Histopathological Evaluation of Tumor-Infiltrating Lymphocytes (TILs) as Predictive Biomarker for Hormone Receptors Status, Proliferative Activity and Clinical Outcome in Her-2 Positive Breast Cancer
Abstract
:1. Introduction
2. Materials and Methods
2.1. Patients Selection
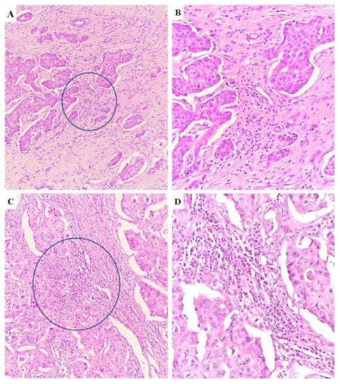
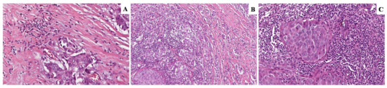
2.2. Histological Evaluation of TILs
2.3. Statistical Analysis
3. Results
3.1. Patient’s Characteristics and TILs Distribution
3.2. TILs and Clinicopathological Features
3.3. Relation between TILs, Hormone Receptors and Proliferative Index (Ki-67)
3.4. Concordance of TILs Evaluation between CNB and Surgical Samples
4. Discussion
5. Conclusions
Author Contributions
Funding
Institutional Review Board Statement
Informed Consent Statement
Data Availability Statement
Conflicts of Interest
References
- Broggi, G.; Filetti, V.; Ieni, A.; Rapisarda, V.; Ledda, C.; Vitale, E.; Varricchio, S.; Russo, D.; Lombardo, C.; Tuccari, G.; et al. MacroH2A1 Immunoexpression in Breast Cancer. Front. Oncol. 2020, 10. [Google Scholar] [CrossRef]
- Cammarata, F.P.; Forte, G.I.; Petringa, G.; Cirrone, G.; Cuttone, G.; Acquaviva, R.; Caltabiano, R.; Russo, G.; Broggi, G.; Bravatà, V.; et al. Molecular Investigation on a Triple Negative Breast Cancer Xenograft Model Exposed to Proton Beams. Int. J. Mol. Sci. 2020, 21, 6337. [Google Scholar] [CrossRef]
- Magro, G.; Salvatorelli, L.; Puzzo, L.; Piombino, E.; Bartoloni, G.; Broggi, G.; Vecchio, G. Practical approach to diagnosis of bland-looking spindle cell lesions of the breast. Pathologica 2019, 111, 344–360. [Google Scholar] [CrossRef] [PubMed]
- Adamo, B.; Ricciardi, G.R.R.; Ieni, A.; Franchina, T.; Fazzari, C.; Sanò, M.V. The prognostic significance of combined androgen receptor, E-Cadherin, Ki67 and CK5/6 expression in patients with triple negative breast cancer. Oncotarget 2017, 8, 76974–76986. [Google Scholar] [CrossRef]
- Bersanelli, M.; Petrelli, F.; Buti, S.; Stanganelli, I. Immune checkpoint inhibitors in adjuvant setting after radical resection of melanoma: A meta-analysis of the pivotal trials. Hum. Vaccines Immunother. 2021, 21, 1–6. [Google Scholar] [CrossRef]
- Wu, L.-G.-J.; Zhou, D.-N.; Wang, T.; Ma, J.-Z.; Sui, H.; Deng, W.-L. The efficacy and safety of PD-1/PD-L1 inhibitors versus chemotherapy in patients with previously treated advanced non-small-cell lung cancer. Medicine 2021, 100, e25145. [Google Scholar] [CrossRef] [PubMed]
- Zhang, C.; Yang, Q. Predictive Values of Programmed Cell Death-Ligand 1 Expression for Prognosis, Clinicopathological Factors, and Response to Programmed Cell Death-1/Programmed Cell Death-Ligand 1 Inhibitors in Patients with Gynecological Cancers: A Meta-Analysis. Front. Oncol. 2021, 10. [Google Scholar] [CrossRef]
