Phytochemical Constituents and Biological Properties of Finger Lime (Citrus australasica F. Muell.) Peel, Pulp and Seeds
Abstract
1. Introduction
2. Materials and Methods
2.1. Plant Materials
2.2. SPME-GC/MS Analysis of Peel, Pulp and Seeds
2.3. Extraction Procedures
2.4. GC-MS Analysis of the Peel Extract after Derivatization
2.5. NMR Analysis of the Peel, Pulp and Seeds
2.6. Inhibition of Cholinesterases (ChEs)
Percent Inhibition of ChE
2.7. Cells Cultures
2.8. Cell Viability Assay
2.9. Cell Cycle Analysis
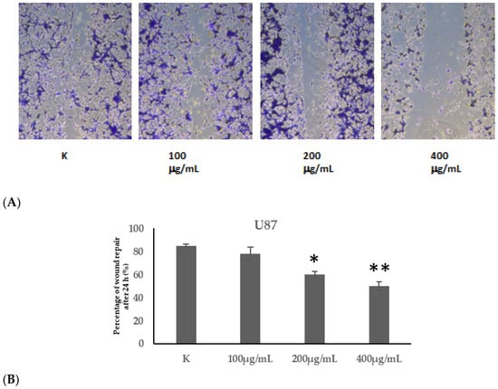
2.10. Wound Assay
2.11. CD44 Expression by Flow Cytometric Analysis
2.12. CD44 Expression by Immunofluorescence Microscopy Observations
2.13. Statistical Analysis
3. Results and Discussion
3.1. Volatile Chemical Composition
3.2. Peel Extract Chemical Composition
3.3. NMR Results
3.4. Enzyme Inhibition
3.5. Cell Viability Assay
3.6. Cell Cycle Analysis
3.7. Wound Assay
3.8. Flow Cytometry (FC) CD44 Evaluation
3.9. CD44 Expression by Immunofluorescence Microscopy on U87 and LN18 Cells
4. Conclusions
Author Contributions
Funding
Institutional Review Board Statement
Informed Consent Statement
Data Availability Statement
Acknowledgments
Conflicts of Interest
References
- Wang, X.; Ouyang, Y.; Liu, J.; Zhu, M.; Zhao, G.; Bao, W.; Hu, F.B. Fruit and vegetable consumption and mortality from all causes, cardiovascular disease, and cancer: Systematic review and dose-response meta-analysis of prospective cohort studies. BMJ 2014, 349, g4490. [Google Scholar] [CrossRef] [PubMed]
- Zou, Z.; Xi, W.; Hu, Y.; Nie, C.; Zhou, Z. Antioxidant activity of Citrus fruits. Food Chem. 2016, 196, 885–896. [Google Scholar] [CrossRef]
- Ladaniya, M.S. Nutritive and medicinal value of citrus fruits. In Citrus Fruit Biology, Technology and Evaluation; Ladaniya, M.S., Ed.; Academic Press: Cambridge, MA, USA, 2008. [Google Scholar]
- Lv, X.; Zhao, S.; Ning, Z.; Zeng, H.; Shu, Y.; Tao, O.; Xiao, C.; Liu, C.; Liu, Y. Citrus fruits as a treasure trove of active natural metabolites that potentially provide benefits for human health. Chem. Cent. J. 2015, 9, 68. [Google Scholar] [CrossRef] [PubMed]
- Lourenço, S.C.; Moldão-Martins, M.; Alves, V.D. Antioxidants of Natural Plant Origins: From Sources to Food Industry Applications. Molecules 2019, 24, 4132. [Google Scholar] [CrossRef] [PubMed]
- Hamilton, K.N.; Ashmore, S.E.; Drew, R.A. Development of conservation strategies for Citrus species of importance to Australia. Acta Hortic. 2005, 694, 111–115. [Google Scholar] [CrossRef]
- Delort, E.; Yuan, Y.-M.; Rodrigues, S.; de Oliveira Silva, E.; de Brito, E.S. (Eds.) Finger lime/the Australian caviar—Citrus australasica; Exotic Fruits Academic Press: Cambridge, MA, USA, 2018; pp. 203–210. [Google Scholar]
- Hawkeswood, T.J. A review of some publications concerning Citrus (Microcitrus) australasica F. Muell. (Rutaceae) in Australia and South-East Asia (mostly Thailand). Calodema 2017, 581, 1–14. [Google Scholar]
