Experimental Infection and the Effects of Temperature on the Pathogenicity of the Infectious Spleen and Kidney Necrosis Virus in Juvenile Nile Tilapia (Oreochromis niloticus)
Abstract
Simple Summary
Abstract
1. Introduction
2. Materials and Methods
2.1. Sample Collection
2.2. Molecular Detection: DNA Extraction and qPCR
2.3. Preparation of Viral Homogenates
2.4. Experimental Design
2.4.1. Trial 1: Development of the Experimental Infection Model
2.4.2. Trial 2: Effect of Temperature on the Pathogenicity of ISKNV
2.5. Histopathology
2.6. Statistical Analysis
3. Results
3.1. Experimental Infection Model
3.2. Effects of Temperature on ISKNV Virulence
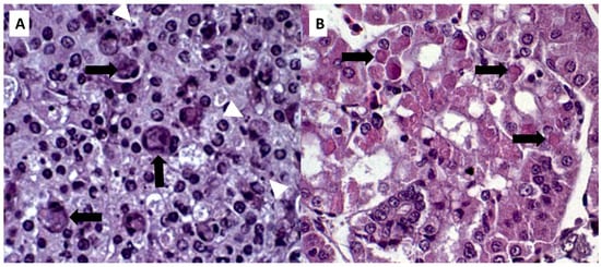
3.3. Histopathology
4. Discussion
5. Conclusions
Author Contributions
Funding
Institutional Review Board Statement
Informed Consent Statement
Data Availability Statement
Acknowledgments
Conflicts of Interest
References
- FAO. The State of World Fisheries and Aquaculture 2020. Available online: https://www.fao.org/documents/card/en?details=ca9229en/ (accessed on 30 August 2021).
- OIE Aquatic Animal Health Strategy 2021–2025. Available online: https://www.oie.int/en/document/oie-aquatic-animal-health-strategy-2021-2025 (accessed on 12 November 2021).
- Chinchar, V.G.; Hick, P.; Ince, I.A.; Jancovich, J.K.; Marschang, R.; Qin, Q.; Subramaniam, K.; Waltzek, T.B.; Whittington, R.; Williams, T.; et al. ICTV virus taxonomy profile: Iridoviridae. J. Gen. Virol. 2017, 98, 890–891. [Google Scholar] [CrossRef] [PubMed]
- Subramaniam, K.; Gotesman, M.; Smith, C.E.; Steckler, N.K.; Kelley, K.L.; Groff, J.M.; Waltzek, T.B. Megalocytivirus infection in cultured Nile tilapia Oreochromis niloticus. Dis. Aquat. Org. 2016, 119, 253–258. [Google Scholar] [CrossRef] [PubMed]
- Dong, H.T.; Nguyen, V.V.; Le, H.D.; Sangsuriya, P.; Jitrakorn, S.; Saksmerprome, V.; Senapin, S.; Rodkhum, C. Naturally concurrent infections of bacterial and viral pathogens in disease outbreaks in cultured Nile tilapia (Oreochromis niloticus) farms. Aquaculture 2015, 448, 427–435. [Google Scholar] [CrossRef]
- Ramírez-Paredes, J.G.; Paley, R.K.; Hunt, W.; Feist, S.W.; Stone, D.M.; Field, T.R.; Haydon, D.J.; Ziddah, P.A.; Nkansa, M.; Guilder, J.; et al. First detection of infectious spleen and kidney necrosis virus (ISKNV) associated with massive mortalities in farmed tilapia in Africa. Transbound. Emerg. Dis. 2020, 68, 1550–1563. [Google Scholar] [CrossRef]
- Figueiredo, H.C.P.; Tavares, G.C.; Dorella, F.A.; Rosa, J.C.C.; Marcelino, S.A.C.; Pierezan, F.; Pereira, F.L. First report of infectious spleen and kidney necrosis virus in Nile tilapia in Brazil. Transbound. Emerg. Dis. 2021, 69, 3008–3015. [Google Scholar] [CrossRef]
- Gilad, O.; Yun, S.; Zagmutt-Vergara, F.J.; Leutenegger, C.M.; Bercovier, H.; Hedrick, R.P. Concentrations of a Koi herpesvirus (KHV) in tissues of experimentally infected Cyprinus carpio koi as assessed by real-time TaqMan PCR. Dis. Aquat. Org. 2004, 60, 179–187. [Google Scholar] [CrossRef] [PubMed]
- Prophete, C.; Carlson, E.A.; Li, Y.; Duffy, J.; Steinetz, B.; Lasano, S.; Zelikoff, J.T. Effects of elevated temperature and nickel pollution on the immune status of Japanese medaka. Fish Shellfish Immunol. 2006, 21, 325–334. [Google Scholar] [CrossRef]
- Bustin, S.A. Why the need for qPCR publication guidelines?—The case for MIQE. Methods 2010, 50, 217–226. [Google Scholar] [CrossRef] [PubMed]
- Mohr, P.G.; Moody, N.J.; Williams, L.M.; Hoad, J.; Cummins, D.M.; Davies, K.R.; Crane, M.S. Molecular confirmation of infectious spleen and kidney necrosis virus (ISKNV) in farmed and imported ornamental fish in Australia. Dis. Aquat. Org. 2015, 116, 103–110. [Google Scholar] [CrossRef]
- Go, J.; Whittington, R. Experimental transmission and virulence of a megalocytivirus (Family Iridoviridae) of dwarf gourami (Colisa lalia) from Asia in Murray cod (Maccullochella peelii) in Australia. Aquaculture 2006, 258, 140–149. [Google Scholar] [CrossRef]
- Go, J.; Whittington, R. Australian bass Macquaria novemaculeata susceptibility to experimental megalocytivirus infection and utility as a model disease vector. Dis. Aquat. Org. 2019, 133, 157–174. [Google Scholar] [CrossRef]
