Supplementation of Dimethylglycine Sodium Salt in Sow Milk Reverses Skeletal Muscle Redox Status Imbalance and Mitochondrial Dysfunction of Intrauterine Growth Restriction Newborns
Abstract
:1. Introduction
2. Materials and Methods
2.1. Experiment Design
2.2. Sample Collection
2.3. Histomorphological Study
2.4. Redox Status Study
2.5. Mitochondria Redox Status Study
2.6. Oxidative Damage Study
2.7. Mitochondrial Electron Transport Chain Complexes Study
2.8. Energy Metabolism Study
2.9. Quantitative Real-Time PCR (qPCR) Study
2.10. Western Blot Study
2.11. Statistical Analysis
3. Results
3.1. Growth Performance
3.2. Histomorphological Study
3.3. Redox Status Study
3.4. Mitochondrial Redox Status Study
3.5. Oxidative Damage Study
3.6. Mitochondrial ETC Complexes Study
3.7. Energy Metabolism Study
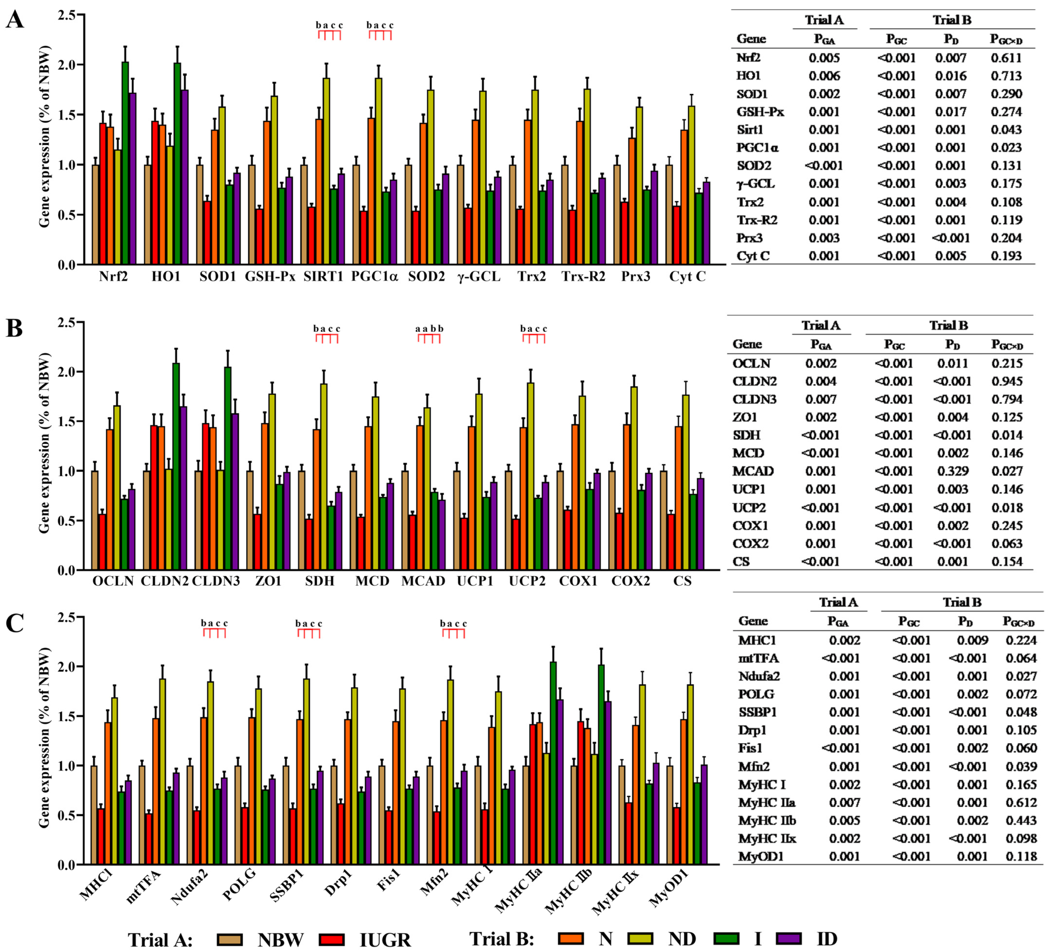
3.8. Gene Expression Study
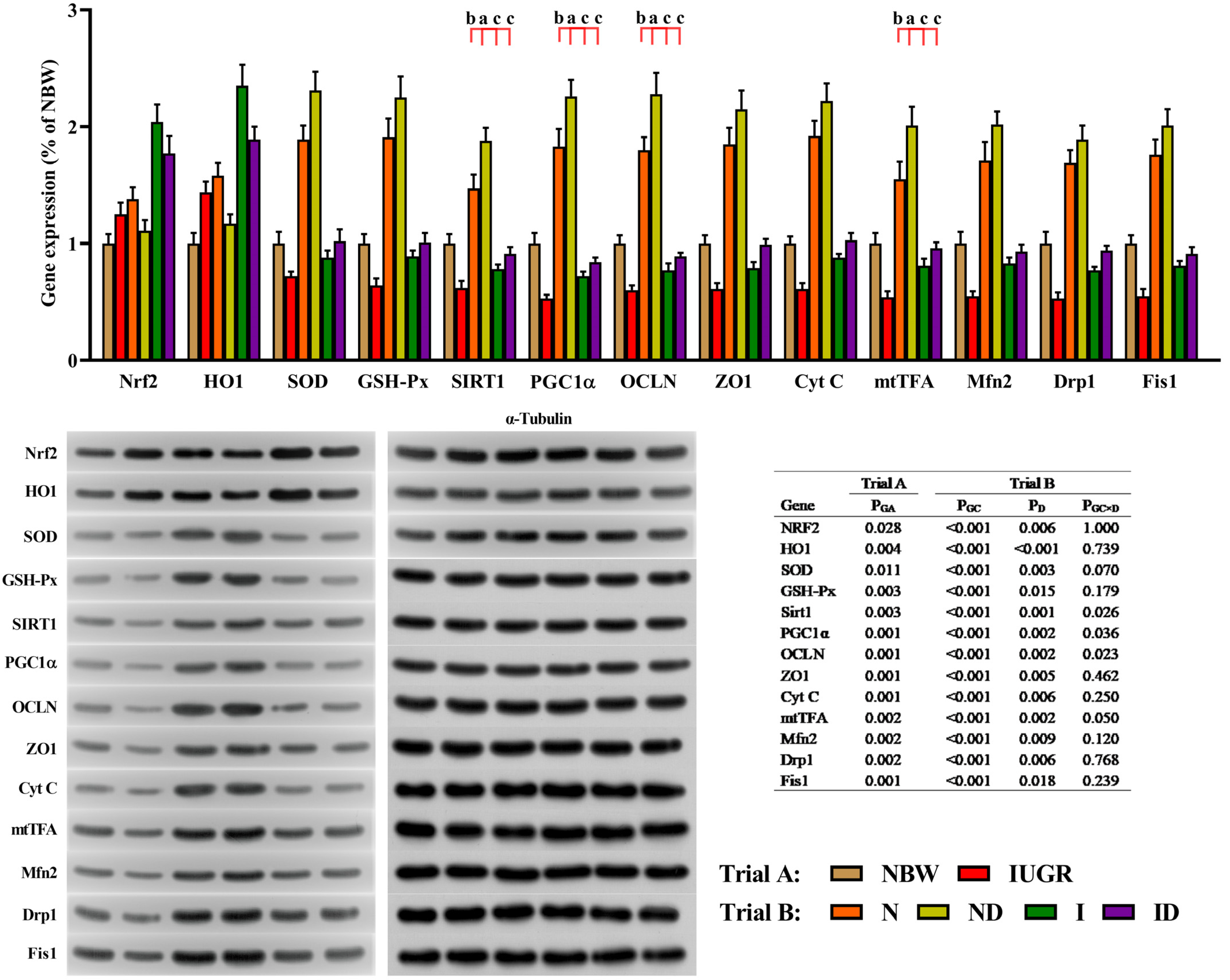
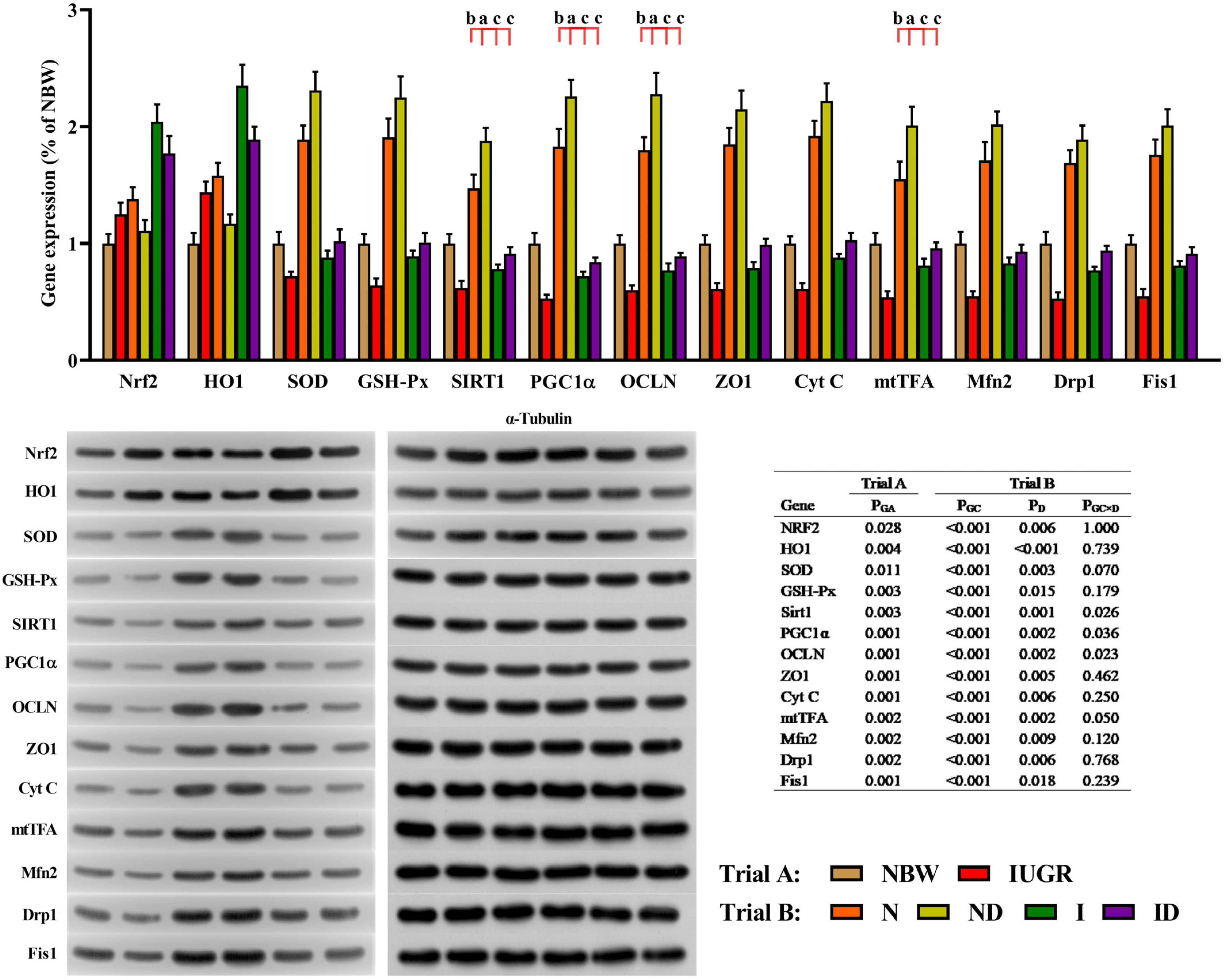
3.9. Western Blot Study
4. Discussion
4.1. The Reduced Performance of IUGR Newborns Was Reversed by DMG-Na Supplementation
4.2. The Reduced Redox Status of IUGR Newborns Was Improved by DMG-Na Supplementation
4.3. The Mitochondrial Dysfunction of IUGR Newborns Was Ameliorated by DMG-Na Supplementation via the Nrf2/SIRT1/PGC-1α Network
5. Conclusions
Author Contributions
Funding
Institutional Review Board Statement
Informed Consent Statement
Data Availability Statement
Conflicts of Interest
Appendix A
| Gestation Phase | Lactation Phase | |
|---|---|---|
| Ingredients | ||
| Corn (%) | 80 | 66 |
| Soybean meal (%) | 16 | 28 |
| Soybean oil (%) | 2 | |
| Premix (%) a | 4 | |
| Premix (%) b | 4 | |
| Calculated nutritional values | ||
| Metabolizable energy (kcal/kg) | 3176.64 | 3259.04 |
