Distalization Methods for Maxillary Molars Utilizing Temporary Anchorage Devices (TADs): A Narrative Review
Abstract
1. Introduction
2. Materials and Methods
2.1. Literature Search
2.2. Study Selection
3. Extraoral Molar Distalization Methods
4. Intraoral Molar Distalization Methods
4.1. Tooth Tissue-Supported Intraoral Molar Distalization Methods
4.1.1. Acrylic Cervical Occipital (ACCO) Appliance
4.1.2. Super-Elastic Nickel–Titanium (Ni-Ti) Open Coil Springs
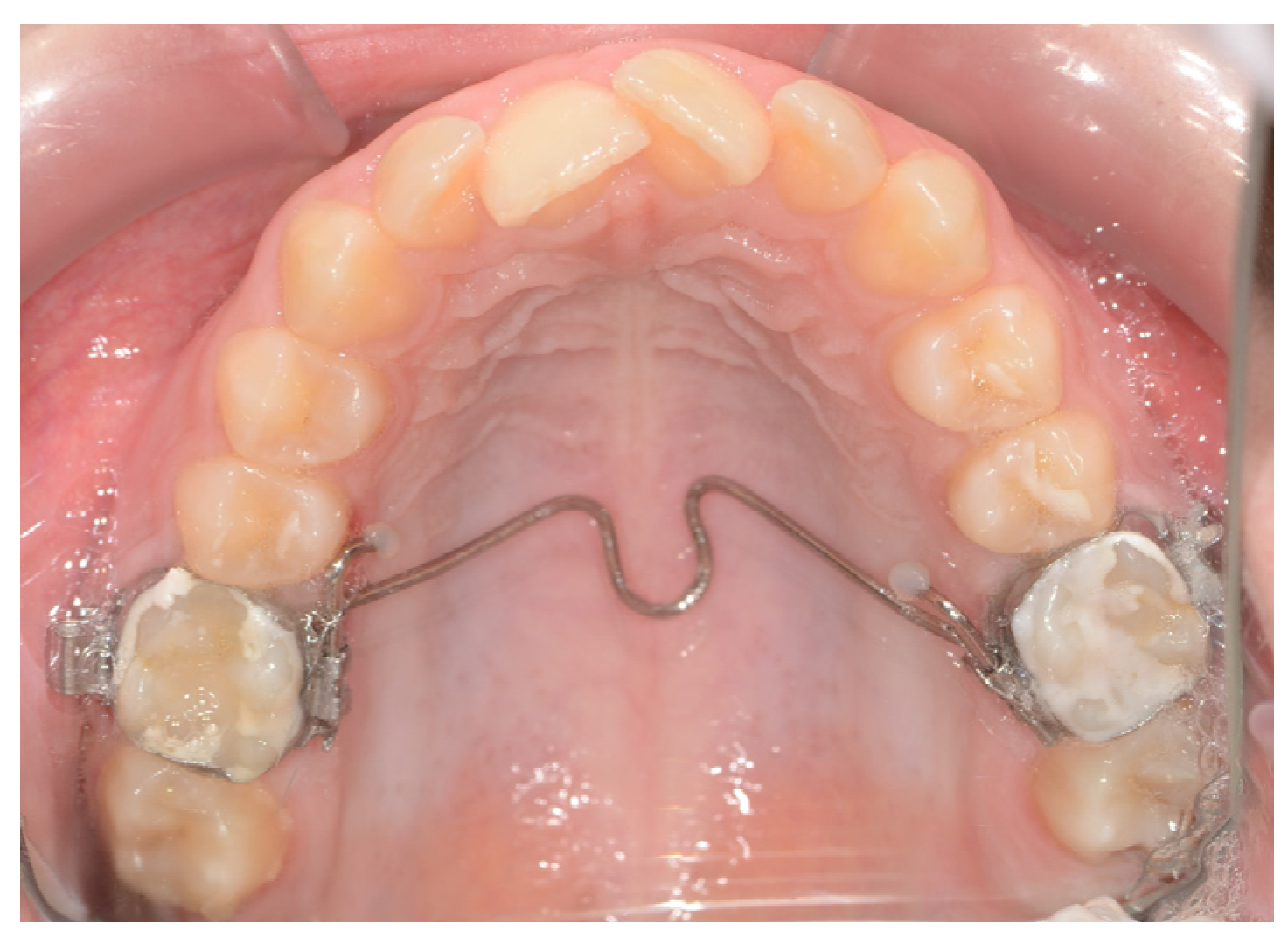
4.1.3. Transpalatal Arch
4.1.4. Jones Jig Appliance
4.1.5. Distal Jet Appliance
4.1.6. First Class Appliance
4.1.7. K-Loop Appliance
4.1.8. Wilson 3D Bimetric Molar Distalization Arch
4.1.9. Veltri Appliance
4.1.10. Frog Appliance
4.1.11. Carriere Distalizer
4.1.12. Intraoral Bodily Molar Distalizer
4.1.13. Pendulum Appliance
4.1.14. Keles Slider Appliance
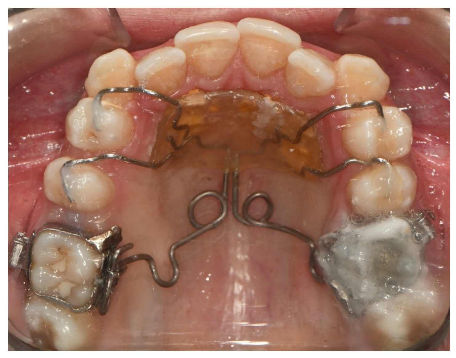
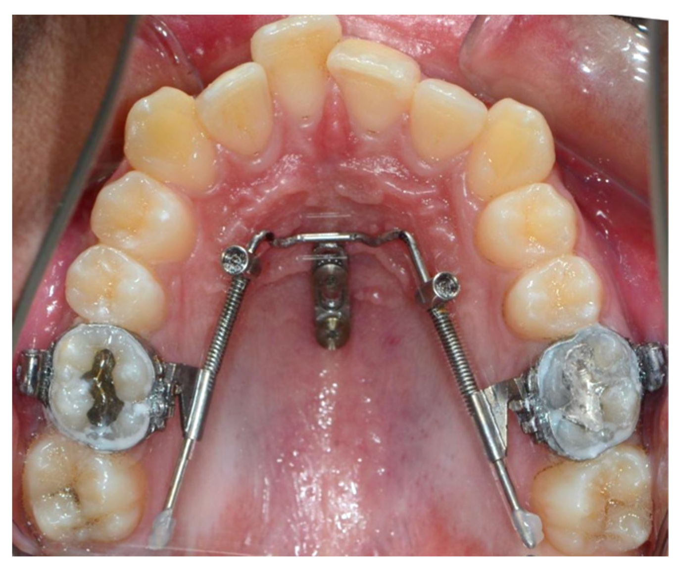
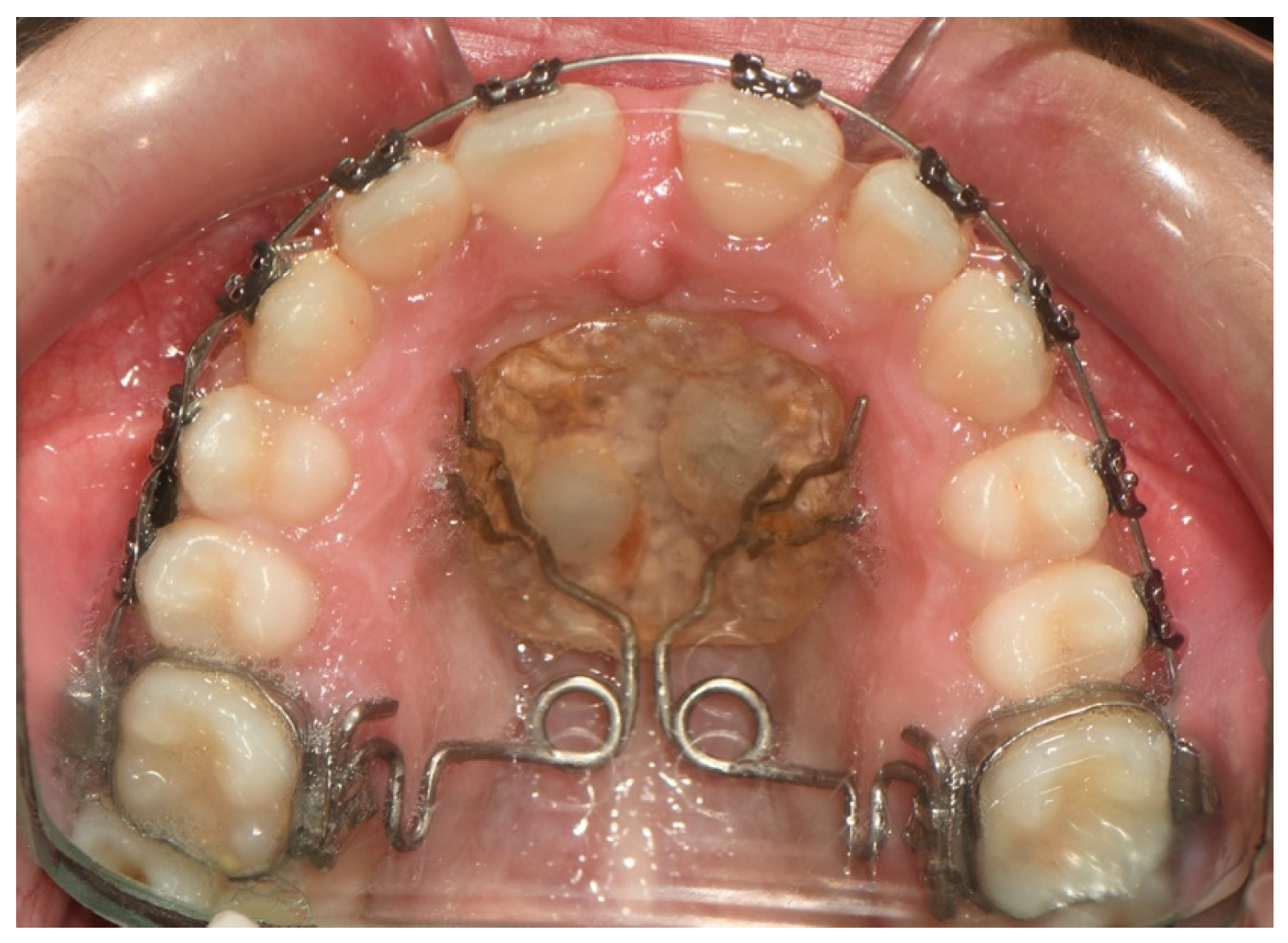
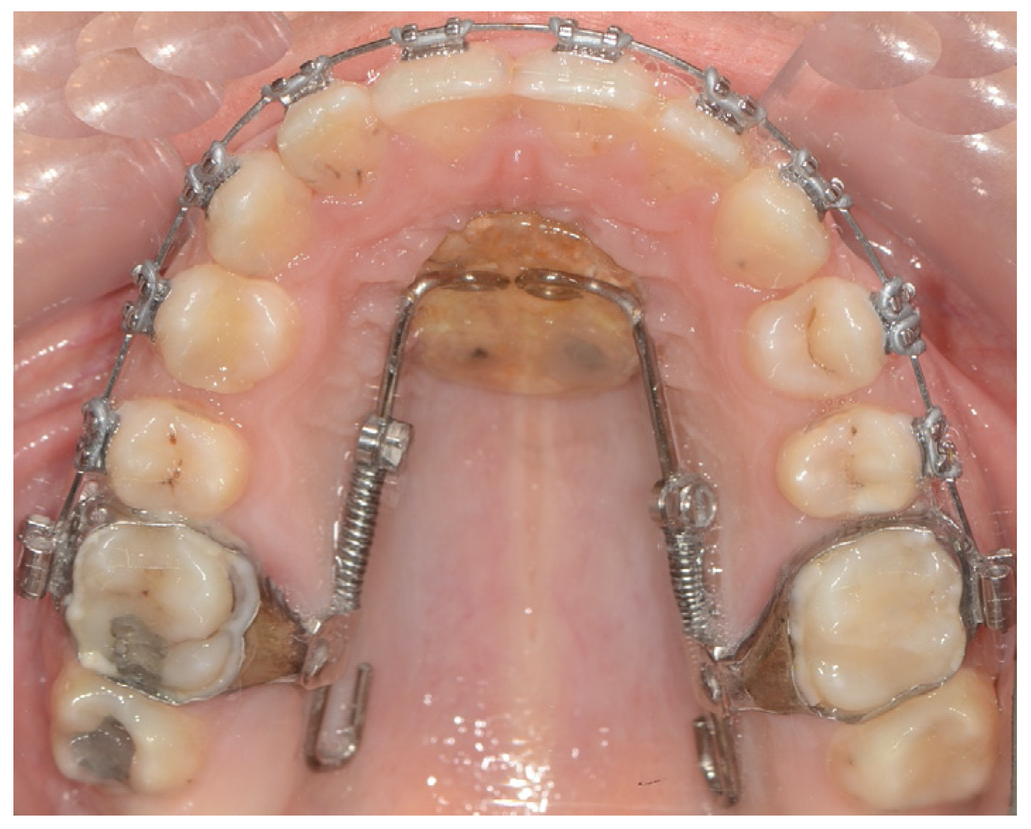
4.2. Skeletal Anchorage-Assisted Distalization Methods
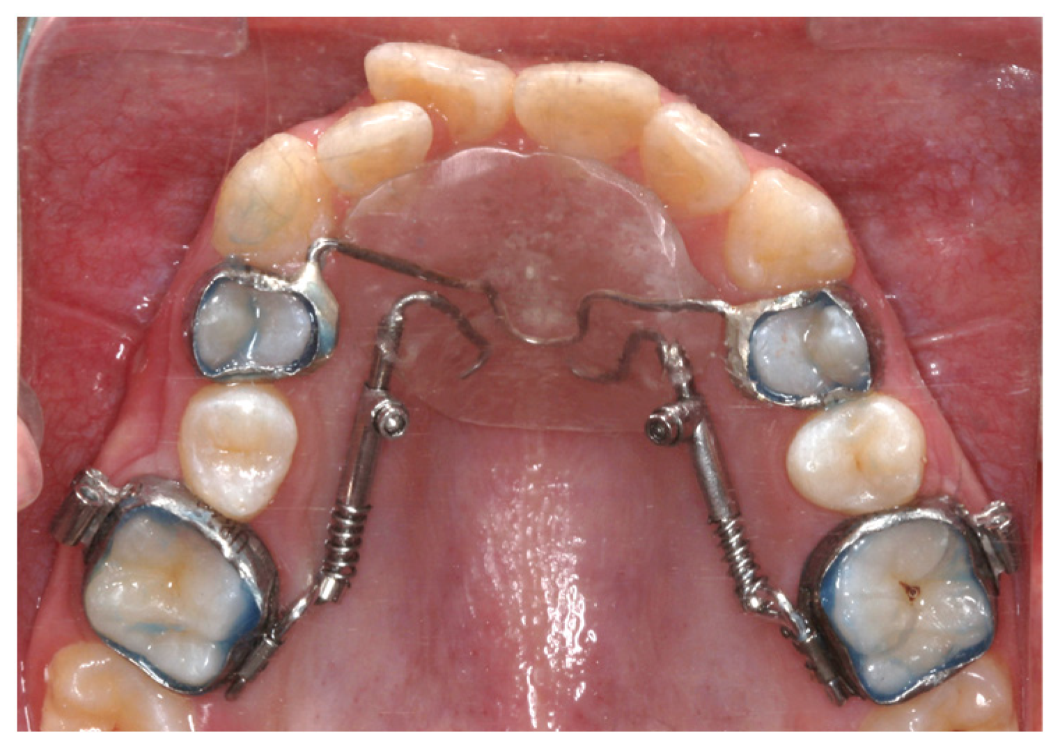
4.2.1. Palatinal Miniscrew-Assisted Distalization Applications
Beneslider Appliance
Modified Lokar Appliance
Miniscrew-Assisted Frog Appliance
Modified Distal Jet Appliance
Modified Pendulum Appliance
Modified Palatal Anchorage Plate
Modified Keles Slider
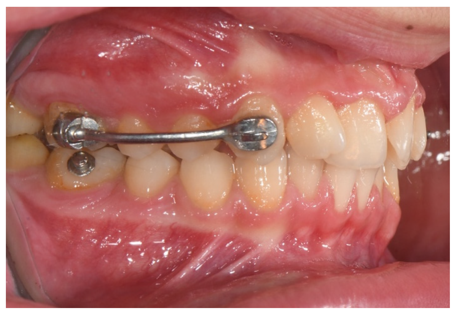
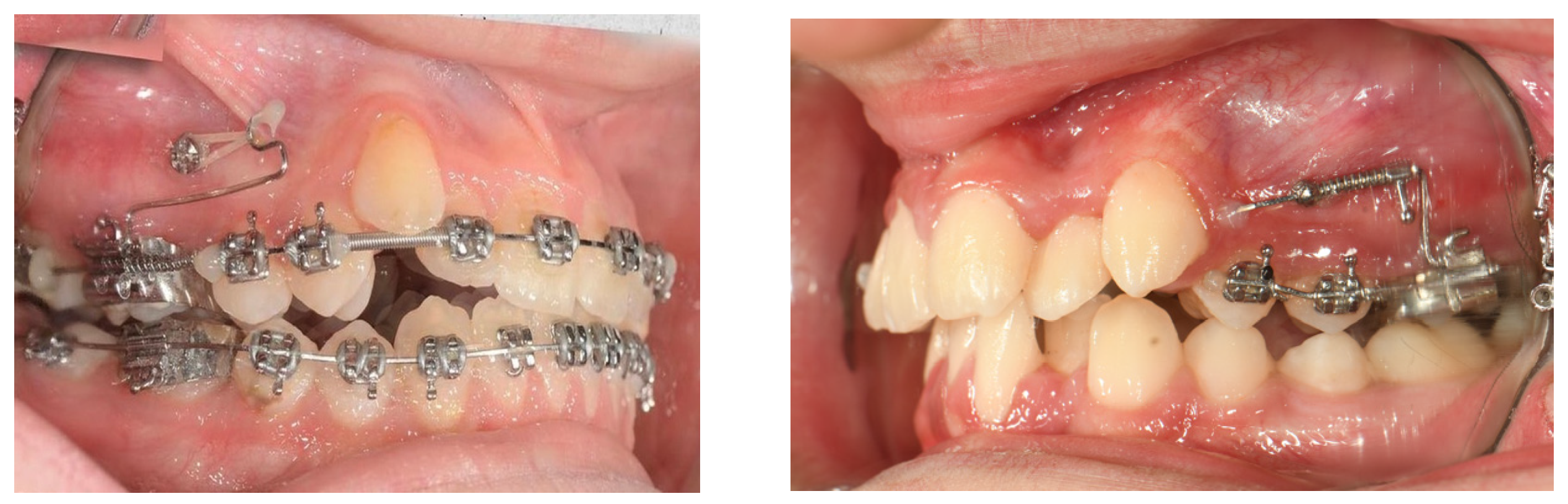
4.2.2. Buccal Miniscrew-Assisted Distalization Applications
4.2.3. Infrazygomatic Miniscrew-Assisted Distalization Applications
4.2.4. Maxillary Tuber Miniscrew-Assisted Distalization Applications
4.3. Distalization with Clear Aligner Systems
5. Results
6. Discussion
7. Conclusions
Author Contributions
Funding
Institutional Review Board Statement
Informed Consent Statement
Data Availability Statement
Conflicts of Interest
References
- Bishara, S. Textbook of Orthodontics; Saunders Company: Philadelphia, PA, USA, 2001; pp. 83–85. [Google Scholar]
- Huang, G.J.; Graber, L.W.; Vanarsdall, R.L.; Vig, K.W. Orthodontics-E-Book: Current Principles and Techniques; Elsevier Health Sciences: Amsterdam, The Netherlands, 2016. [Google Scholar]
- Quinzi, V.; Marchetti, E.; Guerriero, L.; Bosco, F.; Marzo, G.; Mummolo, S. Dentoskeletal class II malocclusion: Maxillary molar distalization with no-compliance fixed orthodontic equipment. Dent. J. 2020, 8, 26. [Google Scholar] [CrossRef] [PubMed]
- Mummolo, S.; Nota, A.; De Felice, M.E.; Marcattili, D.; Tecco, S.; Marzo, G. Periodontal status of buccally and palatally impacted maxillary canines after surgical-orthodontic treatment with open technique. J. Oral Sci. 2018, 60, 552–556. [Google Scholar] [CrossRef]
