Next Article in Journal
An Integrated Risk Management Model for Performance Assessment of Airport Pavements: The Case of Istanbul Airport
Previous Article in Journal
Sintering with Sodium Carbonate and Leaching of Wolframite Cakes
 
 
Font Type:
Arial Georgia Verdana
Font Size:
Aa Aa Aa
Line Spacing:
Column Width:
Background:
Article

Radiological Study of the Normal and Anatomical Variants of the Celiac Trunk and Its Branches: Clinical Implications

by
Ali Abduwani
1,
Ilyas Al-Saadi
1,
Mohammed Al-Hajri
1,
Saleh Baawain
2,
Mahmood Salim Nasser Al Riyami
2,
Naseer Al Sidairi
3,
Al Khatab Abdullah Saud Isma’ili
3,
Sanjay Jaju
4 and
Srijit Das
1,*
1
Department of Human & Clinical Anatomy, College of Medicine & Health Sciences, Sultan Qaboos University, Muscat 123, Oman
2
Department of Radiology & Molecular Imaging, Sultan Qaboos University Hospital, Muscat 123, Oman
3
Oman Medical Speciality Board, Muscat 132, Oman
4
Department of Family Medicine & Public Health, College of Medicine & Health Sciences, Sultan Qaboos University, Muscat 123, Oman
*
Author to whom correspondence should be addressed.
Appl. Sci. 2024, 14(24), 12033; https://doi.org/10.3390/app142412033
Submission received: 29 November 2024 / Revised: 16 December 2024 / Accepted: 18 December 2024 / Published: 23 December 2024
(This article belongs to the Section Biomedical Engineering)

Abstract

The abdominal aorta enters the diaphragm at the level of the 12th thoracic vertebra and gives branches such as the celiac trunk (CT), superior mesenteric, and inferior mesenteric arteries. The main aim of the present research study was to observe the CT with regard to (i) variations in the dimensions among different age groups compared to gender, (ii) the vertebral level of origin, and (iii) the variation in the branching pattern. This cross-sectional retrospective study was performed on 116 subjects (n = 91 males, n = 25 females) over one year. The CT was interpreted by using contrast-enhanced computed tomography angiography. The results were assessed using parametric and non-parametric statistical tests. The length and diameter between gender and the three age groups (i.e., 29 years and below, 30–39 years, and more than 40 years) were compared and a p-value of less than or equal to 0.05 was considered significant. There was a significant difference in the length (p = 0.016) and diameter of the CT (p = 0.05) among males and females, respectively. Moreover, there was a significant difference in the length (p = 0.038) and diameter (p = 0.013) of the CT among the three age groups. Individuals aged 30–39 years had the highest mean for the length of the CT, while patients aged 29 years and younger had the highest diameter. The most common level for CT origin was at the vertebral level of the 12th thoracic vertebra (73.3%). Anatomical knowledge of the CT is important for diagnostic imaging, organ transplantations, and surgical and laparoscopic interventions.

1. Introduction

The celiac trunk (CT), or celiac artery, is the first major unpaired branch of the abdominal aorta (AA). It arises from the AA ventrally just after it enters the abdomen from the aortic hiatus of the diaphragm at the level of the 12th thoracic vertebra and has a very short course. It is surrounded by the celiac plexus and is situated dorsal to the lesser sac [1].
The CT supplies blood to the organs in the abdomen that develop from the foregut. These organs include the distal part of the esophagus, stomach, proximal part of the duodenum, liver, upper part of the head, body and tail of the pancreas, gallbladder, spleen [2], lesser omentum, greater omentum [3], and extrahepatic biliary tracts [4]. The classical branching pattern of the CT is the tripus Halleri, which was described by Haller in 1765. The classical CT is when it trifurcates into the splenic artery (SA), left gastric artery (LGA), and common hepatic artery (CHA). The SA, the largest of the three branches, supplies the spleen. The SA gives branches to other parts of the gastrointestinal tract (GIT) and they include pancreatic branches which supply the body and tail of the pancreas, short gastric artery which supplies the fundus of the stomach, and the left gastroepiploic artery which supplies the upper part of the greater curvature of the stomach. The LGA is related to the proximal part of the lesser curvature of the stomach and supplies part of the lesser curvature and the distal part of the esophagus. Also, it anastomoses with the right gastric artery that arises from the CHA. The CHA gives rise to the proper hepatic artery, gastroduodenal artery, and right gastric artery. The proper hepatic artery divides into the left hepatic artery and right hepatic artery, which gives rise to the cystic artery. The gastroduodenal duodenal artery gives rise to the superior pancreatoduodenal artery (SPDA) and right gastroepiploic artery. The SPDA supplies the upper part of the pancreatic head and the proximal part of the duodenum which is derived from the foregut. It also anastomoses with the inferior pancreaticoduodenal artery, a direct branch of the superior mesenteric artery, which supplies the lower part of the pancreatic head and the part of the duodenum distal to the opening of the major duodenal papilla (that is derived from the midgut). The right gastroepiploic artery supplies the lower part of the greater curvature of the stomach. The right gastric artery supplies the lower part of the lesser curvature of the stomach.
Knowledge of the anatomy and variations of the artery is of great importance, especially when performing gastric, hepato-biliary, pancreatic, and splenic surgeries that might require the ligation of one of its branches. Hence, sound knowledge of the anatomy of the CT is important for surgeons [5].
Previous research has described variations in the CT among individuals and populations. Many of the previously conducted studies were carried out on cadavers. The present study aimed to investigate the variations of the CT by assessing the variations in the dimensions of the artery, the vertebral level at which it originates, and the branching pattern that the patient demonstrates.

