IgM+ and IgT+ B Cell Traffic to the Heart during SAV Infection in Atlantic Salmon
Abstract
1. Introduction
2. Materials and Methods
2.1. Animal Study
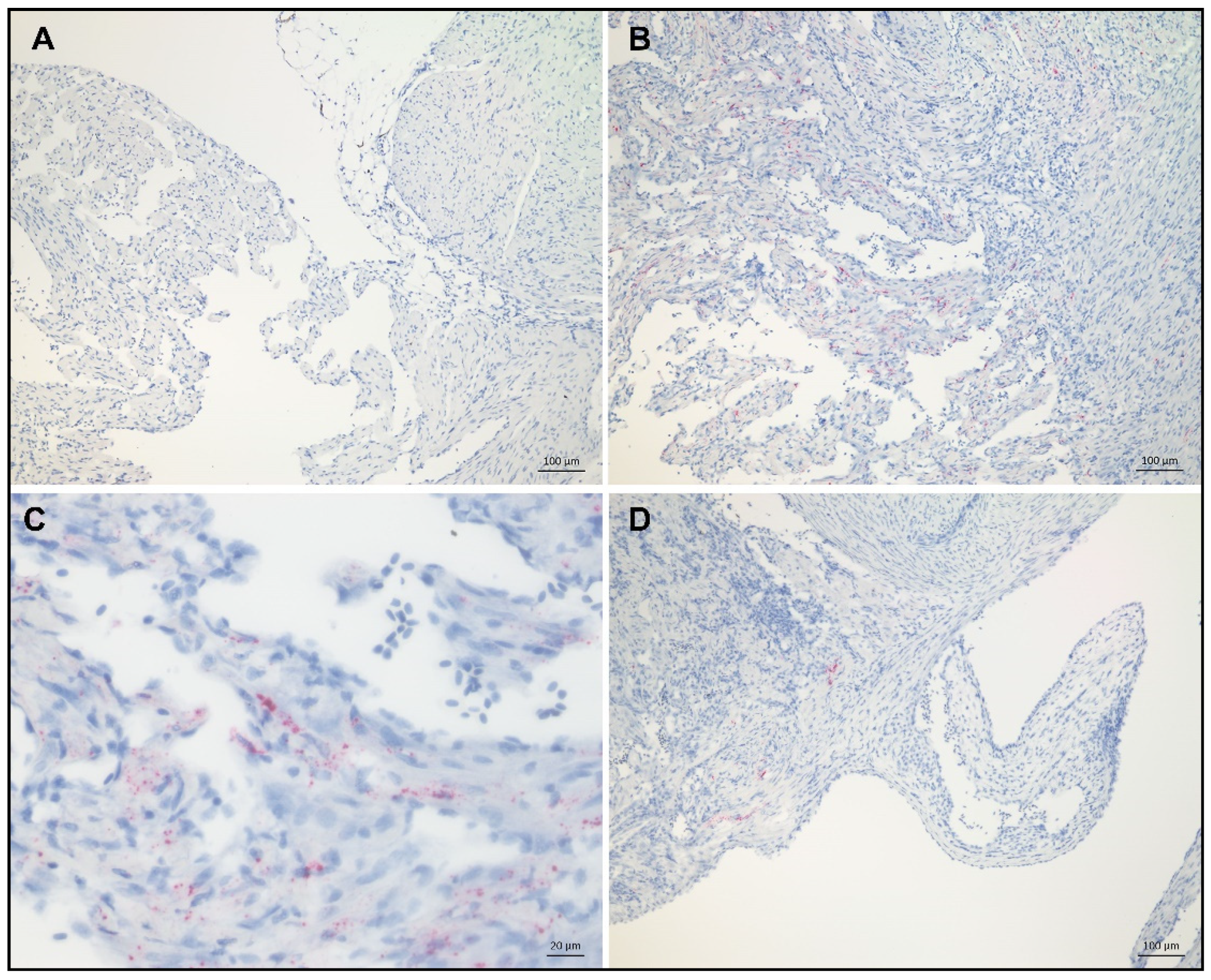
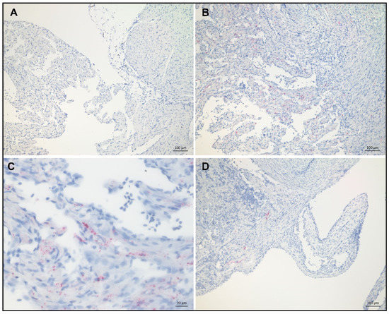
2.2. In Situ Hybridization
2.3. RNA Isolation
2.4. Sequencing of the Variable Region of the IgM Heavy Chain
2.5. Microarrays
3. Results
3.1. IgM+ and IgT+ B Cell Transcripts Increased in the Heart after Viral Challenge
3.2. Distribution of SAV Transcripts in Target Organs
3.3. Ig-seq Revealed Movement of B Cells from Lymphoid Tissue to the Heart in Response to Infection
3.4. Transcriptome Responses: Immune and Cardiac Functions
4. Discussion
5. Conclusions
Supplementary Materials
Author Contributions
Funding
Acknowledgments
Conflicts of Interest
References
- Castro, R.; Jouneau, L.; Pham, H.P.; Bouchez, O.; Giudicelli, V.; Lefranc, M.P.; Quillet, E.; Benmansour, A.; Cazals, F.; Six, A.; et al. Teleost fish mount complex clonal IgM and IgT responses in spleen upon systemic viral infection. PLoS Pathog. 2013, 9, e1003098. [Google Scholar] [CrossRef] [PubMed]
- Parra, D.; Takizawa, F.; Sunyer, J.O. Evolution of B Cell Immunity. Annu. Rev. Anim. Biosci. 2013, 1, 65–97. [Google Scholar] [CrossRef] [PubMed]
- Tadiso, T.M.; Lie, K.K.; Hordvik, I. Molecular cloning of IgT from Atlantic salmon, and analysis of the relative expression of tau, mu, and delta in different tissues. Vet. Immunol. Immunopathol. 2011, 139, 17–26. [Google Scholar] [CrossRef] [PubMed]
- Fillatreau, S.; Six, A.; Magadan, S.; Castro, R.; Sunyer, J.O.; Boudinot, P. The astonishing diversity of Ig classes and B cell repertoires in teleost fish. Front. Immunol. 2013, 4, 28. [Google Scholar] [CrossRef]
- Hansen, J.D.; Landis, E.D.; Phillips, R.B. Discovery of a unique Ig heavy-chain isotype (IgT) in rainbow trout: Implications for a distinctive B cell developmental pathway in teleost fish. Proc. Natl. Acad. Sci. USA 2005, 102, 6919. [Google Scholar] [CrossRef]
- Jenberie, S.; Thim, H.L.; Sunyer, J.O.; Skjødt, K.; Jensen, I.; Jørgensen, J.B. Profiling Atlantic salmon B cell populations: CpG-mediated TLR-ligation enhances IgM secretion and modulates immune gene expression. Sci. Rep. 2018, 8, 3565. [Google Scholar] [CrossRef]
- Parra, D.; Korytar, T.; Takizawa, F.; Sunyer, J.O. B cells and their role in the teleost gut. Dev. Comp. Immunol. 2016, 64, 150–166. [Google Scholar] [CrossRef]
- Salinas, I.; Zhang, Y.A.; Sunyer, J.O. Mucosal immunoglobulins and B cells of teleost fish. Dev. Comp. Immunol. 2011, 35, 1346–1365. [Google Scholar] [CrossRef]
