Impact of Concurrent Exposure of Diabetic Male Sprague Dawley Rats to Alcohol and Combination Antiretroviral Therapy (cART) on Reproductive Capacity
Abstract
1. Introduction
2. Materials and Methods
2.1. Chemical and Reagents
2.2. Ethical Clearance
2.3. Animal Husbandry
2.4. Type 2 Diabetes Induction
2.5. Experimental Design
2.6. Testis Morphometry
2.6.1. Testis Weight and Volume
2.6.2. Testis Size
2.7. Histology and Histomorphometry (H&E)
2.8. Testicular Component Area Fractions
2.9. Seminiferous Tubule Morphometry
2.10. Germinal Epithelium Cell Quantification
2.11. Leydig Cell Morphometry
2.12. Histopathological Evaluation
2.12.1. Johnsen’s Testicular Score
2.12.2. Histological Changes
2.13. Measurement of the Seminiferous Tubule Basement Membrane (STBM)
2.14. Evaluation of the Testicular Capsule Thickness
2.15. Interstitial Connective Tissue Quantification
2.16. Immunoassay for Reproductive Hormones
2.17. Immunocytochemistry (IHC) Technique for the Androgen Receptor
2.18. Data Analysis
3. Results
3.1. Blood Glucose Level
3.2. Testis Morphometry
3.3. Testicular Component Area Fractions
3.4. Seminiferous Tubule Morphometry
3.5. Germinal Epithelium Cells
3.6. Testicular Somatic Cells (Sertoli and Leydig Cells)
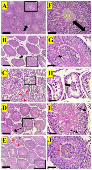
3.7. Histopathological Evaluation
3.8. Seminiferous Tubule Basement Membrane (STBM) Thickness
3.9. Testicular Capsule Thickness
3.10. Interstitial Connective Tissue
3.11. Reproductive Hormone Profile
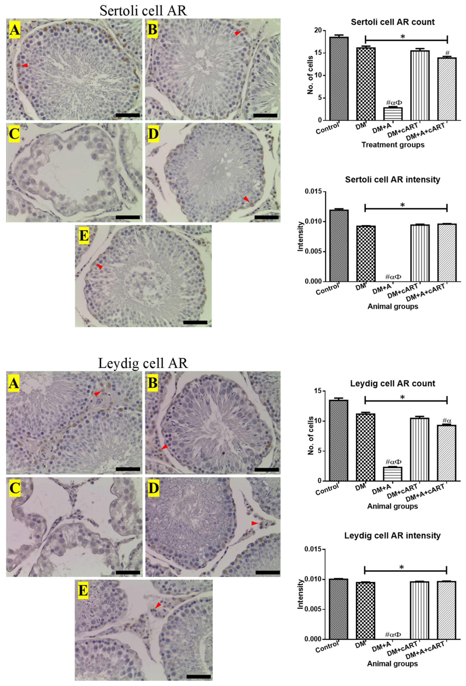
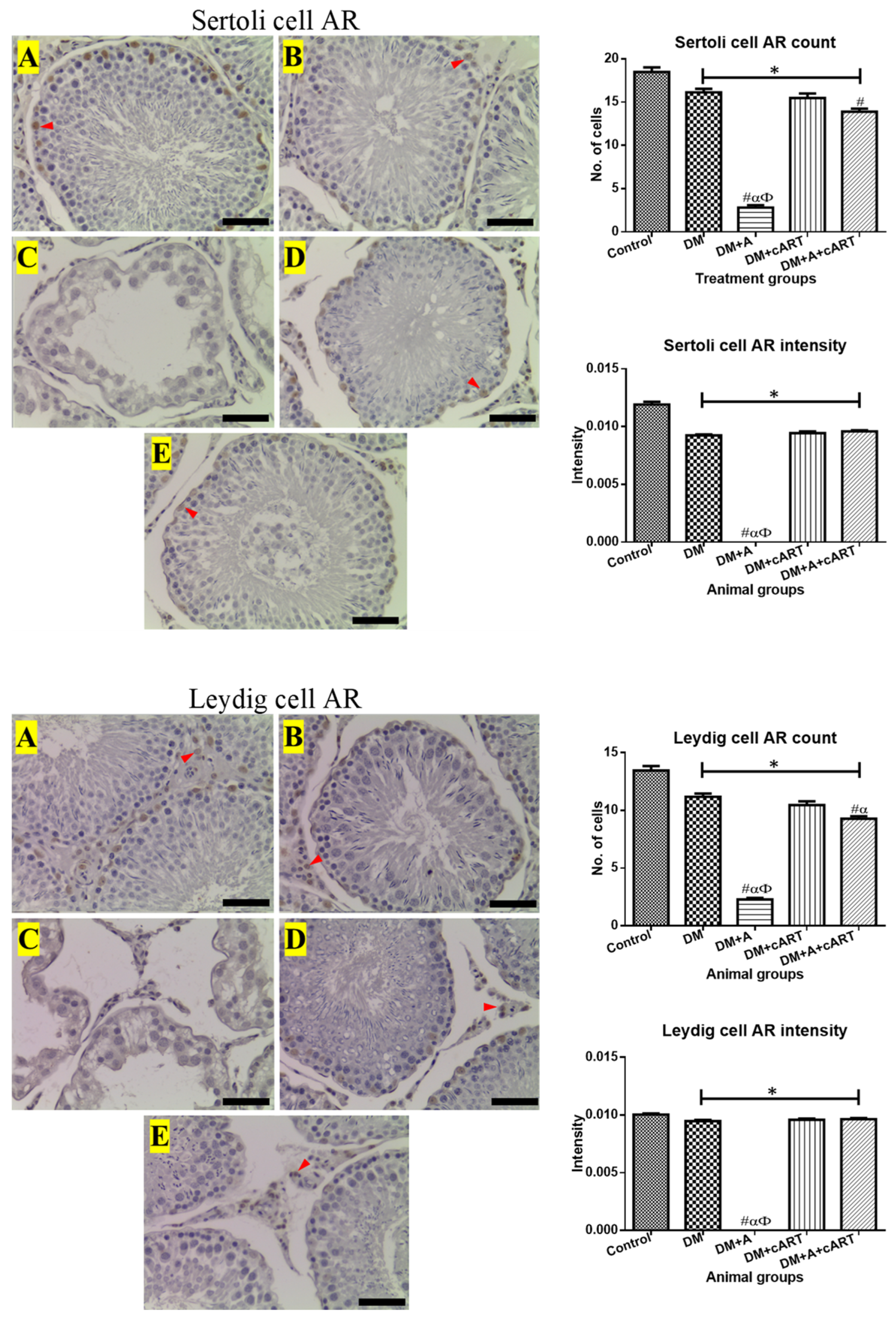
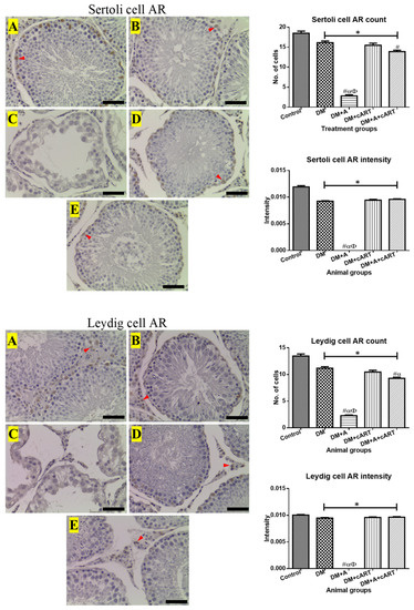
3.12. Androgen Receptor (AR) Immunoexpression and Staining Intensity
4. Discussion
5. Conclusions
Author Contributions
Funding
Institutional Review Board Statement
Informed Consent Statement
Data Availability Statement
Acknowledgments
Conflicts of Interest
References