- Santoro, A.; Angelico, G.; Inzani, F.; Spadola, S.; Arciuolo, D.; Valente, M.; Musarra, T.; Capelli, G.; Fanfani, F.; Gallotta, V.; et al. Pathological features, immunoprofile and mismatch repair protein expression status in uterine endometrioid carcinoma: Focus on MELF pattern of myoinvasion. Eur. J. Surg. Oncol. 2021, 47, 338–345. [Google Scholar] [CrossRef]
- Denkert, C.; Von Minckwitz, G.; Darb-Esfahani, S.; Lederer, B.; Heppner, B.I.; Weber, K.E.; Budczies, J.; Huober, J.; Klauschen, F.; Furlanetto, J.; et al. Tumour-infiltrating lymphocytes and prognosis in different subtypes of breast cancer: A pooled analysis of 3771 patients treated with neoadjuvant therapy. Lancet Oncol. 2018, 19, 40–50. [Google Scholar] [CrossRef]
- Tomšová, M.; Melichar, B.; Sedláková, I.; Šteiner, I. Prognostic significance of CD3+ tumor-infiltrating lymphocytes in ovarian carcinoma. Gynecol. Oncol. 2008, 108, 415–420. [Google Scholar] [CrossRef]
- De Jong, R.A.; Leffers, N.; Boezen, H.M.; ten Hoor, K.A.; van der Zee, A.G.; Hollema, H.; Nijman, H.W. Presence of tumor-infiltrating lymphocytes is an independent prognostic factor in type I and II endometrial cancer. Gynecol. Oncol. 2009, 114, 105–110. [Google Scholar] [CrossRef] [PubMed]
- Gao, Z.-H.; Li, C.-X.; Liu, M.; Jiang, J.-Y. Predictive and prognostic role of tumour-infiltrating lymphocytes in breast cancer patients with different molecular subtypes: A meta-analysis. BMC Cancer 2020, 20, 1150. [Google Scholar] [CrossRef]
- Coates, A.S.; Winer, E.P.; Goldhirsch, A.; Gelber, R.D.; Gnant, M.; Piccart-Gebhart, M.; Thürlimann, B.; Senn, H.-J.; Members, P.; Andre, F.; et al. Tailoring therapies—Improving the management of early breast cancer: St Gallen International Expert Consensus on the Primary Therapy of Early Breast Cancer 2015. Ann. Oncol. 2015, 26, 1533–1546. [Google Scholar] [CrossRef] [PubMed]
- Salgado, R.; Denkert, C.; Demaria, S.; Sirtaine, N.; Klauschen, F.; Pruneri, G.; Wienert, S.; Eynden, G.V.D.; Baehner, F.L.; Penault-Llorca, F.; et al. The evaluation of tumor-infiltrating lymphocytes (TILs) in breast cancer: Recommendations by an International TILs Working Group 2014. Ann. Oncol. 2015, 26, 259–271. [Google Scholar] [CrossRef]
- Mahmoud, S.; Paish, E.C.; Powe, D.G.; Macmillan, R.D.; Grainge, M.; Lee, A.H.; Ellis, I.; Green, A. Tumor-Infiltrating CD8+ Lymphocytes Predict Clinical Outcome in Breast Cancer. J. Clin. Oncol. 2011, 29, 1949–1955. [Google Scholar] [CrossRef]
- Denkert, C.; Loibl, S.; Noske, A.; Roller, M.; Müller, B.M.; Komor, M.; Budczies, J.; Darb-Esfahani, S.; Kronenwett, R.; Hanusch, C.; et al. Tumor-Associated Lymphocytes As an Independent Predictor of Response to Neoadjuvant Chemotherapy in Breast Cancer. J. Clin. Oncol. 2010, 28, 105–113. [Google Scholar] [CrossRef]
