Immunohistochemical Staining Properties of Osteopontin and Ki-67 in Feline Meningiomas
Simple Summary
Abstract
1. Introduction
2. Materials and Methods
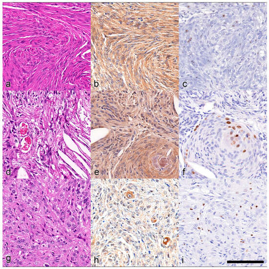
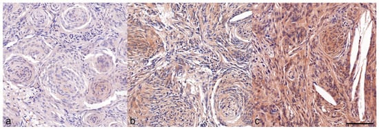
2.1. Immunohistochemistry
2.2. Slide Scanning and Analysis
2.3. Ki-67
2.4. Osteopontin
2.5. Statistics
3. Results

| Fibrous (n = 22) | Transitional (n = 23) | Fibrous/Transitional (n = 6) | Transitional/Meningothelial (n = 2) | |
|---|---|---|---|---|
| OPN IHC | ||||
| Median (min–max) | 102.61 (18.0–242.8) | 150.17 (0–210.7) | 178.02 (57.8–210.0) | 85.16 (13.3–157.0) |
| Mean ± SD | 121.46 ± 76.81 | 115.35 ± 72.41 | 153.26 ± 61.43 | 85.16 ± 101.59 |
| Allred scoring | ||||
| Median (min–max) | 6.0 (4.0–8.0) | 7.0 (0–8.0) | 7.0 (5.0–8.0) | 6.0 (4.0–8.0) |
| Mean ± SD | 6.27 ± 1.32 | 5.91 ± 1.80 | 6.83 ± 0.98 | 6.0 ± 2.82 |
| Ki-67 index | ||||
| Median (min–max) | 5.16 (1.4–33.9) | 8.28 (1.8–47.3) | 5.18 (1.5–27.8) | 6.7 (6.6–6.8) |
| Mean ± SD | 8.35 ± 9.49 | 10.21 ± 10.10 | 9.17 ± 9.69 | 6.7 ± 0.086 |
| Spearman’s rank correlation Ki-67 LI to OPN IHC | rs = −0.244 p = 0.274 | rs = 0.485 p = 0.022 | rs = −0.170 p = 0.747 | low number |
| Spearman’s rank correlation Ki-67 LI to Allred score | rs = −0.338 p = 0.124 | rs = −0.107 p = 0.625 | rs = −0.018 p = 0.973 | low number |
4. Discussion
5. Conclusions
Supplementary Materials
Author Contributions
Funding
Institutional Review Board Statement
Informed Consent Statement
Data Availability Statement
Acknowledgments
Conflicts of Interest
Abbreviations
| Diaminobenzidine | DAB |
| Dibutylphthalate polystyrene xylene | DPX |
| Formalin-fixed-paraffin-embedded | FFPE |
| Hematoxylin and eosin | H&E |
| High-power fields | HPF |
| Labeling index | LI |
| Nuclear-cytoplasmic ratio | N:C |
| Osteopontin | OPN |
| Osteopontin immunohistochemistry | OPN IHC |
| Phosphate-buffered saline | PBS |
| Polyvinylidene fluoride | PVDF |
| Sodium dodecylsulfate polyacrylamide gel electrophoresis | SDS PAGE gel |
| Statistical package for the social sciences | SPSS |
| World Health Organization | WHO |
References
- Troxel, M.T.; Vite, C.H.; Winkle, T.J.; Newton, A.L.; Tiches, D.; Dayrell-Hart, B.; Kapatkin, A.S.; Shofer, F.S.; Steinberg, S.A. Feline Intracranial Neoplasia: Retrospective Review of 160 Cases (1985–2001). J. Vet. Intern. Med. 2003, 17, 850–859. [Google Scholar] [CrossRef] [PubMed]
- Gallagher, J.G.; Berg, J.; Knowles, K.E.; Williams, L.L.; Bronson, R.T. Prognosis after surgical excision of cerebral meningiomas in cats: 17 cases (1986–1992). JAVMA. 1993, 203, 1437–1440. [Google Scholar] [CrossRef] [PubMed]
- Gordon, L.E.; Thacher, C.; Matthiesen, D.T.; Joseph, R.J. Results of Craniotomy for the Treatment of Cerebral Meningioma in 42 Cats. Vet. Surg. 1994, 23, 94–100. [Google Scholar] [CrossRef] [PubMed]
- Cameron, S.; Rishniw, M.; Miller, A.D.; Sturges, B.; Dewey, C.W. Characteristics and Survival of 121 Cats Undergoing Excision of Intracranial Meningiomas (1994–2011). Vet. Surg. 2015, 44, 772–776. [Google Scholar] [CrossRef]
- Liu, N.; Song, S.-Y.; Jiang, J.-B.; Wang, T.-J.; Yan, C.-X. The prognostic role of Ki-67/MIB-1 in meningioma: A systematic review with meta-analysis. Medicine 2020, 99, e18644. [Google Scholar] [CrossRef]
