Nano-Chitosan/Eucalyptus Oil/Cellulose Acetate Nanofibers: Manufacturing, Antibacterial and Wound Healing Activities
Abstract
1. Introduction
2. Materials and Methods
2.1. Materials
2.2. Microorganisms
2.3. Hydrodistillation Extraction and Chemical Analyses
Gas Chromatography–Mass Spectroscopy (GC-MS) and FTIR Analyses
2.4. Antimicrobial Activity
2.5. Nano-Eucalyptus Oil Synthesis
2.5.1. Nano-Chitosan/Eucalyptus Oil
2.5.2. Antimicrobial Activity of the Prepared Nano-Chitosan/Eucalyptus Oil
2.5.3. Physico-Chemical Characterization of the Most Promising Nano-Chitosan/Eucalyptus Oil Nanoparticles
2.6. Manufacturing of Nanofibrous Membranes
2.6.1. Morphological and Physical Characterizations of the Prepared Electrospun Nanofibers
2.6.2. Loading Analysis
2.7. In Vitro Studies
2.7.1. Antibacterial Activity of the Prepared Electrospun Nanofibers
Fluorescence Microscopy (Live/Dead Cell Assay)
Scanning Electron Microscopy (SEM)
2.7.2. Evaluation of the Cytotoxic Effect of the Prepared Electrospun Nanofibers
2.7.3. In Vitro Scratch Assay of the Prepared Nanofibers
2.8. In Vivo Study
2.8.1. Animal Modeling
- -
- Group I: assigned as a negative control (normal, neither infected nor treated).
- -
- Group II: assigned as a positive control (infected with S. aureus with no treatment).
- -
- Group III: S. aureus-infected rats treated with Eucalyptus oil/cellulose acetate nanofibers.
- -
- Group IV: S. aureus-infected rats treated with nano-chitosan/Eucalyptus oil/cellulose acetate nanofibers.

2.8.2. Bacterial Load Assessment
2.8.3. Histological Studies
2.8.4. Immunohistochemistry (IHC)
2.8.5. RNA Extraction and RT-PCR Analysis
2.9. Statistical Analyses
3. Results and Discussion
3.1. Antimicrobial Activity of Essential Oils
3.2. Eucalyptus Oil Characterization Using GC-MS and FTIR
3.3. Antimicrobial Activity of the Prepared Nano-Chitosan/Eucalyptus Oil
3.4. Physico-Chemical Characterization of Nano-chitosan/Eucalyptus Oil
3.5. Morphological and Physical Characterizations of the Prepared Electrospun Nanofibers
3.6. In Vitro Studies
3.6.1. Antimicrobial Activity of the Prepared Nanofibers
3.6.2. Evaluation of the Cytotoxic Effect of the Prepared Nano-Chitosan/Eucalyptus Oil/Cellulose Acetate Nanofibers
3.6.3. In Vitro Scratch Assay of the Prepared Nanofibers
3.7. In Vivo Studies
3.7.1. Morphological Study
3.7.2. Bacterial Load Assessment
3.7.3. Histopathological Investigations
First Interval
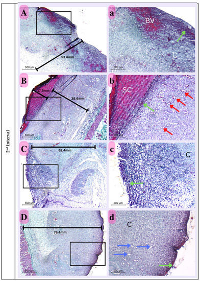
Second Interval
Third Interval
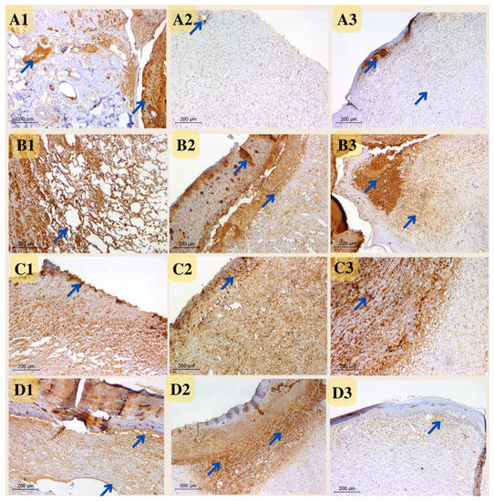
Immunohistochemistry
TGF-β1, Collagen Type I and III Expression in the Wound Tissue
4. Conclusions
Supplementary Materials
Author Contributions
Funding
Institutional Review Board Statement
Data Availability Statement
Conflicts of Interest
References
- Enoch, S.; Leaper, D.J. Basic science of wound healing. Surgery 2008, 26, 31–37. [Google Scholar]
- Kazemi, M.; Mohammadifar, M.; Aghadavoud, E.; Vakili, Z.; Aarabi, M.H.; Talaei, S.A. Deep skin wound healing potential of lavender essential oil and licorice extract in a nanoemulsion form: Biochemical, histopathological and gene expression evidences. J. Tissue Viability 2020, 29, 116–124. [Google Scholar] [CrossRef] [PubMed]
