Effects of Thymus quinquecostatus Celakovski on Allergic Responses in OVA-Induced Allergic Rhinitis Mice
Abstract
1. Introduction
2. Materials and Methods
2.1. Reagents
2.2. Preparation of TQ
2.3. Animals
2.4. Experimental Group Design
2.5. The OVA-Induced AR Model
2.6. Enzyme-Linked Immunosorbent Assay (ELISA) Measurement in Serum
2.7. Histopathological Evaluation of Nasal Mucosa Tissue
2.8. Liquid Chromatography-Mass Spectrometry Analysis (LC/MS)
2.9. Statistical Analysis
3. Results
3.1. Mitigating Effect on Nasal Rubbing Time and Number of Sneezing
3.2. Effect of TQ Extracts on Production of Th1-and Th2-Related Cytokines in Serum
3.3. Effect of TQ Extracts on OVA-Specific IgE and Total IgE
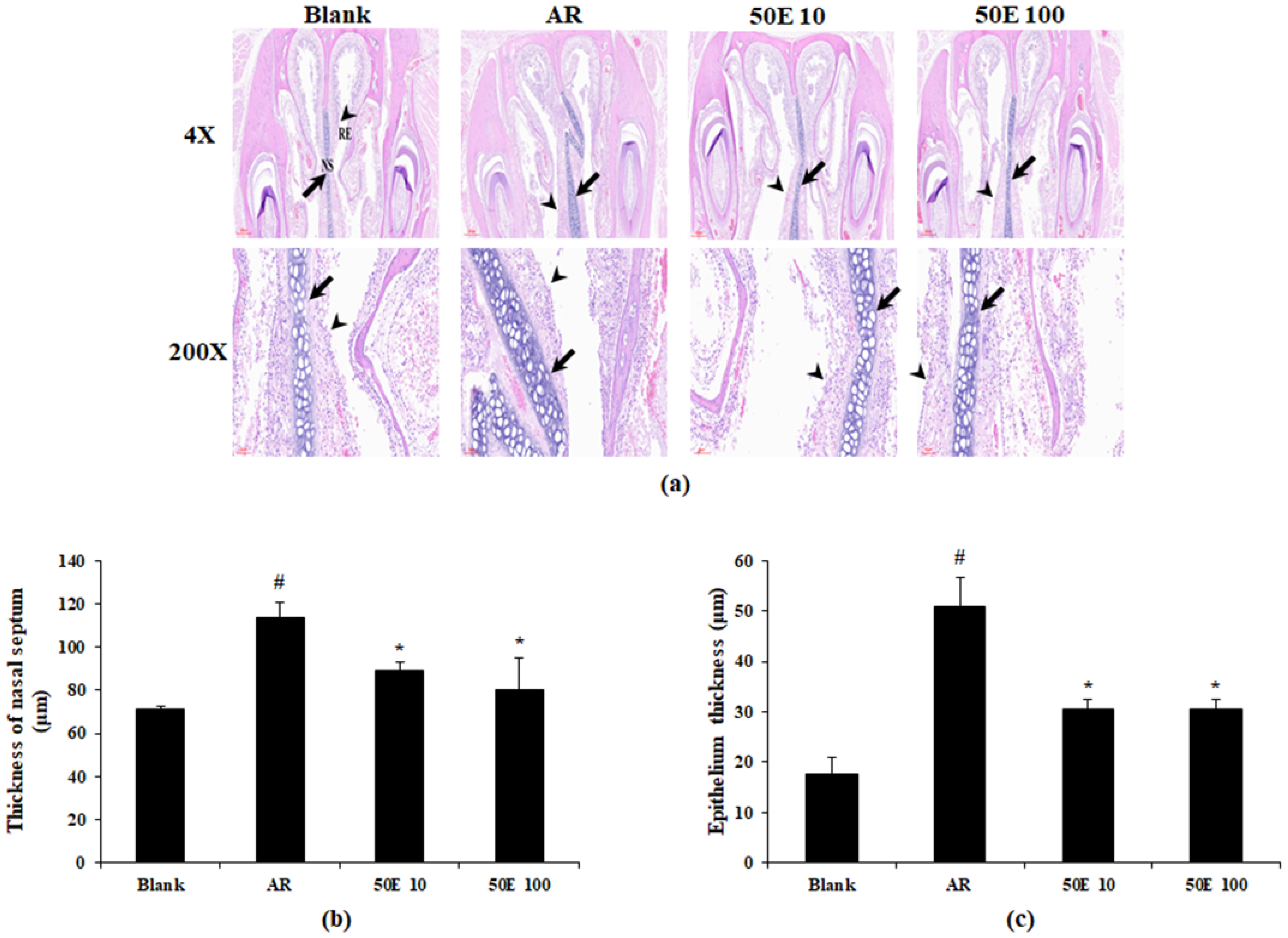
3.4. Effects of TQ Extract on Histological Transformations in Nasal Tissues
3.5. UPLC Analysis of the TQ Extract
4. Discussion
5. Conclusions
Author Contributions
Funding
Institutional Review Board Statement
Informed Consent Statement
Data Availability Statement
Conflicts of Interest
References
- Ogulur, I.; Pat, Y.; Ardicli, O.; Barletta, E.; Cevhertas, L.; Fernandez-Santamaria, R.; Huang, M.; Bel Imam, M.; Koch, J.; Ma, S.; et al. Advances and Highlights in Biomarkers of Allergic Diseases. Allergy Eur. J. Allergy Clin. Immunol. 2021, 76, 3659–3686. [Google Scholar] [CrossRef] [PubMed]