- Bowman, S.J.; Johnston, L.E., Jr. The esthetic impact of extraction and nonextraction treatments on Caucasian patients. Angle Orthod. 2000, 70, 3–10. [Google Scholar] [PubMed]
- Abdelhady, N.A.; Tawfik, M.A.; Hammad, S.M. Maxillary molar distalization in treatment of angle class II malocclusion growing patients: Uncontrolled clinical trial. Int. Orthod. 2020, 18, 96–104. [Google Scholar] [CrossRef] [PubMed]
- Soheilifar, S.; Mohebi, S.; Ameli, N. Maxillary molar distalization using conventional versus skeletal anchorage devices: A systematic review and meta-analysis. Int. Orthod. 2019, 17, 415–424. [Google Scholar] [CrossRef]
- da Costa Grec, R.H.; Janson, G.; Branco, N.C.; Moura-Grec, P.G.; Patel, M.P.; Henriques, J.F.C. Intraoral distalizer effects with conventional and skeletal anchorage: A meta-analysis. Am. J. Orthod. Dentofac. Orthop. 2013, 143, 602–615. [Google Scholar] [CrossRef]
- Kırcalı, M.; Yüksel, A.S. Evaluation of dentoalveolar and dentofacial effects of a mini-screw-anchored pendulum appliance in maxillary molar distalization. Turk. J. Orthod. 2018, 31, 103–109. [Google Scholar] [CrossRef]
- Cozzani, M.; Fontana, M.; Maino, G.; Maino, G.; Palpacelli, L.; Caprioglio, A. Comparison between direct vs indirect anchorage in two miniscrew-supported distalizing devices. Angle Orthod. 2016, 86, 399–406. [Google Scholar] [CrossRef]
- Kinzinger, G.S.; Gülden, N.; Yildizhan, F.; Diedrich, P.R. Efficiency of a skeletonized distal jet appliance supported by miniscrew anchorage for noncompliance maxillary molar distalization. Am. J. Orthod. Dentofac. Orthop. 2009, 136, 578–586. [Google Scholar] [CrossRef]
- Cornelis, M.A.; De Clerck, H.J. Maxillary molar distalization with miniplates assessed on digital models: A prospective clinical trial. Am. J. Orthod. Dentofac. Orthop. 2007, 132, 373–377. [Google Scholar] [CrossRef]
- Raghis, T.R.; Alsulaiman, T.M.A.; Mahmoud, G.; Youssef, M. Efficiency of maxillary total arch distalization using temporary anchorage devices (TADs) for treatment of Class II-malocclusions: A systematic review and meta-analysis. Int. Orthod. 2022, 20, 100666. [Google Scholar] [CrossRef] [PubMed]
- Chiu, P.P.; McNamara, J.A., Jr.; Franchi, L. A comparison of two intraoral molar distalization appliances: Distal jet versus pendulum. Am. J. Orthod. Dentofac. Orthop. 2005, 128, 353–365. [Google Scholar] [CrossRef] [PubMed]
- Fuziy, A.; de Almeida, R.R.; Janson, G.; Angelieri, F.; Pinzan, A. Sagittal, vertical, and transverse changes consequent to maxillary molar distalization with the pendulum appliance. Am. J. Orthod. Dentofac. Orthop. 2006, 130, 502–510. [Google Scholar] [CrossRef] [PubMed]
