Correction of Severe Class III Malocclusion by Mandibular Molar Distalization with Ramal Plates
Abstract
1. Introduction
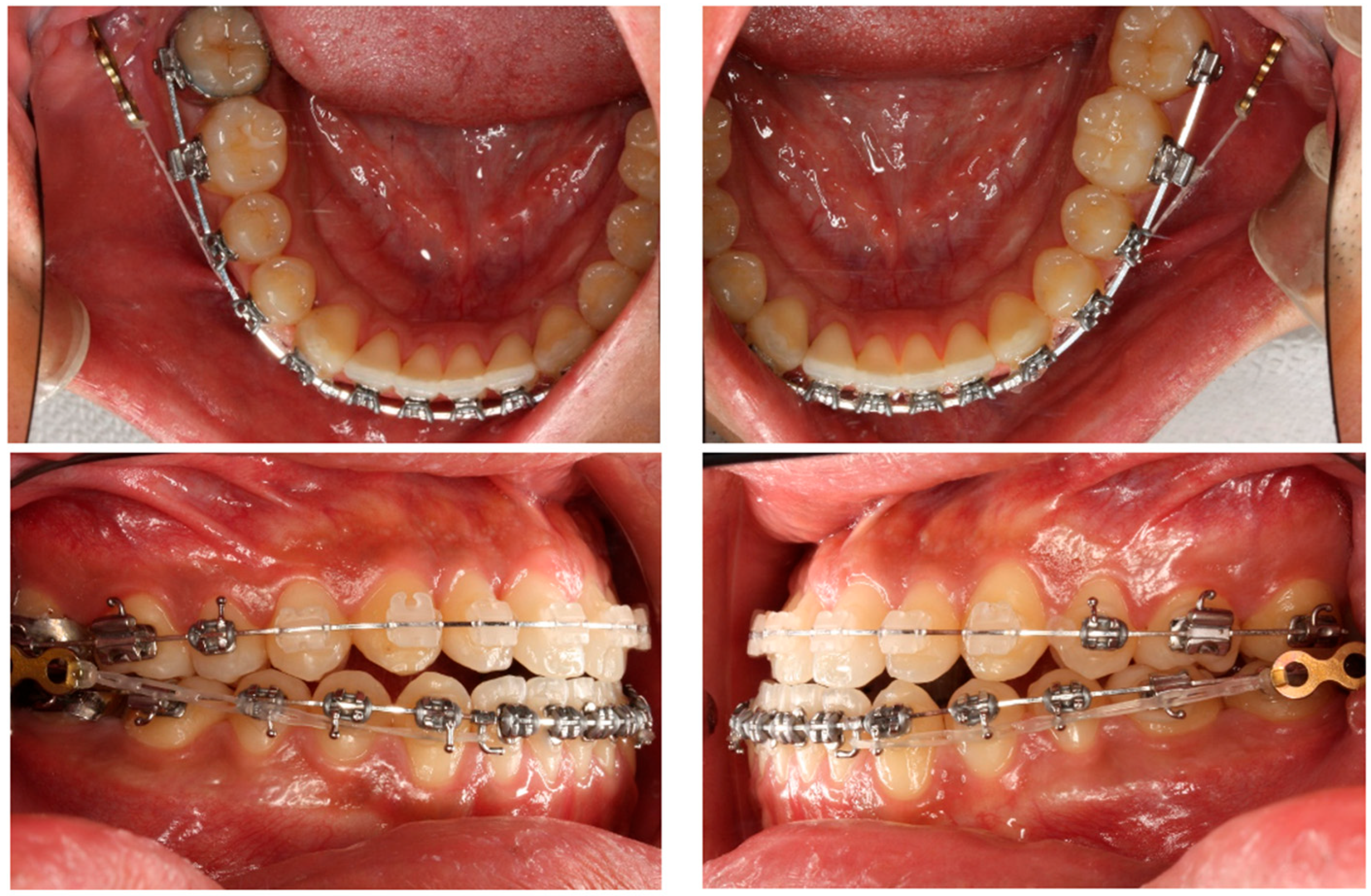
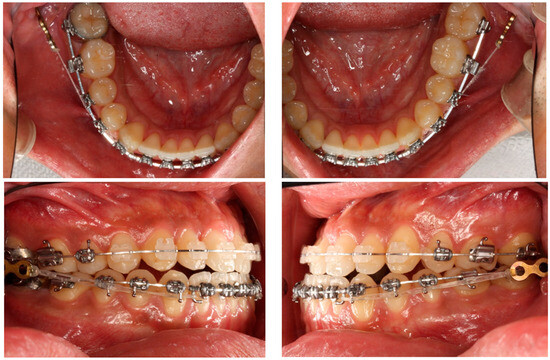
2. Materials and Methods
2.1. Treatment Progress
2.2. Cephalometric Analysis
2.3. Dental Cast Analysis
2.4. Statistical Analysis
3. Results
4. Discussion
5. Conclusions
- The ramal plates are effective in mandibular total retraction among adults.