- Sun, H.; Gong, T.-T.; Jiang, Y.-T.; Zhang, S.; Zhao, Y.-H.; Wu, Q.-J. Global, regional, and national prevalence and disability-adjusted life-years for infertility in 195 countries and territories, 1990–2017: Results from a global burden of disease study, 2017. Aging 2019, 11, 10952–10991. [Google Scholar] [CrossRef] [PubMed]
- Khawcharoenporn, T.; Sha, B.E. HIV Infection and Infertility. In Genital Infections and Infertility; InTech: London, UK, 2016; pp. 178–199. [Google Scholar] [CrossRef]
- Mann, U.; Shiff, B.; Patel, P. Reasons for worldwide decline in male fertility. Curr. Opin. Urol. 2020, 30, 296–301. [Google Scholar] [CrossRef] [PubMed]
- IDF. IDF Diabetes Atlas, 10th ed.; Internation Diabetes Federation: Brussels, Belgium, 2021; Available online: https://www.diabetesatlas.org (accessed on 5 March 2023).
- Pheiffer, C.; Wyk, V.P.-V.; Joubert, J.D.; Levitt, N.; Nglazi, M.D.; Bradshaw, D. The prevalence of type 2 diabetes in South Africa: A systematic review protocol. BMJ Open 2018, 8, e021029. [Google Scholar] [CrossRef] [PubMed]
- Vellios, N.G.; Van Walbeek, C.P. Self-reported alcohol use and binge drinking in South Africa: Evidence from the National Income Dynamics Study, 2014–2015. South Afr. Med. J. 2018, 108, 33–39. [Google Scholar] [CrossRef]
- UNAIDS. UNAIDS Fact Sheet. Global HIV Statistics 2021. Available online: https://www.unaids.org/en/resources/fact-sheet (accessed on 5 March 2023).
- Condorelli, R.A.; La Vignera, S.; Mongioì, L.M.; Alamo, A.; Calogero, A.E. Diabetes Mellitus and Infertility: Different Pathophysiological Effects in Type 1 and Type 2 on Sperm Function. Front. Endocrinol. 2018, 9, 268. [Google Scholar] [CrossRef]
- WHO. Global Status Report on Alcohol and Health 2018: Executive Summary; World Health Organisation: Geneva, Switzerland, 2018. Available online: https://www.who.int/publications/i/item/9789241565639 (accessed on 5 March 2023).
