Effect of Supplementing Different Levels of L-Glutamine on Holstein Calves during Weaning
Abstract
:1. Introduction
2. Materials and Methods
2.1. Animal and Management
2.2. Experimental Design
2.3. Feed Intake and Growth Performance Measurement
2.4. Blood Sample Collection and Measurement
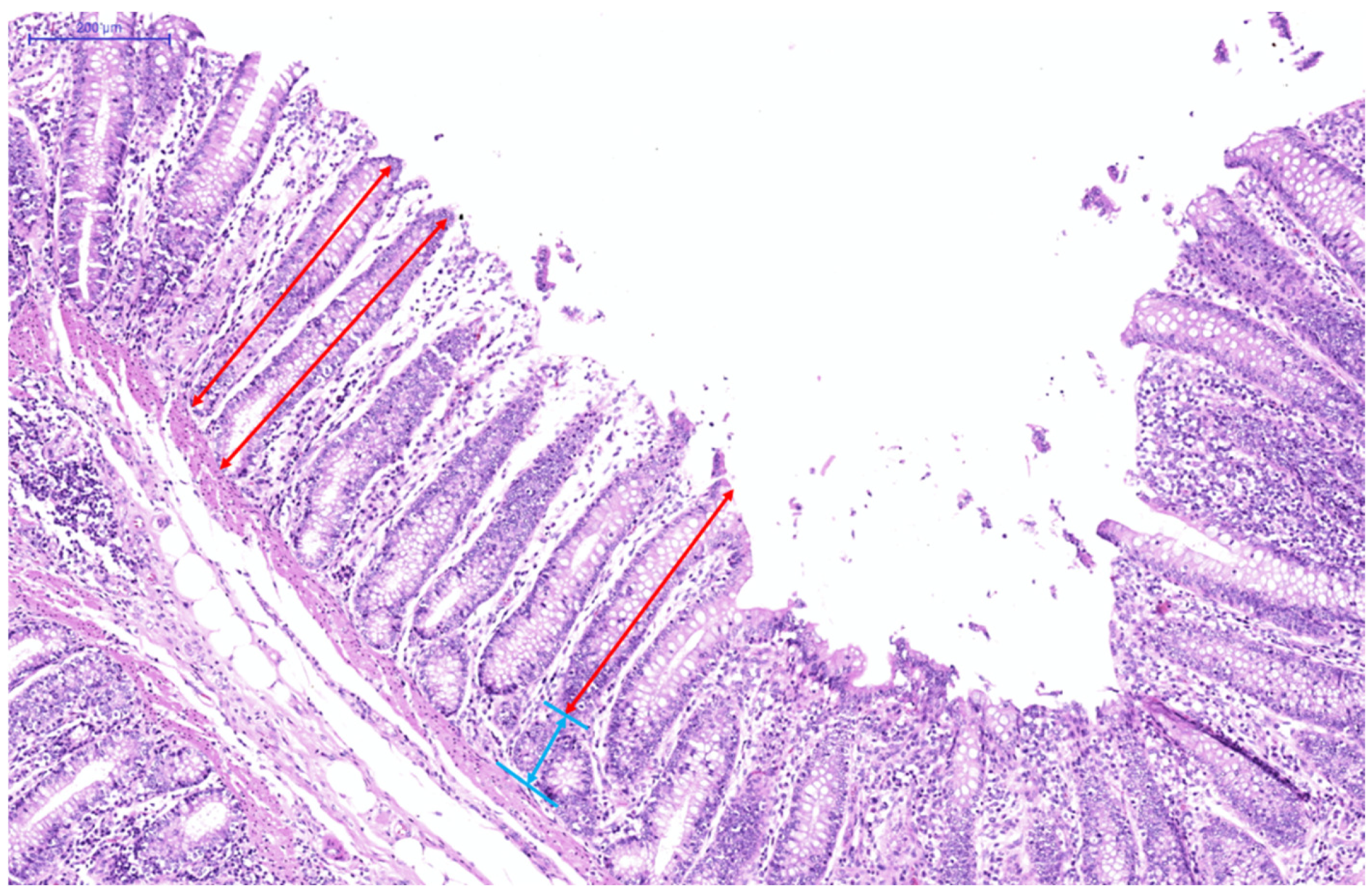
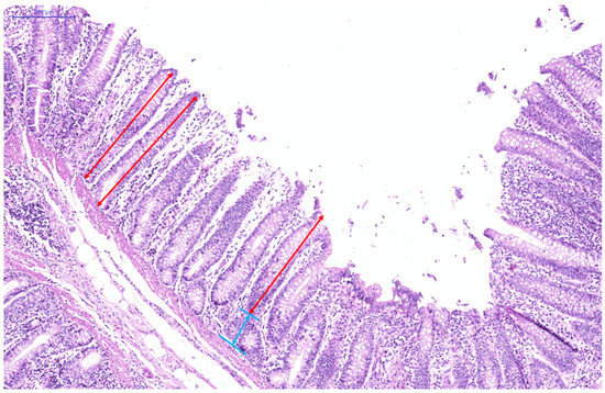
2.5. Small Intestine Sampling, Processing, and Morphological Analysis
2.6. Statistical Analyses
3. Results
3.1. Feed Intake and Growth Performance
3.2. Serum L-Gln, Glu, Urea Nitrogen, and Insulin
3.3. Stress-Related Hormone Indicators
3.4. Oxidative Status
3.5. Immune Status
3.6. Small Intestinal Morphology
4. Discussion
5. Conclusions
Author Contributions
Funding
Institutional Review Board Statement
Informed Consent Statement
Data Availability Statement
Conflicts of Interest
References
- Myers, S.E.; Faulkner, D.B.; Ireland, F.A.; Parrett, D.F. Comparison of three weaning ages on cow-calf performance and steer carcass traits. J. Anim. Sci. 1999, 77, 323–329. [Google Scholar] [CrossRef] [PubMed]
- Diao, Q.; Zhang, R.; Fu, T. Review of Strategies to Promote Rumen Development in Calves. Animals 2019, 9, 490. [Google Scholar] [CrossRef] [PubMed] [Green Version]
- Arthington, J.D.; Spears, J.W.; Miller, D.C. The effect of early weaning on feedlot performance and measures of stress in beef calves. J. Anim. Sci. 2005, 83, 933–939. [Google Scholar] [CrossRef] [Green Version]
- Enríquez, D.; Hötzel, M.J.; Ungerfeld, R. Minimising the stress of weaning of beef calves: A review. Acta Vet. Scand. 2011, 53, 28. [Google Scholar] [CrossRef] [PubMed] [Green Version]
- Pluske, J.R.; Hampson, D.J.; Williams, I.H. Factors influencing the structure and function of the small intestine in the weaned pig: A review. Livest. Prod. Sci. 1997, 51, 215–236. [Google Scholar] [CrossRef]
- Wang, S.; Ma, T.; Zhao, G.; Zhang, N.; Tu, Y.; Li, F.; Cui, K.; Bi, Y.; Ding, H.; Diao, Q. Effect of Age and Weaning on Growth Performance, Rumen Fermentation, and Serum Parameters in Lambs Fed Starter with Limited Ewe-Lamb Interaction. Animals 2019, 9, 825. [Google Scholar] [CrossRef] [PubMed] [Green Version]
- Wang, J.; Chen, L.; Li, P.; Li, X.; Zhou, H.; Wang, F.; Li, D.; Yin, Y.; Wu, G. Gene expression is altered in piglet small intestine by weaning and dietary glutamine supplementation. J. Nutr. 2008, 138, 1025–1032. [Google Scholar] [CrossRef] [Green Version]
- Souba, W.W.; Klimberg, V.S.; Plumley, D.A.; Salloum, R.M.; Flynn, T.C.; Bland, K.I.; Copeland, E.M., 3rd. The role of glutamine in maintaining a healthy gut and supporting the metabolic response to injury and infection. J. Surg. Res. 1990, 48, 383–391. [Google Scholar] [CrossRef]
- Cao, Y.; Feng, Z.; Hoos, A.; Klimberg, V.S. Glutamine enhances gut glutathione production. JPEN J. Parenter. Enter. Nutr. 1998, 22, 224–227. [Google Scholar] [CrossRef]
- Wang, D.; Du, Y.; Huang, S.; You, Z.; Zheng, D.; Liu, Y. Combined supplementation of sodium humate and glutamine reduced diarrhea incidence of weaned calves by intestinal microbiota and metabolites changes. J. Anim. Sci. 2021, 99, skab305. [Google Scholar] [CrossRef]
- Heyland, D.; Muscedere, J.; Wischmeyer, P.E.; Cook, D.; Jones, G.; Albert, M.; Elke, G.; Berger, M.M.; Day, A.G. A randomized trial of glutamine and antioxidants in critically ill patients. N. Engl. J. Med. 2013, 368, 1489–1497. [Google Scholar] [CrossRef] [PubMed] [Green Version]
- Teixeira, A.D.O.; Nogueira, E.T.; Kutschenko, M.; Rostagno, H.S.; Lopes, D.C. Inclusion of glutamine associated with glutamic acid in the diet of piglets weaned at 21 days of age. Rev. Bras. Saude E Prod. Anim. 2014, 15, 881–896. [Google Scholar] [CrossRef] [Green Version]
