CycleGAN-Driven MR-Based Pseudo-CT Synthesis for Knee Imaging Studies
Abstract
1. Introduction
2. Materials and Methods
2.1. Dataset
2.2. Cycle-Consistent Generative Adversarial Network
2.2.1. Overall Architecture
2.2.2. Cycle Consistency and Identity Loss
2.2.3. Data Preprocessing and CycleGAN Training
- The N4ITK MRI Bias Correction algorithm was applied to reduce field inhomogeneities associated with interactions and imperfections of the employed radio frequency coils. For this purpose, the implemented 3D Slicer module was used over T1-weighted MR images [33].
- MR and CT images were resampled to achieve an isotropic 1 mm space using the Resample Scalar Volume module in 3D Slicer. This step was crucial in establishing a consistent 1mm isotropic resolution across all images.
- Intra-patient registration aimed at aligning each MR–CT pair. The process included several steps: initially, manual registration was performed to ensure the same spatial localization of the images, using the Transforms module in 3D Slicer. This was followed by an automatic elastic registration step using the Elastix software (5.1.0) [34]. This critical process ensured precise correspondence between each anatomical point in both imaging modalities.
- MR and CT images were padded (zero-padding for MR images and −1024-padding for CT images) to achieve the same matrix size for all volumes, ensuring compatibility with the CycleGAN input size. This step was crucial in establishing a consistent resolution (256 × 256 × 256 voxels) across all images, effectively preventing information loss during subsequent procedures.
- CT intensity normalization was conducted to adjust the HU range from −1024 to 3071, using MATLAB (The MathWorks Inc., Natick, USA). This normalization was performed to ensure a fixed representation of 4096 gray levels, including the range for tissues.
- MR and CT images were used to create a joint mask using MATLAB. This aimed to guarantee coherence in areas where one modality lacked data compared to the other.
2.3. Evaluation Metrics
3. Experimental Results
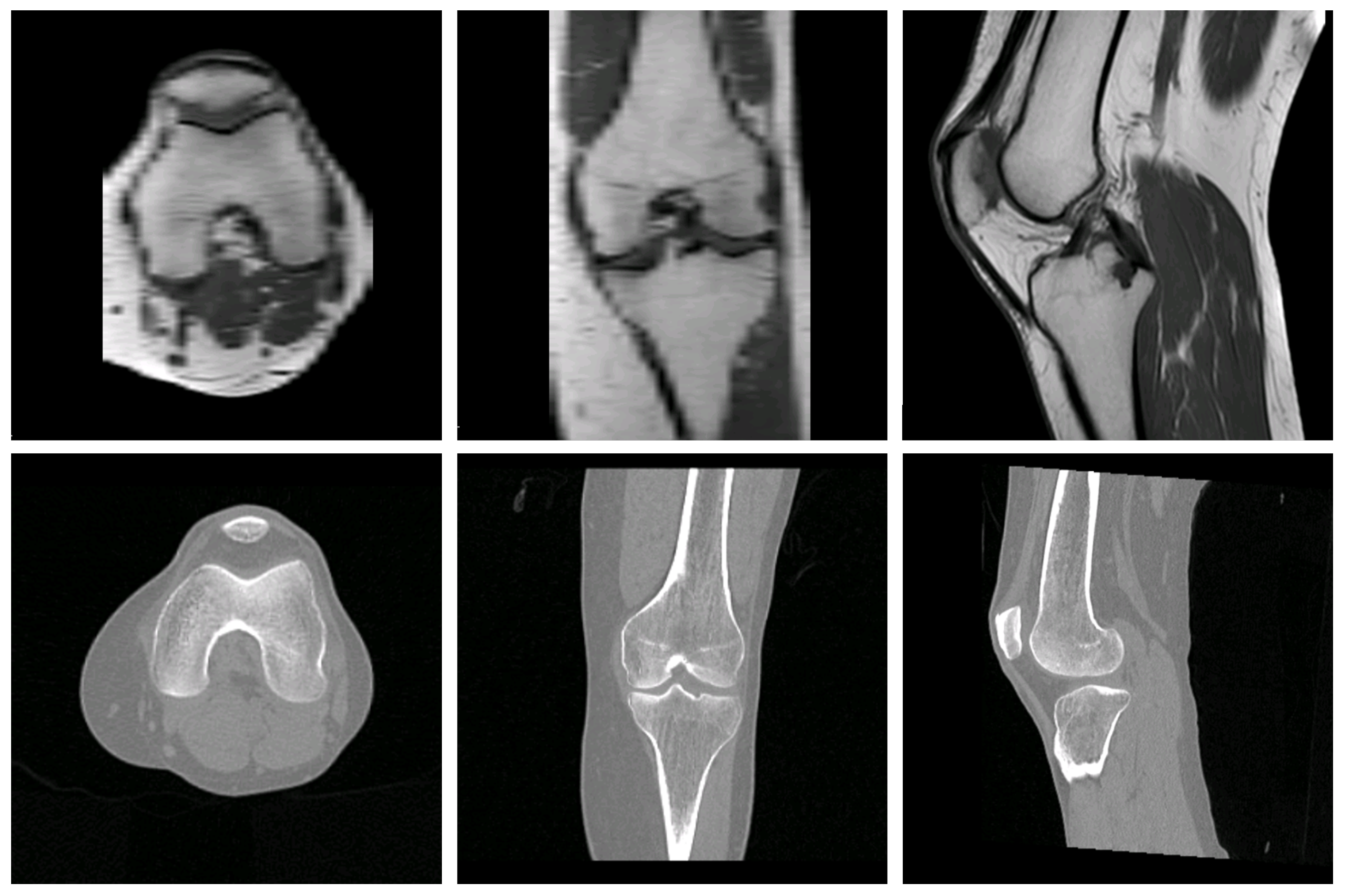
3.1. Qualitative Results
3.2. Quantitative Results
4. Discussion
5. Conclusions
Author Contributions
Funding
Institutional Review Board Statement
Informed Consent Statement
Data Availability Statement
Conflicts of Interest
Abbreviations
| MR | Magnetic Resonance |
| CT | Computed Tomography |
| HU | Hounsfield Units |
| PET | Positron Emission Tomography |
| MAE | Mean Absolute Error |
| PSNR | Peak Signal-to-Noise Ratio |
| SSIM | Structural Similarity Index |
| ZNCC | Zero Normalized Cross Correlation |
| MI | Mutual Information |
| RC | Relative Change |
| DL | Deep Learning |
| CNNs | convolutional neural networks |
