Preliminary Ultrasonographic Study of Healthy California Sea Lion (Zalophus californianus) Pregnancy and Fetal Development
Abstract
Simple Summary
Abstract
1. Introduction
2. Materials and Methods
2.1. Study Animals
2.2. Ultrasonography: Instrumentation and Methodology
2.3. Statistical Analyses
3. Results
3.1. Changes in the Maternal Reproductive System
3.2. Relationship between Ultrasonographic Image Findings of Embryonic and Fetal Growth and the Age of Gestation
- Day 0 of gestation: It was assumed to be the day of mating that corresponds to the day of ovulation.
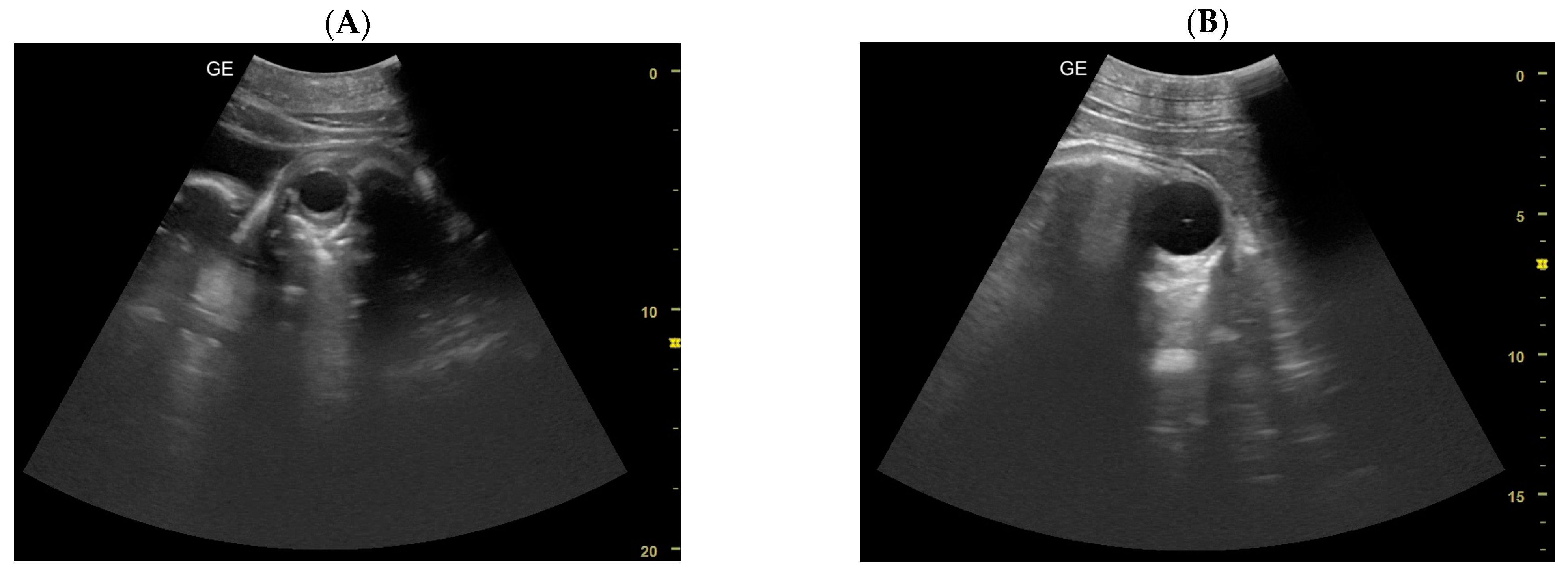
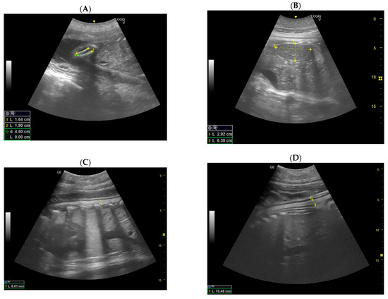
- Day 113 ± 4 post-ovulation: The embryonic vesicle was first recognizable in the uterine cavity as a roundish structure with an average diameter of 1.71 cm with an anechoic content. In addition, it is possible to recognize the embryo inside it as an elongated hyperechoic structure (Figure 2). Thanks to these findings, it has been possible to make a diagnosis of pregnancy.