- Wang, B.; Wu, Z.; Ji, Y.; Sun, K.; Dai, Z.; Wu, G. L-Glutamine Enhances Tight Junction Integrity by Activating CaMK Kinase 2-AMP-Activated Protein Kinase Signaling in Intestinal Porcine Epithelial Cells. J. Nutr. 2016, 146, 501–508. [Google Scholar] [CrossRef] [PubMed] [Green Version]
- Gatel, F.; Guion, P. Effects of monosodium l glutamate on diet palatability and piglet performance during the suckling and weaning periods. Anim. Prod. 1990, 50, 365–372. [Google Scholar] [CrossRef]
- Reeds, P.J.; Burrin, D.G.; Stoll, B.; Jahoor, F.; Wykes, L.; Henry, J.; Frazer, M.E. Enteral glutamate is the preferential source for mucosal glutathione synthesis in fed piglets. Am. J. Physiol. 1997, 273, E408–E415. [Google Scholar] [CrossRef]
- Johnson, I.R.; Ball, R.O.; Baracos, V.E.; Field, C.J. Glutamine supplementation influences immune development in the newly weaned piglet. Dev. Comp. Immunol. 2006, 30, 1191–1202. [Google Scholar] [CrossRef]
- Ji, F.J.; Wang, L.X.; Yang, H.S.; Hu, A.; Yin, Y.L. Review: The roles and functions of glutamine on intestinal health and performance of weaning pigs. Animal 2019, 13, 2727–2735. [Google Scholar] [CrossRef] [Green Version]
- van Keulen, P.; Khan, M.A.; Dijkstra, J.; Knol, F.; McCoard, S.A. Effect of arginine or glutamine supplementation and milk feeding allowance on small intestine development in calves. J. Dairy Sci. 2020, 103, 4754–4764. [Google Scholar] [CrossRef]
- Da Silva, J.T.; Manzoni, T.; Rocha, N.B.; Santos, G.; Miqueo, E.; Slanzon, G.S.O.; Bittar, C.M.M. Evaluation of milk replacer supplemented with lysine and methionine in combination with glutamate and glutamine in dairy calves. J. Appl. Anim. Res. 2018, 46, 960–966. [Google Scholar] [CrossRef] [Green Version]
- Wickramasinghe, H.; Kaya, C.A.; Baumgard, L.H.; Appuhamy, J. Early step-down weaning of dairy calves from a high milk volume with glutamine supplementation. J. Dairy Sci. 2022, 105, 1186–1198. [Google Scholar] [CrossRef]
- Hu, Z.Y.; Su, H.W.; Li, S.L.; Cao, Z.J. Effect of parenteral administration of glutamine on autophagy of liver cell and immune responses in weaned calves. J. Anim. Physiol. Anim. Nutr. 2013, 97, 1007–1014. [Google Scholar] [CrossRef] [PubMed]
- Xiao, Z.; Wang, S.; Suo, D.; Wang, R.; Huang, Y.; Su, X. Enzymatic probe sonication for quick extraction of total bisphenols from animal-derived foods: Applicability to occurrence and exposure assessment. Environ. Pollut. 2022, 292, 118457. [Google Scholar] [CrossRef] [PubMed]
- NRC. Nutrient Requirement of Dairy Cattle; National Academic Press: Washington, DC, USA, 2001. [Google Scholar]
- Bartell, S.M.; Batal, A.B. The effect of supplemental glutamine on growth performance, development of the gastrointestinal tract, and humoral immune response of broilers. Poult. Sci. 2007, 86, 1940–1947. [Google Scholar] [CrossRef] [PubMed]
- Ma, J.; Shah, A.M.; Wang, Z.S.; Hu, R.; Zou, H.W.; Wang, X.Y.; Zhao, S.N.; Kong, X.Y. Dietary supplementation with glutamine improves gastrointestinal barrier function and promotes compensatory growth of growth-retarded yaks. Animal 2021, 15, 100108. [Google Scholar] [CrossRef] [PubMed]
- Zavy, M.T.; Juniewicz, P.E.; Phillips, W.A.; VonTungeln, D.L. Effect of initial restraint, weaning, and transport stress on baseline and ACTH-stimulated cortisol responses in beef calves of different genotypes. Am. J. Vet. Res. 1992, 53, 551–557. [Google Scholar]
- El-Deeb, W.M.; El-Bahr, S.M. Acute-phase proteins and oxidative stress biomarkers in water buffalo calves subjected to transportation stress. Comp. Clin. Pathol. 2014, 23, 577–582. [Google Scholar] [CrossRef]
- O’Loughlin, A.; McGee, M.; Doyle, S.; Earley, B. Biomarker responses to weaning stress in beef calves. Res. Vet. Sci. 2014, 97, 458–463. [Google Scholar] [CrossRef]