- Rehman, A.; Iqbal, M.; Khan, B.A.; Khan, M.K.; Huwaimel, B.; Alshehri, S.; Alamri, A.H.; Alzhrani, R.M.; Bukhary, D.M.; Safhi, A.Y.; et al. Fabrication, In Vitro, and In Vivo Assessment of Eucalyptol-Loaded Nanoemulgel as a Novel Paradigm for Wound Healing. Pharmaceutics 2022, 14, 1971. [Google Scholar] [CrossRef]
- Nosrati, H.; Heydari, M.; Tootiaei, Z.; Ganjbar, S.; Khodaei, M. Delivery of antibacterial agents for wound healing applications using polysaccharide-based scaffolds. J. Drug Deliv. Sci. Technol. 2023, 84, 104516. [Google Scholar] [CrossRef]
- Commons, R.J.; Robinson, C.H.; Gawler, D.; Davis, J.S.; Price, R.N. High burden of diabetic foot infections in the top end of Australia: An emerging health crisis (DEFINE study). Diabetes Res. Clin. Pract. 2015, 110, 147–157. [Google Scholar] [CrossRef]
- Kifelew, L.G.; Warner, M.S.; Morales, S.; Vaughan, L.; Woodman, R.; Fitridge, R.; Mitchell, J.G.; Speck, P. Efficacy of phage cocktail AB-SA01 therapy in diabetic mouse wound infections caused by multidrug-resistant Staphylococcus aureus. BMC Microbiol. 2020, 20, 204. [Google Scholar] [CrossRef]
- Jones, R.N. Resistance patterns among nosocomial pathogens: Trends over the past few years. Chest 2001, 119, 397S–404S. [Google Scholar] [CrossRef]
- Barreiros, V.C.P.; Dias, F.J.; Iyomasa, M.M.; Coutinho-Netto, J.; de Sousa, L.G.; Fazan, V.P.S.; Antunes, R.D.S.; Watanabe, I.-S.; Issa, J.P.M. Morphological and morphometric analyses of crushed sciatic nerves after application of a purified protein from natural latex and hyaluronic acid hydrogel. Growth Factors 2014, 32, 164–170. [Google Scholar] [CrossRef]
- Mumtaz, R.; Zubair, M.; Khan, M.A.; Muzammil, S.; Siddique, M.H. Extracts of Eucalyptus alba Promote Di-abetic Wound Healing by Inhibiting α-Glucosidase and Stimulating Cell Proliferation. Evid.-Based Complement. Altern. Med. 2022, 2022, 4953105. [Google Scholar] [CrossRef]
- Moghadamtousi, S.Z.; Rouhollahi, E.; Hajrezaie, M.; Karimian, H.; Abdulla, M.A.; Kadir, H.A. Annona mu-ricata leaves accelerate wound healing in rats via involvement of Hsp70 and antioxidant defence. Int. J. Surg. 2015, 18, 110–117. [Google Scholar] [CrossRef]
- Khajavi, R.; Abbasipour, M.; Barzi, M.G.; Rashidi, A.; Rahimi, M.K.; Mirzababa, H.H. Eucalyptus Essential Oil-Doped Alginate Fibers as a Potent Antibacterial Wound Dressing. Adv. Polym. Technol. 2014, 33. [Google Scholar] [CrossRef]
- São Pedro, A.; Santo, I.; Silva, C.; Detoni, C.; Albuquerque, E. The use of nanotechnology as an approach for essential oil-based formulations with antimicrobial activity. In Microbial Pathogens and Strategies for Combating Them; Méndez-Vilas, A., Ed.; Formatex Research Center Publisher: Badajoz, Spain, 2013; Volume 2, pp. 1364–1374. [Google Scholar]
- Kim, S.H.; Kim, J.M.; Ahn, D.B.; Lee, S.Y. Cellulose nanofiber/carbon nanotube-based bicontinuous ion/electron conduction networks for high-performance aqueous Zn-Ion Batteries. Small 2020, 16, 2002837. [Google Scholar] [CrossRef] [PubMed]