- Severe Class III malocclusion can be successfully corrected without premolar extractions through the distalization of mandibular dentition. Thus, dental camouflage treatment with the ramal plates may offer a viable alternative to the orthognathic surgical approach in some patients.
- The ramal plate therapies provide effective vertical control in dentoskeletal dimensions.
- The skeletal anatomical boundaries of the retromolar region may limit the amount of mandibular molar retractions; however, the Class III correction of a full-cusp discrepancy through molar distalization was not hindered by such limitations.
Author Contributions
Funding
Institutional Review Board Statement
Informed Consent Statement
Data Availability Statement
Acknowledgments
Conflicts of Interest
References
- Hardy, D.K.; Cubas, Y.P.; Orellana, M.F. Prevalence of angle class III malocclusion: A systematic review and meta-analysis. Open J. Epidemiol. 2012, 2, 75–82. [Google Scholar] [CrossRef]
- Soh, J.; Sandham, A.; Chan, Y.H. Occlusal status in Asian male adults: Prevalence and ethnic variation. Angle Orthod. 2005, 75, 814–820. [Google Scholar] [PubMed]
- Cenzato, N.; Nobili, A.; Maspero, C. Prevalence of dental malocclusions in different geographical areas: Scoping review. Dent. J. 2021, 9, 117. [Google Scholar] [CrossRef] [PubMed]
- Xue, F.; Wong, R.; Rabie, A. Genes, genetics, and Class III malocclusion. Orthod. Craniofac. Res. 2010, 13, 69–74. [Google Scholar] [CrossRef]
- Piao, Y.; Kim, S.-J.; Yu, H.-S.; Cha, J.-Y.; Baik, H.-S. Five-year investigation of a large orthodontic patient population at a dental hospital in South Korea. Korean J. Orthod. 2016, 46, 137–145. [Google Scholar] [CrossRef]
- Inchingolo, A.M.; Patano, A.; Malcangi, G.; Azzollini, D.; Laudadio, C.; Ciocia, A.M.; Sardano, R.; Ferrante, L.; Campanelli, M.; Dipalma, G. Mandibular Molar Distalization in Class III Malocclusion: A Systematic Review. Appl. Sci. 2023, 13, 9337. [Google Scholar] [CrossRef]
- Rey, D.; Aristizabal, J.F.; Oberti, G.; Angel, D. Mandibular cervical headgear in orthopedic and orthodontic treatment of Class III cases. World J. Orthod. 2006, 7, 165–176. [Google Scholar]
- He, S.; Gao, J.; Wamalwa, P.; Wang, Y.; Zou, S.; Chen, S. Camouflage treatment of skeletal Class III malocclusion with multiloop edgewise arch wire and modified Class III elastics by maxillary mini-implant anchorage. Angle Orthod. 2013, 83, 630–640. [Google Scholar] [CrossRef]
- Graber, L.W.; Huang, G.J.; Fleming, P.S. Orthodontics: Current Principles and Techniques, 7th ed.; Elsevier: St. Louis, MI, USA, 2023; p. 192. [Google Scholar]
- Yu, J.; Park, J.H.; Bayome, M.; Kim, S.; Kook, Y.-A.; Kim, Y.; Kim, C.-H. Treatment effects of mandibular total arch distalization using a ramal plate. Korean J. Orthod. 2016, 46, 212–219. [Google Scholar] [CrossRef]
- Kook, Y.-A.; Park, J.H.; Bayome, M.; Kim, S.; Han, E.; Kim, C.H. Distalization of the mandibular dentition with a ramal plate for skeletal Class III malocclusion correction. Am. J. Orthod. Dentofac. Orthop. 2016, 150, 364–377. [Google Scholar] [CrossRef]
- Kim, Y.B.; Bayome, M.; Park, J.H.; Lim, H.J.; Mo, S.S.; Lee, N.K.; Kook, Y.A. Displacement of mandibular dentition during total arch distalization according to locations and types of TSAD s: 3D Finite element analysis. Orthod. Craniofac. Res. 2019, 22, 46–52. [Google Scholar] [CrossRef] [PubMed]
