.C.; Vanoverschelde, J.L.; Gerber, B.L. Myocardial strain imaging: Review of general principles, validation, and sources of discrepancies. Eur. Heart J. Cardiovasc. Imaging 2019, 20, 605–619. [Google Scholar] [CrossRef] [PubMed] [Green Version]
- Candan, O.; Ozdemir, N.; Aung, S.M.; Hatipoglu, S.; Karabay, C.Y.; Guler, A.; Gecmen, C.; Dogan, C.; Omaygenc, O.; Bakal, R.B. Atrial longitudinal strain parameters predict left atrial reverse remodeling after mitral valve surgery: A speckle tracking echocardiography study. Int. J. Cardiovasc. Imaging 2014, 30, 1049–1056. [Google Scholar] [CrossRef] [PubMed]
- Caso, P.; Ancona, R.; Di Salvo, G.; Comenale Pinto, S.; Macrino, M.; Di Palma, V.; D’Andrea, A.; Martiniello, A.; Severino, S.; Calabrò, R. Atrial reservoir function by strain rate imaging in asymptomatic mitral stenosis: Prognostic value at 3 year follow-up. Eur. J. Echocardiogr. 2009, 10, 753–759. [Google Scholar] [CrossRef] [PubMed] [Green Version]
- Oconnor, K.; Magne, J.; Rosca, M.; Pirard, L.A.; Lancellotti, P. Left atrial function and remodelling in aortic stenosis. Eur. J. Echocardiogr. 2011, 12, 299–305. [Google Scholar] [CrossRef] [Green Version]
- Guichard, J.B.; Nattel, S. Atrial Cardiomyopathy: A Useful Notion in Cardiac Disease Management or a Passing Fad? J. Am. Coll. Cardiol. 2017, 70, 756–765. [Google Scholar] [CrossRef] [PubMed]
- Nicoara, A.; Skubas, N.; Ad, N.; Finley, A.; Hahn, R.; Mahmood, F.; Mankad, S.; Nyman, C.; Pagani, F.; Porter, T.; et al. Guidelines for the Use of Transesophageal Echocardiography to Assist with Surgical Decision-Making in the Operating Room: A Surgery-Based Approach: From the American Society of Echocardiography in Collaboration with the Society of Cardiovascular Anesthesiologists and the Society of Thoracic Surgeons. J. Am. Soc. Echocardiogr. 2020, 33, 692–734. [Google Scholar] [PubMed]
- Zamorano, J.L.; Badano, L.P.; Bruce, C.; Chan, K.L.; Gonçalves, A.; Hahn, R.T.; Keane, M.G.; La Canna, G.; Monaghan, M.J.; Nihoyannopoulos, P.; et al. EAE/ASE recommendations for the use of echocardiography in new transcatheter interventions for valvular heart disease. Eur. Heart J. 2011, 32, 2189–2214. [Google Scholar] [CrossRef]
- Klein, A.L.; Murray, R.D.; Grimm, R.A. Role of transesophageal echocardiographyguided cardioversion of patients with atrial fibrillation. J. Am. Coll. Cardiol. 2001, 37, 691–704. [Google Scholar] [CrossRef] [Green Version]
- Saric, M.; Armour, A.C.; Arnaout, M.S.; Chaudhry, F.A.; Grimm, R.A.; Kronzon, I.; Landeck, B.F.; Maganti, K.; Michelena, H.I.; Tolstrup, K. Guidelines for the Use of Echocardiography in the Evaluation of a Cardiac Source of Embolism. J. Am. Soc. Echocardiogr. 2016, 29, 1–42. [Google Scholar] [CrossRef] [Green Version]
- Kwak, J.; Polito, A.; Majewski, M.; Adams, W.; Burcar, K.; Oftadeh, M.; Haske, M.; LeVan, P. Comparison of Left Atrial Measurements Using 2- and 3-Dimensional Transesophageal Echocardiography. J. Cardiothorac. Vasc. Anesth. 2019, 33, 1518–1526. [Google Scholar] [CrossRef] [PubMed]
- Tops, L.F.; van der Wall, E.E.; Schalij, M.J.; Bax, J.J. Multi-modality imaging to assess left atrial size, anatomy and function. Heart 2007, 93, 1461–1470. [Google Scholar] [CrossRef] [PubMed]
- Hudsmith, L.E.; Petersen, S.E.; Francis, J.M.; Robson, M.D.; Neubauer, S. Normal human left and right ventricular and left atrial dimensions using steady state free precession magnetic resonance imaging. J. Cardiovasc. Magn. Reson. 2005, 7, 775–782. [Google Scholar] [CrossRef] [PubMed]