- Hordvik, I. Immunoglobulin isotypes in Atlantic salmon, Salmo salar. Biomolecules 2015, 5, 166–177. [Google Scholar] [CrossRef]
- Zhang, N.; Zhang, X.-J.; Chen, D.-D.; Sunyer, J.O.; Zhang, Y.-A. Molecular characterization and expression analysis of three subclasses of IgT in rainbow trout (Oncorhynchus mykiss). Dev. Comp. Immunol. 2017, 70, 94–105. [Google Scholar] [CrossRef]
- Von Gersdorff Jorgensen, L.; Schmidt, J.G.; Chen, D.; Kania, P.W.; Buchmann, K.; Olesen, N.J. Skin immune response of rainbow trout (Oncorhynchus mykiss) experimentally exposed to the disease Red Mark Syndrome. Vet. Immunol. Immunopathol. 2019, 211, 25–34. [Google Scholar] [CrossRef] [PubMed]
- Yu, Y.Y.; Kong, W.; Yin, Y.X.; Dong, F.; Huang, Z.Y.; Yin, G.M.; Dong, S.; Salinas, I.; Zhang, Y.A.; Xu, Z. Mucosal immunoglobulins protect the olfactory organ of teleost fish against parasitic infection. PLoS Pathog. 2018, 14, e1007251. [Google Scholar] [CrossRef] [PubMed]
- Wang, Q.; Yu, Y.; Zhang, X.; Xu, Z. Immune responses of fish to Ichthyophthirius multifiliis (Ich): A model for understanding immunity against protozoan parasites. Dev. Comp. Immunol. 2019, 93, 93–102. [Google Scholar] [CrossRef] [PubMed]
- Abos, B.; Estensoro, I.; Perdiguero, P.; Faber, M.; Hu, Y.; Diaz Rosales, P.; Granja, A.G.; Secombes, C.J.; Holland, J.W.; Tafalla, C. Dysregulation of B cell activity during proliferative kidney disease in rainbow trout. Front. Immunol. 2018, 9, 1203. [Google Scholar] [CrossRef]
- Zapata, A.; Amemiya, C.T. Phylogeny of Lower Vertebrates and Their Immunological Structures. In Origin and Evolution of the Vertebrate Immune System; Du Pasquier, L., Litman, G.W., Eds.; Springer: Berlin/Heidelberg, Germany, 2000; pp. 67–107. [Google Scholar]
- Zwollo, P.; Cole, S.; Bromage, E.; Kaattari, S. B cell heterogeneity in the teleost kidney: Evidence for a maturation gradient from anterior to posterior kidney. J. Immunol. 2005, 174, 6608–6616. [Google Scholar] [CrossRef]
- Flajnik, M.F. A cold-blooded view of adaptive immunity. Nat. Rev. Immunol. 2018, 18, 438–453. [Google Scholar] [CrossRef]
- Neely, H.R.; Flajnik, M.F. Emergence and Evolution of Secondary Lymphoid Organs. Annu. Rev. Cell Dev. Biol. 2016, 32, 693–711. [Google Scholar] [CrossRef]
- Granja, A.G.; Tafalla, C. Different IgM(+) B cell subpopulations residing within the peritoneal cavity of vaccinated rainbow trout are differently regulated by BAFF. Fish Shellfish Immunol. 2019, 85, 9–17. [Google Scholar] [CrossRef]
- Zwollo, P. Dissecting teleost B cell differentiation using transcription factors. Dev. Comp. Immunol. 2011, 35, 898–905. [Google Scholar] [CrossRef]