- Koestner, A. Histological Classification of Tumors of the Nervous System of Domestic Animals; Armed Forces Institute of Pathology: Washington, DC, USA, 1999; pp. 3–65. [Google Scholar]
- Mandara, M.T.; Pavone, S.; Brunetti, B.; Mandrioli, L. A comparative study of canine and feline meningioma classification based on WHO histological classification system in humans. In Proceedings of the 22nd Symposium ESVN-ECVN, Bologna, Italy, 24–26 September 2009. [Google Scholar]
- Motta, L.; Mandara, M.T.; Skerritt, G.C. Canine and feline intracranial meningiomas: An updated review. Vet. J. 2012, 192, 153–165. [Google Scholar] [CrossRef]
- Sessums, K.; Mariani, C. Intracranial meningioma in dogs and cats: A comparative review. Compend. Contin. Educ. Vet. 2009, 31, 330–339. [Google Scholar]
- Johnson, G.C.; Coates, J.R.; Wininger, F. Diagnostic immunohistochemistry of canine and feline intracalvarial tumors in the age of brain biopsies. Vet. Pathol. 2014, 51, 146–160. [Google Scholar] [CrossRef] [PubMed]
- Matiasek, L.A.; Platt, S.R.; Adams, V.; Scase, T.J.; Keys, D.; Miller, J.; Adamo, F.; Long, S.; Matiasek, K. Ki-67 and vascular endothelial growth factor expression in intracranial meningiomas in dogs. J. Vet. Intern. Med. 2009, 23, 146–151. [Google Scholar] [CrossRef]
- Saito, R.; Chambers, J.K.; Kishimoto, T.E.; Uchida, K. Pathological and immunohistochemical features of 45 cases of feline meningioma. J. Vet. Med. Sci. 2021, 83, 1219–1224. [Google Scholar] [CrossRef]
- Ma, J.; Zhang, Y.; Chen, L.; Chen, Y.; Yang, Y.; Da, L.; Wang, L.; Zhang, J.; Wu, Z. Low Expression of Phosphatase and Tensin Homolog and High Expression of Ki-67 as Risk Factors of Prognosis in Cranial Meningiomas. World Neurosurg. 2020, 136, e196–e203. [Google Scholar] [CrossRef] [PubMed]
- Arikök, A.T.; Onder, E.; Seçkin, H.; Kaçar, A.; Fesli, R.; Oğuz, A.S.; Alper, M. Osteopontin expressions correlate with WHO grades and predict recurrence in meningiomas. Brain Tumor Pathol. 2014, 31, 94–100. [Google Scholar] [CrossRef] [PubMed]
- Zhao, H.; Chen, Q.; Alam, A.; Cui, J.; Suen, K.C.; Soo, A.P.; Eguchi, S.; Gu, J.; Ma, D. The role of osteopontin in the progression of solid organ tumour. Cell Death Dis. 2018, 9, 356. [Google Scholar] [CrossRef] [PubMed]
- Ozmen, O.; Haligur, M.; Ipek, V. Immunohistochemical expression of osteopontin in canine and feline tumors. Revue Méd. Vét. 2015, 166, 1–10. [Google Scholar]
- Janssen, J.; Oevermann, A.; Walter, I.; Tichy, A.; Kummer, S.; Gradner, G. Osteopontin and Ki-67 expression in World Health Organization graded canine meningioma. J. Comp. Pathol. 2023, 201, 41–48. [Google Scholar] [CrossRef]
- Louis, D.N.; Perry, A.; Reifenberger, G.; von Deimling, A.; Figarella-Branger, D.; Cavenee, W.K.; Ohgaki, H.; Wiestler, O.D.; Kleihues, P.; Ellison, D.W. The 2016 World Health Organization Classification of Tumors of the Central Nervous System: A summary. Acta Neuropathol. 2016, 131, 803–820. [Google Scholar] [CrossRef]
- kummerstefan. VetBiobank/VTB_P44_Ki67: (Ki67_nuclei_png_v1). Zenodo. 2021. Available online: https://zenodo.org/records/5769682 (accessed on 4 March 2021).
- kummerstefan. VetBiobank/VTB_P44_osteopontin: VTB_P44_osteopontin (VTB_P44_osteopontin). Zenodo. 2021. Available online: https://zenodo.org/records/5769725 (accessed on 4 March 2021).
