Anatomical View of the Internal Carotid Artery Occlusion in Japanese Black Cattle
Abstract
Simple Summary
Abstract
1. Introduction
2. Materials and Methods
2.1. Sample and Animal Ethics
2.2. Gross Anatomical Procedure and Statistical Analysis
2.3. Histological Observation
3. Results
3.1. Gross Anatomical Observations
3.2. Correlation of Arterial Diameter with Age
3.3. Comparison of the Diameter of the Arteries
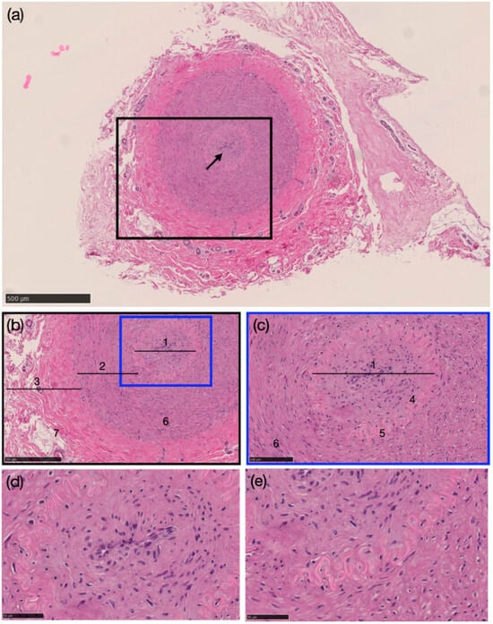
3.4. Histological Structure of the Internal Carotid Artery
4. Discussion
5. Conclusions
Supplementary Materials
Author Contributions
Funding
Institutional Review Board Statement
Informed Consent Statement
Data Availability Statement
Conflicts of Interest
References
- Getty, R. Sisson and Grossman’s the Anatomy of the Domestic Animals, 5th ed.; W. B. Saunders Company: Philadelphia, PA, USA, 1975. [Google Scholar]
- Deepthi, S.; Suseelamma, D.; Pramod Kumar, D.; Saradadevi, S.S.; Subhadradevi, V. Comparative study of formation of circle of Willis in human and sheep brain. J. Anat. Soc. India 2016, 65, S16–S19. [Google Scholar] [CrossRef]
- Uehara, M.; Kudo, N.; Suguira, M. Morphological studies on the rete mirabile epidurale in the calf. Jpn. J. Vet. Res. 1978, 26, 11–18. [Google Scholar] [PubMed]
- Takemura, A.; Uemura, M.; Toda, I.; Kawashima, W.; Fang, Y.; Xu, Y.J.; Zhang, C.P.; Suwa, F. Comparative anatomy of the carotid artery system in the lion. J. Osaka. Dent. Univ. 2018, 52, 149–155. [Google Scholar]
- Masuoka, T.; Hayashi, N.; Hori, E.; Kuwayama, N.; Hirashima, Y.; Endo, S. Histopathological Characterization of Intra- and Extra-cranial Internal Carotid Arteries. Surg. Cereb. Stroke 2007, 35, 30–33. [Google Scholar] [CrossRef][Green Version]
- Fukuta, K.; Kudo, H.; Sasaki, M.; Kimura, J.; Ismail, D.; Endo, H. Absence of carotid rete mirabile in small tropical ruminants: Implications for the evolution of the arterial system in artiodactyls. J. Anat. 2007, 210, 112–116. [Google Scholar] [CrossRef] [PubMed]
- Simoens, P.; Lauwers, H.; De Geest, J.P.; De Schaepdrijver, L. Functional morphology of the cranial Retia mirabilia in the domestic mammals. Schweiz. Arch. Tierheilk. 1987, 129, 295–307. [Google Scholar]
- Zdun, M.; Ruszkowski, J.J.; Gogulski, M.; Józefiak, A.; Hetman, M. Arterial Circle of the Brain of the Red-Necked Wallaby (Notamacropus rufogriseus). Animals 2022, 12, 2796. [Google Scholar] [CrossRef]
- Zdun, M.; Ruszkowski, J.J.; Gogulski, M. Cerebral Vascularization and the Remaining Area Supply of the Internal Carotid Artery Derivatives of the Red Kangaroo (Osphranter rufus). Animals 2023, 13, 2744. [Google Scholar] [CrossRef]
- Gillian, L.A. Blood supply to brains of ungulates with and without a rete mirabile caroticum. J. Comp. Neurol. 1974, 153, 275–290. [Google Scholar] [CrossRef]
- Zdun, M. Comparison of the Rostral Epidural Rete Mirabile and the Patterns of Its Blood Supply in Selected Suiformes and Hippopotamuses. Animals 2023, 13, 644. [Google Scholar] [CrossRef]
- Graczyk, S.; Zdun, M. The structure of the rostral epidural rete mirabile and caudal epidural rete mirabile of the domestic pig. Folia Morphol. 2023, 82, 261–268. [Google Scholar] [CrossRef] [PubMed]