- Thomas, B.; Raj, M.C.; Athira, K.B.; Rubiah, M.H.; Joy, J.; Moores, A.; Drisko, G.L.; Sanchez, C. Nanocellulose, a Versatile Green Platform: From Biosources to Materials and Their Applications. Chem. Rev. 2018, 118, 11575–11625. [Google Scholar] [CrossRef] [PubMed]
- Song, S.W.; Kim, D.; Kim, J.; You, J.; Kim, H.M. Flexible nanocellulose-based SERS substrates for fast analysis of hazardous materials by spiral scanning. J. Hazard. Mater. 2021, 414, 125160. [Google Scholar] [CrossRef] [PubMed]
- Alshabanah, L.A.; Omran, N.; Elwakil, B.H.; Hamed, M.T.; Abdallah, S.M.; Al-Mutabagani, L.A.; Wang, D.; Liu, Q.; Shehata, N.; Hassanin, A.H.; et al. Elastic Nanofibrous Membranes for Medical and Personal Protection Applications: Manufacturing, Anti-COVID-19, and Anti-Colistin Resistant Bacteria Evaluation. Polymers 2021, 13, 3987. [Google Scholar] [CrossRef] [PubMed]
- Xu, H.; Yagi, S.; Ashour, S.; Du, L.; Hoque, M.E.; Tan, L. A Review on Current Nanofiber Technologies: Elec-trospinning, Centrifugal Spinning, and Electro-Centrifugal Spinning. Macromol. Mater. Eng. 2023, 308, 2200502. [Google Scholar] [CrossRef]
- Moreira, P.; Sousa, F.J.; Matos, P.; Brites, G.S.; Gonçalves, M.J.; Cavaleiro, C.; Figueirinha, A.; Salgueiro, L.; Batista, M.T.; Branco, P.C.; et al. Chemical Composition and Effect against Skin Alterations of Bioactive Extracts Obtained by the Hydrodistillation of Eucalyptus globulus Leaves. Pharmaceutics 2022, 14, 561. [Google Scholar] [CrossRef]
- Belhachemi, A.; Maatoug, M.H.; Canela-Garayoa, R. GC-MS and GC-FID analyses of the essential oil of Eucalyptus camaldulensis grown under greenhouses differentiated by the LDPE cover-films. Ind. Crops Prod. 2022, 178, 114606. [Google Scholar] [CrossRef]
- Essa, E.E.; Mo’men, S.A.; Rady, M.H.; Ma’moun, S.A.; Barakat, E.M.; Salama, M.S. Eucalyptus oil nano-emulsion encapsulated in chitosan beads as a new approach in control of Culex pipiens larvae. Int. J. Mosq. Res. 2019, 6, 63–69. [Google Scholar]
- Matche, R.S.; Adeogun, O.O. Physicochemical characterisations of nanoencapsulated Eucalyptus globulus oil with gum Arabic and gum Arabic nanocapsule and their biocontrol effect on anthracnose disease of Syzygium malaccense Fruits. Sci. Afr. 2022, 18, e01421. [Google Scholar] [CrossRef]
- Diab, S.E.; Tayea, N.A.; Elwakil, B.H.; Gad, A.A.E.M.; Ghareeb, D.A.; Olama, Z.A. Novel Amoxicillin-Loaded Sericin Biopolymeric Nanoparticles: Synthesis, Optimization, Antibacterial and Wound Healing Activities. Int. J. Mol. Sci. 2022, 23, 11654. [Google Scholar] [CrossRef] [PubMed]
- Eucast, E. Determination of minimum inhibitory concentrations (MICs) of antibacterial agents by broth dilution. Clin. Microbiol. Infect. 2003, 9, ix–xv. [Google Scholar]
- Ribeiro, W.L.C.; Macedo, I.T.F.; dos Santos, J.M.L.; de Oliveira, E.F.; Camurça-Vasconcelos, A.L.F.; de Paula, H.C.B.; Bevilaqua, C.M.L. Activity of chitosan-encapsulated Eucalyptus staigeriana essential oil on Haemonchus contortus. Exp. Parasitol. 2013, 135, 24–29. [Google Scholar] [CrossRef] [PubMed]