| Protein (%) | 13.86 | 18.24 |
| Crude fibre (%) | 2.25 | 2.66 |
| Digestible lysine (%) | 0.64 | 1.03 |
| Digestible methionine (%) | 0.24 | 0.29 |
| Digestible threonine (%) | 0.54 | 0.71 |
| Calcium (%) | 0.71 | 0.57 |
| Phosphorus (%) | 0.39 | 0.41 |
| Sodium (%) | 0.18 | 0.18 |
| Gene 1 | Primer Sequence 2 | Genbank ID 3 | Gene 1 | Primer Sequence 2 | Genbank ID 3 |
|---|---|---|---|---|---|
| β-actin | Forward: GTTCGAGACCTTCAACACGC | XM_003357928.3 | MCAD | Forward: AAACCAGACCTTCGGTAGCA | NM_214039.1 |
| Reverse: CCATGACAATGCCAGTGGTG | Reverse: GTATTTCGGCGACCAGAATC | ||||
| Nrf2 | Forward: GACAAACCGCCTCAACTCAG | NM_001114671.1 | UCP1 | Forward: AAGCAAGGAGCATTCCTGGG | XM_013978885.1 |
| Reverse: GTCTCCACGTCGTAGCGTTC | Reverse: CTGCCCTGTGGGTAACCATT | ||||
| HO1 | Forward: ACACTGGGCTGGAGAGATCA | NM_001138825.2 | UCP2 | Forward: CGTGGTAAAGGTCCGGTTC | NM_214289.1 |
| Reverse: AGAGTAGCGTATGTGGTGCC | Reverse: AGGAGCGTGTCCTTGATGAG | ||||
| SOD1 | Forward: AGGGAGAGAAGACAGTGTTAGT | NM_001190422.1 | COX1 | Forward: GCAGTTGCCAGATGCTGAAC | XM_001926129.5 |
| Reverse: GTACACAGTGGCCACACCAT | Reverse: TGGGTGAAGTGTTGGGCAAA | ||||
| GSH-Px | Forward: CTTATGGTGGGGTAGGGGGA | XM_003463071.2 | COX2 | Forward: GAGACAGCATAAACTGCGCC | NM_214321.1 |
| Reverse: GGCTGGGTAGGAGATTGCAG | Reverse: AGTGTCTTTGGCTGTCGGAG | ||||
| Sirt1 | Forward: GGTGGTTCCTCGATGTCCTA | NM_001145750.1 | CS | Forward: CCACAGTGACCATGAAGGTG | NM_214276.1 |
| Reverse: GGTGAGGCAAAGGTTCCCTA | Reverse: AACCCGTCCTGAGTTGAGTG | ||||
| PGC1α | Forward: GGGGCCCATGGGAATCATC | XM_013992150.1 | MHCI | Forward: GAAGCCTTCTGGACACCTTCA | AF013960.1 |
| Reverse: AACTGCTGTTGTTTGGGCCT | Reverse: CCAGAACCAGGCCAACAGT | ||||
| SOD2 | Forward: GGCGCCATCAAGTTCAACAG | NM_001281206.1 | mtTFA | Forward: TATAGGGCAGACTGGCAGGT | NM_001130211.1 |
