Robotic Treatment of Adrenal Sclerosing PEComa: A Case Report with 13 Years of Follow-Up and a Literature Review
Abstract
1. Introduction
2. Materials and Methods
3. Discussion
4. Conclusions
Author Contributions
Funding
Institutional Review Board Statement
Informed Consent Statement
Data Availability Statement
Conflicts of Interest
References
- Zamboni, G.; Pea, M.; Martignoni, G.; Zancanaro, C.; Faccioli, G.; Gilioli, E.; Pederzoli, P.; Bonetti, F. Clear Cell “Sugar” Tumor of the Pancreas. Am. J. Surg. Pathol. 1996, 20, 722–730. [Google Scholar] [CrossRef] [PubMed]
- Bonetti, F.; Pea, M.; Martignoni, G.; Zamboni, G.; Capelli, P.; Doglioni, C.; Rimondi, P.; Andrion, A. Clear cell (“sugar”) tumor of the lung is a lesion strictly related to angiomyolipoma—The concept of a family of lesions characterized by the presence of the perivascular epithelioid cells (PEC). Pathology 1994, 26, 230–236. [Google Scholar] [CrossRef]
- Fletcher, C.D.M. Recently characterized soft tissue tumors that bring biologic insight. Mod. Pathol. 2014, 27, S98–S112. [Google Scholar] [CrossRef]
- Thway, K.; Fisher, C. PEComa: Morphology and genetics of a complex tumor family. Ann. Diagn. Pathol. 2015, 19, 359–368. [Google Scholar] [CrossRef]
- Fittschen, A.; Wendlik, I.; Oeztuerk, S.; Kratzer, W.; Akinli, A.S.; Haenle, M.M.; Graeter, T. Prevalence of sporadic renal angiomyolipoma: A retrospective analysis of 61,389 in- and out-patients. Abdom. Imaging 2014, 39, 1009–1013. [Google Scholar] [CrossRef] [PubMed]
- Martignoni, G.; Pea, M.; Zampini, C.; Brunelli, M.; Segala, D.; Zamboni, G.; Bonetti, F. PEComas of the kidney and of the genitourinary tract. Semin. Diagn. Pathol. 2015, 32, 140–159. [Google Scholar] [CrossRef] [PubMed]
- Hornick, J.L.; Fletcher, C.D.M. Sclerosing PEComa: Clinicopathologic Analysis of a Distinctive Variant With a Predilection for the Retroperitoneum. Am. J. Surg. Pathol. 2008, 32, 493–501. [Google Scholar] [CrossRef]
- Matsuyama, A.; Hisaoka, M.; Ichikawa, K.; Fujimori, T.; Udo, K.; Uchihashi, K.; Aoki, S.; Hashimoto, H. Sclerosing variant of epithelioid angiomyolipoma. Pathol. Int. 2008, 58, 306–310. [Google Scholar] [CrossRef]
- Ramaiah, S.; Ganesan, R.; Mangham, D.C.; McNally, O.; Klys, H.S.; Hirschowitz, L. Malignant Variant of Sclerosing Perivascular Epithelioid Cell Tumor Arising in the Adnexa. Int. J. Gynecol. Pathol. 2009, 28, 589–593. [Google Scholar] [CrossRef]
- Jia, L.; Panwar, V.; Parmley, M.; Lucas, E.; Pedrosa, I.; Kapur, P. Retroperitoneal Sclerosing Angiomyolipoma with Long-Term Follow up: A Case Report with Unique Clinicopathologic and Genomic Profile. Int. J. Surg. Pathol. 2022, 30, 86–90. [Google Scholar] [CrossRef]
