The Structure of T-DNA Insertions in Transgenic Tobacco Plants Producing Bovine Interferon-Gamma
Abstract
:1. Introduction
2. Materials and Methods
2.1. Plants
2.2. PCR
2.3. RT-PCR
2.4. Proteins Isolation
2.5. Western Blot
2.6. Measurement of Antiviral Activity
2.7. Genome Walking
3. Results
3.1. Evaluation of the Biological Activity of Recombinant Interferon-Gamma in Bovine Cell Culture
3.2. Search for a Possible Reason for the Biological Activity Difference between 311 and B6 Lines
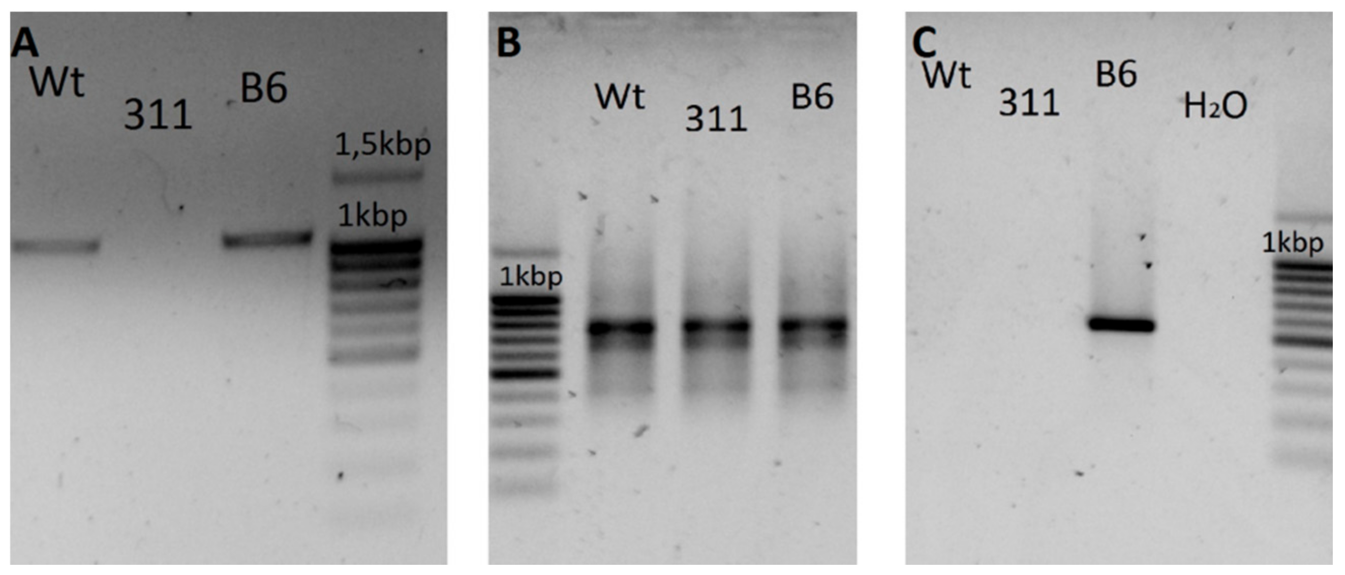
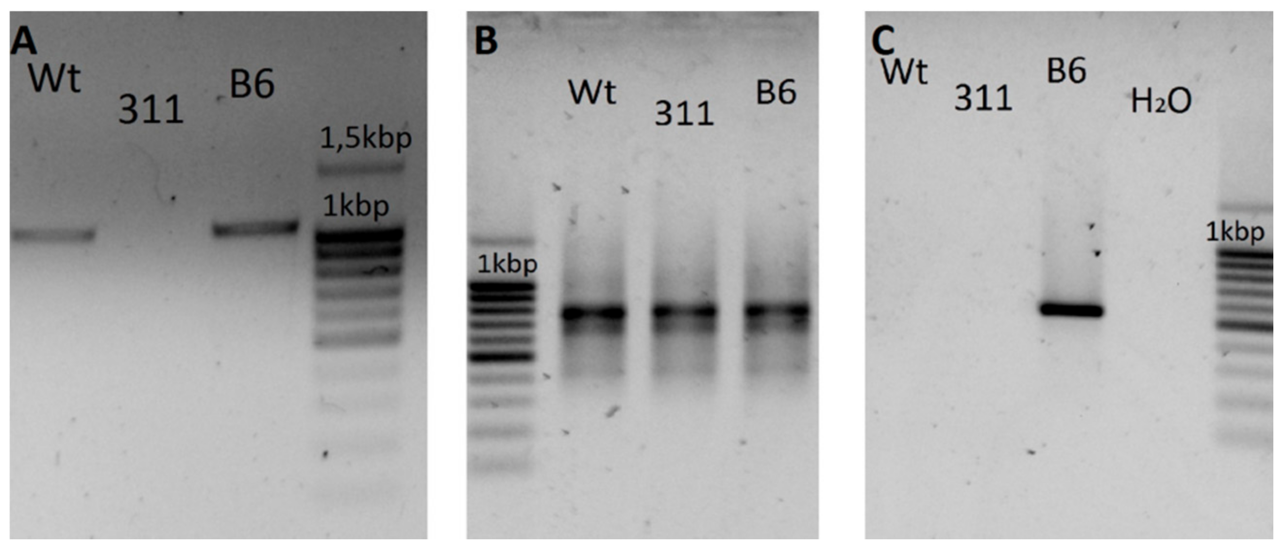
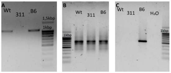
3.2.1. Analysis of sIFNG Gene Expression in Tobacco Plants of Two Lines
3.2.2. Sequencing T-DNA Insert
3.2.3. Search for T-DNA Insertion Sites
3.2.4. The Structure of the Junctions of T-DNA and Genomic DNA
4. Discussion
5. Conclusions
Author Contributions
Funding
Institutional Review Board Statement
Informed Consent Statement
Data Availability Statement
Acknowledgments
Conflicts of Interest
References
- Walsh, G. Biopharmaceutical Benchmarks 2018. Nat. Biotechnol. 2018, 36, 1136–1145. [Google Scholar] [CrossRef] [PubMed]
- Ghag, S.B.; Adki, V.S.; Ganapathi, T.R.; Bapat, V.A. Plant Platforms for Efficient Heterologous Protein Production. Biotechnol. Bioprocess. Eng. 2021, 1–22. [Google Scholar] [CrossRef] [PubMed]
- Schillberg, S.; Raven, N.; Spiegel, H.; Rasche, S.; Buntru, M. Critical Analysis of the Commercial Potential of Plants for the Production of Recombinant Proteins. Front. Plant Sci. 2019, 10, 720. [Google Scholar] [CrossRef] [PubMed]
- Xiao, Y.; Kwon, K.-C.; Hoffman, B.E.; Kamesh, A.; Jones, N.T.; Herzog, R.W.; Daniell, H. Low Cost Delivery of Proteins Bioencapsulated in Plant Cells to Human Non-Immune or Immune Modulatory Cells. Biomaterials 2016, 80, 68–79. [Google Scholar] [CrossRef] [PubMed] [Green Version]
- Burnett, M.J.B.; Burnett, A.C. Therapeutic Recombinant Protein Production in Plants: Challenges and Opportunities. Plants People Planet 2020, 2, 121–132. [Google Scholar] [CrossRef]
- Saveleva, N.V.; Burlakovskiy, M.S.; Yemelyanov, V.V.; Lutova, L.A. Transgenic Plants as Bioreactors to Produce Substances for Medical and Veterinary Uses. Russ. J. Genet. Appl. Res. 2016, 6, 712–724. [Google Scholar] [CrossRef]