| Reverse: TGAGCCTTTTGGGGGTTCAC | Reverse: TGGACCATCCTTAGCTTCCT | ||||
| γ-GCL | Forward: CCCTTGTGGTACCTCTGCAT | XM_013977739.1 | Ndufa2 | Forward: TGCTAAGTGGCAAAGCCTGA | XM_003124046.3 |
| Reverse: TGGGTTTGTCCTTTCCCCCT | Reverse: GAACAAAACATCCGGAGGCG | ||||
| Trx2 | Forward: GGACCGAATCTGAGCCAAGT | NM_123358.4 | POLG | Forward: AGCAGAAGCCCCAAAGTTCC | XM_001927064.4 |
| Reverse: GCACCATGAGGCCGAGAAAT | Reverse: AGCATGACCTCTCTCCCTTCT | ||||
| Trx-R2 | Forward: GATACCCCACGCACATCGAA | NM_001282512.1 | SSBP1 | Forward: CATACCAAATGGGCGATGTC | XM_013985577.1 |
| Reverse: CCCGACCACCAACGTTTTTC | Reverse: TTGTGGTTGCTTGTCGTCTC | ||||
| Prx3 | Forward: CAATGTCGACCGCAAGAACG | NM_079663.3 | Drp1 | Forward: AAGAGGAGTCGCATGTGTCG | XM_001928848 |
| Reverse: GTCAATGATGAAGGTGCCGC | Reverse: TGCAATCATGCCCACCAGAT | ||||
| Cyt C | Forward: TCGGAGTCACCAGTGCTAGA | XM_003127002.3 | Fis1 | Forward: AGTAGTGAGGATTGCGAGGC | XM_021086263 |
| Reverse: GGAACATTGAGGCCTACGGA | Reverse: TACTTGCTTCGCACCAGACA | ||||
| OCLN | Forward: CCTCCTCCCCTTTCGGACTA | NM_001163647 | Mfn2 | Forward: TAGTAGGGTCGAACACGCTG | XM_021095371 |
| Reverse: TAGACCCCTAGCCTGGGAAC | Reverse: GATGCCCCTCACTTTGGACA | ||||
| CLDN2 | Forward: ATCAAGCAAGGGCAGAAACG | XM_021079578 | MyHC I | Forward: CGTGGACTACAACATCATAGGC | NM_213855 |
| Reverse: GGATGCGATTGGTGGGTTTG | Reverse: CCTTCTCAACAGGTGTGTCG | ||||
| CLDN3 | Forward: TGTCCGTCTATCCGTCCGTC | NM_001160075 | MyHC IIa | Forward: CATTGAGGCCCAGAATAGGC | NM_214136.1 |
| Reverse: ATCCGCGCTGTGATAATGCT | Reverse: TGCTTCCGTCTTCACTGTCAC | ||||
| ZO1 | Forward: CTGCCAAGTGAAACTGCACA | AJ318101 | MyHC IIb | Forward: GACTCTGGCTTTCCTCTTTGC | NM_001123141.1 |
| Reverse: GACAGAGAACGTGTCAACGC | Reverse: GAGCTGACACGGTCTGGAAA | ||||