| GANs | Generative Adversarial Networks |
| CycleGANs | Cycle-Consistent Generative Adversarial Networks |
References
- Davies, M.; James, S.; Botchu, R. (Eds.) Imaging of the Knee: Techniques and Applications; Springer: Cham, Switzerland, 2023. [Google Scholar]
- Altahawi, F.; Subhas, N. 3D MRI in musculoskeletal imaging: Current and future applications. Curr. Radiol. Rep. 2018, 6, 27. [Google Scholar] [CrossRef]
- Sneag, D.B.; Abel, F.; Potter, H.G.; Fritz, J.; Koff, M.F.; Chung, C.B.; Pedoia, V.; Tan, E.T. MRI Advancements in Musculoskeletal Clinical and Research Practice. Radiology 2023, 308, e230531. [Google Scholar] [CrossRef]
- Ibad, H.A.; de Cesar Netto, C.; Shakoor, D.; Sisniega, A.; Liu, S.Z.; Siewerdsen, J.H.; Carrino, J.A.; Zbijewski, W.; Demehri, S. Computed tomography: State-of-the-art advancements in musculoskeletal imaging. Investig. Radiol. 2023, 58, 99–110. [Google Scholar] [CrossRef] [PubMed]
- Demehri, S.; Baffour, F.I.; Klein, J.G.; Ghotbi, E.; Ibad, H.A.; Moradi, K.; Taguchi, K.; Fritz, J.; Carrino, J.A.; Guermazi, A.; et al. Musculoskeletal CT Imaging: State-of-the-Art Advancements and Future Directions. Radiology 2023, 308, e230344. [Google Scholar] [CrossRef] [PubMed]
- Kijowski, R.; Fritz, J. Emerging technology in musculoskeletal MRI and CT. Radiology 2023, 306, 6–19. [Google Scholar] [CrossRef] [PubMed]
- Nakamura, H.; Masuko, K.; Yudoh, K.; Kato, T.; Nishioka, K.; Sugihara, T.; Beppu, M. Positron emission tomography with 18F-FDG in osteoarthritic knee. Osteoarthr. Cartil. 2007, 15, 673–681. [Google Scholar] [CrossRef] [PubMed]
- Kamasaki, T.; Mori, K.; Taira, Y.; Orita, M.; Miyamoto, I.; Usui, T.; Chiba, K.; Kudo, T.; Takamura, N. PET/computed tomography shows association between subjective pain in knee joints and fluorine-18-fluorodeoxyglucose uptake. Nucl. Med. Commun. 2020, 41, 241–245. [Google Scholar] [CrossRef] [PubMed]
- Sandström, A.S.; Torrado-Carvajal, A.; Morrissey, E.J.; Kim, M.; Alshelh, Z.; Zhu, Y.; Li, M.D.; Chang, C.Y.; Jarraya, M.; Akeju, O.; et al. [11C]-PBR28 Positron Emission Tomography Signal as an Imaging Marker of Joint Inflammation in Knee Osteoarthritis. PAIN 2024, 165, 1121–1130. [Google Scholar] [CrossRef] [PubMed]
- Van den Ende, C.H.; Minten, M.J.; Leseman-Hoogenboom, M.M.; van den Hoogen, F.H.; Den Broeder, A.A.; Mahler, E.A.; Poortmans, P.M. Long-term efficacy of low-dose radiation therapy on symptoms in patients with knee and hand osteoarthritis: Follow-up results of two parallel randomised, sham-controlled trials. Lancet Rheumatol. 2020, 2, e42–e49. [Google Scholar] [CrossRef]