- Goecke, M.; Baumeister, K. Rauchen und Alkoholkonsum als Risikofaktoren für Typ-2-Diabetes—Konsequenzen für die Prävention. Public Health Forum 2021, 29, 335–338. [Google Scholar] [CrossRef]
- Kumar, S.; Rao, P.S.S.; Earla, R.; Kumar, A. Drug–drug interactions between anti-retroviral therapies and drugs of abuse in HIV systems. Expert Opin. Drug Metab. Toxicol. 2014, 11, 343–355. [Google Scholar] [CrossRef]
- Mondal, S.; Ghosh, P.; Biswas, D.; Roy, P.K. Effect of Alcohol Consumption during Antiretroviral Therapy on HIV-1 Replication: Role of Cytochrome P3A4 Enzyme. Int. J. Math. Eng. Manag. Sci. 2019, 4, 922–935. [Google Scholar] [CrossRef]
- Avari, P.; Devendra, S. Human immunodeficiency virus and type 2 diabetes. Lond. J. Prim. Care 2017, 9, 38–42. [Google Scholar] [CrossRef]
- Ray, S.; Pramanik, S. Reproductive Dysfunctions in Males with Type 2 Diabetes Mellitus: An Updated Review. EMJ Diabetes 2020, 79–89. [Google Scholar] [CrossRef]
- Finelli, R.; Mottola, F.; Agarwal, A. Impact of Alcohol Consumption on Male Fertility Potential: A Narrative Review. Int. J. Environ. Res. Public Health 2021, 19, 328. [Google Scholar] [CrossRef]
- Oremosu, A.; Akang, E. Impact of alcohol on male reproductive hormones, oxidative stress and semen parameters in Sprague–Dawley rats. Middle East Fertil. Soc. J. 2015, 20, 114–118. [Google Scholar] [CrossRef]
- Dosumu, O.; Osinubi, A.; Duru, F. Alcohol induced testicular damage: Can abstinence equal recovery? Middle East Fertil. Soc. J. 2014, 19, 221–228. [Google Scholar] [CrossRef]
- Kushnir, V.A.; Lewis, W. Human immunodeficiency virus/acquired immunodeficiency syndrome and infertility: Emerging problems in the era of highly active antiretrovirals. Fertil. Steril. 2011, 96, 546–553. [Google Scholar] [CrossRef]
- Azu, O.O.; Naidu, E.C.S.; Naidu, J.S.; Masia, T.; Nzemande, N.F.; Chuturgoon, A.; Singh, S. Testicular histomorphologic and stereological alterations following short-term treatment with highly active antiretroviral drugs (HAART) in an experimental animal model. Andrology 2014, 2, 772–779. [Google Scholar] [CrossRef]
- Ogedengbe, O.O.; Jegede, A.I.; Onanuga, I.O.; Offor, U.; Naidu, E.C.; Peter, A.I.; Azu, O.O. Coconut Oil Extract Mitigates Testicular Injury Following Adjuvant Treatment with Antiretroviral Drugs. Toxicol. Res. 2016, 32, 317–325. [Google Scholar] [CrossRef]
- Wilson, R.D.; Islam, S. Fructose-fed streptozotocin-injected rat: An alternative model for type 2 diabetes. Pharmacol. Rep. 2012, 64, 129–139. [Google Scholar] [CrossRef]
- Frampton, J.E.; Croom, K.F. Efavirenz/Emtricitabine/Tenofovir Disoproxil Fumarate. Drugs 2006, 66, 1501–1512. [Google Scholar] [CrossRef]
- Ansa, A.A.; Akpere, O.; Imasuen, J.A. Semen traits, testicular morphometry and histopathology of cadmium-exposed rabbit bucks administered methanolic extract of Phoenix dactylifera fruit. Acta Sci. Anim. Sci. 2017, 39, 207–215. [Google Scholar] [CrossRef]
- Parhizkar, S.; Zulkifli, S.B.; Dollah, M.A. Testicular morphology of male rats exposed to Phaleria macrocarpa (Mahkota dewa) aqueous extract. Iran. J. Basic Med. Sci. 2014, 17, 384–390. [Google Scholar] [CrossRef]
- Kangawa, A.; Otake, M.; Enya, S.; Yoshida, T.; Shibata, M. Histological Changes of the Testicular Interstitium during Postnatal Development in Microminipigs. Toxicol. Pathol. 2019, 47, 469–482. [Google Scholar] [CrossRef] [PubMed]
- Kumar, A.; Nagar, M. Histomorphometric study of testis in deltamethrin treated albino rats. Toxicol. Rep. 2014, 1, 401–410. [Google Scholar] [CrossRef] [PubMed]
- Ismail, O.; Ayoola, J.; Offor, U.; Oluwatosin, O.; Edwin, N.; Aniekan, P.; Onyemaechi, A. Histo-morphological and seminal evaluation of testicular parameters in diabetic rats under antiretroviral therapy: Interactions with Hypoxis hemerocallidea. Iran. J. Basic Med. Sci 2018, 21, 1322–1330. [Google Scholar] [CrossRef]
- Qiu, L.-L.; Wang, X.; Zhang, X.-H.; Zhang, Z.; Gu, J.; Liu, L.; Wang, Y.; Wang, X.; Wang, S.-L. Decreased androgen receptor expression may contribute to spermatogenesis failure in rats exposed to low concentration of bisphenol A. Toxicol. Lett. 2013, 219, 116–124. [Google Scholar] [CrossRef] [PubMed]