| SDH | Forward: ATGGAAAACGGGGAGTGTCG | CX063991.1 | MyHC IIx | Forward: TTGACTGGGCTGCCATCAAT | NM_001104951.2 |
| Reverse: TTCCGGTAGCGACAACAGTG | Reverse: GCCTCAATGCGCTCCTTTTC | ||||
| MCD | Forward: ACAGATGTGAGGCTCTGTGC | FJ263687 | MyOD1 | Forward: TTCCGACGGCATGATGGATT | NM_001002824.1 |
| Reverse: CTCATGTCTGGATCTCCGGC | Reverse: GCTGTAATAGGTGCCGTCGT |
References
- Sacchi, C.; Marino, C.; Nosarti, C.; Vieno, A.; Visentin, S.; Simonelli, A. Association of Intrauterine Growth Restriction and Small for Gestational Age Status with Childhood Cognitive Outcomes: A Systematic Review and Meta-analysis. JAMA Pediatr. 2020, 174, 772–781. [Google Scholar] [CrossRef]
- Guerby, P.; Bujold, E. Early Detection and Prevention of Intrauterine Growth Restriction and Its Consequences. JAMA Pediatr. 2020, 174, 749–750. [Google Scholar] [CrossRef]
- Jin, Y.; Shahriari, D.; Jeon, E.J.; Park, S.; Choi, Y.S.; Back, J.; Lee, H.; Anikeeva, P.; Cho, S.W. Functional Skeletal Muscle Regeneration with Thermally Drawn Porous Fibers and Reprogrammed Muscle Progenitors for Volumetric Muscle Injury. Adv. Mater. 2021, 33, e2007946. [Google Scholar] [CrossRef] [PubMed]
- Cheng, K.; Wang, T.; Li, S.; Song, Z.; Zhang, H.; Zhang, L.; Wang, T. Effects of Early Resveratrol Intervention on Skeletal Muscle Mitochondrial Function and Redox Status in Neonatal Piglets with or without Intrauterine Growth Retardation. Oxid. Med. Cell. Longev. 2020, 2020, 4858975. [Google Scholar] [CrossRef] [PubMed]
- Hood, D.A.; Memme, J.M.; Oliveira, A.N.; Triolo, M. Maintenance of Skeletal Muscle Mitochondria in Health, Exercise, and Aging. Annu. Rev. Physiol. 2019, 81, 19–41. [Google Scholar] [CrossRef] [PubMed]