- Day 129 ± 3: Embryonic cardiac mechanics is displayed, as a point of maximum fluctuation of the echoes. It is possible to recognize from the beginning of the heart rate. The heart rate was measured once the cardiac mechanics became visible and remained constant between 205 and 155 bpm until the ninth month of pregnancy. For the next 3 months, it stabilized at 140–135 bpm (Figure 3).

- Day 162 ± 2 and 170 ± 2: Skeletal formations, such as the cranial bone, vertebrae, costal bones, limbs, and detailed regions such as fingers, were first observed. The first abdominal organs to be visualized are the stomach and the urinary bladder, which appear as distinct and anechoic cavities. At the same time, it was possible to observe fetal movements.
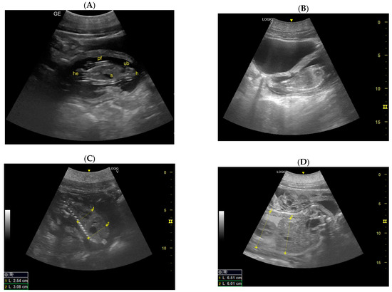
- Day 186 ± 2: It is possible to identify the heart, lungs in the thorax, diaphragm in the middle, and liver and stomach in the abdomen. (D) Lungs appear as hyperechoic structures on the sides of the heart, and the latter seems to have a similar echogenicity compared to the liver (Figure 4).

