Endoscopic Skull Base Repair Strategy for CSF Leaks Associated with Pneumocephalus
Abstract
1. Introduction
2. Materials and Methods
2.1. Study Design and Patient Selection
2.2. Surgical Approach and Reconstruction Technique
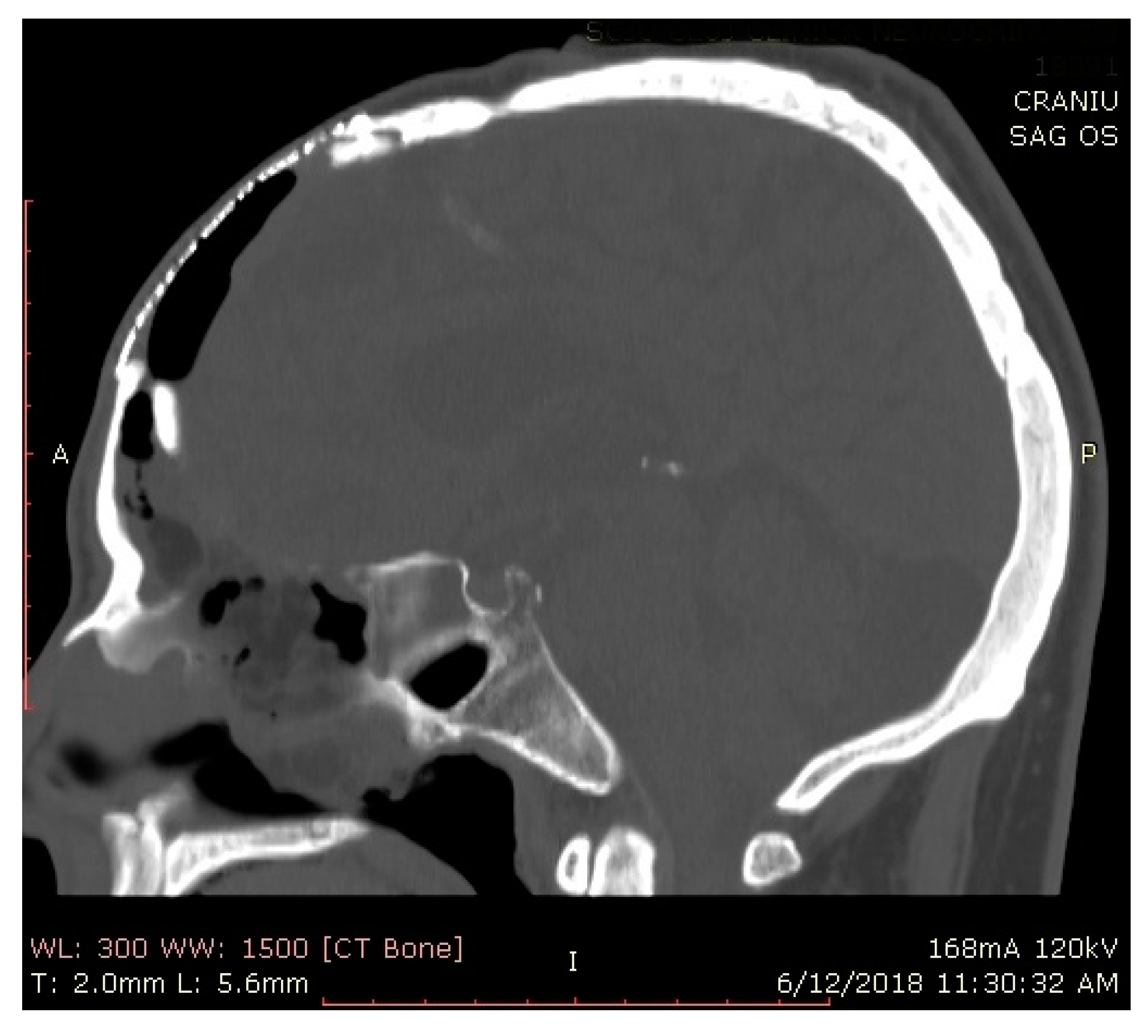
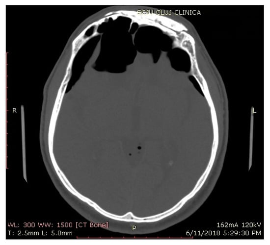
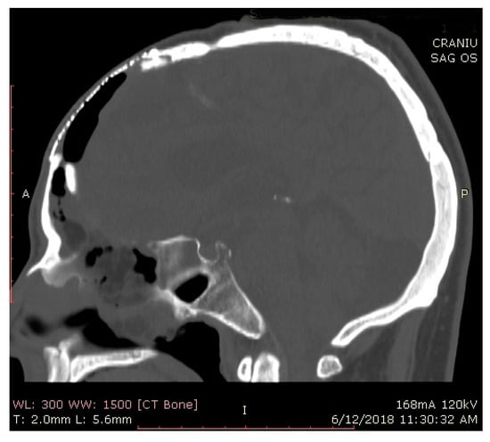
3. Results
4. Discussion
5. Conclusions
Author Contributions
Funding
Institutional Review Board Statement
Informed Consent Statement
Data Availability Statement
Conflicts of Interest
References
- Wise, S.K.; Harvey, R.J.; Patel, S.J.; Frankel, B.M.; Schlosser, R.J. Endoscopic repair of skull base defects presenting with pneumocephalus. J. Otolaryngol. Head Neck Surg. 2009, 38, 509–516. [Google Scholar] [PubMed]
- Stawicki, S.P.; Pillai, P.; Sharma, R.; MacKenzie, L.; Reilly, E.F.; Ii, P.B.; Papadimos, T.J.; Beery, P.R. Traumatic tension pneumocephalus—Two cases and comprehensive review of literature. Int. J. Crit. Illn. Inj. Sci. 2017, 7, 58–64. [Google Scholar] [CrossRef] [PubMed]
- Biju, R.D.; Wu, J.; Hussain, Z. Tension pneumocephalus after skull base surgery. A case report and review of literature. J. Clin. Neurosci. 2020, 75, 218–220. [Google Scholar] [CrossRef] [PubMed]
- Yin, C.; Chen, B. Tension pneumocephalus from skull base surgery: A case report and review of the literature. Surg. Neurol. Int. 2018, 9, 128. [Google Scholar]
- Siegel, J.; Hampton, K.; Rabinstein, A.A.; McLaughlin, D.; Diaz-Gomez, J.L. Oxygen Therapy with High-Flow Nasal Cannula as an Effective Treatment for Perioperative Pneumocephalus: Case Illustrations and Pathophysiological Review. Neurocrit. Care 2018, 29, 366–373. [Google Scholar] [CrossRef]
- Dandy, W.D. Pneumocephalus (Intracranial pneumocele or aeroscele). Arch. Surg. 1926, 12, 949–982. [Google Scholar] [CrossRef]
- Markham, J.W. The Clinical Features of Pneumoeephalus Based upon a Survey of 284 Cases with Report of 11 Additional Cases. Acta Neurochir. 1967, 16, 1–78. [Google Scholar] [CrossRef]
- Reasoner, D.K.; Todd, M.M.; Scamman, F.L.; Warner, D.S. The incidence of pneumocephalus after supratentorial craniotomy. Anesthesiology 1994, 80, 1008–1012. [Google Scholar] [CrossRef]
- Banu, M.A.; Szentirmai, O.; Mascarenhas, L.; Salek, A.A.; Anand, V.K.; Schwartz, T.H. Pneumocephalus patterns following endonasal endoscopic skull base surgery as predictors of postoperative CSF leaks. J. Neurosurg. 2014, 121, 961–975. [Google Scholar] [CrossRef]
- Zasler, N.D. Posttraumatic tension pneumocephalus. J. Head Trauma Rehabil. 1999, 14, 81–84. [Google Scholar] [CrossRef]