2. Materials and Methods

This study was performed after obtaining ethical approval from the Institutional Medical Research Ethical Committee, College of Medicine, SQU (REF. No. SQU-EC/070\2024 MREC # 3271). This study was a retrospective cross-sectional study that included the contrast-enhanced computed tomography abdomen of 116 patients (n = 91 males, n = 25 females) who attended Sultan Qaboos University Hospital (SQUH), Radiology Department, from 1 January 2023 to 31 December 2023. Since it was a retrospective study within a particular timeframe, the number of males was higher than the number of females.
The interpretation of the radiographs was carried out by two radiologists. We subdivided the subjects into three age groups, i.e., less than 29 years (19–29), 29–39 years, and more than 40 years (40–50).

2.1. Inclusion Criteria

All the patients aged between 19 and 50 years and those who attended the Radiology Department in SQUH in the mentioned time frame were included in this study.

2.2. Exclusion Criteria

Any patients who were younger than 19 or older than 50 years were excluded. Moreover, those patients who suffered from any pathology that was known to change or affect the dimensions of the blood vessels (like aneurysm or atherosclerosis) or suffered any form of abdominal trauma in cases of road traffic accidents were excluded. Individuals with a history of abdominal surgery were also excluded.

2.3. Radiological Investigations:

The computed tomography angiography was carried out using the two CT machines that were available in the Radiology Department, SQUH. The first computed tomography machine was a 256-slice GE computed tomography machine. The second one was the Force Siemens computed tomography machine with 192 × 2 slices.

2.4. Statistical Analysis

The interpretation was carried out independently by two trained radiologists. They measured the dimensions of the CT, the vertebral level at which it originated, and the branching pattern.

2.5. Dimensions

The length of the CT was calculated from its point of origin from the abdominal aorta to the point at which it gave rise to the first branch. The diameter was calculated from the point just distal to the origin of the CT.

2.6. Vertebral Level

The lumbar vertebrae were identified using the anatomical landmark of the highest point of the iliac crest. From there, the rest of the vertebrae were identified, and the vertebral level at which the CT originated was recorded.

2.7. Branching Pattern

The branching pattern of the CT was observed and recorded in a spreadsheet.

2.8. Data Analysis

The analysis was carried out after collecting the data in a spreadsheet. SPSS (version 26) was used for the analysis. First, a one-sample Kolmogorov–Smirnov (K-S) test was performed for height and diameter to determine if the variable followed a normal distribution or not. The diameter was found to be normally distributed (p = 0.200), while the height was not normally distributed (p = 0.025). To compare the difference between the mean diameter among genders, an unpaired t-test was performed to check if the difference in the mean was statistically significant. In order to check whether the difference in length of the CT is statistically significant, the Mann–Whitney U test was performed. To check whether there was statistical significance in the difference between the diameter of the CT among three age groups (i.e., 29 years and below, 30–39 years, and more than 40 years) one-way ANOVA was used. To compare the length of the CT among these age groups, the Kruskal–Wallis test was performed.

3. Results

The mean length of the CT in the population of 116 patients (91 males and 25 females) was 20.67 mm (SD = 5.05 mm, range: 11.00–36.00 mm). The mean length in males was 20.75 mm (SD = 4.78 mm, range: 11.00–35.00 mm), while in females, the mean length was 18.51 mm (SD = 5.69 mm, range: 11.00–36.00 mm) and the difference was statistically significant (p value = 0.016). Figure 1 shows the calculation of the length of the CT.
The mean diameter was 7.06 mm (SD = 1.33 mm, range: 3.00–10.30 mm). The mean diameter in males and females was 7.19 mm (SD = 1.38 mm, range: 3.00–10.30 mm) and 6.60 mm (SD = 1.05 mm, range: 4.60–8.90 mm), respectively. The difference in diameter between males and females was statistically significant (p = 0.05). Figure 2 shows the calculated diameter of the CT.
The mean length in patients aged 29 years or less (n = 52 patients) was 19.64 mm (SD = 3.75 mm, range 11.00–27.43 mm). In patients aged between 30 and 39 years (n = 40 patients), the mean length of the CT was 21.97 mm (SD = 5.82 mm, range: 11.00–35.00 mm), while in patients aged 40 years and older (n = 24 patients), the mean length was 18.79 mm (SD = 5.56 mm, range: 11.00–36.00 mm). The difference was found to be statistically significant (p = 0.038)
The mean diameter in patients aged 29 years or less was 7.35 mm (SD = 1.22 mm, range: 4.60–9.78 mm). In patients aged 30–39, the mean diameter of the CT was 7.10 mm (SD = 1.48 mm, range: 3.00–10.30 mm), while in patients aged 40 years and above, the mean diameter was 6.39 mm (SD = 1.11, range: 4.30–8.90 mm). There was a significant difference in the diameter between the three age groups (p = 0.013).
In 85 patients (73.3%), the CT originated at the level of the T12 vertebra. In 25 patients (21.6%), the CT took origin at the level of the L1 vertebra. Figure 3 shows a 3D image of the CT originating at the level of L1. In the other six patients (5.2%), the CT originated from the abdominal aorta at the level of T11. Figure 4 shows the CT originating at the level of T11. The levels at which CT originated in males and females are shown in Table 1.
The CT normally trifurcates into the left gastric, splenic, and common hepatic arteries. Figure 5 shows the 3D construction of the normal branching of the CT. The CT showed classical trifurcation in 112 (96.60%) patients, where it divided into the splenic artery, left gastric artery, and the common hepatic artery. In the other four patients, bifurcation of the CT was observed. In two (1.70%) out of the four patients (one male and one female), the CT gave rise to the splenic and left gastric artery (gastrosplenic trunk; Uflacker’s type V), while the common hepatic artery took origin from the superior mesenteric artery. Figure 6 shows a common hepatic artery originating from the superior mesenteric artery. In the other two patients (1.70%) (one male and one female), the CT gave rise to the splenic and common hepatic artery (hepatosplenic trunk; Uflacker’s type II), while the left gastric artery arose as a direct branch from the abdominal aorta. Figure 7 shows the left gastric originating from the abdominal aorta, while the CT bifurcates into the SA and common hepatic artery.