- Wang, X.R.; Liu, Y.; Zhang, L.P.; Wang, X.J.; Wu, J.P. Comparative anatomical study of the epidural retia mirabile in the Yak and Cattle. Asian J. Anim. Vet. Adv. 2012, 7, 884–890. [Google Scholar] [CrossRef][Green Version]
- Schummer, A.; Wilkens, H.; Vollmerhaus, B.; Habermehl, K.H. The Anatomy of the Domestic Animals, 3rd ed.; Springer: New York, NY, USA, 1981. [Google Scholar]
- Skoczylas, B.; Brudnicki, W.; Kirkitto-Stacewics, K.; Nowicki, W.; Wach, J. Arterial Supply of The Cerebral Cortex in Cattle (Bos primigenius f. dom). Slov. Vet. Res. 2016, 53, 13–18. [Google Scholar]
- International Committee on Veterinary Gross Anatomical Nomeclature. Nomina Anatomica Veterinaria, 6th ed.; Editorial Committee: Hanover, Germany; Ghent, Belgium; Columbia, SC, USA; Rio de Janeiro, Brazil, 2017; 160p. [Google Scholar]
- Konig, H.E.; Liebich, H. Veterinary Anatomy of Domestic Animals, 7th ed.; Thieme: Leipzig, Germany, 2019. [Google Scholar]
- Singh, B. Dyce, Sack, and Wensing’s Textbook of Veterinary Anatomy, 5th ed.; Elsevier: St. Louis, MO, USA, 2017. [Google Scholar]
- Ocal, M.K.; Erden, H.; Ogut, I.; Kara, M.E. A quantitive study on the retial arteries in one-humped camels. Ann. Anat. 1998, 180, 369–371. [Google Scholar] [CrossRef]
- Zdun, M.; Frackowiak, H.; KielTyka-Kurc, A.; Kowalczyk, K.; Nabzdyk, M.; Timm, A. The arteries of brain base in species of bovini tribe. Anat. Rec. 2013, 296, 1677–1682. [Google Scholar] [CrossRef] [PubMed]
- Zdun, M.; Butkiewicz, A.F.; Frąckowiak, H. The internal carotid artery in the ontogenesis of selected representatives of the Cervidae family in Poland. Anim. Sci. Genet. 2023, 19, 93–102. [Google Scholar] [CrossRef]
- Wible, J.R. Transformation in the extracranial course of the internal carotid artery in mammalian phylogeny. J. Vertebr. Paleontol. 2014, 6, 313–325. [Google Scholar] [CrossRef]
- Burbridge, B.; Matte, G.; Remedios, A. Complex intracranial arterial anatomy in swine is unsuitable for cerebral infarction projects. Can. Assoc. Radiol. J. 2017, 55, 326–329. [Google Scholar]
- Graczyk, S.; Zdun, M. The structure of the rostral epidural rete mirabile in selected represetatives of the Cervidae and Bovidae families. Acta. Zool. 2021, 102, 496–501. [Google Scholar] [CrossRef]
- Tan, Q.; Qin, C.; Yang, J.; Wang, T.; Lin, H.; Lin, C.; Chen, X. Inner diameters of the normal carotid arteries measured using three-dimensional digital subtraction catheter angiography: A retrospective analysis. BMC Neurol. 2021, 21, 292. [Google Scholar] [CrossRef]
- Matsuda, Y.; Nakanishi, Y.; Mizuno, Y. Occlusion of the internal carotid artery by means of microcoils for preventing epistaxis caused by guttural pouch mycosis in horses. J. Vet. Med. Sci. 1999, 61, 221–225. [Google Scholar] [CrossRef]
- Fernandes, N.C.F.; Branco, E.; Freire, E.C.B.; de Sousa Nogueira Lima, A.L.; Giese, E.G.; Mesquita, E.Y.E.; de Lima, A.R. Aortic branches and rete mirabile of the limbs of two-toed sloth (Choloepus didactylus). Anat. Rec. 2024, 307, 185–197. [Google Scholar] [CrossRef]
- Zdun, M.; Frąckowiak, H. Brain blood supply in ruminants. Med. Weter. 2019, 75, 389–393. [Google Scholar] [CrossRef]
