Nonsurgical Correction of Anterior Crossbite with Extra-Radicular Miniscrews—A Case Report
Abstract
1. Introduction
2. Case 1
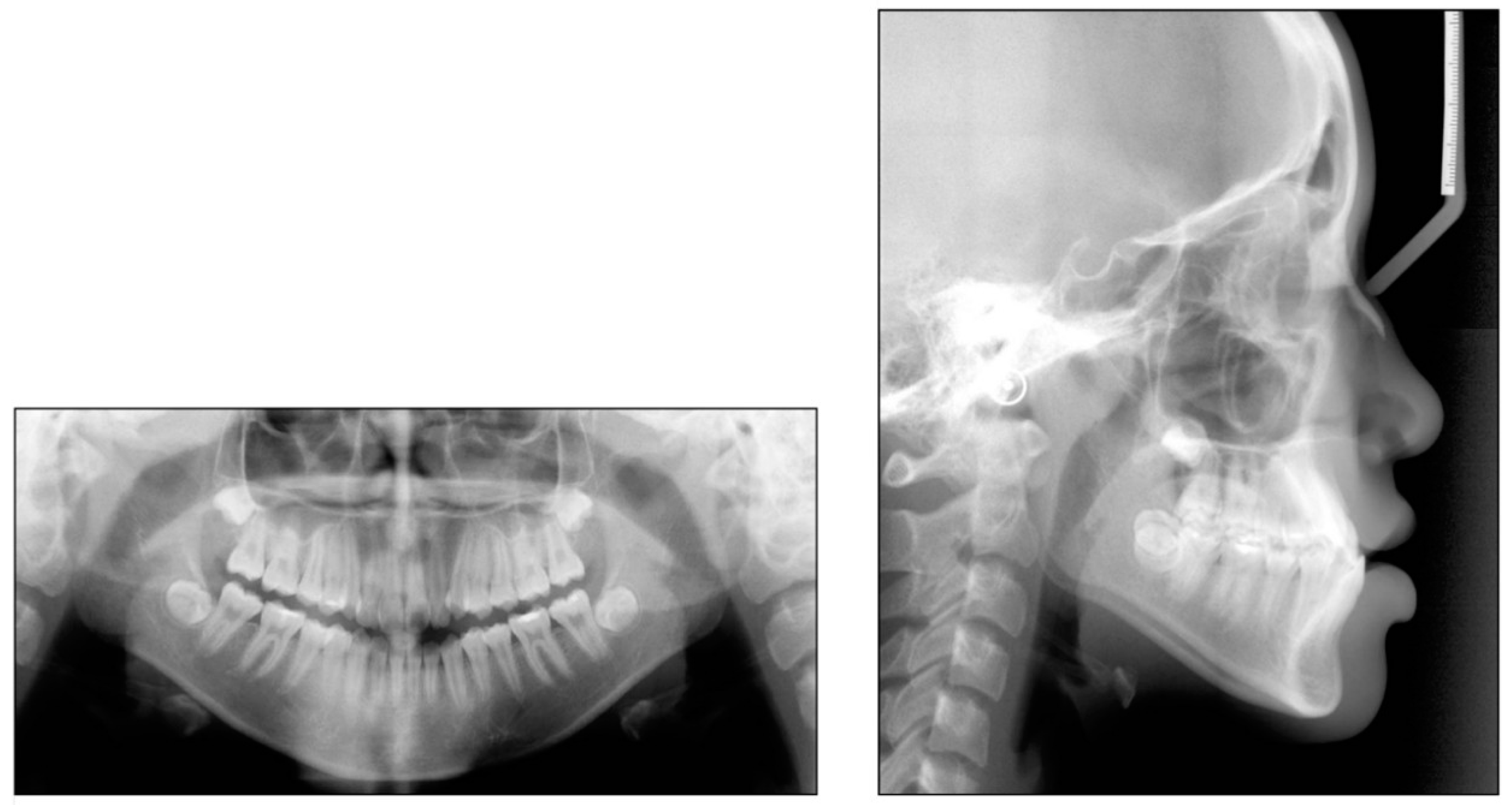
2.1. Diagnosis and Etiology
2.2. Treatment Objectives
2.3. Treatment Plan
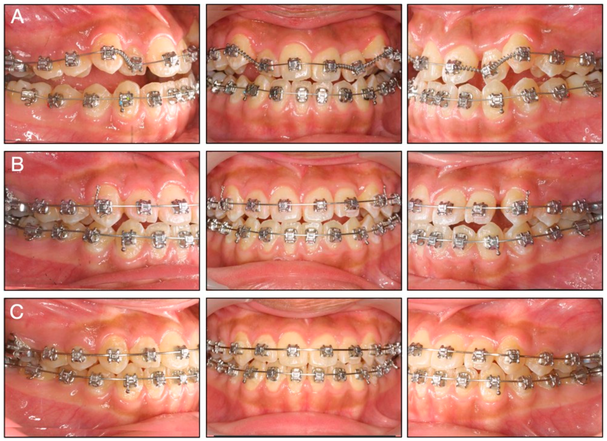
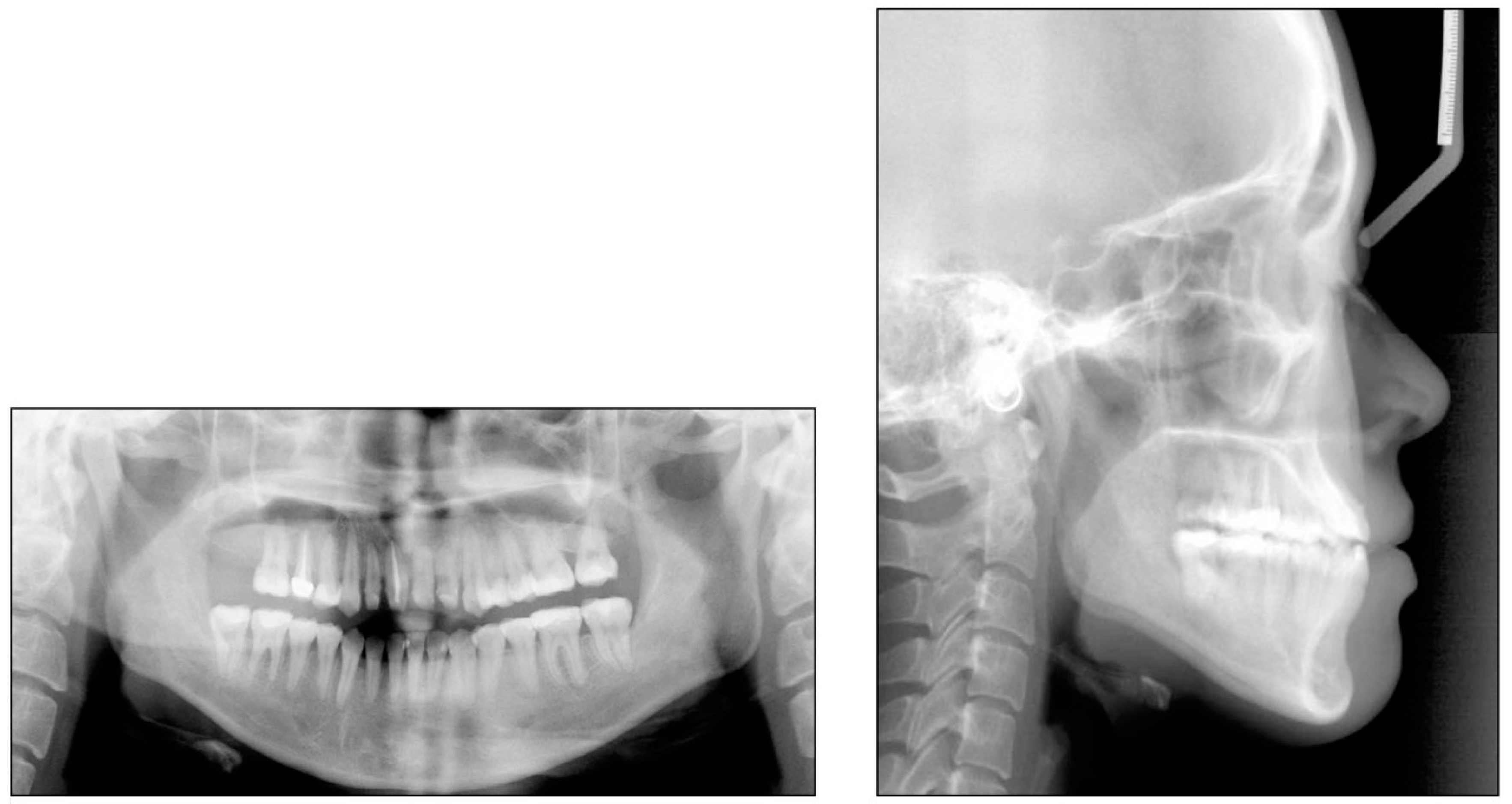
2.4. Treatment Progress
2.5. Treatment Results
3. Case 2
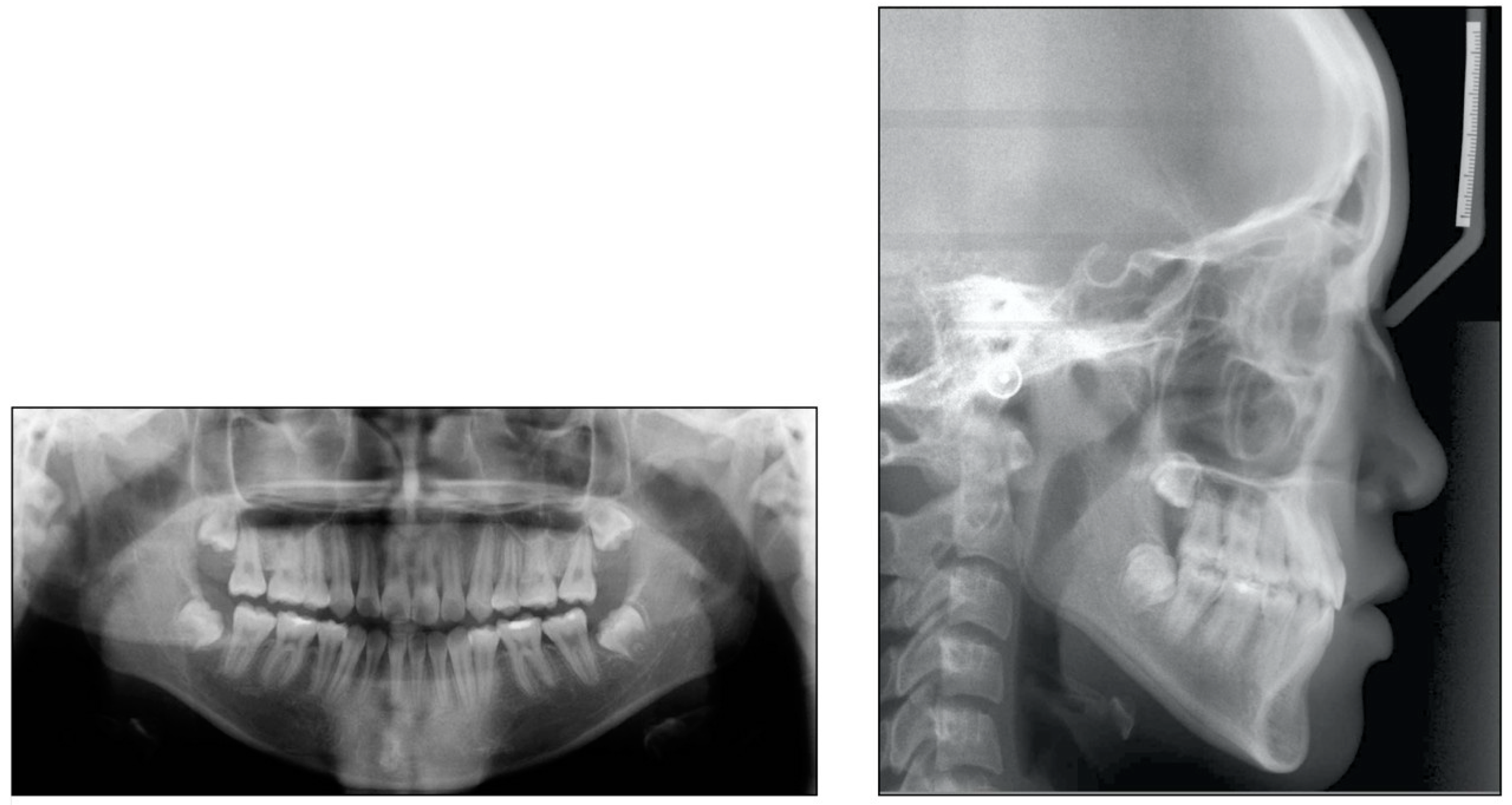
3.1. Diagnosis and Etiology
3.2. Treatment Objectives
3.3. Treatment Alternatives
3.4. Treatment Progress
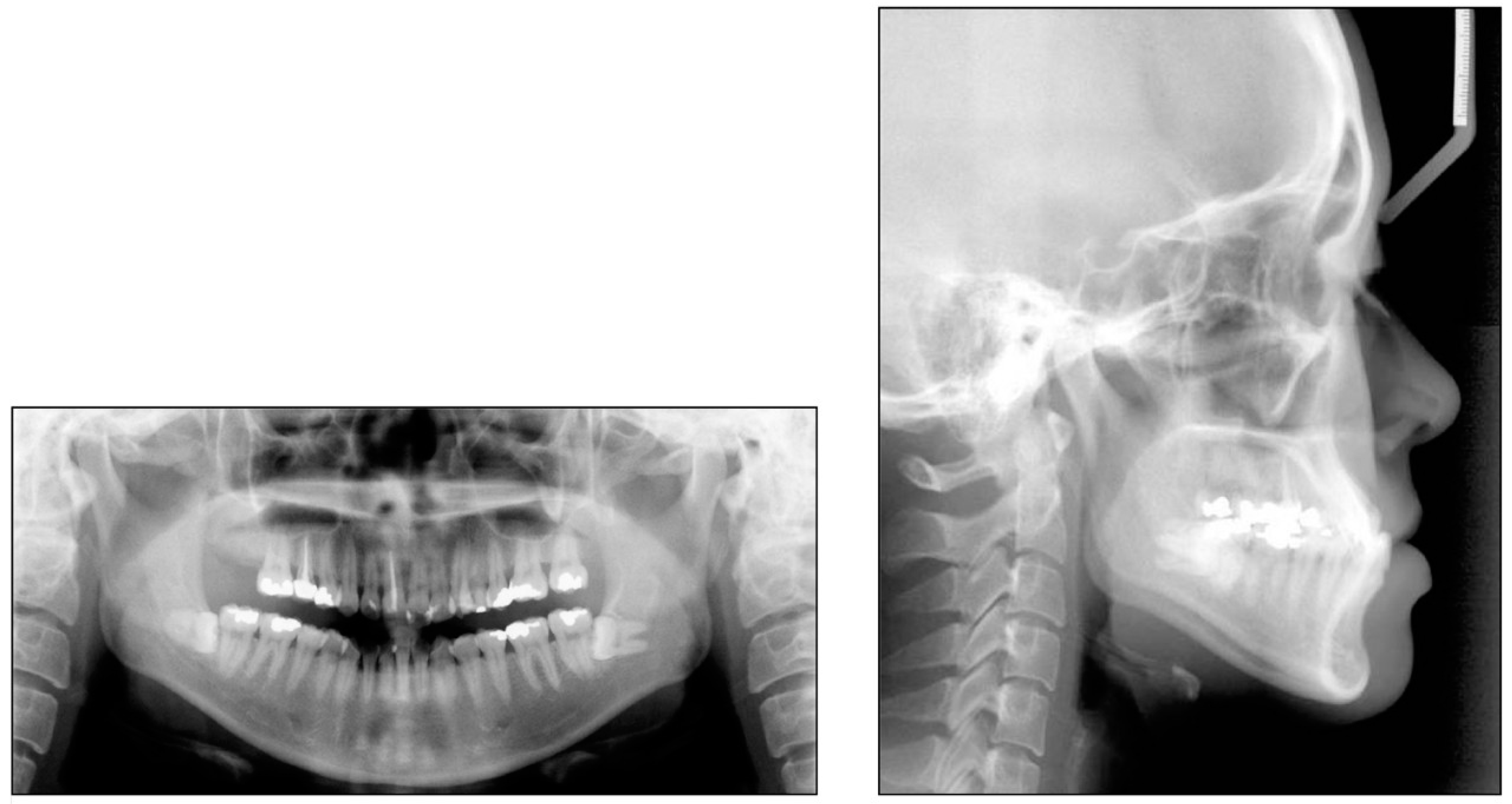
3.5. Treatment Results
4. Discussion
5. Conclusions
Author Contributions
Funding
Institutional Review Board Statement
Informed Consent Statement
Conflicts of Interest
References
- Ellis, E.E., III; McNamara, J.A., Jr. Components of adult Class III malocclusion. J. Oral Maxillofac. Surg. 1984, 42, 295–305. [Google Scholar] [CrossRef]
- Guyer, E.C.; Ellis, E.E., III; McNamara, J.A., Jr.; Behrents, R.G. Components of class III malocclusion in juveniles and adolescents. Angle Orthod. 1986, 56, 7–30. [Google Scholar]
- Jaradat, M. An overview of Class III malocclusion (prevalence, etiology and management). J. Adv. Med. 2018, 25, 1–13. [Google Scholar] [CrossRef]
- Singh, G.D. Morphologic determinants in the etiology of class III malocclusions: A review. Clin. Anat. 1999, 12, 382–405. [Google Scholar] [CrossRef]
- Chan, G.K. Class 3 malocclusion in Chinese (Cantonese): Etiology and treatment. Am. J. Orthod. 1974, 65, 152–157. [Google Scholar] [CrossRef]
- Lin, M.; Xie, C.; Yang, H.; Wu, C.; Ren, A. Prevalence of malocclusion in Chinese schoolchildren from 1991 to 2018: A systematic review and meta-analysis. Int. J. Paediatr. Dent. 2020, 30, 144–155. [Google Scholar] [CrossRef]
- Massler, M.; Frankel, J.M. Prevalence of malocclusion in children aged 14 to 18 years. Am. J. Orthod. 1951, 37, 751–768. [Google Scholar] [CrossRef]
