Complete Purging of Ewing Sarcoma Metastases from Human Ovarian Cortex Tissue Fragments by Inhibiting the mTORC1 Signaling Pathway
Abstract
1. Introduction
2. Materials and Methods
2.1. Human Ovarian Tissue
2.2. Ewing’s Sarcoma Cell Lines
2.3. Tumor Induction
2.4. Ex Vivo Purging of Ovarian Tissue Containing Ewing’s Sarcoma Metastases with Everolimus
2.5. Histology
2.6. Immunohistochemistry
2.7. RNA Isolation and RT-PCR
2.8. Assessing the Viability of Ovarian Tissue and Follicles after Purging
3. Results
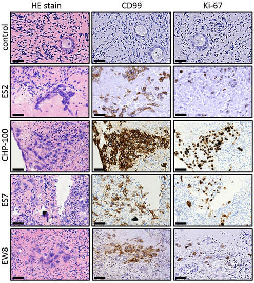
3.1. Establishment of an Ex Vivo Tumor Model for Ewing’s Sarcoma Metastases in Human Ovarian Cortex Fragments
3.2. Purging Ovarian Cortex Fragments of Ewing’s Sarcoma Metastases by Treatment with Everolimus
3.3. Purging with Everolimus Does Not Impair Ovarian Tissue Integrity
4. Discussion
5. Conclusions
Author Contributions
Funding
Institutional Review Board Statement
Informed Consent Statement
Conflicts of Interest
References
- Dolmans, M.-M.; von Wolff, M.; Poirot, C.; Diaz-Garcia, C.; Cacciottola, L.; Boissel, N.; Liebenthron, J.; Pellicer, A.; Donnez, J.; Andersen, C.Y. Transplantation of cryopreserved ovarian tissue in a series of 285 women: A review of five leading European centers. Fertil. Steril. 2021, 115, 1102–1115. [Google Scholar] [CrossRef]
- Andersen, C.Y.; Bollerup, A.C.; Kristensen, S.G. Defining quality assurance and quality control measures in connection with ovarian tissue cryopreservation and transplantation: A call to action. Hum. Reprod. 2018, 33, 1201–1204. [Google Scholar] [CrossRef]
- Shaw, J.; Bowles, J.; Koopman, P.; Wood, E.; Trounson, A. Ovary and Ovulation: Fresh and cryopreserved ovarian tissue samples from donors with lymphoma transmit the cancer to graft recipients. Hum. Reprod. 1996, 11, 1668–1673. [Google Scholar] [CrossRef]
- Greve, T.; Clasen-Linde, E.; Andersen, M.T.; Andersen, M.K.; Sørensen, S.D.; Rosendahl, M.; Ralfkiær, E.; Andersen, C.Y.; Ralfkiaer, E. Cryopreserved ovarian cortex from patients with leukemia in complete remission contains no apparent viable malignant cells. Blood 2012, 120, 4311–4316. [Google Scholar] [CrossRef] [PubMed]
- Fisch, B.; Abir, R. Female fertility preservation: Past, present and future. Reproduction 2018, 156, F11–F27. [Google Scholar] [CrossRef]
- McLaughlin, M.; Albertini, D.F.; Wallace, W.H.B.; Anderson, R.A.; Telfer, E.E. Metaphase II oocytes from human unilaminar follicles grown in a multi-step culture system. Mol. Hum. Reprod. 2018, 24, 135–142. [Google Scholar] [CrossRef] [PubMed]
- Xiao, S.; Zhang, J.; Romero, M.M.; Smith, K.N.; Shea, L.D.; Woodruff, T. In vitro follicle growth supports human oocyte meiotic maturation. Sci. Rep. 2015, 5, 17323. [Google Scholar] [CrossRef] [PubMed]
- Younis, A.J.; Lerer-Serfaty, G.; Stav, D.; Sabbah, B.; Shochat, T.; Kessler-Icekson, G.; Zahalka, M.A.; Shachar-Goldenberg, M.; Ben-Haroush, A.; Fisch, B.; et al. Extracellular-like matrices and leukaemia inhibitory factor for in vitro culture of human primordial follicles. Reprod. Fertil. Dev. 2017, 29, 1982–1994. [Google Scholar] [CrossRef]
- Fan, L.-H.; Wang, Z.-B.; Li, Q.-N.; Meng, T.-G.; Dong, M.-Z.; Hou, Y.; Ouyang, Y.-C.; Schatten, H.; Sun, Q.-Y. Absence of mitochondrial DNA methylation in mouse oocyte maturation, aging and early embryo development. Biochem. Biophys. Res. Commun. 2019, 513, 912–918. [Google Scholar] [CrossRef]