- Kim, B.H.; Shin, K.; Kim, M.J.; Kim, H.J.; Wang, J.H.; Lee, D.H.; Kim, D.H.; Sun, J.; Lee, J.H.; Kim, J.Y.; et al. Low-dose RaDiation therapy for patients with KNee osteoArthritis (LoRD-KNeA): A protocol for a sham-controlled randomised trial. BMJ Open 2023, 13, e069691. [Google Scholar] [CrossRef]
- Chong, L.; Lee, K.; Sim, F. 3D MRI with CT-like bone contrast—An overview of current approaches and practical clinical implementation. Eur. J. Radiol. 2021, 143. [Google Scholar] [CrossRef] [PubMed]
- Florkow, M.; Willemsen, K.; Mascarenhas, V.; Oei, E.; van Stralen, M.; Seevinck, P. Magnetic Resonance Imaging Versus Computed Tomography for Three-Dimensional Bone Imaging of Musculoskeletal Pathologies: A Review. J. Magn. Reson. Imaging 2022, 56, 11–34. [Google Scholar] [CrossRef] [PubMed]
- Koh, E.; Walton, E.; Watson, P. VIBE MRI: An alternative to CT in the imaging of sports-related osseous pathology? Br. J. Radiol. 2018, 91, 20170815. [Google Scholar] [CrossRef] [PubMed]
- Aydıngöz, U.; Yıldız, A.; Ergen, F. Zero Echo Time Musculoskeletal MRI: Technique, Optimization, Applications, and Pitfalls. Radiographics 2022, 42, 1398–1414. [Google Scholar] [CrossRef]
- Lombardi, A.F.; Ma, Y.J.; Jang, H.; Jerban, S.; Du, J.; Chang, E.Y.; Chung, C.B. Synthetic CT in Musculoskeletal Disorders: A Systematic Review. Investig. Radiol. 2023, 58, 43–59. [Google Scholar] [CrossRef] [PubMed]
- Merida, I.; Costes, N.; Heckemann, R.; Hammers, A. Pseudo-CT generation in brain MR-PET attenuation correction: Comparison of several multi-atlas methods. EJNMMI Phys. 2015, 2, A29. [Google Scholar] [CrossRef]
- Ladefoged, C.N.; Law, I.; Anazodo, U.; Lawrence, K.S.; Izquierdo-Garcia, D.; Catana, C.; Burgos, N.; Cardoso, M.J.; Ourselin, S.; Hutton, B.; et al. A multi-centre evaluation of eleven clinically feasible brain PET/MRI attenuation correction techniques using a large cohort of patients. Neuroimage 2017, 147, 346–359. [Google Scholar] [CrossRef]
- Teuho, J.; Torrado-Carvajal, A.; Herzog, H.; Anazodo, U.; Klén, R.; Iida, H.; Teräs, M. Magnetic resonance-based attenuation correction and scatter correction in neurological positron emission tomography/magnetic resonance imaging—Current status with emerging applications. Front. Phys. 2020, 7, 243. [Google Scholar] [CrossRef]
- Spadea, M.F.; Maspero, M.; Zaffino, P.; Seco, J. Deep learning based synthetic-CT generation in radiotherapy and PET: A review. Med. Phys. 2021, 48, 6537–6566. [Google Scholar] [CrossRef]
- Boulanger, M.; Nunes, J.C.; Chourak, H.; Largent, A.; Tahri, S.; Acosta, O.; De Crevoisier, R.; Lafond, C.; Barateau, A. Deep learning methods to generate synthetic CT from MRI in radiotherapy: A literature review. Phys. Medica 2021, 89, 265–281. [Google Scholar] [CrossRef]