- Abos, B.; Castro, R.; Pignatelli, J.; Luque, A.; Gonzalez, L.; Tafalla, C. Transcriptional heterogeneity of IgM+ cells in rainbow trout (Oncorhynchus mykiss) tissues. PLoS ONE 2013, 8, e82737. [Google Scholar] [CrossRef]
- Castro, R.; Abos, B.; Gonzalez, L.; Granja, A.G.; Tafalla, C. Expansion and differentiation of IgM(+) B cells in the rainbow trout peritoneal cavity in response to different antigens. Dev. Comp. Immunol. 2017, 70, 119–127. [Google Scholar] [CrossRef] [PubMed]
- Ballesteros, N.A.; Castro, R.; Abos, B.; Rodriguez Saint-Jean, S.S.; Perez-Prieto, S.I.; Tafalla, C. The pyloric caeca area is a major site for IgM(+) and IgT(+) B cell recruitment in response to oral vaccination in rainbow trout. PLoS ONE 2013, 8, e66118. [Google Scholar] [CrossRef] [PubMed]
- Castro, R.; Martinez-Alonso, S.; Fischer, U.; Haro, N.A.; Soto-Lampe, V.; Wang, T.; Secombes, C.J.; Lorenzen, N.; Lorenzen, E.; Tafalla, C. DNA vaccination against a fish rhabdovirus promotes an early chemokine-related recruitment of B cells to the muscle. Vaccine 2014, 32, 1160–1168. [Google Scholar] [CrossRef] [PubMed]
- Sobhkhez, M.; Krasnov, A.; Chang, C.J.; Robertsen, B. Transcriptome analysis of plasmid-induced genes sheds light on the role of type I IFN as adjuvant in DNA vaccine against infectious salmon anemia virus. PLoS ONE 2017, 12, e0188456. [Google Scholar] [CrossRef] [PubMed]
- Sobhkhez, M.; Krasnov, A.; Robertsen, B. Transcriptome analyses of Atlantic salmon muscle genes induced by a DNA vaccine against salmonid alphavirus, the causative agent of salmon pancreas disease (PD). PLoS ONE 2018, 13, e0204924. [Google Scholar] [CrossRef]
- Castro, R.; Navelsaker, S.; Krasnov, A.; Du Pasquier, L.; Boudinot, P. Describing the diversity of Ag specific receptors in vertebrates: Contribution of repertoire deep sequencing. Dev. Comp. Immunol. 2017. [Google Scholar] [CrossRef]
- Krasnov, A.; Jorgensen, S.M.; Afanasyev, S. Ig-seq: Deep sequencing of the variable region of Atlantic salmon IgM heavy chain transcripts. Mol. Immunol. 2017, 88, 99–105. [Google Scholar] [CrossRef]
- Wang, F.; Flanagan, J.; Su, N.; Wang, L.C.; Bui, S.; Nielson, A.; Wu, X.; Vo, H.T.; Ma, X.J.; Luo, Y. RNAscope: A novel in situ RNA analysis platform for formalin-fixed, paraffin-embedded tissues. J. Mol. Diagn. 2012, 14, 22–29. [Google Scholar] [CrossRef]
- Bjørgen, H.; Hordvik, I.; Koppang, E.O. Inflammatory changes and melanization in the Atlantic salmon (Salmo salar) targeted by In situ hybridization. J. Immunol. 2019, 202, 73–76. [Google Scholar]