- Jung, D.; Xiong, J.; Ye, M.; Qin, X.; Li, L.; Cheng, S.; Luo, M.; Peng, J.; Dong, J.; Tang, F.; et al. In vitro differentiation of human embryonic stem cells into ovarian follicle-like cells. Nat. Commun. 2017, 8, 15680. [Google Scholar] [CrossRef]
- Virant-Klun, I.; Skutella, T.; Kubista, M.; Vogler, A.; Sinkovec, J.; Meden-Vrtovec, H. Expression of pluripotency and oocyte-related genes in single putative stem cells from human adult ovarian surface epithelium cultured in vitro in the presence of follicular fluid. Biomed. Res. Int. 2013, 2013, 861460. [Google Scholar]
- Silvestris, E.; Cafforio, P.; D’Oronzo, S.; Felici, C.; Silvestris, F.; Loverro, G. In vitro differentiation of human oocyte-like cells from oogonial stem cells: Single-cell isolation and molecular characterization. Hum. Reprod. 2018, 33, 464–473. [Google Scholar] [CrossRef]
- Chiti, M.C.; Donnez, J.; Amorim, C.A.; Dolmans, M.-M. From isolation of human ovarian follicles to the artificial ovary: Tips and tricks. Minerva Ginecol. 2018, 70, 444–455. [Google Scholar]
- Pors, S.E.; Ramløse, M.; Nikiforov, D.; Lundsgaard, K.; Cheng, J.; Andersen, C.Y.; Kristensen, S.G. Initial steps in reconstruction of the human ovary: Survival of pre-antral stage follicles in a decellularized human ovarian scaffold. Hum. Reprod. 2019, 34, 1523–1535. [Google Scholar] [CrossRef] [PubMed]
- Laronda, M.M. Engineering a bioprosthetic ovary for fertility and hormone restoration. Theriogenology 2020, 150, 8–14. [Google Scholar] [CrossRef] [PubMed]
- Mulder, C.L.; Eijkenboom, L.L.; Beerendonk, C.C.M.; Braat, D.D.M.; Peek, R. Enhancing the safety of ovarian cortex autotransplantation: Cancer cells are purged completely from human ovarian tissue fragments by pharmacological inhibition of YAP/TAZ oncoproteins. Hum. Reprod. 2019, 34, 506–518. [Google Scholar] [CrossRef]
- Díaz-García, C.; Herraiz, S.; Such, E.; Andrés, M.D.M.; Villamón, E.; Mayordomo-Aranda, E.; Cervera, J.V.; Sanz, M.; Pellicer, A. Dexamethasone does not prevent malignant cell reintroduction in leukemia patients undergoing ovarian transplant: Risk assessment of leukemic cell transmission by a xenograft model. Hum. Reprod. 2019, 34, 1485–1493. [Google Scholar] [CrossRef] [PubMed]
- Eijkenboom, L.; Mulder, C.; van der Reijden, B.; van Mello, N.; van Leersum, J.; Koorenhof-Scheele, T.; Braat, D.; Beerendonk, C.; Peek, R. Purging human ovarian cortex of contaminating leukaemic cells by targeting the mitotic catastrophe signalling pathway. J. Assist. Reprod. Genet. 2021, 38, 1–18. [Google Scholar] [CrossRef] [PubMed]
- Erkizan, H.V.; Uversky, V.N.; Toretsky, J.A. Oncogenic partnerships: EWS-FLI1 protein interactions initiate key pathways of Ewing’s sarcoma. Clin. Cancer Res. 2010, 16, 4077–4083. [Google Scholar] [CrossRef] [PubMed]
- Selvanathan, S.P.; Graham, G.T.; Erkizan, H.V.; Dirksen, U.; Natarajan, T.G.; Dakic, A.; Liu, S.Y.X.; Paulsen, M.T.; Ljungman, M.E.; Wu, C.H.; et al. Oncogenic fusion protein EWS-FLI1 is a network hub that regulates alternative splicing. Proc. Natl. Acad. Sci. USA 2015, 112, E1307–E1316. [Google Scholar] [CrossRef] [PubMed]
