Surgical Treatment of Paediatric Thalamic Gliomas—Single-Centre Experience
Abstract
1. Introduction
2. Materials and Methods
2.1. Surgical Approach
2.2. Follow-Up and Adjuvant Therapy
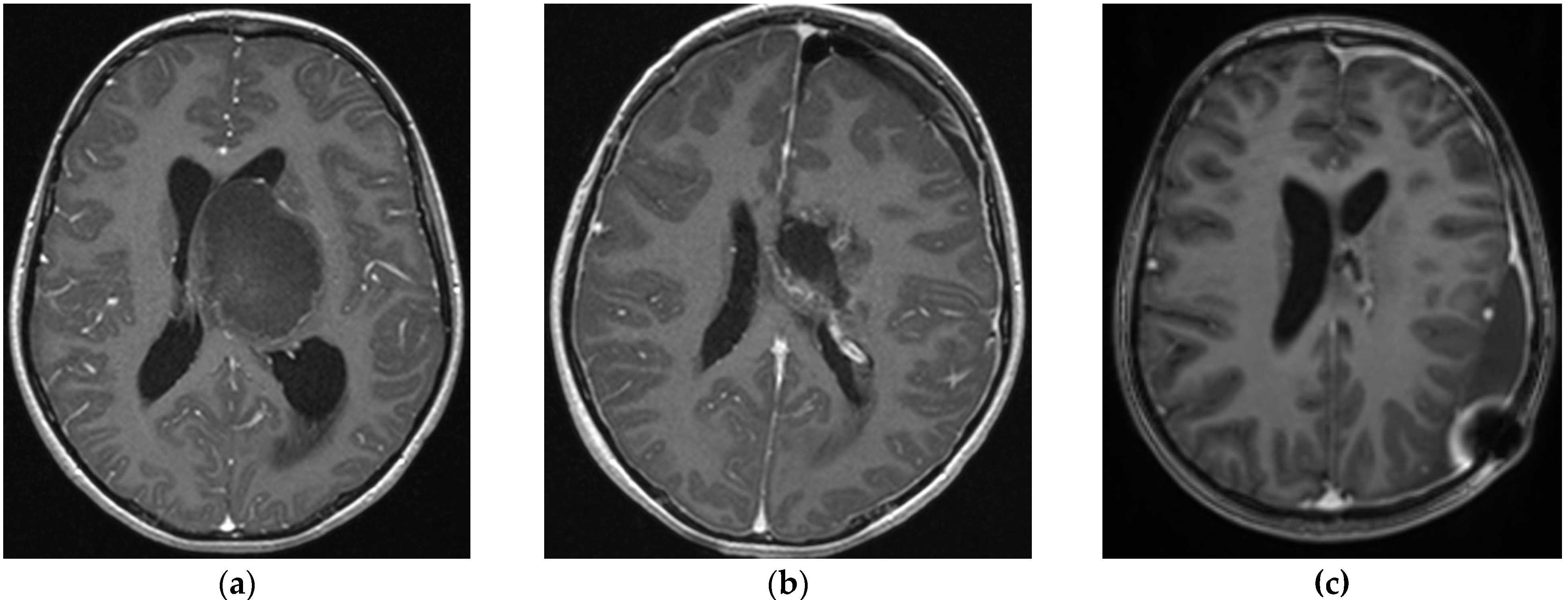
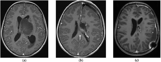
3. Results
3.1. Complications
3.2. Outcome in Patients with Low-Grade Tumours
3.3. Outcome in Patients with High-Grade Tumours
4. Discussion
5. Conclusions
Author Contributions
Funding
Institutional Review Board Statement
Informed Consent Statement
Data Availability Statement
Conflicts of Interest
References
- Steiger, H.; Götz, C.; Schmid-Elsaesser, R.; Stummer, W. Thalamic Astrocytomas: Surgical anatomy and results of a pilot series using maximum microsurgical removal. Acta Neurochir. 2000, 142, 1327–1337. [Google Scholar] [CrossRef] [PubMed]
- Di Rocco, C.; Iannelli, A. Bilateral thalamic tumors in children. Childs Nerv. Syst. 2002, 18, 440–444. [Google Scholar] [CrossRef] [PubMed]
- Cinalli, G.; Aguirre, D.T.; Mirone, G.; Ruggiero, C.; Cascone, D.; Quaglietta, L.; Aliberti, F.; Santi, S.D.; Buonocore, M.C.; Nastro, A.; et al. Surgical treatment of thalamic tumors in children. J. Neurosurg. 2018, 21, 247–257. [Google Scholar] [CrossRef] [PubMed]
- Sunderland, G.; Foster, M.; Pizer, B.; Hennigan, D.; Pettorini, B.; Mallucci, C. Evolution of surgical attitudes to paediatric thalamic tumours: The alder hey experience. Childs Nerv. Syst. 2021, 37, 2821–2830. [Google Scholar] [CrossRef] [PubMed]
- Nobre, L.; Zápotocký, M.; Ramaswamy, V.; Ryall, S.; Bennett, J.; Alderete, D.; Guill, J.B.; Baroni, L.; Bartels, U.; Bavle, A.; et al. Outcomes of BRAF V600E pediatric Gliomas treated with targeted BRAF inhibition. JCO Precis. Oncol. 2020, 4, 561–571. [Google Scholar] [CrossRef] [PubMed]
- Albright, A.L. Feasibility and advisability of resections of thalamic tumors in pediatric patients. J. Neurosurg. 2004, 100, 468–472. [Google Scholar] [CrossRef] [PubMed]
- Foley, R.; Boop, F.A. Tractography guides the approach for resection of thalamopeduncular tumors. Acta Neurochir. 2017, 159, 1597–1601. [Google Scholar] [CrossRef] [PubMed]
- Boesten, T.; Gerber, N.U.; Kandels, D.; Azizi, A.A.; Schmidt, R.; Warmuth-Metz, M.; Pietsch, T.; Kortmann, R.; Gnekow, A.; Grotzer, M.A. Management of primary thalamic low-grade glioma in pediatric patients: Results of the multicenter treatment studies HIT-LGG 1996 and SIOP-LGG 2004. Neuro-Oncol. Pract. 2016, 4, 29–39. [Google Scholar] [CrossRef]