- Greenspan, R.A. Reference charts for controlled extraoral force application to maxillary molars. Am. J. Orthod. 1970, 58, 486–491. [Google Scholar] [CrossRef]
- Cozzani, M.; Pasini, M.; Zallio, F.; Ritucci, R.; Mutinelli, S.; Mazzotta, L.; Giuca, M.R.; Piras, V. Comparison of maxillary molar distalization with an implant-supported distal jet and a traditional tooth-supported distal jet appliance. Int. J. Dent. 2014, 2014, 937059. [Google Scholar] [CrossRef] [PubMed]
- Sfondrini, M.F.; Cacciafesta, V.; Sfondrini, G. Upper molar distalization: A critical analysis. Orthod. Craniofacial Res. 2002, 5, 114–126. [Google Scholar] [CrossRef]
- Wu, D.; Zhao, Y.; Ma, M.; Zhang, Q.; Lei, H.; Wang, Y.; Li, Y.; Chen, X. Efficacy of mandibular molar distalization by clear aligner treatment. J. Cent. South Univ. Med. Sci. 2021, 46, 1114–1121. [Google Scholar]
- Nucera, R.; Militi, A.; Giudice, A.L.; Longo, V.; Fastuca, R.; Caprioglio, A.; Cordasco, G.; Papadopoulos, M.A. Skeletal and dental effectiveness of treatment of class II malocclusion with headgear: A systematic review and meta-analysis. J. Evid. Based Dent. Pract. 2018, 18, 41–58. [Google Scholar] [CrossRef]
- Kucukkeles, N.; Cakirer, B.; Mowafi, M. Cephalometric evaluation of molar distalization by hyrax screw used in conjunction with a lip bumper. World J. Orthod. 2006, 7, 261–268. [Google Scholar]
- Nanda, R.S.; Dandajena, T.C. The role of the headgear in growth modification. Semin. Orthod. 2006, 12, 25–33. [Google Scholar] [CrossRef]
- Brandão, M.; Pinho, H.S.; Urias, D. Clinical and quantitative assessment of headgear compliance: A pilot study. Am. J. Orthod. Dentofac. Orthop. 2006, 129, 239–244. [Google Scholar] [CrossRef] [PubMed]
- Bolla, E.; Muratore, F.; Carano, A.; Bowman, S.J. Evaluation of maxillary molar distalization with the distal jet: A comparison with other contemporary methods. Angle Orthod. 2002, 72, 481–494. [Google Scholar]
- Bernstein, L. Treatment of Class II, Division 1 maximum anchorage cases with the ACCO appliance. J. Clin. Orthod. 1970, 4, 374–383. [Google Scholar]
- Ijaz, A.; MCPS, M. A comparative study between two molar distalization appliances. Pak. Oral Dent. 2004, 24, 157–164. [Google Scholar]
- ElBady Mahmoud El-Ashry, K.; Fouda, A.E.-S.M.; Mohammad Hafez, A. Maxillary molars distalization: A review. Mansoura J. Dent. 2020, 7, 63–65. [Google Scholar] [CrossRef]
- Öztürk, Y.; Firatli, S.; Almaç, L. An evaluation of intraoral molar distalization with nickel-titanium coil springs. Quintessence Int. 2005, 36, 731–765. [Google Scholar] [PubMed]