- Aljohani, F.S.; Hamed, M.T.; Bakr, B.A.; Shahin, Y.H.; Abu-Serie, M.M.; Awaad, A.K.; El-Kady, H.; Elwakil, B.H. In vivo bio-distribution and acute toxicity evaluation of greenly synthesized ultra-small gold nanoparticles with different biological activities. Sci. Rep. 2022, 12, 6269. [Google Scholar] [CrossRef] [PubMed]
- El-Attar, A.A.; El-Wakil, H.B.; Hassanin, A.H.; Bakr, B.A.; Almutairi, T.M.; Hagar, M.; Elwakil, B.H.; Olama, Z.A. Silver/Snail Mucous PVA Nanofibers: Electrospun Synthesis and Antibacterial and Wound Healing Activities. Membranes 2022, 12, 536. [Google Scholar] [CrossRef] [PubMed]
- Vinodhini, P.A.; Sangeetha, K.; Thandapani, G.; Sudha, P.N.; Jayachandran, V.; Sukumaran, A. FTIR, XRD and DSC studies of nanochitosan, cellulose acetate and polyethylene glycol blend ultrafiltration membranes. Int. J. Biol. Macromol. 2017, 104, 1721–1729. [Google Scholar] [CrossRef]
- Ye, P.; Wei, S.; Luo, C.; Wang, Q.; Li, A.; Wei, F. Long-Term Effect against Methicillin-Resistant Staphylococcus aureus of Emodin Released from Coaxial Electrospinning Nanofiber Membranes with a Biphasic Profile. Biomolecules 2020, 10, 362. [Google Scholar] [CrossRef]
- Kalalinia, F.; Taherzadeh, Z.; Jirofti, N.; Amiri, N.; Foroghinia, N.; Beheshti, M.; Bazzaz, B.S.F.; Hashemi, M.; Shahroodi, A.; Pishavar, E.; et al. Evaluation of wound healing efficiency of vancomycin-loaded electrospun chitosan/poly ethylene oxide nanofibers in full thickness wound model of rat. Int. J. Biol. Macromol. 2021, 177, 100–110. [Google Scholar] [CrossRef]
- ASTM E214901; Standard Test Method for Determining the Antimicrobial Activity of Antimicrobial Agents under Dynamic Contact Conditions. ASTM International: West Conshohocken, PA, USA, 2020.
- Santiago-Morales, J.; Amariei, G.; Letón, P.; Rosal, R. Antimicrobial activity of poly(vinyl alcohol)-poly(acrylic acid) electrospun nanofibers. Colloids Surf. B Biointerfaces 2016, 146, 144–151. [Google Scholar] [CrossRef]
- Auty, M.A.E.; Gardiner, G.E.; McBrearty, S.J.; O’sullivan, E.O.; Mulvihill, D.M.; Collins, J.K.; Fitzgerald, G.F.; Stanton, C.; Ross, R.P. Direct in situ viability assessment of bacteria in probiotic dairy products using viability staining in conjunction with con-focal scanning laser microscopy. Appl. Environ. Microbiol. 2001, 67, 420–425. [Google Scholar] [CrossRef]
- Nagata, T.; Ito, S.; Itoga, K.; Kanazawa, H.; Masaki, H. The Mechanism of Melanocytes-Specific Cytotoxicity Induced by Phenol Compounds Having a Prooxidant Effect, relating to the Appearance of Leukoderma. BioMed Res. Int. 2015, 2015, 479798. [Google Scholar] [CrossRef] [PubMed]
- Cichorek, M.; Wachulska, M.; Stasiewicz, A.; Tymińska, A. Skin melanocytes: Biology and development. Adv. Dermatol. Allergol. 2013, 30, 30–41. [Google Scholar] [CrossRef] [PubMed]
- Kim, M.; Lee, C.-S.; Lim, K.-M. Rhododenol Activates Melanocytes and Induces Morphological Alteration at Sub-Cytotoxic Levels. Int. J. Mol. Sci. 2019, 20, 5665. [Google Scholar] [CrossRef] [PubMed]