- Lee, D.N.; Cheng, Y.H.; Wu, F.Y.; Sato, H.; Yen, H.T. Effect of Dietary Glutamine Supplement on Performance and Intestinal Morphology of Weaned Pigs. Asian Australas. J. Anim. Sci. 2003, 16, 1770–1776. [Google Scholar] [CrossRef]
- Yoo, S.S.; Field, C.J.; McBurney, M.I. Glutamine supplementation maintains intramuscular glutamine concentrations and normalizes lymphocyte function in infected early weaned pigs. J. Nutr. 1997, 127, 2253–2259. [Google Scholar] [CrossRef] [Green Version]
- Wu, G. Amino acids: Metabolism, functions, and nutrition. Amino Acids 2009, 37, 1–17. [Google Scholar] [CrossRef]
- Venè, R.; Castellani, P.; Delfino, L.; Lucibello, M.; Ciriolo, M.R.; Rubartelli, A. The cystine/cysteine cycle and GSH are independent and crucial antioxidant systems in malignant melanoma cells and represent druggable targets. Antioxid. Redox Signal. 2011, 15, 2439–2453. [Google Scholar] [CrossRef] [PubMed]
- Chaiswing, L.; Zhong, W.; Liang, Y.; Jones, D.P.; Oberley, T.D. Regulation of prostate cancer cell invasion by modulation of extra- and intracellular redox balance. Free Radic. Biol. Med. 2012, 52, 452–461. [Google Scholar] [CrossRef] [PubMed] [Green Version]
- Fink, R.C.; Scandalios, J.G. Molecular evolution and structure—Function relationships of the superoxide dismutase gene families in angiosperms and their relationship to other eukaryotic and prokaryotic superoxide dismutases. Arch. Biochem. Biophys. 2002, 399, 19–36. [Google Scholar] [CrossRef] [PubMed]
- Sakai, O.; Uchida, T.; Roggia, M.F.; Imai, H.; Ueta, T.; Amano, S. Role of Glutathione Peroxidase 4 in Glutamate-Induced Oxytosis in the Retina. PLoS ONE 2015, 10, e0130467. [Google Scholar] [CrossRef] [PubMed]
- Jin, L.; Li, D.; Alesi, G.N.; Fan, J.; Kang, H.B.; Lu, Z.; Boggon, T.J.; Jin, P.; Yi, H.; Wright, E.R.; et al. Glutamate dehydrogenase 1 signals through antioxidant glutathione peroxidase 1 to regulate redox homeostasis and tumor growth. Cancer Cell 2015, 27, 257–270. [Google Scholar] [CrossRef] [PubMed] [Green Version]
- Cordis, G.A.; Maulik, N.; Das, D.K. Detection of oxidative stress in heart by estimating the dinitrophenylhydrazine derivative of malonaldehyde. J. Mol. Cell. Cardiol. 1995, 27, 1645–1653. [Google Scholar] [CrossRef]
- Wu, M.; Xiao, H.; Ren, W.; Yin, J.; Tan, B.; Liu, G.; Li, L.; Nyachoti, C.M.; Xiong, X.; Wu, G. Therapeutic effects of glutamic acid in piglets challenged with deoxynivalenol. PLoS ONE 2014, 9, e100591. [Google Scholar] [CrossRef]
- Jiang, W.D.; Feng, L.; Qu, B.; Wu, P.; Kuang, S.Y.; Jiang, J.; Tang, L.; Tang, W.N.; Zhang, Y.A.; Zhou, X.Q.; et al. Changes in integrity of the gill during histidine deficiency or excess due to depression of cellular anti-oxidative ability, induction of apoptosis, inflammation and impair of cell-cell tight junctions related to Nrf2, TOR and NF-κB signaling in fish. Fish Shellfish. Immunol. 2016, 56, 111–122. [Google Scholar] [CrossRef]
- Taylor, P.A.; Noelle, R.J.; Blazar, B.R. CD4(+)CD25(+) immune regulatory cells are required for induction of tolerance to alloantigen via costimulatory blockade. J. Exp. Med. 2001, 193, 1311–1318. [Google Scholar] [CrossRef] [Green Version]
- Nemati, M.; Menatian, S.; Joz Ghasemi, S.; Hooshmandfar, R.; Taheri, M.; Saifi, T. Effect of protected-glutamine supplementation on performance, milk composition and some blood metabolites in fresh Holstein cows. Iran. J. Vet. Res. 2018, 19, 225–228. [Google Scholar]
- Doepel, L.; Lessard, M.; Gagnon, N.; Lobley, G.E.; Bernier, J.F.; Dubreuil, P.; Lapierre, H. Effect of postruminal glutamine supplementation on immune response and milk production in dairy cows. J. Dairy Sci. 2006, 89, 3107–3121. [Google Scholar] [CrossRef] [Green Version]