- Galli, S.J.; Tsai, M.; Piliponsky, A.M. The Development of Allergic Inflammation. Nature 2008, 454, 445–454. [Google Scholar] [CrossRef] [PubMed]
- Borish, L. Allergic Rhinitis: Systemic Inflammation and Implications for Management. J. Allergy Clin. Immunol. 2003, 112, 1021–1031. [Google Scholar] [CrossRef] [PubMed]
- Kim, H.H. Allergic Rhinitis, Sinusitis and Asthma—Evidence for Respiratory System Integration. Korean J. Pediatr. 2007, 50, 335–339. [Google Scholar] [CrossRef]
- Hellings, P.W.; Ceuppens, J.L. Mouse Models of Global Airway Allergy: What Have We Learned and What Should We Do Next? Allergy 2004, 59, 914–919. [Google Scholar] [CrossRef] [PubMed]
- Jeffery, P.K.; Haahtela, T. Allergic Rhinitis and Asthma: Inflammation in a One-Airway Condition. BMC Pulm. Med. 2006, 6, S5. [Google Scholar] [CrossRef] [PubMed]
- Bachert, C. The Role of Histamine in Allergic Disease: Re-Appraisal of Its Inflammatory Potential. Allergy 2002, 57, 287–296. [Google Scholar] [CrossRef]
- Adkinson, N.F.; Bochner, B.S.; Burks, A.W.; Busse, W.W.; Holgate, S.T.; Lemanske, R.F.; O’Hehir, R.E. Middleton’s Allergy: Principles and Practice, 8th ed.; Mosby: Maryland Heights, MI, USA, 2013; pp. 261–276. [Google Scholar]
- World Allergy Organization. Available online: https://www.worldallergy.org/education-and-programs/education/allergic-disease-resource-center/professionals/in-depth-review-of-allergic-rhinitis (accessed on 13 October 2023).