- Hoffmann, D.F.; May, M. Endoscopic frontal sinus surgery: Frontal trephine permits a ‘two-sided approach’. Oper. Tech. Otolaryngol. Head Neck Surg. 1991, 2, 257–261. [Google Scholar] [CrossRef]
- Coleman, C.C.; Richmond, V.A. Fracture of the skull involving the paranasal sinuses and mastoids. JAMA 1947, 109, 1613–1616. [Google Scholar] [CrossRef]
- Eftekhar, B.; Ghodsi, M.; Nejat, F.; Ketabchi, E.; Esmaeeli, B. Prophylactic Administration of Ceftriaxone for the Prevention of Meningitis after Traumatic Pneumocephalus: Results of a Clinical Trial. J. Neurosurg. 2004, 101, 757–761. [Google Scholar] [CrossRef] [PubMed]
- May, M.; Levine, H.L.; Mester, S.J.; Schaitkin, B. Complications of endoscopic sinus surgery analysis of 2108 patients: Incidence and prevention. Laryngoscope 1994, 104, 1080–1083. [Google Scholar] [CrossRef] [PubMed]
- Guo, K.; Heng, L.; Zhang, H.; Ma, L.; Zhang, H.; Jia, D. Risk factors for postoperative intracranial infections in patients with pituitary adenoma after endoscopic endonasal transsphenoidal surgery: Pneumocephalus deserves further study. Neurosurg. Focus 2019, 47, E5. [Google Scholar] [CrossRef]
- Ivan, M.E.; Iorgulescu, J.B.; El-Sayed, I.; McDermott, M.W.; Parsa, A.T.; Pletcher, S.D.; Jahangiri, A.; Wagner, J.; Aghi, M.K. Risk factors for postoperative cerebrospinal fluid leak and meningitis after expanded endoscopic endonasal surgery. J. Clin. Neurosci. 2015, 22, 48–54. [Google Scholar] [CrossRef]
- Allensworth, J.J.; Rowan, N.; Storck, K.A.; Woodworth, B.A.; Schlosser, R.J. Endoscopic repair of spontaneous skull base defects decreases the incidence rate of intracranial complications. Int. Forum Allergy Rhinol. 2019, 9, 1089–1096. [Google Scholar] [CrossRef]
- Clark, D.W.; Citardi, M.J.; Fakhri, S. Endoscopic management of skull base defects associated with persistent pneumocephalus following previous open repair: A preliminary report. Otolaryngol. Head Neck Surg. 2010, 142, 820–826. [Google Scholar] [CrossRef]
- DelGaudio, J.M.; Ingley, A.P. Treatment of pneumocephalus after endoscopic sinus and microscopic skull base surgery. Am. J. Otolaryngol. Head Neck Med. Surg. 2010, 31, 226–230. [Google Scholar] [CrossRef]
- Conger, J.B.T.; Illing, E.; Bush, B.; Woodworth, B.A. Management of lateral frontal sinus pathology in the endoscopic era. Otolaryngol. Head Neck Surg. 2014, 151, 159–163. [Google Scholar] [CrossRef]
