Characterization of Feline Basophils on the Sysmex XN-1000V and Evaluation of a New WDF Gating Profile
Simple Summary
Abstract
1. Introduction
2. Materials and Methods
2.1. Preliminary Phase
2.2. Comparison Study
3. Results
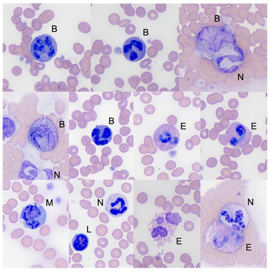
3.1. Preliminary Phase
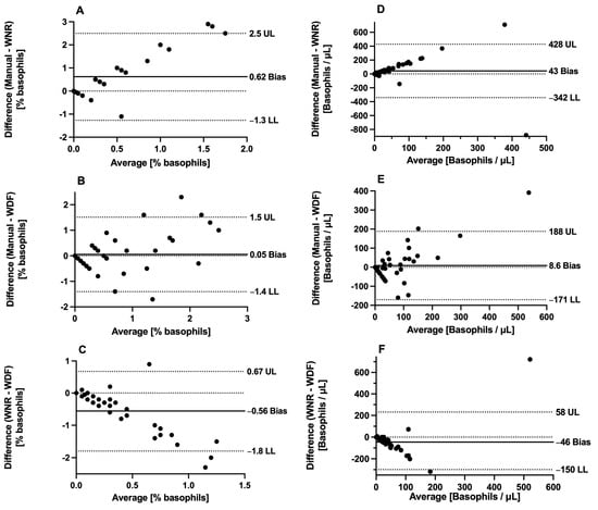
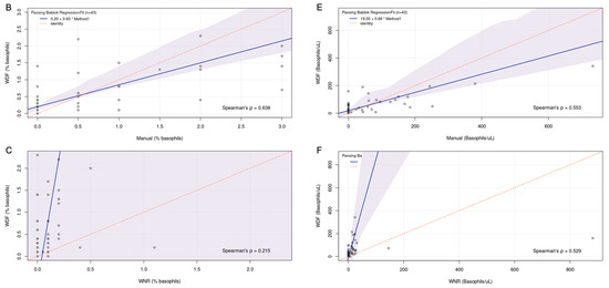
3.2. Comparison Study
4. Discussion
5. Conclusions
Supplementary Materials
Author Contributions
Funding
Institutional Review Board Statement
Informed Consent Statement
Data Availability Statement
Acknowledgments
Conflicts of Interest
References
- Kastl, B.C.; Pohlman, L.M. Basophils, Mast Cells, and Their Disorders. In Schalm’s Veterinary Hematology, 7th ed.; Brooks, M.B., Harr, K.E., Seelig, D.M., Wardrop, K.J., Weiss, D.J., Eds.; John Wiley & Sons, Inc.: Hoboken, NJ, USA, 2022; pp. 373–380. [Google Scholar]
- Kim, J.Y.; Hwang, T.S.; Jung, D.I.; Song, K.H.; Song, J.H. Case report: Lymphocytic-plasmacytic and eosinophilic enterocolitis presented with marked eosinophilia and basophilia in a cat. Front. Vet. Sci. 2023, 10, 1–6. [Google Scholar] [CrossRef] [PubMed]
- Thorn, C.E.; Aubert, I. Abdominal Mass Aspirate from a Cat with Eosinophilia and Basophilia. Vet. Clin. Pathol. 1999, 28, 139–141. [Google Scholar] [CrossRef] [PubMed]
- Cave, T.A.; Gault, E.A.; Argyle, D.J. Feline epitheliotrophic T-cell lymphoma with paraneoplastic eosinophilia—Immunochemotherapy with vinblastine and human recombinant interferon α2b. Vet. Comp. Oncol. 2004, 2, 91–97. [Google Scholar] [CrossRef] [PubMed]
- Balan, M.; Hope, A.; Cassidy, J.; McCullough, M.; O’brien, P.J. Marked paraneoplastic basophilia accompanying eosinophilia in a cat with alimentary T-cell lymphoma. J. Feline Med. Surg. Open Rep. 2017, 3, 2055116917730180. [Google Scholar] [CrossRef] [PubMed]
- Strandberg, N.J.; Serpa, P.B.S.; Fourez, L.M.; Childress, M.O.; Fulkerson, C.M.; Fulkerson, C.V.; Murakami, M.; Dos Santos, A.P. Marked paraneoplastic basophilia in a cat with alimentary T-cell lymphoma. Vet. Clin. Pathol. 2024, 53, 63–68. [Google Scholar] [CrossRef]
- Mochizuki, H.; Seki, T.; Nakahara, Y.; Tomita, A.; Takahashi, M.; Fujino, Y.; Ohno, K.; Tsujimoto, H. Chronic myelogenous leukaemia with persistent neutrophilia, eosinophilia and basophilia in a cat. J. Feline Med. Surg. 2014, 16, 517–521. [Google Scholar] [CrossRef]
- Gilroy, C.; Forzán, M.; Drew, A.; Vernau, W. Eosinophilia in a cat with acute leukemia. Can. Vet. Jounal 2011, 52, 1004–1008. [Google Scholar]
- Bounous, D.I.; Latimer, K.S.; Campagnoli, R.P.; Hynes, P.F. Acute myeloid leukemia with basophilic differentiation (AML, M-2B) in a cat. Vet. Clin. Pathol. 1994, 23, 15–18. [Google Scholar] [CrossRef]