4. Discussion

Anatomical knowledge of the variation and anatomy of the CT is of great importance, as the CT supplies abdominal organs that are involved in abdominal surgeries. A major example of that is cholecystectomy, which is considered one of the most common abdominal surgeries. The complications in the surgery even though they are rare are mainly attributed to anatomical variation. These anatomical variations could be vascular (due to the presence of an accessory cystic artery) or variations in the anatomy of the cystic duct. Other abdominal surgeries like liver transplants, gastrectomy, and Whipple procedures also require precise knowledge of the anatomy of the CT and its branches, along with the possible variations [6].
Due to the folding of the embryo, the paired dorsal aorta will fuse to form a single aorta. This aorta will give to three sets of branches: (i) ventral branches that supply the gut and gut derivatives; (ii) lateral branches that supply the retroperitoneal structures, such as the kidneys, suprarenal glands, and gonads; and (iii) intersegmental arteries, which penetrate the somites and contribute to the formation of the arteries of the head, neck, body wall, and vertebral column. The blood vessels that arise from the yolk sac differentiate from the vitelline vessels. As the embryo folds, the two vitelline arteries will coalesce into several arteries that will anastomose with the future GIT and the ventral surface of the dorsal aorta [7]. Eventually, these arteries will lose their connection to the yolk sac and become the arteries that arise from the dorsal aorta and supply blood to the GIT [7]. Below the diaphragm, three major arteries arise, each supplying a part of the gut. The most cranial branch is the CT, and it supplies the foregut. Inferior to it is the second branch, the superior mesenteric artery, which supplies the midgut. The most caudal branch is the inferior mesenteric artery, which supplies the hindgut.
The CT initially joins the abdominal aorta at the level of the 7th cervical vertebra. This connection will descend eventually until it reaches the 12th thoracic vertebra. After its descent, the CT will supply the part of the GIT from the distal esophagus to the proximal part of the duodenum (up to the major duodenal papilla). Moreover, it will supply the other organs that are derived from the foregut, like the liver, which arises from the hepatic bud, and the pancreas, which arises from two outgrowths from the endoderm lining the duodenum, gallbladder, and spleen [7].
The difference in the branching patterns of the CT was hypothesized by Julius Tandler in 1904. He described it originally as there being a longitudinal anastomosis between the four roots of the vitelline artery. The two central roots will regress so the longitudinal artery will connect the first root to the fourth root. The three branches of the CT, i.e., the SA, LGA, and CHA, arise from the longitudinal anastomosis and are separated from the fourth root (future SMA) below the last of the three branches. If the separation takes place at a higher level, one of the three branches will take origin from the superior mesenteric artery (giving rise to the hepatogastric trunk, gastrosplenic trunk, and hepatosplenic trunk). Furthermore, if the first root or the fourth root (which normally persists) regresses, this will result in the formation of the celiacomesenteric trunk [8].
The difference in the length and diameter of the CT between genders has been a subject of research. A study was carried out by Hekimoglu et al. [9] that included the contrast-enhanced CT angiography of 320 patients (n = 165 males, 139 females) in 2021, and it found that the mean length of the CT in the whole study group was 28.11 mm. The mean length in males was 28.93 mm, while in females, it was 27.13 mm. They reported the difference to be significant. The same study reported that the mean diameter of the CT in males was 8.24 mm, while in females, the diameter of the CT was 7.83 mm. The length and diameter of the CT in the present study was compared to earlier findings by Hekimoglu et al. (Table 2).
In both studies, the difference in the length and diameter of the CT among males and females was found to be statistically significant. Males tend to have longer and wider CTs compared to females. An extant search of the literature revealed no particular reason for the difference in males compared to females.
The impact of age on vascular diameter has also been subjected to research. Although most studies focused on the cerebral [10], carotid, coronary [11], and other thoracic arteries, an earlier study carried out on the impact of age on the abdominal aorta found that the intima of the abdominal aorta thickens as age advances [12]. It is well known that cardiovascular and cerebrovascular diseases are among the major causes of death in the world. Such diseases tend to be multifactorial, with age being a major risk factor [13]. Many of the body functions are either lost or impaired with age, like hepatic regeneration [14] and urine control [15]. Among the changes that take place with age is vascular remodelling. It has been described that the changes that occur to the ageing arteries could be classified into ‘inward’ or ‘outward’ with respect to the lumen and “hypotrophic”, “eutrophic”, and “hypertrophic” in relation to the vessel wall thinning, remaining the same, or thickening, respectively. In the elastic arteries, the change includes a modest increase in the diameter of the vessel accompanied by a degree of thickening of the vessel wall resulting in outward hypertrophic remodelling. In muscular arteries, vascular ageing is often manifested by eutrophic or hypertrophic remodelling [13].
According to Wilkinson et al. (2018), the age-related changes in the muscular arteries are less when compared to the changes that occur to the elastic arteries (like the aorta and carotids) [13]. According to this study, age-related changes in the muscular arteries include an increase in the diameter of the lumen in both genders, though it is more prominent in females [13]. Also, the wall thickness and the intima-media thickness are more in aged subjects. However, the stiffness of the arteries remains unchanged (unlike the aorta or carotids), which suggests the hypertrophy of the more compliant elements of the VMSC rather than collagen. Given that, the distensibility and compliance of muscular arteries tend to remain unchanged, unlike those of the aorta that decline with time. This indicates that the mechanical properties of the muscular arteries contribute very little, if not at all, to the age-related widening of the pulse pressure. It is important to note that the endothelial function of the muscular arteries deteriorates with age, which can contribute to the age-related widening of the pulse pressure.
The mean diameter of the CT showed a progressive decline as the age groups increased. However, after performing the statistical analysis, no correlation was found between the diameter of the CT and age.
A study carried out in Kocaeli, Turkey, in 2024 included the MRI angiography of 185 patients (n = 108 males, 77 females) and found that the CT took origin at the level of the T11-T12 intervertebral disc in 3 (1.60%) cases, T12 vertebra in 67 cases (36.20%), the T12-L1 intervertebral disc in 44 cases (23.80%), L1 vertebra in 68 cases (36.80%), and the L1-L2 intervertebral disc in 3 cases (1.60%) [16].
Another study carried out in Romania in 2021 included the CT scan of 107 patients (n = 68 males and 39 females) and found that the CT originated at the level of T12 in 37 patients (34.57%), at the level of the T12/L1 intervertebral disc in 21 patients (19.63%), and at the level of L1 vertebra in 49 (45.79%) of patients [17].
A study conducted at the University of Dicle (2021) that included the MDCT angiography of 238 patients (n = 137 males, 101 females) found that in seven (2.94%) cases, the CT originated in the T11/T12 intervertebral disc. The CT originated at the level of the T12 vertebra in 121 (50.85%) subjects. Also, in 57 (23.95%) patients, the CT originated from the T12/L1 intervertebral disc, and in 52 (21.84%) cases, the CT originated at the level of the L1 body. In one (0.42%) patient, the CT originated in the L1/L2 intervertebral disc [18]. A comparison of the vertebral origin of the CT among four studies is shown in Figure 8. The vertebral level at which the CT originated among gender in four studies is shown in Table 3.
In the literature, many branching patterns of the CT have been described. There has been evidence of bifurcation, trifurcation, quadrifurcation [19], and pentafurcation [20] of the CT [21]. There is also a published report on a hexafurcated CT [22].
Moreover, many classifications regarding the branching pattern of the CT have been used in order to describe the patterns observed in different studies. Perhaps the most common classification is Uflacker’s classification, which has eight types named Type I–Type VIII: Type (I) classic CT (tripus Helleri), (II) hepatosplenic trunk, (III) hepatogastric trunk, (IV) hepatosplenic–mesenteric trunk, (V) gastrosplenic trunk, (VI) celiac–mesenteric trunk, (VII) celiac-colic, and (VIII) no CT [16]. Many other classifications have been described in the literature, like Adachi’s classification, which is divided into six types [23].
This study found that the classical trifurcation of the CT was the most common branching pattern. The incidence of the gastrosplenic and hepatosplenic trunks was similar even though in the literature, some studies found that the gastrosplenic was more common [24], while others reported that the hepatosplenic was more common [25].
A study reported by Arifuzzaman et al. (2017) that included the multi-detector CT of 110 patients (n = 64 males and 46 females) reported that the incidence of classic CT branching, hepatosplenic, and gastrosplenic trunks was 91, 1, and 9, respectively, with gastrosplenic being the most common variation reported in the study [24]. Ugurel et al. reported that in their study conducted in 2010 that included the MDCT angiographs of 100 patients, they found that 89 patients showed the classical branching of the CT, the hepatosplenic trunk was present in 3 patients, while the gastrosplenic trunk was present in 4 patients [26]. The gastrosplenic trunk was the most common variation reported in that study. Moreover, in one patient, the SA and superior mesenteric artery shared a common origin. It was referred to as the ‘splenomesenteric trunk’. The left gastric and common hepatic originated from another trunk [26]. Malviya et al. (2021) [5] reported in their study that included CT scans of 110 patients that only 34 patients exerted the classical trifurcation of the CT. The hepatosplenic trunk was found in 66 patients, and in 7 patients, the gastrosplenic trunk was found. In two of the patients that had the gastrosplenic trunk, the common hepatic was reported to take origin from the superior mesenteric artery, while in the other five, the common hepatic was observed to be a direct branch of the abdominal aorta [5]. In the current study, in the two cases in which the gastrosplenic trunk was present, the common hepatic artery took origin from the superior mesenteric artery. A comparison of the branching pattern of CT found in four studies is shown in Table 4.
Abnormal variations in the blood vessels have several important clinical implications. In general, and oncological, surgeries, it may result in intraoperative complications or may even require modifications in the surgical technique [6]. Several complications can take place when surgeons need to perform a pancreaticoduodenectomy [27], and there is a report of a rare anomaly of the CT and HA that complicated pancreaticoduodenectomy [28]. The authors of the same study stressed the recognition of the variations pre- and postoperatively in order to check the adverse outcomes of complex hepatopancreatobiliary surgical procedures [28].
Interestingly, the distance of the CT from other ventral branches may vary according to gender [29]. Also, the diameter measurement with regard to the plane and position of the CT has much significance as values may alter [29]. Anatomical knowledge of the variations in the CT is important for foregut perfusion and essential for surgical procedures such as pancreaticoduodenectomy, reconstruction of the arteries, mesenteric revascularization, and transarterial chemoembolization [30].
A three-dimensional reconstruction of the contrast enhances the CT and is useful in post-mortem studies [31]. In the present study, we presented a 3D reconstruction for the better anatomic evaluation of the arteries.