- Adhikari, B.; Dutt, M.; Vashisth, T. Comparative phytochemical analysis of the fruits of four Florida-grown finger lime (Citrus australasica) selections. LWT 2021, 135, 110003. [Google Scholar] [CrossRef]
- Vitalini, S.; Iriti, M.; Vinciguerra, V.; Garzoli, S. A Comparative Study of the Chemical Composition by SPME-GC/MS and Antiradical Activity of Less Common Citrus Species. Molecules 2021, 26, 5378. [Google Scholar] [CrossRef] [PubMed]
- Vitalini, S.; Iriti, M.; Ovidi, E.; Laghezza Masci, V.; Tiezzi, A.; Garzoli, S. Detection of Volatiles by HS-SPME-GC/MS and Biological Effect Evaluation of Buddha’s Hand Fruit. Molecules 2022, 27, 1666. [Google Scholar] [CrossRef] [PubMed]
- Wishart, D.S.; Guo, A.; Oler, E.; Wang, F.; Anjum, A.; Peters, H.; Dizon, R.; Sayeeda, Z.; Tian, S.; Lee, B.L.; et al. HMDB 5.0: The Human Metabolome Database for 2022. Nucleic Acids Res. 2022, 7, 622–631. [Google Scholar] [CrossRef]
- Ellman, G.L.; Courtney, K.D.; Andres, V., Jr.; Featherstone, R.M. A new and rapid colorimetric determination of acetylcholinesterase activity. Biochem. Pharmacol. 1961, 7, 88–95. [Google Scholar] [CrossRef]
- Dhungel, L.; Rowsey, M.E.; Harris, C.; Raucher, D. Synergistic Effects of Temozolomide and Doxorubicin in the Treatment of Glioblastoma Multiforme: Enhancing Efficacy through Combination Therapy. Molecules 2024, 29, 840. [Google Scholar] [CrossRef]
- Towner, R.A.; Smith, N.; Saunders, D.; Brown, C.A.; Cai, X.; Ziegler, J.; Mallory, S.; Dozmorov, M.G.; Coutinho De Souza, P.; Wiley, G.; et al. OKN-007 Increases temozolomide (TMZ) Sensitivity and Suppresses TMZ-Resistant Glioblastoma (GBM) Tumor Growth. Transl. Onc. 2019, 12, 320–335. [Google Scholar] [CrossRef]
- Johnson, J.B.; Batley, R.; Manson, D.; White, S.; Naiker, M. Volatile compounds, phenolic acid profiles and phytochemical content of five Australian finger lime (Citrus australasica) cultivars. LWT 2022, 154, 112640. [Google Scholar] [CrossRef]
- Al Juhaimi, F.; Musa Özcan, M.; Uslu, N.; Ghafoor, K.; Babiker, E.E.; Adiamo, O.K.; Alsawmahi, O.N. The effects of conventional heating on phenolic compounds and antioxidant activities of olive leaves. J. Food Sci. Technol. 2018, 55, 4204–4211. [Google Scholar] [CrossRef]
- Al Juhaimi, F.; Özcan, M.M.; Uslu, N.; Ghafoor, K. The effect of drying temperatures on antioxidant activity, phenolic compounds, fatty acid composition and tocopherol contents in citrus seed and oils. J. Food Sci. Technol. 2018, 55, 190–197. [Google Scholar] [CrossRef]
- Reazai, M.; Mohammadpourfard, I.; Nazmara, S.; Jahanbakhsh, M.; Shiri, L. Physicochemical Characteristics of Citrus Seed Oils from Kerman, Iran. J. Lipids 2014, 1, 174954. [Google Scholar] [CrossRef]
