You are currently on the new version of our website. Access the old version .
Applied SciencesApplied Sciences
  • Case Report
  • Open Access

2 February 2023

Digital Full-Mouth Reconstruction Assisted by Facial and Intraoral Scanners: A Case Report and Technique Description

,
,
,
and
1
Clear Choice Dental Implant Center, Tampa, FL 33610, USA
2
Escuela de Odontología, Universidad de Especialidades Espiritu Santo, Guayaquil 092301, Ecuador
3
Department of Prosthodontics, The University of Iowa College of Dentistry and Dental Clinics, Iowa City, IA 52242, USA
4
Division of Restorative Dental Sciences, Clinical Sciences Department, Ajman College of Dentistry, Ajman City P.O. Box 346, United Arab Emirates
This article belongs to the Special Issue Advances in Dental Materials: A Look inside Digital Workflows

Abstract

This report describes a technique integrating facial and dental scanners for treatment planning and execution of a tooth-borne full-mouth reconstruction (FMR) with zirconia fixed prostheses. A partially edentulous female adult presented generalized worn dentition in the incisal and occlusal surfaces. The patient accepted the option for treatment with a fixed FMR solution using a fully digital workflow. An intraoral scan (IoS) for both arches and facial scans collected the initial clinical situation. A digital diagnostic wax-up was generated as part of the treatment plan, and the models were printed. The intervention included crown lengthening of the maxillary teeth aided by a printed guide, installing milled provisional restorations, and delivering permanent milled zirconia partial restorations, single crowns (SCs), and fixed dental prostheses (FDPs). The functional extraoral scanner permitted designing an FMR that created a harmonious dental, gingival, and facial relationship with the patient’s esthetic consent approval. IoS captured the initial clinical situation to design (CAD) and fabricate (CAM) the PMMA provisional and zirconia final partial restorations, SCs, and FDPs. Facial and intraoral scanners are technologies that can synergistically assist oral health providers in the diagnosis, planning, and execution of fixed FMR using an entirely digital workflow.

1. Introduction

Digital technology in the dental field started with the first commercial chairside CAD/CAM system developed by Drs. Mormann and Brandestini in the late 1980s and have since been evolving rapidly, especially for restorative dentistry techniques [1,2,3,4]. The approach for planning complex dental care has changed with novel technologies in dentistry [5,6]. Digital dentistry is currently used in both the clinic and laboratory to manufacture restorations faster, easier, more accurately, and with predictable results [7,8,9,10]. Digital planning for complex dental care has improved these techniques because the clinician can also include extraoral soft tissue landmarks to obtain harmonious teeth, smile, and face elements [11,12,13].
Facial scanners in dentistry allow fully digitizing procedures to obtain virtual patients and evaluate proposed dental care without the need to have them physically present [14,15]. Various 3D scanning methods have been used in dental applications; for instance, enhancing preoperative planning processes [6,16,17]. Three-dimensional reconstructions have been found to represent precise and dependable methods for facial evaluations, assisting clinicians in formulating successful treatment plans [15,17]. Clinicians can examine the interaction between soft tissues and dental arches by combining a digital dental cast with a 3D facial image, thereby reducing the need for X-rays in some situations [15,17]. Existing technology also enables the digitization of dental models in 3D space [17]. Indeed, to better evaluate, contrast, and forecast treatment outcomes before and after the intervention, three-dimensional scans of the facial soft tissues can provide clinicians with a more realistic portrayal of facial morphologies [16,17].
Overall advantages of incorporating extraoral facial imaging for dental care include reliability, nearly instantaneous capture time, acceptable accuracy, and life-like renderings. However, imaging also has disadvantages such as high cost, complex software setup, and a learning curve [18,19,20]. The integration of facial and intraoral scanners has shown promising results in in vitro studies, but few clinical reports have presented protocols for complex full-mouth rehabilitation (FMR). Therefore, this report aims to showcase the protocol for integrating a 3D facial scanner and chairside dental CAD/CAM system for the evaluation and execution of a tooth-borne FMR.