- Sánchez-de-Diego, C.; Pedrazza, L.; Pimenta-Lopes, C.; Martinez-Martinez, A.; Dahdah, N.; Valer, J.A.; Garcia-Roves, P.; Rosa, J.L.; Ventura, F. NRF2 function in osteocytes is required for bone homeostasis and drives osteocytic gene expression. Redox Biol. 2021, 40, 101845. [Google Scholar] [CrossRef]
- Fan, H.; Ding, R.; Liu, W.; Zhang, X.; Li, R.; Wei, B.; Su, S.; Jin, F.; Wei, C.; He, X.; et al. Heat shock protein 22 modulates NRF1/TFAM-dependent mitochondrial biogenesis and DRP1-sparked mitochondrial apoptosis through AMPK-PGC1α signaling pathway to alleviate the early brain injury of subarachnoid hemorrhage in rats. Redox Biol. 2021, 40, 101856. [Google Scholar] [CrossRef]
- Radak, Z.; Suzuki, K.; Posa, A.; Petrovszky, Z.; Koltai, E.; Boldogh, I. The systemic role of SIRT1 in exercise mediated adaptation. Redox Biol. 2020, 35, 101467. [Google Scholar] [CrossRef]
- Guo, Q.; Chang, B.; Yu, Q.L.; Xu, S.T.; Yi, X.J.; Cao, S.C. Adiponectin treatment improves insulin resistance in mice by regulating the expression of the mitochondrial-derived peptide MOTS-c and its response to exercise via APPL1-SIRT1-PGC-1α. Diabetologia 2020, 63, 2675–2688. [Google Scholar] [CrossRef]
- Bai, K.; Jiang, L.; Li, Q.; Zhang, J.; Zhang, L.; Wang, T. Dietary dimethylglycine sodium salt supplementation improves growth performance, redox status, and skeletal muscle function of intrauterine growth-restricted weaned piglets. J. Anim. Sci. 2021, 99, skab186. [Google Scholar] [CrossRef]
- Bai, K.; Jiang, L.; Zhang, L.; Zhao, Y.; Lu, Y.; Zhu, J.; Cai, J.; Zhang, L.; Wang, T. In vitro free radical scavenging capacity of dimethylglycine sodium salt and its protective ability against oleic acid hydroperoxide-induced oxidative damage in IPEC-J2 cells. Int. J. Mol. Med. 2018, 42, 3447–3458. [Google Scholar] [CrossRef] [PubMed] [Green Version]
