Next Article in Journal
Dynamic Impact Factor and Resonance Analysis of Curved Intercity Railway Viaduct
Next Article in Special Issue
Current Topics in the Diagnostic Approach to Skin Diseases
Previous Article in Journal
Security Risk Analysis in IoT Systems through Factor Identification over IoT Devices
Previous Article in Special Issue
Horizontal Histopathology Correlation with In Vivo Reflectance Confocal Microscopy in Inflammatory Skin Diseases: A Review
 
 
Font Type:
Arial Georgia Verdana
Font Size:
Aa Aa Aa
Line Spacing:
Column Width:
Background:
Case Report

Cutaneous Fibrous Histiocytomas, Ossifying-Variant with Osteoclast-like Giant Cells and Granular Cell-Variant: A Series of Two Unusual Cases with Emphasis on the Differential Diagnosis

Department of Medical, Surgical Sciences and Advanced Technologies “G.F. Ingrassia”, Anatomic Pathology, University of Catania, 95123 Catania, Italy
*
Author to whom correspondence should be addressed.
Appl. Sci. 2022, 12(6), 2977; https://doi.org/10.3390/app12062977
Submission received: 3 February 2022 / Revised: 11 March 2022 / Accepted: 13 March 2022 / Published: 15 March 2022
(This article belongs to the Special Issue Current Topics in the Diagnostic Approach to Skin Diseases)

Abstract

:
The ossifying variant and the granular cell variant are rare subtypes of cutaneous fibrous histiocytoma (CFH), characterized by islands of mature metaplastic bone tissue rimmed by multinucleated osteoclast-like giant cells and by large-sized cells with granular cytoplasm and mildly hyperchromatic nuclei with inconspicuous nucleoli, respectively. We herein present two cases of these unusual CFH variants in a 37-year-old woman and in a 38-year-old man, respectively. The main differential diagnoses, including both benign and malignant lesions, are also discussed.

1. Introduction

Cutaneous fibrous histiocytomas (CFHs) are common benign cutaneous lesions, also referred to as dermatofibromas (DFs). Typically occurring on distal extremities, they show a slight female predominance [1]. Clinically, they usually arise in the form of variably-sized (from 5 mm to 2 cm), brownish to purple in colour, painless nodules or polyps. CFHs have been considered fibrosing inflammatory or reactive process since sometimes they are associated with previously reported local traumas such as insect bites; however, the clonal/neoplastic nature of the lesions is best supported since more often CFHs arise spontaneously without history of traumas [2]. Their dermoscopic pattern usually consists of a peripheral pigment network and a central white patch [3], although the unusual pattern may dermoscopically mimic malignant melanoma, vascular tumors, or trichoblastic carcinoma/basal cell carcinoma. Predominantly dermal-based, CFHs are circumscribed lesions but with irregular and unencapsulated borders, exhibiting fibroblastic and macrophage lineage differentiation, being composed of a nodular proliferation of fibroblasts and macrophages. Characteristically, CFHs exhibit alternating densely cellular and sclerotic/hypocellular areas. Additional histologic features include intersecting fascicles of spindle cells set in a variably collagenous/myxoid stroma. Foamy macrophages and multinucleated giant cells (Touton giant cells) are often found intermixed with spindle cells. Chronic inflammatory cells and hemosiderin deposits are also frequently seen. Many histologic variants have been described, including the aneurysmal, hemosiderotic, cellular, epithelioid, atypical, lipidized, clear cell, combined, palisading, atrophic, keloidal, myxoid, lichenoid, balloon cell, and signet-ring cell. Among those variants, two of the rarest are the CFH with osteoclast-like giant cells [4] and the granular cell CFH. Recognizing even the rarest variants of CFHs is important to avoid misdiagnosis.
We herein report two uncommon variants of CFHs: (i) an ossifying DF with osteoclast-like giant cells (OLGCs); (ii) a granular cell CFH. The diagnostic clues and differential diagnosis are emphasized.

2. Materials and Methods

Written informed consent was obtained from both patients. Patients were 1 male (case no. 1) and 1 female (case no. 2), aged 37 and 38 years, respectively. Lesions were located at left foot (case no. 1) and right deltoid region (case no. 2) and measured about 0.9 and 0.5 cm, respectively.
Both lesions were surgically excised with free margins and submitted for histological examination. Tissue samples were formalin-fixed, paraffin-embedded, and stained with haematoxylin and eosin (H&E). Case no. 2 was immunohistochemically tested for anti-S100 protein (polyclonal rabbit; ready-to-use; DAKO, Glostrup, Denmark) and anti-CD68 (monoclonal mouse; clone KP1; working dilution 1:100; DAKO, Glostrup, Denmark) antibodies.
Both patients are now healthy with no evidence of local recurrence of disease at 17 (case no. 1) and 13 months (case no. 2) of follow-up.

