Dynamic Analysis of the Median Nerve in Carpal Tunnel Syndrome from Ultrasound Images Using the YOLOv5 Object Detection Model
Abstract
1. Introduction
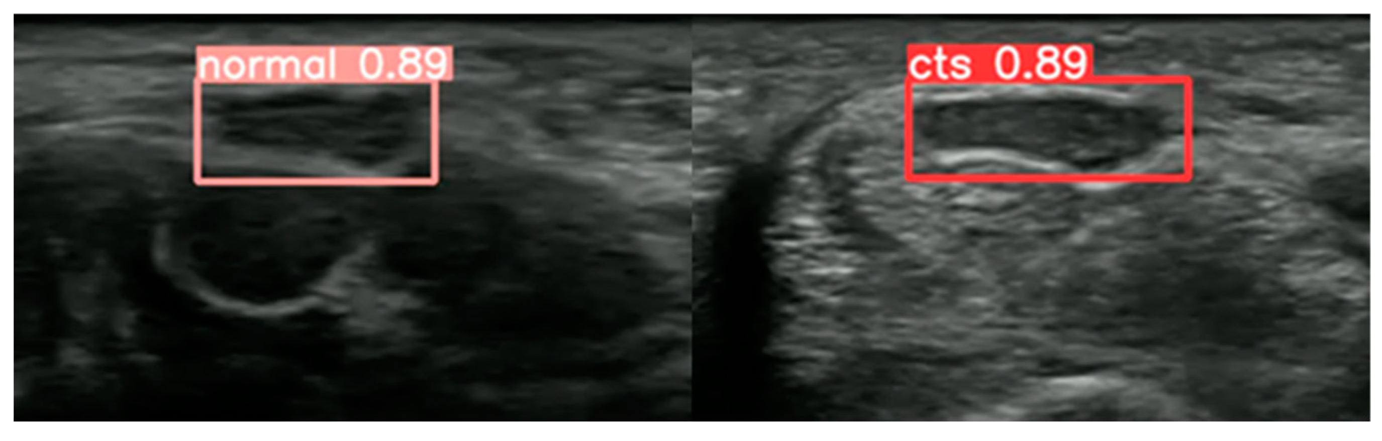
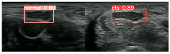
2. Materials and Methods
3. Results
4. Discussion
5. Conclusions
Author Contributions
Funding
Institutional Review Board Statement
Informed Consent Statement
Data Availability Statement
Conflicts of Interest
References
- Alfonso, C.; Jann, S.; Massa, R.; Torreggiani, A. Diagnosis treatment and follow-up of the carpal tunnel syndrome: A review. Neurol. Sci. 2010, 31, 243–252. [Google Scholar] [CrossRef] [PubMed]
- Atroshi, I.; Gummesson, C.; Johnsson, R.; Ornstein, E.; Ranstam, J.; Rosen, I. Prevalence of carpal tunnel syndrome in a general population. JAMA 1999, 282, 153–158. [Google Scholar] [CrossRef] [PubMed]
- Festen-Schrier, V.J.M.M.; Amadio, P.C. The biomechanics of subsynovial connective tissue in health and its role in carpal tunnel syndrome. J. Electromyogr. Kinesiol. 2018, 38, 232–239. [Google Scholar] [CrossRef]
- Robben, E.; Dever, J.; De Groef, A.; Degreef, I.; Peers, K. Subsynovial connective tissue thickness in carpal tunnel syndrome: A systematic review. Clin. Biomech. 2020, 75, 105002. [Google Scholar] [CrossRef] [PubMed]
- Ettema, A.M.; Amadio, P.C.; Zhao, C.; Wold, L.E.; O’Byrne, M.M.; Moran, S.L.; An, K.N. Changes in the functional structure of the tenosynovium in idiopathic carpal tunnel syndrome: A scanning electron microscope study. Plast. Reconstr. Surg. 2006, 118, 1413–1422. [Google Scholar] [CrossRef] [PubMed]
- Ettema, A.M.; Amadio, P.C.; Zhao, C.; Wold, L.E.; An, K.N. A histological and immunohistochemical study of the subsynovial connective tissue in idiopathic carpal tunnel syndrome. J. Bone Jt. Surg. Am. 2004, 86, 1458–1466. [Google Scholar] [CrossRef]
- Kerr, C.D.; Sybert, D.R.; Albarracin, N.S. An analysis of the flexor synovium in idiopathic carpal tunnel syndrome: Report of 625 cases. J. Hand Surg. Am. 1992, 17, 1028–1030. [Google Scholar] [CrossRef] [PubMed]
- Oh, J.; Zhao, C.; Zobitz, M.E.; Wold, L.E.; An, K.N.; Amadio, P.C. Morphological changes of collagen fibrils in the subsynovial connective tissue in carpal tunnel syndrome. J. Bone Jt. Surg. Am. 2006, 88, 824–831. [Google Scholar] [CrossRef]
- Chen, Y.T.; Williams, L.; Zak, M.J.; Fredericson, M. Review of Ultrasonography in the Diagnosis of Carpal Tunnel Syndrome and a Proposed Scanning Protocol. J. Ultrasound Med. 2016, 35, 2311–2324. [Google Scholar] [CrossRef]
- Visser, L.H.; Smidt, M.H.; Lee, M.L. High-resolution sonography versus EMG in the diagnosis of carpal tunnel syndrome. J. Neurol. Neurosurg. Psychiatry 2008, 79, 63–67. [Google Scholar] [CrossRef]