Limitations

We admit that the present study had more males than females. The male/female ratio was 3.64:1. The subjects were chosen based on the inclusion/exclusion criteria and after applying the criteria, 116 patients were eligible to be included (91 males and 25 females). Also, due to the retrospective nature of this study, the researchers had limited data available in the Hospital Information System. Some of the variables that could have contributed to the difference in the length and diameter of the CT like the height, weight, and body surface area were not recorded and it would be interesting to include such variables in the future.

5. Conclusions

The variations in the anatomy of the CT are a common finding that has been subject to research. Incidental findings have been detected during radiological investigations and cadaveric dissections. Knowledge of the anatomy of the CT and its branches; the possible variations in the length, diameter, and vertebral level at which it originates; and the branching pattern is of great importance in surgical cases. Radiological interventions, i.e., angiography, computed tomography, and magnetic resonance, require precise knowledge of the artery and are important in surgeries following trauma, treating aneurysms, liver transplantation, laparoscopic surgeries, and helping in endovascular interventions. Adequate knowledge of the normal and abnormal variants of the CT may help in reducing morbidity and mortality. Inadvertent chemoembolization of any anomalous artery or its branches may result in a fatal outcome. The results of the present study may benefit all radiologists, surgeons, and clinicians.

Author Contributions

Conceptualization, S.D., A.A., I.A.-S. and M.A.-H.; methodology, S.D., A.A., I.A.-S., M.A.-H., S.B. and M.S.N.A.R.; validation, M.S.N.A.R., N.A.S. and A.K.A.S.I.; formal analysis, S.D., A.A., I.A.-S., M.A.-H. and S.J.; investigation, S.D., A.A., I.A.-S., M.A.-H., M.A.-H., N.A.S. and A.K.A.S.I.; resources, S.B. and M.A.-H.; data curation, S.D., A.A., I.A.-S., M.A.-H. and S.J.; writing—A.A., I.A.-S., M.A.-H. and S.D.; supervision, S.D.; project administration, S.D.; funding acquisition, S.D., A.A., I.A.-S. and S.D. All authors have read and agreed to the published version of the manuscript.

Funding

This study was supported by Sultan Qaboos University (grant number: UF/MED/ANAT/24/02).

Institutional Review Board Statement

The study protocol was approved by the Institutional Review Board (or Ethics Committee) of Sultan Qaboos University (REF. No. SQU-EC/070\2024 MREC # 3271, 28 April 2024).

Informed Consent Statement

The patient consent was waived because the study was a retrospective analysis of anatomical variations of the celiac trunk in computed tomography angiography and reported the anonymous data without revealing any identification details of the patients.

Data Availability Statement

Since this study involves data from SQUH patients, its availability was restricted. The raw data are available upon request from the corresponding author.

Acknowledgments

The authors acknowledge the grant received from the university for conducting this study.

Conflicts of Interest

The authors declare no conflicts of interest.