3. Results

3.1. Case No. 1

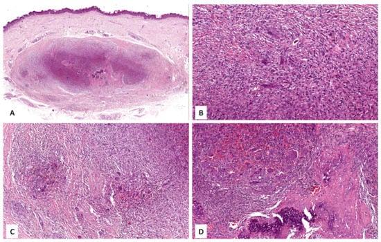
Histological examination showed a dermal-based hypercellular lesion with well-defined margins (Figure 1A), composed of spindled to plumper macrophage-like cells with large eosinophilic and foamy cytoplasm and nuclei with dispersed chromatin (Figure 1B), focally arranged into a multinodular growth pattern (Figure 1C); red blood cells extravasated and scattered siderophages were found interspersed within the lesion. A striking histologic finding was the presence of numerous multinucleated osteoclast-like giant cells (OLGCs) that rimmed islands of mature metaplastic bone tissue (Figure 1D). Cytological atypia was typically mild; mitoses and necrosis were absent. The overlying epidermis was moderately thickened. The lesion did not exhibit infiltration of subcutaneous adipose tissue and surgical margins were lesion-free.

3.2. Case No. 2

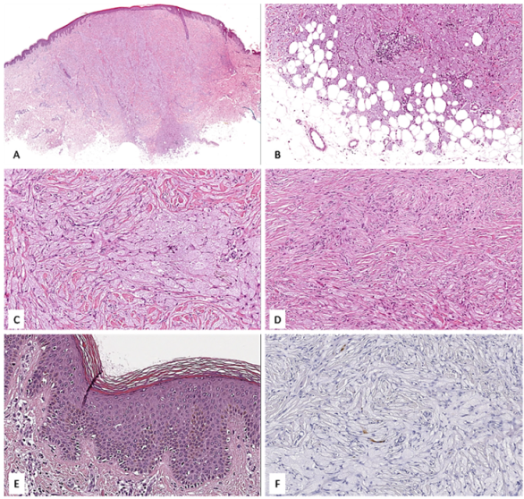
Histological examination showed a dermal-based lesion with ill-defined margins (Figure 2A), which minimally infiltrated the subcutaneous adipose tissue (Figure 2B). Lesions exhibited diffuse granular cell morphology, being composed of large-sized cells with large, clear to weakly eosinophilic, granular cytoplasm, and mildly hyperchromatic nuclei with inconspicuous nucleoli (Figure 2C). Conventional CFH morphologic features were focally encountered within the lesion (Figure 2D). The overlying epidermis was mildly thickened and showed basal layer hyperpigmentation (Figure 2E). Surgical margins were lesion-free. Immunohistochemically, granular cells were negative for S-100 protein (Figure 2F) and CD68.