- Gelvin, S.B. Agrobacterium-Mediated Plant Transformation: The Biology behind the “Gene-Jockeying” Tool. Microbiol. Mol. Biol. Rev. 2003, 67, 16–37. [Google Scholar] [CrossRef] [PubMed] [Green Version]
- Marenkova, T.V.; Deineko, E.V. Transgenic Plants as a Model for Studying Epigenetic Regulation of Gene Expression. Vavilov J. Genet. Breed. 2015, 19, 545–551. [Google Scholar] [CrossRef]
- Saveljeva, N.V.; Kurdyukov, I.D.; Dudnik, Y.E.; Yemelyanov, V.V.; Padkina, M.V.; Lutova, L.A. Making Plants Producing Bovine Gamma-Interferon for Prophylaxis of Tuberculosis and Leucaemia of Cattle. Bull. St. Petersburg Univ. 2009, 3, 65–80. [Google Scholar]
- Saveleva, N.V.; Lutova, L.A. Plants—Producers of Recombinant Proteins for Medical Use: Producers of Bovine Interferon γ; Lap Lambert Academic Publishing: Saarbrücken, Germany, 2010. [Google Scholar]
- Burlakovskiy, M.S.; Saveleva, N.V.; Yemelyanov, V.V.; Padkina, M.V.; Lutova, L.A. Production of Bovine Interferon-Gamma in Transgenic Tobacco Plants. Plant. Cell Tiss. Organ. Cult. 2015, 122, 685–697. [Google Scholar] [CrossRef]
- Murashige, T.; Skoog, F. A Revised Medium for Rapid Growth and Bio Assays with Tobacco Tissue Cultures. Physiol. Plant. 1962, 15, 473–497. [Google Scholar] [CrossRef]
- Laemmli, U.K. Cleavage of Structural Proteins during the Assembly of the Head of Bacteriophage T4. Nature 1970, 227, 680–685. [Google Scholar] [CrossRef] [PubMed]
- Pontzer, C.H.; Johnson, H.M. Measurement of Interferons. In Methods in Neurosciences; Phillips, M.I., Evans, D., Eds.; Neuroimmunology; Academic Press: Cambridge, MA, USA, 1995; Volume 24, pp. 3–9. [Google Scholar]
- Padkina, M.V.; Parfenova, L.V.; Gradoboeva, A.E.; Sambuk, E.V. Heterologous Interferons Synthesis in Yeast Pichia Pastoris. Appl. Biochem. Microbiol. 2010, 46, 409–414. [Google Scholar] [CrossRef]
- Lutova, L.A.; Padkina, M.V.; Saveleva, N.V.; Yemelyanov, V.V.; Burlakovskiy, M.S.; Zobnina, A.E.; Tkachenko, A.A. Recombinant Plasmid DNA PART27int6 and Method of Obtaining on Its Basis of Inbred Line of Tobacco Plants Synthesizing Intracellular Gamma-Interferon of Bull. RU2564115C1, 27 September 2015. [Google Scholar]