- Folpe, A.L.; Mentzel, T.; Lehr, H.A.; Fisher, C.; Balzer, B.L.; Weiss, S.W. Perivascular Epithelioid Cell Neoplasms of Soft Tissue and Gynecologic Origin. Am. J. Surg. Pathol. 2005, 29, 1558–1575. [Google Scholar] [CrossRef]
- Kundu, R.; Saha, P.; Dey, P. Sclerosing perivascular epithelioid cell tumor of the uterus: A rare entity posing diagnostic challenge. J. Midlife Health 2022, 13, 328–330. [Google Scholar] [CrossRef]
- To, V.Y.K.; Tsang, J.P.K.; Yeung, T.W.; Yuen, M.K. Retroperitoneal sclerosing perivascular epithelioid cell tumour. Hong Kong J. Radiol. 2015, 18, 51–56. [Google Scholar] [CrossRef]
- Santi, R.; Franchi, A.; Villari, D.; Paglierani, M.; Pepi, M.; Danielli, D.; Nicita, G.; Nesi, G. Sclerosing variant of PEComa: Report of a case and review of the literature. Histol. Histopathol. 2012, 27, 1175–1181. [Google Scholar] [PubMed]
- Valiathan, M.; Sunil, B.P.; Rao, L.; Geetha, V.; Hedge, P. Sclerosing PEComa: A histologic surprise. Afr. J. Urol. 2011, 17, 97–100. [Google Scholar] [CrossRef]
- Yamada, Y.; Yamamoto, H.; Ohishi, Y.; Nishiyama, K.; Fukuhara, M.; Saitou, T.; Tsuneyoshi, M.; Oda, Y. Sclerosing variant of perivascular epithelioid cell tumor in the female genital organs. Pathol. Int. 2011, 61, 768–772. [Google Scholar] [CrossRef]
- Leão, R.R.; Pereira, B.J.; Grenha, V.; Coelho, H. Pararenal sclerosing PEComa. BMJ Case Rep. 2013, 2013, bcr2013009097. [Google Scholar] [CrossRef] [PubMed]
- Lim, G.S.D.; Oliva, E. The Morphologic Spectrum of Uterine PEC-cell Associated Tumors in a Patient With Tuberous Sclerosis. Int. J. Gynecol. Pathol. 2011, 30, 121–128. [Google Scholar] [CrossRef] [PubMed]
- Rekhi, B.; Sable, M.; Desai, S.B. Retroperitoneal sclerosing PEComa with melanin pigmentation and granulomatous inflammation-A rare association within an uncommon tumor. Indian J. Pathol. Microbiol. 2012, 55, 395–398. [Google Scholar] [CrossRef] [PubMed]
- Surico, D.; Codecà, C.; Boldorini, R.; Maldi, E.; Vigone, A.; Gentilli, S.; Surico, N. Sclerosing PEComa: A case report and review of the literature. Minerva Chir. 2013, 68, 125–128. [Google Scholar]
- Zhao, Y.; Bui, M.M.; Spiess, P.E.; Dhillon, J. Sclerosing PEComa of the Kidney: Clinicopathologic Analysis of 2 Cases and Review of the Literature. Clin. Genitourin. Cancer 2014, 12, e229–e232. [Google Scholar] [CrossRef]
- Miyai, K.; Mullick, S.S.; Divatia, M.K.; Shen, S.S.; Ayala, A.G.; Ro, J.Y. Renal sclerosing perivascular epithelioid cell tumor (PEComa)/angiomyolipoma with extensive rhabdoid cell features. Pathol. Int. 2014, 64, 247–250. [Google Scholar] [CrossRef] [PubMed]
- Planelles, M.; Macías, L.; Peiró, G.; Bulimbasič, S.; Hes, O.; Robles, A.; Michal, M.; Davidson, W.B.; López, J.I. Rheb/mTOR/p70s6k Cascade and TFE3 Expression in Conventional and Sclerosing PEComas of the Urinary Tract [Internet]. 2015. Available online: www.appliedimmunohist.com (accessed on 1 August 2016).