4. Discussion

OLGCs are multinucleated cells with abundant cytoplasm that resemble osteoclasts [5]. OLGCs have been described as characteristic features of giant cell tumor of the tendon sheath and giant cell tumor of soft tissue, although they have also been described in other cutaneous diseases such as dermic nevi and pilomatrixoma [5,6]. The diagnostic and prognostic significance of the presence of OLGCs is currently unknown. As it has already been described in few case reports found in literature, CFH with OLGCs is a very unusual variant, exhibiting the following histologic features: (i) siderophages and hemosiderin deposits; (ii) OLGCs; (iii) spindle to plump cells with foamy cytoplasm. In our case, the detection of mature bone metaplasia was an additional unusual finding. The first case of ossifying CFH with both OLGCs and ossification was described by Kuo and Chan [7] in 1994, while Kutchemeshgi et al. described one of the first cases of CFH with OLGCs in the early 1992 [8]; in addition, Buselmeier and Uecker [9] described a rare case of bone formation in CFH without OLGCs, in which there also was a trichoblastic carcinoma/basal cell carcinoma arising on the long standing CFH lesion; Gonzalez–Vilas et al. [10] described a case of ulcerated CFH with OLGCs in which ossification was only a focal finding. We emphasize that this rare variant of CFH may present OLGCs with or without osseus metaplasia. The importance of recognizing this unusual variant of CFH lays in the differential diagnosis with more aggressive and malignant mimics of CFH such as giant cell variant of malignant fibrous histiocytoma, atypical fibroxanthoma, osteosarcoma, and malignant melanoma [11], as well as with other lesions characterized by the presence of OLGCs such as giant cell tumor of tendon sheath/soft tissue (GCTTS), giant cell reparative granuloma, and brown tumor. The differential diagnosis with giant cell tumor of tendon sheath is problematic because many morphological features are shared by both entities, but the predominance of rounded, synovial-like cells and the location of the lesion almost exclusively on hands and wrists favor the diagnosis of GCTTS. Differential diagnosis with malignant fibrous histiocytoma is usually straightforward because of the pleomorphism, mitoses, and necrotic and haemorrhagic areas that characterize the latter entity. Osteosarcoma, which can also arise as primary cutaneous tumor [12], exhibits malignant cytological features such as malignant osteoid which makes the distinction possible. As mentioned above, another differential diagnosis that needs to be ruled out is the osteogenic melanoma [11], in which malignant melanocytes combined with immature chondroid or osteoid matrix, as well as immunohistochemical positivity for S100 protein and HMB45, are typically found.
Granular cells are characterized by large cytoplasm filled with intense eosinophilic granules. Although granular changes are more frequently found in granular cells tumors (GCTs), they are non-specific and can be found in numerous benign and malignant neoplasms [13]. Since the presence of granular cell changes is not enough of a discriminant, further tests such as immunohistochemistry are often needed to render a correct diagnosis. GCTs are characterized by the immunohistochemical expression of neural crest-derived markers such as S100 protein, SOX10 and neuron-specific enolase (NSE) [14,15]. The presence of granules has, so far, no clear meaning but it is histologically compatible with the presence of numerous secondary lysosomes with autogenous phagocyted material [13,15], which grant a CD68 positivity on IHC. Granular cell-variant of DF was first described by LeBoit et al. in 1991 [15] and, since then, few other cases have been reported in literature [16,17,18,19,20,21], most of which occurring on shoulders and back region. The importance of the being aware of this histologic variant lays on the differential diagnosis with other neoplasms with overlapping morphologic features. Primary polypoid granular cell tumor (PPGCT) must be ruled out; although it can morphologically simulate a granular cell dermatofibroma, it differs because of its immunopositivity for S100 protein, due to its neural derivation. Differential diagnosis is more complex with “non-neural” PPGCT, in which S100 protein expression is negative and CD68 is positive. In this case the differential diagnosis is mainly based on the use of anti-NKI/C3 antibody [15]. In addition, granular cell dermatofibrosarcoma protuberans (GCDFSP) could morphologically mimic a granular cell DF and a negative immunohistochemical test for CD34 is often needed to exclude the former. Lastly, some cases of DF-like atypical GCT [13,22,23] have been also reported. For this reason, IHC is crucial to make differential diagnosis possible, as atypical GCTs exhibit immunoreactivity for S-100 and neuron-specific enolase but are negative for factor XIIIa.
Zelger et al. characterized “combined DFs” as lesions composed of at least two variant patterns of DF within a single lesion [24]. Based on this description, we speculate that the present cases might be best labeled as “combined DFs”, being composed of a mixture of “ordinary” and unusual morphological features such as osteoclast-like giant cells/osseous metaplasia and granular cells.

5. Conclusions

In conclusion, we herein presented two rare cases of CFH, emphasizing that histopathology, compared to the non-invasive clinical diagnostic techniques, such as dermoscopy and reflectance confocal microscopy [25,26,27,28], remains crucial to achieve the correct diagnosis, and that differential diagnosis involve entities with overlapping morphological features but different biological behaviour.

Author Contributions

Conceptualization, J.F. and G.B.; data curation, J.F.; writing—original draft preparation, J.F. and G.B.; writing—review and editing, G.B. and R.C. All authors have read and agreed to the published version of the manuscript.

Funding

This research received no external funding.

Institutional Review Board Statement

Not applicable.

Informed Consent Statement

Informed consent was obtained from all subjects involved in the study.

Data Availability Statement

All data presented in this study are available from the corresponding author upon reasonable request.

Conflicts of Interest

The authors declare no conflict of interest.