- Tortop, T.; Keykubat, A.; Yuksel, S. Facemask therapy with and without expansion. Am. J. Orthod. Dentofac. Orthop. 2007, 132, 467–474. [Google Scholar] [CrossRef]
- Westwood, P.V.; McNamara, J.A., Jr.; Baccetti, T.; Franchi, L.; Sarver, D.M. Long-term effects of Class III treatment with rapid maxillary expansion and facemask therapy followed by fixed appliances. Am. J. Orthod. Dentofac. Orthop. 2003, 123, 306–320. [Google Scholar] [CrossRef]
- d’Apuzzo, F.; Nucci, L.; Strangio, B.M.; Inchingolo, A.D.; Dipalma, G.; Minervini, G.; Perillo, L.; Grassia, V. Dento-Skeletal Class III Treatment with Mixed Anchored Palatal Expander: A Systematic Review. Appl. Sci. 2022, 12, 4646. [Google Scholar] [CrossRef]
- Eid, O.M.; Ramadan, A.A.-F.; Nadim, M.A.; Hamed, T.A.-B. Maxillary protraction using orthodontic miniplates in correction of Class III malocclusion during growth. JWFO 2016, 5, 100–106. [Google Scholar] [CrossRef]
- Esenlik, E.; Ağlarcı, C.; Albayrak, G.E.; Fındık, Y. Maxillary protraction using skeletal anchorage and intermaxillary elastics in Skeletal Class III patients. Korean J. Orthod. 2015, 45, 95–101. [Google Scholar] [CrossRef] [PubMed]
- De Clerck, H.; Cevidanes, L.; Baccetti, T. Dentofacial effects of bone-anchored maxillary protraction: A controlled study of consecutively treated Class III patients. Am. J. Orthod. Dentofac. Orthop. 2010, 138, 577–581. [Google Scholar] [CrossRef] [PubMed]
- De Clerck, E.E.; Swennen, G.R. Success rate of miniplate anchorage for bone anchored maxillary protraction. Angle Orthod. 2011, 81, 1010–1013. [Google Scholar] [CrossRef]
- Mucedero, M.; Coviello, A.; Baccetti, T.; Franchi, L.; Cozza, P. Stability factors after double-jaw surgery in Class III malocclusion: A systematic review. Angle Orthod. 2008, 78, 1141–1152. [Google Scholar] [CrossRef]