- Kim, H.Y.; Choi, J.H.; Lee, H.S.; Choi, Y.J.; Kim, A.; Kim, H.K. Sclerosing Perivascular Epithelioid Cell Tumor of the Lung: A Case Report with Cytologic Findings. J. Pathol. Transl. Med. 2016, 50, 238–242. [Google Scholar] [CrossRef] [PubMed] [PubMed Central]
- Galea, L.A.; Hildebrand, M.S.; Boys, A.; Joy, C.; Chee, J.; White, G. Sclerosing perivascular epithelioid cell tumour (PEComa) of the testis in a patient with tuberous sclerosis complex. Pathology 2022, 55, 143–146. [Google Scholar] [CrossRef] [PubMed]
- Matkowskyj, K.; Chen, Z.M.; Rao, S.; Yang, G.Y. Perivascular epitheliod cell tumors (PEComas): Presentation of two cases with unusual morphological features. J. Dr. NTR Univ. Health Sci. 2012, 1, 257. [Google Scholar]
- Makhlouf, H.R.; Ishak, K.G.; Shekar, R.; Sesterhenn, I.A.; Young, D.Y.; Fanburg-Smith, J.C. Melanoma Markers in Angiomyolipoma of the Liver and Kidney. Arch. Pathol. Lab. Med. 2002, 126, 49–55. [Google Scholar] [CrossRef] [PubMed]
- Folpe, A.L.; Kwiatkowski, D.J. Perivascular epithelioid cell neoplasms: Pathology and pathogenesis. Hum. Pathol. 2010, 41, 1–15. [Google Scholar] [CrossRef] [PubMed]
- Vannucchi, M.; Minervini, A.; Salvi, M.; Montironi, R.; Raspollini, M.R. TFE3 Gene Rearrangement in Perivascular Epithelioid Cell Neoplasm (PEComa) of the Genitourinary Tract. Clin. Genitourin. Cancer 2020, 18, e692–e697. [Google Scholar] [CrossRef]
- Shi, H.; Cao, Q.; Li, H.; Zhen, T.; Lai, Y.; Han, A. Malignant perivascular epithelioid cell tumor of the kidney with rare pulmonary and ileum metastases. Int. J. Clin. Exp. Pathol. 2014, 7, 6357–6363. [Google Scholar]
- Yu, X.; Duan, R.; Yang, B.; Huang, L.; Hou, M.; Qie, M. Perivascular epithelioid cell tumor of the uterus and pelvic cavity. Front Oncol. 2024, 14, 1449936. [Google Scholar] [CrossRef]
- Weinreb, I.; Howarth, D.; Latta, E.; Ghazarian, D.; Chetty, R. Perivascular epithelioid cell neoplasms (PEComas): Four malignant cases expanding the histopathological spectrum and a description of a unique finding. Virchows Archiv. 2007, 450, 463–470. [Google Scholar] [CrossRef]
- Williamson, S.R.; Bunde, P.J.; Montironi, R.; Lopez-Beltran, A.; Zhang, S.; Wang, M.; MacLennan, G.T.; Cheng, L. Malignant Perivascular Epithelioid Cell Neoplasm (PEComa) of the Urinary Bladder With TFE3 Gene Rearrangement. Am. J. Surg. Pathol. 2013, 37, 1619–1626. [Google Scholar] [CrossRef] [PubMed]
- van Slegtenhorst, M.; de Hoogt, R.; Hermans, C.; Nellist, M.; Janssen, B.; Verhoef, S.; Lindhout, D.; Ouweland, A.v.D.; Halley, D.; Young, J.; et al. Identification of the Tuberous Sclerosis Gene TSC1 on Chromosome 9q34. Science 1997, 277, 805–808. [Google Scholar] [CrossRef]
- Pan, C.; Chung, M.; Ng, K.; Liu, C.; Wang, J.; Chai, C.; Huang, S.; Chen, P.; Ho, D. Constant allelic alteration on chromosome 16p (TSC2 gene) in perivascular epithelioid cell tumour (PEComa): Genetic evidence for the relationship of PEComa with angiomyolipoma. J. Pathol. 2008, 214, 387–393. [Google Scholar] [CrossRef]