- Miura, K.; Kikuzaki, H.; Nakatani, N. Antioxidant Activity of Chemical Components from Sage (Salvia officinalis L.) and Thyme (Thymus vulgaris L.) Measured by the Oil Stability Index Method. J. Agric. Food Chem. 2002, 50, 1845–1851. [Google Scholar] [CrossRef]
- Fan, X.; Cheng, L.; Yan, A. Ameliorative Effect of Acetylshikonin on Ovalbumin (OVA)-induced Allergic Rhinitis in Mice through the Inhibition of Th2 Cytokine Production and Mast Cell Histamine Release. APMIS 2019, 127, 688–695. [Google Scholar] [CrossRef]
- Sur, D.K.; Scandale, S. Treatment of Allergic Rhinitis. Am. Fam. Physician 2010, 81, 1440–1446. [Google Scholar]
- Jung, S.Y.; Kim, S.W. Sublingual Immunotherapy for Allergic Rhinitis. Allergy Asthma Respir. Dis. 2014, 2, 91–96. [Google Scholar] [CrossRef][Green Version]
- Cho, S.H. Allergic Rhinitis Mouse Model. Korean J. Otorhinolaryngol. Neck Surg. 2012, 55, 609–615. [Google Scholar] [CrossRef]
- Mo, J.H. Principles and Application of Mouse Model of Allergic Rhinitis. Korean J. Otorhinolaryngol. Neck Surg. 2015, 58, 159–165. [Google Scholar] [CrossRef]
- Huntington, J.A.; Stein, P.E. Structure and Properties of Ovalbumin. J. Chromatogr. B Biomed. Sci. Appl. 2001, 756, 189–198. [Google Scholar] [CrossRef]
- Brewer, J.M.; Conacher, M.; Hunter, C.A.; Mohrs, M.; Brombacher, F.; Alexander, J. Aluminium Hydroxide Adjuvant Initiates Strong Antigen-Specific Th2 Responses in the Absence of IL-4- or IL-13-Mediated Signaling. J. Immunol. 1999, 163, 6448–6454. [Google Scholar] [CrossRef] [PubMed]
- Schneider, T.; Van Velzen, D.; Moqbel, R.; Issekutz, A.C. Kinetics and Quantitation of Eosinophil and Neutrophil Recruitment to Allergic Lung Inflammation in a Brown Norway Rat Model. Am. J. Respir. Cell Mol. Biol. 1997, 17, 702–712. [Google Scholar] [CrossRef] [PubMed][Green Version]
- Nakagome, K.; Dohi, M.; Okunishi, K.; To, Y.; Sato, A.; Komagata, Y.; Nagatani, K.; Tanaka, R.; Yamamoto, K. Antigen-Sensitized CD4+ CD62Llow Memory/Effector T Helper 2 Cells Can Induce Airway Hyperresponsiveness in an Antigen Free Setting. Respir. Res. 2005, 28, 46. [Google Scholar] [CrossRef]
- Pauluhn, J.; Mohr, U. Experimental Approaches to Evaluate Respiratory Allergy in Animal Models. Exp. Toxicol. Pathol. 2005, 56, 203–234. [Google Scholar] [CrossRef]
- Zhang, Y.U.; Lamm, W.J.E.; Albert, R.K.; Chi, E.Y.; Henderson, W.R.; Lewis, D.B. Influence of the Route of Allergen Administration and Genetic Background on the Murine Allergic Pulmonary Response. Am. J. Respir. Crit. Care Med. 1997, 155, 661–669. [Google Scholar] [CrossRef]
- Ko, M.T.; Huang, S.C.; Kang, H.Y. Establishment and Characterization of an Experimental Mouse Model of Allergic Rhinitis. Eur. Arch. Oto-Rhino-Laryngol. 2015, 272, 1149–1155. [Google Scholar] [CrossRef]
- Tsunematsu, M.; Yamaji, T.; Kozutsumi, D.; Murakami, R.; Kimura, S.; Kino, K. Establishment of an Allergic Rhinitis Model in Mice for the Evaluation of Nasal Symptoms. Life Sci. 2007, 80, 1388–1394. [Google Scholar] [CrossRef] [PubMed]
- Van De Rijn, M.; Mehlhop, P.D.; Judkins, A.; Rothenberg, M.E.; Luster, A.D.; Oettgen, H.C. A Murine Model of Allergic Rhinitis: Studies on the Role of IgE in Pathogenesis and Analysis of the Eosinophil Influx Elicited by Allergen and Eotaxin. J. Allergy Clin. Immunol. 1998, 102, 65–74. [Google Scholar] [CrossRef] [PubMed]