- Santaolalla, R.; Fukata, M.; Abreu, M.T. Innate immunity in the small intestine. Curr. Opin. Gastroenterol. 2011, 27, 125–131. [Google Scholar] [CrossRef] [PubMed]
- Drackley, J.K.; Blome, R.M.; Bartlett, K.S.; Bailey, K.L. Supplementation of 1% L-glutamine to milk replacer does not overcome the growth depression in calves caused by soy protein concentrate. J. Dairy Sci. 2006, 89, 1688–1693. [Google Scholar] [CrossRef] [Green Version]
- Hu, Z.Y.; Li, S.L.; Cao, Z.J. Short communication: Glutamine increases autophagy of liver cells in weaned calves. J. Dairy Sci. 2012, 95, 7336–7339. [Google Scholar] [CrossRef] [Green Version]
- Perlman, D.; Martínez-Álvaro, M.; Moraïs, S.; Altshuler, I.; Hagen, L.H.; Jami, E.; Roehe, R.; Pope, P.B.; Mizrahi, I. Concepts and Consequences of a Core Gut Microbiota for Animal Growth and Development. Annu. Rev. Anim. Biosci. 2021, 10, 177–201. [Google Scholar] [CrossRef]
- O’Hara, E.; Neves, A.L.A.; Song, Y.; Guan, L.L. The Role of the Gut Microbiome in Cattle Production and Health: Driver or Passenger? Annu. Rev. Anim. Biosci. 2020, 8, 199–220. [Google Scholar] [CrossRef] [Green Version]
- Zhang, Y.; Choi, S.H.; Nogoy, K.M.; Liang, S. Review: The development of the gastrointestinal tract microbiota and intervention in neonatal ruminants. Animal 2021, 15, 100316. [Google Scholar] [CrossRef]
- Kong, F.; Gao, Y.; Tang, M.; Fu, T.; Diao, Q.; Bi, Y.; Tu, Y. Effects of dietary rumen-protected Lys levels on rumen fermentation and bacterial community composition in Holstein heifers. Appl. Microbiol. Biotechnol. 2020, 104, 6623–6634. [Google Scholar] [CrossRef]
- Furman, O.; Shenhav, L.; Sasson, G.; Kokou, F.; Honig, H.; Jacoby, S.; Hertz, T.; Cordero, O.X.; Halperin, E.; Mizrahi, I. Stochasticity constrained by deterministic effects of diet and age drive rumen microbiome assembly dynamics. Nat. Commun. 2020, 11, 1904. [Google Scholar] [CrossRef] [Green Version]
- Abdelsattar, M.M.; Zhuang, Y.; Cui, K.; Bi, Y.; Haridy, M.; Zhang, N. Longitudinal investigations of anatomical and morphological development of the gastrointestinal tract in goats from colostrum to postweaning. J. Dairy Sci. 2022. [Google Scholar] [CrossRef]
- Molano, R.A.; Saito, A.; Luchini, D.N.; Van Amburgh, M.E. Effects of rumen-protected methionine or methionine analogs in starter on plasma metabolites, growth, and efficiency of Holstein calves from 14 to 91 d of age. J. Dairy Sci. 2020, 103, 10136–10151. [Google Scholar] [CrossRef] [PubMed]


| Treatment | p-Value | |||||||||
|---|---|---|---|---|---|---|---|---|---|---|
| Items | CON | 1%Gln | 2%Gln | 3%Gln | 4%Gln | SEM | T | T × D | Linear | Quadratic |
| BW, kg | ||||||||||
| 0 | 57.8 | 58.0 | 58.1 | 56.9 | 57.7 | 0.28 | 0.86 | 0.64 | 0.93 | |
| 1-wk | 62.3 | 63.6 | 63 | 61.6 | 63.3 | 0.31 | 0.92 | 0.99 | 0.97 | |
| 2-wk | 67.1 | 68.8 | 68.6 | 66.3 | 68.3 | 0.32 | 0.73 | 0.97 | 0.64 | |
| 3-wk | 68.6 | 72.0 | 72.1 | 68.3 | 71.7 | 0.45 | 0.21 | 0.53 | 0.45 | |
| 4-wk | 72.3 | 76.6 | 77.2 | 72.5 | 75.3 | 0.45 | 0.07 | 0.62 | 0.09 | |
| ADG, kg/d | ||||||||||
| Pre-weaning | 0.67 | 0.77 | 0.75 | 0.68 | 0.76 | 0.01 | 0.36 | 0.29 | 0.40 | 0.42 |
| Post-weaning | 0.37 | 0.56 | 0.61 | 0.44 | 0.50 | 0.02 | <0.01 | 0.12 | 0.29 | 0.01 |
| Overall | 0.52 | 0.67 | 0.68 | 0.56 | 0.63 | 0.01 | <0.01 | 0.61 | 0.21 | 0.02 |
| DMI, g/d | ||||||||||
| Pre-weaning | 1183 | 1372 | 1355 | 1293 | 1391 | 14.5 | <0.01 | 0.92 | 0.01 | 0.17 |
| Post-weaning | 1645 | 1864 | 1822 | 1685 | 1821 | 16.3 | 0.22 | 0.56 | 0.17 | 0.21 |
| Overall | 1414 | 1618 | 1588 | 1489 | 1606 | 13.3 | <0.01 | 0.42 | 0.01 | 0.09 |
| L-Gln intake 1, g/d | ||||||||||
| Pre-weaning | 4.72 | 18.48 | 31.86 | 43.53 | 60.39 | 2.35 | <0.01 | 0.77 | <0.01 | 0.17 |