- Mitchell, G.; Lust, A. The carotid rete and artiodactyls success. Biol. Lett. 2008, 4, 415–418. [Google Scholar] [CrossRef]
- Gabella, G. Complex structure of the common carotid artery of sheep. Anat. Rec. 1995, 243, 376–383. [Google Scholar] [CrossRef]
- Ho, S.Y.; Anderson, R.H. Anatomical closure of the ductus arteriosus: A study in 35 specimens. J. Anat. 1979, 128, 829–836. [Google Scholar]
- Gittenberger-de Groot, A.C.; Ertbruggen, I.; Moulaert, A.J.M.G.; Harinck, E. The ductus arteriosus in the preterm infant: Histologic and clinical observations. J. Pediatr. 1980, 96, 88–93. [Google Scholar] [CrossRef]
- Masuoka, T.; Hayashi, N.; Hori, E.; Kuwayama, N.; Ohtani, O.; Endo, S. Distribution of internal elastic lamina and external elastic lamina in the internal carotid artery: Possible relationship with atherosclerosis. Neurol. Med. Chir. 2010, 50, 179–182. [Google Scholar] [CrossRef]
- Thanvi, B.; Robinson, T. Complete occlusion of extracranial internal carotid artery: Clinical features, pathophysiology, diagnosis, and management. Postgrad. Med. J. 2007, 83, 95–99. [Google Scholar] [CrossRef]
- Bouthillier, A.; Van Loveren, H.R.; Keller, J.T. Segments of the internal carotid artery: A new classification. Neurosurgery 1996, 38, 425–433. [Google Scholar] [PubMed]
- Bonasia, S.; Bouthillier, A.; Robert, T. Segmental Classification of the Internal Carotid Artery: An Overview. Contemp. Neurosurg. 2020, 42, 1–6. [Google Scholar] [CrossRef]





Disclaimer/Publisher’s Note: The statements, opinions and data contained in all publications are solely those of the individual author(s) and contributor(s) and not of MDPI and/or the editor(s). MDPI and/or the editor(s) disclaim responsibility for any injury to people or property resulting from any ideas, methods, instructions or products referred to in the content. |
© 2024 by the authors. Licensee MDPI, Basel, Switzerland. This article is an open access article distributed under the terms and conditions of the Creative Commons Attribution (CC BY) license (https://creativecommons.org/licenses/by/4.0/).
Share and Cite
Jadi, A.R.; Fujisaki, H.; Ramah, A.; Baakhtari, M.; Imatake, S.; Wakitani, S.; Yasuda, M. Anatomical View of the Internal Carotid Artery Occlusion in Japanese Black Cattle. Animals 2024, 14, 365. https://doi.org/10.3390/ani14030365
Jadi AR, Fujisaki H, Ramah A, Baakhtari M, Imatake S, Wakitani S, Yasuda M. Anatomical View of the Internal Carotid Artery Occlusion in Japanese Black Cattle. Animals. 2024; 14(3):365. https://doi.org/10.3390/ani14030365
Chicago/Turabian StyleJadi, Arvendi Rachma, Hinako Fujisaki, Amany Ramah, Mahmoud Baakhtari, Shoichiro Imatake, Shoichi Wakitani, and Masahiro Yasuda. 2024. "Anatomical View of the Internal Carotid Artery Occlusion in Japanese Black Cattle" Animals 14, no. 3: 365. https://doi.org/10.3390/ani14030365
APA StyleJadi, A. R., Fujisaki, H., Ramah, A., Baakhtari, M., Imatake, S., Wakitani, S., & Yasuda, M. (2024). Anatomical View of the Internal Carotid Artery Occlusion in Japanese Black Cattle. Animals, 14(3), 365. https://doi.org/10.3390/ani14030365