- Marcus, J.; Laufer, I.; Mehrara, B.; Kraus, D.; Singh, B.; Bilsky, M.H. Anterior and Anterolateral Resection for Skull Base Malignancies. Techniques and Complication Avoidance. Neurosurg. Clin. N. Am. 2013, 24, 11–18. [Google Scholar] [CrossRef] [PubMed]
- Albu, S.; Emanuelli, E.; Trombitas, V.; Florian, I.A. Effectiveness of lumbar drains on recurrence rates in endoscopic surgery of cerebrospinal fluid leaks. Am. J. Rhinol. Allergy 2013, 27, e190–e194. [Google Scholar] [CrossRef] [PubMed]
- Kim, H.; Hong, Y.-K.; Jeun, S.-S.; Park, J.-S.; Jung, K.H.; Kim, S.W.; Cho, J.H.; Park, Y.J.; Kang, Y.J.; Kim, S.W. Invagination of the sphenoid sinus mucosa after endoscopic endonasal transsphenoidal approach and its significance. PLoS ONE 2016, 11, e0162836. [Google Scholar] [CrossRef] [PubMed]
- Matsuda, T.; Horiguchi, K.; Higuchi, Y.; Hanazawa, T.; Okamoto, Y.; Iwadate, Y. Unexpected prominent tension pneumosella five years after endoscopic endonasal transsphenoidal surgery. Laryngoscope 2018, 128, 1798–1801. [Google Scholar] [CrossRef]
- Bernal-Sprekelsen, M.; Bieda-Vazquez, C.; Carrau, R.L. Ascending Meningitis Secondary I to Traumatic Cerebrospinal Fluid Leaks. Am. J. Rhinol. 2000, 14, 257–260. [Google Scholar] [CrossRef]
- Eljamel, M.S.; Foy, P.M. Acute Traumatic CSF Fistulae: The Risk of Intracranial Infection. Br. J. Neurosurg. 1990, 4, 381–385. [Google Scholar] [CrossRef]
- Clevens, R.A.; Marentette, L.J.; Esclamado, R.M.; Wolf, G.T.; Ross, D.A. Incidence and Management of Tension Pneumocephalus after Anterior Craniofacial Resection: Case Reports and Review of the Literature. Otolaryngol. Head Neck Surg. 1999, 120, 579–580. [Google Scholar] [CrossRef]
- Bernal-Sprekelsen, M.; Rioja, E.; Ensenat, J.; Enriquez, K.; Viscovich, L.; Agredo-Lemos, F.E.; Alobid, I. Management of anterior skull base defect depending on its size and location. Biomed. Res. Int. 2014, 2014, 346873. [Google Scholar] [CrossRef]
- Gâta, A.; Trombitas, V.E.; Albu, S. Endoscopic management of frontal sinus CSF leaks. Braz J. Otorhinolaryngol. 2020. [Google Scholar] [CrossRef]
- Roberts, G.A.; Foy, P.M.; Bolger, C. Idiopathic spontaneous cerebrospinal fluid rhinorrhoea and pneumocephalus: Case report and literature review. Br. J. Neurosurg. 1996, 10, 513–518. [Google Scholar] [CrossRef]
- Aferzon, M.; Aferzon, J.; Spektor, Z. Endoscopic repair of tension pneumocephalus. Otolaryngol. Head Neck Surg. 2001, 124, 688–689. [Google Scholar] [CrossRef] [PubMed]






| Patient | Age/Sex | Etiology | Defect Location | Defect Size (mm) | Complication | Follow-Up Months |
|---|---|---|---|---|---|---|
| 1. | 21/M | Trauma | Frontal p.w. + Ethmoid | 75 | no | 17 |