- Yeon, B.M.; Lee, N.-K.; Park, J.H.; Kim, J.M.; Kim, S.-H.; Kook, Y.-A. Comparison of treatment effects after total mandibular arch distalization with miniscrews vs ramal plates in patients with Class III malocclusion. Am. J. Orthod. Dentofac. Orthop. 2022, 161, 529–536. [Google Scholar] [CrossRef] [PubMed]
- Poggio, P.M.; Incorvati, C.; Velo, S.; Carano, A. “Safe zones”: A guide for miniscrew positioning in the maxillary and mandibular arch. Angle Orthod. 2006, 76, 191–197. [Google Scholar] [PubMed]
- Ludwig, B.; Glasl, B.; Kinzinger, G.S.; Lietz, T.; Lisson, J.A. Anatomical guidelines for miniscrew insertion: Vestibular interradicular sites. J. Clin. Orthod. 2011, 45, 165–173. [Google Scholar]
- Hu, H.; Chen, J.; Guo, J.; Li, F.; Liu, Z.; He, S.; Zou, S. Distalization of the mandibular dentition of an adult with a skeletal Class III malocclusion. Am. J. Orthod. Dentofac. Orthop. 2012, 142, 854–862. [Google Scholar] [CrossRef]
- Tai, K.; Park, J.H.; Tatamiya, M.; Kojima, Y. Distal movement of the mandibular dentition with temporary skeletal anchorage devices to correct a Class III malocclusion. Am. J. Orthod. Dentofac. Orthop. 2013, 144, 715–725. [Google Scholar] [CrossRef]
- Jing, Y.; Han, X.; Guo, Y.; Li, J.; Bai, D. Nonsurgical correction of a Class III malocclusion in an adult by miniscrew-assisted mandibular dentition distalization. Am. J. Orthod. Dentofac. Orthop. 2013, 143, 877–887. [Google Scholar] [CrossRef]
- Baccetti, T.; Franchi, L.; McNamara, J.A., Jr. An improved version of the cervical vertebral maturation (CVM) method for the assessment of mandibular growth. Angle Orthod. 2002, 72, 316–323. [Google Scholar]
- Azeem, M.; Saleem, M.M.; Liaquat, A.; Haq, A.U.; Hamid, W.U.; Masood, M. Failure rates of mini-implants inserted in the retromolar area. Int. Orthod. 2019, 17, 53–59. [Google Scholar] [CrossRef]
- Schätzle, M.; Männchen, R.; Zwahlen, M.; Lang, N.P. Survival and failure rates of orthodontic temporary anchorage devices: A systematic review. Clin. Oral Implant. Res. 2009, 20, 1351–1359. [Google Scholar] [CrossRef]
- Uesugi, S.; Kokai, S.; Kanno, Z.; Ono, T. Prognosis of primary and secondary insertions of orthodontic miniscrews: What we have learned from 500 implants. Am. J. Orthod. Dentofac. Orthop. 2017, 152, 224–231. [Google Scholar] [CrossRef] [PubMed]
- Lam, R.; Goonewardene, M.S.; Allan, B.P.; Sugawara, J. Success rates of a skeletal anchorage system in orthodontics: A retrospective analysis. Angle Orthod. 2018, 88, 27–34. [Google Scholar] [CrossRef] [PubMed]
- Sugawara, J.; Daimaruya, T.; Umemori, M.; Nagasaka, H.; Takahashi, I.; Kawamura, H.; Mitani, H. Distal movement of mandibular molars in adult patients with the skeletal anchorage system. Am. J. Orthod. Dentofac. Orthop. 2004, 125, 130–138. [Google Scholar] [CrossRef] [PubMed]
- Kim, S.-J.; Choi, T.-H.; Baik, H.-S.; Park, Y.-C.; Lee, K.-J. Mandibular posterior anatomic limit for molar distalization. Am. J. Orthod. Dentofac. Orthop. 2014, 146, 190–197. [Google Scholar] [CrossRef]
- Liu, K.; Chu, G.; Zhang, C.; Yang, Y. Boundary of mandibular molar distalization in orthodontic treatment: A systematic review and meta-analysis. Orthod. Craniofac. Res. 2024, 27, 515–526. [Google Scholar] [CrossRef]