References

  1. Papalas, J.A.; Balmer, N.N.; Wallace, C.; Sangüeza, O.P. Ossifying Dermatofibroma with Osteoclast-like Giant Cells: Report of a Case and Literature Review. Am. J. Dermatopathol. 2009, 31, 379–383. [Google Scholar] [CrossRef] [PubMed]
  2. Abramovits, W.; Graham, G.; Har-Shai, Y.; Strumia, R. Dermatological Cryosurgery and Cryotherapy; Springer: London, UK, 2016; pp. 365–366. ISBN 978-1-4471-6765-5. [Google Scholar]
  3. Zaballos, P.; Puig, S.; Llambrich, A.; Malvehy, J. Dermoscopy of Dermatofibromas: A Prospective Morphological Study of 412 Cases. Arch. Dermatol. 2008, 144, 75–83. [Google Scholar] [CrossRef] [PubMed] [Green Version]
  4. Zelger, B.; Zelger, B.G.; Burgdorf, W.H. Dermatofibroma-a Critical Evaluation. Int. J. Surg. Pathol. 2004, 12, 333–344. [Google Scholar] [CrossRef] [PubMed]
  5. Hamie, L.; Abbas, O.; Kurban, M.; Bhawan, J. Osteoclast-Like Giant Cells: Focus on Entities Relevant to Dermatopathology and Underlying Pathogenesis. Am. J. Dermatopathol. 2021, 43, 163–173. [Google Scholar] [CrossRef]
  6. Urdiales-Viedma, M.; Santos Sánchez, E.; López-Urdiales, R.; Martos-Padilla, S. Metaplasia Ósea En Dermatofibroma Cutáneo Osseous Metaplasia in Cutaneous Dermatofibroma. Med. Cutánea Ibero-Lat.-Am. 2007, 35, 233–235. [Google Scholar]
  7. Kuo, T.-T.; Chan, H.L. Ossifying Dermatofibroma with Osteoclast-like Giant Cells. Am. J. Dermatopathol. 1994, 16, 193–195. [Google Scholar] [CrossRef]
  8. Kutchemeshgi, M.; Barr, R.J.; Henderson, C.D. Dermatofibroma with Osteoclast-like Giant Cells. Am. J. Dermatopathol. 1992, 14, 397–401. [Google Scholar] [CrossRef]
  9. Buselmeier, T.J.; Uecker, J.H. Invasive Basal Cell Carcinoma with Metaplastic Bone Formation Associated with a Long-Standing Dermatofibroma. J. Cutan. Pathol. 1979, 6, 496–500. [Google Scholar] [CrossRef]
  10. González-Vilas, D.; García-Gavín, J.; Ginarte, M.; Rodríguez-Blanco, I.; Toribio, J. Ulcerated Dermatofibroma with Osteoclast-like Giant Cells. J. Cutan. Pathol. 2009, 36 (Suppl. 1), 16–19. [Google Scholar] [CrossRef]
  11. Lucas, D.; Tazelaar, H.; Unni, K.; Wold, L.; Okada, K.; Dimarzio, D.; Rolfe, B. Osteogenic melanoma. A rare variant of malignant melanoma. Am. J. Surg. Pathol. 1993, 17, 400–409. [Google Scholar] [CrossRef]
  12. Kuo, T. Primary Osteosarcoma of the Skin. J. Cutan. Pathol. 1992, 19, 151–155. [Google Scholar] [CrossRef] [PubMed]
  13. Soukup, J.; Hadzi-Nikolov, D.; Ryska, A. Dermatofibroma-like Granular Cell Tumour: A Potential Diagnostic Pitfall. Pol. J. Pathol. 2016, 67, 291–294. [Google Scholar] [CrossRef] [PubMed] [Green Version]
  14. Perret, R.E.; Jullie, M.L.; Vergier, B.; Coindre, J.M.; Le Loarer, F. A Subset of So-Called Dermal Non-Neural Granular Cell Tumours Are Underlined by ALK Fusions, Further Supporting the Idea That They Represent a Variant of Epithelioid Fibrous Histiocytoma. Histopathology 2018, 73, 532–534. [Google Scholar] [CrossRef] [PubMed]
  15. Cazzato, G.; Colagrande, A.; Cimmino, A.; Marrone, M.; Stellacci, A.; Arezzo, F.; Lettini, T.; Resta, L.; Ingravallo, G. Granular Cell Dermatofibroma: When Morphology Still Matters. Dermatopathology (Basel Switz.) 2021, 8, 371–375. [Google Scholar] [CrossRef]
  16. Aloi, F.; Albertazzi, D.; Pippione, M. Dermatofibroma with Granular Cells: A Report of Two Cases. Dermatology 1999, 199, 54–56. [Google Scholar] [CrossRef]
  17. Val-Bernal, J.F.; Mira, C. Dermatofibroma with Granular Cells. J. Cutan. Pathol. 1996, 23, 562–565. [Google Scholar] [CrossRef]
  18. Soyer, H.P.; Metze, D.; Kerl, H. Granular Cell Dermatofibroma. Am. J. Dermatopathol. 1997, 19, 168–173. [Google Scholar] [CrossRef]
  19. Zelger, B.G.; Steiner, H.; Kutzner, H.; Rütten, A.; Zelger, B. Granular Cell Dermatofibroma. Histopathology 1997, 31, 258–262. [Google Scholar] [CrossRef]
  20. Sanz-Trelles, A.; Weil-Lara, B.; Acedo-Rodriguez, C. Dermatofibroma with Granular Cells. Histopathology 1997, 30, 495–497. [Google Scholar] [CrossRef]
  21. Helm, T.N.; Kalb, R.E.; Helm, K.F. Granular Cell Dermatofibroma: A Benign Tumor That Can Simulate Malignancy. Dermatol. Surg. 1997, 23, 976–978. [Google Scholar] [CrossRef]
  22. Hong, S.B.; Yang, M.H.; Lee, M.H.; Haw, C.R. Dermatofibroma-like Atypical Granular Cell Tumour. Acta Derm. Venereol. 2005, 85, 179–180. [Google Scholar] [CrossRef] [PubMed] [Green Version]
  23. Cheng, S.D.; Usmani, A.S.; DeYoung, B.R.; Ly, M.; Pellegrini, A.E. Dermatofibroma-like Granular Cell Tumor. J. Cutan. Pathol. 2001, 28, 49–52. [Google Scholar] [CrossRef] [PubMed]
  24. Zelger, B.G.; Sidoroff, A.; Zelger, B. Combined dermatofibroma: Co-existence of two or more variant patterns in a single lesion. Histopathology 2000, 36, 529–539. [Google Scholar] [CrossRef] [PubMed]