References

  1. Wineski, L.E. Snell’s Clinical Anatomy by Regions, 10th ed.; LWW: Philadelphia, PA, USA, 2018; ISBN 1-4963-4564-9. [Google Scholar]
  2. Ahluwalia, N.; Nassereddin, A.; Arbor, T.C.; Futterman, B. Anatomy, Abdomen and Pelvis: Celiac Trunk. In StatPearls; StatPearls Publishing: Treasure Island, FL, USA, 2024. [Google Scholar]
  3. Ghahremani, G.G. CT and MR Imaging of the Greater Omentum: Pictorial Essay. Clin. Imaging 2023, 101, 22–31. [Google Scholar] [CrossRef] [PubMed]
  4. Vellar, I.D. The Blood Supply of the Biliary Ductal System and Its Relevance to Vasculobiliary Injuries Following Cholecystectomy. Aust. N. Z. J. Surg. 1999, 69, 816–820. [Google Scholar] [CrossRef]
  5. Malviya, K.K.; Verma, A.; Nayak, A.K.; Mishra, A.; More, R.S. Unraveling Variations in Celiac Trunk and Hepatic Artery by CT Angiography to Aid in Surgeries of Upper Abdominal Region. Diagnostics 2021, 11, 2262. [Google Scholar] [CrossRef] [PubMed]
  6. Kowalczyk, K.A.; Majewski, A. Analysis of Surgical Errors Associated with Anatomical Variations Clinically Relevant in General Surgery. Review of the Literature. Transl. Res. Anat. 2021, 23, 100107. [Google Scholar] [CrossRef]
  7. Schoenwolf, G.C.; Bleyl, S.B.; Brauer, P.R.; Francis-West, P.H. Larsen’s Human Embryology, 6th ed.Elsevier: Philadelphia, PA, USA, 2021; ISBN 978-0-323-69604-3. [Google Scholar]
  8. Çavdar, S.; Şehirli, Ü.; Pekin, B. Celiacomesenteric Trunk. Clin. Anat. 1997, 10, 231–234. [Google Scholar] [CrossRef]
  9. Hekimoglu, A.; Ergun, O. Evaluation of the Morphology and Angles of Celiac Trunk. Eur. J. Anat. 2021, 25, 455–461. [Google Scholar]
  10. Mandalà, M.; Cipolla, M.J. Aging-Related Structural and Functional Changes in Cerebral Arteries: Caloric Restriction (CR) Intervention. J. Vasc. Med. Surg. 2021, 9, 1000002. [Google Scholar]
  11. Deopujari, R.; Dixit, A. The Study of Age Related Changes in Coronary Arteries and Its Relevance to the Atherosclerosis. J. Anat. Soc. India 2010, 59, 192–196. [Google Scholar] [CrossRef]
  12. Åstrand, H.; Rydén-Ahlgren, Å.; Sandgren, T.; Länne, T. Age-Related Increase in Wall Stress of the Human Abdominal Aorta: An in Vivo Study. J. Vasc. Surg. 2005, 42, 926–931. [Google Scholar] [CrossRef] [PubMed][Green Version]
  13. Wilkinson, D.J.; Piasecki, M.; Atherton, P.J. The Age-Related Loss of Skeletal Muscle Mass and Function: Measurement and Physiology of Muscle Fibre Atrophy and Muscle Fibre Loss in Humans. Ageing Res. Rev. 2018, 47, 123–132. [Google Scholar] [CrossRef]
  14. Schmucker, D.L.; Sanchez, H. Liver Regeneration and Aging: A Current Perspective. Curr. Gerontol. Geriatr. Res. 2011, 2011, 526379. [Google Scholar] [CrossRef] [PubMed]
  15. Goepel, M.; Kirschner-Hermanns, R.; Welz-Barth, A.; Steinwachs, K.-C.; Rübben, H. Urinary Incontinence in the Elderly: Part 3 of a Series of Articles on Incontinence. Dtsch. Arzteblatt Int. 2010, 107, 531–536. [Google Scholar] [CrossRef]
  16. Keskin, N.; Bamac, B.; Cakir, O.; Ciftci, E.; Colak, T.; Barut, C. Evaluation of the Celiac Trunk and Its Branching Pattern by Magnetic Resonance Angiography. Ann. Anat.-Anat. Anz. 2024, 253, 152222. [Google Scholar] [CrossRef] [PubMed]
  17. Rusu, M.C.; Jianu, A.M.; Manta, B.A.; Hostiuc, S. Aortic Origins of the Celiac Trunk and Superior Mesenteric Artery. Diagnostics 2021, 11, 1111. [Google Scholar] [CrossRef] [PubMed]
  18. Ekingen, A.; Hatipoğlu, E.S.; Hamidi, C. Distance Measurements and Origin Levels of the Coeliac Trunk, Superior Mesenteric Artery, and Inferior Mesenteric Artery by Multiple-Detector Computed Tomography Angiography. Anat. Sci. Int. 2021, 96, 132–141. [Google Scholar] [CrossRef]
  19. Rusu, M.C.; Jianu, A.M.; Dincă, D.; Manta, B.A. Quadrifurcation Variants of the Celiac Trunk. Ann. Vasc. Surg. 2021, 73, 303–313. [Google Scholar] [CrossRef] [PubMed]
  20. Abelleyra Lastoria, D.A.; Haiser, A.; Opoka, V.; Parry, D. A New Arterial Variation Involving a Pentafurcated Coeliac Trunk. Cureus 2022, 14, e26508. [Google Scholar] [CrossRef] [PubMed]