- Farret, M.M.; Farret, M.M.B.; Farret, A.M. Orthodontic camouflage of skeletal Class III malocclusion with miniplate: A case report. Dent. Press J. Orthod. 2016, 21, 89–98. [Google Scholar] [CrossRef]
- American Academy of Oral and Maxillofacial Radiology. Clinical recommendations regarding use of cone beam computed tomography in orthodontics. [corrected]. Position statement by the American Academy of Oral and Maxillofacial Radiology. Oral Surg. Oral Med. Oral Pathol. Oral Radiol. 2013, 116, 238–257. [Google Scholar] [CrossRef]







| Variables | Definitions |
|---|---|
| Frankfort Horizontal (FH) Plane | Plane extending from the most inferior point of the orbital margin to the external auditory meatus. |
| Vertical Frankfort Horizontal (VFH) | Plane that is perpendicular to the Frankfort plane and passes through the most posterior point of the pterygomaxillary fissure. |
| Mandibular Plane (MP) | Plane extending from the gonion to menton. |
| Molar Crown (6C) to B | Distance from the first molar crown to the vertical Frankfort horizontal (VFH). |
| Molar Root (6R) to B | Distance from the first molar root to the vertical Frankfort horizontal (VFH). |
| Incisal Tip (1T) to B | Distance from the incisal tip to the vertical Frankfort horizontal (VFH). |
| Incisal Root (1R) to B | Distance from the incisal root to the vertical Frankfort horizontal (VFH). |
| Molar Crown (6C) to C | Distance from the first molar crown to the mandibular plane (MP). |
| Molar Root (6R) to C | Distance from the first molar root to the mandibular plane (MP). |
| Incisal Tip (1T) to C | Distance from the incisal tip to the mandibular plane (MP). |
| Incisal Root (1R) to C | Distance from the incisal root to the mandibular plane (MP). |
| Molar Long Axis/C (6/MP) Angle | Angle formed between the first molar long axis and mandibular plane (MP). |
| Incisor Long Axis/C (1/MP) Angle | Angle formed between the incisor long axis and the mandibular plane (MP). |
| Variables | Definitions |
|---|---|
| Arch Depth | Distance from the line between the most distal points of the first molars to the contact point formed by the central incisors. |
| Intercanine Width | The distance between the canine cusp tips. |
| 1st Interpremolar Width | The distance between the first premolar buccal cusp tips. |
| 2nd Interpremolar Width | The distance between the second premolar buccal cusp tips. |
| 1st Intermolar Width | The distance between the mesiobuccal cusp tips of the first molars. |
| Variables | Pretreatment | Post-Treatment | Treatment Effects | p |
|---|---|---|---|---|
| 6C to VFH (mm) | 21.74 ± 3.88 | 18.09 ± 4.19 | −3.65 | 0.000 * |
| 6R to VFH (mm) | 19.45 ± 4.05 | 17.64 ± 3.94 | −1.81 | 0.000 * |
| 1C to VFH (mm) | 54.68 ± 2.81 | 51.36 ± 2.91 | −3.32 | 0.000 * |
| 1R to VFH (mm) | 47.62 ± 3.50 | 46.81 ± 3.68 | −0.81 | 0.002 * |
| 6C to MP (mm) | 25.57 ± 3.57 | 25.75 ± 3.46 | 0.18 | 0.367 |
| 6R to MP (mm) | 12.29 ± 2.91 | 12.97 ± 2.87 | 0.68 | 0.086 |
| 1C to MP (mm) | 41.25 ± 3.27 | 42.01 ± 4.27 | 0.76 | 0.123 |
| 1R to MP (mm) | 24.54 ± 2.74 | 25.78 ± 2.88 | 1.24 | 0.003 * |
| L1-MP angle (°) | 83.88 ± 4.93 | 75.86 ± 4.65 | −8.02 | 0.000 * |
| L6-MP angle (°) | 72.37 ± 8.03 | 66.01 ± 7.74 | −6.36 | 0.000 * |
| Overjet (mm) | 0.19 ± 1.87 | 3.67 ± 0.96 | 3.48 | 0.000 *† |
| Overbite (mm) | 0.68 ± 1.33 | 2.25 ± 0.91 | 1.57 | 0.000 *† |
