Imaging and Treatment of Posttraumatic Ankle and Hindfoot Osteoarthritis
Abstract
:1. Introduction
2. Anatomic Considerations
3. Spectrum of Traumatic Disorders and Clinical Presentation
4. Imaging Evaluation
5. Treatment
5.1. Non-Operative Treatment
5.2. Operative Treatment
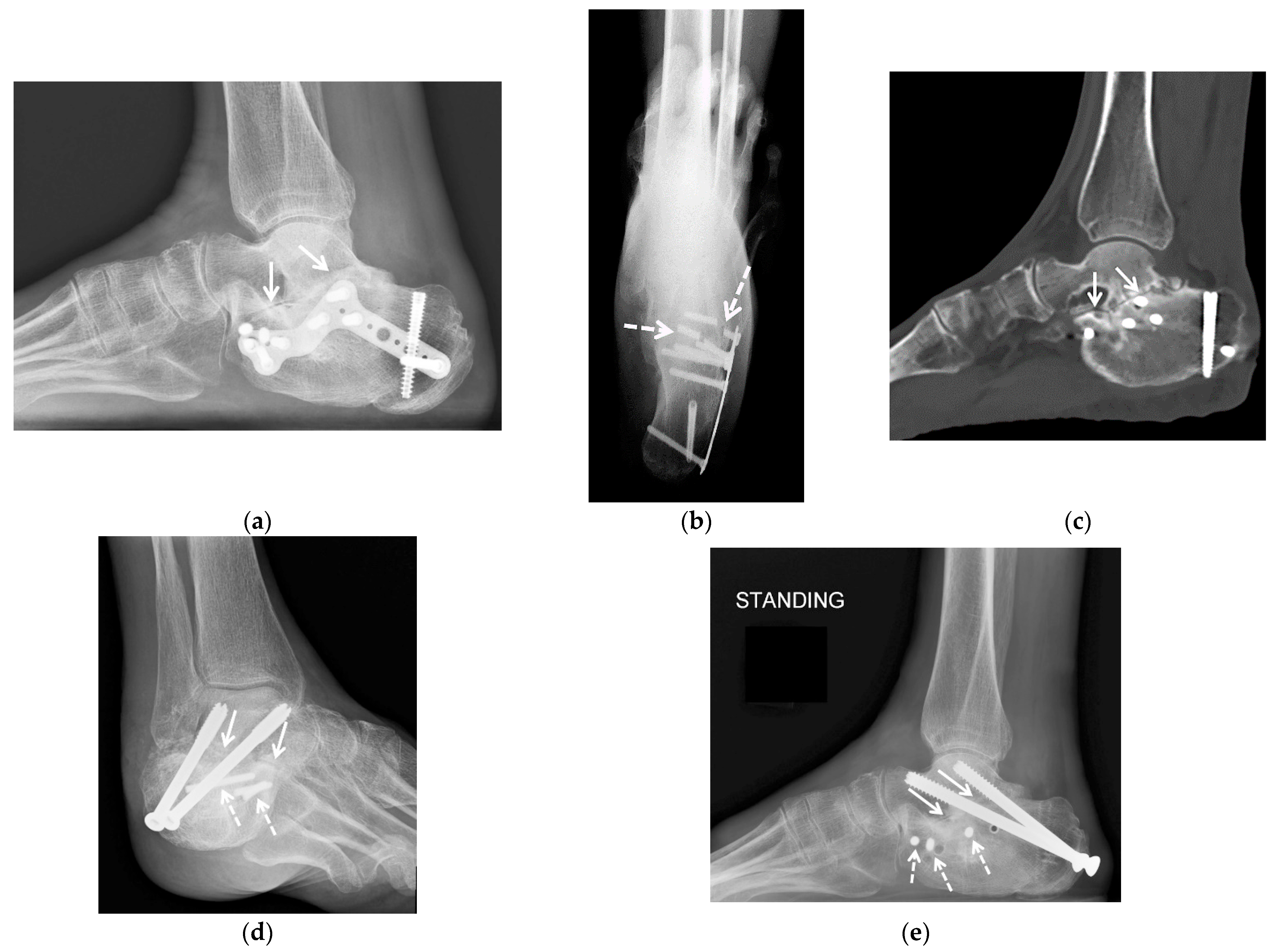
5.2.1. Joint-Preserving Procedures
5.2.2. Arthrodesis
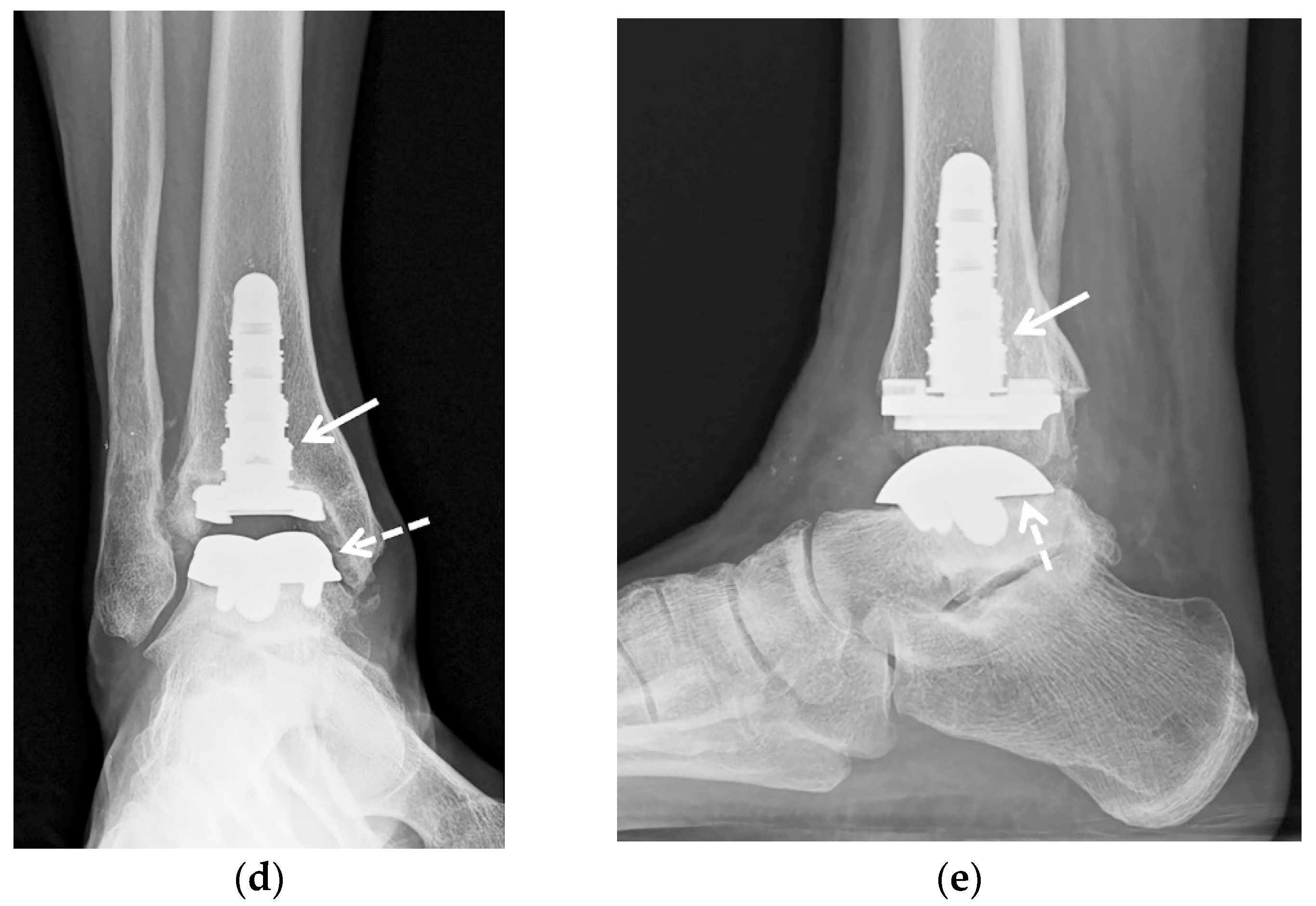
5.2.3. Ankle Arthroplasty
6. Conclusions
Author Contributions
Funding
Institutional Review Board Statement
Informed Consent Statement
Conflicts of Interest
References
- Delco, M.L.; Kennedy, J.G.; Bonassar, L.J.; Fortier, L.A. Post-traumatic osteoarthritis of the ankle: A distinct clinical entity requiring new research approaches. J. Orthop. Res. 2017, 35, 440–453. [Google Scholar] [CrossRef]
- Barg, A.; Pagenstert, G.I.; Hügle, T.; Gloyer, M.; Wiewiorski, M.; Henninger, H.B.; Valderrabano, V. Ankle Osteoarthritis: Etiology, Diagnostics, and Classification. Foot Ankle Clin. 2013, 18, 411–426. [Google Scholar] [CrossRef]
- Resnick, D.; Kang, H.S.; Pretterklieber, M.L. Internal Derangements of Joints; Saunders/Elsevier: Philadelphia, PA, USA, 2007. [Google Scholar]
- Haller, J.; Resnick, D.; Sartoris, D.; Mitchell, M.; Howard, B.; Gilula, L. Arthrography, tenography, and bursography of the ankle and foot. Clin. Podiatr. Med. Surg. 1988, 5, 893–908. [Google Scholar] [PubMed]
- McKinley, T.O.; Rudert, M.J.; Koos, D.C.; Brown, T.D. Incongruity versus Instability in the Etiology of Posttraumatic Arthritis. Clin. Orthop. Relat. Res. 2004, 423, 44–51. [Google Scholar] [CrossRef] [PubMed]
- Ramsey, P.; Hamilton, W. Changes in tibiotalar area of contact caused by lateral talar shift. J. Bone Jt. Surg.-Am. Vol. 1976, 58, 356–357. [Google Scholar] [CrossRef] [Green Version]
- Taga, I.; Shino, K.; Inoue, M.; Nakata, K.; Maeda, A.; Henry, J.H. Articular cartilage lesions in ankles with lateral ligament injury. Am. J. Sports Med. 1993, 21, 120–127. [Google Scholar] [CrossRef] [PubMed]