- Bai, K.; Jiang, L.; Zhu, S.; Feng, C.; Zhao, Y.; Zhang, L.; Wang, T. Dimethylglycine sodium salt protects against oxidative damage and mitochondrial dysfunction in the small intestines of mice. Int. J. Mol. Med. 2019, 43, 2199–2211. [Google Scholar] [CrossRef] [PubMed]
- Wang, T.; Huo, Y.J.; Shi, F.; Xu, R.J.; Hutz, R.J. Effects of intrauterine growth retardation on development of the gastrointestinal tract in neonatal pigs. Biol. Neonate 2005, 88, 66–72. [Google Scholar] [CrossRef] [PubMed]
- Livak, K.J.; Schmittgen, T.D. Analysis of relative gene expression data using real-time quantitative PCR and the 2(-Delta Delta C(T)) Method. Methods 2001, 25, 402–408. [Google Scholar] [CrossRef] [PubMed]
- Wood, C.E. Skeletal muscle of the fetus: A window on the cellular basis of intrauterine growth restriction. J. Physiol. 2020, 598, 1427. [Google Scholar] [CrossRef]
- Sovio, U.; Goulding, N.; McBride, N.; Cook, E.; Gaccioli, F.; Charnock-Jones, D.S.; Lawlor, D.A.; Smith, G.C.S. A maternal serum metabolite ratio predicts fetal growth restriction at term. Nat. Med. 2020, 26, 348–353. [Google Scholar] [CrossRef]
- Bourgonje, A.R.; Feelisch, M.; Faber, K.N.; Pasch, A.; Dijkstra, G.; van Goor, H. Oxidative Stress and Redox-Modulating Therapeutics in Inflammatory Bowel Disease. Trends Mol. Med. 2020, 26, 1034–1046. [Google Scholar] [CrossRef]
- Forman, H.J.; Zhang, H. Targeting oxidative stress in disease: Promise and limitations of antioxidant therapy. Nat. Rev. Drug Discov. 2021, 20, 689–709. [Google Scholar] [CrossRef]
- Anderson, A.P.; Luo, X.; Russell, W.; Yin, Y.W. Oxidative damage diminishes mitochondrial DNA polymerase replication fidelity. Nucleic Acids Res. 2020, 48, 817–829. [Google Scholar] [CrossRef]