- Wang, Z.; Ye, S.; Li, J.; Zheng, B.; Bao, M.; Ning, G. Fusion Primer and Nested Integrated PCR (FPNI-PCR): A New High-Efficiency Strategy for Rapid Chromosome Walking or Flanking Sequence Cloning. BMC Biotechnol. 2011, 11, 109. [Google Scholar] [CrossRef] [Green Version]
- Gleave, A.P. A Versatile Binary Vector System with a T-DNA Organisational Structure Conducive to Efficient Integration of Cloned DNA into the Plant Genome. Plant. Mol. Biol. 1992, 20, 1203–1207. [Google Scholar] [CrossRef] [PubMed]
- Deineko, E.V.; Zagorskaya, A.A.; Shumny, V.K. T-DNA-Induced Mutations in Transgenic Plants. Russ. J. Genet. 2007, 43, 1–11. [Google Scholar] [CrossRef]
- Loginova, D.B.; Shumny, V.K.; Deineko, E.V. Features of T-DNA Insert Organization in Transgenic Tobacco Plants Line NU 21. VOGiS Bull. 2010, 14, 134–140. [Google Scholar]
- Kohli, A.; Melendi, P.G.; Abranches, R.; Capell, T.; Stoger, E.; Christou, P. The Quest to Understand the Basis and Mechanisms That Control Expression of Introduced Transgenes in Crop Plants. Plant. Signal. Behav. 2006, 1, 185–195. [Google Scholar] [CrossRef] [Green Version]
- Kim, S.-I.; Veena; Gelvin, S.B. B. Genome-Wide Analysis of Agrobacterium T-DNA Integration Sites in the Arabidopsis Genome Generated under Non-Selective Conditions. Plant J. 2007, 51, 779–791. [Google Scholar] [CrossRef]
- Lacroix, B.; Citovsky, V. Pathways of DNA Transfer to Plants from Agrobacterium Tumefaciens and Related Bacterial Species. Ann. Rev. Phytopathol. 2019, 57, 231–251. [Google Scholar] [CrossRef] [PubMed]
- Matveeva, T.V.; Sokornova, S.V. Biological Traits of Naturally Transgenic Plants and Their Evolutional Roles. Russ. J. Plant. Physiol 2017, 64, 635–648. [Google Scholar] [CrossRef]
- Nicolia, A.; Ferradini, N.; Veronesi, F.; Rosellini, D. An Insight into T-DNA Integration Events in Medicago Sativa. Int. J. Mol. Sci. 2017, 18, 1951. [Google Scholar] [CrossRef] [Green Version]
- Singer, K. The Mechanism of T-DNA Integration: Some Major Unresolved Questions. Curr. Top. Microbiol. Immunol. 2018, 418, 287–317. [Google Scholar] [CrossRef] [PubMed]