- Brown, T.D.; Johnston, R.C.; Saltzman, C.L.; Marsh, J.L.; Buckwalter, J.A. Posttraumatic Osteoarthritis: A First Estimate of Incidence, Prevalence, and Burden of Disease. J. Orthop. Trauma 2006, 20, 739–744. [Google Scholar] [CrossRef]
- Gorbachova, T.; Amber, I.; Beckmann, N.M.; Bennett, D.L.; Chang, E.Y.; Davis, L.; Gonzalez, F.M.; Hansford, B.G.; Howe, B.M.; Lenchik, L.; et al. Nomenclature of Subchondral Nonneoplastic Bone Lesions. Am. J. Roentgenol. 2019, 213, 963–982. [Google Scholar] [CrossRef]
- Melenevsky, Y.; Mackey, R.A.; Abrahams, R.B.; Thomson, N.B. Talar Fractures and Dislocations: A Radiologist’s Guide to Timely Diagnosis and Classification. Radiographics 2015, 35, 765–779. [Google Scholar] [CrossRef]
- Janzen, D.L.; Connell, D.G.; Munk, P.L.; Buckley, R.E.; Meek, R.N.; Schechter, M. Intraarticular fractures of the calcaneus: Value of CT findings in determining prognosis. Am. J. Roentgenol. 1992, 158, 1271–1274. [Google Scholar] [CrossRef]
- Lopez-Ben, R. Imaging of the Subtalar Joint. Foot Ankle Clin. 2015, 20, 223–241. [Google Scholar] [CrossRef] [PubMed]
- Buck, F.M.; Hoffmann, A.; Mamisch-Saupe, N.; Espinosa, N.; Resnick, N.; Hodler, J. Hindfoot Alignment Measurements: Rotation-Stability of Measurement Techniques on Hindfoot Alignment View and Long Axial View Radiographs. Am. J. Roentgenol. 2011, 197, 578–582. [Google Scholar] [CrossRef]
- Reilingh, M.L.; Beimers, L.; Tuijthof, G.J.M.; Stufkens, S.A.S.; Maas, M.; Van Dijk, C.N. Measuring hindfoot alignment radiographically: The long axial view is more reliable than the hindfoot alignment view. Skelet. Radiol. 2010, 39, 1103–1108. [Google Scholar] [CrossRef] [Green Version]
- Conti, M.S.; Ellis, S.J. Weight-bearing CT Scans in Foot and Ankle Surgery. J. Am. Acad. Orthop. Surg. 2020, 28, e595–e603. [Google Scholar] [CrossRef]
- Gorbachova, T. Magnetic resonance imaging of the ankle and foot. Pol. J. Radiol. 2020, 85, 532–549. [Google Scholar] [CrossRef]
- Coughlin, M.J.; Mann, R.A.; Saltzman, C.L. Mann’s Surgery of the Foot and Ankle; Mosby: St. Louis, MI, USA, 2013. [Google Scholar]