- Monteiro, J.C.; Da Matta, S.L.P.; Predes, F.S.; De Paula, T.A.R. Testicular morphology of adult wistar rats treated with Rudgea viburnoides (Cham.) Benth. leaf infusion. Braz. Arch. Biol. Technol. 2012, 55, 101–105. [Google Scholar] [CrossRef]
- Nguyen-Thanh, T.; Van, P.D.; Cong, T.D.; Le Minh, T.; Vu, Q.H.N. Assessment of testis histopathological changes and spermatogenesis in male mice exposed to chronic scrotal heat stress. J. Anim. Behav. Biometeorol. 2020, 8, 174–180. [Google Scholar] [CrossRef]
- Erpek, S.; Bilgin, M.D.; Dikicioglu, E.; Karul, A. The effects of low frequency electric field in rat testis. Rev. Med. Vet. 2007, 158, 206–212. [Google Scholar]
- Omar, S.S.; Aly, R.G.; Badae, N.M. Vitamin E improves testicular damage in streptozocin-induced diabetic rats, via increasing vascular endothelial growth factor and poly(ADP-ribose) polymerase-1. Andrologia 2018, 50, e12925. [Google Scholar] [CrossRef]
- Aire, T.A.; Ozegbe, P.C. The testicular capsule and peritubular tissue of birds: Morphometry, histology, ultrastructure and immunohistochemistry. J. Anat. 2007, 210, 731–740. [Google Scholar] [CrossRef]
- Owembabazi, E.; Nkomozepi, P.; Calvey, T.; Mbajiorgu, E.F. Co-administration of alcohol and combination antiretroviral therapy (cART) in male Sprague Dawley rats: A study on testicular morphology, oxidative and cytokines perturbations. Anat. Cell Biol. 2023. [Google Scholar] [CrossRef]
- Bremner, W.J.; Millar, M.R.; Sharpe, R.M.; Saunders, P.T. Immunohistochemical localization of androgen receptors in the rat testis: Evidence for stage-dependent expression and regulation by androgens. Endocrinology 1994, 135, 1227–1234. [Google Scholar] [CrossRef]
- Nna, V.U.; Abu Bakar, A.B.; Ahmad, A.; Eleazu, C.O.; Mohamed, M. Oxidative Stress, NF-κB-Mediated Inflammation and Apoptosis in the Testes of Streptozotocin–Induced Diabetic Rats: Combined Protective Effects of Malaysian Propolis and Metformin. Antioxidants 2019, 8, 465. [Google Scholar] [CrossRef]
- Lanning, L.L.; Creasy, D.M.; Chapin, R.E.; Mann, P.C.; Barlow, N.J.; Regan, K.S.; Goodman, D.G. Recommended Approaches for the Evaluation of Testicular and Epididymal Toxicity. Toxicol. Pathol. 2002, 30, 507–520. [Google Scholar] [CrossRef]
- Ogedengbe, O.O.; Naidu, E.C.S.; Akang, E.N.; Offor, U.; Onanuga, I.O.; Peter, A.I.; Jegede, A.I.; Azu, O.O. Virgin coconut oil extract mitigates testicular-induced toxicity of alcohol use in antiretroviral therapy. Andrology 2018, 6, 616–626. [Google Scholar] [CrossRef]
- Khairuddin, K.; Sudirman, S.; Huang, L.; Kong, Z.-L. Caulerpa lentillifera Polysaccharides-Rich Extract Reduces Oxidative Stress and Proinflammatory Cytokines Levels Associated with Male Reproductive Functions in Diabetic Mice. Appl. Sci. 2020, 10, 8768. [Google Scholar] [CrossRef]
- Apa, D.; Çayan, S.; Polat, A.; Akbay, E. Mast Cells and Fibrosis on Testicular Biopsies in Male Infertility. Arch. Androl. 2002, 48, 337–344. [Google Scholar] [CrossRef]
- Vidal, J.D.; Whitney, K.M. Morphologic manifestations of testicular and epididymal toxicity. Spermatogenesis 2014, 4, e979099. [Google Scholar] [CrossRef]
- Olojede, S.O.; Lawal, S.K.; Dare, A.; Naidu, E.C.S.; Rennie, C.O.; Azu, O.O. Evaluation of tenofovir disoproxil fumarate loaded silver nanoparticle on testicular morphology in experimental type-2 diabetic rats. Artif. Cells Nanomed. Biotechnol. 2022, 50, 71–80. [Google Scholar] [CrossRef]
- Clavijo, R.I.; Hsiao, W. Update on male reproductive endocrinology. Transl. Androl. Urol. 2018, 7, S367–S372. [Google Scholar] [CrossRef]
- Petersen, C.; Söder, O. The Sertoli Cell—A Hormonal Target and ‘Super’ Nurse for Germ Cells That Determines Testicular Size. Horm. Res. Paediatr. 2006, 66, 153–161. [Google Scholar] [CrossRef]
- Ito, N.E.Y.; Otsuki, Y. Anti-Apoptotic Mechanisms of Sertoli Cells against Ethanol Toxicity. J. Alcohol. Drug Depend. 2013, 1, 105. [Google Scholar] [CrossRef]
- Aslani, F.; Sebastian, T.; Keidel, M.; Fröhlich, S.; Elsässer, H.-P.; Schuppe, H.-C.; Klug, J.; Mahavadi, P.; Fijak, M.; Bergmann, M.; et al. Resistance to apoptosis and autophagy leads to enhanced survival in Sertoli cells. Mol. Hum. Reprod. 2017, 23, 370–380. [Google Scholar] [CrossRef] [PubMed]