- Bjørgen, H.; Hellberg, H.; Løken, O.M.; Gunnes, G.; Koppang, E.O.; Dale, O.B. Tumor microenvironment and stroma in intestinal adenocarcinomas and associated metastases in Atlantic salmon broodfish (Salmo salar). Vet. Immunol. Immunopathol. 2019, 214, 109891. [Google Scholar] [CrossRef]
- Løken, O.M.; Bjørgen, H.; Hordvik, I.; Koppang, E.O. A teleost structural analogue to the avian bursa of Fabricius. J. Anat. 2019. [Google Scholar] [CrossRef] [PubMed]
- Malik, M.S.; Bjørgen, H.; Dhamotharan, K.; Wessel, O.; Koppang, E.O.; Di Cicco, E.; Hansen, E.F.; Dahle, M.K.; Rimstad, E. Erythroid progenitor cells in Atlantic salmon (Salmo salar) may be persistently and productively infected with Piscine orthoreovirus (PRV). Viruses 2019, 11, 824. [Google Scholar] [CrossRef] [PubMed]
- McLoughlin, M.F.; Graham, D.A. Alphavirus infections in salmonids—A review. J. Fish Dis. 2007, 30, 511–531. [Google Scholar] [CrossRef] [PubMed]
- Deperasinska, I.; Schulz, P.; Siwicki, A.K. Salmonid Alphavirus (SAV). J. Vet. Res. 2018, 62, 1–6. [Google Scholar] [CrossRef] [PubMed]
- Hjortaas, M.J.; Jensen, B.B.; Taksdal, T.; Olsen, A.B.; Lillehaug, A.; Trettenes, E.; Sindre, H. Genetic characterization of salmonid alphavirus in Norway. J. Fish Dis. 2016, 39, 249–257. [Google Scholar] [CrossRef]
- Johansen, L.H.; Thim, H.L.; Jørgensen, S.M.; Afanasyev, S.; Strandskog, G.; Taksdal, T.; Fremmerlid, K.; McLoughlin, M.; Jørgensen, J.B.; Krasnov, A. Comparison of transcriptomic responses to pancreas disease (PD) and heart and skeletal muscle inflammation (HSMI) in heart of Atlantic salmon (Salmo salar L). Fish Shellfish Immunol. 2015, 46, 612–623. [Google Scholar] [CrossRef]
- Hodneland, K.; Endresen, C. Sensitive and specific detection of Salmonid alphavirus using real-time PCR (TaqMan®). J. Virol. Methods 2006, 131, 184–192. [Google Scholar] [CrossRef]
- Fringuelli, E.; Rowley, H.M.; Wilson, J.C.; Hunter, R.; Rodger, H.; Graham, D.A. Phylogenetic analyses and molecular epidemiology of European salmonid alphaviruses (SAV) based on partial E2 and nsP3 gene nucleotide sequences. J. Fish Dis. 2008, 31, 811–823. [Google Scholar] [CrossRef]
- Andersen, L.; Bratland, A.; Hodneland, K.; Nylund, A. Tissue tropism of salmonid alphaviruses (subtypes SAV1 and SAV3) in experimentally challenged Atlantic salmon (Salmo salar L.). Arch. Virol. 2007, 152, 1871–1883. [Google Scholar] [CrossRef]
- Chang, C.J.; Gu, J.; Robertsen, B. Protective effect and antibody response of DNA vaccine against salmonid alphavirus 3 (SAV3) in Atlantic salmon. J. Fish Dis. 2017, 40, 1775–1781. [Google Scholar] [CrossRef]
- Karlsen, M.; Tingbo, T.; Solbakk, I.T.; Evensen, O.; Furevik, A.; Aas-Eng, A. Efficacy and safety of an inactivated vaccine against Salmonid alphavirus (family Togaviridae). Vaccine 2012, 30, 5688–5694. [Google Scholar] [CrossRef] [PubMed]