- Stellzig-Eisenhauer, A.; Lux, C.J.; Schuster, G. Treatment decision in adult patients with Class III malocclusion: Orthodontic therapy or orthognathic surgery? Am. J. Orthod. Dentofac. Orthop. 2002, 122, 27–37. [Google Scholar] [CrossRef]
- Inchingolo, A.D.; Patano, A.; Coloccia, G.; Ceci, S.; Inchingolo, A.M.; Marinelli, G.; Malcangi, G.; Di Pede, C.; Garibaldi, M.; Ciocia, A.M.; et al. Treatment of Class III Malocclusion and Anterior Crossbite with Aligners: A Case Report. Medicina 2022, 58, 603. [Google Scholar] [CrossRef]
- Janson, G.; de Souza, J.E.P.; de Andrade Alves, F.; Andrade, P., Jr.; Nakamura, A.; de Freitas, M.R.; Henriques, J.F.C. Extreme dentoalveolar compensation in the treatment of Class III malocclusion. Am. J. Orthod. Dentofac. Orthop. 2005, 128, 787–794. [Google Scholar] [CrossRef]
- Tai, K.; Park, J.H.; Tatamiya, M.; Kojima, Y. Distal movement of the mandibular dentition with temporary skeletal anchorage devices to correct a Class III malocclusion. Am. J. Orthod. Dentofac. Orthop. 2013, 144, 715–725. [Google Scholar] [CrossRef]
- Paik, C.H.; Nagasaka, S.; Hirashita, A. Class III nonextraction treatment with miniscrew anchorage. J. Clin. Orthod. 2006, 40, 480–484. [Google Scholar]
- Park, J.H.; Yu, J.; Bullen, R. Camouflage treatment of skeletal Class III malocclusion with conventional orthodontic therapy. Am. J. Orthod. Dentofac. Orthop. 2017, 151, 804–811. [Google Scholar] [CrossRef] [PubMed]
- Yasuda, Y.; Iijima, M.; Mizoguchi, I. Camouflage treatment of severe skeletal Class III malocclusion with miniscrew anchorage. JWFO 2014, 3, 137–144. [Google Scholar] [CrossRef]
- Erverdi, N.; Keles, A.; Nanda, R. The use of skeletal anchorage in open bite treatment: A cephalometric evaluation. Angle Orthod. 2004, 74, 381–390. [Google Scholar] [PubMed]