- Johnson, K.J. Testicular histopathology associated with disruption of the Sertoli cell cytoskeleton. Spermatogenesis 2014, 4, e979106. [Google Scholar] [CrossRef] [PubMed]
- Rebourcet, D.; Darbey, A.; Monteiro, A.; Soffientini, U.; Tsai, Y.T.; Handel, I.; Pitetti, J.-L.; Nef, S.; Smith, L.B.; O’shaughnessy, P.J. Sertoli Cell Number Defines and Predicts Germ and Leydig Cell Population Sizes in the Adult Mouse Testis. Endocrinology 2017, 158, 2955–2969. [Google Scholar] [CrossRef]
- Oduwole, O.O.; Peltoketo, H.; Huhtaniemi, I.T. Role of Follicle-Stimulating Hormone in Spermatogenesis. Front. Endocrinol. 2018, 9, 763. [Google Scholar] [CrossRef]
- Meskari, T.; Ghafari, S.; Khouri, V.; Azarhoush, R.; Golalipour, M.J. Gestational diabetes reduced sertoli cells in 12 weeks age rat offsprings testis. J. Anat. Soc. India 2018, 67, 35–39. [Google Scholar] [CrossRef]
- Olojede, S.O.; Lawal, S.K.; Faborode, O.S.; Dare, A.; Aladeyelu, O.S.; Moodley, R.; Rennie, C.O.; Naidu, E.C.; Azu, O.O. Testicular ultrastructure and hormonal changes following administration of tenofovir disoproxil fumarate-loaded silver nanoparticle in type-2 diabetic rats. Sci. Rep. 2022, 12, 1–12. [Google Scholar] [CrossRef]
- Emanuele, M.A.; Emanuele, N.V. Alcohol’s Effects on Male Reproduction. Alcohol Health Res. World 1998, 22, 195–201. [Google Scholar]
- Ramlau-Hansen, C.H.; Toft, G.; Jensen, M.S.; Strandberg-Larsen, K.; Hansen, M.L.; Olsen, J. Maternal alcohol consumption during pregnancy and semen quality in the male offspring: Two decades of follow-up. Hum. Reprod. 2010, 25, 2340–2345. [Google Scholar] [CrossRef]
- Wu, Y.; Pegoraro, A.F.; Weitz, D.A.; Janmey, P.; Sun, S.X. The correlation between cell and nucleus size is explained by an eukaryotic cell growth model. PLOS Comput. Biol. 2022, 18, e1009400. [Google Scholar] [CrossRef]
- Giannessi, F.; Scavuzzo, M.C.; Giambelluca, M.A.; Fornai, F.; Morelli, G.; Ruffoli, R. Chronic alcohol administration causes expression of calprotectin and RAGE altering the distribution of zinc ions in mouse testis. Syst. Biol. Reprod. Med. 2015, 61, 18–25. [Google Scholar] [CrossRef]
- Kianifard, D.; Sadrkhanlou, R.A.; Hasanzadeh, S. The ultrastructural changes of the sertoli and leydig cells following streptozotocin induced diabetes. Iran. J. Basic Med. Sci. 2012, 15, 623–635. [Google Scholar]
- Wang, Y.; Chen, F.; Ye, L.; Zirkin, B.; Chen, H. Steroidogenesis in Leydig cells: Effects of aging and environmental factors. Reproduction 2017, 154, R111–R122. [Google Scholar] [CrossRef]
- Neves, B.V.D.; Lorenzini, F.; Veronez, D.; De Miranda, E.P.; De Fraga, R. Numeric and volumetric changes in Leydig cells during aging of rats. Acta Cir. Bras. 2017, 32, 807–815. [Google Scholar] [CrossRef]
- Gao, Y.; Chen, H.; Lui, W.-Y.; Lee, W.M.; Cheng, C.Y. Basement Membrane Laminin α2 Regulation of BTB Dynamics via Its Effects on F-Actin and Microtubule Cytoskeletons Is Mediated Through mTORC1 Signaling. Endocrinology 2017, 158, 963–978. [Google Scholar] [CrossRef]
- Qin, Q.; Liu, J.; Ma, Y.; Wang, Y.; Zhang, F.; Gao, S.; Dong, L. Aberrant expressions of stem cell factor/c-KIT in rat testis with varicocele. J. Formos. Med. Assoc. 2017, 116, 542–548. [Google Scholar] [CrossRef]
- Olojede, S.O.; Lawal, S.K.; Dare, A.; Moodley, R.; Rennie, C.O.; Naidu, E.C.; Azu, O.O. Highly active antiretroviral therapy conjugated silver nanoparticle ameliorates testicular injury in type-2 diabetic rats. Heliyon 2021, 7, e08580. [Google Scholar] [CrossRef]
- Asuquo, I.E.; Edagha, I.A.; Ekandem, G.J.; Peter, A.I. Carica papaya attenuates testicular histomorphological and hormonal alterations following alcohol-induced gonado toxicity in male rats. Toxicol. Res. 2020, 36, 149–157. [Google Scholar] [CrossRef]
- Fakoya, F.A.; Caxton-Martins, E.A. Morphological alterations in the seminiferous tubules of adult Wistar rats: The effects of prenatal ethanol exposure. Folia Morphol. 2004, 63, 195–202. [Google Scholar]
- Rosa, D.F.; Sarandy, M.M.; Novaes, R.D.; Freitas, M.B.; Pelúzio, M.D.C.G.; Gonçalves, R.V. High-Fat Diet and Alcohol Intake Promotes Inflammation and Impairs Skin Wound Healing in Wistar Rats. Mediat. Inflamm. 2018, 2018, 4658583. [Google Scholar] [CrossRef]