- Day 197: The umbilical cord is already seen like a hyperechoic cord form structure; it is important to identify the course, and to evaluate the internal vascular components and the absence of knots or torsions until the birth (Figure 5).
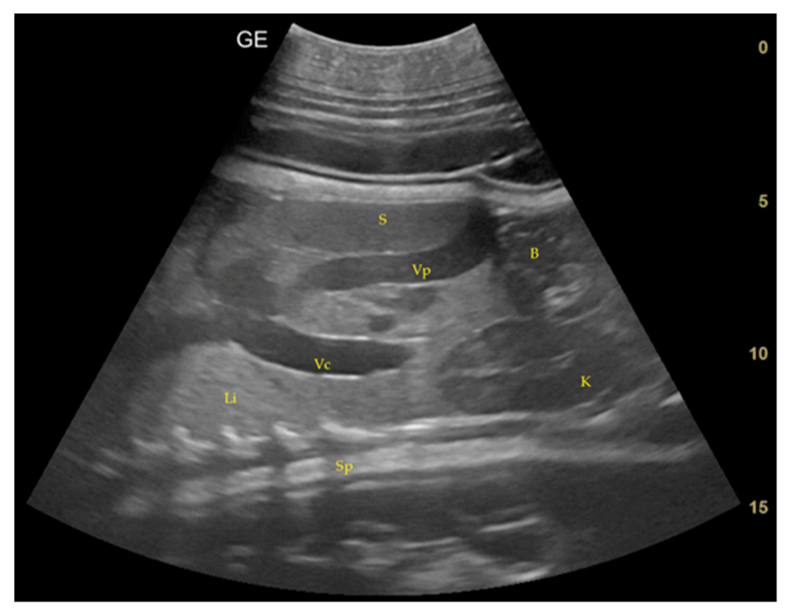
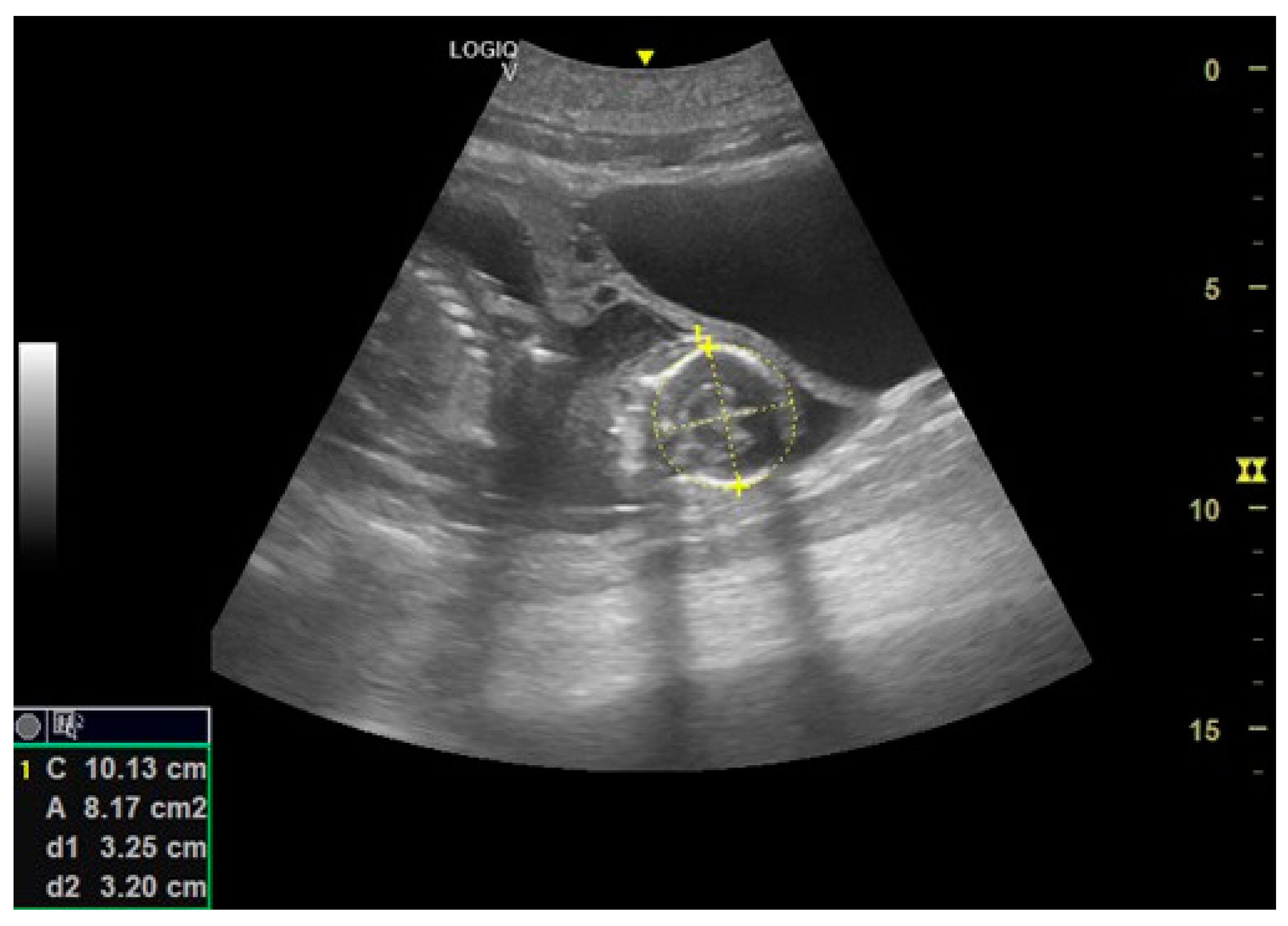
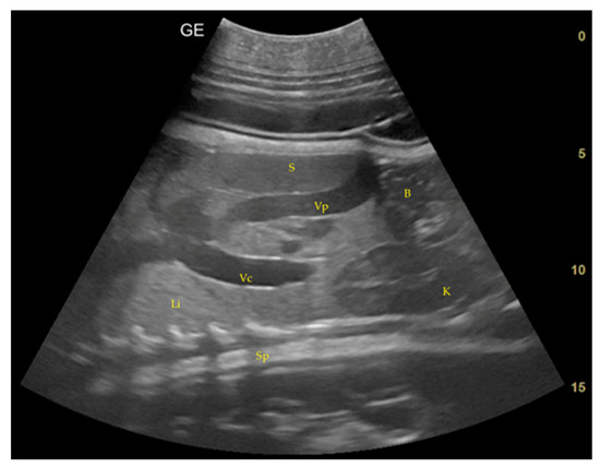
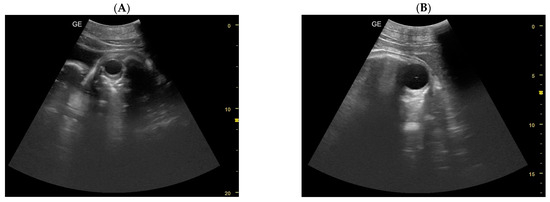
- Day 219 ± 3 days: It is also possible to recognize the eye as an anechoic cavitary structure (Figure 6). During the last month of pregnancy, it is possible to easily identify most of the abdominal organs such as the liver, spleen, intestine, and kidneys (Figure 7). In addition, the genitalia are visible and it could be possible to establish the sex of the fetus: in males, it is possible to identify the penis bone, which is obviously absent in females, but its visualization depends strongly on fetal position.