- Chevallier, A. Herbal Remedies; Dorling Kindersley Limited: London, UK, 2007; pp. 87–89. [Google Scholar]
- Deighton, N.; Glidewell, S.M.; Deans, S.G.; Goodman, B.A. Identification by Epr Spectroscopy of Carvacrol and Thymol as the Major Sources of Free Radicals in the Oxidation of Plant Essential Oils. J. Sci. Food Agric. 1993, 63, 221–225. [Google Scholar] [CrossRef]
- Kim, Y.-H.; Lee, J.-C.; Choi, Y.-H. Essential Oils of Thymus Quinquecostatus Celakov. and Thymus Magnus Nakai. Korean Soc. Med. Crop Sci. 1994, 2, 234–240. [Google Scholar]
- Chorianopoulos, N.; Kalpoutzakis, E.; Aligiannis, N.; Mitaku, S.; Nychas, G.-J.; Haroutounian, S.A. Essential Oils of Satureja, Origanum, and Thymus Species: Chemical Composition and Antibacterial Activities Against Foodborne Pathogens. J. Agric. Food Chem. 2004, 52, 8261–8267. [Google Scholar] [CrossRef]
- Oh, T.-H.; Kim, S.-S.; Yoon, W.-J.; Kim, J.-Y.; Yang, E.-J.; Lee, N.H.; Hyun, C.-G. Chemical Composition and Biological Activities of Jeju Thymus Quinquecostatus Essential Oils against Propionibacterium Species Inducing Acne. J. Gen. Appl. Microbiol. 2009, 55, 63–68. [Google Scholar] [CrossRef] [PubMed]
- Oussalah, M.; Caillet, S.; Saucier, L.; Lacroix, M. Inhibitory Effects of Selected Plant Essential Oils on the Growth of Four Pathogenic Bacteria: E. Coli O157:H7, Salmonella Typhimurium, Staphylococcus aureus and Listeria monocytogenes. Food Control 2007, 18, 414–420. [Google Scholar] [CrossRef]
- Soliman, K.; Badeaa, R. Effect of Oil Extracted from Some Medicinal Plants on Different Mycotoxigenic Fungi. Food Chem. Toxicol. 2002, 40, 1669–1675. [Google Scholar] [CrossRef]
- Lukacs, N.W. Role of Chemokines in the Pathogenesis of Asthma. Nat. Rev. Immunol. 2001, 1, 108–116. [Google Scholar] [CrossRef]
- Pelaia, C.; Paoletti, G.; Puggioni, F.; Racca, F.; Pelaia, G.; Canonica, G.W.; Heffler, E. Interleukin-5 in the Pathophysiology of Severe Asthma. Front. Physiol. 2019, 10, 1514. [Google Scholar] [CrossRef]
- Abbas, A.; Lichtman, A.; Pillai, S. Cellular and Mollecular Immunology, 9th ed.; Elsevier: Amsterdam, The Netherlands, 2018; pp. 477–522. [Google Scholar]
- Poole, J.A.; Rosenwasser, L.J. The Role of Immunoglobulin E and Immune Inflammation: Implications in Allergic Rhinitis. Curr. Allergy Asthma Rep. 2005, 5, 252–258. [Google Scholar] [CrossRef] [PubMed]
- Nur Husna, S.M.; Tan, H.-T.T.; Md Shukri, N.; Mohd Ashari, N.S.; Wong, K.K. Nasal Epithelial Barrier Integrity and Tight Junctions Disruption in Allergic Rhinitis: Overview and Pathogenic Insights. Front. Immunol. 2021, 12, 663626. [Google Scholar] [CrossRef] [PubMed]
- Tan, H.-T.T.; Sugita, K.; Akdis, C.A. Novel Biologicals for the Treatment of Allergic Diseases and Asthma. Curr. Allergy Asthma Rep. 2016, 16, 70. [Google Scholar] [CrossRef] [PubMed]
- Rosenwasser, L.J.; O’Brien, T.; Weyne, J. Mast Cell Stabilization and Anti-Histamine Effects of Olopatadine Ophthalmic Solution: A Review of Pre-Clinical and Clinical Research. Curr. Med. Res. Opin. 2005, 21, 1377–1387. [Google Scholar] [CrossRef] [PubMed]
- Nabavi, S.; Tenore, G.; Daglia, M.; Tundis, R.; Loizzo, M.; Nabavi, S. The Cellular Protective Effects of Rosmarinic Acid: From Bench to Bedside. Curr. Neurovasc. Res. 2015, 12, 98–105. [Google Scholar] [CrossRef] [PubMed]