- Lee, K.J.; Park, Y.C.; Seong, E.H.; Hwang, W.S. Uprighting mandibular second molars with direct miniscrew anchorage. J. Clin. Orthod. 2007, 41, 627–635. [Google Scholar] [PubMed]
- Lin, J.; Yeh, C.; Liou, E.; Bowman, S.J. Treatment of skeletal-origin gummy smiles with miniscrew anchorage. J. Clin. Orthod. 2008, 42, 285–296. [Google Scholar]
- Choi, N.C.; Park, Y.C.; Lee, H.A.; Lee, K.J. Treatment of Class II protrusion with severe crowding using indirect miniscrew anchorage. Angle Orthod. 2007, 77, 1109–1118. [Google Scholar] [CrossRef]
- Chang, C.H.; Lin, L.Y.; Roberts, W.E. Orthodontic bone screws: A quick update and its promising future. Orthod. Craniofac. Res. 2021, 24, 75–82. [Google Scholar] [CrossRef]
- Anhoury, P.S. Nonsurgical treatment of an adult with mandibular asymmetry and unilateral posterior crossbite. Am. J. Orthod. Dentofac. Orthop. 2009, 135, 118–126. [Google Scholar] [CrossRef]
- Kyung, S.H.; Choi, J.H.; Park, Y.C. Miniscrew anchorage used to protract lower second molars into first molar extraction sites. J. Clin. Orthod. 2003, 37, 575–579. [Google Scholar]
- Park, H.S.; Bae, S.M.; Kyung, H.M.; Sung, J.H. Micro-implant anchorage for treatment of skeletal Class I bialveolar protrusion. J. Clin. Orthod. 2001, 35, 417–422. [Google Scholar]
- Jeon, J.M.; Yu, H.S.; Baik, H.S.; Lee, J.S. En-masse distalization with miniscrew anchorage in Class II nonextraction treatment. J. Clin. Orthod. 2006, 40, 472–476. [Google Scholar] [PubMed]
- Yamada, K.; Kuroda, S.; Deguchi, T.; Takano-Yamamoto, T.; Yamashiro, T. Distal movement of maxillary molars using miniscrew anchorage in the buccal interradicular region. Angle Orthod. 2009, 79, 78–84. [Google Scholar] [CrossRef]
- Sugawara, J.; Kanzaki, R.; Takahashi, I.; Nagasaka, H.; Nanda, R. Distal movement of maxillary molars in nongrowing patients with the skeletal anchorage system. Am. J. Orthod. Dentofac. Orthop. 2006, 129, 723–733. [Google Scholar] [CrossRef] [PubMed]