- Gupta, A.; Shaller, N.; McFadden, K. Pediatric Thalamic Gliomas: An updated review. Arch. Pathol. Lab. Med. 2017, 141, 1316–1323. [Google Scholar] [CrossRef]
- Özek, M.M.; Türe, U. Surgical approach to thalamic tumors. Childs Nerv. Syst. 2002, 18, 450–456. [Google Scholar] [CrossRef]
- Nishio, S.; Morioka, T.; Suzuki, S.; Takeshita, I.; Fukui, M. Thalamic Gliomas: A clinicopathologic analysis of 20 cases with reference to patient age. Acta Neurochir. 1997, 139, 336–342. [Google Scholar] [CrossRef] [PubMed]
- Zhang, P.; Wang, X.; Ji, N.; Xie, J.; Han, J.; Ren, X.; Song, G.; Wu, R.; Zhang, L.; Gao, Z. Clinical, radiological, and pathological features of 33 adult unilateral thalamic gliomas. World J. Surg. Oncol. 2016, 14, 78. [Google Scholar] [CrossRef] [PubMed]
- Puget, S.; Crimmins, D.; Garnett, M.; Grill, J.; Oliveira, R.; Boddaert, N.; Wray, A.; Lelouch-Tubiana, A.; Roujeau, T.; Di Rocco, F.; et al. Thalamic tumors in children: A reappraisal. J. Neurosurg. 2007, 106, 354–362. [Google Scholar] [CrossRef] [PubMed]
- Beneš, V.; Zápotocký, M.; Libý, P.; Táborský, J.; Blažková, J.; Blažková, J.; Sumerauer, D.; Mišove, A.; Perníková, I.; Kynčl, M.; et al. Survival and functional outcomes in paediatric thalamic and thalamopeduncular low grade gliomas. Acta Neurochir. 2022, 164, 1459–1472. [Google Scholar] [CrossRef] [PubMed]
- Lyons, M.; Kelly, P.J. Computer-Assisted Stereotactic Biopsy and volumetrie resection of thalamic pilocytic astrocytomas. Stereotact. Funct. Neurosurg. 1992, 59, 100–104. [Google Scholar] [CrossRef] [PubMed]
- Tejada, S.; Avula, S.; Pettorini, B.; Henningan, D.; Abernethy, L.; Mallucci, C. The impact of intraoperative magnetic resonance in routine pediatric neurosurgical practice—A 6-year appraisal. Childs Nerv. Syst. 2018, 34, 617–626. [Google Scholar] [CrossRef] [PubMed]
- Habek, M.; Brinar, V.; Mubrin, Z.; Barun, B.; Žarković, K. Bilateral thalamic astrocytoma. J. Neuro-Oncol. 2007, 84, 175–177. [Google Scholar] [CrossRef] [PubMed][Green Version]
- Kramm, C.M.; Butenhoff, S.; Rausche, U.; Warmuth-Metz, M.; Kortmann, R.D.; Pietsch, T.; Gnekow, A.; Jorch, N.; Janßen, G.; Berthold, F.; et al. Thalamic high-grade gliomas in children: A distinct clinical subset? Neuro-Oncology 2011, 13, 680–689. [Google Scholar] [CrossRef]