- Eyüboğlu, S.; Bengİ, A.O.; Gürton, A.Ü.; Akin, E. Asymmetric maxillary first molar distalization with the transpalatal arch. Turk. J. Med. Sci. 2004, 34, 59–66. [Google Scholar]
- Patel, M.P.; Janson, G.; Henriques, J.F.C.; de Almeida, R.R.; de Freitas, M.R.; Pinzan, A.; de Freitas, K.M.S. Comparative distalization effects of Jones jig and pendulum appliances. Am. J. Orthod. Dentofac. Orthop. 2009, 135, 336–342. [Google Scholar] [CrossRef]
- Bellini-Pereira, S.-A.; Aliaga-Del Castillo, A.; Vilanova, L.; Patel, M.-P.; Reis, R.-S.; Janson, G. Sagittal, rotational and transverse changes with three intraoral distalization force systems: Jones jig, distal jet and first class. J. Clin. Exp. Dent. 2021, 13, e455. [Google Scholar] [CrossRef]
- Fortini, A.; Lupoli, M.; Parri, M. The First Class Appliance for rapid molar distalization. J. Clin. Orthod. 1999, 33, 322–328. [Google Scholar]
- Kalra, V. The K-loop molar distalizing appliance. J. Clin. Orthod. 1995, 29, 298–301. [Google Scholar] [PubMed]
- Marure, P.S.; Patil, R.U.; Reddy, S.; Prakash, A.; Kshetrimayum, N.; Shukla, R. The effectiveness of pendulum, K-loop, and distal jet distalization techniques in growing children and its effects on anchor unit: A comparative study. J. Indian Soc. Pedod. Prev. Dent. 2016, 34, 331–340. [Google Scholar] [PubMed]
- Wilson William, L.; Wilson Robert, C. Multi directional 3D functional class 2 treatment. J. Clin. Orthod. 1987, 21, 186–189. [Google Scholar]
- Altug-Atac, A.T.; Erdem, D. Effects of three-dimensional bimetric maxillary distalizing arches and cervical headgear on dentofacial structures. Eur. J. Orthod. 2007, 29, 52–59. [Google Scholar] [CrossRef][Green Version]
- Veltri, N. Espansione mascellare a 360 gradi. Sistematica dell’utilizzo di apparecchi fissi con vite per la correzione delle anomalie del mascellare superiore. Boll di Inf Ortod Leone. 1999, 63, 25–28. [Google Scholar]
- Oruç, K.; Kama, J.D.; Özer, T. Comparison of two different types of molar distalization appliance. Dicle Dent. J. 2024, 25, 46–57. [Google Scholar]
- Walde, K.C. The simplified molar distalizer. J. Clin. Orthod. 2003, 37, 616–619. [Google Scholar]
- Burhan, A.S. Combined treatment with headgear and the Frog appliance for maxillary molar distalization: A randomized controlled trial. Korean J. Orthod. 2013, 43, 101–109. [Google Scholar] [CrossRef]
- Carrière, L. A new Class II distalizer. J. Clin. Orthod. JCO 2004, 38, 224–231. [Google Scholar]
- Yin, K.; Han, E.; Guo, J.; Yasumura, T.; Grauer, D.; Sameshima, G. Evaluating the treatment effectiveness and efficiency of Carriere Distalizer: A cephalometric and study model comparison of Class II appliances. Prog. Orthod. 2019, 20, 24. [Google Scholar] [CrossRef]