- Schindelin, J.; Arganda-Carreras, I.; Frise, E.; Kaynig, V.; Longair, M.; Pietzsch, T.; Preibisch, S.; Rueden, C.; Saalfeld, S.; Schmid, B.; et al. Fiji: An open-source platform for biological-image analysis. Nat. Methods 2012, 9, 676–682. [Google Scholar] [CrossRef]
- Berg, S.; Kutra, D.; Kroeger, T.; Straehle, C.N.; Kausler, B.X.; Haubold, C.; Schiegg, M.; Ales, J.; Beier, T.; Rudy, M.; et al. Ilastik: Interactive machine learning for (bio)image analysis. Nat. Methods 2019, 16, 1226–1232. [Google Scholar] [CrossRef]
- Simple Fisheries Stock Assessment Methods. R Package Version 0.9.5. Available online: https://CRAN.R-project.org/package=FSA (accessed on 15 November 2024).
- R: A Language and Environment for Statistical Computing. R Foundation for Statistical Computing: Vienna, Austria. Available online: https://www.R-project.org/ (accessed on 15 November 2024).
- Meuten, D.J. Tumors of the nervous system. In Tumors in Domestic Animals; Meuten, D.J., Ed.; Wiley Blackwell: Ames, IA, USA, 2017; pp. 834–891. [Google Scholar]
- Vranic, A.; Popovic, M.; Cör, A.; Prestor, B.; Pizem, J. Mitotic count, brain invasion, and location are independent predictors of recurrence-free survival in primary atypical and malignant meningiomas: A study of 86 patients. Neurosurgery 2010, 67, 1124–1132. [Google Scholar] [CrossRef]
- Forterre, F.; Tomek, A.; Konar, M.; Vandevelde, M.; Howard, J.; Jaggy, A. Multiple meningiomas: Clinical, radiological, surgical, and pathological findings with outcome in four cats. J. Feline Med. Surg. 2007, 9, 36–43. [Google Scholar] [CrossRef]
- McBride, R.; Sloma, E.A.; Erb, H.N.; Miller, A.D. Immune Cell Infiltration in Feline Meningioma. J. Comp. Pathol. 2017, 156, 162–168. [Google Scholar] [CrossRef] [PubMed]
- Ramos-Vara, J.A.; Miller, M.A.; Gilbreath, E.; Patterson, J.S. Immunohistochemical detection of CD34, E-cadherin, claudin-1, glucose transporter 1, laminin, and protein gene product 9.5 in 28 canine and 8 feline meningiomas. Vet. Pathol. 2010, 47, 725–737. [Google Scholar] [CrossRef] [PubMed]
- Yerushalmi, R.; Woods, R.; Ravdin, P.M.; Hayes, M.M.; Gelmon, K.A. Ki-67 in breast cancer: Prognostic and predictive potential. Lancet Oncol. 2010, 11, 174–183. [Google Scholar] [CrossRef] [PubMed]
- Louis, D.N.; Perry, A.; Wesseling, P.; Brat, D.J.; Cree, I.A.; Figarella-Branger, D.; Hawkins, C.; Ng, H.K.; Pfister, S.M.; Reifenberger, G.; et al. The 2021 WHO Classification of Tumors of the Central Nervous System: A summary. Neuro Oncol. 2021, 23, 1231–1251. [Google Scholar] [CrossRef]
- Haddad, A.F.; Young, J.S.; Kanungo, I.; Sudhir, S.; Chen, J.-S.; Raleigh, D.R.; Magill, S.T.; McDermott, M.W.; Aghi, M.K. WHO Grade I Meningioma Recurrence: Identifying High Risk Patients Using Histopathological Features and the MIB-1 Index. Front. Oncol. 2020, 10, 1522. [Google Scholar] [CrossRef]
- Long, S.; Argyle, D.J.; Nixon, C.; Nicholson, I.; Botteron, C.; Olby, N.; Platt, S.; Smith, K.; Rutteman, G.R.; Grinwis, G.C.M.; et al. Telomerase reverse transcriptase (TERT) expression and proliferation in canine brain tumours. Neuropathol. Appl. Neurobiol. 2006, 32, 662–673. [Google Scholar] [CrossRef]
- Shigeyama, Y.; Grove, T.K.; Strayhorn, C.; Somerman, M.J. Expression of adhesion molecules during tooth resorption in feline teeth: A model system for aggressive osteoclastic activity. J. Dent. Res. 1996, 75, 1650–1657. [Google Scholar] [CrossRef]
- Kazanecki, C.C.; Uzwiak, D.J.; Denhardt, D.T. Control of osteopontin signaling and function by post-translational phosphorylation and protein folding. J. Cell. Biochem. 2007, 102, 912–924. [Google Scholar] [CrossRef]