  21. Pinal-Garcia, D.F.; Nuno-Guzman, C.M.; Gonzalez-Gonzalez, M.E.; Ibarra-Hurtado, T.R. The Celiac Trunk and Its Anatomical Variations: A Cadaveric Study. J. Clin. Med. Res. 2018, 10, 321–329. [Google Scholar] [CrossRef] [PubMed]
  22. Manta, B.A.; Rusu, M.C.; Jianu, A.M.; Ilie, A.C. Hexafurcated Coeliac Trunks, Trifurcated Common Hepatic Artery, and a New Variant of the Arc of Bühler. Folia Morphol. 2022, 81, 365–371. [Google Scholar] [CrossRef]
  23. Juszczak, A.; Mazurek, A.; Walocha, J.A.; Pasternak, A. Coeliac Trunk and Its Anatomic Variations: A Cadaveric Study. Folia Morphol. 2021, 80, 114–121. [Google Scholar] [CrossRef]
  24. Arifuzzaman, M.; Nasim Naqvi, S.S.; Adel, H.; Adil, S.O.; Rasool, M.; Hussain, M. Anatomical Variants Of Celiac Trunk, Hepatic And Renal Arteries In A Population Of Developing Country Using Multidetector Computed Tomography Angiography. J. Ayub Med. Coll. Abbottabad JAMC 2017, 29, 450–454. [Google Scholar] [PubMed]
  25. Iezzi, R.; Cotroneo, A.R.; Giancristofaro, D.; Santoro, M.; Storto, M.L. Multidetector-Row CT Angiographic Imaging of the Celiac Trunk: Anatomy and Normal Variants. Surg. Radiol. Anat. 2008, 30, 303–310. [Google Scholar] [CrossRef] [PubMed]
  26. Ugurel, M.S.; Battal, B.; Bozlar, U.; Nural, M.S.; Tasar, M.; Ors, F.; Saglam, M.; Karademir, I. Anatomical Variations of Hepatic Arterial System, Coeliac Trunk and Renal Arteries: An Analysis with Multidetector CT Angiography. Br. J. Radiol. 2010, 83, 661–667. [Google Scholar] [CrossRef] [PubMed]
  27. Garcia, L.M.; Hubbard, D.A.; Mebane, N.B.; Nguyen, S.M.; Ozguc, F.M.; Menegaz, R.A. Novel Variant of Hepatic and Foregut Vasculature. Transl. Res. Anat. 2021, 24, 100135. [Google Scholar] [CrossRef]
  28. Ye, Z.; Ye, S.; Zhou, D.; Zheng, S.; Wang, W. A Rare Variation of Celiac Trunk and Hepatic Artery Complicating Pancreaticoduodenectomy: A Case Report and Literature Review. Medicine 2017, 96, e8969. [Google Scholar] [CrossRef] [PubMed]
  29. Punja, R.; Punja, D. Exploration of the Coeliac Trunk for Its Morphometry and Positional Relationships Using Cadaveric and Radiological Methods. Transl. Res. Anat. 2021, 24, 100116. [Google Scholar] [CrossRef]
  30. Shacker, M.; Rybachok, A.; Paul, B.R.; Cevallos, M. Clinical Implications of the Hepatomesenteric Trunk–Case Report and Literature Review. Transl. Res. Anat. 2025, 38, 100380. [Google Scholar] [CrossRef]
  31. Batko, J.; Chmiel, R.; Juszczak, A.; Walocha, J.; Moskała, A.; Bonczar, M.; Pasternak, A.; Woźniak, K. The Evaluation of Vasculature in Post-Mortem Angio-Computed Tomography for Anatomy Research Purposes: Method Description Based on Celiac Trunk Analysis. Folia Morphol. 2024, 83, 343–347. [Google Scholar] [CrossRef]
Figure 1. A computed tomography scan shows the calculated length of the CT.
Figure 1. A computed tomography scan shows the calculated length of the CT.
Applsci 14 12033 g001
Figure 2. A computed tomography scan shows the calculated diameter of the CT.
Figure 2. A computed tomography scan shows the calculated diameter of the CT.
Applsci 14 12033 g002
Figure 3. Three-dimensional reconstruction showing the CT originating at the level of L1. Superior mesenteric artery (SMA), celiac trunk (CT), and abdominal aorta (AA).
Figure 3. Three-dimensional reconstruction showing the CT originating at the level of L1. Superior mesenteric artery (SMA), celiac trunk (CT), and abdominal aorta (AA).
Applsci 14 12033 g003
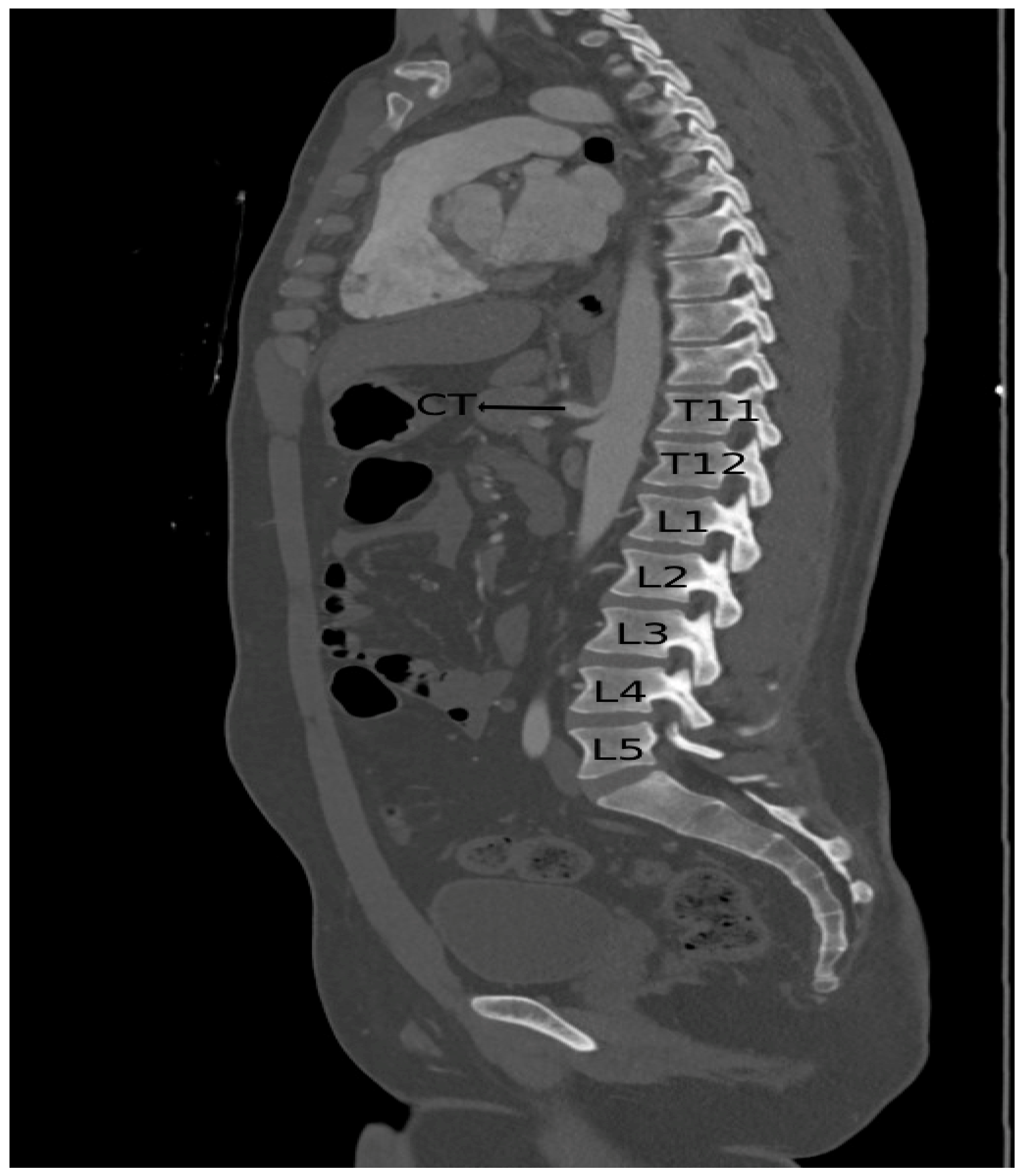
Figure 4. A computed tomography scan shows CT (celiac trunk) originating at the level of the T11 vertebra in one of the patients.
Figure 4. A computed tomography scan shows CT (celiac trunk) originating at the level of the T11 vertebra in one of the patients.
Applsci 14 12033 g004
Figure 5. Three-dimensional reconstructions demonstrating the normal trifurcation of the CT into the left gastric artery (LGA), splenic artery (SA), and common hepatic artery (CHA).