| Post-weaning | 0.32 | 19.00 | 36.78 | 50.87 | 73.19 | 3.05 | <0.01 | 0.19 | <0.01 | 0.23 |
| Overall | 2.52 | 18.74 | 34.32 | 47.20 | 66.79 | 2.69 | <0.01 | 0.39 | <0.01 | 0.14 |
| Feed efficiency | ||||||||||
| Pre-weaning | 0.57 | 0.56 | 0.55 | 0.53 | 0.55 | 0.02 | 0.78 | 0.95 | 0.98 | 0.96 |
| Post-weaning | 0.22 | 0.30 | 0.34 | 0.26 | 0.28 | 0.03 | 0.03 | 0.31 | 0.37 | 0.08 |
| Overall | 0.37 | 0.42 | 0.42 | 0.38 | 0.39 | 0.02 | 0.26 | 0.76 | 0.63 | 0.21 |
| Treatment | p-Value | |||||||||
|---|---|---|---|---|---|---|---|---|---|---|
| Items | CON | 1%Gln | 2%Gln | 3%Gln | 4%Gln | SEM | T | T × D | Linear | Quadratic |
| L-Gln, mmol/L | ||||||||||
| 0 d | 0.67 | 0.66 | 0.68 | 0.65 | 0.68 | 0.02 | 0.77 | 0.81 | 0.57 | |
| 7 d | 0.71 | 0.76 | 0.75 | 0.70 | 0.74 | 0.02 | 0.20 | 0.37 | 0.63 | |
| 14 d | 0.72 | 0.74 | 0.76 | 0.73 | 0.75 | 0.03 | 0.93 | 0.59 | 0.89 | |
| 16 d | 0.75 | 0.75 | 0.77 | 0.77 | 0.78 | 0.02 | 0.64 | 0.56 | 0.79 | |
| 18 d | 0.74 | 0.78 | 0.77 | 0.81 | 0.79 | 0.03 | 0.46 | 0.31 | 0.16 | |
| 21 d | 0.80 | 0.81 | 0.74 | 0.80 | 0.81 | 0.04 | 0.64 | 0.18 | 0.59 | |
| 28 d | 0.82 | 0.84 | 0.81 | 0.81 | 0.84 | 0.04 | 0.97 | 0.73 | 0.63 | |
| Pre-weaning | 0.70 | 0.72 | 0.73 | 0.69 | 0.72 | 0.02 | 0.39 | 0.58 | 0.66 | 0.29 |
| Post-weaning | 0.78 | 0.80 | 0.77 | 0.80 | 0.81 | 0.03 | 0.67 | 0.69 | 0.19 | 0.72 |
| Overall | 0.74 | 0.76 | 0.75 | 0.75 | 0.77 | 0.01 | 0.72 | 0.44 | 0.97 | 0.33 |
| Glu, mmol/L | ||||||||||
| 0 d | 6.12 | 6.16 | 6.12 | 6.16 | 6.14 | 0.18 | 1.00 | 0.98 | 0.86 | |
| 7 d | 6.18 | 6.06 | 5.99 | 6.04 | 5.51 | 0.23 | 0.29 | 0.83 | 0.44 | |
| 14 d | 5.60 | 5.52 | 5.68 | 5.39 | 5.32 | 0.12 | 0.17 | 0.46 | 0.45 | |
| 16 d | 4.20 | 4.36 | 4.34 | 4.31 | 4.32 | 0.17 | 0.97 | 0.61 | 0.69 | |
| 18 d | 5.23 | 5.44 | 4.93 | 5.09 | 5.11 | 0.18 | 0.35 | 0.27 | 0.26 | |
| 21 d | 5.43 | 5.34 | 5.20 | 5.23 | 5.42 | 0.14 | 0.13 | 0.29 | 0.43 | |
| 28 d | 5.44 | 5.33 | 5.28 | 5.19 | 5.22 | 0.20 | 0.91 | 0.57 | 0.63 | |
| Pre-weaning | 5.97 | 5.91 | 5.93 | 5.86 | 5.66 | 0.15 | 0.71 | 0.31 | 0.51 | 0.82 |
| Post-weaning | 5.08 | 5.12 | 4.94 | 4.96 | 5.02 | 0.09 | 0.33 | 0.57 | 0.64 | 0.46 |
| Overall | 5.46 | 5.46 | 5.36 | 5.34 | 5.29 | 0.08 | 0.62 | 0.39 | 0.71 | 0.82 |
| SUN, mmol/L | ||||||||||
| 0 d | 4.54 | 4.29 | 4.32 | 4.30 | 4.42 | 0.51 | 1.00 | 0.74 | 0.83 | |
| 7 d | 4.18 | 4.75 | 4.41 | 5.31 | 5.47 | 0.79 | 0.71 | 0.91 | 0.31 | |
| 14 d | 2.43 | 2.69 | 2.73 | 2.58 | 2.82 | 0.33 | 0.93 | 0.74 | 0.70 | |
| 16 d | 3.31 | 5.47 | 5.35 | 4.38 | 5.09 | 0.44 | <0.01 | 0.04 | 0.05 | |
| 18 d | 8.50 | 9.67 | 10.54 | 12.02 | 11.51 | 0.58 | <0.01 | 0.02 | 0.04 | |
| 21 d | 12.56 | 12.71 | 11.99 | 13.00 | 12.94 | 0.79 | 0.91 | 0.68 | 0.45 | |
| 28 d | 8.31 | 8.85 | 9.81 | 10.37 | 11.18 | 0.64 | 0.02 | 0.31 | 0.23 | |
| Pre-weaning | 3.72 | 3.91 | 3.82 | 4.06 | 4.24 | 0.53 | 0.42 | 0.99 | 0.26 | 0.62 |
| Post-weaning | 8.17 | 9.18 | 9.42 | 9.94 | 10.26 | 0.62 | <0.01 | 0.58 | 0.02 | 0.13 |
| Overall | 6.26 | 6.92 | 7.02 | 7.42 | 7.68 | 0.33 | 0.04 | 0.44 | 0.04 | 0.14 |
| INS, mIU/L | ||||||||||
| 0 d | 19.49 | 22.34 | 19.86 | 20.58 | 21.30 | 1.98 | 0.84 | 1.00 | 0.30 | |
| 7 d | 15.79 | 18.29 | 19.32 | 17.49 | 18.47 | 3.45 | 0.96 | 0.59 | 0.86 | |
| 14 d | 14.58 | 17.51 | 20.71 | 15.01 | 17.69 | 2.68 | 0.54 | 0.28 | 0.78 | |
| 16 d | 8.73 | 8.93 | 10.01 | 6.50 | 7.85 | 1.66 | 0.65 | 0.81 | 0.40 | |
| 18 d | 12.73 | 18.13 | 17.08 | 10.92 | 13.75 | 2.11 | 0.13 | 0.38 | 0.87 | |
| 21 d | 14.18 | 15.56 | 15.21 | 13.58 | 13.98 | 1.53 | 0.88 | 0.73 | 0.99 | |
| 28 d | 4.76 | 6.01 | 5.09 | 5.54 | 6.27 | 0.94 | 0.77 | 0.98 | 0.26 | |
| Pre-weaning | 16.62 | 19.38 | 19.96 | 17.69 | 19.15 | 1.92 | 0.04 | 0.72 | 0.03 | 0.17 |