- Buchberger, W.; Judmaier, W.; Birbamer, G.; Lener, M.; Schmidauer, C. Carpal tunnel syndrome: Diagnosis with high-resolution sonography. Am. J. Roentgenol. 1992, 159, 793–798. [Google Scholar] [CrossRef] [PubMed]
- Kluge, S.; Langer, M.; Schelle, T. Sonographic Diagnosis of Carpal Tunnel Syndrome. Hand Clin. 2022, 38, 35–53. [Google Scholar] [CrossRef] [PubMed]
- Ellis, R.; Blyth, R.; Arnold, N.; Miner-Williams, W. Is there a relationship between impaired median nerve excursion and carpal tunnel syndrome? A systematic review. J. Hand Ther. 2017, 30, 3–12. [Google Scholar] [CrossRef] [PubMed]
- Park, G.Y.; Kwon, D.R.; Seok, J.I.; Park, D.S.; Cho, H.K. Usefulness of ultrasound assessment of median nerve mobility in carpal tunnel syndrome. Acta Radiol. 2018, 59, 1494–1499. [Google Scholar] [CrossRef] [PubMed]
- Erel, E.; Dilley, A.; Greening, J.; Morris, V.; Cohen, B.; Lynn, B. Longitudinal sliding of the median nerve in patients with carpal tunnel syndrome. J. Hand Surg. Br. 2003, 28, 439–443. [Google Scholar] [CrossRef] [PubMed]
- Hough, A.D.; Moore, A.P.; Jones, M.P. Reduced longitudinal excursion of the median nerve in carpal tunnel syndrome. Arch. Phys. Med. Rehabil. 2007, 88, 569–576. [Google Scholar] [CrossRef] [PubMed]
- Filius, A.; Scheltens, M.; Bosch, H.G.; van Doorn, P.A.; Stam, H.J.; Hovius, S.E.; Amadio, P.C.; Selles, R.W. Multidimensional ultrasound imaging of the wrist: Changes of shape and displacement of the median nerve and tendons in carpal tunnel syndrome. J. Orthop. Res. 2015, 33, 1332–1340. [Google Scholar] [CrossRef]
- Filius, A.; Thoreson, A.R.; Wang, Y.; Passe, S.M.; Zhao, C.; An, K.N.; Amadio, P.C. The effect of tendon excursion velocity on longitudinal median nerve displacement: Differences between carpal tunnel syndrome patients and controls. J. Orthop. Res. 2015, 33, 483–487. [Google Scholar] [CrossRef]
- Liu, C.T.; Liu, D.H.; Chen, C.J.; Wang, Y.W.; Wu, P.S.; Horng, Y.S. Effects of wrist extension on median nerve and flexor tendon excursions in patients with carpal tunnel syndrome: A case control study. BMC Musculoskelet. Disord. 2021, 22, 477. [Google Scholar] [CrossRef]
- Wang, Y.; Filius, A.; Zhao, C.; Passe, S.M.; Thoreson, A.R.; An, K.N.; Amadio, P.C. Altered median nerve deformation and transverse displacement during wrist movement in patients with carpal tunnel syndrome. Acad. Radiol. 2014, 21, 472–480. [Google Scholar] [CrossRef]
- Van Doesburg, M.H.; Henderson, J.; van der Molen, A.B.M.; An, K.N.; Amadio, P.C. Transverse plane tendon and median nerve motion in the carpal tunnel: Ultrasound comparison of carpal tunnel syndrome patients and healthy volunteers. PLoS ONE 2012, 7, e37081. [Google Scholar] [CrossRef] [PubMed]