  25. Pogorzelska-Antkowiak, A.; Wcisło-Dziadecka, D.; Brzezińska-Wcisło, L.; Pawlicki, K.; Antkowiak, R.; Corneli, P. Features of dermatofibroma in reflectance confocal microscopy. Int. J. Dermatol. 2020, 59, 951–954. [Google Scholar] [CrossRef] [PubMed]
  26. Mazzella, C.; Villani, A.; Scalvenzi, M.; Fabbrocini, G.; Cantelli, M.; Costa, C. How reflectance confocal microscopy can help diagnose an enigmatic variant of dermatofibroma. Dermatol. Ther. 2019, 32, e12857. [Google Scholar] [CrossRef] [PubMed]
  27. Lacarrubba, F.; Verzì, A.E.; Caltabiano, R.; Broggi, G.; Di Natale, A.; Micali, G. Discoid Lupus Erythematosus: Reflectance Confocal Microscopy Features Correlate with Horizontal Histopathological Sections. Skin Res. Technol. 2019, 25, 242–244. [Google Scholar] [CrossRef]
  28. Caccavale, S.; Vitiello, P.; Agozzino, M.; Mascolo, M.; Ciancia, G.; Argenziano, G. Dermoscopy and reflectance confocal microscopy of osteoclastic deep benign fibrous histiocytoma. G. Ital. Dermatol. Venereol. 2019, 154, 363–364. [Google Scholar] [CrossRef]
Figure 1. (A) Low magnification showing a dermal-based, hypercellular lesion with well-defined borders (hematoxylin and eosin; original magnification 40×); (B) lesion is composed of spindled to ovoid cells with eosinophilic and foamy cytoplasm and nuclei with dispersed chromatin, intermingled with scattered multinucleated osteoclast-like giant cells (hematoxylin and eosin; original magnification 200×); (C) a multinodular growth pattern is seen (hematoxylin and eosin; original magnification 100×); (D) lesion exhibits, as a peculiar feature, multiple islands of mature metaplastic bone tissue rimmed by abundant multinucleated osteoclast-like giant cells. Numerous extravasated red blood cells are also present (hematoxylin and eosin; original magnification 100×).
Figure 1. (A) Low magnification showing a dermal-based, hypercellular lesion with well-defined borders (hematoxylin and eosin; original magnification 40×); (B) lesion is composed of spindled to ovoid cells with eosinophilic and foamy cytoplasm and nuclei with dispersed chromatin, intermingled with scattered multinucleated osteoclast-like giant cells (hematoxylin and eosin; original magnification 200×); (C) a multinodular growth pattern is seen (hematoxylin and eosin; original magnification 100×); (D) lesion exhibits, as a peculiar feature, multiple islands of mature metaplastic bone tissue rimmed by abundant multinucleated osteoclast-like giant cells. Numerous extravasated red blood cells are also present (hematoxylin and eosin; original magnification 100×).
Applsci 12 02977 g001
Figure 2. (A) Low magnification showing a dermal-based lesion with minimally-infiltrative margins (hematoxylin and eosin; original magnification 40×); (B) lesion shows focal extension to the subcutaneous adipose tissue (hematoxylin and eosin; original magnification 100×); (C) diffuse granular cell morphology (large-sized cells with large, clear to weakly eosinophilic, granular cytoplasm, and mildly hyperchromatic nuclei with inconspicuous nucleoli) is seen (hematoxylin and eosin; original magnification 200×); (D) areas with conventional morphology of cutaneous fibrous histiocytoma are focally found (hematoxylin and eosin; original magnification 100×). (E) Mild thickening and basal layer hyperpigmentation of the overlying epidermis are seen (hematoxylin and eosin; original magnification 250×). (F) Granular cells are not stained with anti-S100 protein antibody (immunoperoxidase; original magnification 200×).
Figure 2. (A) Low magnification showing a dermal-based lesion with minimally-infiltrative margins (hematoxylin and eosin; original magnification 40×); (B) lesion shows focal extension to the subcutaneous adipose tissue (hematoxylin and eosin; original magnification 100×); (C) diffuse granular cell morphology (large-sized cells with large, clear to weakly eosinophilic, granular cytoplasm, and mildly hyperchromatic nuclei with inconspicuous nucleoli) is seen (hematoxylin and eosin; original magnification 200×); (D) areas with conventional morphology of cutaneous fibrous histiocytoma are focally found (hematoxylin and eosin; original magnification 100×). (E) Mild thickening and basal layer hyperpigmentation of the overlying epidermis are seen (hematoxylin and eosin; original magnification 250×). (F) Granular cells are not stained with anti-S100 protein antibody (immunoperoxidase; original magnification 200×).
Applsci 12 02977 g002
Publisher’s Note: MDPI stays neutral with regard to jurisdictional claims in published maps and institutional affiliations.