- Shimoda, T.; Tanabe, M.; Shoji, Y.; Kanda, T.; Kishida, K.; Kishida, A.; Hashimoto, A.; Otsuka, M.; Miyamoto, A.; Kawakita, T.; et al. Monoblastic leukemia (M5a) with chronic basophilic leukemia in a cat. J. Vet. Med. Sci. 2022, 84, 251–256. [Google Scholar] [CrossRef]
- Lilliehöök, I.; Tvedten, H.W. Errors in basophil enumeration with 3 veterinary hematology systems and observations on occurrence of basophils in dogs. Vet. Clin. Pathol. 2011, 40, 450–458. [Google Scholar] [CrossRef]
- Lilliehöök, I.; Tvedten, H. Validation of the Sysmex XT-2000iV hematology system for dogs, cats, and horses. II. Differential leukocyte counts. Vet. Clin. Pathol. 2009, 38, 175–182. [Google Scholar] [CrossRef] [PubMed]
- Grebert, M.; Granat, F.; Braun, J.P.; Leroy, Q.; Bourgès-Abella, N.; Trumel, C. Validation of the Sysmex XN-V hematology analyzer for canine specimens. Vet. Clin. Pathol. 2021, 50, 184–197. [Google Scholar] [CrossRef] [PubMed]
- Arnold, J.E.; Camus, M.S.; Freeman, K.P.; Giori, L.; Hooijberg, E.H.; Jeffery, U.; Korchia, J.; Meindel, M.J.; Moore, A.R.; Sisson, S.C.; et al. ASVCP Guidelines: Principles of Quality Assurance and Standards for Veterinary Clinical Pathology (version 3.0). Vet. Clin. Pathol. 2019, 48, 542–618. [Google Scholar] [CrossRef] [PubMed]
- Bahar, B.; Tuncel, A.F.; Holmes, E.W.; Holmes, D.T. An interactive website for analytical method comparison and bias estimation. Clin. Biochem. 2017, 50, 1025–1029. [Google Scholar] [CrossRef]
- Amundsen, E.K.; Henriksson, C.E.; Holthe, M.R.; Urdal, P. Is the blood basophil count sufficiently precise, accurate, and specific? Am. J. Clin. Pathol. 2012, 137, 86–92. [Google Scholar] [CrossRef]
- Ginders, J.; Stirn, M.; Novacco, M.; Hofmann-Lehmann, R.; Riond, B. Validation of the Sysmex XN-V automated nucleated red blood cell enumeration for canine and feline EDTA-anticoagulated blood. Animals 2024, 14, 445. [Google Scholar] [CrossRef]
- Goldmann, F.; Bauer, N.; Moritz, A. Evaluation of the IDEXX ProCyte Dx analyzer for dogs and cats compared to the Siemens ADVIA 2120 and manual differential. Comp. Clin. Path 2014, 23, 283–296. [Google Scholar] [CrossRef]
- Zelmer, K.L.C.; Moritz, A.; Bauer, N. Evaluation of canine and feline leukocyte differential counts obtained with the scil vCell 5 compared to the Advia 2120 hematology analyzer and a manual method. J. Vet. Diagn. Investig. 2023, 35, 679–697. [Google Scholar] [CrossRef]
- Bhola, R.K.; Fudaly, C.; Rastogi, S. A comparative evaluation of performance of Sysmex XN 3000 and Horiba Yumizen H2500 automated complete blood count analysers. Indian J. Hematol. Blood Transfus. 2024, 40, 303–314. [Google Scholar] [CrossRef]