| Post-weaning | 10.10 | 12.16 | 11.85 | 9.14 | 10.46 | 1.73 | 0.74 | 0.55 | 0.48 | 0.53 |
| Overall | 12.89 | 15.25 | 15.33 | 12.80 | 14.19 | 0.99 | 0.15 | 0.81 | 0.23 | 0.19 |
| Treatment | p-Value | |||||||||
|---|---|---|---|---|---|---|---|---|---|---|
| Items | CON | 1%Gln | 2%Gln | 3%Gln | 4%Gln | SEM | T | T × D | Linear | Quadratic |
| D-lactate, μmol/L | ||||||||||
| 0 d | 6.18 | 6.16 | 6.30 | 6.25 | 6.32 | 0.05 | 0.63 | 0.24 | 0.86 | |
| 14 d | 6.09 | 5.98 | 6.12 | 6.02 | 6.13 | 0.05 | 0.71 | 0.78 | 0.65 | |
| 16 d | 7.52 | 7.21 | 7.47 | 7.82 | 7.16 | 0.10 | 0.83 | 0.78 | 0.8 | |
| 21 d | 6.72 | 6.17 | 6.03 | 6.07 | 6.41 | 0.07 | <0.01 | 0.12 | <0.01 | |
| 28 d | 6.10 | 6.13 | 6.00 | 6.17 | 6.17 | 0.06 | 0.25 | 0.66 | 0.61 | |
| Pre-weaning | 6.14 | 6.07 | 6.21 | 6.14 | 6.23 | 0.04 | 0.97 | 0.99 | 0.88 | 0.79 |
| Post-weaning | 6.78 | 6.50 | 6.50 | 6.69 | 6.58 | 0.06 | 0.18 | 0.58 | 0.23 | 0.09 |
| Overall | 6.52 | 6.33 | 6.38 | 6.47 | 6.44 | 0.03 | 0.15 | 0.63 | 0.14 | 0.06 |
| Cortisol, μg/dL | ||||||||||
| 0 d | 3.09 | 3.01 | 3.22 | 3.06 | 2.99 | 0.11 | 0.94 | 0.85 | 0.72 | |
| 14 d | 3.16 | 3.19 | 3.39 | 3.16 | 3.18 | 0.11 | 0.92 | 1.00 | 0.64 | |
| 16 d | 6.72 | 5.58 | 5.79 | 5.85 | 6.08 | 0.12 | <0.01 | 0.18 | 0.01 | |
| 21 d | 5.28 | 4.29 | 4.33 | 4.84 | 5.13 | 0.12 | <0.01 | 0.74 | <0.01 | |
| 28 d | 3.30 | 3.20 | 3.20 | 3.29 | 3.33 | 0.10 | 0.79 | 0.85 | 0.68 | |
| Pre-weaning | 3.13 | 3.10 | 3.31 | 3.11 | 3.09 | 0.10 | 0.92 | 0.84 | 0.77 | 0.59 |
| Post-weaning | 5.10 | 4.36 | 4.44 | 4.66 | 4.85 | 0.09 | <0.01 | 0.92 | <0.01 | <0.01 |
| Overall | 4.31 | 3.85 | 3.99 | 4.04 | 4.14 | 0.07 | 0.07 | 0.36 | 0.17 | 0.02 |
| HP, ng/mL | ||||||||||
| 0 d | 0.53 | 0.52 | 0.54 | 0.57 | 0.51 | 0.05 | 0.92 | 0.77 | 0.88 | |
| 14 d | 0.54 | 0.51 | 0.55 | 0.52 | 0.51 | 0.04 | 0.88 | 0.82 | 0.75 | |
| 16 d | 0.81 | 0.65 | 0.67 | 0.79 | 0.83 | 0.05 | 0.22 | 0.64 | 0.03 | |
| 21 d | 0.73 | 0.62 | 0.63 | 0.76 | 0.74 | 0.03 | 0.37 | 0.83 | 0.05 | |
| 28 d | 0.56 | 0.58 | 0.54 | 0.61 | 0.59 | 0.05 | 0.83 | 0.79 | 0.62 | |
| Pre-weaning | 0.54 | 0.52 | 0.55 | 0.55 | 0.51 | 0.04 | 0.91 | 0.92 | 0.80 | 0.78 |
| Post-weaning | 0.70 | 0.62 | 0.61 | 0.72 | 0.72 | 0.04 | 0.29 | 0.84 | 0.63 | 0.04 |
| Overall | 0.63 | 0.58 | 0.59 | 0.65 | 0.64 | 0.03 | 0.34 | 0.96 | 0.52 | 0.17 |
| IL-8, pg/mL | ||||||||||
| 0 d | 50.87 | 46.07 | 49.84 | 47.13 | 47.92 | 3.35 | 0.22 | 0.50 | 0.66 | |
| 14 d | 44.14 | 45.94 | 47.21 | 44.01 | 46.99 | 2.26 | 0.35 | 0.72 | 0.40 | |
| 16 d | 64.17 | 49.94 | 52.88 | 65.93 | 64.24 | 3.13 | 0.16 | 0.87 | 0.03 | |
| 21 d | 58.25 | 47.46 | 46.62 | 55.37 | 54.29 | 3.15 | 0.19 | 0.27 | 0.04 | |
| 28 d | 40.89 | 39.12 | 41.99 | 42.75 | 40.86 | 1.26 | 0.47 | 0.91 | 0.55 | |
| Pre-weaning | 47.51 | 46.01 | 48.53 | 45.57 | 47.46 | 2.56 | 0.32 | 0.58 | 0.92 | 0.82 |
| Post-weaning | 54.44 | 45.51 | 47.16 | 54.68 | 53.13 | 2.02 | 0.13 | 0.63 | 0.25 | 0.02 |
| Overall | 51.66 | 45.71 | 47.71 | 51.04 | 50.86 | 1.46 | 0.29 | 0.81 | 0.40 | 0.22 |
| Treatment | p-Value | |||||||||
|---|---|---|---|---|---|---|---|---|---|---|
| Items | CON | 1%Gln | 2%Gln | 3%Gln | 4%Gln | SEM | T | T × D | Linear | Quadratic |
| T-AOC, U/mL | ||||||||||
| 0 d | 23.3 | 22.2 | 23.3 | 26.8 | 24.6 | 2.39 | 0.70 | 0.77 | 0.78 | |
| 7 d | 23.2 | 28.0 | 28.6 | 26.1 | 26.7 | 2.91 | 0.32 | 0.07 | 0.80 | |
| 14 d | 20.9 | 27.5 | 26.1 | 23.9 | 26.7 | 1.79 | 0.09 | 0.19 | 0.09 | |
| 16 d | 18.6 | 24.2 | 26.7 | 26.4 | 25.8 | 1.84 | 0.03 | 0.01 | 0.16 | |
| 18 d | 21.4 | 25.3 | 24.7 | 28.7 | 26.5 | 2.75 | 0.48 | 0.33 | 0.20 | |
| 21 d | 22.2 | 28.5 | 26.3 | 25.8 | 26.2 | 2.13 | 0.42 | 0.27 | 0.15 | |
| 28 d | 22.0 | 24.5 | 25.2 | 25.1 | 24.6 | 1.94 | 0.79 | 0.29 | 0.56 | |