- Agaram, N.P.M.; Sung, Y.-S.; Zhang, L.; Chen, C.-L.; Chen, H.-W.; Singer, S.; Dickson, M.A.; Berger, M.F.; Antonescu, C.R. Dichotomy of Genetic Abnormalities in PEComas With Therapeutic Implications. Am. J. Surg. Pathol. 2015, 39, 813–825. [Google Scholar] [CrossRef]
- Seeber, A.; Holzer, L.; Elliott, A.; Dammerer, D.; Florou, V.; Groisberg, R.; Henninger, B.; Korn, W.M.; Lanbach, J.; von Mehren, M.; et al. Deciphering the molecular landscape and the tumor microenvironment of perivascular epithelioid cell neoplasma (PEComa). J. Clin. Oncol. 2021, 39 (Suppl. S15), 11539. [Google Scholar] [CrossRef]
- Kenerson, H.; Folpe, A.L.; Takayama, T.K.; Yeung, R.S. Activation of the mTOR pathway in sporadic angiomyolipomas and other perivascular epithelioid cell neoplasms. Hum. Pathol. 2007, 38, 1361–1371. [Google Scholar] [CrossRef] [PubMed]
- Dickson, M.A.; Schwartz, G.K.; Antonescu, C.R.; Kwiatkowski, D.J.; Malinowska, I.A. Extrarenal perivascular epithelioid cell tumors (PEComas) respond to mTOR inhibition: Clinical and molecular correlates. Int. J. Cancer 2013, 132, 1711–1717. [Google Scholar] [CrossRef] [PubMed]
- Bergamo, F.; Maruzzo, M.; Basso, U.; Montesco, M.C.; Zagonel, V.; Gringeri, E.; Cillo, U. Neoadjuvant sirolimus for a large hepatic perivascular epithelioid cell tumor (PEComa). World J. Surg. Oncol. 2014, 12, 46. [Google Scholar] [CrossRef]
- Bleeker, J.S.; Quevedo, J.F.; Folpe, A.L. “Malignant” Perivascular Epithelioid Cell Neoplasm: Risk Stratification and Treatment Strategies. Sarcoma 2012, 2012, 541626. [Google Scholar] [CrossRef]
- Malinowska, I.; Kwiatkowski, D.J.; Weiss, S.; Martignoni, G.; Netto, G.; Argani, P. Perivascular Epithelioid Cell Tumors (PEComas) Harboring TFE3 Gene Rearrangements Lack the TSC2 Alterations Characteristic of Conventional PEComas. Am. J. Surg. Pathol. 2012, 36, 783–784. [Google Scholar] [CrossRef]
- Shen, Q.; Rao, Q.; Xia, Q.-Y.; Yu, B.; Shi, Q.-L.; Zhang, R.-S.; Zhou, X.-J. Perivascular epithelioid cell tumor (PEComa) with TFE3 gene rearrangement: Clinicopathological, immunohistochemical, and molecular features. Virchows Archiv. 2014, 465, 607–613. [Google Scholar] [CrossRef]
- Sanfilippo, R.; Jones, R.L.; Blay, J.-Y.; Le Cesne, A.; Provenzano, S.; Antoniou, G.; Mir, O.; Fucà, G.; Fumagalli, E.; Bertulli, R.; et al. Role of Chemotherapy, VEGFR Inhibitors, and mTOR Inhibitors in Advanced Perivascular Epithelioid Cell Tumors (PEComas). Clin. Cancer Res. 2019, 25, 5295–5300. [Google Scholar] [CrossRef] [PubMed]
- Wagner, A.J.; Ravi, V.; Riedel, R.F.; Ganjoo, K.; Van Tine, B.A.; Chugh, R.; Cranmer, L.; Gordon, E.M.; Hornick, J.L.; Du, H.; et al. nab-Sirolimus for patients with malignant perivascular epithelioid cell tumors. J. Clin. Oncol. 2021, 39, 3660–3670. [Google Scholar] [CrossRef] [PubMed]
- Świtaj, T.; Sobiborowicz, A.; Teterycz, P.; Klimczak, A.; Makuła, D.; Wągrodzki, M.; Szumera-Ciećkiewicz, A.; Rutkowski, P.; Czarnecka, A.M. Efficacy of Sirolimus Treatment in PEComa–10 Years of Practice Perspective. J. Clin. Med. 2021, 10, 3705. [Google Scholar] [CrossRef]
