Ischemic Stroke in a Patient with Stable CADASIL during COVID-19: A Case Report
Abstract
:1. Introduction
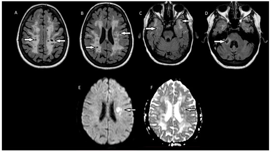
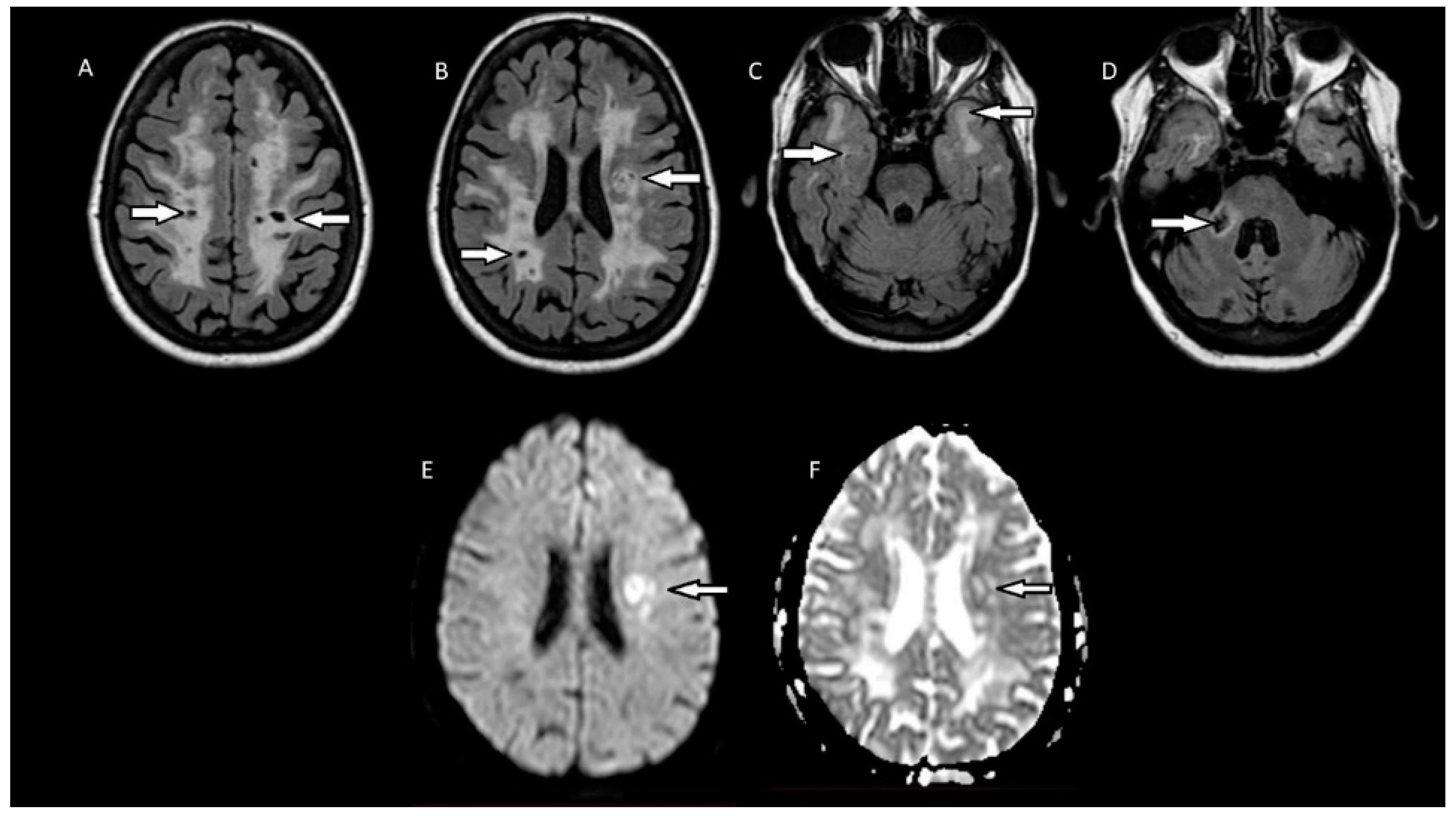
2. Case Report
3. Discussion
4. Conclusions
Author Contributions
Funding
Informed Consent Statement
Data Availability Statement
Conflicts of Interest
References
- Bridwell, R.; Long, B.; Gottlieb, M. Neurologic complications of COVID-19. Am. J. Emerg. Med. 2020, 38, 1549.e3. [Google Scholar] [CrossRef] [PubMed]
- Chabriat, H.; Joutel, A.; Dichgans, M.; Tournier-Lasserve, E.; Bousser, M.G. CADASIL. Lancet Neurol. 2009, 8, 643–653. [Google Scholar] [CrossRef]
- Locatelli, M.; Padovani, A.; Pezzini, A. Pathophysiological Mechanisms and Potential Therapeutic Targets in Cerebral Autosomal Dominant Arteriopathy With Subcortical Infarcts and Leukoencephalopathy (CADASIL). Front. Pharmacol. 2020, 11, 321. [Google Scholar] [CrossRef] [PubMed]
- Motolese, F.; Rossi, M.; Gangemi, E.; Bersano, A.; Scelzo, E.; Di Lazzaro, V.; Capone, F. CADASIL as Multiple Sclerosis Mimic: A 48-year-old man with severe leukoencephalopathy and spinal cord involvement. Mult. Scler. Relat. Disord. 2020, 41, 102014. [Google Scholar] [CrossRef] [PubMed]
- Kichloo, A.; Dettloff, K.; Aljadah, M.; Albosta, M.; Jamal, S.; Singh, J.; Wani, F.; Kumar, A.; Vallabhaneni, S.; Khan, M.Z. COVID-19 and Hypercoagulability: A Review. Clin. Appl. Thromb. 2020, 26, 1076029620962853. [Google Scholar] [CrossRef] [PubMed]
- Varga, Z.; Flammer, A.J.; Steiger, P.; Haberecker, M.; Andermatt, R.; Zinkernagel, A.S.; Mehra, M.R.; Schuepbach, R.A.; Ruschitzka, F.; Moch, H. Endothelial cell infection and endotheliitis in COVID-19. Lancet 2020, 395, 1417–1418. [Google Scholar] [CrossRef]