- Zhu, H.L.; Shi, X.T.; Xu, X.F.; Zhou, G.X.; Xiong, Y.W.; Yi, S.J.; Liu, W.B.; Dai, L.M.; Cao, X.L.; Xu, D.X.; et al. Melatonin protects against environmental stress-induced fetal growth restriction via suppressing ROS-mediated GCN2/ATF4/BNIP3-dependent mitophagy in placental trophoblasts. Redox Biol. 2021, 40, 101854. [Google Scholar] [CrossRef]
- Kampjut, D.; Sazanov, L.A. The coupling mechanism of mammalian respiratory complex I. Science 2020, 370, eabc4209. [Google Scholar] [CrossRef] [PubMed]
- Giacomello, M.; Pyakurel, A.; Glytsou, C.; Scorrano, L. The cell biology of mitochondrial membrane dynamics. Nat. Rev. Mol. Cell Biol. 2020, 21, 204–224. [Google Scholar] [CrossRef] [PubMed]
- Schwayer, C.; Shamipour, S.; Pranjic-Ferscha, K.; Schauer, A.; Balda, M.; Tada, M.; Matter, K.; Heisenberg, C.P. Mechanosensation of Tight Junctions Depends on ZO-1 Phase Separation and Flow. Cell 2019, 179, 937–952.e18. [Google Scholar] [CrossRef] [PubMed]
- Zhang, H.; Wen, J.; Bigot, A.; Chen, J.; Shang, R.; Mouly, V.; Bi, P. Human myotube formation is determined by MyoD-Myomixer/Myomaker axis. Sci. Adv. 2020, 6, eabc4062. [Google Scholar] [CrossRef] [PubMed]









| Treatment 2 | p Value | ||||||||||
|---|---|---|---|---|---|---|---|---|---|---|---|
| Item | N | ND | I | ID | PG | PT | PD | P G×T | P G×D | P T×D | P G×T×D |
| 0 d | 1.53 ± 0.24 a | - | 0.76 ± 0.10 b | - | <0.001 | <0.001 | <0.001 | 0.004 | 0.021 | 0.002 | <0.001 |
| 7 d | 3.48 ± 0.26 a | - | 2.23 ± 0.21 b | - | |||||||
| 10 d | 3.99 ± 0.35 b | 5.03 ± 0.31 a | 2.88 ± 0.31 c | 3.24 ± 0.35 bc | |||||||
| 13 d | 5.02 ± 0.37 b | 6.51 ± 0.36 a | 3.48 ± 0.36 c | 4.03 ± 0.37 c | |||||||
| 16 d | 6.31 ± 0.46 b | 7.45 ± 0.36 a | 4.35 ± 0.46 c | 5.08 ± 0.45 b | |||||||
| 19 d | 7.01 ± 0.48 b | 8.12 ± 0.42 a | 5.00 ± 0.50 c | 6.15 ± 0.43 b | |||||||