- Sugawara, J.; Daimaruya, T.; Umemori, M.; Nagasaka, H.; Takahashi, I.; Kawamura, H.; Mitani, H. Distal movement of mandibular molars in adult patients with the skeletal anchorage system. Am. J. Orthod. Dentofac. Orthop. 2004, 125, 130–138. [Google Scholar] [CrossRef] [PubMed]
- Poletti, L.; Silvera, A.A.; Ghislanzoni, L.T.H. Dentoalveolar class III treatment using retromolar miniscrew anchorage. Prog. Orthod. 2013, 14, 7. [Google Scholar] [CrossRef] [PubMed]
- Kim, T.W.; Kim, H.; Lee, S.J. Correction of deep overbite and gummy smile by using a mini-implant with a segmented wire in a growing Class II Division 2 patient. Am. J. Orthod. Dentofac. Orthop. 2006, 130, 676–685. [Google Scholar] [CrossRef]
- Jeon, Y.J.; Kim, Y.H.; Son, W.S.; Hans, M.G. Correction of a canted occlusal plane with miniscrews in a patient with facial asymmetry. Am. J. Orthod. Dentofac. Orthop. 2006, 130, 244–252. [Google Scholar] [CrossRef]
- Alteneiji, M.; Liaw, J.J.L.; Vaid, N.R.; Ferguson, D.J.; Makki, L. Treatment of VME using extra-alveolar TADs_Quantification of treatment effects. Semin. Orthod. 2018, 24, 123–134. [Google Scholar] [CrossRef]
- Baik, H.S.; Kang, Y.G.; Choi, Y.J. Miniscrew-assisted rapid palatal expansion: A review of recent reports. JWFO 2020, 9, S54–S58. [Google Scholar] [CrossRef]
- Lee, K.J.; Choi, S.H.; Choi, T.H.; Shi, K.K.; Keum, B.T. Maxillary transverse expansion in adults: Rationale, appliance design, and treatment outcomes. Semin. Orthod. 2018, 24, 52–65. [Google Scholar] [CrossRef]
- Moon, W. Class III treatment by combining facemask (FM) and maxillary skeletal expander (MSE). Semin. Orthod. 2018, 24, 95–107. [Google Scholar] [CrossRef]