- Greve, T.; Wielenga, V.T.; Grauslund, M.; Sørensen, N.; Christiansen, D.B.; Rosendahl, M.; Andersen, C.Y. Ovarian tissue cryopreserved for fertility preservation from patients with Ewing or other sarcomas appear to have no tumour cell contamination. Eur. J. Cancer 2013, 49, 1932–1938. [Google Scholar] [CrossRef]
- Young, R.H.; Scully, R.E. Sarcomas Metastatic to the Ovary: A Report of 21 Cases. Int. J. Gynecol. Pathol. 1990, 9, 231–252. [Google Scholar] [CrossRef]
- Young, R.H.; Kozakewich, H.P.; E Scully, R. Metastatic ovarian tumors in children: A report of 14 cases and review of the literature. Int. J. Gynecol. Pathol. 1993, 12, 8–19. [Google Scholar] [CrossRef] [PubMed]
- Kawauchi, S.; Fukuda, T.; Miyamoto, S.; Yoshioka, J.-I.; Shirahama, S.; Saito, T.; Tsukamoto, N. Peripheral Primitive Neuroectodermal Tumor of the Ovary Confirmed by CD99 Immunostaining, Karyotypic Analysis, and RT-PCR for EWS/FLI-1 Chimeric mRNA. Am. J. Surg. Pathol. 1998, 22, 1417–1422. [Google Scholar] [CrossRef] [PubMed]
- Ateser, G.; Yildiz, O.; Leblebici, C.; Mandel, N.M.; Unal, F.; Turna, H.; Arikan, I.; Colcaki, D. Metastatic primitive neuroectodermal tumor of the ovary in pregnancy. Int. J. Gynecol. Cancer 2007, 17, 266–269. [Google Scholar] [CrossRef]
- Kim, L.C.; Cook, R.S.; Chen, J. mTORC1 and mTORC2 in cancer and the tumor microenvironment. Oncogene 2017, 36, 2191–2201. [Google Scholar] [CrossRef] [PubMed]
- Abir, R.; Feinmesser, M.; Yaniv, I.; Fisch, B.; Cohen, I.J.; Ben-Haroush, A.; Meirow, D.; Felz, C.; Avigad, S. Occasional involvement of the ovary in Ewing sarcoma. Hum. Reprod. 2010, 25, 1708–1712. [Google Scholar] [CrossRef][Green Version]
- Schifflers, S.; Delbecque, K.; Galant, C.; Francotte, N.; Philippet, P.; Chantrain, C.F. Microscopic Infiltration of Cryopreserved Ovarian Tissue in 2 Patients With Ewing Sarcoma. J. Pediatr. Hematol. 2018, 40, e167–e170. [Google Scholar] [CrossRef]
- Peek, R.; Bastings, L.; Westphal, J.R.; Massuger, L.F.; Braat, D.D.; Beerendonk, C.C. A preliminary study on a new model system to evaluate tumour-detection and tumour-purging protocols in ovarian cortex tissue intended for fertility preservation. Hum. Reprod. 2015, 30, 870–876. [Google Scholar] [CrossRef]
- Gabardi, S.; Baroletti, S.A. Everolimus: A proliferation signal inhibitor with clinical applications in organ transplantation, oncology, and cardiology. Pharmacotherapy 2010, 30, 1044–1056. [Google Scholar] [CrossRef]
- Amin, H.M.; Morani, A.C.; Daw, N.C.; Lamhamedi-Cherradi, S.-E.; Subbiah, V.; Menegaz, B.A.; Vishwamitra, D.; Eskandari, G.; George, B.; Benjamin, R.S.; et al. IGF-1R/mTOR Targeted Therapy for Ewing Sarcoma: A Meta-Analysis of Five IGF-1R-Related Trials Matched to Proteomic and Radiologic Predictive Biomarkers. Cancers 2020, 12, 1768. [Google Scholar] [CrossRef]
- Goldman, K.N.; Chenette, D.; Arju, R.; Duncan, F.E.; Keefe, D.L.; Grifo, J.A.; Schneider, R.J. mTORC1/2 inhibition preserves ovarian function and fertility during genotoxic chemotherapy. Proc. Natl. Acad. Sci. USA 2017, 114, 3186–3191. [Google Scholar] [CrossRef] [PubMed]
- Tanaka, Y.; Kimura, F.; Zheng, L.; Kaku, S.; Takebayashi, A.; Kasahara, K.; Tsuji, S.; Murakami, T. Protective effect of a mechanistic target of rapamycin inhibitor on an in vivo model of cisplatin-induced ovarian gonadotoxicity. Exp. Anim. 2018, 67, 493–500. [Google Scholar] [CrossRef] [PubMed]