- Tan, T.; Li, J.; Luo, R.; Wang, R.; Yin, L.; Liu, M.; Zeng, Y.; Zeng, Z.; Xie, T. Recent Advances in Understanding the Mechanisms of Elemene in Reversing Drug Resistance in Tumor Cells: A Review. Molecules 2021, 26, 5792. [Google Scholar] [CrossRef]
- Aznar, R.; Rodríguez-Pérez, C.; Rai, D.K. Comprehensive Characterization and Quantification of Antioxidant Compounds in Finger Lime (Citrus australasica L.) by HPLC-QTof-MS and UPLC-MS/MS. Appl. Sci. 2022, 12, 1712. [Google Scholar] [CrossRef]
- Abdel-Salam, O.M.; Youness, E.R.; Mohammed, N.A.; Morsy, S.M.; Omara, E.A.; Sleem, A. Citric acid effects on brain and liver oxidative stress in lipopolysaccharide-treated mice. J. Med. Food 2014, 17, 588–598. [Google Scholar] [CrossRef] [PubMed]
- Niaz, K.; Nawaz, M.A.; Pervez, S.; Younas, U.; Shah, I.; Khan, F. Total scale analysis of organic acids and their role to mitigate Alzheimer’s. S. Afr. J. Bot. 2022, 144, 437–447. [Google Scholar] [CrossRef]
- Sadaoui, N.; Bec, N.; Barragan-Montero, V.; Kadri, N.; Cuisinier, F.; Larroque, C.; Ara, K.; Khettal, B. The essential oil of Algerian Ammodaucus leucotrichus Coss. & Dur. and its effect on the cholinesterase and monoamine oxidase activities. Fitoterapia 2018, 130, 1–5. [Google Scholar]
- Baset, M.A.; Islam, M.S.; Shamsuddin, Z.H. Altered sex expression by plant growth regulators: An overview in medicinal vegetable bitter gourd (Momordica charantia L.). J. Med. Plants Res. 2014, 8, 361–367. [Google Scholar]
- Olennikov, D.N.; Kashchenko, N.I.; Chirikova, N.K.; Akobirshoeva, A.; Zilfikarov, I.N.; Vennos, C. Isorhamnetin and Quercetin Derivatives as Anti-Acetylcholinesterase Principles of Marigold (Calendula officinalis) Flowers and Preparations. Int. J. Mol. Sci. 2017, 18, 1685. [Google Scholar] [CrossRef]
- Chung, Y.-K.; Heo, H.-J.; Kim, E.-K.; Kim, H.-K.; Huh, T.-L.; Lim, Y.; Kim, S.-K.; Shin, D.-H. Inhibitory Effect of Ursolic Acid Purified from Origanum majorana L. on the Acetylcholinesterase. Mol. Cells 2011, 2, 137–143. [Google Scholar] [CrossRef]
- Da Ros, M.; De Gregorio, V.; Iorio, A.L.; Giunti, L.; Guidi, M.; de Martino, M.; Genitori, L.; Sardi, I. Glioblastoma chemoresistance: The double play by microenvironment and blood-brain barrier. Int. J. Mol. Sci. 2018, 19, 2879. [Google Scholar] [CrossRef]
- Rooprai, H.K.; Christidou, M.; Murray, S.A.; Davies, D.; Selway, R.; Gullan, R.W.; Pilkington, G.J. Inhibition of Invasion by Polyphenols from Citrus Fruit and Berries in Human Malignant Glioma Cells In Vitro. Anticancer Res. 2021, 41, 619–633. [Google Scholar] [CrossRef]
- Zöller, M. CD44: Can a Cancer-Initiating Cell Profit from an Abundantly Expressed Molecule? Nat. Rev. Cancer 2011, 11, 254–267. [Google Scholar] [CrossRef]
- Si, D.; Yin, F.; Peng, J.; Zhang, G. High Expression of CD44 Predicts a Poor Prognosis in Glioblastomas. Cancer Manag. Res. 2020, 12, 769–775. [Google Scholar] [CrossRef]
- Hou, C.; Lin, H.; Wang, P.; Yang, Y.; Cen, S.; Zhou, D. Comment on “Expression of CD44 and the Survival in Glioma: A Meta-Analysis”. Biosci. Rep. 2020, 40, BSR20202812. [Google Scholar] [CrossRef]