- Sanfilippo, R.; Fabbroni, C.; Fucà, G.; Fumagalli, E.; Morosi, C.; Sbaraglia, M.; Gronchi, A.; Collini, P.; Tos, A.P.D.; Casali, P.G. Addition of Antiestrogen Treatment in Patients with Malignant PEComa Progressing to mTOR Inhibitors. Clin. Cancer Res. 2020, 26, 5534–5538. [Google Scholar] [CrossRef]
- Lee, J.; El-Tamer, M.; Schifftner, T.; Turrentine, F.E.; Henderson, W.G.; Khuri, S.; Hanks, J.B.; Inabnet, W.B., III. Open and Laparoscopic Adrenalectomy: Analysis of the National Surgical Quality Improvement Program. J. Am. Coll. Surg. 2008, 206, 953–959. [Google Scholar] [CrossRef]
- Brandao, L.F.; Autorino, R.; Laydner, H.; Haber, G.P.; Ouzaid, I.; De Sio, M.; Perdonà, S.; Stein, R.J.; Porpiglia, F.; Kouk, J.H. Robotic versus laparoscopic adrenalectomy: A meta-analysis. Int. Braz. J. Urol. 2020, 65, 1154–1161. [Google Scholar]
- Economopoulos, K.P.; Mylonas, K.S.; Stamou, A.A.; Theocharidis, V.; Sergentanis, T.N.; Psaltopoulou, T.; Richards, M.L. Laparoscopic versus robotic: A comprehensive meta-analysis. Int. J. Surg. 2017, 38, 95–104. [Google Scholar] [CrossRef]
- Aksoy, E.; Meir, M.; Wiegering, A.; Sperschneider, F.; Hendricks, A.; Lock, J.F.; Flemming, S.; Kelm, M.; Hahner, M.; Schlegel, N.; et al. Laparoscopic vs. Robotic transabdominal adrenalectomy- propensity matched analysis and learning curve. Langenbecks Arch. Surg. 2025, 410, 108. [Google Scholar]
- Agcaoglu, O.; Aliyev, S.; Karabulut, K.; Mitchell, J.; Siperstein, A.; Berber, E. Robotic vs laparoscopic adrenalectomy for large adrenal tumors. Ann. Surg. Oncol. 2012, 19, 2288–2294. [Google Scholar] [CrossRef] [PubMed]
- Gonzalez-Manso, A.; Vazquez-Martul, D. Single-Port Retroperitoneal Robotic Treatment for Adrenal Angiomyolipoma: Description and Review of the Literature. JSM Gastroenterol. Hepatol. 2023, 10, 1121. [Google Scholar]
- Zhou, X.; Fu, B.; Liu, W.; Zhang, C.; Wang, G. Robotic excision of large adrenal tumors via retroperitoneal approach: Experience from 21 cases. J. Urol. 2017, 197, e479. [Google Scholar] [CrossRef]


| Imaging Modality | Findings | Interpretation |
|---|---|---|
| Ultrasound | Well-defined 10 × 9 cm echogenic mass in the right adrenal region. | Suggested adrenal origin; prompted further imaging. |
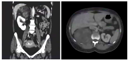
| Contrast-enhanced CT | Heterogeneous adrenal mass with fat-like attenuation displacing the right kidney and renal vein; no evidence of local invasion. | Compatible with a benign adrenal neoplasm, likely angiomyolipoma. |
| MRI | Heterogeneous mass with mixed signal intensity consistent with a fat-containing lesion. | Imaging features consistent with angiomyolipoma. |
| 18F-FDG PET-CT | Focally increased metabolic activity within the mass. | Raised suspicion for malignancy despite benign-appearing morphology. |
| Phase | Details |
|---|---|
| Symptom Onset | A 48-year-old woman presented with abdominal pain. |
| Initial Assessment | Abdominal ultrasound revealed a well-circumscribed 10 × 9 cm mass in the right adrenal gland. |