| 2. | 45/M | Sphenoid meningiom, transcranial approach | Sphenoid | 50 | no | 94 |
| 3. | 67/M | ESS | Ethmoid | 25 | no | 72 |
| 4. | 56/F | Cranialization | Frontal p.w. | 15 | no | 55 |
| 5. | 45/F | ESS | Ethmoid | 35 | no | 36 |
| 6. | 48/M | Cranialization | Frontal p.w. + Fr. | 80 | no | 84 |
| 7. | 65/F | Frontal meningioma, open approach | Fr. + frontal p.w. | 60 | surgery for tumor recurrence | 32 |
| 8. | 43/F | MTPS | Sellar diaphragm | 30 | no | 24 |
| 9. | 55/M | MTPS | Sellar diaphragm | 20 | no | 18 |
| 10. | 25/M | Cranialization | Fr. | 25 | no | 25 |
| 11. | 47/F | Sphenoid meningioma –transcranial approach | Sphenoid lateral recess | 35 | no | 38 |
| 12. | 35/M | Cranialization | Frontal p.w. | 55 | no | 24 |
| 13. | 29/M | Cranialization | Frontal p.w. + Fr. | 70 | neo-ostium stenosis | 58 |
| 14. | 39/F | ESS | Fr. | 25 | no | 26 |
| 15. | 61/M | Frontal tumor excision | Frontal p.w. | 35 | no | 60 |
| 16. | 55/F | Frontal tumor excision | Frontal p.w. + Fr. | 85 | no | 17 |
| 17. | 35/M | Cranialization | Fr. + ethmoid | 60 | no | 48 |
| 18. | 48/F | ESS | Ethmoid | 30 | no | 18 |
| 19. | 39/F | Trauma | Ethmoid | 95 | no | 22 |
| 20. | 32/M | Trauma | Sphenoid + ethmoid | 40 | no | 15 |
Publisher’s Note: MDPI stays neutral with regard to jurisdictional claims in published maps and institutional affiliations. |
© 2020 by the authors. Licensee MDPI, Basel, Switzerland. This article is an open access article distributed under the terms and conditions of the Creative Commons Attribution (CC BY) license (http://creativecommons.org/licenses/by/4.0/).
Share and Cite
Gâta, A.; Toader, C.; Trombitaș, V.E.; Ilyes, A.; Albu, S. Endoscopic Skull Base Repair Strategy for CSF Leaks Associated with Pneumocephalus. J. Clin. Med. 2021, 10, 46. https://doi.org/10.3390/jcm10010046
Gâta A, Toader C, Trombitaș VE, Ilyes A, Albu S. Endoscopic Skull Base Repair Strategy for CSF Leaks Associated with Pneumocephalus. Journal of Clinical Medicine. 2021; 10(1):46. https://doi.org/10.3390/jcm10010046
Chicago/Turabian StyleGâta, Anda, Corneliu Toader, Veronica Elena Trombitaș, Annamaria Ilyes, and Silviu Albu. 2021. "Endoscopic Skull Base Repair Strategy for CSF Leaks Associated with Pneumocephalus" Journal of Clinical Medicine 10, no. 1: 46. https://doi.org/10.3390/jcm10010046
APA StyleGâta, A., Toader, C., Trombitaș, V. E., Ilyes, A., & Albu, S. (2021). Endoscopic Skull Base Repair Strategy for CSF Leaks Associated with Pneumocephalus. Journal of Clinical Medicine, 10(1), 46. https://doi.org/10.3390/jcm10010046