- Vera-Olmos, J.; Torrado-Carvajal, A.; Prieto-de-la Lastra, C.; Catalano, O.A.; Rozenholc, Y.; Mazzeo, F.; Soricelli, A.; Salvatore, M.; Izquierdo-Garcia, D.; Malpica, N. How to Pseudo-CT: A Comparative Review of Deep Convolutional Neural Network Architectures for CT Synthesis. Appl. Sci. 2022, 12, 11600. [Google Scholar] [CrossRef]
- Martinez-Girones, P.M.; Vera-Olmos, J.; Gil-Correa, M.; Ramos, A.; Garcia-Ca namaque, L.; Izquierdo-Garcia, D.; Malpica, N.; Torrado-Carvajal, A. Franken-CT: Head and neck mr-based pseudo-CT synthesis using diverse anatomical overlapping MR–CT scans. Appl. Sci. 2021, 11, 3508. [Google Scholar] [CrossRef]
- Torrado-Carvajal, A.; Vera-Olmos, J.; Izquierdo-Garcia, D.; Catalano, O.A.; Morales, M.A.; Margolin, J.; Soricelli, A.; Salvatore, M.; Malpica, N.; Catana, C. Dixon-VIBE deep learning (DIVIDE) pseudo-CT synthesis for pelvis PET/MR attenuation correction. J. Nucl. Med. 2019, 60, 429–435. [Google Scholar] [CrossRef] [PubMed]
- Sari, H.; Reaungamornrat, J.; Catalano, O.A.; Vera-Olmos, J.; Izquierdo-Garcia, D.; Morales, M.A.; Torrado-Carvajal, A.; Ng, T.S.; Malpica, N.; Kamen, A.; et al. Evaluation of Deep Learning–Based Approaches to Segment Bowel Air Pockets and Generate Pelvic Attenuation Maps from CAIPIRINHA-Accelerated Dixon MR Images. J. Nucl. Med. 2022, 63, 468–475. [Google Scholar] [CrossRef] [PubMed]
- Pozaruk, A.; Pawar, K.; Li, S.; Carey, A.; Cheng, J.; Sudarshan, V.P.; Cholewa, M.; Grummet, J.; Chen, Z.; Egan, G. Augmented deep learning model for improved quantitative accuracy of MR-based PET attenuation correction in PSMA PET-MRI prostate imaging. Eur. J. Nucl. Med. Mol. Imaging 2021, 48, 9–20. [Google Scholar] [CrossRef] [PubMed]
- Ma, X.; Chen, X.; Li, J.; Wang, Y.; Men, K.; Dai, J. MRI-only radiotherapy planning for nasopharyngeal carcinoma using deep learning. Front. Oncol. 2021, 11, 713617. [Google Scholar] [CrossRef]
- Jabbarpour, A.; Mahdavi, S.R.; Sadr, A.V.; Esmaili, G.; Shiri, I.; Zaidi, H. Unsupervised pseudo CT generation using heterogenous multicentric CT/MR images and CycleGAN: Dosimetric assessment for 3D conformal radiotherapy. Comput. Biol. Med. 2022, 143, 105277. [Google Scholar] [CrossRef] [PubMed]
- Largent, A.; Barateau, A.; Nunes, J.C.; Lafond, C.; Greer, P.B.; Dowling, J.A.; Saint-Jalmes, H.; Acosta, O.; de Crevoisier, R. Pseudo-CT generation for MRI-only radiation therapy treatment planning: Comparison among patch-based, atlas-based, and bulk density methods. Int. J. Radiat. Oncol. Biol. Phys. 2019, 103, 479–490. [Google Scholar] [CrossRef] [PubMed]
- Largent, A.; Barateau, A.; Nunes, J.C.; Mylona, E.; Castelli, J.; Lafond, C.; Greer, P.B.; Dowling, J.A.; Baxter, J.; Saint-Jalmes, H.; et al. Comparison of deep learning-based and patch-based methods for pseudo-CT generation in MRI-based prostate dose planning. Int. J. Radiat. Oncol. Biol. Phys. 2019, 105, 1137–1150. [Google Scholar] [CrossRef]