- Lansky, S.B.; List, M.A.; Lansky, L.L.; Ritter-Sterr, C.; Miller, D.R. The measurement of performance in childhood cancer patients. Cancer 1987, 60, 1651–1656. [Google Scholar] [CrossRef]
- Niu, X.; Wang, T.; Yang, Y.; Gan, Y.; Li, J.; Liu, Y.; Mao, Q. Prognostic factors for the survival outcome of bilateral thalamic glioma: An Integrated Survival analysis. World Neurosurg. 2018, 110, e222–e230. [Google Scholar] [CrossRef]
- Reardon, D.A.; Gajjar, A.; Sanford, R.A.; Heideman, R.L.; Walter, A.W.; Thompson, S.; Merchant, T.E.; Li, H.; Jenkins, J.J.; Langston, J.; et al. Bithalamic Involvement Predicts Poor Outcome among Children with Thalamic Glial Tumors. Pediatr. Neurosurg. 1998, 29, 29–35. [Google Scholar] [CrossRef]


| Case # | Age y/o | Histology | Grade of Resection | Adjuvant Treatment | Complications | Follow Up in Months | Recurrence | Clinical Status |
|---|---|---|---|---|---|---|---|---|
| Low Grade | ||||||||
| 1 | 9 | Pilocytic astrocytoma | GTR | No | No | 96 | No | ANED |
| 2 | 17 | Pilocytic astrocytoma | GTR | No | No | 84 | No | ANED |
| 3 | 7 | Pilocytic astrocytoma | GTR | No | No | 12 | No | ANED |
| 4 | 15 | DNET | GTR | No | No | 60 | No | ANED |
| 5 | 4.6 | Pilocytic astrocytoma | GTR 2× | No | No | 40 | Yes | ANED |
| 6 | 16 | Pleomorphic xanthoastrocytoma | STR | No | No | 42 | No | ASD |
| 7 | 11 | Pilocytic astrocytoma | GTR | No | No | 18 | No | ANED |
| 8 | 5 | Ganglioglioma | STR | No | No | 16 | No | ASD |
| High Grade | ||||||||
| 9 | 18 | Astrocytoma WHO gr. 4 | GTR | CR * | No | 21 | Yes | DOD |
| 10 | 15 | Mut. diffuse midline glioma | STR | CRI * | Hydrocephalus—VP drainage | 15 | Yes | DOD |
| 11 | 11 | Mut. diffuse midline glioma | GTR | CRI * | Hydrocephalus—VP drainage | 6 | No | ANED |
| Case # | Histology |
|---|---|
| Low-Grade | |
| 1 | Pilocytic astrocytoma IDH 1,2 negative, BRAF-KIAA fus. positive |
| 2 | Pilocytic astrocytoma IDH 1,2 negative, BRAF-KIAA fus. positive |
| 3 | Pilocytic astrocytoma IDH 1,2 negat, BRAFv600 mut |
| 4 | Dysembryoplastic neuroepithelial tumour |
| 5 | Pilocytic astrocytoma IDH 1,2 negat, BRAF-KIAA fus. pos. |
| 6 | Pleomorphic xanthoastrocytoma BRAFv600 mut, homozyg. deletion CDKN2A |
| 7 | Pilocytic astrocytoma IDH 1,2 negat, BRAFv600 mut |
| 8 | Ganglioglioma |