- Kleinboelting, N.; Huep, G.; Appelhagen, I.; Viehoever, P.; Li, Y.; Weisshaar, B. The Structural Features of Thousands of T-DNA Insertion Sites Are Consistent with a Double-Strand Break Repair-Based Insertion Mechanism. Mol. Plant 2015, 8, 1651–1664. [Google Scholar] [CrossRef] [PubMed]
- Liu, Y.; Beyer, A.; Aebersold, R. On the Dependency of Cellular Protein Levels on mRNA Abundance. Cell 2016, 165, 535–550. [Google Scholar] [CrossRef] [Green Version]






| T-DNA sequencing primers | p35S (cauliflower mosaic virus promoter) | 35S_F | CCTCCTCGGATTCCATTGCCCAG |
| 35S_R | GTCCATCTTTGGGACCACTGTCGG | ||
| OCST (octopine synthase gene terminator) | OCS_F | GCGAGACGCCTATGATCGCATGAT | |
| OCS_R | GAAACCGGCGGTAAGGATCTGAGC | ||
| pNOS (nopaline synthase gene promoter) | NOS_F | CGATGACGCGGGACAAGCCGT | |
| NOS_R | GACCTTAGGCGACTTTTGAACGCGC | ||
| NPT II (neomycin phosphotransferase) | NPT_F | GTGTTCCGGCTGTCAGCGCAGG | |
| NPT_R | CGCAAGGAACGCCCGTCGTGG | ||
| RB and LB (right and left borders of T-DNA) | RB_in_1 | GTTTACCCGCCAATATATCCTGT | |
| LB_in_1 | TGGCAGGATATATTGTGGTGTAA | ||
| RT-PCR | EF-1a (reference gene) | EF1 | CAAGCGGTCATTCAAGTATGC |
| EF2 | TGTCCAGGACGATCAATCACA | ||
| RTsIFNG (recombinant bovine gamma-interferon) | RTsIFNG-1 | AGGAGTATGGACATCATCAAGCA | |
| RTsIFNG-2 | AGTCGTCGACCGGAATTTGA | ||
| FPNI-PCR «Genome walking» | T-DNA sequence near right border (RB) | 35Sm_antiSP | CTGATCATGAGCGGAGAATTAAGGGA |
| 35Sm_SP3 | TCGGGAAACCTGTCGTGCCA | ||
| 35Sm_SP2 | GCTCACTGCCCGCTTTCCAG | ||
| 35Sm_SP1 | AGTGTAAAGCCTGGGGTGCCT | ||
| T-DNA DNA sequence near left border (LB) | NOST_antiSP | CCTAGTTTGCGCGCTATATTTTGTTTTC | |
| NOST_SP3 | GAAGCAGATCGTTCAAACATTTGGC | ||
| NOST_SP2 | TCGTTTTGGTGCTACCCACGTT | ||
| NOST_SP1 | CCAACTGGCAAATCATCCAGCGT | ||
| Confirmation of T-DNA insertion sites in the plant genome | B6 line | B6_R1 | TAGCCAACATACCTCAATTGAGCTTCCT |
| B6_L2 | AATGGCCGCAGAGTGAAGCA | ||
| 311 line | 311_L1 | AGCACTTCCCAGAGCGCATATTACC | |
| 311_R1 | CAAATGAAGTTTTGATGCTAATGTATGGGAAT |
| Test Drug | Activity in IU/mL (5 June 2013) | Activity in IU/mL (13 March 2014) | Activity in IU/mL (21 April 2016) | Activity in IU/mL (20 May 2016) |