3.3. Construction of the Growth Curve of the Embryonic and Fetal Blubber Thickness
3.4. Construction of the Growth Curve of the Embryonic and Fetal Head Diameter
3.5. Construction of the Growth Curve of the Blubber Thickness
4. Discussion
5. Conclusions
Author Contributions
Funding
Institutional Review Board Statement
Informed Consent Statement
Data Availability Statement
Acknowledgments
Conflicts of Interest
References
- Robeck, T.R.; Atkinson, S.K.C.; Brook, F. Reproduction. In CRC Handbook of Marine Mammals Medicine, 2nd ed.; Dierauf, L.A., Gulland, F.M.D., Eds.; CRC Press: Boca Raton, FL, USA, 2001; pp. 193–236. [Google Scholar]
- Ramsdell, J.S.; Zabka, T.S. In Utero Domoic Acid Toxicity: A Fetal Basis to Adult Disease in the California Sea Lion (Zalophus californianus). Mar. Drugs 2008, 6, 262–290. [Google Scholar] [CrossRef] [PubMed]
- Pretzer, S.D. Canine embryonic and fetal development: A review. Theriogenology 2008, 70, 300–303. [Google Scholar] [CrossRef]
- Saviano, P.; Fiorucci, L.; Grande, F.; Macrelli, R.; Troisi, A.; Polisca, A.; Orlandi, R. Pregnancy and Fetal Development: Cephalic Presentation and Other Descriptive Ultrasonographic Findings from Clinically Healthy Bottlenose Dolphins (Tursiops truncatus) under Human Care. Animals 2020, 10, 908. [Google Scholar] [CrossRef] [PubMed]
- Williamson, P.; Gales, N.J.; Lister, S. Use of real-timeB-mode ultrasound for pregnancy diagnosis and measurement of fetal growth rate in captive bottlenose dolphins (Tursiops truncatus). J. Reprod. Fertil. 1990, 88, 543–548. [Google Scholar] [CrossRef]
- England, G.C.W. Ultrasound evaluation of pregnancy and spontaneous embryonic resorption in the bitch. J. Small Anim. Pract. 1992, 33, 430–436. [Google Scholar] [CrossRef]
- England, G.C.W. Ultrasonographic Assessment of Abnormal Pregnancy. J. Small Anim. Pract. 1998, 28, 849–868. [Google Scholar] [CrossRef]
- England, G.C.W.; Russo, M. Ultrasonographic characteristic of early pregnancy failure in bitches. Theriogenology 2006, 66, 1694–1698. [Google Scholar] [CrossRef]
- Aissi, A.; Alloui, N.; Slimani, C.; Touri, S. Preliminary study of the early ultrasonographic diagnosis of pregnancy and fetal development in dog. J. Anim. Vet. Adv. 2008, 7, 607–611. [Google Scholar]
- Root, K.M.V. Pregnancy diagnosis and abnormalities of pregnancy in the dog. Theriogenology 2005, 64, 755–765. [Google Scholar] [CrossRef]
- Lamm, C.G.; Makoloski, C.L. Current avances in gestation and parturition in cats and dogs. Vet. Clin. N. Am. Small Anim. Pract. 2012, 42, 445–456. [Google Scholar] [CrossRef]
- Davidson, A.P.; Baker, T.W. Reproductive ultrasound of the bitch and queen. Top. Companion Anim. Med. 2009, 24, 55–63. [Google Scholar] [CrossRef] [PubMed]
- Adams, G.P.; Plotka, E.D.; Asa, C.S.; Ginther, O.J. Feasibility of characterizing reproductive events in large, non-domestic species by transrectal ultrasonic imaging. Zoo Biol. 1991, 10, 247–253. [Google Scholar] [CrossRef]