- Nanno, M.; Sawaizumi, T.; Kodera, N.; Tomori, Y.; Takai, S. Transverse Movement of the Median Nerve in the Carpal Tunnel during Wrist and Finger Motion in Patients with Carpal Tunnel Syndrome. Tohoku J. Exp. Med. 2015, 236, 233–240. [Google Scholar] [CrossRef] [PubMed]
- Kang, H.J.; Yoon, J.S. Effect of finger motion on transverse median nerve movement in the carpal tunnel. Muscle Nerve 2016, 54, 738–742. [Google Scholar] [CrossRef] [PubMed]
- Toge, Y.; Nishimura, Y.; Basford, J.R.; Nogawa, T.; Yamanaka, M.; Nakamura, T.; Yoshida, M.; Nagano, A.; Tajima, F. Comparison of the effects of flexion and extension of the thumb and fingers on the position and cross-sectional area of the median nerve. PLoS ONE 2013, 8, e83565. [Google Scholar] [CrossRef] [PubMed][Green Version]
- Yoshii, Y.; Ishii, T.; Tung, W.-L.; Sakai, S.; Amadio, P.C. Median nerve deformation and displacement in the carpal tunnel during finger motion. J. Orthop. Res. 2013, 31, 1876–1880. [Google Scholar] [CrossRef] [PubMed]
- Lalehzarian, S.P.; Gowd, A.K.; Liu, J.N. Machine learning in orthopaedic surgery. World J. Orthop. 2021, 12, 685–699. [Google Scholar] [CrossRef]
- Wu, C.H.; Syu, W.T.; Lin, M.T.; Yeh, C.L.; Boudier-Revéret, M.; Hsiao, M.Y.; Kuo, P.L. Automated Segmentation of Median Nerve in Dynamic Sonography Using Deep Learning: Evaluation of Model Performance. Diagnostics 2021, 11, 1893. [Google Scholar] [CrossRef]
- Wang, Y.W.; Chang, R.F.; Horng, Y.S.; Chen, C.J. MNT-DeepSL: Median nerve tracking from carpal tunnel ultrasound images with deep similarity learning and analysis on continuous wrist motions. Comput. Med. Imaging Graph. 2020, 80, 101687. [Google Scholar] [CrossRef]
- Cosmo, M.D.; Chiara Fiorentino, M.; Villani, F.P.; Sartini, G.; Smerilli, G.; Filippucci, E.; Frontoni, E.; Moccia, S. Learning-based median nerve segmentation from ultrasound images for carpal tunnel syndrome evaluation. In Proceedings of the 2021 43rd Annual International Conference of the IEEE Engineering in Medicine & Biology Society (EMBC), Virtual Conference, 1–5 November 2021; pp. 3025–3028. [Google Scholar]
- Smerilli, G.; Cipolletta, E.; Sartini, G.; Moscioni, E.; Di Cosmo, M.; Fiorentino, M.C.; Moccia, S.; Frontoni, E.; Grassi, W.; Filippucci, E. Development of a convolutional neural network for the identification and the measurement of the median nerve on ultrasound images acquired at carpal tunnel level. Arthritis Res. Ther. 2022, 24, 38. [Google Scholar] [CrossRef]
- Huang, Y.T.; Chen, C.J.; Wang, Y.W.; Peng, P.L.; Luo, Y.T.; Horng, Y.S. Ultrasonographical Evaluation of the Median Nerve Mobility in Carpal Tunnel Syndrome: A Systematic Review and Meta-Analysis. Diagnostics 2022, 12, 2349. [Google Scholar] [CrossRef]
- YOLOv5 in PyTorch > ONNX > CoreML > TFLite—GitHub. Available online: https://github.com/ultralytics/yolov5 (accessed on 17 January 2022).