- Liu, H.; Wu, X.; Tan, J.; Li, X. Safe regions of miniscrew implantation for distalization of mandibular dentition with CBCT. Prog. Orthod. 2019, 20, 45. [Google Scholar] [CrossRef] [PubMed]
- Chang, C.; Liu, S.S.; Roberts, W.E. Primary failure rate for 1680 extra-alveolar mandibular buccal shelf mini- screws placed in movable mucosa or attached gingiva. Angle Orthod. 2015, 85, 905–910. [Google Scholar] [CrossRef] [PubMed]
- Nucera, R.; Lo Giudice, A.; Bellocchio, A.M.; Spinuzza, P.; Caprioglio, A.; Perillo, L.; Matarese, G.; Cordasco, G. Bone and cortical bone thickness of mandibular buccal shelf for mini-screw insertion in adults. Angle Orthod. 2017, 87, 745–751. [Google Scholar] [CrossRef] [PubMed]
- Lima, A., Jr.; Domingos, R.G.; Ribeiro, A.N.C.; Neto, J.R.; de Paiva, J.B. Safe sites for orthodontic miniscrew insertion in the infrazygomatic crest area in different facial types: A tomographic study. Am. J. Orthod. Dentofac. Orthop. 2022, 161, 37–45. [Google Scholar] [CrossRef]
- Chang, C.H.; Lin, J.H.; Roberts, W.E. Success of infrazygomatic crest bone screws: Patient age, insertion angle, sinus penetration, and terminal insertion torque. Am. J. Orthod. Dentofac. Orthop. 2022, 161, 783–790. [Google Scholar] [CrossRef] [PubMed]
- de Almeida, M.R. The Biomechanics of Extra-alveolar TADs in Orthodontics. In Temporary Anchorage Devices in Clinical Orthodontics, 1st ed.; Park, J.H., Ed.; Wiley Blackwell: Hoboken, NJ, USA, 2020; pp. 445–454. [Google Scholar]
- Xu, T.M.; Liu, Y.; Yang, M.Z.; Huang, W. Comparison of extraction versus nonextraction orthodontic treatment outcomes for borderline Chinese patients. Am. J. Orthod. Dentofac. Orthop. 2006, 129, 672–677. [Google Scholar] [CrossRef]
- Baccetti, T.; Franchi, L.; McNamara, J.A., Jr. The cervical vertebral maturation (CVM) method for the assessment of optimal treatment timing in dentofacial orthopedics. Semin. Orthod. 2005, 11, 119–129. [Google Scholar] [CrossRef]