- Mishra, M.N.; Chandavarkar, V.; Sharma, R.; Bhargava, D. Structure, Function and Role of CD44 in Neoplasia. J. Oral Maxillofac. Pathol. 2019, 23, 267–272. [Google Scholar] [CrossRef] [PubMed]
- Colone, M.; Calcabrini, A.; Toccacieli, L.; Bozzuto, G.; Stringaro, A.; Gentile, M.; Cianfriglia, M.; Ciervo, A.; Caraglia, M.; Budillon, A.; et al. The Multidrug Transporter P-Glycoprotein: A Mediator of Melanoma Invasion? J. Investig. Dermatol. 2008, 128, 957–971. [Google Scholar] [CrossRef] [PubMed]
- Inoue, A.; Ohnishi, T.; Nishikawa, M.; Ohtsuka, Y.; Kusakabe, K.; Yano, H.; Tanaka, J.; Kunieda, T. A Narrative Review on CD44′s Role in Glioblastoma Invasion, Proliferation, and Tumor Recurrence. Cancers 2023, 15, 4898. [Google Scholar] [CrossRef] [PubMed]









| N° | COMPONENT 1 | LRI 2 | LRI 3 | Peel 4 (%) | Pulp 5 (%) | Seeds 6 (%) |
|---|---|---|---|---|---|---|
| 1 | α-thujene | 918 | 923 | 0.4 ± 0.02 | 0.4 ± 0.03 | 0.6 ± 0.03 |
| 2 | α-pinene | 935 | 943 | 1.5 ± 0.02 | - | - |
| 3 | sabinene | 958 | 962 | - | 0.8 ± 0.03 | - |
| 4 | β-pinene | 981 | 986 | 32.4 ± 0.15 | - | - |
| 5 | α-phellandrene | 1000 | 1005 | - | 0.5 ± 0.02 | - |
| 6 | α-terpinene | 1017 | 1019 | 0.2 ± 0.02 | - | 4.8 ± 0.05 |
| 7 | limonene | 1024 | 1023 | 62.6 ± 0.17 | 41.5 ± 0.20 | 40.4 ± 0.14 |
| 8 | cis-β-ocimene | 1035 | 1032 | 0.2 ± 0.02 | 0.4 ± 0.02 | - |
| 9 | γ-terpinene | 1049 | 1054 | 0.7 ± 0.03 | 14.8 ± 0.09 | 13.9 ± 0.07 |
| 10 | isoterpinolene | 1078 | 1081 | 0.1 ± 0.00 | 2.0 ± 0.02 | 1.3 ± 0.02 |
| 11 | trans-sabinene hydrate | 1091 | 1098 | 0.1 ± 0.02 | 38.4 ± 0.20 | 35.9 ± 0.11 |
| 12 | 1,3,8-p-menthatriene | 1115 | 1118 | - | 0.7 ± 0.20 | - |
| 13 | δ-elemene | 1341 | 1347 | 0.6 ± 0.06 | - | - |
| 14 | α-cubebene | 1355 | 1350 | 0.1 ± 0.00 | - | - |
| 15 | γ-elemene | 1447 | 1445 | 1.0 ± 0.03 | - | - |
| 16 | α-farnesene | 1489 | 1496 | - | 0.2 ± 0.01 | - |
| 17 | guaia-1(10),11-diene | 1501 | 1505 | - | 0.3 ± 0.02 | 3.0 ± 0.03 |
| SUM | 99.9 | 100.0 | 99.9 | |||
| Monoterpene hydrocarbons | 98.1 | 60.4 | 61.0 | |||
| Oxygenated monoterpenes | 0.1 | 38.4 | 35.9 | |||
| Sesquiterpene hydrocarbons | 1.7 | 0.5 | 3.0 | |||
| Others | - | 0.7 | - |
| N° | Component | Extract (%) 1 |
|---|---|---|
| Carboxylic Acids | ||
| 1 | pyruvic acid | tr |
| 2 | succinic acid | tr |
| 3 | itaconic acid | 0.6 |
| 4 | glycolic acid | 0.2 |
| 5 | malic acid | 2.3 |
| 6 | citric acid | 88.7 |
| 7 | quininic acid | 2.8 |
| 8 | ascorbic acid | 0.2 |
| Fatty Acids | ||
| 9 | linoleic acid | 0.5 |
| 10 | palmitic acid | 0.5 |
| 11 | trans-9-octadecenoic acid | 0.9 |
| Sugars | ||
| 12 | D-talopyranose | 0.6 |
| 13 | D-talofuranose | 0.5 |
| 14 | D-allofuranose | 0.4 |
| Triterpenes | ||
| 15 | ursolic acid | 1.1 |
| Molecule | Peel | Pulp | Seed | |
|---|---|---|---|---|
| Amino Acids | Valine | X | X | X |