2. Case Report

A 48-year-old female patient presented to the clinic with the chief complaint, “I need some dental work, and I do not like to wear my removable denture.” After clinical evaluation, the patient was diagnosed with missing teeth (numbering using the universal tooth numbering system) #1, 4, 5, 9, 12, 14, 15, 16, 17, 19, 20, 30, and 32; spaces between teeth #6 to 7, and #23 and 22; a fixed dental prosthesis (FDP) from #7 to 10 with the pontic on #8; an ill-fitting maxillary cobalt-chromium removable partial denture; generalized incisal and occlusal wear for all present dentition; and torus palatinus. The patient had some loss of vertical dimension of occlusion (VDO). The patient was offered an FMR, including some implants in the edentulous areas; however, the patient rejected any surgical treatment and elected the FMR option with tooth-supported prostheses. An initial digital scan (iTero Element 5D, Align Technology, Inc, San Jose, CA, USA) was captured. The centric relation (CR) was registered with an increased VDO of 3 mm using vinyl polysiloxane (VPS) material (Regisil Rigid Bite Registration Material, Dentsply Sirona, Charlotte, NC, USA) after manual manipulation to the centric relation position (Figure 1).
Figure 1. Initial intraoral scan.
A facial scanner was used to create a virtual patient (Figure 2). Finally, intraoral photos were obtained (Figure 3).
Figure 2. Initial face scan. (A) extra-oral smiling. (B) Close-up of the smile.
Figure 3. Initial intraoral photos. (A) Smile. (B) Frontal view in occlusion. (C) Occlusal view of the mandible. (D) Occlusal view of the maxilla.
A digital diagnostic wax-up was created, and models were printed out (i.e., additively manufactured) of resin (Dental Model, ASIGA, Alexandria, Australia) with the proposed shape (Figure 4).
Figure 4. Printed diagnostic wax-up.
The intraoral diagnostic mock-up was performed based on the digital wax-up (Figure 5). The patient approved the appearance of the proposed restorations in the mock-up and accepted proceeding with the crown-lengthening procedure. The crown-lengthening procedure was digitally planned and guided by a printed surgical stent (Figure 6).
Figure 5. Intraoral mock-up. (A) External smile view. (B) Internal view.
Figure 6. Crown lengthening phase. (A) Design of the guide. (B) Printed surgical guide. (C) Before surgery. (D) After surgery.
The provisional restorations were milled out (i.e., subtractive manufacturing) of polymethyl methacrylate (PMMA). After four months of healing time, tooth preparations were refined, final digital impressions (iTero Element 5D, Align Technology, Inc, San Jose, CA, USA) were taken, and the final restorations were designed (DentalCAD 3.1, Exocad GmbH, Darmstadt, Germany) (Figure 7).
Figure 7. Milled provisional restorations on printed models. (A) Frontal view in occlusion. (B) Maxillary occlusal view. (C) Mandibular occlusal view.
Tooth preparations were performed followed by the cementation of milled provisional restorations with temporary cement (Temp-Bond, Kerr Dental) (Figure 8 and Figure 9).
Figure 8. Full mouth preparations. (A) Frontal view. (B) Maxillary occlusal view. (C) Mandibular occlusal view.
Figure 9. Full mouth provisional restorations. (A) Smile. (B) Maximum intercuspation position.
After four months of healing time, tooth preparations were refined, final digital impressions (iTero Element 5D, Align Technology, Inc, San Jose, CA, USA) were taken, and the final restorations were designed (DentalCAD 3.1, Exocad GmbH, Darmstadt, Germany) (Figure 10).
Figure 10. Final imaging. (A) Final digital impression. (B) Design of final restorations.
The 3D facial scanner was evaluated with the proposed final restorations (Figure 11).
Figure 11. Final extra-oral view. (A) Final digital impression. (B) Design of final restorations.
Final restorations consisted of milled zirconia partial restorations, single crowns (SCs), and fixed dental prostheses (FDPs) (IPS e.max ZirCAD, Ivoclar Vivadent, Schaan, Liechtenstein) cemented with resin cement (Multilink Automix, Ivoclar Vivadent) (Figure 12). A full mouth radiograph series is shown in Figure 13.
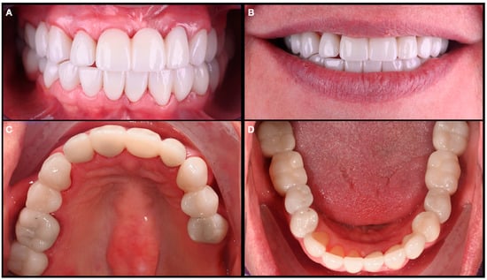
Figure 12. Final restorations. (A) Frontal view of maximum intercuspation position. (B) Smile. (C) Maxillary occlusal view. (D) Mandibular occlusal view.
Figure 13. Full mouth radiograph series.