- De Fuentes, A.M.; López, J.C.; Jiménez, J.F.C.; Ruidíaz, V.C.; Romero, R.M.D. Correlation between cervical and hand-wrist analysis for skeletal maturation in Mexican boys and girls of the children’s General Hospital of Mexico «Federico Gomez». Rev. Mex. Ortod. 2015, 3, 233–238. [Google Scholar] [CrossRef][Green Version]
- Kook, Y.A.; Kim, S.H. Treatment of Class III relapse due to late mandibular growth using miniscrew anchorage. J. Clin. Orthod. 2008, 42, 400–411. [Google Scholar]
- Ferrillo, M.; Curci, C.; Roccuzzo, A.; Migliario, M.; Invernizzi, M.; de Sire, A. Reliability of cervical vertebral maturation compared to hand-wrist for skeletal maturation assessment in growing subjects: A systematic review. J. Back Musculoskelet. Rehabil. 2021, 34, 925–936. [Google Scholar] [CrossRef] [PubMed]
- Kim, S.H.; Cha, K.S.; Lee, J.W.; Lee, S.M. Mandibular skeletal posterior anatomic limit for molar distalization in patients with Class III malocclusion with different vertical facial patterns. Korean J. Orthod. 2021, 51, 250–259. [Google Scholar] [CrossRef] [PubMed]
- Cigerim, S.C. Orthodontic camouflage treatment of skeletal Class III malocclusion with mandibular bite turbo application. East J. Med. 2020, 25, 321–326. [Google Scholar] [CrossRef]



















| Norms | Pretreatment | Posttreatment | |
|---|---|---|---|
| Skeletal Analysis | |||
| SNA (°) | 81.5 ± 3.5 | 80.0 | 80.0 |
| SNB (°) | 77.7 ± 3.2 | 82.0 | 82.0 |
| ANB (°) | 4.0 ± 1.8 | −2.0 | −2.0 |
| SN-MP (°) | 33.0 ± 1.8 | 34.0 | 34.0 |
| Wits (mm) | −2.8 ± 3.3 | −11.8 | −8.9 |
| Dental Analysis | |||
| U1 TO NA (mm) | 3.9 ± 2.1 | 4.5 | 6.5 |
| U1 TO SN (°) | 108.2 ± 5.4 | 104.2 | 104.2 |
| L1 TO NB (mm) | 6.6 ± 2.8 | 5.0 | 2.5 |
| L1 TO MP (°) | 96.8 ± 6.4 | 87.9 | 74.6 |
| FACIAL ANALYSIS | |||
| E-LINE UL (mm) | −1.1 ± 2.2 | −1.0 | −0.5 |