- Butani, L.; Calogiuri, G. Hypersensitivity reactions in patients receiving hemodialysis. Ann. Allergy Asthma Immunol. 2017, 118, 680–684. [Google Scholar] [CrossRef]
- Steele, R.H.; Limaye, S.; Cleland, B.; Chow, J.; Suranyi, M.G. Hypersensitivity reactions to the polysorbate contained in recombinant erythropoietin and darbepoietin. Nephrology 2005, 10, 317–320. [Google Scholar] [CrossRef] [PubMed]
- Stranieri, A.; Ferrari, R.; Zanzani, S.; Rossi, G. Sysmex XT-2000iV scattergram analysis in a cat with basophilia. Vet. Clin. Pathol. 2016, 45, 225–258. [Google Scholar] [CrossRef] [PubMed]
- Tvedten, H.W.; Andersson, V.; Lilliehöök, I.E. Feline differential leukocyte count with ProCyte Dx: Frequency and severity of a neutrophil-lymphocyte error and how to avoid it. J. Vet. Intern. Med. 2017, 31, 1708–1716. [Google Scholar] [CrossRef] [PubMed]
- Chenal, T.; Guerlin, M.; Jurrus, M.; Tanté, R.; Granat, F.; Trumel, C. What is your diagnosis? Additional cluster on the white blood cell differential scattergram using the Sysmex XN-V hematology analyzer in the blood of a dog. Vet. Clin. Pathol. 2024, 53, 122–124. [Google Scholar] [CrossRef]
- Guerlin, M.; Granat, F.; Grebert, M.; Braun, J.; Geffré, A.; Bourgès-Abella, N.; Trumel, C. Validation of the Sysmex XN-V hematology analyzer for feline specimens. Vet. Clin. Pathol. 2024, 53, 294–308. [Google Scholar] [CrossRef]
- Mato Martín, V.; Ginders, J.; Riond, B.; Hofmann-Lehmann, R.; Novacco, M. Abnormal population in WDF scattergram (Sysmex XN-V) in a cat. In Proceedings of the ESVCP/ECVCP Congress 2024—Mystery Cases Session 2024, Budapest, Hungary, 28–31 August 2024; Available online: https://www.esvcp.org/archives/mystery-slide-selections/1013-case-4-abnormal-population-in-wdf-scattergram-sysmex-xn-v-in-a-cat-with-answers/file.html (accessed on 5 November 2024).
- Kawauchi, S.; Takagi, Y.; Kono, M.; Wada, A.; Morikawa, T. Comparison of the leukocyte differentiation scattergrams between the XN-Series and the XE-Series of hematology analyzers. Sysmex J. Int. 2014, 24, 1–8. [Google Scholar]
- Allison, R.W.; Velguth, K.E. Appearance of granulated cells in blood films stained by automated aqueous versus methanolic Romanowsky methods. Vet. Clin. Pathol. 2010, 39, 99–104. [Google Scholar] [CrossRef]
- Nabity, M.B.; Harr, K.E.; Camus, M.S.; Flatland, B.; Vap, L.M. ASVCP guidelines: Allowable total error hematology. Vet. Clin. Pathol. 2018, 47, 9–21. [Google Scholar] [CrossRef]
- European Federation of Clinical Chemistry and Laboratory Medicine (EFLM) n.d. Available online: https://biologicalvariation.eu/meta_calculations (accessed on 1 July 2024).