| Pre-weaning | 22.5 | 25.9 | 26.0 | 25.6 | 26.0 | 2.04 | 0.18 | 0.57 | 0.11 | 0.47 |
| Post-weaning | 21.1 | 25.6 | 25.7 | 26.5 | 25.8 | 1.88 | <0.01 | 0.62 | <0.01 | <0.01 |
| Overall | 21.7 | 25.7 | 25.8 | 26.1 | 25.9 | 0.66 | <0.01 | 0.23 | <0.01 | <0.01 |
| GSH-Px, U/mL | ||||||||||
| 0 d | 60.3 | 60.9 | 61.1 | 63.0 | 61.8 | 5.03 | 1.00 | 0.86 | 0.84 | |
| 7 d | 87.1 | 116.2 | 112.0 | 110.2 | 109.4 | 6.20 | 0.04 | 0.02 | 0.03 | |
| 14 d | 59.5 | 87.7 | 85.7 | 83.8 | 85.0 | 6.50 | 0.05 | 0.02 | 0.04 | |
| 16 d | 47.4 | 60.3 | 61.1 | 52.6 | 53.4 | 3.26 | 0.04 | 0.02 | 0.04 | |
| 18 d | 51.4 | 64.4 | 67.7 | 63.0 | 58.1 | 8.28 | 0.07 | 0.03 | 0.02 | |
| 21 d | 55.8 | 66.7 | 71.6 | 67.4 | 64.5 | 7.48 | 0.12 | 0.14 | 0.08 | |
| 28 d | 60.3 | 73.1 | 76.2 | 69.4 | 69.4 | 12.06 | 0.93 | 0.43 | 0.80 | |
| Pre-weaning | 69.0 | 88.3 | 86.3 | 85.7 | 85.4 | 4.64 | <0.01 | <0.01 | <0.01 | <0.01 |
| Post-weaning | 53.7 | 66.1 | 69.2 | 63.1 | 61.4 | 7.52 | <0.01 | 0.82 | <0.01 | <0.01 |
| Overall | 60.3 | 75.6 | 76.5 | 72.8 | 71.7 | 2.87 | <0.01 | 0.23 | <0.01 | 0.05 |
| SOD, U/mL | ||||||||||
| 0 d | 73.2 | 74.6 | 79.1 | 75.9 | 77.0 | 2.57 | 0.60 | 0.22 | 0.81 | |
| 7 d | 85.1 | 84.7 | 83.1 | 82.0 | 80.1 | 1.92 | 0.77 | 0.83 | 0.68 | |
| 14 d | 85.4 | 86.4 | 87.0 | 90.0 | 86.6 | 2.56 | 0.78 | 0.44 | 0.63 | |
| 16 d | 89.0 | 93.8 | 91.6 | 93.0 | 93.1 | 1.64 | 0.29 | 0.34 | 0.05 | |
| 18 d | 85.2 | 90.3 | 91.9 | 92.4 | 90.6 | 3.92 | 0.73 | 0.24 | 0.53 | |
| 21 d | 88.1 | 91.3 | 91.6 | 93.5 | 90.9 | 2.05 | 0.51 | 0.16 | 0.34 | |
| 28 d | 80.3 | 82.1 | 81.5 | 83.9 | 82.3 | 4.75 | 0.99 | 0.79 | 0.71 | |
| Pre-weaning | 81.2 | 81.9 | 83.1 | 82.6 | 81.2 | 2.04 | 0.95 | 0.91 | 0.84 | 0.54 |
| Post-weaning | 85.7 | 89.4 | 89.2 | 90.7 | 89.2 | 3.16 | 0.76 | 0.36 | 0.21 | 0.52 |
| Overall | 83.8 | 86.2 | 86.5 | 87.2 | 85.8 | 1.27 | 0.42 | 0.66 | 0.13 | 0.33 |
| CAT, U/mL | ||||||||||
| 0 d | 28.7 | 31.9 | 31.0 | 29.1 | 32.3 | 1.67 | 0.42 | 0.80 | 0.36 | |
| 7 d | 32.1 | 33.3 | 34.6 | 32.3 | 37.1 | 2.68 | 0.63 | 0.98 | 0.80 | |
| 14 d | 35.1 | 35.3 | 35.3 | 35.2 | 38.1 | 1.70 | 0.69 | 0.66 | 0.63 | |
| 16 d | 35.3 | 37.4 | 38.6 | 38.9 | 34.6 | 1.01 | 0.03 | 0.17 | 0.04 | |
| 18 d | 36.8 | 38.9 | 38.3 | 38.4 | 37.8 | 1.03 | 0.04 | 0.14 | 0.03 | |
| 21 d | 41.2 | 42.9 | 44.4 | 44.9 | 44.0 | 1.37 | 0.37 | 0.11 | 0.52 | |
| 28 d | 43.4 | 44.3 | 46.0 | 49.4 | 44.9 | 2.31 | 0.44 | 0.21 | 0.63 | |
| Pre-weaning | 32.0 | 33.5 | 33.6 | 32.2 | 35.8 | 1.93 | 0.64 | 0.88 | 0.48 | 0.79 |
| Post-weaning | 39.2 | 40.9 | 41.8 | 42.9 | 40.3 | 0.81 | 0.11 | 0.72 | 0.17 | 0.12 |
| Overall | 36.1 | 37.7 | 38.3 | 38.3 | 38.4 | 0.71 | 0.19 | 0.92 | 0.04 | 0.53 |
| MAD, nmol/mL | ||||||||||
| 0 d | 2.97 | 2.95 | 3.03 | 3.00 | 2.85 | 0.13 | 0.88 | 0.52 | 0.59 | |
| 7 d | 3.17 | 3.27 | 3.19 | 3.26 | 3.20 | 0.05 | 0.49 | 0.56 | 0.11 | |
| 14 d | 3.18 | 3.19 | 3.22 | 3.20 | 3.20 | 0.04 | 0.97 | 0.51 | 0.98 | |
| 16 d | 3.51 | 3.37 | 3.29 | 3.43 | 3.51 | 0.09 | 0.32 | 0.66 | 0.06 | |
| 18 d | 3.41 | 3.28 | 3.24 | 3.32 | 3.27 | 0.03 | 0.04 | 0.57 | 0.04 | |
| 21 d | 3.15 | 3.20 | 3.18 | 3.14 | 3.17 | 0.03 | 0.67 | 0.84 | 0.60 | |
| 28 d | 3.12 | 3.14 | 3.16 | 3.15 | 3.14 | 0.02 | 0.65 | 0.16 | 0.75 | |
| Pre-weaning | 3.11 | 3.14 | 3.15 | 3.15 | 3.08 | 0.04 | 0.66 | 0.93 | 0.58 | 0.65 |
| Post-weaning | 3.30 | 3.25 | 3.22 | 3.26 | 3.27 | 0.03 | 0.18 | 0.94 | 0.49 | 0.13 |
| Overall | 3.22 | 3.20 | 3.19 | 3.21 | 3.19 | 0.02 | 0.41 | 0.98 | 0.13 | 0.43 |
| Treatment | p-Value | |||||||||
|---|---|---|---|---|---|---|---|---|---|---|
| Items | CON | 1%Gln | 2%Gln | 3%Gln | 4%Gln | SEM | T | T × D | Linear | Quadratic |
| IgG, g/L | ||||||||||
| 0 d | 10.78 | 11.71 | 10.76 | 11.26 | 12.11 | 1.32 | 0.93 | 0.84 | 0.46 | |