- Oršolic, N.; Šver, L.; Terzić, S.; Bašić, I. Peroral Application of Water-Soluble Derivative of Propolis (WSDP) and Its Related Polyphenolic Compounds and Their Influence on Immunological and Antitumour Activity. Vet. Res. Commun. 2005, 29, 575–593. [Google Scholar] [CrossRef] [PubMed]
- Hajimehdipoor, H.; Saeidnia, S.; Gohari, A.; Hamedani, M.; Shekarchi, M. Comparative Study of Rosmarinic Acid Content in Some Plants of Labiatae Family. Pharmacogn. Mag. 2012, 8, 37. [Google Scholar] [CrossRef]
- Sik, B.; Kapcsándi, V.; Székelyhidi, R.; Hanczné, E.L.; Ajtony, Z. Recent Advances in the Analysis of Rosmarinic Acid From Herbs in the Lamiaceae Family. Nat. Prod. Commun. 2019, 14, 1934578X19864216. [Google Scholar] [CrossRef]
- Grayer, R.J.; Eckert, M.R.; Veitch, N.C.; Kite, G.C.; Marin, P.D.; Kokubun, T.; Simmonds, M.S.; Paton, A.J. The Chemotaxonomic Significance of Two Bioactive Caffeic Acid Esters, Nepetoidins A and B, in the Lamiaceae. Phytochemistry 2003, 64, 519–528. [Google Scholar] [CrossRef]
- Taghouti, M.; Martins-Gomes, C.; Schäfer, J.; Santos, J.A.; Bunzel, M.; Nunes, F.M.; Silva, A.M. Chemical Characterization and Bioactivity of Extracts from Thymus Mastichina: A Thymus with a Distinct Salvianolic Acid Composition. Antioxidants 2019, 9, 34. [Google Scholar] [CrossRef]
- Martins-Gomes, C.; Steck, J.; Keller, J.; Bunzel, M.; Nunes, F.M.; Silva, A.M. Molecular Characterization of Thymus Capitellatus Extracts and Their Antioxidant, Neuroprotective and Anti-Proliferative Activities. Int. J. Mol. Sci. 2022, 23, 15187. [Google Scholar] [CrossRef] [PubMed]
- Alexandrina Figueiredo, C. Antiallergic Effects of Caffeic Acid in Blomia Tropicalis Murine Model of Experimental Asthma. J. Lung Pulm. Respir. Res. 2014, 1, 105–110. [Google Scholar] [CrossRef]
- Hossen, M.A.; Inoue, T.; Shinmei, Y.; Minami, K.; Fujii, Y.; Kamei, C. Caffeic Acid Inhibits Compound 48/80-Induced Allergic Symptoms in Mice. Biol. Pharm. Bull. 2006, 29, 64–66. [Google Scholar] [CrossRef] [PubMed]
- Jeon, Y.-D.; Kee, J.-Y.; Kim, D.-S.; Han, Y.-H.; Kim, S.-H.; Kim, S.-J.; Um, J.-Y.; Hong, S.-H. Effects of Ixeris Dentata Water Extract and Caffeic Acid on Allergic Inflammation in Vivo and in Vitro. BMC Complement. Altern. Med. 2015, 15, 196. [Google Scholar] [CrossRef]
- Zhou, L.; Huang, Y.; Han, Z.; Wang, J.; Sun, N.; Zhang, R.; Dong, W.; Deng, C.; Zhuang, G. Effects of Rosmarinic Acid on the Inflammatory Response in Allergic Rhinitis Rat Models after PM2.5 Exposure. J. Clin. Lab. Anal. 2022, 36, e24316. [Google Scholar] [CrossRef] [PubMed]
- Osakabe, N.; Takano, H.; Sanbongi, C.; Yasuda, A.; Yanagisawa, R.; Inoue, K.-I.; Yoshikawa, T. Anti-Inflammatory and Anti-Allergic Effect of Rosmarinic Acid (RA); Inhibition of Seasonal Allergic Rhinoconjunctivitis (SAR) and Its Mechanism. BioFactors 2004, 21, 127–131. [Google Scholar] [CrossRef] [PubMed]
- Mainardi, T.; Kapoor, S.; Bielory, L. Complementary and Alternative Medicine: Herbs, Phytochemicals and Vitamins and Their Immunologic Effects. J. Allergy Clin. Immunol. 2009, 123, 283–294. [Google Scholar] [CrossRef]
- Takano, H.; Osakabe, N.; Sanbongi, C.; Yanagisawa, R.; Inoue, K.; Yasuda, A.; Natsume, M.; Baba, S.; Ichiishi, E.; Yoshikawa, T. Extract of Perilla Frutescens Enriched for Rosmarinic Acid, a Polyphenolic Phytochemical, Inhibits Seasonal Allergic Rhinoconjunctivitis in Humans. Exp. Biol. Med. 2004, 229, 247–254. [Google Scholar] [CrossRef]