- Grosbois, J.; Demeestere, I. Dynamics of PI3K and Hippo signaling pathways during in vitro human follicle activation. Hum. Reprod. 2018, 33, 1705–1714. [Google Scholar] [CrossRef] [PubMed]
- Grosbois, J.; Vermeersch, M.; Devos, M.; Clarke, H.J.; Demeestere, I. Ultrastructure and intercellular contact-mediated communication in cultured human early stage follicles exposed to mTORC1 inhibitor. Mol. Hum. Reprod. 2019, 25, 706–716. [Google Scholar] [CrossRef]
- Bastings, L.; Westphal, J.R.; Beerendonk, C.C.; Bekkers, R.L.; Zusterzeel, P.L.; Hendriks, J.C.; Braat, D.D.; Peek, R. Clinically applied procedures for human ovarian tissue cryopreservation result in different levels of efficacy and efficiency. J. Assist. Reprod. Genet. 2016, 33, 1605–1614. [Google Scholar] [CrossRef]
- Kurmasheva, R.T.; Dudkin, L.; Billups, C.; Debelenko, L.V.; Morton, C.L.; Houghton, P.J. The Insulin-like Growth Factor-1 Receptor–Targeting Antibody, CP-751,871, Suppresses Tumor-Derived VEGF and Synergizes with Rapamycin in Models of Childhood Sarcoma. Cancer Res. 2009, 69, 7662–7671. [Google Scholar] [CrossRef]
- Dirks, W.G.; Capes-Davis, A.; Eberth, S.; Fähnrich, S.; Wilting, J.S.; Steenpass, L.; Becker, J. Cross contamination meets misclassification: Awakening of CHP-100 from sleeping beauty sleep-A reviewed model for Ewing’s sarcoma. Int. J. Cancer 2021. online ahead of print. [Google Scholar] [CrossRef]
- Fleuren, E.D.; Roeffen, M.H.; Leenders, W.P.; Flucke, U.E.; Vlenterie, M.; Schreuder, H.W.; Boerman, O.C.; Van Der Graaf, W.T.; Versleijen-Jonkers, Y.M. Expression and clinical relevance of MET and ALK in Ewing sarcomas. Int. J. Cancer 2013, 133, 427–436. [Google Scholar] [CrossRef]
- Gougeon, A.; Testart, J. Germinal vesicle breakdown in oocytes of human atretic follicles during the menstrual cycle. Reproduction 1986, 78, 389–401. [Google Scholar] [CrossRef]
- Kristensen, S.G.; Liu, Q.; Mamsen, L.S.; Greve, T.; E Pors, S.; Bjørn, A.B.; Ernst, E.; Macklon, K.T.; Andersen, C.Y. A simple method to quantify follicle survival in cryopreserved human ovarian tissue. Hum. Reprod. 2018, 33, 2276–2284. [Google Scholar] [CrossRef]
- Telfer, E.E.; McLaughlin, M.; Ding, C.; Thong, K.J. A two-step serum-free culture system supports development of human oocytes from primordial follicles in the presence of activin. Hum. Reprod. 2008, 23, 1151–1158. [Google Scholar] [CrossRef]
- McLaughlin, M.; Kinnell, H.L.; Anderson, R.A.; Telfer, E.E. Inhibition of phosphatase and tensin homologue (PTEN) in human ovary in vitro results in increased activation of primordial follicles but compromises development of growing follicles. Mol. Hum. Reprod. 2014, 20, 736–744. [Google Scholar] [CrossRef]
- Carvajal, R.; Meyers, P. Ewing’s sarcoma and primitive neuroectodermal family of tumors. Hematol. Oncol. Clin. N. Am. 2005, 19, 501–525. [Google Scholar] [CrossRef] [PubMed]
- Cotterill, S.; Ahrens, S.; Paulussen, M.; Jürgens, H.; Voûte, P.; Gadner, H.; Craft, A. Prognostic Factors in Ewing’s Tumor of Bone: Analysis of 975 Patients From the European Intergroup Cooperative Ewing’s Sarcoma Study Group. J. Clin. Oncol. 2000, 18, 3108–3114. [Google Scholar] [CrossRef] [PubMed]