- Zhu, J.Y.; Park, T.; Isola, P.; Efros, A.A. Unpaired image-to-image translation using cycle-consistent adversarial networks. In Proceedings of the IEEE International Conference on Computer Vision, Venice, Italy, 22–29 October 2017; pp. 2223–2232. [Google Scholar]
- Wang, J.; Wu, Q.J.; Pourpanah, F. Dc-cyclegan: Bidirectional ct-to-mr synthesis from unpaired data. Comput. Med. Imaging Graph. 2023, 108, 102249. [Google Scholar] [CrossRef]
- Kikinis, R.; Pieper, S.D.; Vosburgh, K.G. 3D Slicer: A platform for subject-specific image analysis, visualization, and clinical support. In Intraoperative Imaging and Image-Guided Therapy; Springer: Berlin/Heidelberg, Germany, 2013; pp. 277–289. [Google Scholar]
- Klein, S.; Staring, M.; Murphy, K.; Viergever, M.A.; Pluim, J.P. Elastix: A toolbox for intensity-based medical image registration. IEEE Trans. Med. Imaging 2010, 29, 196–205. [Google Scholar] [CrossRef] [PubMed]




| Age (Sex) | MR Scan | Voxel Size (mm) | Matrix Size | CT Scan | Voxel Size (mm) | Matrix Size |
|---|---|---|---|---|---|---|
| 48 (F) | Philips Achieva dStream | 0.36 × 0.36 × 3.3 | 480 × 480 × 29 | Siemens Sensation 64 | 0.74 × 0.74 × 1 | 512 × 512 × 547 |
| 46 (F) | Philips Intera | 0.35 × 0.35 × 4 | 512 × 512 × 20 | Philips Brilliance 64 | 0.27 × 0.27 × 1 | 768 × 768 × 468 |
| 53 (F) | Philips Ingenia | 0.36 × 0.36 × 3 | 448 × 448 × 34 | Philips Brilliance 64 | 0.23 × 0.23 × 1.4 | 768 × 768 × 314 |
| 37 (F) | Philips Achieva | 0.31 × 0.31 × 3 | 512 × 512 × 32 | Philips Brilliance 64 | 0.26 × 0.26 × 1.4 | 768 × 768 × 228 |
| 40 (M) | Philips Intera | 0.39 × 0.39 × 4 | 512 × 512 × 30 | Toshiba Acquilion ONE | 0.36 × 0.36 × 0.5 | 512 × 512 × 621 |
| 57 (F) | Philips Ingenia | 0.36 × 0.36 × 3 | 448 × 448 × 30 | Philips Brilliance 64 | 0.27 × 0.27 × 1.4 | 768 × 768 × 357 |
| 20 (M) | Philips Achieva dStream | 0.35 × 0.35 × 3 | 512 × 512 × 32 | Toshiba Acquilion ONE | 0.38 × 0.38 × 0.5 | 512 × 512 × 511 |
| 57 (M) | Philips Ingenia | 0.34 × 0.34 × 3 | 560 × 560 × 32 | Philips Brilliance 64 | 0.28 × 0.28 × 1.4 | 768 × 768 × 392 |
| 42 (F) | Philips Achieva dStream | 0.26 × 0.26 × 4 | 640 × 640 × 20 | Philips Brilliance 64 | 0.26 × 0.26 × 1.4 | 768 × 768 × 249 |
| 38 (M) | Philips Ingenia | 0.26 × 0.26 × 3 | 1008 × 1008 × 38 | Toshiba Acquilion ONE | 0.49 × 0.49 × 0.5 | 512 × 512 × 496 |
| 59 (M) | Philips Achieva dStream | 0.35 × 0.35 × 3 | 512 × 512 × 32 | Siemens Sensation 64 | 0.35 × 0.35 × 1 | 512 × 512 × 372 |
| 26 (M) | Siemens Avanto | 0.63 × 0.63 × 3.5 | 320 × 320 × 28 | Philips Incisive CT | 0.46 × 0.46 × 0.8 | 451 × 451 × 485 |
| 33 (M) | Philips Achieva dStream | 0.36 × 0.36 × 3 | 448 × 448 × 30 | Philips Brilliance 64 | 0.39 × 0.39 × 1.4 | 768 × 768 × 349 |