- Rastogi, A.K.; Davis, K.W.; Ross, A.; Rosas, H.G. Fundamentals of Joint Injection. Am. J. Roentgenol. 2016, 207, 484–494. [Google Scholar] [CrossRef] [PubMed]
- Khoury, N.J.; El-Khoury, G.Y.; Saltzman, C.L.; Brandser, E.A. Intraarticular foot and ankle injections to identify source of pain before arthrodesis. Am. J. Roentgenol. 1996, 167, 669–673. [Google Scholar] [CrossRef] [Green Version]
- Hansford, B.G.; Mills, M.K.; Hanrahan, C.J.; Yablon, C.M. Pearls and pitfalls of fluoroscopic-guided foot and ankle injections: What the radiologist needs to know. Skelet. Radiol. 2019, 48, 1661–1674. [Google Scholar] [CrossRef] [PubMed]
- Van Valburg, A.; Van Roermund, P.; Lammens, J.; Van Melkebeek, J.; Verbout, A.; Lafeber, E.; Bijlsma, J. Can Ilizarov joint distraction delay the need for an arthrodesis of the ankle? A preliminary report. J. Bone Jt. Surgery. Br. Vol. 1995, 77-B, 720–725. [Google Scholar] [CrossRef]
- Saltzman, C.L.; Hillis, S.L.; Stolley, M.P.; Anderson, D.D.; Amendola, A. Motion versus fixed distraction of the joint in the treatment of ankle osteoarthritis: A prospective randomized controlled trial. J. Bone Jt. Surg.-Am. Vol. 2012, 94, 961–970. [Google Scholar] [CrossRef] [Green Version]
- Paley, D.; Lamm, B.M.; Purohit, R.M.; Specht, S.C. Distraction Arthroplasty of the Ankle—How Far Can You Stretch the Indications? Foot Ankle Clin. 2008, 13, 471–484. [Google Scholar] [CrossRef]
- Van Valburg, A.; Van Roermund, P.; Marijnissen, A.; Wenting, M.; Verbout, A.; Lafeber, F.; Bijlsma, J. Joint distraction in treatment of osteoarthritis (II): Effects on cartilage in a canine model. Osteoarthr. Cartil. 2000, 8, 1–8. [Google Scholar] [CrossRef] [Green Version]
- Barg, A.; Amendola, A.; Beaman, D.N.; Saltzman, C.L. Ankle Joint Distraction Arthroplasty: Why and How? Foot Ankle Clin. 2013, 18, 459–470. [Google Scholar] [CrossRef]
- Barg, A.; Pagenstert, G.I.; Horisberger, M.; Paul, J.; Gloyer, M.; Henninger, H.B.; Valderrabano, V. Supramalleolar osteotomies for degenerative joint disease of the ankle joint: Indication, technique and results. Int. Orthop. 2013, 37, 1683–1695. [Google Scholar] [CrossRef]