- Mosmann, T. Rapid colorimetric assay for cellular growth and survival: Application to proliferation and cytotoxicity assays. J. Immunol. Methods 1983, 65, 55–63. [Google Scholar] [CrossRef]
- Felice, F.; Zambito, Y.; Belardinelli, E.; Fabiano, A.; Santoni, T.; Di Stefano, R. Effect of different chitosan derivatives on in vitro scratch wound assay: A comparative study. Int. J. Biol. Macromol. 2015, 76, 236–241. [Google Scholar] [CrossRef]
- Zohdy, M.; El Hafez, A.A.; Allah, M.Y.Y.A.; Bessar, H.; Refat, S. Ki67 and CD31 Differential Expression in Cutaneous T-Cell Lymphoma and Its Mimickers: Association with Clinicopathological Criteria and Disease Advancement. Clin. Cosmet. Investig. Dermatol. 2020, 13, 431–442. [Google Scholar] [CrossRef]
- Mumu, S.K.; Hossain, M.M. Antimicrobial Activity of Tea Tree oil against Pathogenic Bacteria and Comparison of Its Effectiveness with Eucalyptus Oil, Lemongrass Oil and Conventional Antibiotics. Am. J. Microbiol. Res. 2018, 6, 73–78. [Google Scholar] [CrossRef]
- Aldoghaim, F.S.; Flematti, G.R.; Hammer, K.A. Antimicrobial Activity of Several Cineole-Rich Western Australian Eucalyptus Essential Oils. Microorganisms 2018, 6, 122. [Google Scholar] [CrossRef]
- Elansary, H.O.; Salem, M.Z.; Ashmawy, N.A.; Yessoufou, K.; El-Settawy, A.A. In vitro antibacterial, antifungal and antioxidant activities of Eucalyptus spp. leaf extracts related to phenolic composition. Nat. Prod. Res. 2017, 31, 2927–2930. [Google Scholar] [CrossRef]
- Salem, M.Z.; Ashmawy, N.A.; Elansary, H.O.; El-Settawy, A.A. Chemotyping of diverse Eucalyptus species grown in Egypt and antioxidant and antibacterial activities of its respective essential oils. Nat. Prod. Res. 2015, 29, 681–685. [Google Scholar] [CrossRef]
- Celeiro, M.; Lamas, J.P.; Arcas, R.; Lores, M. Antioxidants Profiling of By-Products from Eucalyptus Greenboards Manufacture. Antioxidants 2019, 8, 263. [Google Scholar] [CrossRef] [PubMed]
- Dogan, G.; Kara, N.; Bagci, E.; Gur, S. Chemical composition and biological activities of leaf and fruit essential oils from Eucalyptus camaldulensis. Z. Für Nat. C 2017, 72, 483–489. [Google Scholar] [CrossRef] [PubMed]
- Darwish, M.M.; Elneklawi, M.S.; Mohamad, E.A. Aloe Vera coated Dextran Sulfate/Chitosan nanoparticles (Aloe Vera@DS/CS) encapsulating Eucalyptus essential oil with antibacterial potent property. J. Biomater. Sci. Polym. Ed. 2022, 34, 810–827. [Google Scholar] [CrossRef] [PubMed]
- Sugumar, S.; Mukherjee, A.; Chandrasekaran, N. Eucalyptus oil nanoemulsion-impregnated chitosan film: Antibacterial effects against a clinical pathogen, Staphylococcus aureus, In Vitro. Int. J. Nanomed. 2015, 10 (Suppl. S1), 67. [Google Scholar]
- Zgurskaya, H.I.; Lopez, C.A.; Gnanakaran, S. Permeability barrier of Gram-negative cell envelopes and approaches to bypass it. ACS Infect. Dis. 2015, 1, 512–522. [Google Scholar] [CrossRef]
- Behbahani, B.A.; Yazdi, F.T.; Mortazavi, A.; Gholian, M.M.; Zendeboodi, F.; Vasiee, A. Antimicrobial effect of Carboxy Methyl Cellulose (CMC) containing aqueous and ethanolic Eucalyptus camaldulensis L. leaves extract against Streptococcus pyogenes, Pseudomonas aeruginosa and Staphylococcus epidermidis. Arch. Adv. Biosci. 2014, 5, 59–69. [Google Scholar]