- Aly, G.H.; Marey, M.; El-Sayed, S.A.; Tolba, M.F. YOLO Based Breast Masses Detection and Classification in Full-Field Digital Mammograms. Comput. Methods Programs Biomed. 2021, 200, 105823. [Google Scholar] [CrossRef]
- Li, J.; Li, S.; Li, X.; Miao, S.; Dong, C.; Gao, C.; Liu, X.; Hao, D.; Xu, W.; Huang, M.; et al. Primary bone tumor detection and classification in full-field bone radiographs via YOLO deep learning model. Eur. Radiol. 2023, 33, 4237–4248. [Google Scholar] [CrossRef] [PubMed]
- Shinohara, I.; Inui, A.; Mifune, Y.; Nishimoto, H.; Yamaura, K.; Mukohara, S.; Yoshikawa, T.; Kato, T.; Furukawa, T.; Hoshino, Y.; et al. Using deep learning for ultrasound images to diagnose carpal tunnel syndrome with high accuracy. Ultrasound Med. Biol. 2022, 48, 2052–2059. [Google Scholar] [CrossRef]
- Amodeo, I.; De Nunzio, G.; Raffaeli, G.; Borzani, I.; Griggio, A.; Conte, L.; Macchini, F.; Condò, V.; Persico, N.; Fabietti, I.; et al. A maChine and deep Learning Approach to predict pulmoNary hyperteNsIon in newbornS with congenital diaphragmatic Hernia (CLANNISH): Protocol for a retrospective study. PLoS ONE 2021, 16, e0259724. [Google Scholar] [CrossRef] [PubMed]
- Taormina, V.; Raso, G.; Gentile, V.; Abbene, L.; Buttacavoli, A.; Bonsignore, G.; Valenti, C.; Messina, P.; Scardina, G.A.; Cascio, D. Automated Stabilization, Enhancement and Capillaries Segmentation in Videocapillaroscopy. Sensors 2023, 23, 7674. [Google Scholar] [CrossRef]
- Nakamichi, K.; Tachibana, S. Restricted Motion of the Median Nerve in Carpal Tunnel Syndrome. J. Hand Surg. 1995, 20, 460–464. [Google Scholar] [CrossRef] [PubMed]
- Fan, C.; Fede, C.; Pirri, C.; Guidolin, D.; Biz, C.; Macchi, V.; De Caro, R.; Stecco, C. Quantitative Evaluation of the Echo Intensity of Paraneural Area and Myofascial Structure around Median Nerve in Carpal Tunnel Syndrome. Diagnostics 2020, 10, 914. [Google Scholar] [CrossRef] [PubMed]
- Kuo, T.-T.; Lee, M.-R.; Liao, Y.-Y.; Chen, J.-P.; Hsu, Y.-W.; Yeh, C.-K. Assessment of Median Nerve Mobility by Ultrasound Dynamic Imaging for Diagnosing Carpal Tunnel Syndrome. PLoS ONE 2016, 11, e0147051. [Google Scholar] [CrossRef]
- Hara, Y.; Tajiri, Y.; Kawano, K.; Hoshikawa, S. Evaluation of Restricted Motion Area of the Median Nerve in Patients with Carpal Tunnel Syndrome: A New Measurement Method Using an Ultrasonographic Video Image. J. Hand Surg. 2021, 26, 635–643. [Google Scholar] [CrossRef]
- Wang, J.C.; Shu, Y.C.; Lin, C.Y.; Wu, W.T.; Chen, L.R.; Lo, Y.C.; Chiu, H.C.; Özçakar, L.; Chang, K.V. Application of deep learning algorithms in automatic sonographic localization and segmentation of the median nerve: A systematic review and meta-analysis. Artif. Intell. Med. 2023, 137, 102496. [Google Scholar] [CrossRef]
- Hafiane, A.; Vieyres, P.; Delbos, A. Deep Learning with Spatiotemporal Consistency for Nerve Segmentation in Ultrasound Images. arXiv 2017, arXiv:1706.05870. [Google Scholar]
- Redmon, J.; Divvala, S.; Girshick, R.; Farhadi, A. You only look once: Unified, real-time object detection. In Proceedings of the IEEE Conference on Computer Vision and Pattern Recognition, Las Vegas, NV, USA, 27–30 June 2016. [Google Scholar]
- Horng, M.H.; Yang, C.W.; Sun, Y.N.; Yang, T.H. DeepNerve: A New Convolutional Neural Network for the Localization and Segmentation of the Median Nerve in Ultrasound Image Sequences. Ultrasound Med. Biol. 2020, 46, 2439–2452. [Google Scholar] [CrossRef] [PubMed]