| Diagnostic Work-Up | Contrast-enhanced CT and MRI confirmed a large adrenal lesion displacing the right kidney and renal vein. PET-CT showed increased uptake. Hormonal profile (serum catecholamines, cortisol, and urinary vanillylmandelic acid) was within normal limits. |
| Surgical Treatment | A robotic partial adrenalectomy was performed. Intraoperative frozen section suggested an angiomyolipoma. |
| Definitive Diagnosis | Final pathology confirmed sclerosing PEComa with characteristic immunohistochemical features. Diagnosis was validated by the Rare Tumor Network. |
| Postoperative Course | Recovery was uneventful. No complications occurred, and hormonal replacement therapy was not required. |
| Follow-up | Over a 13-year period (156 months), no local recurrence or distant metastasis was detected during regular clinical and radiological follow-up. |
| Author | Case N. | Age | Sex | Tuberous Sclerosis | Site | Size (cm) | Treatment | Follow-Up |
|---|---|---|---|---|---|---|---|---|
| Hornick et al. [7] | 1 | 43 | F | No | Retroperitoneum | 9 | Resection | NA |
| 2 | 36 | F | No | Abdominal wall | 8 | Resection | NA | |
| 3 | 46 | F | No | Retroperitoneum | 4.5 | Resection | 64 mo, no recurrence | |
| 4 | 50 | F | No | Retroperitoneum | 11.5 | Resection | 51 mo, no recurrence | |
| 5 | 51 | F | No | Retroperitoneum | 22 | Resection | 22 mo, no recurrence | |
| 6 | 50 | F | No | Pelvis | 13 | Resection, RT, and CH | 46 mo, metastasis (lung, liver, abdominal wall) | |
| 7 | 59 | F | No | Retroperitoneum | NA | Resection | 39 mo, no recurrence | |
| 8 | 53 | F | No | Retroperitoneum | 4.5 | Resection | 15 mo, died from unknown causes | |
| 9 | 34 | F | No | Uterus | 10 | Resection | 33 mo, no recurrence | |
| 10 | 73 | F | No | Retroperitoneum | 9 | Resection | 23 mo, no recurrence | |
| 11 | 47 | F | No | Retroperitoneum | 28 | Resection | 10 mo, no recurrence | |
| 12 | 49 | F | Yes | Retroperitoneum | 6.1 | Resection | NA | |
| 13 | 48 | F | No | Retroperitoneum | 19 | Partial resection | NA | |
| Matsuyama et al. [8] | 14 | 56 | F | No | Kidney | 2 | Resection | 10 mo, no recurrence |
| 15 | 44 | F | No | Retroperitoneum | 13 | Resection | NA | |
| Ramaiah et al. [9] | 16 | 63 | F | NA | Adnexa | 15 | Resection | 4 mo, died due to metastasis (lung, liver, lymph node) |
| Santi et al. [14] | 17 | 66 | F | No | Retroperitoneum | 8.5 | Resection | 24 mo, no recurrence |
| Valiathan et al. [15] | 18 | 50 | F | NA | Pararenal | 8 | Resection | NA |
| Yamada et al. [16] | 19 | 34 | F | No | Uterus | 5 | Resection | 12 mo, no recurrence |
| 20 | 51 | F | No | Uterus | 7 | Resection | 24 mo, no recurrence | |
| Leão et al. [17] | 21 | 51 | F | No | Pararenal | 5.9 | Resection | 48 mo, no recurrence |
| Lim et al. [18] | 22 | 59 | F | Yes | Uterus | 1.2 | Resection, CH | 15 mo, recurrence of synchronous carcinoma/sarcoma |
| Rekhi et al. [19] | 23 | 56 | F | NA | Retroperitoneum | 7 | Resection | NA |
| Surico et al. [20] | 24 | 53 | F | No | Adnexa | 10.6 | Resection | 10 mo, no recurrence |
| Zhao et al. [21] | 25 | 54 | F | No | Kidney | 16 | Resection | 7 mo, no recurrence |