- Sklansky, M. Fetal cardiovascular malformations and arrhythmias. In Creasy and Resnik’s Maternal-Fetal Medicine, 6th ed.; Creasy, R.K., Resnik, R., Iams, J.D., Lockwood, C.J., Moore, T.R., Eds.; Elsevier Saunders: Philadelphia, PA, USA, 2009; pp. 305–345. [Google Scholar]
- Castinel, A.; Duignan, P.J.; Pomroy, W.E.; López-Villalobos, N.; Gibbs, N.J. Neonatal mortality in new zealand sea lions (Phocarctos hookeri) at sandy bay, enderby island, auckland islands from 1998 to 2005. J. Wildl. Dis. 2007, 43, 461–474. [Google Scholar] [CrossRef] [PubMed]
- Michael, S.A.; Hayman, D.T.; Gray, R.; Roe, W.D. Risk Factors for New Zealand Sea Lion (Phocarctos hookeri) Pup Mortality: Ivermectin Improves Survival for Conservation Management. Front. Mar. Sci. 2021, 8, 680678. [Google Scholar] [CrossRef]
- Trites, A.W.; Donnelly, C.P. Mammal Society. Mammal Rev. 2003, 33, 3–28. [Google Scholar] [CrossRef]
- Greig, D.J.; Ylitalo, G.M.; Hall, A.J.; Fauquier, D.A.; Gulland, F.M.D. Transplacental transfer of organochlorines in california sea lions (Zalophus californianus). Environ. Toxicol. Chem. 2007, 26, 37–44. [Google Scholar] [CrossRef] [PubMed]
- Lacave, G.; Eggermont, M.; Verslycke, T.; Kinoshita, R. Prediction from ultrasonographic measurements of the expected delivery date in two species of bottlenose. Vet. Rec. 2004, 154, 228–233. [Google Scholar] [CrossRef] [PubMed]
- Johnsen, S.L.; Wilsgaard, T.; Rasmussen, S.; Sollien, R.; Kiserud, T. Longitudinal reference charts for growth of the fetal head, abdomen and femur. Eur. J. Obstet. Gynecol. Reprod. Biol. 2006, 127, 172–185. [Google Scholar] [CrossRef]
- Waki, Y.; Nakao, T.; Kawata, K. Osbervation of the Growth Process of a Beagle Embryo and Fetus by Ultrasonography. J. Vet. Med. Sci. 1996, 58, 443–445. [Google Scholar] [CrossRef] [PubMed]
- Suguna, K.; Mehrotra, S.; Agarwal, S.K.; Hoque, M.; Singh, S.K.; Shanker, U.; Sarath, T. Early pregnancy diagnosis and embryonic and fetal development using eal time B mode ultrasound in goats. Small Rumin. Res. 2008, 80, 80–86. [Google Scholar] [CrossRef]
- Lopate, C. Assessment of Fetal Well-Being and Gestational Age in the Bitch and Queen. In Management of Pregnant and Neonatal Dogs, Cats, and Exotic Pets; Wiley: Online, 2012. [Google Scholar] [CrossRef]
- Castellini, M.A.; Trumble, S.J.; Mau, T.L.; Yochem, P.K.; Stewart, B.S.; Kosk, M.A. Body and Blubber Relationships in Antarctic Pack Ice Seals:Implications for Blubber Depth Patterns. Physiol. Biochem. Zool. 2009, 82, 113–120. [Google Scholar] [CrossRef] [PubMed]
- Diessler, M.E. Term placenta of the southern elephant seal (Mirounga leonina). Placenta 2020, 100, 24–29. [Google Scholar] [CrossRef] [PubMed]
- Miglino, M.A. The carnivore pregnancy: The development of the embryo and fetal membranes. Theriogenology 2006, 66, 1699–1702. [Google Scholar] [CrossRef] [PubMed]
- Gil, E.M.U.; Garcia, D.A.A.; Giannico, A.T.; Froes, T.R. Early results on canine fetal kidney development: Ultrasonographic evaluation and value in prediction of delivery time. Theriogenology 2018, 107, 180–187. [Google Scholar] [CrossRef] [PubMed]