| Skeletal Variables | Pretreatment | Post-Treatment | Treatment Effects | p |
|---|---|---|---|---|
| SNA (°) | 82.14 ± 3.70 | 81.99 ± 3.73 | −0.15 | 0.419 |
| SNB (°) | 83.21 ± 3.73 | 82.84 ± 3.54 | −0.37 | 0.114 † |
| ANB (°) | −1.07 ± 2.30 | −0.66 ± 2.26 | 0.41 | 0.123 |
| Wits appraisal (mm) | −7.06 ± 1.89 | −5.50 ± 2.29 | 1.56 | 0.000 * |
| Pog to N perpendicular (mm) | 4.43 ± 5.71 | 4.40 ± 5.59 | −0.03 | 0.946 |
| FMA (°) | 26.86 ± 6.79 | 27.03 ± 6.78 | 0.17 | 0.550 |
| Facial height ratio (%) | 65.46 ± 5.12 | 65.68 ± 4.88 | 0.22 | 0.496 |
| Soft tissue variables | ||||
| Mentolabial angle (°) | 137.08 ± 9.51 | 139.21 ± 9.62 | 2.13 | 0.182 |
| Upper lip E-plane (mm) | −2.21 ± 1.72 | −2.18 ± 1.51 | 0.03 | 0.989 † |
| Lower lip E-plane (mm) | 1.73 ± 2.61 | 0.47 ± 2.15 | −1.26 | 0.003 *† |
| Soft tissue Pog to VFH (mm) | 61.40 ± 6.01 | 60.55 ± 6.02 | −0.85 | 0.000 * |
| Maxillary Arch Dimensions (mm) | Pretreatment | Post-Treatment | Treatment Effects | p |
| Arch depth | 37.51 ± 2.90 | 37.84 ± 2.49 | 0.33 | 0.387 |
| Intercanine width | 35.52 ± 1.90 | 37.17 ± 1.49 | 1.65 | 0.000 ** |
| 1st Interpremolar width | 44.01 ± 2.74 | 46.86 ± 1.45 | 2.85 | 0.000 ** |
| 2nd Interpremolar width | 50.64 ± 3.52 | 52.22 ± 1.64 | 1.58 | 0.044 * |
| 1st Intermolar width | 56.22 ± 3.41 | 56.05 ± 3.20 | −0.17 | 0.966 |
| Mandibular Arch Dimensions (mm) | ||||
| Arch depth | 34.17 ± 2.54 | 33.89 ± 1.83 | −0.28 | 0.227 |
| Intercanine width | 27.75 ± 1.88 | 27.17 ± 1.73 | −0.58 | 0.110 |
| 1st Interpremolar width | 34.28 ± 2.93 | 37.21 ± 1.63 | 2.93 | 0.000 **† |
| 2nd Interpremolar width | 41.44 ± 3.49 | 43.92 ± 1.68 | 2.48 | 0.000 ** |
| 1st Intermolar width | 47.81 ± 3.05 | 48.75 ± 2.03 | 0.94 | 0.041 * |
Disclaimer/Publisher’s Note: The statements, opinions and data contained in all publications are solely those of the individual author(s) and contributor(s) and not of MDPI and/or the editor(s). MDPI and/or the editor(s) disclaim responsibility for any injury to people or property resulting from any ideas, methods, instructions or products referred to in the content. |
© 2024 by the authors. Licensee MDPI, Basel, Switzerland. This article is an open access article distributed under the terms and conditions of the Creative Commons Attribution (CC BY) license (https://creativecommons.org/licenses/by/4.0/).
Share and Cite
Almadih, A.; Chou, A.H.K.; Kook, Y.-A.; Mo, S.-S.; Han, S.H. Correction of Severe Class III Malocclusion by Mandibular Molar Distalization with Ramal Plates. Appl. Sci. 2024, 14, 11157. https://doi.org/10.3390/app142311157
Almadih A, Chou AHK, Kook Y-A, Mo S-S, Han SH. Correction of Severe Class III Malocclusion by Mandibular Molar Distalization with Ramal Plates. Applied Sciences. 2024; 14(23):11157. https://doi.org/10.3390/app142311157
Chicago/Turabian StyleAlmadih, Ahmed, Alex Hung Kuo Chou, Yoon-Ah Kook, Sung-Seo Mo, and Seong Ho Han. 2024. "Correction of Severe Class III Malocclusion by Mandibular Molar Distalization with Ramal Plates" Applied Sciences 14, no. 23: 11157. https://doi.org/10.3390/app142311157
APA StyleAlmadih, A., Chou, A. H. K., Kook, Y.-A., Mo, S.-S., & Han, S. H. (2024). Correction of Severe Class III Malocclusion by Mandibular Molar Distalization with Ramal Plates. Applied Sciences, 14(23), 11157. https://doi.org/10.3390/app142311157