- Weber, B.G.; Simpson, L.A. Corrective lengthening osteotomy of the fibula. Clin. Orthop. Relat. Res. 1985, 199, 61–67. [Google Scholar] [CrossRef]
- Hintermann, B.; Valderrabano, V.; Kundert, H.-P. Lengthening of the Lateral Column and Reconstruction of the Medial Soft Tissue for Treatment of Acquired Flatfoot Deformity Associated with Insufficiency of the Posterior Tibial Tendon. Foot Ankle Int. 1999, 20, 622–629. [Google Scholar] [CrossRef] [PubMed]
- Knupp, M.; Stufkens, S.A.; Pagenstert, G.I.; Hintermann, B.; Valderrabano, V. Supramalleolar Osteotomy for Tibiotalar Varus Malalignment. Tech. Foot Ankle Surg. 2009, 8, 17–23. [Google Scholar] [CrossRef]
- Adams, J.C. Arthrodesis of the ankle joint; experiences with the transfibular approach. J. Bone Jt. Surgery. Br. Vol. 1948, 30-B, 506–511. [Google Scholar] [CrossRef]
- Horwitz, T. The use of the transfibular approach in arthrodesis of the ankle joint. Am. J. Surg. 1942, 55, 550–552. [Google Scholar] [CrossRef]
- Napiontek, M.; Jaszczak, T. Ankle arthrodesis from lateral transfibular approach: Analysis of treatment results of 23 feet treated by the modified Mann’s technique. Eur. J. Orthop. Surg. Traumatol. 2015, 25, 1195–1199. [Google Scholar] [CrossRef] [PubMed]
- Smith, J.T.; Chiodo, C.P.; Singh, S.K.; Wilson, M.G. Open Ankle Arthrodesis with a Fibular-Sparing Technique. Foot Ankle Int. 2013, 34, 557–562. [Google Scholar] [CrossRef] [PubMed]
- Cooper, P.S. Complications of Ankle and Tibiotalocalcaneal Arthrodesis. Clin. Orthop. Relat. Res. 2001, 391, 33–44. [Google Scholar] [CrossRef]
- Burks, J.B. Tibiotalocalcaneal Arthrodesis. Clin. Podiatr. Med. Surg. 2012, 29, 529–545. [Google Scholar] [CrossRef] [PubMed]
- Latt, L.D.; Smith, K.E.; Dupont, K.M. Revision Tibiotalocalcaneal Arthrodesis with a Pseudoelastic Intramedullary Nail: A Case Study. Foot Ankle Spéc. 2017, 10, 75–81. [Google Scholar] [CrossRef] [PubMed]
- Neufeld, S.K.; Uribe, J.; Myerson, M.S. Use of structural allograft to compensate for bone loss in arthrodesis of the foot and ankle. Foot Ankle Clin. 2002, 7, 1–17. [Google Scholar] [CrossRef]