| 26 | 65 | F | No | Pararenal | 7 | Resection | 4 mo, no recurrence | |
| Miyai et al. [22] | 27 | 51 | F | No | Kidney | 4 | Partial resection | 16 mo, no recurrence |
| To et al. [13] | 28 | 52 | F | NA | Retroperitoneum | 8.5 | Excision | 23 mo, no recurrence |
| Planelles et al. [23] | 29 | 40 | M | No | Kidney | 3 | Resection | NA |
| 30 | 57 | F | Yes | Kidney | 1 | Resection | 3 mo, no recurrence | |
| 31 | 46 | F | No | Adrenal | 9 | Resection | 4 mo, no recurrence | |
| 32 | 47 | M | No | Kidney | 2.3 | Resection | 10 mo, no recurrence | |
| 33 | 51 | M | No | Kidney | 3.3 | Resection | 18 mo, no recurrence | |
| 34 | 71 | F | No | Kidney | 2 | Resection | 3 mo, no recurrence | |
| Kim et al. [24] | 35 | 51 | M | NA | Lung | 1 | Wedge resection | NA |
| Jia et al. [10] | 36 | 52 | F | No | Retroperitoneum | 4 | Resection | 92 mo, no recurrence |
| Kundu et al. [12] | 37 | 29 | F | NA | Uterus | 21 | Resection | 12 mo, no recurrence |
| Galea et al. [25] | 38 | 52 | M | Yes | Testis | 3 | Resection | NA |
| Matkowskyj et al. [26] | 39 | 59 | F | No | Kidney | 1.8 | Resection | NA |
Disclaimer/Publisher’s Note: The statements, opinions and data contained in all publications are solely those of the individual author(s) and contributor(s) and not of MDPI and/or the editor(s). MDPI and/or the editor(s) disclaim responsibility for any injury to people or property resulting from any ideas, methods, instructions or products referred to in the content. |
© 2025 by the authors. Licensee MDPI, Basel, Switzerland. This article is an open access article distributed under the terms and conditions of the Creative Commons Attribution (CC BY) license (https://creativecommons.org/licenses/by/4.0/).
Share and Cite
Paladini, A.; La Mura, R.; Del Zingaro, M.; Lepri, L.; Vitale, A.; Pagnotta, J.; Mearini, M.; Massa, G.; Mearini, E.; Cochetti, G. Robotic Treatment of Adrenal Sclerosing PEComa: A Case Report with 13 Years of Follow-Up and a Literature Review. Appl. Sci. 2025, 15, 9161. https://doi.org/10.3390/app15169161
Paladini A, La Mura R, Del Zingaro M, Lepri L, Vitale A, Pagnotta J, Mearini M, Massa G, Mearini E, Cochetti G. Robotic Treatment of Adrenal Sclerosing PEComa: A Case Report with 13 Years of Follow-Up and a Literature Review. Applied Sciences. 2025; 15(16):9161. https://doi.org/10.3390/app15169161
Chicago/Turabian StylePaladini, Alessio, Raffaele La Mura, Michele Del Zingaro, Luca Lepri, Andrea Vitale, Jessica Pagnotta, Matteo Mearini, Guido Massa, Ettore Mearini, and Giovanni Cochetti. 2025. "Robotic Treatment of Adrenal Sclerosing PEComa: A Case Report with 13 Years of Follow-Up and a Literature Review" Applied Sciences 15, no. 16: 9161. https://doi.org/10.3390/app15169161
APA StylePaladini, A., La Mura, R., Del Zingaro, M., Lepri, L., Vitale, A., Pagnotta, J., Mearini, M., Massa, G., Mearini, E., & Cochetti, G. (2025). Robotic Treatment of Adrenal Sclerosing PEComa: A Case Report with 13 Years of Follow-Up and a Literature Review. Applied Sciences, 15(16), 9161. https://doi.org/10.3390/app15169161