- Li, Y.P.; Chang, K.; Chen, T.W.; Lee, S.P.; Chen, C.A.; Cheng, W.F. Primary Ewing Family of Tumor Arising in the Ovary: A Case Report. Int. J. Gynecol. Pathol. 2019, 38, 470–473. [Google Scholar] [CrossRef]
- Sullivan, H.C.; Shulman, S.C.; Olson, T.; Ricketts, R.; Oskouei, S.; Shehata, B.M. Unusual Presentation of Metastatic Ewing Sarcoma to the Ovary in a 13 Year-Old: A Case Report and Review. Fetal Pediatr. Pathol. 2012, 31, 159–163. [Google Scholar] [CrossRef] [PubMed]
- Rosendahl, M.; Andersen, M.T.; Ralfkiaer, E.; Kjeldsen, L.; Andersen, M.K.; Andersen, C.Y. Evidence of residual disease in cryopreserved ovarian cortex from female patients with leukemia. Fertil. Steril. 2010, 94, 2186–2190. [Google Scholar] [CrossRef]
- De Roo, C.; Lierman, S.; Tilleman, K.; Peynshaert, K.; Braeckmans, K.; Caanen, M.; Lambalk, C.B.; Weyers, S.; T’Sjoen, G.; Cornelissen, R.; et al. Ovarian tissue cryopreservation in female-to-male transgender people: Insights into ovarian histology and physiology after prolonged androgen treatment. Reprod. Biomed. Online 2017, 34, 557–566. [Google Scholar] [CrossRef]
- Caanen, M.R.; Schouten, N.E.; Kuijper, E.A.M.; van Rijswijk, J.; van den Berg, M.H.; van Dulmen-den Broeder, E.; Overbeek, A.; van Leeuwen, F.E.; van Trotsenburg, M.; Lambalk, C.B. Effects of long-term exogenous testosteroneadministration on ovarian morphology, determined by transvaginal (3D) ultrasound in female-to-male transsexuals. Hum. Reprod. 2017, 32, 1457–1464. [Google Scholar] [CrossRef]
- Salguero-Aranda, C.; Amaral, A.T.; Olmedo-Pelayo, J.; Diaz-Martin, J.; De Álava, E. Breakthrough Technologies Reshape the Ewing Sarcoma Molecular Landscape. Cells 2020, 9, 804. [Google Scholar] [CrossRef]
- May, W.A.; Grigoryan, R.S.; Keshelava, N.; Cabral, D.J.; Christensen, L.L.; Jenabi, J.; Ji, L.; Triche, T.J.; Lawlor, E.R.; Reynolds, C.P. Characterization and drug resistance patterns of Ewing’s sarcoma family tumor cell lines. PLoS ONE. 2013, 8, e80060. [Google Scholar]
- Henke, E.; Nandigama, R.; Ergün, S. Extracellular Matrix in the Tumor Microenvironment and Its Impact on Cancer Therapy. Front. Mol. Biosci. 2020, 6, 160. [Google Scholar] [CrossRef] [PubMed]
- Lin, S.-S.; Liu, Y.-W. Mechanical Stretch Induces mTOR Recruitment and Activation at the Phosphatidic Acid-Enriched Macropinosome in Muscle Cell. Front. Cell Dev. Biol. 2019, 7, 78. [Google Scholar] [CrossRef]
- Weaver, D.L.; Krag, D.N.; Ashikaga, T.; Harlow, S.P.; O’Connell, M. Pathologic analysis of sentinel and nonsentinel lymph nodes in breast carcinoma: A multicenter study. Cancer 2000, 88, 1099–1107. [Google Scholar] [CrossRef]
- Kawamura, K.; Cheng, Y.; Suzuki, N.; Deguchi, M.; Sato, Y.; Takae, S.; Ho, C.-H.; Kawamura, N.; Tamura, M.; Hashimoto, S.; et al. Hippo signaling disruption and Akt stimulation of ovarian follicles for infertility treatment. Proc. Natl. Acad. Sci. USA 2013, 110, 17474–17479. [Google Scholar] [CrossRef]
- Grosbois, J.; Devos, M.; Demeestere, I. Implications of Nonphysiological Ovarian Primordial Follicle Activation for Fertility Preservation. Endocr. Rev. 2020, 41, 847–872. [Google Scholar] [CrossRef] [PubMed]
- Devos, M.; Grosbois, J.; Demeestere, I. Interaction between PI3K/AKT and Hippo pathways during in vitro follicular activation and response to fragmentation and chemotherapy exposure using a mouse immature ovary model. Biol. Reprod. 2019, 102, 717–729. [Google Scholar] [CrossRef] [PubMed]