- Skjold, P.; Sommerset, I.; Frost, P.; Villoing, S. Vaccination against pancreas disease in Atlantic salmon, Salmo salar L., reduces shedding of salmonid alphavirus. Vet. Res. 2016, 47, 78. [Google Scholar] [CrossRef] [PubMed]
- Røsæg, M.V.; Lund, M.; Nyman, I.B.; Markussen, T.; Aspehaug, V.; Sindre, H.; Dahle, M.K.; Rimstad, E. Immunological interactions between Piscine orthoreovirus and Salmonid alphavirus infections in Atlantic salmon. Fish Shellfish Immunol. 2017, 64, 308–319. [Google Scholar] [CrossRef] [PubMed]
- Grove, S.; Austbø, L.; Hodneland, K.; Frost, P.; Løvoll, M.; McLoughlin, M.; Thim, H.L.; Braaen, S.; Konig, M.; Syed, M.; et al. Immune parameters correlating with reduced susceptibility to pancreas disease in experimentally challenged Atlantic salmon (Salmo salar). Fish Shellfish Immunol. 2013, 34, 789–798. [Google Scholar] [CrossRef]
- Robinson, N.A.; Krasnov, A.; Burgerhout, E.; Johnsen, H.; Moghadam, H.K.; Hillestad, B.; Aslam, M.L.; Baranski, M.; Boison, S.A. Response of the salmon heart transcriptome to pancreas disease: Differences between high- and low-ranking families for resistance. Sci. Rep. 2020, 10, 868. [Google Scholar] [CrossRef]
- Hillestad, B.; Makvandi-Nejad, S.; Krasnov, A.; Moghadam, H.K. Identification of genetic loci associated with higher resistance to pancreas disease (PD) in Atlantic salmon (Salmo salar L.). BMC Genom. 2020, 21, 388. [Google Scholar] [CrossRef]
- Taksdal, T.; Jensen, B.B.; Böckerman, I.; McLoughlin, M.F.; Hjortaas, M.J.; Ramstad, A.; Sindre, H. Mortality and weight loss of Atlantic salmon, Salmon salar L., experimentally infected with salmonid alphavirus subtype 2 and subtype 3 isolates from Norway. J. Fish Dis. 2015, 38, 1047–1061. [Google Scholar] [CrossRef] [PubMed]
- Krasnov, A.; Timmerhaus, G.; Afanasyev, S.; Jørgensen, S.M. Development and assessment of oligonucleotide microarrays for Atlantic salmon (Salmo salar L.). Comp. Biochem. Physiol. Part D Genom. Proteom. 2011, 6, 31–38. [Google Scholar] [CrossRef]
- Krasnov, A.; Timmerhaus, G.; Schiøtz, B.L.; Torgersen, J.; Afanasyev, S.; Iliev, D.; Jørgensen, J.; Takle, H.; Jørgensen, S.M. Genomic survey of early responses to viruses in Atlantic salmon, Salmo salar L. Mol. Immunol. 2011, 49, 163–174. [Google Scholar] [CrossRef]
- Le Deist, F.; Poinsignon, C.; Moshous, D.; Fischer, A.; De Villartay, J.-P. Artemis sheds new light on V(D)J recombination. Immunol. Rev. 2004, 200, 142–155. [Google Scholar] [CrossRef]