- Peters, D.C.; Lamy, J.; Sinusas, A.J.; Baldassarre, L.A. Left atrial evaluation by cardiovascular magnetic resonance: Sensitive and unique biomarkers. Eur. Heart J. Cardiovasc. Imaging 2021, 23, 14–30. [Google Scholar] [CrossRef]
- Nacif, M.S.; Barranhas, A.D.; Turkbey, E.; Marchiori, E.; Kawel, N.; Mello, R.A.F.; Falcão, R.O.; Oliveira, A.C., Jr.; Rochitte, C.E. Left atrial volume quantification using cardiac MRI in atrial fibrillation: Comparison of the Simpson’s method with biplane area-length, ellipse, and three-dimensional methods. Diagn. Interv. Radiol. 2013, 19, 213–220. [Google Scholar] [CrossRef]
- Truong, V.T.; Palmer, C.; Wolking, S.; Sheets, B.; Young, M.; Ngo, T.N.M.; Taylor, M.; Nagueh, S.F.; Zareba, K.M.; Raman, S.; et al. Normal left atrial strain and strain rate using cardiac magnetic resonance feature tracking in healthy volunteers. Eur. Heart J. Cardiovasc. Imaging 2020, 21, 446–453. [Google Scholar] [CrossRef]
- Chubb, H.; Aziz, S.; Karim, R.; Sohns, C.; Razeghi, O.; Williams, S.E.; Whitaker, E.; Harrison, J.; Chiribiri, A.; Schaeffter, T.; et al. Optimization of late gadolinium enhancement cardiovascular magnetic resonance imaging of post-ablation atrial scar: A cross-over study. J. Cardiovasc. Magn. Reson. 2018, 20, 30. [Google Scholar] [CrossRef]
- Knowles, B.R.; Peters, D.C.; Clough, R.E.; Razavi, R.; Schaeffter, T.; Prieto, C. Three-dimensional late gadolinium-enhanced MR imaging of the left atrium: A comparison of spiral versus Cartesian k-space trajectories. J. Magn. Reson. Imaging 2014, 39, 211–216. [Google Scholar] [CrossRef]
- Gatti, M.; D’Angelo, T.; Muscogiuri, G.; Dell’Aversana, S.; Andreis, A.; Carisio, A.; Darvizeh, F.; Tore, D.; Pontone, G.; Faletti, R. Cardiovascular magnetic resonance of cardiac tumors and masses. World J. Cardiol. 2021, 13, 628–649. [Google Scholar] [CrossRef]
- Balli, O.; Aytemir, K.; Karcaaltincaba, M. Multidetector CT of left atrium. Eur. J. Radiol. 2012, 81, e37–e46. [Google Scholar] [CrossRef]
- Ohana, M.; Bakouboula, B.; Labani, A.; Jeung, M.Y.; El Ghannudi, S.; Jesel-Morel, L.; Roy, C. Imaging before and after catheter ablation of atrial fibrillation. Diagn. Interv. Imaging 2015, 96, 1113–1123. [Google Scholar] [CrossRef] [PubMed] [Green Version]
- Kwong, Y.; Troupis, J. Cardiac CT imaging in the context of left atrial appendage occlusion. J. Cardiovasc. Comput. Tomogr. 2015, 9, 13–18. [Google Scholar] [CrossRef] [PubMed]
- Avelar, E.; Durst, R.; Rosito, G.A.; Thangaroopan, M.; Kumar, S.; Tournoux, F.; Chan, R.; Hung, J.; Hoffmann, U.; Abbara, S.; et al. Comparison of the accuracy of multidetector computed tomography versus two-dimensional echocardiography to measure left atrial volume. Am. J. Cardiol. 2010, 106, 104–109. [Google Scholar] [CrossRef] [PubMed]
- Zou, H.; Zhang, Y.; Tong, J.; Liu, Z. Multidetector computed tomography for detecting left atrial/left atrial appendage thrombus: A meta-analysis. Intern. Med. J. 2015, 45, 1044–1053. [Google Scholar] [CrossRef]
- Borlich, M.; Sommer, P. Cardiac Mapping Systems: Rhythmia, Topera, EnSite Precision, and CARTO. Card. Electrophysiol. Clin. 2019, 11, 449–458. [Google Scholar] [CrossRef]
- EnSite PrecisionTM Cardiac Mapping System Instructions for Use ARTEN100151577 Rev. B. St. Jude Medical. 2016. Available online: https://manuals.sjm.com/ (accessed on 10 April 2022).