| 7 d | 4.14 | 5.72 | 5.05 | 4.38 | 4.78 | 0.41 | 0.09 | 0.30 | 0.17 | |
| 14 d | 4.65 | 6.95 | 6.31 | 6.24 | 6.74 | 0.49 | 0.02 | 0.09 | 0.01 | |
| 16 d | 2.62 | 4.47 | 4.02 | 3.85 | 3.75 | 0.40 | 0.04 | 0.03 | 0.04 | |
| 18 d | 1.80 | 3.09 | 2.85 | 2.73 | 2.80 | 0.21 | <0.01 | 0.01 | <0.01 | |
| 21 d | 2.29 | 4.08 | 3.92 | 3.67 | 3.74 | 0.31 | <0.01 | <0.01 | 0.01 | |
| 28 d | 5.11 | 7.84 | 7.85 | 7.29 | 7.30 | 0.74 | 0.09 | 0.03 | 0.13 | |
| Pre-weaning | 6.52 | 8.13 | 7.37 | 7.29 | 7.88 | 0.55 | <0.01 | 0.58 | <0.01 | <0.01 |
| Post-weaning | 2.96 | 4.87 | 4.66 | 4.39 | 4.40 | 0.33 | <0.01 | 0.31 | <0.01 | <0.01 |
| Overall | 4.48 | 6.27 | 5.82 | 5.63 | 5.89 | 0.30 | <0.01 | 0.52 | 0.02 | <0.01 |
| IgA, g/L | ||||||||||
| 0 d | 0.81 | 0.78 | 0.81 | 0.80 | 0.77 | 0.01 | 0.29 | 0.55 | 0.08 | |
| 7 d | 0.88 | 0.80 | 0.90 | 0.87 | 0.87 | 0.03 | 0.30 | 0.83 | 0.07 | |
| 14 d | 0.68 | 0.74 | 0.74 | 0.75 | 0.73 | 0.02 | 0.26 | 0.10 | 0.13 | |
| 16 d | 0.71 | 0.79 | 0.74 | 0.74 | 0.73 | 0.03 | 0.27 | 0.57 | 0.12 | |
| 18 d | 0.82 | 0.83 | 0.80 | 0.83 | 0.87 | 0.05 | 0.86 | 0.55 | 0.45 | |
| 21 d | 0.70 | 0.70 | 0.69 | 0.71 | 0.69 | 0.02 | 0.86 | 0.94 | 0.84 | |
| 28 d | 0.74 | 0.79 | 0.80 | 0.80 | 0.80 | 0.03 | 0.53 | 0.20 | 0.40 | |
| Pre-weaning | 0.79 | 0.77 | 0.82 | 0.81 | 0.79 | 0.02 | 0.29 | 0.91 | 0.42 | 0.55 |
| Post-weaning | 0.74 | 0.78 | 0.76 | 0.77 | 0.77 | 0.03 | 0.79 | 0.88 | 0.34 | 0.42 |
| Overall | 0.76 | 0.78 | 0.78 | 0.79 | 0.78 | 0.01 | 0.74 | 0.91 | 0.31 | 0.49 |
| IgM, g/L | ||||||||||
| 0 d | 2.39 | 2.30 | 2.31 | 2.29 | 2.36 | 0.08 | 0.85 | 0.33 | 0.62 | |
| 7 d | 2.36 | 2.65 | 2.88 | 2.75 | 2.80 | 0.11 | 0.03 | 0.01 | 0.40 | |
| 14 d | 2.35 | 2.55 | 2.53 | 2.71 | 2.58 | 0.08 | 0.05 | 0.06 | 0.03 | |
| 16 d | 2.45 | 2.69 | 2.50 | 2.55 | 2.56 | 0.08 | 0.20 | 0.69 | 0.04 | |
| 18 d | 2.64 | 2.79 | 2.73 | 2.77 | 3.02 | 0.14 | 0.43 | 0.85 | 0.25 | |
| 21 d | 2.57 | 2.57 | 2.51 | 2.60 | 2.57 | 0.07 | 0.94 | 0.69 | 0.62 | |
| 28 d | 2.60 | 2.68 | 2.67 | 2.69 | 2.67 | 0.09 | 0.95 | 0.58 | 0.58 | |
| Pre-weaning | 2.37 | 2.50 | 2.57 | 2.58 | 2.58 | 0.09 | <0.01 | 0.56 | <0.01 | <0.01 |
| Post-weaning | 2.57 | 2.68 | 2.60 | 2.65 | 2.71 | 0.06 | 0.37 | 0.63 | 0.36 | 0.51 |
| Overall | 2.48 | 2.60 | 2.59 | 2.62 | 2.65 | 0.04 | 0.02 | 0.47 | 0.11 | 0.01 |
Publisher’s Note: MDPI stays neutral with regard to jurisdictional claims in published maps and institutional affiliations. |
© 2022 by the authors. Licensee MDPI, Basel, Switzerland. This article is an open access article distributed under the terms and conditions of the Creative Commons Attribution (CC BY) license (https://creativecommons.org/licenses/by/4.0/).
Share and Cite
Wang, S.; Wang, F.; Kong, F.; Cao, Z.; Wang, W.; Yang, H.; Wang, Y.; Bi, Y.; Li, S. Effect of Supplementing Different Levels of L-Glutamine on Holstein Calves during Weaning. Antioxidants 2022, 11, 542. https://doi.org/10.3390/antiox11030542
Wang S, Wang F, Kong F, Cao Z, Wang W, Yang H, Wang Y, Bi Y, Li S. Effect of Supplementing Different Levels of L-Glutamine on Holstein Calves during Weaning. Antioxidants. 2022; 11(3):542. https://doi.org/10.3390/antiox11030542
Chicago/Turabian StyleWang, Shuo, Fuwei Wang, Fanlin Kong, Zhijun Cao, Wei Wang, Hongjian Yang, Yajing Wang, Yanliang Bi, and Shengli Li. 2022. "Effect of Supplementing Different Levels of L-Glutamine on Holstein Calves during Weaning" Antioxidants 11, no. 3: 542. https://doi.org/10.3390/antiox11030542
APA StyleWang, S., Wang, F., Kong, F., Cao, Z., Wang, W., Yang, H., Wang, Y., Bi, Y., & Li, S. (2022). Effect of Supplementing Different Levels of L-Glutamine on Holstein Calves during Weaning. Antioxidants, 11(3), 542. https://doi.org/10.3390/antiox11030542