| Isoleucine | X | X | X | |
| Leucine | X | X | X | |
| Threonine | X | X | X | |
| Alanine | X | X | X | |
| Aspartate | X | X | X | |
| Asparagine | X | X | X | |
| Proline | X | X | X | |
| Tyrosine | X | X | X | |
| Phenylalanine | X | X | X | |
| Tryptophan | X | X | X | |
| Organic Acids | Citrate | X | X | X |
| Malate | X | X | X | |
| Formate | X | X | X | |
| 4-hydroxycoumarate | X | X | ||
| 4-hydroxybenzoate | X | X | ||
| Gallate | X | |||
| Carbohydrates | Sucrose | X | X | X |
| Fructose | X | X | X | |
| Glucose | X | X | X | |
| Fatty Acids | Stearate | X | X | X |
| Oleate | X | X | X | |
| Linoleate | X | X | X | |
| Linolenate | X | X | X | |
| Other Compounds | Ethanol | X | X | X |
| Quercetin-3-O-glycoside | X | X | ||
| Trigonelline | X | X | ||
| 1,3,4-tryhydroxybenzene | X | |||
| Monoterpenes | X | |||
| Diterpenes | X | |||
| Extract | AChE Inhibition (%) | BChE Inhibition (%) |
|---|---|---|
| Peel (33 µg mL−1) a | 14 | NI |
| Pulp (33 µg mL−1) a | NI | NI |
| Seeds (8 µg mL−1) a | NI | NI |
Disclaimer/Publisher’s Note: The statements, opinions and data contained in all publications are solely those of the individual author(s) and contributor(s) and not of MDPI and/or the editor(s). MDPI and/or the editor(s) disclaim responsibility for any injury to people or property resulting from any ideas, methods, instructions or products referred to in the content. |
© 2024 by the authors. Licensee MDPI, Basel, Switzerland. This article is an open access article distributed under the terms and conditions of the Creative Commons Attribution (CC BY) license (https://creativecommons.org/licenses/by/4.0/).
Share and Cite
De Vita, D.; Stringaro, A.R.; Colone, M.; Dupuis, M.L.; Sciubba, F.; Scipione, L.; Garzoli, S. Phytochemical Constituents and Biological Properties of Finger Lime (Citrus australasica F. Muell.) Peel, Pulp and Seeds. Appl. Sci. 2024, 14, 6498. https://doi.org/10.3390/app14156498
De Vita D, Stringaro AR, Colone M, Dupuis ML, Sciubba F, Scipione L, Garzoli S. Phytochemical Constituents and Biological Properties of Finger Lime (Citrus australasica F. Muell.) Peel, Pulp and Seeds. Applied Sciences. 2024; 14(15):6498. https://doi.org/10.3390/app14156498
Chicago/Turabian StyleDe Vita, Daniela, Anna Rita Stringaro, Marisa Colone, Maria Luisa Dupuis, Fabio Sciubba, Luigi Scipione, and Stefania Garzoli. 2024. "Phytochemical Constituents and Biological Properties of Finger Lime (Citrus australasica F. Muell.) Peel, Pulp and Seeds" Applied Sciences 14, no. 15: 6498. https://doi.org/10.3390/app14156498
APA StyleDe Vita, D., Stringaro, A. R., Colone, M., Dupuis, M. L., Sciubba, F., Scipione, L., & Garzoli, S. (2024). Phytochemical Constituents and Biological Properties of Finger Lime (Citrus australasica F. Muell.) Peel, Pulp and Seeds. Applied Sciences, 14(15), 6498. https://doi.org/10.3390/app14156498