- Keles., A.; Sayinsu, K. A new approach in maxillary molar distalization: Intraoral bodily molar distalizer. Am. J. Orthod. Dentofacial Orthop. 2000, 117, 39–48. [Google Scholar]
- Sayinsu, K.; Isik, F.; Allaf, F.; Arun, T. Unilateral molar distalization with a modified slider. Eur. J. Orthod. 2006, 28, 361–365. [Google Scholar] [CrossRef] [PubMed][Green Version]
- Ghosh, J.; Nanda, R.S. Evaluation of an intraoral maxillary molar distalization technique. Am. J. Orthod. Dentofac. Orthop. 1996, 110, 639–646. [Google Scholar] [CrossRef] [PubMed]
- Karaman, A.I.; Başçiftçi, F.; Polat, O. Unilateral distal molar movement with an implant-supported distal jet appliance. Angle Orthod. 2002, 72, 167–174. [Google Scholar]
- Nienkemper, M.; Wilmes, B.; Pauls, A.; Yamaguchi, S.; Ludwig, B.; Drescher, D. Treatment efficiency of mini-implant-borne distalization depending on age and second-molar eruption Effizienz miniimplantatgestützter Molarendistalisierung abhängig vom Patientenalter und dem Durchbruch der zweiten Molaren. J. Orofac. Orthop. 2014, 75, 118–132. [Google Scholar] [CrossRef] [PubMed]
- Wilmes, B.; Drescher, D. Application and effectiveness of the Beneslider: A device to move molars distally. World J. Orthod. 2010, 11, 331–340. [Google Scholar]
- Kaan, E. Mikro-Implant Destekli Modifiye Lokar Apareyinin Ortodontik Bölgeye Etkisi. Ph.D. Thesis, Gazi Üniversitesi, Ankara, Turkey, 2007. [Google Scholar]
- Ludwig, B.; Glasl, B.; Kinzinger, G.S.M.; Walde, K.C.; A Lisson, J. The skeletal frog appliance for maxillary molar distalization. J. Clin. Orthod. JCO 2011, 45, 77–84. [Google Scholar]
- Kircelli, B.H.; Pektaş, Z.O.; Kircelli, C. Maxillary molar distalization with a bone-anchored pendulum appliance. Angle Orthod. 2006, 76, 650–659. [Google Scholar]
- Escobar, S.A.; Tellez, P.A.; Moncada, C.A.; Villegas, C.A.; Latorre, C.M.; Oberti, G. Distalization of maxillary molars with the bone-supported pendulum: A clinical study. Am. J. Orthod. Dentofac. Orthop. 2007, 131, 545–549. [Google Scholar] [CrossRef]
- Kook, Y.-A.; Bayome, M.; Trang, V.T.T.; Kim, H.-J.; Park, J.H.; Kim, K.B.; Behrents, R.G. Treatment effects of a modified palatal anchorage plate for distalization evaluated with cone-beam computed tomography. Am. J. Orthod. Dentofac. Orthop. 2014, 146, 47–54. [Google Scholar] [CrossRef]
- Özdemir, G. Kemik ve Diş-Doku Destekli Keleş Slider Apareylerinin Etkilerinin 3 Boyutlu Görüntüleme Yöntemiyle Karşılaştırılması. Ph.D. Thesis, Atatürk Üniversitesi, Erzurum, Turkey, 2013. Available online: https://www.atauni.edu.tr/yuklemeler/150718cf3e1e6234ca764507c5dcde0b.pdf (accessed on 30 September 2024).