Figure 5. Three-dimensional reconstructions demonstrating the normal trifurcation of the CT into the left gastric artery (LGA), splenic artery (SA), and common hepatic artery (CHA).
Applsci 14 12033 g005
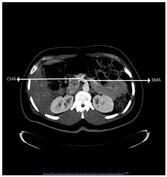
Figure 6. A computed tomography scan showing common hepatic artery (CHA) taking origin from the superior mesenteric artery (SMA).
Figure 6. A computed tomography scan showing common hepatic artery (CHA) taking origin from the superior mesenteric artery (SMA).
Applsci 14 12033 g006
Figure 7. A computed tomography scan of a patient in sagittal and axial view. In the sagittal view, it is shown that the left gastric artery (LGA) takes direct origin from the abdominal aorta. In the axial view, it is shown that the celiac trunk (CT) branches into the splenic artery (SA) and the common hepatic artery (CHA) branches into the superior mesenteric artery (SMA).
Figure 7. A computed tomography scan of a patient in sagittal and axial view. In the sagittal view, it is shown that the left gastric artery (LGA) takes direct origin from the abdominal aorta. In the axial view, it is shown that the celiac trunk (CT) branches into the splenic artery (SA) and the common hepatic artery (CHA) branches into the superior mesenteric artery (SMA).
Applsci 14 12033 g007
Figure 8. Findings of four studies on the level at which the CT originates (IV disc = intervertebral disc) [16,17,18].
Figure 8. Findings of four studies on the level at which the CT originates (IV disc = intervertebral disc) [16,17,18].
Applsci 14 12033 g008
Table 1. The vertebral level at which the CT originated in males and females.
Table 1. The vertebral level at which the CT originated in males and females.
T11T12L1Total
Males4 (4.4%)65 (71.4%)22 (24.2%)91 (100%)
Females2 (8.0%)20 (80.0%)3 (12.0%)25 (100%)
Total6 (5.2%)85 (73.3%)25 (21.6%)116 (100%)
Table 2. Comparison of the mean length and diameter of the CT in the current study with the findings of Hekimoglu et al. [9] (in mm).
Table 2. Comparison of the mean length and diameter of the CT in the current study with the findings of Hekimoglu et al. [9] (in mm).
MalesFemales
Hekimoglu et al. (2021) [9]Length28.9327.11
Diameter8.247.83
Current studyLength20.7518.51
Diameter7.196.60
Table 3. The vertebral level at which the CT originates as found in 4 studies with respect to gender.
Table 3. The vertebral level at which the CT originates as found in 4 studies with respect to gender.
StudyGenderT11T11/T12T12T12/L1L1L1/L2Total
Keskin et al. (2024) [16]Male--34 (31.50%)28 (25.90%)45 (41.70%)1 (0.90%)108 (100%)
Female-3 (3.90%)33 (42.90%)16 (20.80%)23 (29.90%)2 (2.60%)77 (100%)
Rusu et al.
(2021) [17]
Male--23 (33.81%)10 (14.70%) 35 (51.46%)-68 (100%)
Female--14 (35.88%)11 (28.20%)14 (35.89%)-39 (100%)
Ekingen et al. (2021) [18]Male-2 (1.46%)58 (42.34%)35 (25.55%)41 (29.93%)1 (0.73%)137 (100%)
Female-5 (4.95%)63 (62.37%)22 (21.78%)11 (10.89%)-101 (100%)
Present studyMale4 (4.40%)-65 (71.40%)-22 (24.20%)-91 (100%)
Female2 (8.00%)-20 (80.00%)-3 (12.00%)-25 (100%)
Table 4. The branching pattern of the CT as found in four studies (% in the study population).
Table 4. The branching pattern of the CT as found in four studies (% in the study population).
Classic CTHepatosplenic TrunkHepatogastric TrunkHepatosplenomesenteric TrunkGastrosplenic TrunkCeliacomesenteric TrunkNo CT
Arifuzzaman et al. (2017) [24]97 (88.2%)1 (0.9%)2 (1.8%)1 (0.9%)9 (8.2%)-
Ugurel et al. (2010) [26]89 (89.0%)3 (3.0%)1 (1.0%)1 (1.0%)4 (4.0%)-1 (1.0%)
Malviya et al. (2021) [5]34 (30.9%)66 (60.0%)2 (1.82%)-7 (6.37%)1 (0.91%)
Current study112 (96.6%)2 (1.7%)--2 (1.7%)--
Disclaimer/Publisher’s Note: The statements, opinions and data contained in all publications are solely those of the individual author(s) and contributor(s) and not of MDPI and/or the editor(s). MDPI and/or the editor(s) disclaim responsibility for any injury to people or property resulting from any ideas, methods, instructions or products referred to in the content.