|---|---|---|---|---|
| Negative control (extraction buffer) | 0 | 0 | 0 | 0 |
| Extract of non-transgenic tobacco plants | 40 | 0 | 0 | 0 |
| Extract of transgenic tobacco plants mix 311.2.7.2 (1–6) | 320 | 320 | 120 | 160 |
| Extract of transgenic tobacco plants mix B6.13.8 (1–12) | 80 | 100 | 0 | 0 |
| Extract of frozen transgenic tobacco plant 311.2.7 after a year of storage at −80 °C | 10 | - | - | - |
| Positive control (commercial recombinant interferon-gamma produced in bacteria) | 380 IU/µg | 260 IU/µg | 250 IU/µg | 250 IU/µg |
| Industry standard sample (ISS) (OSO 871211, Microgene, Russia) | 10 | 10 | 10 | 10 |
Publisher’s Note: MDPI stays neutral with regard to jurisdictional claims in published maps and institutional affiliations. |
© 2022 by the authors. Licensee MDPI, Basel, Switzerland. This article is an open access article distributed under the terms and conditions of the Creative Commons Attribution (CC BY) license (https://creativecommons.org/licenses/by/4.0/).
Share and Cite
Burlakovskiy, M.; Saveleva, N.; Rumyantsev, A.M.; Yemelyanov, V.V.; Padkina, M.V.; Lutova, L. The Structure of T-DNA Insertions in Transgenic Tobacco Plants Producing Bovine Interferon-Gamma. Appl. Sci. 2022, 12, 761. https://doi.org/10.3390/app12020761
Burlakovskiy M, Saveleva N, Rumyantsev AM, Yemelyanov VV, Padkina MV, Lutova L. The Structure of T-DNA Insertions in Transgenic Tobacco Plants Producing Bovine Interferon-Gamma. Applied Sciences. 2022; 12(2):761. https://doi.org/10.3390/app12020761
Chicago/Turabian StyleBurlakovskiy, Mikhail, Natalia Saveleva, Andrey M. Rumyantsev, Vladislav V. Yemelyanov, Marina V. Padkina, and Ludmila Lutova. 2022. "The Structure of T-DNA Insertions in Transgenic Tobacco Plants Producing Bovine Interferon-Gamma" Applied Sciences 12, no. 2: 761. https://doi.org/10.3390/app12020761
APA StyleBurlakovskiy, M., Saveleva, N., Rumyantsev, A. M., Yemelyanov, V. V., Padkina, M. V., & Lutova, L. (2022). The Structure of T-DNA Insertions in Transgenic Tobacco Plants Producing Bovine Interferon-Gamma. Applied Sciences, 12(2), 761. https://doi.org/10.3390/app12020761