- De Wachter, J.; Knupp, M.; Beat, H. Double-Hindfoot Arthrodesis through a Single Medial Approach. Tech. Foot Ankle Surg. 2007, 6, 237–242. [Google Scholar] [CrossRef]
- López, R.; Singh, T.; Banga, S.; Hasan, N. Subtalar Joint Arthrodesis. Clin. Podiatr. Med. Surg. 2012, 29, 67–75. [Google Scholar] [CrossRef]
- Flores, D.V.; Gómez, C.M.; Hernando, M.F.; Davis, M.A.; Pathria, M.N. Adult Acquired Flatfoot Deformity: Anatomy, Biomechanics, Staging, and Imaging Findings. Radiographics 2019, 39, 1437–1460. [Google Scholar] [CrossRef] [PubMed] [Green Version]
- D’Angelantonio, A.M.; Schick, F.A.; Arjomandi, N. Triple Arthrodesis. Clin. Podiatr. Med. Surg. 2012, 29, 91–102. [Google Scholar] [CrossRef]
- Coester, L.M.; Saltzman, C.L.; Leupold, J.; Pontarelli, W. Long-Term Results Following Ankle Arthrodesis for Post-Traumatic Arthritis. J. Bone Jt. Surg.-Am. Vol. 2001, 83, 219–228. [Google Scholar] [CrossRef]
- Gougoulias, N.; Maffulli, N. History of Total Ankle Replacement. Clin. Podiatr. Med. Surg. 2013, 30, 1–20. [Google Scholar] [CrossRef]
- Rybalko, D.; Schwarzman, G.; Moretti, V. Recent National Trends and Outcomes in Total Ankle Arthroplasty in the United States. J. Foot Ankle Surg. 2018, 57, 1092–1095. [Google Scholar] [CrossRef] [PubMed]
- Neufeld, S.K.; Lee, T.H. Total ankle arthroplasty: Indications, results, and biomechanical rationale. Am. J. Orthop. 2000, 29, 593–602. [Google Scholar]
- Sadoghi, P.; Liebensteiner, M.; Agreiter, M.; Leithner, A.; Böhler, N.; Labek, G. Revision Surgery After Total Joint Arthroplasty: A Complication-Based Analysis Using Worldwide Arthroplasty Registers. J. Arthroplast. 2013, 28, 1329–1332. [Google Scholar] [CrossRef] [PubMed]
- Omar, I.M.; Abboud, S.F.; Youngner, J.M. Imaging of Total Ankle Arthroplasty: Normal Imaging Findings and Hardware Complications. Semin. Musculoskelet. Radiol. 2019, 23, 177–194. [Google Scholar] [CrossRef] [Green Version]