- Bertagnolli, L.; Torri, F.; Richter, S.; Dinov, B.; Müssigbrodt, A.; Arya, A.; Sommer, P.; Bollmann, A.; Hindricks, G.; Hilbert, S. 3-D-Mapping: Besonderheiten und neue Features bei CARTO® [Three-dimensional mapping: Special aspects and new features of CARTO®]. Herzschrittmacherther. Elektrophysiol. 2018, 29, 259–263. [Google Scholar] [CrossRef]
- Brugada, J.; Katritsis, D.G.; Arbelo, E.; Arribas, F.; Bax, J.J.; Blomström-Lundqvist, C.; Calkins, H.; Corrado, D.; Deftereos, S.G.; Diller, G.P.; et al. 2019 ESC Guidelines for the management of patients with supraventricular tachycardiaThe Task Force for the management of patients with supraventricular tachycardia of the European Society of Cardiology (ESC). Eur. Heart J. 2020, 41, 655–720. [Google Scholar] [CrossRef] [Green Version]











| Parameter | Formula | Normal Range (Values 2D) | Normal Range (Values 3D) |
|---|---|---|---|
| Left Atrial Size | |||
| Maximal AP Diameter, mm [23] | In parasternal long axis view in telesystole | Male: 30–40 Female: 27–38 | |
| Maximal Area, cm2/m2 [23] | In apical 4 chamber view | Male: 8.9 ± 1.5 Female: 9.3 ± 1.7 | |
| Left Atrial Functional Parameters By 2D and 3D Echocardiography | |||
| Vmax (mL/m2) 1 [24] | Before mitral valve opening in 4Ch | 25.7 ± 7.9 | 28.1 ± 6.9 |
| Vmin (mL/m2) 1 [24,25] | In the onset the P wave in 4Ch | 8 ± 3 | 10.7 ± 3.7 |
| VPreA (mL/m2) 1 [24,25] | Before mitral valve closure in 4Ch | 15 ± 5 | 17.8 ± 5.5 |
| Total EV (mL) 1 [24,25] | Vmax − Vmin | 29 ± 7 | 30.9 ± 9.0 |
| Passive EV (mL) 1 [24,25] | Vmax − VpreA | 17 ± 6 | 18.4 ± 6.4 |
| Active EV (mL) 1 [25] | preA-Vmin | 12 ± 4 | 14 ± 6 |
| Total EF (%) 1 [24,25] | [(Vmax − Vmin)/Vmax] × 100% | 69 ± 9 | 62.2 ± 7.7 |
| Passive EF (%) 1 [24,25] | [(Vmax − Vpre-A)/Vmax] × 100% | 41 ±10 | 37.7 ± 11.0 |
| Active EF (%) 1 [24,25] | [(VpreA −Vmin)/VpreA] × 100% | 47 ± 10 | 39.5 ± 9.5 |
| Expansion Index, % 2 [25] | [(Vmax − Vmin)/Vmin] × 100% | 204 (165; 289) | 208 (171; 250) |
| Left Atrial Phasic Function | |||
| Reservoir LS (%) [26] | R wave as time reference | 39.4% (95% CI, 38.0–40.8%) | |
| Conduit LS (%) [26] | R wave as time reference | 23.0% (95% CI, 20.7–25.2%) | |
| Contractile LS (%) [26] | R wave as time reference | 17.4% (95% CI, 16.0–19.0%) | |
Publisher’s Note: MDPI stays neutral with regard to jurisdictional claims in published maps and institutional affiliations. |
© 2022 by the authors. Licensee MDPI, Basel, Switzerland. This article is an open access article distributed under the terms and conditions of the Creative Commons Attribution (CC BY) license (https://creativecommons.org/licenses/by/4.0/).
Share and Cite
Moral, S.; Abulí, M.; Vilardell, P.; Trucco, E.; Ballesteros, E.; Brugada, R. Multimodality Imaging in the Study of the Left Atrium. J. Clin. Med. 2022, 11, 2854. https://doi.org/10.3390/jcm11102854
Moral S, Abulí M, Vilardell P, Trucco E, Ballesteros E, Brugada R. Multimodality Imaging in the Study of the Left Atrium. Journal of Clinical Medicine. 2022; 11(10):2854. https://doi.org/10.3390/jcm11102854
Chicago/Turabian StyleMoral, Sergio, Marc Abulí, Pau Vilardell, Emilce Trucco, Esther Ballesteros, and Ramon Brugada. 2022. "Multimodality Imaging in the Study of the Left Atrium" Journal of Clinical Medicine 11, no. 10: 2854. https://doi.org/10.3390/jcm11102854
APA StyleMoral, S., Abulí, M., Vilardell, P., Trucco, E., Ballesteros, E., & Brugada, R. (2022). Multimodality Imaging in the Study of the Left Atrium. Journal of Clinical Medicine, 11(10), 2854. https://doi.org/10.3390/jcm11102854