- Adams, S.; Gray, R.J.; Demaria, S.; Goldstein, L.; Perez, E.A.; Shulman, L.N.; Martino, S.; Wang, M.; Jones, V.E.; Saphner, T.J.; et al. Prognostic Value of Tumor-Infiltrating Lymphocytes in Triple-Negative Breast Cancers from Two Phase III Randomized Adjuvant Breast Cancer Trials: ECOG 2197 and ECOG 1199. J. Clin. Oncol. 2014, 32, 2959–2966. [Google Scholar] [CrossRef]
- Loi, S.; Michiels, S.; Salgado, R.; Sirtaine, N.; Jose, V.; Fumagalli, D.; Kellokumpu-Lehtinen, P.-L.; Bono, P.; Kataja, V.; Desmedt, C.; et al. Tumor infiltrating lymphocytes are prognostic in triple negative breast cancer and predictive for trastuzumab benefit in early breast cancer: Results from the FinHER trial. Ann. Oncol. 2014, 25, 1544–1550. [Google Scholar] [CrossRef]
- Perez, E.A.; Ballman, K.V.; Tenner, K.S.; Thompson, E.A.; Badve, S.; Bailey, H.D.; Baehner, F.L. Association of Stromal Tumor-Infiltrating Lymphocytes with Recurrence-Free Survival in the N9831 Adjuvant Trial in Patients With Early-Stage HER2-Positive Breast Cancer. JAMA Oncol. 2016, 2, 56–64. [Google Scholar] [CrossRef]
- Mao, Y.; Qu, Q.; Zhang, Y.; Liu, J.; Chen, X.; Shen, K. The Value of Tumor Infiltrating Lymphocytes (TILs) for Predicting Response to Neoadjuvant Chemotherapy in Breast Cancer: A Systematic Review and Meta-Analysis. PLoS ONE 2014, 9, e115103. [Google Scholar] [CrossRef]
- Yamaguchi, R.; Tanaka, M.; Yano, A.; Tse, G.M.; Yamaguchi, M.; Koura, K.; Kanomata, N.; Kawaguchi, A.; Akiba, J.; Naito, Y.; et al. Tumor-infiltrating lymphocytes are important pathologic predictors for neoadjuvant chemotherapy in patients with breast cancer. Hum. Pathol. 2012, 43, 1688–1694. [Google Scholar] [CrossRef]
- Dieci, M.V.; Criscitiello, C.; Goubar, A.; Viale, G.; Conte, P.; Guarneri, V.; Ficarra, G.; Mathieu, M.C.; Delaloge, S.; Curigliano, G.; et al. Prognostic value of tumor-infiltrating lymphocytes on residual disease after primary chemotherapy for triple-negative breast cancer: A retrospective multicenter study. Ann. Oncol. 2015, 26, 611–618. [Google Scholar] [CrossRef]
- Hamy, A.-S.; Pierga, J.-Y.; Sabaila, A.; Laas, E.; Bonsang-Kitzis, H.; Laurent, C.; Vincent-Salomon, A.; Cottu, P.; Lerebours, F.; Rouzier, R.; et al. Stromal lymphocyte infiltration after neoadjuvant chemotherapy is associated with aggressive residual disease and lower disease-free survival in HER2-positive breast cancer. Ann. Oncol. 2017, 28, 2233–2240. [Google Scholar] [CrossRef] [PubMed]
- Miyoshi, Y.; Shien, T.; Ogiya, A.; Ishida, N.; Yamazaki, K.; Horii, R.; Horimoto, Y.; Masuda, N.; Yasojima, H.; Inao, T.; et al. Associations in tumor infiltrating lymphocytes between clinicopathological factors and clinical outcomes in estrogen receptor-positive/human epidermal growth factor receptor type 2 negative breast cancer. Oncol. Lett. 2018, 17, 2177–2186. [Google Scholar] [CrossRef]