- Akhtar, R.; Cruickshank, J.K.; Gardiner, N.J.; Derby, B.; Sherratt, M.J. The Effect of Type 1 Diabetes on the Structure and Function of Fibrillin Microfibrils. MRS Proc. 2010, 1274, 57–61. [Google Scholar] [CrossRef]
- Dremin, V.; Marcinkevics, Z.; Zherebtsov, E.; Popov, A.; Grabovskis, A.; Kronberga, H.; Geldnere, K.; Doronin, A.; Meglinski, I.; Bykov, A. Skin Complications of Diabetes Mellitus Revealed by Polarized Hyperspectral Imaging and Machine Learning. IEEE Trans. Med. Imaging 2021, 40, 1207–1216. [Google Scholar] [CrossRef] [PubMed]
- Corradi, P.F.; Corradi, R.B.; Greene, L.W. Physiology of the Hypothalamic Pituitary Gonadal Axis in the Male. Urol. Clin. N. Am. 2016, 43, 151–162. [Google Scholar] [CrossRef] [PubMed]
- Jankowska, K.; Suszczewicz, N.; Rabijewski, M.; Dudek, P.; Zgliczyński, W.; Maksym, R.B. Inhibin-B and FSH Are Good Indicators of Spermatogenesis but Not the Best Indicators of Fertility. Life 2022, 12, 511. [Google Scholar] [CrossRef] [PubMed]
- Anderson, J.E.; Jones, D.; Penner, S.B.; Thliveris, J.A. Primary Hypoandrogenism in Experimental Diabetes in the Long-Evans Rat. Diabetes 1987, 36, 1104–1110. [Google Scholar] [CrossRef]
- Salardi, S.; Zucchini, S.; Cicognani, A.; Gualandi, S.; Barbieri, E.; Cacciari, E. Inhibin B Levels in Adolescents and Young Adults with Type 1 Diabetes. Horm. Res. Paediatr. 2002, 57, 205–208. [Google Scholar] [CrossRef]
- Zha, W.; Bai, Y.; Xu, L.; Liu, Y.; Yang, Z.; Gao, H.; Li, J. Curcumin Attenuates Testicular Injury in Rats with Streptozotocin-Induced Diabetes. BioMed Res. Int. 2018, 2018, 1–10. [Google Scholar] [CrossRef]
- Akhigbe, R.E.; Hamed, M.A.; Odetayo, A.F. HAART and anti-Koch’s impair sexual competence, sperm quality and offspring quality when used singly and in combination in male Wistar rats. Andrologia 2021, 53, e13951. [Google Scholar] [CrossRef]
- Rossi, G.; Dufrusine, B.; Lizzi, A.R.; Luzi, C.; Piccoli, A.; Fezza, F.; Iorio, R.; D’andrea, G.; Dainese, E.; Cecconi, S.; et al. Bisphenol A Deranges the Endocannabinoid System of Primary Sertoli Cells with an Impact on Inhibin B Production. Int. J. Mol. Sci. 2020, 21, 8986. [Google Scholar] [CrossRef]
- Marques, P.; Skorupskaite, K.; George, J.T.; Anderson, R.A. Physiology of GNRH and Gonadotropin Secretion. In Endotext; MDText.com, Inc: Dartmouth, MA, USA, 2022. Available online: http://www.ncbi.nlm.nih.gov/pubmed/25905297 (accessed on 5 March 2023).
- Gomes, A.R.; Souteiro, P.; Silva, C.G.; Sousa-Pinto, B.; Almeida, F.; Sarmento, A.; Carvalho, D.; Freitas, P. Prevalence of testosterone deficiency in HIV-infected men under antiretroviral therapy. BMC Infect. Dis. 2016, 16, 1–7. [Google Scholar] [CrossRef]
- Aggarwal, J.; Taneja, R.S.; Gupta, P.K.; Wali, M.; Chitkara, A.; Jamal, A. Sex hormone profile in human immunodeficiency virus-infected men and it’s correlation with CD4 cell counts. Indian J. Endocrinol. Metab. 2018, 22, 328–334. [Google Scholar] [CrossRef]
- Scanavino, M.D.T.; Mori, E.; Nisida, V.V.; Avelino-Silva, V.I.; Amaral, M.L.S.D.; Messina, B.; Segurado, A.C. Sexual Dysfunctions Among People Living with HIV With Long-Term Treatment with Antiretroviral Therapy. Sex. Med. 2022, 10, 100542. [Google Scholar] [CrossRef]
- Kehl, S.; Weigel, M.; Müller, D.; Gentili, M.; Hornemann, A.; Sütterlin, M. HIV-infection and modern antiretroviral therapy impair sperm quality. Arch. Gynecol. Obstet. 2011, 284, 229–233. [Google Scholar] [CrossRef]
- Savasi, V.; Parisi, F.; Oneta, M.; Laoreti, A.; Parrilla, B.; Duca, P.; Cetin, I. Effects of highly active antiretroviral therapy on semen parameters of a cohort of 770 HIV-1 infected men. PLoS ONE 2019, 14, e0212194. [Google Scholar] [CrossRef]
- Shan, L.-X.; Bardin, C.W.; Hardy, M.P. Immunohistochemical Analysis of Androgen Effects on Androgen Receptor Expression in Developing Leydig and Sertoli Cells1. Endocrinology 1997, 138, 1259–1266. [Google Scholar] [CrossRef]
- Wang, R.-S.; Yeh, S.; Tzeng, C.-R.; Chang, C. Androgen Receptor Roles in Spermatogenesis and Fertility: Lessons from Testicular Cell-Specific Androgen Receptor Knockout Mice. Endocr. Rev. 2009, 30, 119–132. [Google Scholar] [CrossRef]
- Liu, S.; Wang, Z. Study on the expression of androgen receptor in testis, epididymis and prostate of adult rats with diabetes. Zhonghua Nan Ke Xue 2005, 11, 891–894. [Google Scholar]