3. Results of Treatment

The result of the FMR was predictable due to digital planning. The patient expressed satisfaction with the procedure, starting with the extra-oral facial scan, followed by the IoS, crown-lengthening procedure, provisional, and then final fixed restorations. The patient reported positive changes in her behavior and appearance as soon as the provisional restorations were placed in her mouth because of her self-reported confidence and self-esteem. Her self-reported confidence and self-esteem were documented, and our clinic continues to receive referrals from her coworkers and friends.
The maxillary crown-lengthening procedure improved the esthetics and tooth display in the esthetic zone, and provisional restorations were provided following the digital wax-up. The final prostheses were planned after waiting six months for healing after the crown lengthening. The soft tissues were stable as no gingival recession or significant changes were observed. The esthetics, occlusion, and fit of the provisional restorations were assessed as optimal. When the patient approved the contours of the provisional prosthesis, these were easily replicated for the final ones thanks to digital technology.

4. Discussion

Novel technologies have been widely used in dentistry for diagnosis, treatment planning, and execution of medical and dental care [21,22,23]. The scanners’ advantages are expediting results; improving patient comfort; avoiding traditional impressions and materials and pouring stone models; better patient, technician, and clinician communication; simplifying clinical procedures; and predictable results [24,25]. However, oral health providers must be aware of all the steps needed whenever novel technology is implemented in daily practice. This report could be useful to clinicians as it described all the clinical steps involving a facial scanner and IoS for the diagnosis, treatment planning, and execution of a FMR with zirconia fixed restorations. In fact, this is the first case report to comprehensively describe a technique integrating facial and dental scanners for the treatment planning and execution of milled zirconia partial restorations, single crowns, and fixed dental prostheses with an initial loss of VDO and crown lengthening.
Diagnostic wax-up is an important step in full mouth reconstruction and can now be done digitally to have a full digital workflow. Wax-up is critical because it provides the patient’s occlusion scheme, contact numbers, and contact areas. The shape of the restoration is critical for the static and dynamic occlusal relationship because it influences chewing efficiency, restoration longevity, and the patient’s comfort [26,27,28]. Studies have evaluated the effect and accuracy of traditional and digital wax-up and the results show positive outcomes for full digital workflows. A recent study evaluated the geometric effects of conventional versus digital prosthodontic wax-ups in relation to the lateral occlusion scheme with excursive movements with 0.5, 1.0, 2.0, and 2.0 mm from the maximal intercuspation position and the results displayed similar values with no differences between conventional and digital prosthodontic planning [29]. Another study also evaluated the morphological symmetry for maxillary anterior teeth before and after prosthodontic planning with traditional and digital wax-ups on 13 patients, and the study concluded that digital wax-up provided greater single tooth symmetry than the traditional wax-up and anterior segment teeth were minimally affected by either digital or traditional wax-up [30].
The digital workflow presented in this report included digital wax-up and provisional fixed restorations were fabricated based on it. Then, the provisional restorations were placed intraorally, and occlusion, protrusion, lateral movements, smile, lip support, phonetics, and esthetics were evaluated. Indeed, the result’s fulfilled the patient’s demands, which was evidenced by her self-reported satisfaction despite her high pre-operative expectations. The authors acknowledge the challenges in the management when patients have high expectations prior to treatment. Hence, adequate communication must be established with patients to understand better their needs and objectives bring their expectations closer to reality and avoid potential misunderstandings. It should be acknowledged that not every dental clinician is a match for every patient, as not every patient is a fit for every