- Jarungsriapisit, J.; Moore, L.J.; Fiksdal, I.U.; Bjørgen, H.; Tangeras, A.; Kollner, B.; Koppang, E.O.; Patel, S. Time after seawater transfer influences immune cell abundance and responses to SAV3 infection in Atlantic salmon. J. Fish Dis. 2018. [Google Scholar] [CrossRef] [PubMed]
- Al-Jubury, A.; LaPatra, S.; Christensen, N.D.; Zuo, S.; Tafalla, C.; Buchmann, K. Exclusion of IgD-, IgT- and IgM-positive immune cells in Ichthyophonus-induced granulomas in rainbow trout Oncorhynchus mykiss (Walbaum). J. Fish Dis. 2016, 39, 1399–1402. [Google Scholar] [CrossRef] [PubMed]
- Nuñez-Ortiz, N.; Moore, L.J.; Jarungsriapisit, J.; Nilsen, T.O.; Stefansson, S.; Morton, H.C.; Taranger, G.L.; Secombes, C.J.; Patel, S. Atlantic salmon post-smolts adapted for a longer time to seawater develop an effective humoral and cellular immune response against Salmonid alphavirus. Fish Shellfish Immunol. 2018, 82, 579–590. [Google Scholar] [CrossRef] [PubMed]
- Nair, S.; Poddar, S.; Shimak, R.M.; Diamond, M.S. Interferon regulatory factor 1 protects against Chikungunya virus-induced immunopathology by restricting infection in muscle cells. J. Virol. 2017, 91, e01419-17. [Google Scholar] [CrossRef] [PubMed]
- Lentscher, A.; McCarthy, M.; May, N.; Davenport, B.; Montgomery, S.; Raghunathan, K.; McAllister, N.; Silva, L.; Morrison, T.; Dermody, T. Chikungunya virus replication in skeletal muscle cells is required for disease development. J. Clin. Investig. 2019, 130. [Google Scholar] [CrossRef]
- Biacchesi, S.; Jouvion, G.; Merour, E.; Boukadiri, A.; Desdouits, M.; Ozden, S.; Huerre, M.; Ceccaldi, P.E.; Bremont, M. Rainbow trout (Oncorhynchus mykiss) muscle satellite cells are targets of salmonid alphavirus infection. Vet. Res. 2016, 47, 9. [Google Scholar] [CrossRef]
- Herath, T.K.; Ferguson, H.W.; Weidmann, M.W.; Bron, J.E.; Thompson, K.D.; Adams, A.; Muir, K.F.; Richards, R.H. Pathogenesis of experimental salmonid alphavirus infection in vivo: An ultrastructural insight. Vet. Res. 2016, 47, 7. [Google Scholar] [CrossRef]
- Simón, R.; Díaz-Rosales, P.; Morel, E.; Martín, D.; Granja, A.G.; Tafalla, C. CpG Oligodeoxynucleotides modulate innate and adaptive functions of IgM+ B cells in rainbow trout. Front. Immunol. 2019, 10. [Google Scholar] [CrossRef]
- Zhang, X.J.; Wang, P.; Zhang, N.; Chen, D.D.; Nie, P.; Li, J.L.; Zhang, Y.A. B cell functions can be modulated by antimicrobial peptides in rainbow trout Oncorhynchus mykiss: Novel Insights into the Innate Nature of B Cells in Fish. Front. Immunol. 2017, 8, 388. [Google Scholar] [CrossRef]