- Loi, S.; Sirtaine, N.; Piette, F.; Salgado, R.; Viale, G.; Van Eenoo, F.; Rouas, G.; Francis, P.; Crown, J.P.; Hitre, E.; et al. Prognostic and Predictive Value of Tumor-Infiltrating Lymphocytes in a Phase III Randomized Adjuvant Breast Cancer Trial in Node-Positive Breast Cancer Comparing the Addition of Docetaxel to Doxorubicin with Doxorubicin-Based Chemotherapy: BIG 02-98. J. Clin. Oncol. 2013, 31, 860–867. [Google Scholar] [CrossRef] [PubMed]
- Huang, J.; Chen, X.; Fei, X.; Huang, O.; Wu, J.; Zhu, L.; He, J.; Chen, W.; Li, Y.; Shen, K. Changes of Tumor Infiltrating Lymphocytes after Core Needle Biopsy and the Prognostic Implications in Early Stage Breast Cancer: A Retrospective Study. Cancer Res. Treat. 2019, 51, 1336–1346. [Google Scholar] [CrossRef] [PubMed]
- Jeselsohn, R.M.; Werner, L.; Regan, M.M.; Fatima, A.; Gilmore, L.; Collins, L.C.; Beck, A.H.; Bailey, S.T.; He, H.H.; Buchwalter, G.; et al. Digital Quantification of Gene Expression in Sequential Breast Cancer Biopsies Reveals Activation of an Immune Response. PLoS ONE 2013, 8, e64225. [Google Scholar] [CrossRef] [PubMed]
- Khan, A.M.; Yuan, Y. Biopsy variability of lymphocytic infiltration in breast cancer subtypes and the ImmunoSkew score. Sci. Rep. 2016, 6, 36231. [Google Scholar] [CrossRef]
- Zannoni, G.F.; Santoro, A.; Angelico, G.; Spadola, S.; Arciuolo, D.; Valente, M.; Inzani, F.; Pettinato, A.; Vatrano, S.; Fanfani, F.; et al. Clear cell carcinoma of the endometrium: An immunohistochemical and molecular analysis of 45 cases. Hum. Pathol. 2019, 92, 10–17. [Google Scholar] [CrossRef]


| Total number of patients enrolled | 47 |
| Median age at diagnosis (y) | 61 |
| Tumor stage | |
| I | 27 (57.45%) |
| II | 8 (17%) |
| III | 3 (6.38%) |
| IV | 9 (19.15%) |
| Histological type | |
| Ductal NOS | 42 (89.36%) |
| Lobular | 4 (8.51%) |
| Metaplastic | 1 (2.13%) |
| Histological grade | |
| G2 | 11 (23.4%) |
| G3 | 36 (76.6%) |
| Lymph node status | |
| Negative | 28 (59.57%) |
| Micrometastases | 3 (6.38%) |
| Macrometastases | 16 (34.04%) |
| TILs (evaluation on CNB/surgical samples) | |
| Low | 19/17 |
| Intermediate | 21/23 |
| High | 7/7 |
| Hormone receptors (ER, PR) | |
| positive | 28 (59.57%) |
| negative | 19 (40.43%) |
| Ki-67 | |
| >20% | 36 (76.6%) |
| ≤20% | 11 (23.4%) |
| Chemotherapy | |
| Only Adjuvant | 47 (100%) |
| Neoadjuvant+Adjuvant | 6 (12.77%) |
| Relapse | |
| Yes | 6 (12.77%) |
| No | 41 (87.23%) |
| Surgical approach | |
| Quadrantectomy | 43 (93.49%) |
| Mastectomy | 4 (8.51%) |
| Margin status | |
| Free | 47 |
| Ink on Tumor | 0 |
| Stage III–IV | Stage I–II | Total | |
|---|---|---|---|
| LOW TILs | 12 (25.53%) | 15 (31.91%) | 27 |
| I–HIGH TILs | 0 | 20 (42.55%) | 20 |
| Total | 12 | 35 | 47 |
| p-value | 0.0004 | ||
| N+ | N- | Total | |
|---|---|---|---|
| LOW TILs | 12 (25.53%) | 6 (12.77%) | 27 |