dental provider. Effective verbal and written communication are key in every prosthodontic plan which involves patients with high esthetic demands and who consider they are doing a substantial financial investment in their full mouth rehabilitation. The reader is referred elsewhere to gain a deeper understanding of their patient’s needs, wants, and sweet balance between expectations and satisfaction inspired by consumerism-based theories [31,32,33,34]. Aspects regarding maintenance are an often-neglected topic of conversation. However, this aspect will secure long-term satisfaction with the therapy provided. The reason behind it is that complications could be prevented with early intervention, or complications can be detected and treated to reduce the chances of experiencing catastrophic failures. In every full mouth rehabilitation or extensive implant treatment, adverse effects are expected after some time. Thus, the value maintenance cannot be over-emphasized. Patient awareness and reminders about maintenance are undoubtedly beneficial for securing the longevity of outstanding restorative work. The patient shall realize the benefits of home maintenance and office maintenance. Once patients understand that they directly influence the success of their oral treatment, compliance improves. Nonetheless, habits do not develop overnight. Hence, cognitive therapy and other positive reinforcement techniques shall be implemented in busy clinical practices. Otherwise, a substantial incidence of adverse effects could hamper the purpose of the dental practice and disserve patients.
Digital dental workflows have emerged as user and patient friendly because the treatment has become predictable, accurate, effective, and requires fewer appointments [2]. The current technology eliminates uncomfortable aspects of conventional impressions with alginate and polyvinyl siloxane (PVS) materials. Furthermore, 3D models can generate a virtual patient with intraoral and facial scanners, allowing the clinician to evaluate the initial, proposed, and final treatment as often as needed without needing the patient in the dental chair [35]. A recent systematic review (SR) and meta-analysis (MA) evaluated the patient preference and clinical working time between digital scanning and conventional impressions [31]. The results demonstrated that digital scanning was superior, and patients preferred digital scanning with less time-consuming than conventional impressions [35]. In the presented case, the patient also claimed to like digital technology compared to old conventional techniques. The patient especially disliked having traditional impression materials in her mouth.
The creation of a 3D virtual patient is based on the fusion of different files that provide a replicable model and in dentistry, it includes the extraoral and intraoral hard and soft tissues [33,34]. Although in vitro studies have shown that files from novel technologies such as CBCT, facial scanners and intraoral scanners for creating a virtual patient for better planning of implant surgery, very limited case reports are available for tooth-supported full mouth reconstructions [31,35]. One challenge that can arise when using new digital technology is the acquisition speed, processing time, and learning curve for the scans. A previous study showed that increasing number of measurements a clinician had performed decreased the scanning duration and time-dependent progression [36]. The study also suggested that the learning curve may be different between young and more experienced clinicians. However, the initial selection of the IOS to purchase is important as these scanners differ in their effectiveness.
From the presented case report, we can conclude that superimposition data from the extra-oral and the intraoral dental scanners is currently feasible, as it is possible to evaluate the 3D virtual patient under static conditions in order to create harmonious restorations that enhance the dentofacial appearance.

5. Conclusions

Facial scanners allow the design of dental restorations that recreate harmonious relationships between face and smile. Combining facial and intraoral scanners for an entirely digital workflow allows the clinician to have more predictable results fulfilling the functional and esthetic demands of fixed full-mouth reconstructions. Future research will include a longer term follow up to evaluate the subtractive methods used to manufacture the prostheses delivered here.