| High-Grade | |
| 9 | Astrocytoma WHO gr. 4 iDH wild type |
| 10 | Diffuse mutant midline glioma, gr. 4, mut.H3-3A K27M |
| 11 | Diffuse mutant midline glioma, gr. 4, mut.H3-3A K27M |
| Case # | Motor Weakness Before/After Surgery | Aphasia Before/After Surgery | Motor Weakness/3 mo | Aphasia/3 mo | Karnofsky/6 mo |
|---|---|---|---|---|---|
| 1 | +/++ | −/− | + | − | 90 |
| 2 | +/+ | −/− | − | − | 100 |
| 3 | +/+ | −/− | − | − | 100 |
| 4 | +/++ | −/+ | + | − | 90 |
| 5 | +/+ | −/− | + | − | 90 |
| 6 | +/+ | −/− | − | − | 100 |
| 7 | +/++ | −/+ | − | − | 100 |
| 8 | +/+ | −/− | − | − | 100 |
| 9 | +/++ | −/− | + | − | 90 |
| 10 | +/+++ | −/+ | ++ | − | 70 |
| 11 | +/++ | +/++ | + | − | 90 |
Disclaimer/Publisher’s Note: The statements, opinions and data contained in all publications are solely those of the individual author(s) and contributor(s) and not of MDPI and/or the editor(s). MDPI and/or the editor(s) disclaim responsibility for any injury to people or property resulting from any ideas, methods, instructions or products referred to in the content. |
© 2024 by the authors. Licensee MDPI, Basel, Switzerland. This article is an open access article distributed under the terms and conditions of the Creative Commons Attribution (CC BY) license (https://creativecommons.org/licenses/by/4.0/).
Share and Cite
Krahulik, D.; Blazek, F.; Halaj, M.; Hrabalek, L.; Stepanova, E.; Pavelka, Z.; Rohanova, M. Surgical Treatment of Paediatric Thalamic Gliomas—Single-Centre Experience. Brain Sci. 2024, 14, 141. https://doi.org/10.3390/brainsci14020141
Krahulik D, Blazek F, Halaj M, Hrabalek L, Stepanova E, Pavelka Z, Rohanova M. Surgical Treatment of Paediatric Thalamic Gliomas—Single-Centre Experience. Brain Sciences. 2024; 14(2):141. https://doi.org/10.3390/brainsci14020141
Chicago/Turabian StyleKrahulik, David, Filip Blazek, Matej Halaj, Lumir Hrabalek, Eva Stepanova, Zdenek Pavelka, and Marie Rohanova. 2024. "Surgical Treatment of Paediatric Thalamic Gliomas—Single-Centre Experience" Brain Sciences 14, no. 2: 141. https://doi.org/10.3390/brainsci14020141
APA StyleKrahulik, D., Blazek, F., Halaj, M., Hrabalek, L., Stepanova, E., Pavelka, Z., & Rohanova, M. (2024). Surgical Treatment of Paediatric Thalamic Gliomas—Single-Centre Experience. Brain Sciences, 14(2), 141. https://doi.org/10.3390/brainsci14020141