- Siena, G.; Di Nardo, F.; Romagnoli, S.; Mollo, A.; Contiero, B.; Milani, C. Relationship between days before parturition and fetal kidney length, cortical thickness, medullary thickness and their ratio in dogs. Theriogenology 2022, 194, 58–63. [Google Scholar] [CrossRef] [PubMed]
- Pavan, L.; Gasser, B.; Maronezi, M.C.; Silva, P.; Uscategui, R.A.R.; Padilha-Nakaghi, L.C.; Lima, B.B.; de Miranda, B.S.P.; Feliciano, M.A.R. Ultrasonography and elastography of the brain and cerebellum of English Bulldog fetuses. Theriogenology 2023, 198, 224–230. [Google Scholar] [CrossRef] [PubMed]
- Gil, E.M.; Garcia, D.A.; Froes, T.R. In utero development of the fetal intestine: Sonographic evaluation and correlation with gestational age and fetal maturity in dogs. Theriogenology 2015, 84, 681–686. [Google Scholar] [CrossRef] [PubMed]
- García-Párraga, D.; Brook, F.; Crespo-Picazo, J.L.; Valls, M.; Penadés, M.; Ortega, J.; Corpa, J.M. Recurrent umbilical cord accidents in a bottlenose dolphin, Tursiops truncatus. Dis. Aquat. Org. 2014, 108, 177–180. [Google Scholar] [CrossRef]
- Rychik, J.; Ayres, N.; Cuneo, B.; Gotteiner, N.; Hornberger, L.; Spevak, P.; Van der Veld, M. American Society of Echocardiography guidelines and standards for performance of the fetal echocardiogram. J. Am. Soc. Echocardiogr. 2004, 17, 803–810. [Google Scholar] [CrossRef]






Disclaimer/Publisher’s Note: The statements, opinions and data contained in all publications are solely those of the individual author(s) and contributor(s) and not of MDPI and/or the editor(s). MDPI and/or the editor(s) disclaim responsibility for any injury to people or property resulting from any ideas, methods, instructions or products referred to in the content. |
© 2024 by the authors. Licensee MDPI, Basel, Switzerland. This article is an open access article distributed under the terms and conditions of the Creative Commons Attribution (CC BY) license (https://creativecommons.org/licenses/by/4.0/).
Share and Cite
Fiorucci, L.; Grande, F.; Macrelli, R.; Saviano, P. Preliminary Ultrasonographic Study of Healthy California Sea Lion (Zalophus californianus) Pregnancy and Fetal Development. Animals 2024, 14, 1384. https://doi.org/10.3390/ani14091384
Fiorucci L, Grande F, Macrelli R, Saviano P. Preliminary Ultrasonographic Study of Healthy California Sea Lion (Zalophus californianus) Pregnancy and Fetal Development. Animals. 2024; 14(9):1384. https://doi.org/10.3390/ani14091384
Chicago/Turabian StyleFiorucci, Letizia, Francesco Grande, Roberto Macrelli, and Pietro Saviano. 2024. "Preliminary Ultrasonographic Study of Healthy California Sea Lion (Zalophus californianus) Pregnancy and Fetal Development" Animals 14, no. 9: 1384. https://doi.org/10.3390/ani14091384
APA StyleFiorucci, L., Grande, F., Macrelli, R., & Saviano, P. (2024). Preliminary Ultrasonographic Study of Healthy California Sea Lion (Zalophus californianus) Pregnancy and Fetal Development. Animals, 14(9), 1384. https://doi.org/10.3390/ani14091384