- Park, H.-S.; Kwon, T.-G.; Sung, J.-H. Nonextraction treatment with microscrew implants. Angle Orthod. 2004, 74, 539–549. [Google Scholar]
- Jeon, J.M.; Yu, H.S.; Baik, H.S.; Lee, J.S. En-masse distalization with miniscrew anchorage in Class II nonextraction treatment. J. Clin. Orthod. 2006, 40, 472–476. [Google Scholar] [PubMed]
- Bechtold, T.E.; Park, Y.-C.; Kim, K.-H.; Jung, H.; Kang, J.-Y.; Choi, Y.J. Long-term stability of miniscrew anchored maxillary molar distalization in Class II treatment. Angle Orthod. 2020, 90, 362–368. [Google Scholar] [CrossRef] [PubMed]
- Bechtold, T.E.; Kim, J.-W.; Choi, T.-H.; Park, Y.-C.; Lee, K.-J. Distalization pattern of the maxillary arch depending on the number of orthodontic miniscrews. Angle Orthod. 2013, 83, 266–273. [Google Scholar] [CrossRef]
- Wu, X.; Liu, H.; Luo, C.M.; Li, Y.M.; Ding, Y.M. Three-dimensional evaluation on the effect of maxillary dentition distalization with miniscrews implanted in the infrazygomatic crest. Implant Dent. 2018, 27, 22–27. [Google Scholar] [CrossRef] [PubMed]
- Nur, M.; Bayram, M.; Pampu, A. Zygoma-gear appliance for intraoral upper molar distalization. Korean J. Orthod. 2010, 40, 195–206. [Google Scholar] [CrossRef]
- Chang, C.; Huang, C.; Roberts, W. 3D cortical bone anatomy of the mandibular buccal shelf: A CBCT study to define sites for extra-alveolar bone screws to treat Class III malocclusion. Int. J. Orthod. Implant. 2016, 41, 74–82. [Google Scholar]
- Chang, C.H.; Lin, J.-H.; Roberts, W.E. Success of infrazygomatic crest bone screws: Patient age, insertion angle, sinus penetration, and terminal insertion torque. Am. J. Orthod. Dentofac. Orthop. 2022, 161, 783–790. [Google Scholar] [CrossRef] [PubMed]
- VJ, S.G. Simultaneous Intrusion and Distalization Using Miniscrews in the Maxillary Tuberosity. J. Clin. Orthod. JCO 2016, 50, 605–612. [Google Scholar]
- Apinhasmit, W.; Chompoopong, S.; Methathrathip, D.; Sangvichien, S.; Karuwanarint, S. Clinical anatomy of the posterior maxilla pertaining to Le Fort I osteotomy in Thais. Clin. Anat. Off. J. Am. Assoc. Clin. Anat. Br. Assoc. Clin. Anat. 2005, 18, 323–329. [Google Scholar] [CrossRef]
- Venkateswaran, S.; Rao, V.; Krishnaswamy, N.R. En-masse retraction using skeletal anchorage in the tuberosity and retromolar region. J. Clin. Orthod. JCO 2011, 45, 268–288. [Google Scholar]
- Azeem, M.; Haq, A.U.; Awaisi, Z.H.; Saleem, M.M.; Tahir, M.W.; Liaquat, A. Failure rates of miniscrews inserted in the maxillary tuberosity. Dent. Press J. Orthod. 2019, 24, 46–51. [Google Scholar] [CrossRef] [PubMed]
- Simon, M.; Keilig, L.; Schwarze, J.; Jung, B.A.; Bourauel, C. Treatment outcome and efficacy of an aligner technique–regarding incisor torque, premolar derotation and molar distalization. BMC Oral Health 2014, 14, 68. [Google Scholar] [CrossRef] [PubMed]
- Rossini, G.; Parrini, S.; Castroflorio, T.; Deregibus, A.; Debernardi, C.L. Efficacy of clear aligners in controlling orthodontic tooth movement: A systematic review. Angle Orthod. 2015, 85, 881–889. [Google Scholar] [CrossRef]
- Ravera, S.; Castroflorio, T.; Garino, F.; Daher, S.; Cugliari, G.; Deregibus, A. Maxillary molar distalization with aligners in adult patients: A multicenter retrospective study. Prog. Orthod. 2016, 17, 12. [Google Scholar] [CrossRef]
- Shah, A.H.; Shah, D.H. Miniscrew implant-supported Frog® appliance for maxillary molar distalization. J. World Fed. Orthod. 2016, 5, 35–43. [Google Scholar] [CrossRef]
- Arvystas, M.G. Nonextraction treatment of severe Class II, division 2 malocclusions: Part 2. Am. J. Orthod. Dentofac. Orthop. 1991, 99, 74–84. [Google Scholar] [CrossRef]
- Epker, B.N.; Fish, L.C. The surgical-orthodontic correction of mandibular deficiency. Part I. Am. J. Orthod. 1983, 84, 408–421. [Google Scholar] [CrossRef]
- Samuels, R.H.A.; Jones, M.L. Orthodontic facebow injuries and safety equipment. Eur. J. Orthod. 1994, 16, 385–394. [Google Scholar] [CrossRef] [PubMed]
- Arman, A.; Gökçelik, A. Ağız içi molar distalizasyon yöntemleri. Cumhur. Üniversitesi Diş Hekim. Fakültesi Derg. 2005, 8, 48–55. [Google Scholar]
- Bondemark, L.; Karlsson, I. Extraoral vs intraoral appliance for distal movement of maxillary first molars: A randomized controlled trial. Angle Orthod. 2005, 75, 699–706. [Google Scholar]
- Shapiro, P.A.; Kokich, V.G. Uses of implants in orthodontics. Dent. Clin. N. Am. 1988, 32, 539–550. [Google Scholar] [CrossRef] [PubMed]
- Wehrbein, H.; Feifel, H.; Diedrich, P. Palatal implant anchorage reinforcement of posterior teeth: A prospective study. Am. J. Orthod. Dentofac. Orthop. 1999, 116, 678–686. [Google Scholar] [CrossRef] [PubMed]
- El-Dawlatly, M.; Abou-El-Ezz, A.; El-Sharaby, F.; Mostafa, Y. Zygomatic mini-implant for Class II correction in growing patients. J. Orofac. Orthop. 2014, 75, 213–225. [Google Scholar] [CrossRef]
- Duran, G.S.; Görgülü, S.; Dindaroğlu, F. Three-dimensional analysis of tooth movements after palatal miniscrew-supported molar distalization. Am. J. Orthod. Dentofac. Orthop. 2016, 150, 188–197. [Google Scholar] [CrossRef] [PubMed]
- Sugawara, J.; Kanzaki, R.; Takahashi, I.; Nagasaka, H.; Nanda, R. Distal movement of maxillary molars in nongrowing patients with the skeletal anchorage system. Am. J. Orthod. Dentofac. Orthop. 2006, 129, 723–733. [Google Scholar] [CrossRef]