| I-HIGH TILs | 7 (14.89%) | 22 (46.81%) | 20 |
| Total | 19 | 28 | 47 |
| p-value | 0.006 | ||
| Ki-67 > 20% | Ki-67 ≤ 20% | Total | |
|---|---|---|---|
| LOW TILs | 9 (19.15%) | 8 (17.02%) | 17 |
| I-HIGH TILs | 27 (57.45%) | 3 (6.38%) | 30 |
| Total | 36 | 11 | 47 |
| p-value | 0.0094 | ||
| TILs | LOW | INTERMEDIATE–HIGH | Total |
|---|---|---|---|
| HR+/HER2+ | 6 (12.77%) | 22 (46.81%) | 28 |
| HR-/HER2+ | 11 (23.4%) | 8 (17.02%) | 19 |
| Total | 17 | 30 | 47 |
| p-value | 0.0150 | ||
| TILs | |||
|---|---|---|---|
| LOW | INTERMEDIATE | HIGH | |
| CNB | 19 | 21 | 7 |
| SURGICAL SAMPLES | 17 | 23 | 7 |
Publisher’s Note: MDPI stays neutral with regard to jurisdictional claims in published maps and institutional affiliations. |
© 2021 by the authors. Licensee MDPI, Basel, Switzerland. This article is an open access article distributed under the terms and conditions of the Creative Commons Attribution (CC BY) license (https://creativecommons.org/licenses/by/4.0/).
Share and Cite
Angelico, G.; Broggi, G.; Caltabiano, R.; Santoro, A.; Spadola, S.; D’Alessandris, N.; Scaglione, G.; Valente, M.; Arciuolo, D.; Sanchez, A.M.; et al. Histopathological Evaluation of Tumor-Infiltrating Lymphocytes (TILs) as Predictive Biomarker for Hormone Receptors Status, Proliferative Activity and Clinical Outcome in Her-2 Positive Breast Cancer. Appl. Sci. 2021, 11, 6788. https://doi.org/10.3390/app11156788
Angelico G, Broggi G, Caltabiano R, Santoro A, Spadola S, D’Alessandris N, Scaglione G, Valente M, Arciuolo D, Sanchez AM, et al. Histopathological Evaluation of Tumor-Infiltrating Lymphocytes (TILs) as Predictive Biomarker for Hormone Receptors Status, Proliferative Activity and Clinical Outcome in Her-2 Positive Breast Cancer. Applied Sciences. 2021; 11(15):6788. https://doi.org/10.3390/app11156788
Chicago/Turabian StyleAngelico, Giuseppe, Giuseppe Broggi, Rosario Caltabiano, Angela Santoro, Saveria Spadola, Nicoletta D’Alessandris, Giulia Scaglione, Michele Valente, Damiano Arciuolo, Alejandro Martin Sanchez, and et al. 2021. "Histopathological Evaluation of Tumor-Infiltrating Lymphocytes (TILs) as Predictive Biomarker for Hormone Receptors Status, Proliferative Activity and Clinical Outcome in Her-2 Positive Breast Cancer" Applied Sciences 11, no. 15: 6788. https://doi.org/10.3390/app11156788
APA StyleAngelico, G., Broggi, G., Caltabiano, R., Santoro, A., Spadola, S., D’Alessandris, N., Scaglione, G., Valente, M., Arciuolo, D., Sanchez, A. M., Franceschini, G., Masetti, R., Mulè, A., & Zannoni, G. F. (2021). Histopathological Evaluation of Tumor-Infiltrating Lymphocytes (TILs) as Predictive Biomarker for Hormone Receptors Status, Proliferative Activity and Clinical Outcome in Her-2 Positive Breast Cancer. Applied Sciences, 11(15), 6788. https://doi.org/10.3390/app11156788