- Williams, O.H.; Mohideen, S.; Sen, A.; Martinovic, O.; Hart, J.; Brex, P.A.; Sztriha, L.K. Multiple internal border zone infarcts in a patient with COVID-19 and CADASIL. J. Neurol. Sci. 2020, 416, 116980. [Google Scholar] [CrossRef] [PubMed]
- Motolese, F.; Ferrante, M.; Rossi, M.; Magliozzi, A.; Sbarra, M.; Ursini, F.; Marano, M.; Capone, F.; Travaglino, F.; Antonelli Incalzi, R.; et al. Posterior Reversible Encephalopathy Syndrome and brain haemorrhage as COVID-19 complication: A review of the available literature. J. Neurol. 2021, 268, 4407–4414. [Google Scholar] [CrossRef] [PubMed]

Publisher’s Note: MDPI stays neutral with regard to jurisdictional claims in published maps and institutional affiliations. |
© 2021 by the authors. Licensee MDPI, Basel, Switzerland. This article is an open access article distributed under the terms and conditions of the Creative Commons Attribution (CC BY) license (https://creativecommons.org/licenses/by/4.0/).
Share and Cite
Cruciani, A.; Pilato, F.; Rossi, M.; Motolese, F.; Di Lazzaro, V.; Capone, F. Ischemic Stroke in a Patient with Stable CADASIL during COVID-19: A Case Report. Brain Sci. 2021, 11, 1615. https://doi.org/10.3390/brainsci11121615
Cruciani A, Pilato F, Rossi M, Motolese F, Di Lazzaro V, Capone F. Ischemic Stroke in a Patient with Stable CADASIL during COVID-19: A Case Report. Brain Sciences. 2021; 11(12):1615. https://doi.org/10.3390/brainsci11121615
Chicago/Turabian StyleCruciani, Alessandro, Fabio Pilato, Mariagrazia Rossi, Francesco Motolese, Vincenzo Di Lazzaro, and Fioravante Capone. 2021. "Ischemic Stroke in a Patient with Stable CADASIL during COVID-19: A Case Report" Brain Sciences 11, no. 12: 1615. https://doi.org/10.3390/brainsci11121615
APA StyleCruciani, A., Pilato, F., Rossi, M., Motolese, F., Di Lazzaro, V., & Capone, F. (2021). Ischemic Stroke in a Patient with Stable CADASIL during COVID-19: A Case Report. Brain Sciences, 11(12), 1615. https://doi.org/10.3390/brainsci11121615