- Al-Shathly, M.R.; Ali, S.S.; Ayuob, N.N. Zingiber officinale preserves testicular structure and the expression of androgen receptors and proliferating cell nuclear antigen in diabetic rats. Andrologia 2020, 52, e13528. [Google Scholar] [CrossRef]
- Luccio-Camelo, D.C.; Prins, G.S. Disruption of androgen receptor signaling in males by environmental chemicals. J. Steroid Biochem. Mol. Biol. 2011, 127, 74–82. [Google Scholar] [CrossRef]
- de Oliveira, S.A.; Cerri, P.S.; Sasso-Cerri, E. Impaired macrophages and failure of steroidogenesis and spermatogenesis in rat testes with cytokines deficiency induced by diacerein. Histochem. 2021, 156, 1–21. [Google Scholar] [CrossRef]
- Yeh, S.; Tsai, M.-Y.; Xu, Q.; Mu, X.-M.; Lardy, H.; Huang, K.-E.; Lin, H.; Yeh, S.-D.; Altuwaijri, S.; Zhou, X.; et al. Generation and characterization of androgen receptor knockout (ARKO) mice: An in vivo model for the study of androgen functions in selective tissues. Proc. Natl. Acad. Sci. USA 2002, 99, 13498–13503. [Google Scholar] [CrossRef]
- O’Hara, L.; Smith, L.B. Androgen receptor roles in spermatogenesis and infertility. Best Pract. Res. Clin. Endocrinol. Metab. 2015, 29, 595–605. [Google Scholar] [CrossRef] [PubMed]
- Yong, E.L.; Loy, C.J.; Sim, K.S. Androgen receptor gene and male infertility. Hum. Reprod. Update 2003, 9, 1–7. [Google Scholar] [CrossRef] [PubMed]
- Davey, R.A.; Grossmann, M. Androgen Receptor Structure, Function and Biology: From Bench to Bedside. Clin. Biochem. Rev. 2016, 37, 3–15. [Google Scholar] [PubMed]
- Engler, P.A.; Ramsey, S.E.; Smith, R.J. Alcohol use of diabetes patients: The need for assessment and intervention. Acta Diabetol. 2013, 50, 93–99. [Google Scholar] [CrossRef] [PubMed]
- Pourentezari, M.; Talebi, A.R.; Mangoli, E.; Anvari, M.; Rahimipour, M. Additional deleterious effects of alcohol consumption on sperm parameters and DNA integrity in diabetic mice. Andrologia 2016, 48, 564–569. [Google Scholar] [CrossRef]
- McCance-Katz, E.F.; Gruber, V.A.; Beatty, G.M.; Lum, P.J.M.; Rainey, P.M. Interactions between Alcohol and the Antiretroviral Medications Ritonavir or Efavirenz. J. Addict. Med. 2013, 7, 264–270. [Google Scholar] [CrossRef]
- Mann, S.C.; Morrow, M.; Coyle, R.P.; Coleman, S.S.; Saderup, A.; Zheng, J.-H.; Ellison, L.; Bushman, L.R.; Kiser, J.J.; MaWhinney, S.; et al. Lower Cumulative Antiretroviral Exposure in People Living With HIV and Diabetes Mellitus. Am. J. Ther. 2020, 85, 483–488. [Google Scholar] [CrossRef]






| Animal Groups | Control | DM | DM+A | DM+cART | DM+A+cART |
|---|---|---|---|---|---|
| Fasting glucose (mmol/L) Testis morphometry | 4.99 ± 0.11 | 11.35 ± 1.70 a | 13.97 ± 1.36 a | 17.65 ± 2.31 ab | 12.06 ± 0.82 a |
| Testis weight (g) | 1.91 ± 0.05 | 1.69 ± 0.07 | 1.31 ± 0.27 a | 1.72 ± 0.05 | 1.72 ± 0.09 |
| Testis volume (mm3) | 1.88 ± 0.09 | 1.63 ± 0.13 | 1.2 ± 0.2 a | 1.67 ± 0.08 | 1.7 ± 0.12 |
| Testis size (mm) | 1493 ± 41 | 1199 ± 85 | 991 ± 96 a | 1271 ± 49 | 1218 ± 103 |
| Testicular component area fractions (AF) (%) | |||||
| Epithelial (EAF) | 74.25 ± 0.5 | 71.62 ± 0.73 ae | 69.69 ± 0.58 ae | 70.9 ± 0.57 ae | 74.08 ± 0.42 |
| Lumen (LAF) | 8.56 ± 0.29 | 7.02 ± 0.23 ac | 8.68 ± 0.34 | 7.36 ± 0.29 ac | 7.59 ± 0.22 |
| Interstitial space (ISAF) | 4.93 ± 0.12 | 6.13 ± 0.14 a | 6.12 ± 0.16 a | 5.59 ± 0.15 a | 5.76 ± 0.16 a |
| Connective tissue (CTAF) | 11.97 ± 0.31 | 14.69 ± 0.37 a | 15.12 ± 0.32 ae | 15.77 ± 0.39 ae | 13.53 ± 0.35 a |
| Animal Groups | Control | DM | DM+A | DM+cART | DM+A+cART |
|---|---|---|---|---|---|
| Tubule morphometry | |||||
| Tubule area (µm2) | 78,939 ± 692 | 59,561 ± 1000 ade | 49,840 ± 1180 ade | 65,393 ± 722 ae | 75,870 ± 849 |
| Tubule diameter (µm) | 310.2 ± 1.3 | 269.7 ± 2.35 ade | 233 ± 3.12 ade | 284.7 ± 1.38 ae | 302.8 ± 1.55 |
| Epithelial height (µm) | 97.52 ± 0.62 | 89.25 ± 1 ae | 64.51 ± 1.37 abde | 92.29 ± 0.8 ae | 96.31 ± 0.78 |
| Lumen diameter (µm) | 97.97 ± 3.54 | 79.53 ± 2.84 ace | 112.1 ± 3.25 | 81.79 ± 3.16 ace | 107.4 ± 3.86 |
| Testicular somatic cells | |||||
| Sertoli cell count | 23.61 ± 0.24 | 22.41 ± 0.41 | 9.64 ± 0.2 a | 22.39 ± 0.34 | 22.39 ± 0.33 |
| Leydig cell nuclear (LCN) | |||||