- Rangaswami, H.; Bulbule, A.; Kundu, G.C. Osteopontin: Role in cell signaling and cancer progression. Trends Cell Biol. 2006, 16, 79–87. [Google Scholar] [CrossRef]
- Zhou, Y.; Dai, D.L.; Martinka, M.; Su, M.; Zhang, Y.; Campos, E.I.; Dorocicz, I.; Tang, L.; Huntsman, D.; Nelson, C.; et al. Osteopontin expression correlates with melanoma invasion. J. Investig. Dermatol. 2005, 124, 1044–1052. [Google Scholar] [CrossRef]
- Rangel, J.; Nosrati, M.; Torabian, S.; Shaikh, L.; Leong, S.P.L.; Haqq, C.; Miller, J.R.; Sagebiel, R.W.; Kashani-Sabet, M. Osteopontin as a molecular prognostic marker for melanoma. Cancer 2008, 112, 144–150. [Google Scholar] [CrossRef] [PubMed]
- Klopfleisch, R.; Klose, P.; Gruber, A.D. The combined expression pattern of BMP2, LTBP4, and DERL1 discriminates malignant from benign canine mammary tumors. Vet. Pathol. 2010, 47, 446–454. [Google Scholar] [CrossRef] [PubMed]
- Li, H.Z.; Gong, H.D.; Wang, C.; Li, J.K. The role of osteopontin and its receptor in meningioma development and progression. J. Biol. Regul. Homeost. 2018, 32, 69–74. [Google Scholar]
- Tseng, K.-Y.; Chung, M.-H.; Sytwu, H.-K.; Lee, H.-M.; Chen, K.-Y.; Chang, C.; Lin, C.-K.; Yen, C.-H.; Chen, J.-H.; Lin, G.-J.; et al. Osteopontin expression is a valuable marker for prediction of short-term recurrence in WHO grade I benign meningiomas. J. Neurooncol. 2010, 100, 217–223. [Google Scholar] [CrossRef]
- Lin, C.-K.; Tsai, W.-C.; Lin, Y.-C.; Hueng, D.-Y. Osteopontin predicts the behaviour of atypical meningioma. Histopathology 2012, 60, 320–325. [Google Scholar] [CrossRef]


| OPN IHC | Allred Scoring | % Ki-67 Index | |
|---|---|---|---|
| Median (min–max) | 150.17 (0–242.8) | 7 (0–8) | 6.14 (1.4–47.3) |
| Mean ± SD | 121.04 ± 73.12 | 6.17 ± 1.55 | 9.19 ± 9.47 |
Disclaimer/Publisher’s Note: The statements, opinions and data contained in all publications are solely those of the individual author(s) and contributor(s) and not of MDPI and/or the editor(s). MDPI and/or the editor(s) disclaim responsibility for any injury to people or property resulting from any ideas, methods, instructions or products referred to in the content. |
© 2024 by the authors. Licensee MDPI, Basel, Switzerland. This article is an open access article distributed under the terms and conditions of the Creative Commons Attribution (CC BY) license (https://creativecommons.org/licenses/by/4.0/).
Share and Cite
Gradner, G.; Janssen, J.; Oevermann, A.; Tichy, A.; Kummer, S.; Burger, S.; Walter, I. Immunohistochemical Staining Properties of Osteopontin and Ki-67 in Feline Meningiomas. Animals 2024, 14, 3404. https://doi.org/10.3390/ani14233404
Gradner G, Janssen J, Oevermann A, Tichy A, Kummer S, Burger S, Walter I. Immunohistochemical Staining Properties of Osteopontin and Ki-67 in Feline Meningiomas. Animals. 2024; 14(23):3404. https://doi.org/10.3390/ani14233404
Chicago/Turabian StyleGradner, Gabriele, Janina Janssen, Anna Oevermann, Alexander Tichy, Stefan Kummer, Stefanie Burger, and Ingrid Walter. 2024. "Immunohistochemical Staining Properties of Osteopontin and Ki-67 in Feline Meningiomas" Animals 14, no. 23: 3404. https://doi.org/10.3390/ani14233404
APA StyleGradner, G., Janssen, J., Oevermann, A., Tichy, A., Kummer, S., Burger, S., & Walter, I. (2024). Immunohistochemical Staining Properties of Osteopontin and Ki-67 in Feline Meningiomas. Animals, 14(23), 3404. https://doi.org/10.3390/ani14233404