Author Contributions

Conceptualization, J.G. and C.A.J.; methodology, C.A.J. and K.I.A.; investigation, K.I.A.; resources, A.A.; data curation, K.I.A.; writing—original draft preparation, C.A.J. and N.G.F.; writing—review and editing, J.G. and K.I.A.; supervision, A.A.; project administration, N.G.F. All authors have read and agreed to the published version of the manuscript.

Funding

This research received no external funding.

Institutional Review Board Statement

The study was conducted in accordance with the Declaration of Helsinki for studies involving humans.

Data Availability Statement

Not applicable.

Acknowledgments

K. I. Afrashtehfar thanks the Universität Bern for partially supporting the open access publication of this work.

Conflicts of Interest

The authors declare no conflict of interest.

References

  1. Miyazaki, T.; Hotta, Y.; Kunii, J.; Kuriyama, S.; Tamaki, Y. A review of dental CAD/CAM: Current status and future perspectives from 20 years of experience. Dent. Mater. J. 2009, 28, 44–56. [Google Scholar] [CrossRef]
  2. Blatz, M.B.; Conejo, J. The current state of chairside digital dentistry and materials. Dent. Clin. N. Am. 2019, 63, 175–197. [Google Scholar] [CrossRef]
  3. Jurado, C.A.; Tsujimoto, A.; Punj, A.; Aida, N.; Miyazaki, M.; Watanabe, H. Successful development and implementation of a digital dentistry curriculum at a US dental school. J. Oral Sci. 2021, 63, 358–360. [Google Scholar] [CrossRef]
  4. Baba, N.Z.; Goodacre, B.J.; Goodacre, C.J.; Müller, F.; Wagner, S. CAD/CAM Complete Denture Systems and Physical Properties: A Review of the Literature. J. Prosthodont. 2021, 30, 113–124. [Google Scholar] [CrossRef]
  5. Charavet, C.; Bernard, J.C.; Gaillard, C.; Gall, M.L. Benefits of Digital Smile Design (DSD) in the conception of a complex orthodontic treatment plan: A case report-proof of concept. Int. Orthod. 2019, 17, 573–579. [Google Scholar] [CrossRef]
  6. Jurado, C.A.; Tsujimoto, A.; Alhotan, A.; Villalobos-Tinoco, J.; AlShabib, A. Digitally Fabricated Immediate Complete Dentures: Case Reports of Milled and Printed Dentures. Int. J. Prosthodont. 2020, 33, 232–241. [Google Scholar] [CrossRef]
  7. Spitznagel, F.A.; Boldt, J.; Gierthmuehlen, P.C. CAD/CAM Ceramic Restorative Materials for Natural Teeth. J. Dent. Res. 2018, 97, 1082–1091. [Google Scholar] [CrossRef]
  8. Watanabe, H.; Fellows, C.; An, H. Digital Technologies for Restorative Dentistry. Dent. Clin. N. Am. 2022, 66, 567–590. [Google Scholar] [CrossRef]
  9. Suganna, M.; Kausher, H.; Tarek Ahmed, S.; Sultan Alharbi, H.; Faraj Alsubaie, B.; Ds, A.; Haleem, S.; Meer Rownaq Ali, A.B. Contemporary Evidence of CAD-CAM in Dentistry: A Systematic Review. Cureus 2022, 14, e31687. [Google Scholar] [CrossRef]
  10. Jurado, C.A.; Lederman, R.; Cohen, J.; Tsujimoto, A. Intraoral Scanning with Rubber Dam Isolation in Place for Fabrication of a Chairside Computer-assisted Design and Computer-assisted Manufacture Ceramic Restoration. J. Contemp. Dent. Pract. 2021, 22, 943–946. [Google Scholar]
  11. Coachman, C.; Paravina, R.D. Digitally enhanced esthetic dentistry—From treatment planning to quality control. J. Esthet. Restor. Dent. 2016, 28, 3–4. [Google Scholar] [CrossRef] [PubMed]