| 57 (F) | Philips Ingenia | 0.36 × 0.36 × 3 | 448 × 448 × 30 | Philips Incisive CT | 0.38 × 0.38 × 1 | 512 × 512 × 200 |
| 51 (M) | Philips Ingenia | 0.36 × 0.36 × 3 | 448 × 448 × 36 | Philips Brilliance 64 | 0.27 × 0.27 × 1.4 | 768 × 768 × 283 |
| 70 (F) | Philips Ingenia | 0.34 × 0.34 × 3 | 528 × 528 × 30 | Philips Spectral CT | 0.50 × 0.50 × 2 | 512 × 512 × 126 |
| MAE | PSNR | SSIM | ZNCC | MI | RC | |RC| |
|---|---|---|---|---|---|---|
| 30.4638 (7.4770) | 28.1168 (1.5245) | 0.9230 (0.0217) | 0.9807 (0.0071) | 0.8548 (0.1019) | 0.0126 (0.0344) | 0.0440 (0.0246) |
Disclaimer/Publisher’s Note: The statements, opinions and data contained in all publications are solely those of the individual author(s) and contributor(s) and not of MDPI and/or the editor(s). MDPI and/or the editor(s) disclaim responsibility for any injury to people or property resulting from any ideas, methods, instructions or products referred to in the content. |
© 2024 by the authors. Licensee MDPI, Basel, Switzerland. This article is an open access article distributed under the terms and conditions of the Creative Commons Attribution (CC BY) license (https://creativecommons.org/licenses/by/4.0/).
Share and Cite
Vallejo-Cendrero, D.; Molina-Maza, J.M.; Rodriguez-Gonzalez, B.; Viar-Hernandez, D.; Rodriguez-Vila, B.; Soto-Pérez-Olivares, J.; Moujir-López, J.; Suevos-Ballesteros, C.; Blázquez-Sánchez, J.; Acosta-Batlle, J.; et al. CycleGAN-Driven MR-Based Pseudo-CT Synthesis for Knee Imaging Studies. Appl. Sci. 2024, 14, 4655. https://doi.org/10.3390/app14114655
Vallejo-Cendrero D, Molina-Maza JM, Rodriguez-Gonzalez B, Viar-Hernandez D, Rodriguez-Vila B, Soto-Pérez-Olivares J, Moujir-López J, Suevos-Ballesteros C, Blázquez-Sánchez J, Acosta-Batlle J, et al. CycleGAN-Driven MR-Based Pseudo-CT Synthesis for Knee Imaging Studies. Applied Sciences. 2024; 14(11):4655. https://doi.org/10.3390/app14114655
Chicago/Turabian StyleVallejo-Cendrero, Daniel, Juan Manuel Molina-Maza, Blanca Rodriguez-Gonzalez, David Viar-Hernandez, Borja Rodriguez-Vila, Javier Soto-Pérez-Olivares, Jaime Moujir-López, Carlos Suevos-Ballesteros, Javier Blázquez-Sánchez, José Acosta-Batlle, and et al. 2024. "CycleGAN-Driven MR-Based Pseudo-CT Synthesis for Knee Imaging Studies" Applied Sciences 14, no. 11: 4655. https://doi.org/10.3390/app14114655
APA StyleVallejo-Cendrero, D., Molina-Maza, J. M., Rodriguez-Gonzalez, B., Viar-Hernandez, D., Rodriguez-Vila, B., Soto-Pérez-Olivares, J., Moujir-López, J., Suevos-Ballesteros, C., Blázquez-Sánchez, J., Acosta-Batlle, J., & Torrado-Carvajal, A. (2024). CycleGAN-Driven MR-Based Pseudo-CT Synthesis for Knee Imaging Studies. Applied Sciences, 14(11), 4655. https://doi.org/10.3390/app14114655