- Shinohara, I.; Yoshikawa, T.; Inui, A.; Mifune, Y.; Nishimoto, H.; Mukohara, S.; Kato, T.; Furukawa, T.; Tanaka, S.; Kusunose, M.; et al. Degree of Accuracy with Which Deep Learning for Ultrasound Images Identifies Osteochondritis Dissecans of the Humeral Capitellum. Am. J. Sports Med. 2023, 51, 358–366. [Google Scholar] [CrossRef] [PubMed]
- Inui, A.; Mifune, Y.; Nishimoto, H.; Mukohara, S.; Fukuda, S.; Kato, T.; Furukawa, T.; Tanaka, S.; Kusunose, M.; Takigami, S.; et al. Detection of Elbow OCD in the Ultrasound Image by Artificial Intelligence Using YOLOv8. Appl. Sci. 2023, 13, 7623. [Google Scholar] [CrossRef]





| Control Group (n = 20) | CTS Group (n = 20) | |
|---|---|---|
| Age | 55.2 (4.52) | 67.9 (2.82) |
| Sex | ||
| Male | 12 | 8 |
| Female | 8 | 12 |
| NCS | ||
| Healthy volunteer | 11 | - |
| Stage 1 | 9 | - |
| Stage 2 | - | 5 |
| Stage 3 | - | 7 |
| Stage 4 | - | 7 |
| Stage 5 | - | 1 |
| Control Group | CTS Group | p-Value | |
|---|---|---|---|
| Yoshii et al. [25] | 2.45 (1.76) mm | 2.05 (2.82) mm | <0.01 |
| Erel et al. [15] | 1.55 (1.04) mm | 0.89 (1.15) mm | >0.08 |
| Kang et al. [23] | 0.84 (0.18) mm | 0.40 (0.13) mm | 0.021 |
| The present study | 3.56 (0.39) mm | 2.04 (0.21) mm | 0.0002 |
| Control Group | CTS Group | p-Value | |
|---|---|---|---|
| Yoshii et al. [25] | 0.377 (0.399) mm | 0.069 (0.438) mm | 0.06 |
| Kang et al. [23] | 0.64 (0.11) mm | 0.29 (0.08) mm | 0.015 |
| The present study | 1.06 (0.14) mm | 0.96 (0.29) mm | >0.05 |
Disclaimer/Publisher’s Note: The statements, opinions and data contained in all publications are solely those of the individual author(s) and contributor(s) and not of MDPI and/or the editor(s). MDPI and/or the editor(s) disclaim responsibility for any injury to people or property resulting from any ideas, methods, instructions or products referred to in the content. |
© 2023 by the authors. Licensee MDPI, Basel, Switzerland. This article is an open access article distributed under the terms and conditions of the Creative Commons Attribution (CC BY) license (https://creativecommons.org/licenses/by/4.0/).
Share and Cite
Tanaka, S.; Inui, A.; Mifune, Y.; Nishimoto, H.; Shinohara, I.; Furukawa, T.; Kato, T.; Kusunose, M.; Ehara, Y.; Takigami, S.; et al. Dynamic Analysis of the Median Nerve in Carpal Tunnel Syndrome from Ultrasound Images Using the YOLOv5 Object Detection Model. Appl. Sci. 2023, 13, 13256. https://doi.org/10.3390/app132413256
Tanaka S, Inui A, Mifune Y, Nishimoto H, Shinohara I, Furukawa T, Kato T, Kusunose M, Ehara Y, Takigami S, et al. Dynamic Analysis of the Median Nerve in Carpal Tunnel Syndrome from Ultrasound Images Using the YOLOv5 Object Detection Model. Applied Sciences. 2023; 13(24):13256. https://doi.org/10.3390/app132413256
Chicago/Turabian StyleTanaka, Shuya, Atsuyuki Inui, Yutaka Mifune, Hanako Nishimoto, Issei Shinohara, Takahiro Furukawa, Tatsuo Kato, Masaya Kusunose, Yutaka Ehara, Shunsaku Takigami, and et al. 2023. "Dynamic Analysis of the Median Nerve in Carpal Tunnel Syndrome from Ultrasound Images Using the YOLOv5 Object Detection Model" Applied Sciences 13, no. 24: 13256. https://doi.org/10.3390/app132413256
APA StyleTanaka, S., Inui, A., Mifune, Y., Nishimoto, H., Shinohara, I., Furukawa, T., Kato, T., Kusunose, M., Ehara, Y., Takigami, S., & Kuroda, R. (2023). Dynamic Analysis of the Median Nerve in Carpal Tunnel Syndrome from Ultrasound Images Using the YOLOv5 Object Detection Model. Applied Sciences, 13(24), 13256. https://doi.org/10.3390/app132413256