- Faul, F.; Erdfelder, E.; Buchner, A.; Lang, A.G. Statistical Power Analyses Using G*Power 3.1: Tests for Correlation and Regression Analyses. Behav. Res. Methods 2009, 41, 1149–1160. [Google Scholar] [CrossRef] [PubMed]
- Feldman, A.T.; Wolfe, D. Tissue processing and hematoxylin and eosin staining. Methods Mol. Biol. 2014, 1180, 31–43. [Google Scholar] [PubMed]
- Ronen, A.; Perelberg, A.; Abramowitz, J.; Hutoran, M.; Tinman, S.; Bejerano, I.; Steinitz, M.; Kotler, M. Efficient vaccine against the virus causing a lethal disease in cultured Cyprinus carpio. Vaccine 2003, 21, 4677–4684. [Google Scholar] [CrossRef]
- You, X.X.; Su, Y.Q.; Mao, Y.; Liu, M.; Wang, J.; Zhang, M.; Wu, C. Effect of high-water temperature on mortality, immune response and viral replication of WSSV-infected Marsupenaeus japonicus juveniles and adults. Aquaculture 2010, 305, 133–137. [Google Scholar] [CrossRef]
- ABCC. Boas Práticas de Manejo e Biossegurança Para a Carcinicultura Marinha Nacional. Available online: https://abccam.com.br/wp-content/uploads/2012/02/BPMS_E_BIOSSEGURANA_-_ABCC_FEVEREIRO_2012.pdf (accessed on 14 April 2021).



| Experimental Group | n | Challenge with ISKNV | Water Temperature |
|---|---|---|---|
| G1-I | 10 | Viral homogenate | 26 °C |
| G1-C | 10 | Inactivated viral homogenate | 26 °C |
| G2-I | 10 | Viral homogenate | 28 °C |
| G2-C | 10 | Inactivated viral homogenate | 28 °C |
| G3-I | 10 | Viral homogenate | 30 °C |
| G3-C | 10 | Inactivated viral homogenate | 30 °C |
| G4-I | 10 | Viral homogenate | 32 °C |
| G4-C | 10 | Inactivated viral homogenate | 32 °C |
| G5-I | 10 | Viral homogenate | 34 °C |
| G5-C | 10 | Inactivated viral homogenate | 34 °C |
| Experimental Group | Mortality | Survivors | |||||||||
|---|---|---|---|---|---|---|---|---|---|---|---|
| Yes | No | ||||||||||
| n | % | n | % | RR 1 | RRR % 2 | CI95% 3 | p 4 | Total | qPCR + | qPCR − | |
| G1-I (26 °C) | 6 | 60 | 4 | 40 | - | - | - | - | 4 | 2 | 2 |
| G2-I (28 °C) | 4 | 40 | 6 | 60 | 0.67 | 33.33 | 0.328–0.337 | 0.0046 | 6 | 1 | 5 |
| G3-I (30 °C) | 3 | 30 | 7 | 70 | 0.50 | 50 | 0.492–0.507 | 0.00002 | 7 | 2 | 5 |
| G4-I (32 °C) | 0 | 0 | 10 | 100 | 0 | 100 | - | >0.00001 | 10 | 0 | 10 |
| G5-I (34 °C) | 0 | 0 | 10 | 100 | 0 | 100 | - | >0.00001 | 10 | 2 | 8 |
Disclaimer/Publisher’s Note: The statements, opinions and data contained in all publications are solely those of the individual author(s) and contributor(s) and not of MDPI and/or the editor(s). MDPI and/or the editor(s) disclaim responsibility for any injury to people or property resulting from any ideas, methods, instructions or products referred to in the content. |
© 2024 by the authors. Licensee MDPI, Basel, Switzerland. This article is an open access article distributed under the terms and conditions of the Creative Commons Attribution (CC BY) license (https://creativecommons.org/licenses/by/4.0/).
Share and Cite
França e Silva, T.M.; de Queiróz, G.A.; Leal, C.A.G. Experimental Infection and the Effects of Temperature on the Pathogenicity of the Infectious Spleen and Kidney Necrosis Virus in Juvenile Nile Tilapia (Oreochromis niloticus). Animals 2024, 14, 452. https://doi.org/10.3390/ani14030452
França e Silva TM, de Queiróz GA, Leal CAG. Experimental Infection and the Effects of Temperature on the Pathogenicity of the Infectious Spleen and Kidney Necrosis Virus in Juvenile Nile Tilapia (Oreochromis niloticus). Animals. 2024; 14(3):452. https://doi.org/10.3390/ani14030452
Chicago/Turabian StyleFrança e Silva, Tarcísio Martins, Guilherme Alves de Queiróz, and Carlos Augusto Gomes Leal. 2024. "Experimental Infection and the Effects of Temperature on the Pathogenicity of the Infectious Spleen and Kidney Necrosis Virus in Juvenile Nile Tilapia (Oreochromis niloticus)" Animals 14, no. 3: 452. https://doi.org/10.3390/ani14030452
APA StyleFrança e Silva, T. M., de Queiróz, G. A., & Leal, C. A. G. (2024). Experimental Infection and the Effects of Temperature on the Pathogenicity of the Infectious Spleen and Kidney Necrosis Virus in Juvenile Nile Tilapia (Oreochromis niloticus). Animals, 14(3), 452. https://doi.org/10.3390/ani14030452