- Juergens, U.R. Anti-inflammatory Properties of the Monoterpene 1.8-cineole: Current Evidence for Co-medication in Inflammatory Airway Diseases. Drug Res. 2014, 64, 638–646. [Google Scholar] [CrossRef]
- Rehman, J.; Ali, A.; Khan, I.A. Plant based products: Use and development as repellents against mosquitoes: A review. Fitoterapia 2014, 95, 65–74. [Google Scholar] [CrossRef]
- Shukla, A.; Choudhury, S.; Chaudhary, G.; Singh, V.; Prabhu, S.N.; Pandey, S.; Garg, S.K. Chitosan and gelatin biopolymer supplemented with mesenchymal stem cells (Velgraft®) enhanced wound healing in goats (Capra hircus): Involvement of VEGF, TGF and CD31. J. Tissue Viability 2021, 30, 59–66. [Google Scholar] [CrossRef]
- Eshaq, R.S.; Harris, N.R. Loss of Platelet Endothelial Cell Adhesion Molecule-1 (PECAM-1) in the Diabetic Retina: Role of Matrix Metalloproteinases. Investig. Opthalmol. Vis. Sci. 2019, 60, 748–760. [Google Scholar] [CrossRef]
- Maehata, Y.; Takamizawa, S.; Ozawa, S.; Izukuri, K.; Kato, Y.; Sato, S.; Lee, M.-C.; Kimura, A.; Hata, R.-I. Type III collagen is essential for growth acceleration of human osteoblastic cells by ascorbic acid 2-phosphate, a long-acting vitamin C derivative. Matrix Biol. 2007, 26, 371–381. [Google Scholar] [CrossRef] [PubMed]
- Muthukumar, T.; Anbarasu, K.; Prakash, D.; Sastry, T.P. Effect of growth factors and pro-inflammatory cytokines by the collagen biocomposite dressing material containing Macrotyloma uniflorum plant extract—In vivo wound healing. Colloids Surf. B Biointerfaces 2014, 121, 178–188. [Google Scholar] [CrossRef] [PubMed]
- Singer, A.J.; Clark, R.A. Cutaneous wound healing. N. Engl. J. Med. 1999, 341, 738–746. [Google Scholar] [CrossRef] [PubMed]
- Tamer, T.M.; Collins, M.N.; Valachová, K.; Hassan, M.A.; Omer, A.M.; Mohy-Eldin, M.S.; Švík, K.; Jurčík, R.; Ondruška, Ľ.; Biró, C.; et al. MitoQ loaded chitosan-hyaluronan composite membranes for wound healing. Materials 2018, 11, 569. [Google Scholar] [CrossRef]






















| Name | Primer Sequence |
|---|---|
| TGF-β1 | F: ACTGATACGCCTGAGTGGCTGT |
| R: CTCTGTGGAGCTGAAGCAGTAG | |
| Type I collagen α2 | F: CATGCCGTGACCTCAAGATG |
| R: TCCATCGGTCATGCTCTCTC | |
| Type III collagen α1 | F: GAAGACGGCAAAGATGGGTC |
| R: CATACCCCGTATCCCTGGAC | |
| RNA 18S | F: GCAATTATTCCCCATGAACG |
| R: GGCCTCACTAAACCATCCAA |
| Tested Pathogens | Inhibition Zone Diameter (mm) | MIC (μg/mL) | MBC (μg/mL) | MIC Index |
|---|---|---|---|---|
| K. pneumonia | 10.0 ± 1.0 | 256.0 | 1024.0 | 5.0 |
| P. aeruginosa | 10.0 ± 2.0 | 64.0 | 512.0 | 8.0 |
| P. vulgaris | 11.0 ± 2.0 | 64.0 | 512.0 | 8.0 |
| E. coli | 12.0 ± 4.0 | 64.0 | 512.0 | 8.0 |
| C. albicans | 11.0 ± 1.0 | 256.0 | 1024.0 | 5.0 |
| S. aureus | 15.0 ± 3.0 | 16.0 | 256.0 | 16.0 |
| A. baumannii | 11.0 ± 2.0 | 64.0 | 512.0 | 8.0 |
| RT | Compound | Area% |
|---|---|---|
| 7.74 | α-Pinene dimer | 6.52 |
| 8.15 | Camphene | 0.08 |
| 8.85 | α-Pinene | 0.93 |