| LCN Diameter (µm) | 5.85 ± 0.04 | 4.82 ± 0.06 ade | 4.24 ± 0.07 abde | 5.16 ± 0.06 ae | 5.52 ± 0.05 a |
| LCN Volume (µm3) | 110 ± 2.46 | 67.67 ± 2.63 ade | 48.43 ± 2.07 abde | 79.8 ± 2.65 ae | 94.09 ± 2.46 a |
| Animal Groups | Control | DM | DM+A | DM+cART | DM+A+cART |
|---|---|---|---|---|---|
| Johnsen’s score Histological changes | 8.81 | 8.44 a | 4.04 a | 8.61 | 8.62 |
| Lifting of the epithelium | 0.04 | 0.04 | 0.00 | 0.13 | 0.58 c |
| Epithelial sloughing | 0.00 | 0.08 | 0.63 ad | 0.00 | 0.29 ad |
| Karyolysis | 0.00 | 0.00 | 0.25 abe | 0.25 abe | 0.00 |
| TREATED GROUPS | |||||
|---|---|---|---|---|---|
| PARAMETERS | DM | DM+A | DM+cART | DM+A+cART | |
| Fasting glucose | ↑ * | ↑ * | ↑ * | ↑ * | |
| Testis morphometry | |||||
| Testis weight | ↓ | ↓ * | ↓ | ↓ | |
| Testis volume | ↓ | ↓ * | ↓ | ↓ | |
| Testis size | ↓ | ↓ * | ↓ | ↓ | |
| Testicular component area fractions (AF) | |||||
| Epithelial AF | ↓ * | ↓ * | ↓ * | ↓ | |
| Lumen AF | ↓ * | ↑ | ↓ * | ↓ | |
| Interstitial space AF | ↑ * | ↑ * | ↑ * | ↑ * | |
| Connective tissue AF | ↑ * | ↑ * | ↑ * | ↑ * | |
| Tubule morphometry | |||||
| Tubule area | ↓ * | ↓ * | ↓ * | ↓ | |
| Tubule diameter | ↓ * | ↓ * | ↓ * | ↓ | |
| Epithelial height | ↓ * | ↓ * | ↓ * | ↓ | |
| Lumen diameter | ↓ * | ↑ | ↓ * | ↑ | |
| Spermatogenic cell count | |||||
| Spermatogonia | ↑ * | ↓ * | ↓ * | ↑ * | |
| Spermatocytes | ↓ * | ↓ * | ↓ * | ↓ * | |
| Round spermatids | ↓ * | ↓ * | ↓ * | ↓ * | |
| Elongated spermatids | ↓ * | ↓ * | ↓ * | ↓ * | |
| Testicular somatic cells | |||||
| Sertoli cell count | ↓ | ↓ * | ↓ | ↓ | |
| Leydig cell nuclear | -Diameter | ↓ * | ↓ * | ↓ * | ↓* |
| -Volume | ↓ * | ↓ * | ↓ * | ↓* | |
| Histopathological evaluation | |||||
| Johnsen’s score | ↓ * | ↓ * | ↓ | ↓ | |
| Lifting of epithelium | VSC | ↓ | ↑ | ↑ | |
| Epithelial sloughing | ↑ | ↑ * | VSC | ↑ * | |
| Karyolysis | VSC | ↑ * | ↑ * | VSC | |
| Connective tissue | |||||
| Seminiferous tubule basement membrane thickness | ↓ | ↑ * | ↑ * | ↑ | |
| Testicular capsule thickness | ↓ | ↑ * | ↑ | ↑ * | |
| Collagen | ↓ * | ↓ * | ↓ * | ↓ * | |
| Reticulin | ↓ * | ↓ * | ↓ * | ↓ * | |
| Elastin | ↓ * | ↓ * | ↓ * | ↓ * | |
| Reproductive hormones | |||||
| Luteinizing hormone | ↓ | ↑ | ↓ | ↓ * | |
| Follicle stimulating hormone | ↑ * | ↑ * | ↑ | ↑ * | |
| Testosterone | ↓ * | ↓ * | ↓ | ↓ * | |
| Inhibin B | ↑ | ↑ | ↓ | ↑ | |
| Androgen receptor (AR) | |||||
| Sertoli cell AR | ↓ * | ↓ * | ↓ * | ↓ * | |
| Leydig cell AR | ↓ * | ↓ * | ↓ * | ↓ * | |
Disclaimer/Publisher’s Note: The statements, opinions and data contained in all publications are solely those of the individual author(s) and contributor(s) and not of MDPI and/or the editor(s). MDPI and/or the editor(s) disclaim responsibility for any injury to people or property resulting from any ideas, methods, instructions or products referred to in the content. |
© 2023 by the authors. Licensee MDPI, Basel, Switzerland. This article is an open access article distributed under the terms and conditions of the Creative Commons Attribution (CC BY) license (https://creativecommons.org/licenses/by/4.0/).
Share and Cite
Owembabazi, E.; Nkomozepi, P.; Mbajiorgu, E.F. Impact of Concurrent Exposure of Diabetic Male Sprague Dawley Rats to Alcohol and Combination Antiretroviral Therapy (cART) on Reproductive Capacity. Appl. Sci. 2023, 13, 5096. https://doi.org/10.3390/app13085096
Owembabazi E, Nkomozepi P, Mbajiorgu EF. Impact of Concurrent Exposure of Diabetic Male Sprague Dawley Rats to Alcohol and Combination Antiretroviral Therapy (cART) on Reproductive Capacity. Applied Sciences. 2023; 13(8):5096. https://doi.org/10.3390/app13085096
Chicago/Turabian StyleOwembabazi, Elna, Pilani Nkomozepi, and Ejikeme F. Mbajiorgu. 2023. "Impact of Concurrent Exposure of Diabetic Male Sprague Dawley Rats to Alcohol and Combination Antiretroviral Therapy (cART) on Reproductive Capacity" Applied Sciences 13, no. 8: 5096. https://doi.org/10.3390/app13085096
APA StyleOwembabazi, E., Nkomozepi, P., & Mbajiorgu, E. F. (2023). Impact of Concurrent Exposure of Diabetic Male Sprague Dawley Rats to Alcohol and Combination Antiretroviral Therapy (cART) on Reproductive Capacity. Applied Sciences, 13(8), 5096. https://doi.org/10.3390/app13085096