  12. Cassi, D.; Battistoni, G.; Magnifico, M.; Di Blasio, C.; Pedrazzi, G.; Di Blasio, A. Three-dimensional evaluation of facial asymmetry in patients with hemifacial microsomia using stereophotogrammetry. J. Craniomaxillofac. Surg. 2019, 47, 179–184. [Google Scholar] [CrossRef] [PubMed]
  13. Sun, J.; Lin, Y.C.; Lee, J.D.; Lee, S.J. Effect of increasing occlusal vertical dimension on lower facial form and perceived facial esthetics: A digital evaluation. J. Prosthet. Dent. 2021, 126, 546–552. [Google Scholar] [CrossRef] [PubMed]
  14. Lin, W.S.; Harris, B.T.; Phasuk, K.; Llop, D.R.; Morton, D. Integrating a facial scan, virtual smile design, and 3D virtual patient for treatment with CAD-CAM ceramic veneers: A clinical report. J. Prosthet. Dent. 2018, 119, 200–205. [Google Scholar] [CrossRef]
  15. Isleem, W.; Wünsche, A.; Baumgarten, H.S.; Fraiman, H.P. Digital Full-Mouth Reconstruction: From Diagnostics to Final Full Zirconia Restorations. Compend. Contin. Educ. Dent. 2022, 43, 640–644. [Google Scholar] [PubMed]
  16. Eder, M.; Brockmann, G.; Zimmermann, A.; Papadopoulos, M.A.; Schwenzer-Zimmerer, K.; Zeilhofer, H.F.; Sader, R.; Papadopulos, N.A.; Kovacs, L. Evaluation of precision and accuracy assessment of different 3-D surface imaging systems for biomedical purposes. J. Digit. Imaging 2013, 26, 163–172. [Google Scholar] [CrossRef]
  17. Liu, Y.; Chen, D.; Zhang, R.; Cui, X.; Zhou, Y. The Application of 3D Dense Face Alignment in Esthetic Rehabilitation. J. Prosthodont. 2022, 31, 171–174. [Google Scholar] [CrossRef]
  18. Baysal, A.; Sahan, A.O.; Ozturk, M.A.; Uysal, T. Reproducibility and reliability of three-dimensional soft tissue landmark identification using three-dimensional stereophotogrammetry. Angle Orthod. 2016, 86, 1004–1009. [Google Scholar] [CrossRef]
  19. Heike, C.L.; Upson, K.; Stuhaug, E.; Weinberg, S.M. 3D digital stereophotogrammetry: A practical guide to facial image acquisition. Head Face Med. 2010, 6, 18. [Google Scholar] [CrossRef]
  20. Chen, Z.C.; Albdour, M.N.; Lizardo, J.A.; Chen, Y.A.; Chen, P.K. Precision of three-dimensional stereo-photogrammetry (3dMD) in anthropometry of the auricle and its application in microtia reconstruction. J. Plast. Reconstr. Aesthet. Surg. 2015, 68, 622–631. [Google Scholar] [CrossRef]
  21. Coachman, C.; Calamita, M.A.; Sesma, N. Dynamic Documentation of the Smile and the 2D/3D Digital Smile Design Process. Int. J. Periodont. Restorat. Dent. 2017, 37, 183–193. [Google Scholar] [CrossRef] [PubMed]
  22. Jurado, C.A.; Tsujimoto, A.; Watanabe, H.; Villalobos-Tinoco, J.; Garaicoa, J.L.; Markham, M.D.; Barkmeier, W.W.; Latta, M.A. Chair-side CAD/CAM fabrication of a single-retainer resin bonded fixed dental prosthesis: A case report. Restor. Dent. Endod. 2020, 45, e15. [Google Scholar] [CrossRef]
  23. Notarantonio, A.E. A Systematic Approach to Full-Mouth Rehabilitation of a Complex Case Using a Digital Workflow, Proper Isolation. Compend. Contin. Educ. Dent. 2022, 43, 292–297. [Google Scholar] [PubMed]
  24. Richert, R.; Goujat, A.; Venet, L.; Viguie, G.; Viennot, S.; Robinson, P.; Farges, J.C.; Fages, M.; Ducret, M. Intraoral Scanner Technologies: A Review to Make a Successful Impression. J. Health Eng. 2017, 2017, 8427595. [Google Scholar] [CrossRef]