Share and Cite

MDPI and ACS Style

Farina, J.; Broggi, G.; Caltabiano, R. Cutaneous Fibrous Histiocytomas, Ossifying-Variant with Osteoclast-like Giant Cells and Granular Cell-Variant: A Series of Two Unusual Cases with Emphasis on the Differential Diagnosis. Appl. Sci. 2022, 12, 2977. https://doi.org/10.3390/app12062977

AMA Style

Farina J, Broggi G, Caltabiano R. Cutaneous Fibrous Histiocytomas, Ossifying-Variant with Osteoclast-like Giant Cells and Granular Cell-Variant: A Series of Two Unusual Cases with Emphasis on the Differential Diagnosis. Applied Sciences. 2022; 12(6):2977. https://doi.org/10.3390/app12062977

Chicago/Turabian Style

Farina, Jessica, Giuseppe Broggi, and Rosario Caltabiano. 2022. "Cutaneous Fibrous Histiocytomas, Ossifying-Variant with Osteoclast-like Giant Cells and Granular Cell-Variant: A Series of Two Unusual Cases with Emphasis on the Differential Diagnosis" Applied Sciences 12, no. 6: 2977. https://doi.org/10.3390/app12062977

APA Style

Farina, J., Broggi, G., & Caltabiano, R. (2022). Cutaneous Fibrous Histiocytomas, Ossifying-Variant with Osteoclast-like Giant Cells and Granular Cell-Variant: A Series of Two Unusual Cases with Emphasis on the Differential Diagnosis. Applied Sciences, 12(6), 2977. https://doi.org/10.3390/app12062977

Note that from the first issue of 2016, this journal uses article numbers instead of page numbers. See further details here.

Article Metrics

Back to TopTop