| 10.18 | Homovanillic acid | 35.06 |
| 10.35 | Eucalyptol (1,8-cineole) | 36.49 |
| 10.6 | á-Ocimene | 8.21 |
| Tested Nanoformulae | Inhibition Zone Diameter (mm) | MIC (μg/mL) | MBC (μg/mL) | ||||||
|---|---|---|---|---|---|---|---|---|---|
| P. vulgaris | C. albicans | S. aureus | P. vulgaris | C. albicans | S. aureus | P. vulgaris | C. albicans | S. aureus | |
| Nano-chitosan placebo | 9.0 ± 1.0 | 9.0 ± 2.0 | 10.0 ± 4.0 | 512.0 | 512.0 | 256.0 | 1024.0 | 1024.0 | 512.0 |
| Nano-chitosan/Eucalyptus oil | 25.0 ± 3.0 | 21.0 ± 4.0 | 43.0 ± 6.0 | 32.0 | 64.0 | 4.0 | 256.0 | 256.0 | 64.0 |
| Nanofibers | R% | Agar Diffusion (mm) | ||||
|---|---|---|---|---|---|---|
| P. vulgaris | C. albicans | S. aureus | P. vulgaris | C. albicans | S. aureus | |
| Cellulose acetate nanofibers | 0.0 ± 0.0 | 0.0 ± 0.0 | 0.0 ± 0.0 | 0.0 ± 0.0 | 0.0 ± 0.0 | 0.0 ± 0.0 |
| Nano-chitosan/cellulose acetate nanofibers | 10.0 ± 3.2 | 9.0 ± 1.0 | 12.0 ± 2.0 | 12.0 ± 5.0 | 10.0 ± 1.0 | 15.0 ± 2.0 |
| Eucalyptus/cellulose acetate nanofibers | 52.0 ± 9.4 | 49.0 ± 3.5 | 63.0 ± 4.0 | 15.0 ± 3.0 | 12.0 ± 3.0 | 20.0 ± 2.0 |
| Nano-chitosan/Eucalyptus oil/cellulose acetate nanofibers | 78.0 ± 5.0 | 65.0 ± 6.1 | 87.0 ± 2.4 | 42.0 ± 1.0 | 30.0 ± 1.0 | 57.0 ± 3.0 |
Disclaimer/Publisher’s Note: The statements, opinions and data contained in all publications are solely those of the individual author(s) and contributor(s) and not of MDPI and/or the editor(s). MDPI and/or the editor(s) disclaim responsibility for any injury to people or property resulting from any ideas, methods, instructions or products referred to in the content. |
© 2023 by the authors. Licensee MDPI, Basel, Switzerland. This article is an open access article distributed under the terms and conditions of the Creative Commons Attribution (CC BY) license (https://creativecommons.org/licenses/by/4.0/).
Share and Cite
Elbhnsawi, N.A.; Elwakil, B.H.; Hassanin, A.H.; Shehata, N.; Elshewemi, S.S.; Hagar, M.; Olama, Z.A. Nano-Chitosan/Eucalyptus Oil/Cellulose Acetate Nanofibers: Manufacturing, Antibacterial and Wound Healing Activities. Membranes 2023, 13, 604. https://doi.org/10.3390/membranes13060604
Elbhnsawi NA, Elwakil BH, Hassanin AH, Shehata N, Elshewemi SS, Hagar M, Olama ZA. Nano-Chitosan/Eucalyptus Oil/Cellulose Acetate Nanofibers: Manufacturing, Antibacterial and Wound Healing Activities. Membranes. 2023; 13(6):604. https://doi.org/10.3390/membranes13060604
Chicago/Turabian StyleElbhnsawi, Nagwa A., Bassma H. Elwakil, Ahmed H. Hassanin, Nader Shehata, Salma Sameh Elshewemi, Mohamed Hagar, and Zakia A. Olama. 2023. "Nano-Chitosan/Eucalyptus Oil/Cellulose Acetate Nanofibers: Manufacturing, Antibacterial and Wound Healing Activities" Membranes 13, no. 6: 604. https://doi.org/10.3390/membranes13060604
APA StyleElbhnsawi, N. A., Elwakil, B. H., Hassanin, A. H., Shehata, N., Elshewemi, S. S., Hagar, M., & Olama, Z. A. (2023). Nano-Chitosan/Eucalyptus Oil/Cellulose Acetate Nanofibers: Manufacturing, Antibacterial and Wound Healing Activities. Membranes, 13(6), 604. https://doi.org/10.3390/membranes13060604