| Manual Method | WNR Method | New WDF Method | |
|---|---|---|---|
| Mean | 5.9 | 0.02 | 5.3 |
| Standard deviation | 2 | 0.16 | 0.16 |
| Coefficient of variation (%) | 34 | 224 | 3.1 |
| Units | Manual Method versus WNR Method | Manual Method versus New WDF Method | WNR Method versus New WDF Method | |
|---|---|---|---|---|
| Correlation coefficient (r) | % basophils | 0.29 | 0.64 | 0.22 |
| Basophils/μL | 0.25 | 0.55 | 0.53 | |
| 95% CI of r | % basophils | −0.02 to 0.55 | 0.41 to 0.79 | −0.09 to 0.49 |
| Basophils/μL | −0.06 to 0.52 | 0.29 to 0.74 | 0.26 to 0.72 | |
| p-value of r | % basophils | 0.0603 | <0.0001 | 0.1654 |
| Basophils/μL | 0.1053 | <0.0001 | 0.0003 | |
| Passing–Bablok regression intercept | % basophils | 0.01 | 0.2 | −0.6 |
| Basophils/μL | 0.21 | 19 | −9.23 | |
| 95% CI of intercept | % basophils | 0 to 0.11 | 0.09 to 0.24 | −1.633 × 1015 to 1.633 × 1015 |
| Basophils/μL | 0 to 19 | 1.66 to 21 | −129.6 to 9 | |
| Passing–Bablok regression slope | % basophils | 0.08 | 0.65 | 14 |
| Basophils/μL | 0.1 | 0.66 | 8.61 | |
| 95% CI of slope | % basophils | 0 to 0.16 | 0.5 to 1.2 | −1.633 × 1015 to 1.633 × 1015 |
| Basophils/μL | −0.06 to 0.2 | 0.48 to 1.56 | 4.45 to 19.47 | |
| Bland–Altman bias | % basophils | 0.62 | 0.053 | −0.56 |
| Basophils/μL | 43 | 8.6 | −34 | |
| Standard deviation of bias | % basophils | 0.96 | 0.74 | 0.63 |
| Basophils/μL | 197 | 91 | 135 | |
| 95% LoA of bias | % basophils | −1.3 to 2.5 | −1.4 to 1.5 | −1.8 to 0.67 |
| Basophils/μL | −342 to 428 | −171 to 188 | −300 to 231 |
Disclaimer/Publisher’s Note: The statements, opinions and data contained in all publications are solely those of the individual author(s) and contributor(s) and not of MDPI and/or the editor(s). MDPI and/or the editor(s) disclaim responsibility for any injury to people or property resulting from any ideas, methods, instructions or products referred to in the content. |
© 2024 by the authors. Licensee MDPI, Basel, Switzerland. This article is an open access article distributed under the terms and conditions of the Creative Commons Attribution (CC BY) license (https://creativecommons.org/licenses/by/4.0/).
Share and Cite
Martínez-Caro, J.; Pastor, J. Characterization of Feline Basophils on the Sysmex XN-1000V and Evaluation of a New WDF Gating Profile. Animals 2024, 14, 3362. https://doi.org/10.3390/ani14233362
Martínez-Caro J, Pastor J. Characterization of Feline Basophils on the Sysmex XN-1000V and Evaluation of a New WDF Gating Profile. Animals. 2024; 14(23):3362. https://doi.org/10.3390/ani14233362
Chicago/Turabian StyleMartínez-Caro, Javier, and Josep Pastor. 2024. "Characterization of Feline Basophils on the Sysmex XN-1000V and Evaluation of a New WDF Gating Profile" Animals 14, no. 23: 3362. https://doi.org/10.3390/ani14233362
APA StyleMartínez-Caro, J., & Pastor, J. (2024). Characterization of Feline Basophils on the Sysmex XN-1000V and Evaluation of a New WDF Gating Profile. Animals, 14(23), 3362. https://doi.org/10.3390/ani14233362