| E-LINE LL (mm) | 0.5 ± 2.5 | 4.0 | 0.5 |
| Norms | Pretreatment | Posttreatment | |
|---|---|---|---|
| Skeletal Analysis | |||
| SNA (°) | 81.5 ± 3.5 | 82.0 | 82.0 |
| SNB (°) | 77.7 ± 3.2 | 86.0 | 85.0 |
| ANB (°) | 4.0 ± 1.8 | −4.0 | −3.0 |
| SN-MP (°) | 33.0 ± 1.8 | 28.5 | 29.8 |
| Wits (mm) | −2.8 ± 3.3 | −12.7 | −11.4 |
| Dental Analysis | |||
| U1 TO NA (mm) | 3.9 ± 2.1 | 9.0 | 10.5 |
| U1 TO SN (°) | 108.2 ± 5.4 | 105.7 | 116.0 |
| L1 TO NB (mm) | 6.6 ± 2.8 | 6.5 | 3.5 |
| L1 TO MP (°) | 96.8 ± 6.4 | 82.0 | 72.8 |
| FACIAL ANALYSIS | |||
| E-LINE UL (mm) | −1.1 ± 2.2 | −3.5 | −1.5 |
| E-LINE LL (mm) | 0.5 ± 2.5 | 2.5 | 3.0 |
Publisher’s Note: MDPI stays neutral with regard to jurisdictional claims in published maps and institutional affiliations. |
© 2022 by the authors. Licensee MDPI, Basel, Switzerland. This article is an open access article distributed under the terms and conditions of the Creative Commons Attribution (CC BY) license (https://creativecommons.org/licenses/by/4.0/).
Share and Cite
Park, J.H.; Liaw, J.J.-L. Nonsurgical Correction of Anterior Crossbite with Extra-Radicular Miniscrews—A Case Report. Appl. Sci. 2022, 12, 11719. https://doi.org/10.3390/app122211719
Park JH, Liaw JJ-L. Nonsurgical Correction of Anterior Crossbite with Extra-Radicular Miniscrews—A Case Report. Applied Sciences. 2022; 12(22):11719. https://doi.org/10.3390/app122211719
Chicago/Turabian StylePark, Jae Hyun, and Johnny Joung-Lin Liaw. 2022. "Nonsurgical Correction of Anterior Crossbite with Extra-Radicular Miniscrews—A Case Report" Applied Sciences 12, no. 22: 11719. https://doi.org/10.3390/app122211719
APA StylePark, J. H., & Liaw, J. J.-L. (2022). Nonsurgical Correction of Anterior Crossbite with Extra-Radicular Miniscrews—A Case Report. Applied Sciences, 12(22), 11719. https://doi.org/10.3390/app122211719