- Jung, H.W.; Jung, J.K.; Park, Y.-K. Comparison of the Efficacy of KOB03, Ketotifen, and Montelukast in an Experimental Mouse Model of Allergic Rhinitis. Int. Immunopharmacol. 2013, 16, 254–260. [Google Scholar] [CrossRef]
- Jin, J.; Fan, Y.J.; Nguyen, T.V.; Yu, Z.N.; Song, C.H.; Lee, S.-Y.; Shin, H.S.; Chai, O.H. Fallopia Japonica Root Extract Ameliorates Ovalbumin-Induced Airway Inflammation in a CARAS Mouse Model by Modulating the IL-33/TSLP/NF-ΚB Signaling Pathway. Int. J. Mol. Sci. 2023, 24, 12514. [Google Scholar] [CrossRef]
- Nisar, B.; Sultan, A.; Rubab, S.L. Comparison of Medicinally Important Natural Products versus Synthetic Drugs–A Short Commentary. Nat. Prod. Chem. Res. 2018, 6, 308. [Google Scholar] [CrossRef]
- Salehi, B.; Mishra, A.P.; Shukla, I.; Sharifi-Rad, M.; del Mar Contreras, M.; Segura-Carretero, A.; Fathi, H.; Nasrabadi, N.N.; Kobarfard, F.; Sharifi-Rad, J. Thymol, Thyme, and Other Plant Sources: Health and Potential Uses. Phytother. Res. 2018, 32, 1688–1706. [Google Scholar] [CrossRef]
- Nieto, G. A Review on Applications and Uses of Thymus in the Food Industry. Plants 2020, 9, 961. [Google Scholar] [CrossRef]
- Lu, L.F.; Shen, W.; Jiang, Y.L.; Duan, H.K.; Zhang, Y.D.; Mou, Y.H. Toxicological Safety Evaluation of Thymus Quinquecostatus Celak. Mod. Food Sci. Technol. 2020, 36, 267–276. [Google Scholar]





Disclaimer/Publisher’s Note: The statements, opinions and data contained in all publications are solely those of the individual author(s) and contributor(s) and not of MDPI and/or the editor(s). MDPI and/or the editor(s) disclaim responsibility for any injury to people or property resulting from any ideas, methods, instructions or products referred to in the content. |
© 2023 by the authors. Licensee MDPI, Basel, Switzerland. This article is an open access article distributed under the terms and conditions of the Creative Commons Attribution (CC BY) license (https://creativecommons.org/licenses/by/4.0/).
Share and Cite
Kang, S.-H.; Kim, D.-G.; Kim, D.-K.; Kwon, H.-S.; Lee, N.-Y.; Oh, H.-J.; Yun, S.-I.; Jin, J.-S. Effects of Thymus quinquecostatus Celakovski on Allergic Responses in OVA-Induced Allergic Rhinitis Mice. Appl. Sci. 2023, 13, 12449. https://doi.org/10.3390/app132212449
Kang S-H, Kim D-G, Kim D-K, Kwon H-S, Lee N-Y, Oh H-J, Yun S-I, Jin J-S. Effects of Thymus quinquecostatus Celakovski on Allergic Responses in OVA-Induced Allergic Rhinitis Mice. Applied Sciences. 2023; 13(22):12449. https://doi.org/10.3390/app132212449
Chicago/Turabian StyleKang, Sa-Haeng, Dong-Gu Kim, Dong-Keun Kim, Hyuck-Se Kwon, Na-Young Lee, Hyun-Jeong Oh, Soon-Il Yun, and Jong-Sik Jin. 2023. "Effects of Thymus quinquecostatus Celakovski on Allergic Responses in OVA-Induced Allergic Rhinitis Mice" Applied Sciences 13, no. 22: 12449. https://doi.org/10.3390/app132212449
APA StyleKang, S.-H., Kim, D.-G., Kim, D.-K., Kwon, H.-S., Lee, N.-Y., Oh, H.-J., Yun, S.-I., & Jin, J.-S. (2023). Effects of Thymus quinquecostatus Celakovski on Allergic Responses in OVA-Induced Allergic Rhinitis Mice. Applied Sciences, 13(22), 12449. https://doi.org/10.3390/app132212449