- Pargianas, M.; Kosmas, I.; Papageorgiou, K.; Kitsou, C.; Papoudou-Bai, A.; Batistatou, A.; Markoula, S.; Salta, S.; Dalkalitsis, A.; Kolibianakis, S.; et al. Follicle inhibition at the primordial stage without increasing apoptosis, with a combination of everolimus, verapamil. Mol. Biol. Rep. 2020, 47, 8711–8726. [Google Scholar] [CrossRef] [PubMed]
- Guo, J.; Zhang, T.; Guo, Y.; Sun, T.; Li, H.; Zhang, X.; Yin, H.; Cao, G.; Yin, Y.; Wang, H.; et al. Oocyte stage-specific effects of MTOR determine granulosa cell fate and oocyte quality in mice. Proc. Natl. Acad. Sci. USA 2018, 115, E5326–E5333. [Google Scholar] [CrossRef]
- Crazzolara, R.; Cisterne, A.; Thien, M.; Hewson, J.; Baraz, R.; Bradstock, K.F.; Bendall, L.J. Potentiating effects of RAD001 (Everolimus) on vincristine therapy in childhood acute lymphoblastic leukemia. Blood 2009, 113, 3297–3306. [Google Scholar] [CrossRef] [PubMed]
- Zhu, Y.; Zhang, X.; Liu, Y.; Zhang, S.; Liu, J.; Ma, Y.; Zhang, J. Antitumor effect of the mTOR inhibitor everolimus in combination with trastuzumab on human breast cancer stem cells in vitro and in vivo. Tumor Biol. 2012, 33, 1349–1362. [Google Scholar] [CrossRef]
- Yoo, C.; Lee, J.; Rha, S.Y.; Park, K.H.; Kim, T.M.; Kim, Y.J.; Lee, H.J.; Lee, K.H.; Ahn, J.-H. Multicenter phase II study of everolimus in patients with metastatic or recurrent bone and soft-tissue sarcomas after failure of anthracycline and ifosfamide. Investig. New Drugs 2013, 31, 1602–1608. [Google Scholar] [CrossRef] [PubMed]
- Paplomata, E.; Zelnak, A.; O’Regan, R. Everolimus: Side effect profile and management of toxicities in breast cancer. Breast Cancer Res. Treat. 2013, 140, 453–462. [Google Scholar] [CrossRef] [PubMed]








Publisher’s Note: MDPI stays neutral with regard to jurisdictional claims in published maps and institutional affiliations. |
© 2021 by the authors. Licensee MDPI, Basel, Switzerland. This article is an open access article distributed under the terms and conditions of the Creative Commons Attribution (CC BY) license (https://creativecommons.org/licenses/by/4.0/).
Share and Cite
Peek, R.; Eijkenboom, L.L.; Braat, D.D.M.; Beerendonk, C.C.M. Complete Purging of Ewing Sarcoma Metastases from Human Ovarian Cortex Tissue Fragments by Inhibiting the mTORC1 Signaling Pathway. J. Clin. Med. 2021, 10, 4362. https://doi.org/10.3390/jcm10194362
Peek R, Eijkenboom LL, Braat DDM, Beerendonk CCM. Complete Purging of Ewing Sarcoma Metastases from Human Ovarian Cortex Tissue Fragments by Inhibiting the mTORC1 Signaling Pathway. Journal of Clinical Medicine. 2021; 10(19):4362. https://doi.org/10.3390/jcm10194362
Chicago/Turabian StylePeek, Ronald, Lotte L. Eijkenboom, Didi D. M. Braat, and Catharina C. M. Beerendonk. 2021. "Complete Purging of Ewing Sarcoma Metastases from Human Ovarian Cortex Tissue Fragments by Inhibiting the mTORC1 Signaling Pathway" Journal of Clinical Medicine 10, no. 19: 4362. https://doi.org/10.3390/jcm10194362
APA StylePeek, R., Eijkenboom, L. L., Braat, D. D. M., & Beerendonk, C. C. M. (2021). Complete Purging of Ewing Sarcoma Metastases from Human Ovarian Cortex Tissue Fragments by Inhibiting the mTORC1 Signaling Pathway. Journal of Clinical Medicine, 10(19), 4362. https://doi.org/10.3390/jcm10194362