- Lawton, C.D.; Butler, B.A.; Dekker, R.G.; Prescott, A.; Kadakia, A.R. Total ankle arthroplasty versus ankle arthrodesis—A comparison of outcomes over the last decade. J. Orthop. Surg. Res. 2017, 12, 1–10. [Google Scholar] [CrossRef] [Green Version]
- Guyer, A.J.; Richardson, E.G. Current Concepts Review: Total Ankle Arthroplasty. Foot Ankle Int. 2008, 29, 256–264. [Google Scholar] [CrossRef]
- Glazebrook, M.A.; Arsenault, K.; Dunbar, M. Evidence-Based Classification of Complications in Total Ankle Arthroplasty. Foot Ankle Int. 2009, 30, 945–949. [Google Scholar] [CrossRef] [PubMed]
- Bestic, J.M.; Peterson, J.J.; DeOrio, J.K.; Bancroft, L.; Berquist, T.H.; Kransdorf, M.J. Postoperative Evaluation of the Total Ankle Arthroplasty. Am. J. Roentgenol. 2008, 190, 1112–1123. [Google Scholar] [CrossRef] [PubMed]











Publisher’s Note: MDPI stays neutral with regard to jurisdictional claims in published maps and institutional affiliations. |
© 2021 by the authors. Licensee MDPI, Basel, Switzerland. This article is an open access article distributed under the terms and conditions of the Creative Commons Attribution (CC BY) license (https://creativecommons.org/licenses/by/4.0/).
Share and Cite
Gorbachova, T.; Melenevsky, Y.V.; Latt, L.D.; Weaver, J.S.; Taljanovic, M.S. Imaging and Treatment of Posttraumatic Ankle and Hindfoot Osteoarthritis. J. Clin. Med. 2021, 10, 5848. https://doi.org/10.3390/jcm10245848
Gorbachova T, Melenevsky YV, Latt LD, Weaver JS, Taljanovic MS. Imaging and Treatment of Posttraumatic Ankle and Hindfoot Osteoarthritis. Journal of Clinical Medicine. 2021; 10(24):5848. https://doi.org/10.3390/jcm10245848
Chicago/Turabian StyleGorbachova, Tetyana, Yulia V. Melenevsky, L. Daniel Latt, Jennifer S. Weaver, and Mihra S. Taljanovic. 2021. "Imaging and Treatment of Posttraumatic Ankle and Hindfoot Osteoarthritis" Journal of Clinical Medicine 10, no. 24: 5848. https://doi.org/10.3390/jcm10245848
APA StyleGorbachova, T., Melenevsky, Y. V., Latt, L. D., Weaver, J. S., & Taljanovic, M. S. (2021). Imaging and Treatment of Posttraumatic Ankle and Hindfoot Osteoarthritis. Journal of Clinical Medicine, 10(24), 5848. https://doi.org/10.3390/jcm10245848