- Kaya, B.; Şar, Ç.; Arman-Özçırpıcı, A.; Polat-Özsoy, Ö. Palatal implant versus zygoma plate anchorage for distalization of maxillary posterior teeth. Eur. J. Orthod. 2013, 35, 507–514. [Google Scholar] [CrossRef]












| Study | Anchorage Type | Appliance Name | Movement Type of First Molars and Anterior Teeth | Force (g) (Unilateral) | Treatment Duration of Molar Distalization | Anchorage Loss (Measured as the Amount of Mesialization in the Upper Premolars Corresponding to Each 1 mm of Distalization in the First Molar) | Authors’ Recommendations |
|---|---|---|---|---|---|---|---|
| Ijaz et al. (2004) [26] | Tooth tissue-supported | ACCO appliance | 4.38 mm distal movement of first molars and 2.2 mm protrusion of anterior teeth | 300 g | 11 months | 0.5 mm of premolars | The face bow can also be bent to reduce extrusion in the molar tooth. |
| Öztürk et al. (2005) [28] | Tooth tissue-supported | Super-elastic Ni-Ti open coil springs | 4.59 mm distal movement of first molars and 2.22 mm protrusion of anterior teeth | 250 g | 6.95 months | 0.62 mm of premolars | The use of Class II elastics is recommended to support anchorage anteriorly. |
| Eyüboğlu et al. (2004) [29] | Tooth tissue-supported | Transpalatal arch | 2.06 mm distal movement of first molars and 2.22 mm protrusion of anterior teeth | 150 g | 5 months | 0.36 mm of premolars | TPA can be used in the unilateral distalization of maxillary molars. |
| Patel et al. (2009) [30] | Tooth tissue-supported | Jones Jig appliance | 3.12 mm distal movement of first molars and 1.11 mm protrusion of anterior teeth | 100 g | 10.9 months | 0.81 mm of premolars | Caution should be exercised as the appliance is prone to anchorage loss. |
| Pereira et al. (2021) [31] | Tooth tissue-supported | Distal Jet appliance | 3.32 mm distal movement of first molars and 0.56 mm protrusion of anterior teeth | 240 g | 11.4 months | 0.47 mm of premolars | Care should be taken to ensure that it expands the posterior teeth. |
| Pereira et al. (2021) [31] | Tooth tissue-supported | First Class appliance | 2.98 mm distal movement of first molars and 0.51 mm protrusion of anterior teeth | 240 g | 8.2 months | 0.55 mm of premolars | Orthodontic mechanics should be applied to correct the undesirable effects inherent in the use of conventional anchorage. |
| Marure et al. (2016) [34] | Tooth tissue-supported | K-Loop appliance | 2.2 mm distal movement of first molars and 4.1 mm protrusion of upper anterior teeth | 200 g | 5 months | 1.8 mm of premolars and protrusion of upper anterior teeth | The conventional distalization appliances can be substituted by TAD to prevent maxillary incisors proclination. |
| Altug-Atac et al. (2007) [36] | Tooth tissue-supported | Wilson 3D bimetric molar distalization arch | 3.55 mm distal movement of first molars, 0.06 mm protrusion of upper anterior teeth, and 2.82 mm protrusion of mandibular anterior teeth | 180 g | 3.4 months | 0.79 mm of premolars and anchorage loss in the mandibular dental arch due to Class II elastics | To achieve successful results, the effects of treatment modality on dentofacial structures need to be taken into consideration for each individual patient. |
| Oruç et al. (2024) [38] | Tooth tissue-supported | Veltri appliance | 2.16 mm distal movement of first molars and 4.39 mm protrusion of anterior teeth | Distalization of the first molar by 0.5 mm per week was achieved by turning the screw twice per week. | 4.2 months | 2.28 mm of premolars | Anchorage loss should be considered in the clinical application. |
| Burhan et al. (2013) [40] | Tooth tissue-supported | Frog appliance | 5.51 mm distal movement of first molars and 1.78 mm protrusion of anterior teeth | Distalization of the first molar by 0.5 mm per week was achieved by turning the screw twice per week. | 7.4 months | 0.49 mm of premolars | Nighttime use of high-pull headgear should be combined with the Frog appliance. |
| Yin et al. (2019) [42] | Tooth tissue-supported | Carriere distalizer | 3.5 mm distal movement of first molars and 3 mm protrusion of upper anterior teeth | 150–200 g from the Class II elastics | 6.3 months | 0.62 mm of premolars and anchorage loss in the mandibular dental arch due to Class II elastics | There is no clinically significant skeletal correction caused by the Carriere distalizer in growing patients. |
| Ijaz et al. (2004) [26] | Tooth tissue-supported | Intraoral bodily molar distalizer | 4.5 mm distal movement of first molars and 3.85 mm protrusion of anterior teeth | 230 g | 7.5 months | 1.05 mm of premolars | Demands anchorage reinforcement. |
| Patel et al. (2009) [30] | Tooth tissue-supported | Pendulum appliance | 3.51 mm distal movement of first molars and 1.47 mm protrusion of anterior teeth | 250 g | 14.1 months | 0.63 mm of premolars | Caution should be exercised as the appliance is prone to anchorage loss. |
| Sayinsu et al. (2006) [44] | Tooth tissue-supported | Keles Slider appliance | 2.85 mm distal movement of first molars and 1.32 mm protrusion of anterior teeth | 150 g | 6 months | 0.70 mm of premolars | Patients with palatally inclined maxillary incisors should be selected for treatment with distalization devices. |