Share and Cite

MDPI and ACS Style

Abduwani, A.; Al-Saadi, I.; Al-Hajri, M.; Baawain, S.; Al Riyami, M.S.N.; Al Sidairi, N.; Isma’ili, A.K.A.S.; Jaju, S.; Das, S. Radiological Study of the Normal and Anatomical Variants of the Celiac Trunk and Its Branches: Clinical Implications. Appl. Sci. 2024, 14, 12033. https://doi.org/10.3390/app142412033

AMA Style

Abduwani A, Al-Saadi I, Al-Hajri M, Baawain S, Al Riyami MSN, Al Sidairi N, Isma’ili AKAS, Jaju S, Das S. Radiological Study of the Normal and Anatomical Variants of the Celiac Trunk and Its Branches: Clinical Implications. Applied Sciences. 2024; 14(24):12033. https://doi.org/10.3390/app142412033

Chicago/Turabian Style

Abduwani, Ali, Ilyas Al-Saadi, Mohammed Al-Hajri, Saleh Baawain, Mahmood Salim Nasser Al Riyami, Naseer Al Sidairi, Al Khatab Abdullah Saud Isma’ili, Sanjay Jaju, and Srijit Das. 2024. "Radiological Study of the Normal and Anatomical Variants of the Celiac Trunk and Its Branches: Clinical Implications" Applied Sciences 14, no. 24: 12033. https://doi.org/10.3390/app142412033

APA Style

Abduwani, A., Al-Saadi, I., Al-Hajri, M., Baawain, S., Al Riyami, M. S. N., Al Sidairi, N., Isma’ili, A. K. A. S., Jaju, S., & Das, S. (2024). Radiological Study of the Normal and Anatomical Variants of the Celiac Trunk and Its Branches: Clinical Implications. Applied Sciences, 14(24), 12033. https://doi.org/10.3390/app142412033

Note that from the first issue of 2016, this journal uses article numbers instead of page numbers. See further details here.

Article Metrics

Back to TopTop