| 21 d | 7.71 ± 0.58 b | 8.90 ± 0.52 a | 5.88 ± 0.60 c | 7.07 ± 0.57 b | |||||||
Publisher’s Note: MDPI stays neutral with regard to jurisdictional claims in published maps and institutional affiliations. |
© 2022 by the authors. Licensee MDPI, Basel, Switzerland. This article is an open access article distributed under the terms and conditions of the Creative Commons Attribution (CC BY) license (https://creativecommons.org/licenses/by/4.0/).
Share and Cite
Bai, K.; Jiang, L.; Li, Q.; Zhang, J.; Zhang, L.; Wang, T. Supplementation of Dimethylglycine Sodium Salt in Sow Milk Reverses Skeletal Muscle Redox Status Imbalance and Mitochondrial Dysfunction of Intrauterine Growth Restriction Newborns. Antioxidants 2022, 11, 1550. https://doi.org/10.3390/antiox11081550
Bai K, Jiang L, Li Q, Zhang J, Zhang L, Wang T. Supplementation of Dimethylglycine Sodium Salt in Sow Milk Reverses Skeletal Muscle Redox Status Imbalance and Mitochondrial Dysfunction of Intrauterine Growth Restriction Newborns. Antioxidants. 2022; 11(8):1550. https://doi.org/10.3390/antiox11081550
Chicago/Turabian StyleBai, Kaiwen, Luyi Jiang, Qiming Li, Jingfei Zhang, Lili Zhang, and Tian Wang. 2022. "Supplementation of Dimethylglycine Sodium Salt in Sow Milk Reverses Skeletal Muscle Redox Status Imbalance and Mitochondrial Dysfunction of Intrauterine Growth Restriction Newborns" Antioxidants 11, no. 8: 1550. https://doi.org/10.3390/antiox11081550
APA StyleBai, K., Jiang, L., Li, Q., Zhang, J., Zhang, L., & Wang, T. (2022). Supplementation of Dimethylglycine Sodium Salt in Sow Milk Reverses Skeletal Muscle Redox Status Imbalance and Mitochondrial Dysfunction of Intrauterine Growth Restriction Newborns. Antioxidants, 11(8), 1550. https://doi.org/10.3390/antiox11081550