  25. Mangano, F.; Gandolfi, A.; Luongo, G.; Logozzo, S. Intraoral scanners in dentistry: A review of the current literature. BMC Oral Health 2017, 17, 149. [Google Scholar] [CrossRef]
  26. Conejo, J.; Dayo, A.F.; Syed, A.Z.; Mupparapu, M. The digital clone intraoral scanning, face scans and cone beam computed tomography integration for diagnosis and treatment planning. Dent. Clinic. N. Am. 2021, 65, 529–553. [Google Scholar] [CrossRef]
  27. Abduo, J.; Tennant, M. Impact of lateral occlusion schemes: A systematic review. J. Prosthet. Dent. 2015, 114, 193–204. [Google Scholar] [CrossRef]
  28. Wang, M.; Mehta, N. A possible biomechanical role of occlusal cusp-fossa contact relationships. J. Oral Rehabil. 2013, 40, 69–79. [Google Scholar] [CrossRef]
  29. Abduo, J.; Bennamoun, M.; Tennant, M.; McGeachie, J. Effect of prosthodontic planning on lateral occlusion scheme: A comparison between conventional and digital planning. J. Appl. Oral Sci. 2015, 23, 196–205. [Google Scholar] [CrossRef]
  30. Abduo, J. Morphological Symmetry of Maxillary Anterior Teeth before and after Prosthodontic Planning: Comparison between Conventional and Digital Diagnostic Wax-Ups. Med. Princ. Pract. 2016, 25, 276–281. [Google Scholar] [CrossRef]
  31. Joda, T.; Gallucci, G.O. The virtual patient in dental medicine. Clin. Oral Implant. Res. 2015, 26, 725–756. [Google Scholar] [CrossRef] [PubMed]
  32. Manicone, P.F.; De Angelis, P.; Rella, E.; Damis, G.; D’addona, A. Patient preference and clinical working time between digital scanning and conventional impression making for implant-supported prostheses: A systematic review and meta-analysis. J. Prosthet. Dent. 2022, 128, 589–596. [Google Scholar] [CrossRef] [PubMed]
  33. Silva, N.R.; Ferencz, J.L.; Silva, G.C. Expanding the Application of Digital Dentistry with 3D Patient Monitoring. Int. J. Prosthodont. 2021, 34, 118–119. [Google Scholar] [CrossRef] [PubMed]
  34. Hassan, B.; Gimenez Gonzalez, B.; Tahmaseb, A.; Greven, M.; Wismeijer, D. A digital approach integrating facial scanning in a CAD-CAM workflow for completemouth implant-supported rehabilitation of patients with edentulism: A pilot clinical study. J. Prosthet. Dent. 2017, 117, 486–492. [Google Scholar] [CrossRef] [PubMed]
  35. Joda, T.; Brägger, U.; Gallucci, G. Systematic literature review of digital three-dimensional superimposition techniques to create virtual dental patients. Int. J. Oral Maxillofac. Implant. 2015, 30, 330–337. [Google Scholar] [CrossRef] [PubMed]
  36. Róth, I.; Czigola, A.; Joós-Kovács, G.L.; Dalos, M.; Hermann, P.; Borbély, J. Learning curve of digital intraoral scanning—An in vivo study. BMC Oral Health 2020, 20, 287. [Google Scholar] [CrossRef]
Disclaimer/Publisher’s Note: The statements, opinions and data contained in all publications are solely those of the individual author(s) and contributor(s) and not of MDPI and/or the editor(s). MDPI and/or the editor(s) disclaim responsibility for any injury to people or property resulting from any ideas, methods, instructions or products referred to in the content.

Article Metrics

Citations

Article Access Statistics

Multiple requests from the same IP address are counted as one view.