- Aquilino, C.; Granja, A.G.; Castro, R.; Wang, T.; Abos, B.; Parra, D.; Secombes, C.J.; Tafalla, C. Rainbow trout CK9, a CCL25-like ancient chemokine that attracts and regulates B cells and macrophages, the main antigen presenting cells in fish. Oncotarget 2016, 7, 17547–17564. [Google Scholar] [CrossRef][Green Version]
- Lund, M.; Røsæg, M.V.; Krasnov, A.; Timmerhaus, G.; Nyman, I.B.; Aspehaug, V.; Rimstad, E.; Dahle, M.K. Experimental Piscine orthoreovirus infection mediates protection against pancreas disease in Atlantic salmon (Salmo salar). Vet. Res. 2016, 47, 1–16. [Google Scholar] [CrossRef] [PubMed]
- Lund, H.; Bakke, A.F.; Sommerset, I.; Afanasyev, S.; Schriwer, G.; Thorisdottir, A.; Boysen, P.; Krasnov, A. A time-course study of gene expression and antibody repertoire at early time post vaccination of Atlantic salmon. Mol. Immunol. 2019, 106, 99–107. [Google Scholar] [CrossRef] [PubMed]
- Satterthwaite, A.B.; Li, Z.; Witte, O.N. Btk function in B cell development and response. Semin. Immunol. 1998, 10, 309–316. [Google Scholar] [CrossRef] [PubMed]






| Probe | Accession No. | Target Region (bp) | Catalogue No. | |
|---|---|---|---|---|
| Target | IgT | GQ907003 | 3–883 | 532171 |
| IgM | XM_014203125 | 219–1157 | 532181 | |
| SAV | NC_003930 | 410–1279 | 844631 | |
| Control | DapB (negative) | EF191515 | 414–862 | 310043 |
| PPIB (positive) | NM_001140870 | 20–934 | 494421 |
© 2020 by the authors. Licensee MDPI, Basel, Switzerland. This article is an open access article distributed under the terms and conditions of the Creative Commons Attribution (CC BY) license (http://creativecommons.org/licenses/by/4.0/).
Share and Cite
Bakke, A.F.; Bjørgen, H.; Koppang, E.O.; Frost, P.; Afanasyev, S.; Boysen, P.; Krasnov, A.; Lund, H. IgM+ and IgT+ B Cell Traffic to the Heart during SAV Infection in Atlantic Salmon. Vaccines 2020, 8, 493. https://doi.org/10.3390/vaccines8030493
Bakke AF, Bjørgen H, Koppang EO, Frost P, Afanasyev S, Boysen P, Krasnov A, Lund H. IgM+ and IgT+ B Cell Traffic to the Heart during SAV Infection in Atlantic Salmon. Vaccines. 2020; 8(3):493. https://doi.org/10.3390/vaccines8030493
Chicago/Turabian StyleBakke, Anne Flore, Håvard Bjørgen, Erling Olaf Koppang, Petter Frost, Sergey Afanasyev, Preben Boysen, Aleksei Krasnov, and Hege Lund. 2020. "IgM+ and IgT+ B Cell Traffic to the Heart during SAV Infection in Atlantic Salmon" Vaccines 8, no. 3: 493. https://doi.org/10.3390/vaccines8030493
APA StyleBakke, A. F., Bjørgen, H., Koppang, E. O., Frost, P., Afanasyev, S., Boysen, P., Krasnov, A., & Lund, H. (2020). IgM+ and IgT+ B Cell Traffic to the Heart during SAV Infection in Atlantic Salmon. Vaccines, 8(3), 493. https://doi.org/10.3390/vaccines8030493