| Wilmes et al. (2010) [48] | Skeletal supported (palatinal) | Beneslider appliance | 4.6 mm distal movement of first molars | 240 g | 8 months | No anchorage loss | The benefit system is more secure and more comfortable for the clinician than the spider screw system. |
| Kaan (2007) [49] | Skeletal supported (palatinal) | Modified Lokar appliance | 3.28 mm distal movement of first molars and 0.23 mm retrusion of anterior teeth | 240 g | 10.8 months | No anchorage loss (1.83 mm distalization of upper second premolar) | Transverse evaluation showed significant distopalatal rotation of the upper first molar. Caution should be exercised. |
| Shah et al. (2016) [70] | Skeletal supported (palatinal) | Miniscrew-assisted Frog appliance | 3 mm distal movement of first molars | 200 g | 5 months | No anchorage loss | The Frog appliance is an effective, noninvasive, and compliance-free intraoral distalization appliance for achieving maxillary molar distalization. |
| Cozzani et al. (2014) [17] | Skeletal supported (palatinal) | Modified Distal Jet appliance | 4.7 mm distal movement of first molars | 240 g | 9.1 months | No anchorage loss (2.1 mm distalization of upper second premolar) | The modified Distal Jet is a compliance-free distalizing appliance that can be used safely for the correction of Class II malocclusions. |
| Kircelli et al. (2006) [51] | Skeletal supported (palatinal) | Modified pendulum appliance | 6.4 mm distal movement of first molars | 250 g | 7 months | No anchorage loss (5.4 mm distalization of upper second premolar) | The modified pendulum appliance is an effective, minimally invasive, and compliance-free intraoral distalization appliance for achieving both molar and premolar distalization without any anchorage loss. |
| Kook et al. (2014) [53] | Skeletal supported (palatinal) | Modified palatal anchorage plate | 3.3 mm distal movement of first molars and 3.0 mm retrusion of anterior teeth | 300 g | 12.5 months | No anchorage loss (3.05 mm distalization of upper second premolar) | It is recommended that clinicians should consider using the modified palatal anchorage plate appliance in treatment planning for patients who require maxillary total arch distalization. |
| Özdemir (2013) [54] | Skeletal supported (palatinal) | Modified Keles Slider | 3.58 mm distal movement of first molars and 0.53 mm retrusion of anterior teeth | 300 g | 10.5 months | No anchorage loss (3.42 mm distalization of upper second premolar) | The maxillary first molars can be moved in parallel without any anchorage loss using the bone-supported appliances. |
| Bechtold et al. (2013) [58] | Skeletal supported (buccal) | Buccal miniscrew | 2.91 mm distal movement of first molars and 2.41 mm retrusion of anterior teeth | 200 g | 10.1 months | No anchorage loss | The dual-screw group demonstrated significantly greater molar distalization and intrusion, as well as incisor retraction, compared with the single-screw group. |
| Wu et al. (2018) [59] | Skeletal supported (infrazygomatic) | IZC screw | 3.15 mm distal movement of first molars and 4.3 mm retrusion of anterior teeth | 300 g | 8 months | No anchorage loss | The anchorage of miniscrews implanted in the IZ crest is an efficient device for maxillary dentition distalization. Therefore, it is recommended that clinicians consider using the method in treatment planning for adult patients who require maxillary total dentition distalization. |
| Ravera et al. (2016) [69] | Clear aligner technique | Clear aligner technique | 2.25 mm distal movement of first molars and 2.23 mm retrusion of anterior teeth | 130 from the Class II elastics | 24.3 months of total orthodontic treatment | No anchorage loss | Clinicians may consider incorporating Invisalign aligners into treatment plans for adult patients requiring 2 to 3 mm of maxillary molar distalization. |
Disclaimer/Publisher’s Note: The statements, opinions and data contained in all publications are solely those of the individual author(s) and contributor(s) and not of MDPI and/or the editor(s). MDPI and/or the editor(s) disclaim responsibility for any injury to people or property resulting from any ideas, methods, instructions or products referred to in the content. |
© 2024 by the authors. Licensee MDPI, Basel, Switzerland. This article is an open access article distributed under the terms and conditions of the Creative Commons Attribution (CC BY) license (https://creativecommons.org/licenses/by/4.0/).
Share and Cite
Oğuz, F.; Özden, S.; Cicek, O. Distalization Methods for Maxillary Molars Utilizing Temporary Anchorage Devices (TADs): A Narrative Review. Appl. Sci. 2024, 14, 11333. https://doi.org/10.3390/app142311333
Oğuz F, Özden S, Cicek O. Distalization Methods for Maxillary Molars Utilizing Temporary Anchorage Devices (TADs): A Narrative Review. Applied Sciences. 2024; 14(23):11333. https://doi.org/10.3390/app142311333
Chicago/Turabian StyleOğuz, Fırat, Samet Özden, and Orhan Cicek. 2024. "Distalization Methods for Maxillary Molars Utilizing Temporary Anchorage Devices (TADs): A Narrative Review" Applied Sciences 14, no. 23: 11333. https://doi.org/10.3390/app142311333
APA StyleOğuz, F., Özden, S., & Cicek, O. (2024). Distalization Methods for Maxillary Molars Utilizing Temporary Anchorage Devices (TADs): A Narrative Review. Applied Sciences, 14(23), 11333. https://doi.org/10.3390/app142311333

